Genotype–Phenotype Correlation in a New Fabry-Disease-Causing Mutation
Abstract
1. Introduction
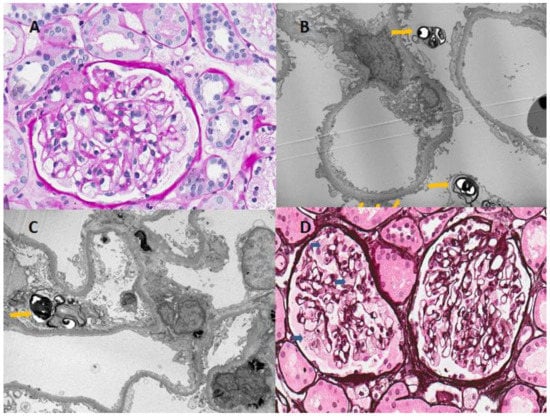
2. Case Presentation
3. Discussion
4. Conclusions
Author Contributions
Funding
Conflicts of Interest
References
- Brady, R.O.; Gal, A.E.; Bradley, R.M.; Martensson, E.; Warshaw, A.L.; Laster, L. Enzymatic defect in Fabry’s disease. Ceramidetrihexosidase deficiency. N. Engl. J. Med. 1967, 276, 1163–1167. [Google Scholar] [CrossRef] [PubMed]
- Germain, D.P. Fabry disease. Orphanet J. Rare Dis. 2010, 5, 30. [Google Scholar] [CrossRef]
- Sweeley, C.C.; Klionsky, B. Fabry’s disease: Classification as a sphingolipidosis and partial characterization of a novel glycolipid. J. Biol. Chem. 1963, 238, 3148–3150. [Google Scholar]
- Ortiz, A.; Abiose, A.; Bichet, D.G.; Cabrera, G.; Charrow, J.; Germain, D.P.; Hopkin, R.J.; Jovanovic, A.; Linhart, A.; Maruti, S.S.; et al. Time to treatment benefit for adult patients with Fabry disease receiving agalsidase β: Data from the Fabry Registry. J. Med. Genet. 2016, 53, 495–502. [Google Scholar] [CrossRef] [PubMed]
- Schiffmann, R.; Hughes, D.A.; Linthorst, G.E.; Ortiz, A.; Svarstad, E.; Warnock, D.G.; West, M.L.; Wanner, C.; Bichet, D.G.; Christensen, E.I.; et al. Screening, diagnosis, and management of patients with Fabry disease: Conclusions from a “Kidney Disease: Improving Global Outcomes” (KDIGO) Controversies Conference. Kidney Int. 2017, 91, 284–293. [Google Scholar] [CrossRef]
- Chien, Y.H.; Lee, N.C.; Chiang, S.C.; Desnick, R.J.; Hwu, W.L. Fabry disease: Incidence of the common later-onset α-galactosidase A IVS4+919G→A mutation in Taiwanese newborns—Superiority of DNA-based to enzyme-based newborn screening for common mutations. Mol. Med. 2012, 18, 780–784. [Google Scholar] [CrossRef] [PubMed]
- Mehta, A.; Beck, M.; Sunder-Plassmann, G. (Eds.) Fabry Disease: Perspectives from 5 Years of FOS; Oxford Pharma Genesis: Oxford, UK, 2006; ISBN 978-1-903539-03-3. [Google Scholar]
- Nishino, T.; Obata, Y.; Furusu, A.; Hirose, M.; Shinzato, K.; Hattori, K.; Nakamura, K.; Matsumoto, T.; Endo, F.; Kohno, S. Identification of a Novel Mutation and Prevalence Study for Fabry Disease in Japanese Dialysis Patients. Ren. Fail. 2012, 34, 566–570. [Google Scholar] [CrossRef] [PubMed]
- Peng, H.; Xu, X.; Zhang, L.; Zhang, X.; Peng, H.; Zheng, Y.; Luo, S.; Guo, H.; Xia, K.; Li, J.; et al. GLA variation p.E66Q identified as the genetic etiology of Fabry disease using exome sequencing. Gene 2016, 575, 363–367. [Google Scholar] [CrossRef]
- Uribe, A.; Mateus, H.E.; Prieto, J.C.; Palacios, M.F.; Ospina, S.Y.; Pasqualim, G.; da Silveira Matte, U.; Giugliani, R. Identification of mutations in Colombian patients affected with Fabry disease. Gene 2015, 574, 325–329. [Google Scholar] [CrossRef] [PubMed]
- Waldek, S.; Patel, M.R.; Banikazemi, M.; Lemay, R.; Lee, P. Life expectancy and cause of death in males and females with Fabry disease: Findings from the Fabry Registry. Genet. Med. 2009, 11, 790–796. [Google Scholar] [CrossRef] [PubMed]
- Linhart, A.; Kampmann, C.; Zamorano, J.L.; Sunder-Plassmann, G.; Beck, M.; Mehta, A.; Elliott, P.M. Cardiac manifestations of Anderson–Fabry disease: results from the international Fabry outcome survey. Eur. Heart J. 2007, 28, 1228–1235. [Google Scholar] [CrossRef]
- Tuttolomondo, A.; Duro, G.; Miceli, S.; Di Raimondo, D.; Pecoraro, R.; Serio, A.; Albeggiani, G.; Nuzzo, D.; Iemolo, F.; Pizzo, F.; et al. Novel alpha-galactosidase A mutation in a female with recurrent strokes. Clin. Biochem. 2012, 45, 1525–1530. [Google Scholar] [CrossRef] [PubMed]
- Chong, Y.; Kim, M.; Koh, E.S.; Shin, S.J.; Kim, H.S.; Chung, S. Identification of a novel GLA mutation (Y88C) in a Korean family with Fabry nephropathy: A case report. BMC Med. Genet. 2016, 17, 76. [Google Scholar] [CrossRef]
- Ortiz, A.; Germain, D.P.; Desnick, R.J.; Politei, J.; Mauer, M.; Burlina, A.; Eng, C.; Hopkin, R.J.; Laney, D.; Linhart, A.; et al. Fabry disease revisited: Management and treatment recommendations for adult patients. Mol. Genet. Metab. 2018, 123, 416–427. [Google Scholar] [CrossRef]
- Raas-Rothschild, A. Pediatrics: Implementing the promise of early intervention for Fabry disease. Clin. Ther. 2007, 29, S6. [Google Scholar] [CrossRef]
- Battaglia, Y.; Scalia, S.; Rinaldi, R.; Storari, A.; Mignani, R.; Russo, D.; Duro, G. Identification of new α-galactosidase A mutation responsible for Fabry disease: A case report. Clin. Nephrol. 2019, 91, 126–128. [Google Scholar] [CrossRef]
- Echevarria, L.; Benistan, K.; Toussaint, A.; Dubourg, O.; Hagege, A.A.; Eladari, D.; Jabbour, F.; Beldjord, C.; De Mazancourt, P.; Germain, D.P. X-chromosome inactivation in female patients with Fabry disease: X-chromosome inactivation in Fabry disease. Clin. Genet. 2016, 89, 44–54. [Google Scholar] [CrossRef]
- Yousef, Z.; Elliott, P.M.; Cecchi, F.; Escoubet, B.; Linhart, A.; Monserrat, L.; Namdar, M.; Weidemann, F. Left ventricular hypertrophy in Fabry disease: A practical approach to diagnosis. Eur. Heart J. 2013, 34, 802–808. [Google Scholar] [CrossRef]
- Baptista, A.; Magalhães, P.; Leão, S.; Carvalho, S.; Mateus, P.; Moreira, I. Screening for Fabry Disease in Left Ventricular Hypertrophy: Documentation of a Novel Mutation. Arquivos Brasileiros de Cardiologia 2015, 105, 139–144. [Google Scholar] [CrossRef] [PubMed]
- Duro, G.; Zizzo, C.; Cammarata, G.; Burlina, A.; Burlina, A.; Polo, G.; Scalia, S.; Oliveri, R.; Sciarrino, S.; Francofonte, D.; et al. Mutations in the GLA Gene and LysoGb3: Is It Really Anderson-Fabry Disease? Int. J. Mol. Sci. 2018, 19, 3726. [Google Scholar] [CrossRef]
- Zizzo, C.; Monte, I.; Pisani, A.; Fatuzzo, P.; Riccio, E.; Rodolico, M.S.; Colomba, P.; Uva, M.; Cammarata, G.; Alessandro, R.; et al. Molecular and clinical studies in five index cases with novel mutations in the GLA gene. Gene 2016, 578, 100–104. [Google Scholar] [CrossRef] [PubMed]
- Ferri, L.; Cavicchi, C.; Fiumara, A.; Parini, R.; Guerrini, R.; Morrone, A. Pitfalls in the detection of gross gene rearrangements using MLPA in Fabry disease. Clin. Chim. Acta 2016, 452, 82–86. [Google Scholar] [CrossRef]
- Shah, J.S.; Hughes, D.A.; Sachdev, B.; Tome, M.; Ward, D.; Lee, P.; Mehta, A.B.; Elliott, P.M. Prevalence and Clinical Significance of Cardiac Arrhythmia in Anderson-Fabry Disease. Am. J. Cardiol. 2005, 96, 842–846. [Google Scholar] [CrossRef] [PubMed]
- Niemann, M.; Herrmann, S.; Hu, K.; Breunig, F.; Strotmann, J.; Beer, M.; Machann, W.; Voelker, W.; Ertl, G.; Wanner, C.; et al. Differences in Fabry Cardiomyopathy Between Female and Male Patients. JACC Cardiovasc. Imaging 2011, 4, 592–601. [Google Scholar] [CrossRef] [PubMed]
- Acharya, D.; Robertson, P.; Neal Kay, G.; Jackson, L.; Warnock, D.G.; Plumb, V.J.; Tallaj, J.A. Arrhythmias in Fabry Cardiomyopathy. Clin. Cardiol. 2012, 35, 738–740. [Google Scholar] [CrossRef]
- Zipes, D.P.; Camm, A.J.; Borggrefe, M.; Buxton, A.E.; Chaitman, B.; Fromer, M.; Gregoratos, G.; Klein, G.; Myerburg, R.J.; Quinones, M.A.; et al. ACC/AHA/ESC 2006 Guidelines for Management of Patients with Ventricular Arrhythmias and the Prevention of Sudden Cardiac Death. J. Am. Coll. Cardiol. 2006, 48, e247–e346. [Google Scholar] [CrossRef]
- Rombach, S.M.; Smid, B.E.; Linthorst, G.E.; Dijkgraaf, M.G.W.; Hollak, C.E.M. Natural course of Fabry disease and the effectiveness of enzyme replacement therapy: A systematic review and meta-analysis: Effectiveness of ERT in different disease stages. J. Inherit. Metab. Dis. 2014, 37, 341–352. [Google Scholar] [CrossRef]
- El Dib, R.; Gomaa, H.; Carvalho, R.P.; Camargo, S.E.; Bazan, R.; Barretti, P.; Barreto, F.C. Enzyme replacement therapy for Anderson-Fabry disease. Cochrane Database Syst. Rev. 2016. [Google Scholar] [CrossRef] [PubMed]
- Terryn, W.; Deschoenmakere, G.; De Keyser, J.; Meersseman, W.; Van Biesen, W.; Wuyts, B.; Hemelsoet, D.; Pascale, H.; De Backer, J.; De Paepe, A.; et al. Prevalence of Fabry disease in a predominantly hypertensive population with left ventricular hypertrophy. Int. J. Cardiol. 2013, 167, 2555–2560. [Google Scholar] [CrossRef] [PubMed]
- Svensson, C.K.; Feldt-Rasmussen, U.; Backer, V. Fabry disease, respiratory symptoms, and airway limitation—A systematic review. Eur. Clin. Respir. J. 2015, 2, 26721. [Google Scholar] [CrossRef]
- Kidney Disease Outcomes Quality Initiative KDOQI. Clinical Practice Guidelines and Clinical Practice Recommendations for Diabetes and Chronic Kidney Disease. Am. J. Kidney Dis. 2007, 49, S12–S154. [Google Scholar] [CrossRef]
- Wüthrich, R.P.; Weinreich, T.; Binswanger, U.; Gloor, H.J.; Candinas, D.; Hailemariam, S. Should living related kidney transplantation be considered for patients with renal failure due to Fabry’s disease? Nephrol. Dial. Transplant. 1998, 13, 2934–2936. [Google Scholar] [CrossRef][Green Version]
- Najafian, B.; Svarstad, E.; Bostad, L.; Gubler, M.-C.; Tøndel, C.; Whitley, C.; Mauer, M. Progressive podocyte injury and globotriaosylceramide (GL-3) accumulation in young patients with Fabry disease. Kidney Int. 2011, 79, 663–670. [Google Scholar] [CrossRef] [PubMed]
- Tøndel, C.; Kanai, T.; Larsen, K.K.; Ito, S.; Politei, J.M.; Warnock, D.G.; Svarstad, E. Foot Process Effacement Is an Early Marker of Nephropathy in Young Classic Fabry Patients without Albuminuria. Nephron 2015, 129, 16–21. [Google Scholar] [CrossRef] [PubMed]
- Hughes, D.A.; Elliott, P.M.; Shah, J.; Zuckerman, J.; Coghlan, G.; Brookes, J.; Mehta, A.B. Effects of enzyme replacement therapy on the cardiomyopathy of Anderson Fabry disease: A randomised, double-blind, placebo-controlled clinical trial of agalsidase alfa. Heart 2008, 94, 153–158. [Google Scholar] [CrossRef] [PubMed]
- Weidemann, F.; Niemann, M.; Breunig, F.; Herrmann, S.; Beer, M.; Störk, S.; Voelker, W.; Ertl, G.; Wanner, C.; Strotmann, J. Long-Term Effects of Enzyme Replacement Therapy on Fabry Cardiomyopathy: Evidence for a Better Outcome with Early Treatment. Circulation 2009, 119, 524–529. [Google Scholar] [CrossRef]
- Germain, D.P.; Weidemann, F.; Abiose, A.; Patel, M.R.; Cizmarik, M.; Cole, J.A.; Beitner-Johnson, D.; Benistan, K.; Cabrera, G.; Charrow, J.; et al. Analysis of left ventricular mass in untreated men and in men treated with agalsidase-β: Data from the Fabry Registry. Genet. Med. 2013, 15, 958–965. [Google Scholar] [CrossRef]
- Weidemann, F.; Niemann, M.; Störk, S.; Breunig, F.; Beer, M.; Sommer, C.; Herrmann, S.; Ertl, G.; Wanner, C. Long-term outcome of enzyme-replacement therapy in advanced Fabry disease: Evidence for disease progression towards serious complications. J. Intern. Med. 2013, 274, 331–341. [Google Scholar] [CrossRef]



| Subject | Age of Diagnosis (Years) | Clinical Manifestation | p. Cys90Trp Mutation | Leukocyte α-Galactosidase A Activity (Reference ≥15.3 µmol/L/h) | † ERT |
|---|---|---|---|---|---|
| Patient | 49 | Palpitations, dyspnea and rhythm abnormalities, LVH, mild proteinuria, angiokeratoma, tinnitus, gastrointestinal abnormalities, cornea verticillata, electrical LVH | Present | Not applicable | Started |
| Patient’s mother | 70 | Palpitations, dyspnea and rhythm abnormalities, LVH, mild proteinuria | Present | Not applicable | Not investigated |
| Patient’s son 1 | 25 | Severe acroparesthesias, anhidrosis, clustered angiokeratoma on the thighs, tinnitus, abdominal pain, diarrhea, cornea verticillata, depression | Present | 0.8 (limit of detection) µmol/L/h | Started |
| Patient’s son 2 | 28 | Unremarkable | Not present | ≥15.3 µmol/L/h | Not investigated |
© 2019 by the authors. Licensee MDPI, Basel, Switzerland. This article is an open access article distributed under the terms and conditions of the Creative Commons Attribution (CC BY) license (http://creativecommons.org/licenses/by/4.0/).
Share and Cite
Čerkauskaitė, A.; Čerkauskienė, R.; Miglinas, M.; Laurinavičius, A.; Ding, C.; Rolfs, A.; Vencevičienė, L.; Barysienė, J.; Kazėnaitė, E.; Sadauskienė, E. Genotype–Phenotype Correlation in a New Fabry-Disease-Causing Mutation. Medicina 2019, 55, 122. https://doi.org/10.3390/medicina55050122
Čerkauskaitė A, Čerkauskienė R, Miglinas M, Laurinavičius A, Ding C, Rolfs A, Vencevičienė L, Barysienė J, Kazėnaitė E, Sadauskienė E. Genotype–Phenotype Correlation in a New Fabry-Disease-Causing Mutation. Medicina. 2019; 55(5):122. https://doi.org/10.3390/medicina55050122
Chicago/Turabian StyleČerkauskaitė, Agnė, Rimantė Čerkauskienė, Marius Miglinas, Arvydas Laurinavičius, Can Ding, Arndt Rolfs, Lina Vencevičienė, Jūratė Barysienė, Edita Kazėnaitė, and Eglė Sadauskienė. 2019. "Genotype–Phenotype Correlation in a New Fabry-Disease-Causing Mutation" Medicina 55, no. 5: 122. https://doi.org/10.3390/medicina55050122
APA StyleČerkauskaitė, A., Čerkauskienė, R., Miglinas, M., Laurinavičius, A., Ding, C., Rolfs, A., Vencevičienė, L., Barysienė, J., Kazėnaitė, E., & Sadauskienė, E. (2019). Genotype–Phenotype Correlation in a New Fabry-Disease-Causing Mutation. Medicina, 55(5), 122. https://doi.org/10.3390/medicina55050122

