Proliferation in Postmenopausal Endometrial Polyps—A Potential for Malignant Transformation †
Abstract
1. Introduction
2. Materials and Methods
2.1. Ethics
2.2. Design
2.3. Patients and Tissue Collection
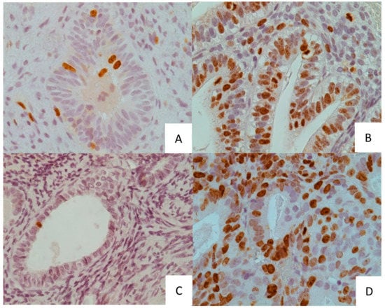
2.4. Immunohistochemistry
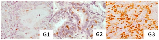
2.5. Evaluation of Immunohistochemical Staining
2.6. Statistical Analysis
3. Results
3.1. Demographics
3.2. Histopathology
3.3. Ki-67 Score—Between Group Analysis
4. Discussion
5. Conclusions
Author Contributions
Funding
Acknowledgments
Conflicts of Interest
References
- Peterson, W.F.; Novak, E.R. Endometrial polyps. Obstet. Gynecol. 1956, 8, 40–49. [Google Scholar] [CrossRef] [PubMed][Green Version]
- Dreisler, E.; Stampe Sorensen, S.; Ibsen, P.H.; Lose, G. Prevalence of endometrial polyps and abnormal uterine bleeding in a Danish population aged 20–74 years. Ultrasound Obstet. Gynecol. 2009, 33, 102–108. [Google Scholar] [CrossRef] [PubMed]
- Anastasiadis, P.G.; Koutlaki, N.G.; Skaphida, P.G.; Galazios, G.C.; Tsikouras, P.N.; Liberis, A.V. Endometrial polyps: Prevalence, detection, and malignant potential in women with abnormal uterine bleeding. Eur. J. Gynaecol. Oncol. 2000, 21, 180–183. [Google Scholar] [PubMed]
- Wong, S.F.; Luk, K.L.; Wong, A.Y.; Tang, L.C. Findings in women with postmenopausal bleeding investigated with hysteroscopy. J. Obstet. Gynaecol. 2001, 21, 392–395. [Google Scholar] [CrossRef] [PubMed]
- Lee, S.C.; Kaunitz, A.M.; Sanchez-Ramos, L.; Rhatigan, R.M. The oncogenic potential of endometrial polyps: A systematic Rev. and meta-analysis. Obstet. Gynecol. 2010, 116, 1197–1205. [Google Scholar] [CrossRef] [PubMed]
- Bel, S.; Billard, C.; Godet, J.; Viviani, V.; Akladios, C.; Host, A.; Faller, E.; Boisrame, T.; Hummel, M.; Baldauf, J.J.; et al. Risk of malignancy on suspicion of polyps in menopausal women. Eur. J. Obstet. Gynecol. Reprod. Biol. 2017, 216, 138–142. [Google Scholar] [CrossRef] [PubMed]
- Wethington, S.L.; Herzog, T.J.; Burke, W.M.; Sun, X.; Lerner, J.P.; Lewin, S.N.; Wright, J.D. Risk and Predictors of Malignancy in Women with Endometrial Polyps. Ann. Surg. Oncol. 2011, 18, 3819–3823. [Google Scholar] [CrossRef]
- Hahn, W.C.; Weinberg, R.A. Rules for making human tumour cells. N. Engl. J. Med. 2002, 347, 1593–1603. [Google Scholar]
- Kitson, S.; Sivalingam, V.N.; Bolton, J.; McVey, R.; Nickkho-Amiry, M.; Powell, M.E.; Leary, A.; Nijman, H.W.; Nout, R.A.; Bosse, T.; et al. Ki-67 in endometrial cancer: Scoring optimization and prognostic relevance for window studies. Mod. Pathol. 2017, 30, 459–468. [Google Scholar] [CrossRef]
- Salvesen, H.B.; Iversen, E.O.; Akslen, A.L. Identification of high-risk patients by assessment of nuclear Ki-67 expression in a prospective study of endometrial carcinomas. Clin. Cancer Res. 1998, 4, 2779–2785. [Google Scholar]
- Stefansson, I.M.; Salvesen, H.B.; Immervoll, H.; Akslen, L.A. Prognostic impact of histological grade and vascular invasion compared with tumour cell proliferation in endometrial carcinoma of endometrioid type. Histopathology 2004, 44, 472–479. [Google Scholar] [CrossRef] [PubMed]
- Geisler, J.P.; Geisler, H.E.; Miller, G.A.; Wiemann, M.C.; Zhou, Z.; Crabtree, W. MIB-1 in Endometrial Carcinoma: Prognostic Significance with 5-Year Follow-Up. Gynecol. Oncol. 1999, 75, 432–436. [Google Scholar] [PubMed]
- Liu, T.; Gao, H.; Yang, M.; Zhao, T.; Liu, Y.; Lou, G. Correlation of TNFAIP8 overexpression with the proliferation, metastasis and disease-free survival in endometrial cancer. Tumor Biol. 2014, 35, 5805–5814. [Google Scholar] [CrossRef] [PubMed]
- Pecorelli, S. Revised FIGO staging for carcinoma of the vulva, cervix, and endometrium. Int. J. Gynecol. Obstet. 2009, 105, 103–104. [Google Scholar] [CrossRef] [PubMed]
- Dowsett, M.; Nielsen, T.O.; A’Hern, R.; Bartlett, J.; Coombes, R.C.; Cuzick, J.; Ellis, M.; Henry, N.L.; Hugh, J.C.; Lively, T.; et al. Assessment of Ki67 in breast cancer: Recommendations from the international Ki67 in breast cancer working group. J. Natl. Cancer Inst. 2011, 103, 1656–1664. [Google Scholar]
- Savelli, L.; De Iaco, P.; Santini, D.; Rosati, F.; Ghi, T.; Pignotti, E.; Bovicelli, L. Histopathologic features and risk factors for benignity, hyperplasia, and cancer in endometrial polyps. Am. J. Obstet. Gynecol. 2003, 188, 927–931. [Google Scholar] [CrossRef] [PubMed]
- Pinheiro, A.; Andrade, L.; Antunes, A.; De Brot, L.; Pinto-Neto, A.M.; Costa-Paiva, L. Expression of hormone receptors, Bcl-2, Cox-2 and Ki67 in benign endometrial polyps and their association with obesity. Mol. Med. Rep. 2014, 9, 2335–2341. [Google Scholar] [CrossRef] [PubMed][Green Version]
- Antunes, A.; Vassallo, J.; Pinheiro, A.; Leão, R.; Neto, A.M.P.; Costa-Paiva, L. Immunohistochemical expression of estrogen and progesterone receptors in endometrial polyps: A comparison between benign and malignant polyps in postmenopausal patients. Oncol. Lett. 2014, 7, 1944–1950. [Google Scholar] [CrossRef]
- Leão, R.B.F.; Andrade, L.; Vassalo, J.; Antunes, A.; Pinto-Neto, A.; Costa-Paiva, L. Differences in estrogen and progesterone receptor expression in endometrial polyps and atrophic endometrium of postmenopausal women with and without exposure to tamoxifen. Mol. Clin. Oncol. 2013, 1, 1055–1060. [Google Scholar] [CrossRef][Green Version]
- Lopes, R.G.C.; Baracat, E.C.; Neto, L.C.D.A.; Ramos, J.F.D.; Yatabe, S.; Depesr, D.B.; Lippi, U.G. Analysis of estrogen- and progesterone-receptor expression in endometrial polyps. J. Minim. Invasive Gynecol. 2007, 14, 300–303. [Google Scholar]
- Mcgurgan, P.; Taylor, L.; Duffy, S.; O’Donovan, P. Are endometrial polyps from pre-menopausal women similar to post-menopausal women? An immunohistochemical comparison of endometrial polyps from pre- and post-menopausal women. Maturitas 2006, 54, 277–284. [Google Scholar] [PubMed]
- Altaner, S.; Gucer, F.; Tokatli, F.; Guresci, S.; Ozdemir, C.; Puyan, F.O.; Kutlu, K. Expression of Bcl-2 and Ki-67 in Tamoxifen-Associated Endometrial Polyps: Comparison with Postmenopausal Polyps. Oncol. Res. Treat. 2006, 29, 376–380. [Google Scholar]
- Risberg, B.; Karlsson, K.; Abeler, V.; Lagrelius, A.; Davidson, B.; Karlsson, M.G. Dissociated Expression of Bcl-2 and Ki-67 in Endometrial Lesions: Diagnostic and Histogenetic Implications. Int. J. Gynecol. Pathol. 2002, 21, 155–160. [Google Scholar] [CrossRef] [PubMed]
- Sho, T.; Hachisuga, T.; Kawagoe, T.; Urabe, R.; Kurita, T.; Kagami, S.; Shimajiri, S.; Fujino, Y. Expression of p53 in endometrial polyps with special reference to the p53 signature. Histol. Histopathol. 2016, 31, 751–758. [Google Scholar] [PubMed]
- Jiang, Z.; Xu, W.; Dan, G.; Liu, Y.; Xiong, J. P53 and Murine Double Mimute 2 (MDM2) Expression Changes and Significance in Different Types of Endometrial Lesions. Med. Sci. Monit. 2016, 22, 4786–4793. [Google Scholar] [PubMed]
- Yu, C.G.; Jiang, X.Y.; Li, B.; Gan, L.; Huang, J.F. Expression of ER, PR, C-erbB-2 and Ki-67 in Endometrial Carcinoma and their Relationships with the Clinicopathological Features. Asian Pac. J. Cancer Prev. 2015, 16, 6789–6794. [Google Scholar] [CrossRef]
- Miranda, S.P.; Traiman, P.; Cândido, E.B.; Lages, E.L.; Freitas, G.F.; Lamaita, R.M.; Vidigal, P.V.; da Silva Filho, A.L. Expression of p53, Ki-67, and CD31 proteins in endometrial polyps of postmenopausal women treated with tamoxifen. Int. J. Gynecol. Cancer 2010, 20, 6789–6794. [Google Scholar]
- Mu, K.; Li, L.; Yang, Q.; Yun, H.; Kharaziha, P.; Ye, D.W.; Auer, G.; Lagercrantz, S.B.; Zetterberg, A.; Yed, D.W. A standardized method for quantifying proliferation by Ki-67 and cyclin A immunohistochemistry in breast cancer. Ann. Diagn. Pathol. 2015, 19, 243–248. [Google Scholar] [CrossRef]
- Li, L.T.; Jiang, G.; Chen, Q.; Zheng, J.N. Ki67 is a promising molecular target in the diagnosis of cancer (review). Mol. Med. Rep. 2015, 11, 1566–1572. [Google Scholar] [CrossRef]
- Morsi, H.M.; Leers, M.P.; Jäger, W.; Björklund, V.; Radespiel-Tröger, M.; El Kabarity, H.; Nap, M.; Lang, N. The Patterns of Expression of an Apoptosis-Related CK18 Neoepitope, the bcl-2 Proto-Oncogene, and the Ki67 Proliferation Marker in Normal, Hyperplastic, and Malignant Endometrium. Int. J. Gynecol. Pathol. 2000, 19, 118–126. [Google Scholar]
- Yabushita, H.; Masuda, T.; Sawaguchi, K.; Noguchi, M.; Nakanishi, M. Growth potential of endometrial cancers assessed by a Ki-67 Ag/DNA dual-color flow-cytometric assay. Gynecol. Oncol. 1992, 44, 263–267. [Google Scholar] [CrossRef]
- Kato, K.; Toki, T.; Shimizu, M.; Shiozawa, T.; Fujii, S.; Nikaido, T.; Konishi, I. Expression of Replication-Licensing Factors MCM2 and MCM3 in Normal, Hyperplastic, and Carcinomatous Endometrium: Correlation with Expression of Ki-67 and Estrogen and Progesterone Receptors. Int. J. Gynecol. Pathol. 2003, 22, 334–340. [Google Scholar] [CrossRef] [PubMed]
- Shevra, C.; Ghosh, A.; Kumar, M. Cyclin D1 and Ki-67 expression in normal, hyperplastic and neoplastic endometrium. J. Postgrad. Med. 2015, 61, 15–20. [Google Scholar] [PubMed]
- Inceboz, U.S.; Nese, N.; Uyar, Y.; Ozcakir, H.T.; Kurtul, O.; Baytur, Y.B.; Kandiloglu, A.R.; Caglar, H.; Fraser, I.S. Hormone Receptor Expressions and Proliferation Markers in Postmenopausal Endometrial Polyps. Gynecol. Obstet. Investig. 2006, 61, 24–28. [Google Scholar] [CrossRef] [PubMed]
- Clarke, C.L.; Sutherland, R.L. Progestin Regulation of Cellular Proliferation. Endocr. Rev. 1990, 11, 266–301. [Google Scholar] [CrossRef] [PubMed]
- Sivridis, E.; Giatromanolaki, A. Proliferative activity in postmenopausal endometrium: The lurking potential for giving rise to an endometrial adenocarcinoma. J. Clin. Pathol. 2004, 57, 840–844. [Google Scholar] [CrossRef] [PubMed]
- Kosmas, K.; Stamoulas, M.; Marouga, A.; Kavantzas, N.; Patsouris, E.; Athanassiadou, P. Expression of ki-67 as proliferation biomarker in imprint smears of endometrial carcinoma. Diagn. Cytopathol. 2013, 41, 212–217. [Google Scholar] [CrossRef]
- Apostolou, G.; Apostolou, N.; Biteli, M.; Kavantzas, N.; Patsouris, E.; Athanassiadou, P. Utility of ki-67, p53, bcl-2 and cox-2 biomarkers for low-grade endometrial cancer and disordered proliferative/benign hyperplastic endometrium by imprint cytology. Diagn. Cytopathol. 2014, 42, 134–142. [Google Scholar] [CrossRef]





| Characteristics | n (%) |
|---|---|
| Demographics | |
| Age | |
| <60 | 2 (16.7) |
| ≥60 | 10 (83.3) |
| Vaginal bleeding | |
| No | 4 (33.3) |
| Yes | 8 (66.7) |
| Pathological classification | |
| Endometrioid adenocarcinoma | 12 (100.0) |
| Surgical-pathological staging | |
| IA | 12 (100.0) |
| IB | 0 (0.0) |
| Differentiation degree | |
| High (G1) | 7 (58.3) |
| Moderate (G2) | 4 (33.3) |
| Poor (G3) | 1 (8.4) |
| Depth of myometrial invasion | |
| Absent | 7 (58.3) |
| <1/2 | 5 (41.7) |
| ≥1/2 | 0 (0.0) |
| Endometrial carcinoma (EC) confined to a polyp | |
| Yes | 7 (58.3) |
| No | 5 (41.7) |
| Histology Type | N | Ki-67 | |||
|---|---|---|---|---|---|
| Median (IQR), % | p-Value * in Epithelium | p-Value * in Stroma | |||
| Epithelial | Stromal | ||||
| Postmenopausal benign polyps | 52 | 4.7 (3.2–7.8) | 0.05 (0.02–0.08) | - | - |
| Premenopausal benign polyps | 32 | 11.4 (5.0–17.6) | 0.12 (0.05–0.30) | 0.003 | 0.002 |
| Endometrial cancer: | 35 | 8.3 (2.2–37.0) | 0.43 (0.13–1.79) | <0.001 | <0.001 |
| EC with coexisting benign polyps: | 19 | ||||
| Polyps | 4.4 (2.1–8.8) | 0.03 (0.01–0.06) | 0.886 | 0.071 | |
| EC | 33.5 (10.7–76.4) | 1.08 (0.48–2.59) | <0.001 | <0.001 | |
| Polyps with foci of EC: | 12 | ||||
| Polyp tissue | 4.6 (1.8–7.8) | 0.05 (0.02–0.11) | 0.711 | 0.986 | |
| EC focus | 2.8 (1.7–5.4) | 0.18 (0.04–0.37) | 0.171 | 0.022 | |
| Patients who had EP and later developed EC: | 4 | ||||
| Polyps | 4 | 1.3 (1.1–2.4) | 0.02 (0.02–0.04) | 0.015 | 0.098 |
| Later developed EC | 4 | 1.9 (1.5–4.9) | 0.28 (0.06–0.44) | 0.242 | 0.022 |
| Atrophic endometrium | 31 | 2.4 (0.4–3.6) | 0.01 (0.00–0.02) | <0.001 | <0.001 |
© 2019 by the authors. Licensee MDPI, Basel, Switzerland. This article is an open access article distributed under the terms and conditions of the Creative Commons Attribution (CC BY) license (http://creativecommons.org/licenses/by/4.0/).
Share and Cite
Adomaitienė, L.; Nadišauskienė, R.; Nickkho-Amiry, M.; Čižauskas, A.; Palubinskienė, J.; Holland, C.; W Seif, M. Proliferation in Postmenopausal Endometrial Polyps—A Potential for Malignant Transformation. Medicina 2019, 55, 543. https://doi.org/10.3390/medicina55090543
Adomaitienė L, Nadišauskienė R, Nickkho-Amiry M, Čižauskas A, Palubinskienė J, Holland C, W Seif M. Proliferation in Postmenopausal Endometrial Polyps—A Potential for Malignant Transformation. Medicina. 2019; 55(9):543. https://doi.org/10.3390/medicina55090543
Chicago/Turabian StyleAdomaitienė, Lina, Rūta Nadišauskienė, Mahshid Nickkho-Amiry, Arvydas Čižauskas, Jolita Palubinskienė, Cathrine Holland, and Mourad W Seif. 2019. "Proliferation in Postmenopausal Endometrial Polyps—A Potential for Malignant Transformation" Medicina 55, no. 9: 543. https://doi.org/10.3390/medicina55090543
APA StyleAdomaitienė, L., Nadišauskienė, R., Nickkho-Amiry, M., Čižauskas, A., Palubinskienė, J., Holland, C., & W Seif, M. (2019). Proliferation in Postmenopausal Endometrial Polyps—A Potential for Malignant Transformation. Medicina, 55(9), 543. https://doi.org/10.3390/medicina55090543

