A Patient with GOLD Stage 3 COPD « cured » by One-Way Endobronchial Valves
Abstract
:1. Introduction
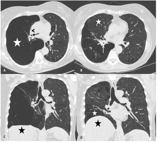
2. Case Report
3. Discussion
4. Conclusions
Author Contributions
Funding
Conflicts of Interest
References
- O’Donnell, D.E.; Banzett, R.B.; Carrieri-Kohlman, V.; Casaburi, R.; Davenport, P.W.; Gandevia, S.C.; Gelb, A.F.; Mahler, D.A.; Webb, K.A. Pathophysiology of dyspnea in chronic obstructive pulmonary disease. Proc. Am. Thorac. Soc. 2007, 4, 145–168. [Google Scholar] [CrossRef] [PubMed]
- Criner, G.J.; Cordova, F.; Sternberg, A.L.; Martinez, F.J. The national emphysema treatment trial (NETT): Part II: Lessons learned about lung volume reduction surgery. Am. J. Respir. Crit. Care Med. 2011, 184, 881–893. [Google Scholar] [CrossRef] [PubMed]
- National Emphysema Treatment Trial Research Group. Patients at high risk of death after lung-volume-reduction surgery. N. Engl. J. Med. 2001, 345, 1075–1083. [Google Scholar] [CrossRef] [PubMed]
- Sciurba, F.C.; Ernst, A.; Herth, F.J.F.; Strange, C.; Criner, G.J.; Marquette, C.H.; Kovitz, K.L.; Chiacchierini, R.P.; Goldin, J.; McLennan, G. A randomized study of endobronchial valves for advanced emphysema. New Engl. J. Med. 2010, 363, 1233–1244. [Google Scholar] [CrossRef] [PubMed]
- Herth, F.J.; Eberhard, R.; Gompelmann, D.; Slebos, D.J.; Ernst, A. Bronchoscopic lung volume reduction with a dedicated coil: A clinical pilot study. Ther. Adv. Respir. Dis. 2010, 4, 225–231. [Google Scholar] [CrossRef] [PubMed]
- Snell, G.; Herth, F.J.F.; Hopkins, P.; Baker, K.M.; Witt, C.; Gotfried, M.H.; Valipour, A.; Wagner, M.; Stanzel, F.; Egan, J.J.; et al. Bronchoscopic thermal vapour ablation therapy in the management of heterogeneous emphysema. Eur. Respir. J. 2012, 39, 1326–1333. [Google Scholar] [CrossRef] [PubMed]
- Herth, F.J.F.; Gompelmann, D.; Stanzel, F.; Bonnet, R.; Behr, J.; Schmidt, B.; Magnussen, H.; Ernst, A.; Eberhardt, R. Treatment of advanced emphysema with emphysematous lung sealant (aeriseal®). Respiration 2011, 82, 36–45. [Google Scholar] [CrossRef] [PubMed]
- Davey, C.; Zoumot, Z.; Jordan, S.; McNulty, W.H.; Carr, D.H.; Hind, M.D.; Hansell, D.M.; Rubens, M.B.; Banya, W.; Polkey, M.I.; et al. Bronchoscopic lung volume reduction with endobronchial valves for patients with heterogeneous emphysema and intact interlobar fissures (the believer-hifi study): A randomised controlled trial. Lancet 2015, 386, 1066–1073. [Google Scholar] [CrossRef]
- Klooster, K.; ten Hacken, N.H.T.; Hartman, J.E.; Kerstjens, H.A.M.; van Rikxoort, E.M.; Slebos, D.J. Endobronchial valves for emphysema without interlobar collateral ventilation. New Engl. J. Med. 2015, 373, 2325–2335. [Google Scholar] [CrossRef]
- Valipour, A.; Slebos, D.J.; Herth, F.; Darwiche, K.; Wagner, M.; Ficker, J.H.; Petermann, C.; Hubner, R.H.; Stanzel, F.; Eberhardt, R. Endobronchial valve therapy in patients with homogeneous emphysema. Results from the impact study. Am. J. Respir. Crit. Care Med. 2016, 194, 1073–1082. [Google Scholar] [CrossRef]
- Kemp, S.V.; Slebos, D.-J.; Kirk, A.; Kornaszewska, M.; Carron, K.; Ek, L.; Broman, G.; Hillerdal, G.; Mal, H.; Pison, C.; et al. A multicenter randomized controlled trial of zephyr endobronchial valve treatment in heterogeneous emphysema (transform). Am. J. Respir. Crit. Care Med. 2017, 196, 1535–1543. [Google Scholar] [CrossRef] [PubMed]
- Criner, G.J.; Sue, R.; Wright, S.; Dransfield, M.; Rivas-Perez, H.; Wiese, T.; Sciurba, F.C.; Shah, P.L.; Wahidi, M.M.; de Oliveira, H.G.; et al. A multicenter randomized controlled trial of zephyr endobronchial valve treatment in heterogeneous emphysema (liberate). Am. J. Respir. Crit. Care Med. 2018, 198, 1151–1164. [Google Scholar] [CrossRef] [PubMed]
- Klooster, K.; Hartman, J.E.; Hacken, N.H.T.T.; Slebos, D.-J. Improved predictors of survival after endobronchial valve treatment in patients with severe emphysema. Am. J. Respir. Crit. Care Med. 2017, 195, 1272–1274. [Google Scholar] [CrossRef] [PubMed]
- Vestbo, J.; Hurd, S.S.; Agustí, A.G.; Jones, P.W.; Vogelmeier, C.; Anzueto, A.; Barnes, P.J.; Fabbri, L.M.; Martinez, F.J.; Nishimura, M.; et al. Global strategy for the diagnosis, management, and prevention of chronic obstructive pulmonary disease. Am. J. Respir. Crit. Care Med. 2013, 187, 347–365. [Google Scholar] [CrossRef] [PubMed]
- Herth, F.J.F.; Eberhardt, R.; Gompelmann, D.; Ficker, J.H.; Wagner, M.; Ek, L.; Schmidt, B.; Slebos, D.J. Radiological and clinical outcomes of using chartisTM to plan endobronchial valve treatment. Eur. Respir. J. 2013, 41, 302–308. [Google Scholar] [CrossRef]
- Gompelmann, D.; Hofbauer, T.; Gerovasili, V.; Eberhardt, R.; Lim, H.; Herth, F.; Heussel, C. Predictors of clinical outcome in emphysema patients with atelectasis following endoscopic valve therapy: A retrospective study. Respirology 2016, 21, 1255–1261. [Google Scholar] [CrossRef]
- Gompelmann, D.; Herth, F.J.F.; Slebos, D.J.; Valipour, A.; Ernst, A.; Criner, G.J.; Eberhardt, R. Pneumothorax following endobronchial valve therapy and its impact on clinical outcomes in severe emphysema. Respiration 2014, 87, 485–491. [Google Scholar] [CrossRef]
- Marchand, E.; Gayan-Ramirez, G.; De Leyn, P.; Decramer, M. Physiological basis of improvement after lung volume reduction surgery for severe emphysema: Where are we? Eur. Respir. J 1999, 13, 686–696. [Google Scholar] [CrossRef]
- Fessler, H.E.; Permutt, S. Lung volume reduction surgery and airflow limitation. Am. J. Respir. Crit. Care Med. 1998, 157, 715–722. [Google Scholar] [CrossRef]
- Fessler, H.E.; Scharf, S.M.; Permutt, S. Improvement in spirometry following lung volume reduction surgery: Application of a physiologic model. Am. J. Respir. Crit. Care Med. 2002, 165, 34–40. [Google Scholar] [CrossRef]
- Marchand, E.; De Leyn, P.; Gayan-Ramirez, G.; Palecek, F.; Verbeken, E.; Decramer, M. Effects of lung volume reduction surgery in hamsters with elastase-induced emphysema. Eur. Respir. J. 2002, 19, 422–428. [Google Scholar] [CrossRef] [PubMed]
- Hunsaker, A.; Ingenito, E.; Topal, U.; Pugatch, R.; Reilly, J. Preoperative screening for lung volume reduction surgery: Usefulness of combining thin-section CT with physiologic assessment. AJR 1998, 170, 309–314. [Google Scholar] [CrossRef] [PubMed]
- Rogers, R.M.; Coxson, H.O.; Sciurba, F.C.; Keenan, R.J.; Whittall, K.P.; Hogg, J.C. Preoperative severity of emphysema predictive of improvement after lung volume reduction surgery: Use of CT morphometry. Chest 2000, 118, 1240–1247. [Google Scholar] [CrossRef] [PubMed]
- Wisser, W.; Senbaklavaci, O.; Ozpeker, C.; Ploner, M.; Wanke, T.; Tschernko, E.; Wolner, E.; Klepetko, W. Is long-term functional outcome after lung volume reduction surgery predictable? Eur. J. Cardiothorac. Surg. 2000, 17, 666–672. [Google Scholar] [CrossRef]
- Flaherty, K.R.; Kazerooni, E.A.; Curtis, J.L.; Iannettoni, M.; Lange, L.; Schork, M.A.; Martinez, F.J. Short-term and long-term outcomes after bilateral lung volume reduction surgery: Prediction by quantitative CT. Chest 2001, 119, 1337–1346. [Google Scholar] [CrossRef]
- Bloch, K.E.; Weder, W.; Bachmann, L.M.; Russi, E.W. Model-based versus clinical prediction of the spirometric response to lung volume reduction surgery. Respiration 2004, 71, 611–618. [Google Scholar] [CrossRef] [PubMed]
- Hamnegård, C.H.; Polkey, M.I.; Thylen, A.; Nilsson, F.; Schersten, H.; Bake, B. Effect of lung volume reduction surgery for emphysema on diaphragm function. Respir. Physiol. Neurobiol. 2006, 150, 182–190. [Google Scholar] [CrossRef]
- Washko, G.R.; Martinez, F.J.; Hoffman, E.A.; Loring, S.H.; Estepar, R.S.J.; Diaz, A.A.; Sciurba, F.C.; Silverman, E.K.; Han, M.K.; DeCamp, M.; et al. Physiological and computed tomographic predictors of outcome from lung volume reduction surgery. Am. J. Respir. Crit. Care Med. 2010, 181, 494–500. [Google Scholar] [CrossRef]
- Herth, F.J.F.; Noppen, M.; Valipour, A.; Leroy, S.; Vergnon, J.M.; Ficker, J.H.; Egan, J.J.; Gasparini, S.; Agusti, C.; Holmes-Higgin, D.; et al. Efficacy predictors of lung volume reduction with zephyr valves in a european cohort. Eur. Respir. J. 2012, 39, 1334–1342. [Google Scholar] [CrossRef]

| Before PR | After PR | 1 Month Post-EBV | 4 Months Post-EBV | 3 Years Post-EBV | |
|---|---|---|---|---|---|
| Post-BD FEV1, L (% pred) | 0.89 (45) * | 0.85 (42) | 1.67 (83) | 1.62 (82) | 1.56 (82) |
| Post-BD FVC, L (% pred) | 1.36 (57) * | 1.31 (54) | 2.40 (99) | 2.24 (94) | 2.22 (96) |
| Post-BD FEV1/FVC | 0.65* | 0.65 | 0.70 | 0.72 | 0.70 |
| RV, L (% pred) | 5.60 (280) | 5.19 (257) | 3.36 (166) | 3.47 (172) | 4.10 (199) |
| TLC, L (% pred) | 7.16 (150) | 6.75 (141) | 5.84 (121) | 6.20 (130) | 6.47 (137) |
| RV/TLC | 0.78 | 0.77 | 0.57 | 0.56 | 0.63 |
| DL, CO (% pred) | 62 | 52 | 65 | 89 | 59 |
| 6 min walk distance (m) | 342 | 340 | 399 | 428 | 412 |
| CAT Score | 27 | 23 | 10 | 9 | 12 |
| Dyspnoea mMRC score | 2–3 | 2 | 1 | 1 | 1 |
| BODE index | 4–5 | 4 | 0 | 0 | 0 |
© 2019 by the authors. Licensee MDPI, Basel, Switzerland. This article is an open access article distributed under the terms and conditions of the Creative Commons Attribution (CC BY) license (http://creativecommons.org/licenses/by/4.0/).
Share and Cite
Marchand, E.; d'Odemont, J.-P.; Dupont, M.V. A Patient with GOLD Stage 3 COPD « cured » by One-Way Endobronchial Valves. Medicina 2019, 55, 65. https://doi.org/10.3390/medicina55030065
Marchand E, d'Odemont J-P, Dupont MV. A Patient with GOLD Stage 3 COPD « cured » by One-Way Endobronchial Valves. Medicina. 2019; 55(3):65. https://doi.org/10.3390/medicina55030065
Chicago/Turabian StyleMarchand, Eric, Jean-Paul d'Odemont, and Michael V Dupont. 2019. "A Patient with GOLD Stage 3 COPD « cured » by One-Way Endobronchial Valves" Medicina 55, no. 3: 65. https://doi.org/10.3390/medicina55030065
APA StyleMarchand, E., d'Odemont, J.-P., & Dupont, M. V. (2019). A Patient with GOLD Stage 3 COPD « cured » by One-Way Endobronchial Valves. Medicina, 55(3), 65. https://doi.org/10.3390/medicina55030065

