Next Article in Journal
Mechanical function of left atrium and pulmonary vein sleeves before and after their antrum isolation
Previous Article in Journal
Scaffold design for artificial tissue with bone marrow stem cells
 
 
Medicina is published by MDPI from Volume 54 Issue 1 (2018). Previous articles were published by another publisher in Open Access under a CC-BY (or CC-BY-NC-ND) licence, and they are hosted by MDPI on mdpi.com as a courtesy and upon agreement with Elsevier.
Font Type:
Arial Georgia Verdana
Font Size:
Aa Aa Aa
Line Spacing:
Column Width:
Background:
Article

Syphilitic coronary artery ostial stenosis resulting in acute myocardial infarction

by
Rūta Žvirblytė
1,*,
Eglė Ereminienė
1,
Aistė Montvilaitė
2,
Antanas Jankauskas
3 and
Vytenis Ivanauskas
4
1
Department of Cardiology, Medical Academy, Lithuanian University of Health Sciences, Kaunas, Lithuania
2
Faculty of Medicine, Medical Academy, Lithuanian University of Health Sciences, Kaunas, Lithuania
3
Department of Radiology, Medical Academy, Lithuanian University of Health Sciences, Kaunas, Lithuania
4
Department of Cardiac, Thoracic and Vascular Surgery, Medical Academy, Lithuanian University of Health Sciences, Kaunas, Lithuania
*
Author to whom correspondence should be addressed.
Medicina 2017, 53(3), 211-216; https://doi.org/10.1016/j.medici.2017.06.001
Submission received: 29 December 2016 / Revised: 12 April 2017 / Accepted: 8 June 2017 / Published: 20 June 2017

Abstract

:
Cardiovascular abnormalities are well-known manifestations of a late form of syphilis – tertiary syphilis. Since the era of antibiotics, the incidence of late manifestations of syphilis has declined almost to a rare entity. The injury of aorta (the aortitis with a dilatation of aortic root and its associated complications) is the most common between all the cardiovascular lesions. A less common manifestation of syphilitic aortitis is coronary artery ostial narrowing related to aortic wall thickening. We present the case of a 37-year-old male who was treated for an acute myocardial infarction due to bilateral coronary artery ostial stenosis secondary to syphilitic aortitis. According to the multidisciplinary decision, surgical revascularization (coronary artery bypass grafting, CABG) was performed. According to dermatologist recommendation, patient postoperative cardiovascular treatment was supplemented with intramuscular doses of benzathine penicillin recommended for tertiary syphilis. Further follow-up visits were also planned to detect possible changes of the aortic wall, dynamics of aortic regurgitation or potential anastomotic restenosis due to progression of aortitis.

1. Introduction

Syphilis is mainly sexually transmitted infection that may present with a variety of symptoms at various stages. In recent decades the incidence of late form of syphilis has declined owing to the early recognition of the disease and the sensitivity of the pathogen to antibiotics. Cardiovascular manifestation of tertiary syphilis predominantly involves the root of aorta, leading to the formation of aneurysm and aortic valve insufficiency [1]. In rare cases syphilitic aortitis can cause coronary artery ostial narrowing related to aortic wall thickening [2]. We present the case of a young male treated for an acute myocardial infarction with ST-segment elevation due to severe bilateral coronary ostial stenosis induced by syphilitic aortitis.

2. Case presentation

2.1. Clinical presentation

An unemployed 37-year-old patient without previous medical history was admitted to the emergency department due to acute severe chest pain, shortness of breath and numbness of both hands. The patient complained of having exertional chest pain few times in a day for 1.5 months. These episodes were short and relatively not intense, so he did not visit any doctor and did not undergo any diagnostic procedures. The patient denied other comorbidities, usage of any drugs or previous cardiovascular diseases in his family. He was a long-term smoker, but had no other risk factors for coronary artery disease. Despite the adequate conservative treatment in the Department of General Internal medicine of regional hospital, chest pain lasted for 3 days and the level of troponin was increasing from 1.17 to 1.9 µg/mL (reference value, <0.04 µg/mL). Due to suspected acute coronary syndrome, the patient was transferred to the Cardiology Intensive Care Unit for coronary angiography and interventional treatment.
During the first physical examination, general condition of the patient was stable. The heart rhythm was regular with 76 beats/min. The blood pressure was 118/70 mmHg. Cardiac auscultation revealed gentle diastolic murmur, predominantly in the aortic area. Breathing sounds were clear. No other objective significant changes were found during physical examination.

2.2. Diagnostic tests

Total blood count, creatinine level, electrolytes, glycaemia, and coagulation parameters were within reference limits. Mild dyslipidemia was found (total cholesterol, 4.36 mmol/L; low-density cholesterol lipoprotein cholesterol (LDL-C), 2.6 mmol/ L; high-density lipoprotein cholesterol (HDL-C), 1.22 mmol/L; triglyceride, 1.63 mmol/L; atherogenic coefficient, 2.57).
The electrocardiogram (ECG) showed sinus rhythm, slight ST-segment elevation in III, aVF, V1–V2 leads, ST-segment depression in aVL, V4–V6 leads and negative T waves in aVL lead (Fig. 1).
Chest X-ray showed an increased size of the heart and elongated aorta without lung infiltration or venostasis.
2D echocardiography revealed evidence of mildly dilatated proximal part of ascending aorta (43 mm) with a moderate regurgitation of aortic valve. The thickness of aortic walls was noted as a marker of inflammatory process. LV systolic function was normal (EF, 55%) with concentric LV remodeling (Fig. 2).
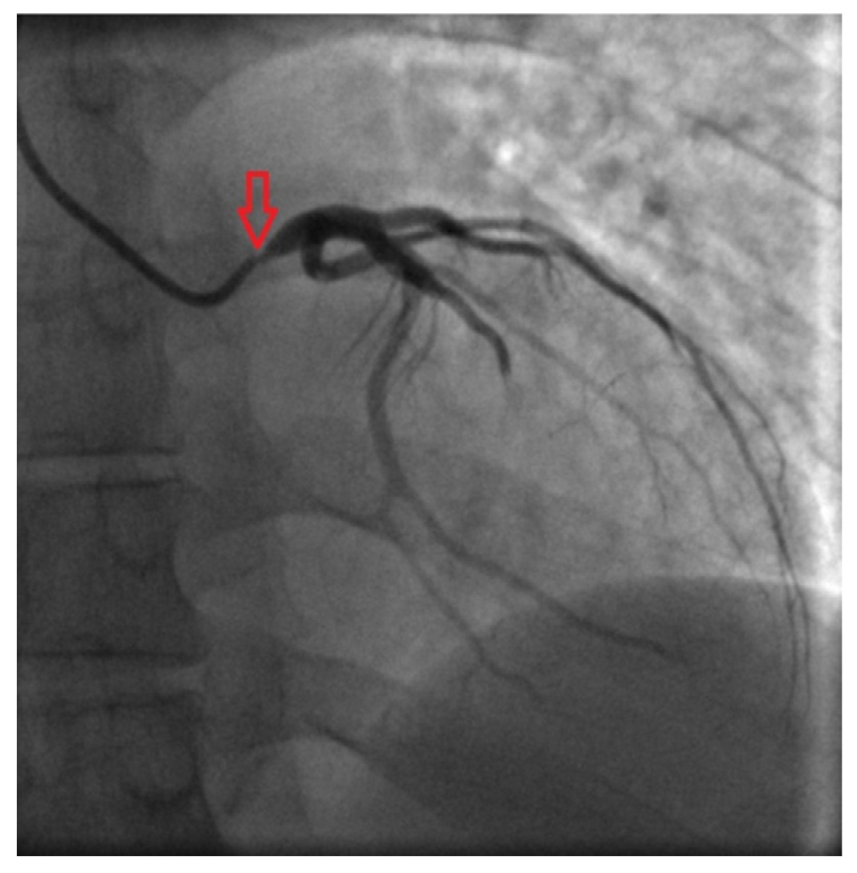
Coronary angiography clarified causes of chest pain: subocclusions of right and left main coronary arteries were found (Fig. 3 and Fig. 4).

2.3. Treatment

Clinical data, echocardiography and angiography results were evaluated by the heart team. The options of different revascularization strategies and optimal medical therapy were discussed. According to the multidisciplinary decision, surgical revascularization (coronary artery bypass grafting, CABG) was chosen. The best results of PCI are observed when it is performed during the first 12 h from the onset of symptoms [3]. Because of late presentation to the hospital (especially delayed arrival to the center of invasive and interventional cardiology) surgical management (CABG) was chosen as a better option. Moreover, due to severe lesions in few segments of coronary arteries, ad hoc revascularization was not performed, so there also was a delay between coronary angiography and surgical treatment.
Surgical approach was performed through median-thora-cotomy, followed by cannulation of the aorta, superior and inferior vena cava, clamping of the ascending aorta (for 31 min). Infusion of the cardioplegic solution to the coronary ostia was initiated. The left internal thoracic artery was diverted to the proximal part of the left anterior descending artery and the right internal thoracic artery was diverted to the proximal part of the right coronary artery (RCA).
Because of the thickened aortic walls, dilated ascending aorta and severe ostial stenoses of both coronary arteries (observed during surgery) in a relatively young age, the patient was investigated for possible causes of aortitis. During early postoperative period the diagnostic tests for systemic auto-immune diseases and syphilis were done. The result of RF was negative, ANA, ANCA were not specific. But the patient tested positive for syphilitic serological tests: treponemal pallidum particle agglutination (TPHA 4+) and a rapid plasma reagin (RPR) test (titer 1:16).
Serologic studies revealed the presence of syphilitic infection [4], confirming the clinical suspicion of syphilitic aortitis and coronary arteries ostial stenosis secondary to it.
During a detailed anamnesis it was sorted out that 7 years ago after accidental sexual intercourse patient noticed a small ulcer on his genitalia which disappeared spontaneously by itself.
For evaluation of other possible tertiary syphilis mani-festations (like neurosyphilis) the patient was admitted to the Department of Dermatovenerology after the period of cardiac rehabilitation. The cerebral CT and lumbar puncture for the assessment of cerebrospinal fluid were performed, but the results did not reveal any signs of neurosyphilis. Despite the fact that most experts and guidelines no longer recommend routine lumbar puncture to all patients with syphilis (it is only indicated for patients with neurological symptoms or signs of neurosyphilis) [4], it was carried out in this case, because tertiary syphilis caused severe and significant asymptomatic cardiovascular damage, so asymptomatic neurological disorders were possible as well.
Moreover, aortic magnetic resonance imaging (MRI) was performed to measure diameters of entire thoracic aorta and for the assessment of aortic wall morphology. Thickened walls (3–3.6 mm) of the ascending and descending parts of aorta were noted. Subsequent parameters of thoracic aorta were obtained: aortic annulus, 22 mm (3-chamber view); aortic sinuses, 35 mm (3-chamber view); ascending aorta in the proximal and middle, 1/3 40 mm; distal, 1/3 39 mm; aortic arch in the T1 segment, 33 mm; T2 segment, 28 mm; and descending aorta, 25 mm (Fig. 5).
According to dermatologist recommendation, patient postoperative cardiovascular treatment was supplemented with intramuscular doses of benzathine penicillin recommended for tertiary syphilis (7.2 million units total, administered as 3 doses of 2.4 million units i/m each at 1-week intervals) [5].
Two months after the surgery patient visited a cardiologist. During the follow-up visit we performed ECG and 2D echocardiography, which revealed normal left ventricle systolic function (EF 55%) and the same moderate aortic regurgitation. Further follow-up visits were also planned to detect possible changes of the aortic wall, dynamics of aortic regurgitation or potential anastomotic restenosis due to progression of aortitis.

3. Discussion

In adult patients with coronary ostial or proximal part of coronary artery stenosis it is difficult to rule out acquired causes, which can be morphologically similar even to congenital coronary ostial stenosis or atresia [6]. Coronary ostial stenosis in normal coronary vessels may occur in patients with various spectrum of disease like atherosclerotic, syphilitic aortitis, Takayasu, Kawasaki disease and even iatrogenic stenosis as a complication of coronary angiography or cardiac surgery. Its incidence is varied between 0.13% and 2.7% of coronary heart disease [7].
Syphilitic cardiovascular disease occurs more frequently than it is recognized clinically [8]. It is an infectious disease occurring in sequential stages, remaining latent for several decades. In about 30% of untreated patients, tertiary syphilis manifests between 10 and 30 years after the primary infection [8]. A study on 100 clinicopathological necropsy exams showed that syphilitic aortitis was clinically diagnosed in only 17% of patients [2]. Although syphilitic aortitis has declined due to the efficacy of antibiotic therapy and public health awareness, cases of cardiovascular syphilis are still present. Clinically syphilitic aortitis causes various complications, such as asymptomatic aortitis, aortic regurgitation, aortic aneurysm, coronary ostial stenosis and gummatous myocarditis [7].
The diagnosis of syphilitic aortitis must always be considered in young patients without cardiovascular risk factors, with aortic regurgitation and dilatation of the ascending aorta and ostial coronary lesions without other distal lesions on coronary arteries [2].
In unusual cases, syphilitic aortitis might be complicated with acute coronary syndrome. In this case the patient presented with acute myocardial infarction without previous history of cardiovascular disease and absence of multiple risk factors for ischemic heart disease. For such patients it is essential to differentiate comprehensively and find the causative factor.
Coronary artery ostial stenosis secondary to syphilitic aortitis can be corrected by CABG like in the case of our patient. On the other hand, the manifestation of acute coronary syndrome with ST-segment elevation requires an emergency approach as the primary percutaneous coronary intervention (PCI). Even though the admission of the patient was after the first 12 h from the onset of symptoms (which is a key aspect in ST-segment elevation myocardial infarction (STEMI) protocol for undergoing primary PCI), according to the 2014 European guidelines on myocardial revascularization, primary PCI is indicated in patients with STEMI in the presence of continuing ischemia, life-threatening arrhythmias or if pain and ECG changes have been stuttering (class of recommendation I, level of evidence C) [3]. PCI with stenting can be a safe and effective alternative to CABG in the case of these nonatherosclerotic lesions [9].
According to Predescu et al. [2], who described the case of a 36-year-old man admitted to the hospital for acute anterior ST-segment elevation myocardial infarction due to severe ostial left main coronary artery stenosis secondary to syphilitic aortitis, PCI can be a safe and effective intervention in this subgroup of patients.
However, follow-up of the patients after both treatment approaches is mandatory as a result of potential anastomotic restenosis or in-stent restenosis caused by continuous infection of the ascending aorta. There are no comparative studies of PCI versus CABG in patients with syphilitic aortitis and ostial coronary lesions [2].
The main point is to treat the causative disease – tertiary syphilis. The revascularization in such conditions as acute coronary syndrome is mandatory and life-saving, but antibiotic therapy should be given at the earliest possible time for pathogenetic treatment and prevention of new possible lesions to coronary arteries and aorta.

4. Conlusion

This case of a young patient with acute coronary syndrome due to severe bilateral coronary ostial stenoses induced by syphilitic aortitis highlights the rare etiology of coronary artery lesions and reminds that tertiary syphilis can nowadays still be present. The decision of the heart team on the revascularization strategy could be debatable in the case of delayed, subacute coronary syndrome to perform CABG instead of PCI.
Physicians should always include syphilitic aortitis to the differential diagnosis of similar cases, because the pathogenetic treatment prevents the progression of the disease. Strict and close life-long follow-up is indicated to detect continuous dilatation of ascending aorta, to assess the severity of aortic regurgitation.

Conflict of interest

We have nothing to declare.

References

  1. Carrada-Bravo T. Cardiovascular syphilis: diagnosis, treatment. Archivos de Cardiología de México 2006;76(4): 189–96.
  2. Predescu LM, Zarma L, Platon P, Postu M, Bucsa A, Croitoru M, et al. ST segment elevation myocardial infarction due to severe ostial left main stem stenosis in a patient with syphilitic aortitis. Rom J Int Med 2016;54(1):74–9.
  3. Windecker S, Kolh P, Alfonso F, Collet J-Ph, Cremer J, Falk V, et al. 2014 ESC/EACTS guidelines on myocardial revascularization: the task force on myocardial revascularization of the European Society of Cardiology (ESC) and the European Association for Cardio-Thoracic Surgery (EACTS) developed with the special contribution of the European Association of Percutaneous Cardiovascular Interventions (EAPCI). Eur Heart J 2014;35:2541–619.
  4. Morshed MG, Singh AE. Recent trends in the serologic diagnosis of syphilis. Clin Vac Immunol 2015;22(2):137–47.
  5. Workowski KA, Bolan AG. 2015 Sexually transmitted diseases treatment guidelines. Morb Mort Wkly Rep 2015;64.
  6. Angelini P. Congenital coronary artery ostial disease: a spectrum of anatomic variants with different pathophysiologies and prognoses. Texas Heart Inst J 2012;39 (1):55–9.
  7. Aizawa H, Hasegawa A, Arai M, Naganuma F, Hatori M, Kanda T, et al. Coronary ostial stenosis and aortic regurgitation due to syphilitic aortitis. Int Med 1998;37:56–9.
  8. Nakazone MA, Machado MN, Barbosa RB, Santos MA, Maia LN. Syphilitic coronary artery ostial stenosis resulting in acute myocardial infarction treated by percutaneous coronary intervention. Case Rep Med 2010.
  9. Shankarappa RK, Moorthy N, Panneerselvam A, Karur S, Dwarakaprasada R, Nanjappa MCh. Bilateral coronary ostial lesions in cardiovascular syphilis treated by means of percutaneous coronary stenting. Texas Heart Inst J 2013;40 (5):630–2.
Fig. 1. - ECG with slight ST-segment elevation in III, aVF, V1–V2 leads, ST-segment depression in aVL, V4–V6 leads and negative T waves in aVL lead.
Fig. 1. - ECG with slight ST-segment elevation in III, aVF, V1–V2 leads, ST-segment depression in aVL, V4–V6 leads and negative T waves in aVL lead.
Medicina 53 00211 g001
Fig. 2. - Echocardiography. A, the thickness of ascending aorta wall (5.11 mm) in a parasternal long axis view; B, aortic regurgitation (6 mm vena contracta) in a parasternal long axis view; C, the pressure half-time (PHT) – 373 ms; D, moderate aortic regurgitation in an apical 3-chamber view.
Fig. 2. - Echocardiography. A, the thickness of ascending aorta wall (5.11 mm) in a parasternal long axis view; B, aortic regurgitation (6 mm vena contracta) in a parasternal long axis view; C, the pressure half-time (PHT) – 373 ms; D, moderate aortic regurgitation in an apical 3-chamber view.
Medicina 53 00211 g002
Fig. 3. - Left coronary angiogram shows critical left main coronary artery ostial stenosis.
Fig. 3. - Left coronary angiogram shows critical left main coronary artery ostial stenosis.
Medicina 53 00211 g003
Fig. 4. - Right coronary angiogram shows critical ostial stenosis.
Fig. 4. - Right coronary angiogram shows critical ostial stenosis.
Medicina 53 00211 g004
Fig. 5. - MRI views. A, a dilatation of the ascending part of the aorta in T2W FS axial view; B, a dilatation of the ascending part of the aorta in T2W FS sagittal view; C, thickened walls of the ascending and descending parts of the aorta in T1W FS axial view.
Fig. 5. - MRI views. A, a dilatation of the ascending part of the aorta in T2W FS axial view; B, a dilatation of the ascending part of the aorta in T2W FS sagittal view; C, thickened walls of the ascending and descending parts of the aorta in T1W FS axial view.
Medicina 53 00211 g005

Share and Cite

MDPI and ACS Style

Žvirblytė, R.; Ereminienė, E.; Montvilaitė, A.; Jankauskas, A.; Ivanauskas, V. Syphilitic coronary artery ostial stenosis resulting in acute myocardial infarction. Medicina 2017, 53, 211-216. https://doi.org/10.1016/j.medici.2017.06.001

AMA Style

Žvirblytė R, Ereminienė E, Montvilaitė A, Jankauskas A, Ivanauskas V. Syphilitic coronary artery ostial stenosis resulting in acute myocardial infarction. Medicina. 2017; 53(3):211-216. https://doi.org/10.1016/j.medici.2017.06.001

Chicago/Turabian Style

Žvirblytė, Rūta, Eglė Ereminienė, Aistė Montvilaitė, Antanas Jankauskas, and Vytenis Ivanauskas. 2017. "Syphilitic coronary artery ostial stenosis resulting in acute myocardial infarction" Medicina 53, no. 3: 211-216. https://doi.org/10.1016/j.medici.2017.06.001

APA Style

Žvirblytė, R., Ereminienė, E., Montvilaitė, A., Jankauskas, A., & Ivanauskas, V. (2017). Syphilitic coronary artery ostial stenosis resulting in acute myocardial infarction. Medicina, 53(3), 211-216. https://doi.org/10.1016/j.medici.2017.06.001

Article Metrics

Back to TopTop