Partial Remission Without Recurrence in a 9-Year-Old Golden Retriever with Nasal Carcinoma Treated with Prednisolone/Chlorambucil Metronomic Combination Therapy: A Case Report and Literature Review of Molecular Mechanisms
Abstract
1. Introduction
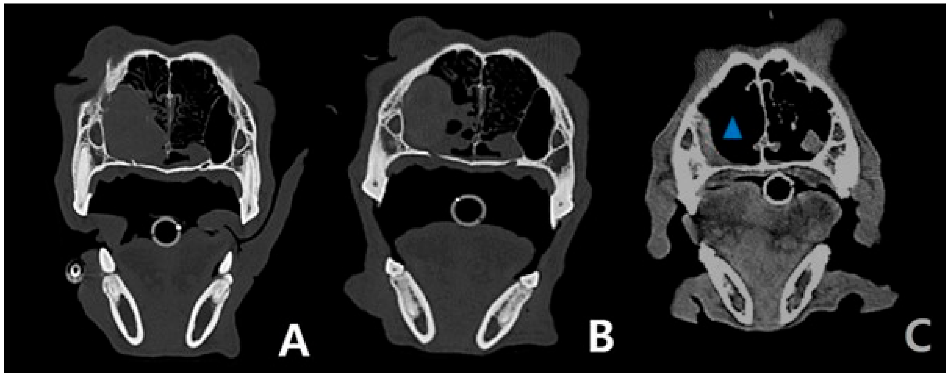
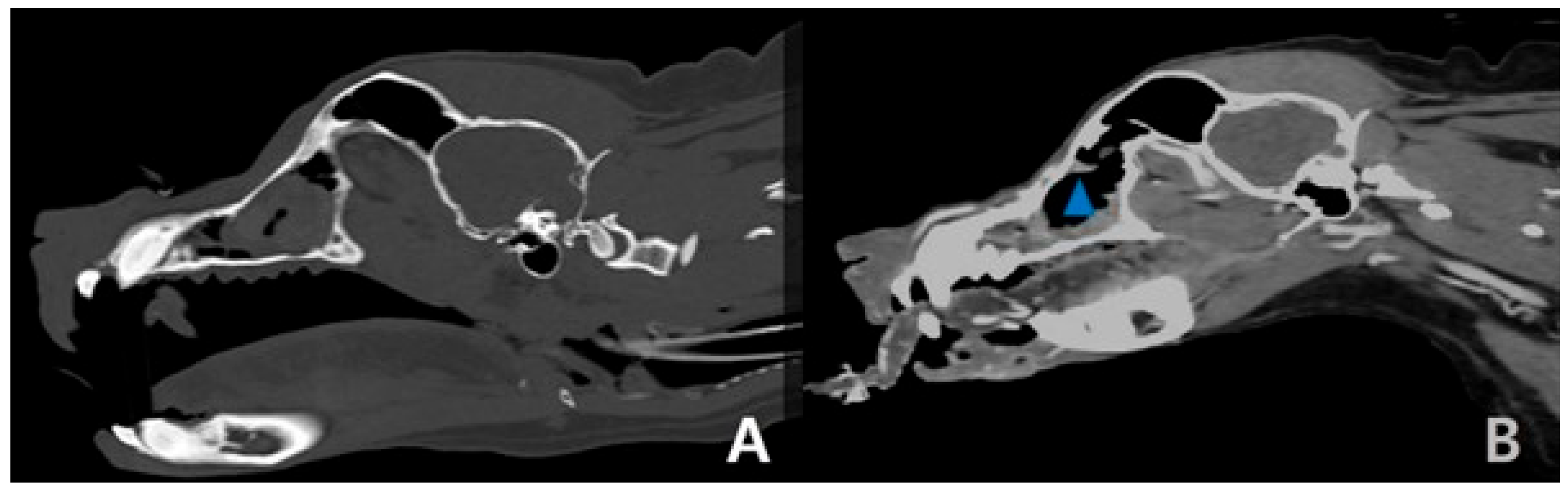
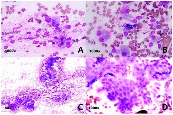
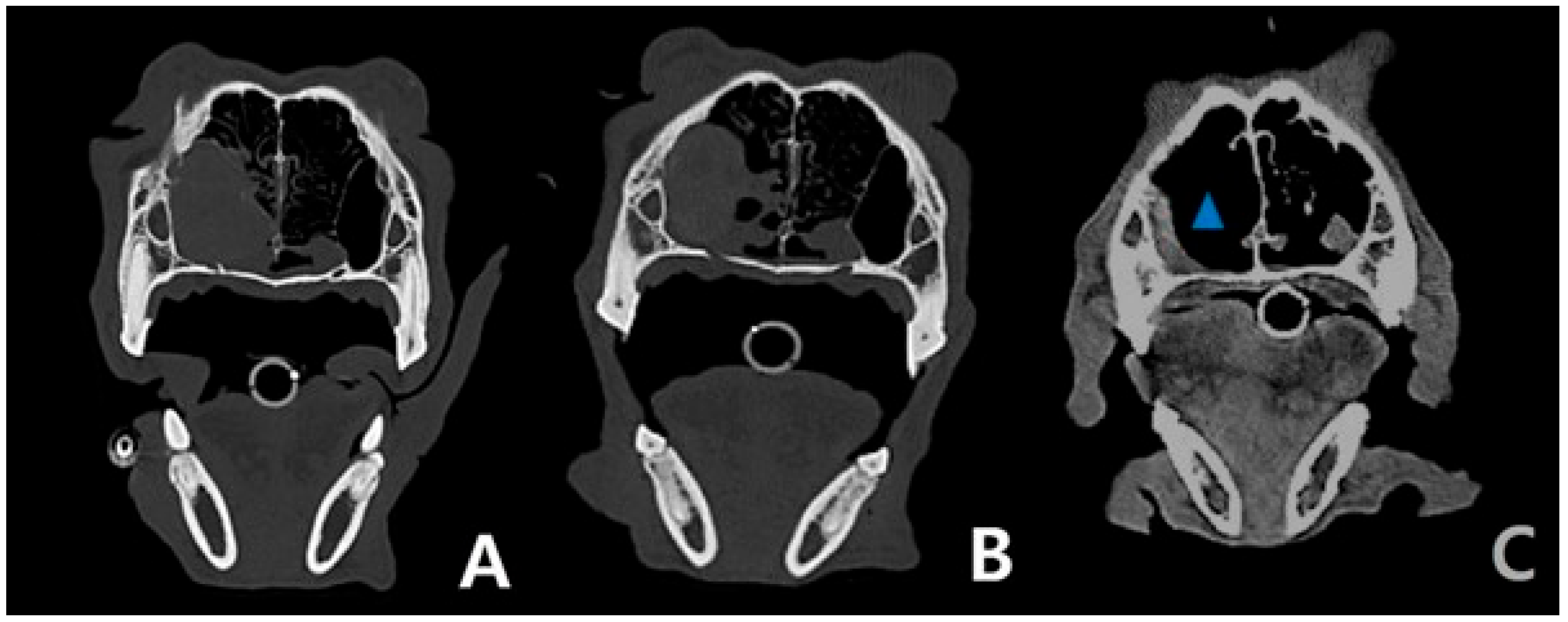
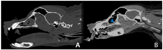
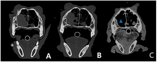
2. Case Description
3. Discussion
4. Single-Cell RNA Sequencing Analysis
5. Conclusions
Funding
Institutional Review Board Statement
Informed Consent Statement
Data Availability Statement
Conflicts of Interest
Abbreviations
| CT | Computed Tomography |
| IMT | Immune-Mediated Thrombocytopenia |
| FNA | Fine-Needle Aspiration |
| VEGF | Vascular Endothelial Growth Factor |
References
- Bottero, E.; Ferriani, R.; Pierini, A.; Mussi, E.; Ruggiero, P.; Astorina, S.; De Lorenzi, D.; Raponi, F. Palliative endoscopic debulking treatment of canine nasal carcinoma—35 cases (2016 to 2019): A retrospective multicentric study. Can. Vet. J. 2025, 66, 159–167. [Google Scholar]
- Adams, W.M.; Miller, P.E.; Vail, D.M.; Forrest, L.J.; MacEwen, E.G. An accelerated technique for irradiation of malignant canine nasal and paranasal sinus tumors. Vet. Radiol. Ultrasound 1998, 39, 475–481. [Google Scholar] [CrossRef]
- Raleigh, J.S.; Culp, W.T.; Giuffrida, M.A.; Thomson, C.; Martin, T.; Mathews, K.G.; Skinner, O.; Leonardi, A.; Bertran, J.; Selmic, L.E. Outcomes associated with local treatment of nasal planum squamous cell carcinoma in dogs: 89 cases (2003–2020). J. Am. Vet. Med. Assoc. 2025, 1, 1–8. [Google Scholar] [CrossRef] [PubMed]
- Northrup, N.C.; Etue, S.M.; Ruslander, D.M.; Rassnick, K.M.; Hutto, D.L.; Bengtson, A.; Rand, W.; Moore, A.S. Retrospective study of orthovoltage radiation therapy for nasal tumors in 42 dogs. J. Vet. Intern. Med. 2001, 15, 183–189. [Google Scholar] [CrossRef] [PubMed]
- Langova, V.; Mutsaers, A.; Phillips, B.; Straw, R. Treatment of eight dogs with nasal tumours with alternating doses of doxorubicin and carboplatin in conjunction with oral piroxicam. Aust. Vet. J. 2004, 82, 676–680. [Google Scholar] [CrossRef] [PubMed]
- Galluzzi, L.; Vacchelli, E.; Bravo-San Pedro, J.-M.; Buqué, A.; Senovilla, L.; Baracco, E.E.; Bloy, N.; Castoldi, F.; Abastado, J.-P.; Agostinis, P. Classification of current anticancer immunotherapies. Oncotarget 2014, 5, 12472. [Google Scholar] [CrossRef]
- Ciardiello, F. Epidermal growth factor receptor tyrosine kinase inhibitors as anticancer agents. Drugs 2000, 60, 25–32. [Google Scholar] [CrossRef]
- Baguley, B.C. A brief history of cancer chemotherapy. In Anticancer Drug Development; Academic Press: Cambridge, MA, USA, 2002. [Google Scholar]
- Henry, C.J.; Higginbotham, M.L. Cancer Management in Small Animal Practice-E-Book: Cancer Management in Small Animal Practice-E-Book; Elsevier Health Sciences: Amsterdam, The Netherlands, 2009. [Google Scholar]
- Pasquier, E.; Kavallaris, M.; André, N. Metronomic chemotherapy: New rationale for new directions. Nat. Rev. Clin. Oncol. 2010, 7, 455–465. [Google Scholar] [CrossRef]
- Ng, K.W.; Beatty, J.A.; Tse, M.P.; Giuliano, A. Nasal Lymphoma with Low Mitotic Index in Three Cats Treated with Chlorambucil and Prednisolone. Vet. Sci. 2022, 9, 472. [Google Scholar] [CrossRef]
- Gallagher, E.J.; Zelenko, Z.; Neel, B.; Antoniou, I.M.; Rajan, L.; Kase, N.; LeRoith, D. Elevated tumor LDLR expression accelerates LDL cholesterol-mediated breast cancer growth in mouse models of hyperlipidemia. Oncogene 2017, 36, 6462–6471. [Google Scholar] [CrossRef]
- Lee, M.-Y.; Lin, K.-D.; Hsiao, P.-J.; Shin, S.-J. The association of diabetes mellitus with liver, colon, lung, and prostate cancer is independent of hypertension, hyperlipidemia, and gout in Taiwanese patients. Metabolism 2012, 61, 242–249. [Google Scholar] [CrossRef]
- Carmeliet, P. VEGF as a key mediator of angiogenesis in cancer. Oncology 2005, 69, 4–10. [Google Scholar] [CrossRef]
- Hilger, R.; Scheulen, M.; Strumberg, D. The Ras-Raf-MEK-ERK pathway in the treatment of cancer. Oncol. Res. Treat. 2002, 25, 511–518. [Google Scholar] [CrossRef]
- Custead, M.; Weng, H.; Childress, M. Retrospective comparison of three doses of metronomic chlorambucil for tolerability and efficacy in dogs with spontaneous cancer. Vet. Comp. Oncol. 2017, 15, 808–819. [Google Scholar] [CrossRef]
- Takahashi, K.; Baba, T.; Hirokawa, M.; Miyajima, M.; Kishimoto, M.; Kimura, J.; Kondo, H.; Ohmori, K. Long-term management of a cat with nasopharyngeal lymphoma by chlorambucil. Open Vet. J. 2021, 11, 217–221. [Google Scholar] [CrossRef] [PubMed]
- Papa, M.Z.; Vetto, J.T.; Ettinghausen, S.E.; Mule, J.J.; Rosenberg, S.A. Effect of corticosteroid on the antitumor activity of lymphokine-activated killer cells and interleukin 2 in mice. Cancer Res. 1986, 46, 5618–5623. [Google Scholar] [PubMed]
- Yu, W.-b.; McElwain, M.C.; Modzelewski, R.A.; Russell, D.M.; Smith, D.C.; Trump, D.L.; Johnson, C.S. Enhancement of 1, 25-dihydroxyvitamin D3-mediated antitumor activity with dexamethasone. JNCI J. Natl. Cancer Inst. 1998, 90, 134–141. [Google Scholar] [CrossRef]
- Begleiter, A.; Mowat, M.; Israels, L.G.; Johnston, J.B. Chlorambucil in chronic lymphocytic leukemia: Mechanism of action. Leuk. Lymphoma 1996, 23, 187–201. [Google Scholar] [CrossRef]
- Takimoto, C.H.; Awada, A. Safety and anti-tumor activity of sorafenib (Nexavar®) in combination with other anti-cancer agents: A review of clinical trials. Cancer Chemother. Pharmacol. 2008, 61, 535–548. [Google Scholar] [CrossRef]
- De Jesus, M.; Mohammed, T.; Singh, M.; Tiu, J.G.; Kim, A.S. Etiology and management of dyslipidemia in patients with cancer. Front. Cardiovasc. Med. 2022, 9, 892335. [Google Scholar] [CrossRef]
- Wang, N.; Tall, A.R. Cholesterol in platelet biogenesis and activation. Blood J. Am. Soc. Hematol. 2016, 127, 1949–1953. [Google Scholar] [CrossRef]
- Krigel, R.; Liebes, L.F.; Pelle, E.; Silber, R. Chlorambucil therapy in hairy cell leukemia: Effects on lipid composition and lymphocyte subpopulations. Blood 1982, 60, 272–275. [Google Scholar] [CrossRef]
- Dai, H.; Liu, C.; Li, P.; Mai, Z.; Tan, X.; Chen, S.; Zhou, Z.; Tang, Z.; Miao, J.; Liu, L. Risk of dyslipidemia associated with VEGF/VEGFR inhibitors: A meta-analysis. Transl. Oncol. 2020, 13, 100779. [Google Scholar] [CrossRef]
- Ferrara, N. VEGF as a therapeutic target in cancer. Oncology 2005, 69, 11–16. [Google Scholar] [CrossRef]
- Özdemir, B.H.; Akcali, Z.; Haberal, M. Hypercholesterolemia impairs angiogenesis in patients with breast carcinoma and, therefore, lowers the risk of metastases. Am. J. Clin. Pathol. 2004, 122, 696–703. [Google Scholar] [CrossRef] [PubMed]
- Hokanson, J.E.; Austin, M.A.; Zambon, A.; Brunzell, J.D. Plasma triglyceride and LDL heterogeneity in familial combined hyperlipidemia. Arterioscler. Thromb. J. Vasc. Biol. 1993, 13, 427–434. [Google Scholar] [CrossRef] [PubMed]
- Cromwell, W.C.; Otvos, J.D.; Keyes, M.J.; Pencina, M.J.; Sullivan, L.; Vasan, R.S.; Wilson, P.W.; D’Agostino, R.B. LDL particle number and risk of future cardiovascular disease in the Framingham Offspring Study—implications for LDL management. J. Clin. Lipidol. 2007, 1, 583–592. [Google Scholar] [CrossRef] [PubMed]
- Pintus, G.; Tadolini, B.; Posadino, A.M.; Sanna, B.; Debidda, M.; Carru, C.; Deiana, L.; Ventura, C. PKC/Raf/MEK/ERK signaling pathway modulates native-LDL-induced E2F-1 gene expression and endothelial cell proliferation. Cardiovasc. Res. 2003, 59, 934–944. [Google Scholar] [CrossRef]
- Revilla, G.; Ruiz-Auladell, L.; Vallverdú, N.F.; Santamaría, P.; Moral, A.; Pérez, J.I.; Li, C.; Fuste, V.; Lerma, E.; Corcoy, R. Low-density lipoprotein receptor is a key driver of aggressiveness in thyroid tumor cells. Int. J. Mol. Sci. 2023, 24, 11153. [Google Scholar] [CrossRef]
- Vitols, S.; Angelin, B.; Ericsson, S.; Gahrton, G.; Juliusson, G.; Masquelier, M.; Paul, C.; Peterson, C.; Rudling, M.; Söderberg-Reid, K. Uptake of low density lipoproteins by human leukemic cells in vivo: Relation to plasma lipoprotein levels and possible relevance for selective chemotherapy. Proc. Natl. Acad. Sci. USA 1990, 87, 2598–2602. [Google Scholar] [CrossRef]
- Masquelier, M.; Lundberg, B.; Peterson, C.; Vitols, S. Cytotoxic effect of a lipophilic alkylating agent after incorporation into low density lipoprotein or emulsions: Studies in human leukemic cells. Leuk. Res. 2006, 30, 136–144. [Google Scholar] [CrossRef]
- Guan, X.; Liu, Z.; Zhao, Z.; Zhang, X.; Tao, S.; Yuan, B.; Zhang, J.; Wang, D.; Liu, Q.; Ding, Y. Emerging roles of low-density lipoprotein in the development and treatment of breast cancer. Lipids Health Dis. 2019, 18, 1–9. [Google Scholar] [CrossRef]
- Choi, K. A Pilot Study of the Total Cholesterol/High-Density Lipoprotein Ratio as a Prognostic Indicator of Hyperlipidemia-Related Diseases in Dogs and Cats. Curr. Issues Mol. Biol. 2024, 46, 12174–12182. [Google Scholar] [CrossRef]
- Sinoway, P.A.; Callen, J.P. Chlorambucil. An effective corticosteroid-sparing agent for patients with recalcitrant dermatomyositis. Arthritis Rheum. 1993, 36, 319–324. [Google Scholar] [CrossRef]
- Miserocchi, E.; Baltatzis, S.; Ekong, A.; Roque, M.; Foster, C.S. Efficacy and safety of chlorambucil in intractable noninfectious uveitis: The Massachusetts Eye and Ear Infirmary experience. Ophthalmology 2002, 109, 137–142. [Google Scholar] [CrossRef] [PubMed]
- Koler, R.D.; Forsgren, A.L. Hepatotoxicity due to chlorambucil: Report of a case. J. Am. Med. Assoc. 1958, 167, 316–317. [Google Scholar] [CrossRef] [PubMed]
- Floyd, J.; Mirza, I.; Sachs, B.; Perry, M.C. Hepatotoxicity of chemotherapy. Semin. Oncol. 2006, 33, 50–67. [Google Scholar] [CrossRef] [PubMed]
- Hoofnagle, J.H.; Davis, G.L.; Schafer, D.F.; Peters, M.; Avigan, M.I.; Pappas, S.C.; Hanson, R.G.; Minuk, G.Y.; Dusheiko, G.M.; Campbell, G. Randomized trial of chlorambucil for primary biliary cirrhosis. Gastroenterology 1986, 91, 1327–1334. [Google Scholar] [CrossRef]
- Schrempp, D.R.; Childress, M.O.; Stewart, J.C.; Leach, T.N.; Tan, K.M.; Abbo, A.H.; de Gortari, A.E.; Bonney, P.L.; Knapp, D.W. Metronomic administration of chlorambucil for treatment of dogs with urinary bladder transitional cell carcinoma. J. Am. Vet. Med. Assoc. 2013, 242, 1534–1538. [Google Scholar] [CrossRef]
- Williams, C.; Mead, G.; Macbeth, F.; Thompson, J.; Whitehouse, J.; MacDonald, H.; Harvey, V.; Slevin, M.; Lister, T.; Shepherd, J. Cisplatin combination chemotherapy versus chlorambucil in advanced ovarian carcinoma: Mature results of a randomized trial. J. Clin. Oncol. 1985, 3, 1455–1462. [Google Scholar] [CrossRef]
- Freckman, H.A.; Fry, H.L.; Mendez, F.L.; Maurer, E.R. Chlorambucil-prednisolone therapy for disseminated breast carcinoma. JAMA 1964, 189, 23–26. [Google Scholar] [CrossRef]
- Phan, L.M.; Rezaeian, A.-H. ATM: Main features, signaling pathways, and its diverse roles in DNA damage response, tumor suppression, and cancer development. Genes 2021, 12, 845. [Google Scholar] [CrossRef]
- Kreis, N.-N.; Louwen, F.; Yuan, J. The multifaceted p21 (Cip1/Waf1/CDKN1A) in cell differentiation, migration and cancer therapy. Cancers 2019, 11, 1220. [Google Scholar] [CrossRef]
- Karimian, A.; Ahmadi, Y.; Yousefi, B. Multiple functions of p21 in cell cycle, apoptosis and transcriptional regulation after DNA damage. DNA Repair 2016, 42, 63–71. [Google Scholar] [CrossRef]
- Qian, S.; Wei, Z.; Yang, W.; Huang, J.; Yang, Y.; Wang, J. The role of BCL-2 family proteins in regulating apoptosis and cancer therapy. Front. Oncol. 2022, 12, 985363. [Google Scholar] [CrossRef]





Disclaimer/Publisher’s Note: The statements, opinions and data contained in all publications are solely those of the individual author(s) and contributor(s) and not of MDPI and/or the editor(s). MDPI and/or the editor(s) disclaim responsibility for any injury to people or property resulting from any ideas, methods, instructions or products referred to in the content. |
© 2025 by the author. Licensee MDPI, Basel, Switzerland. This article is an open access article distributed under the terms and conditions of the Creative Commons Attribution (CC BY) license (https://creativecommons.org/licenses/by/4.0/).
Share and Cite
Choi, K. Partial Remission Without Recurrence in a 9-Year-Old Golden Retriever with Nasal Carcinoma Treated with Prednisolone/Chlorambucil Metronomic Combination Therapy: A Case Report and Literature Review of Molecular Mechanisms. Curr. Issues Mol. Biol. 2025, 47, 660. https://doi.org/10.3390/cimb47080660
Choi K. Partial Remission Without Recurrence in a 9-Year-Old Golden Retriever with Nasal Carcinoma Treated with Prednisolone/Chlorambucil Metronomic Combination Therapy: A Case Report and Literature Review of Molecular Mechanisms. Current Issues in Molecular Biology. 2025; 47(8):660. https://doi.org/10.3390/cimb47080660
Chicago/Turabian StyleChoi, Kyuhyung. 2025. "Partial Remission Without Recurrence in a 9-Year-Old Golden Retriever with Nasal Carcinoma Treated with Prednisolone/Chlorambucil Metronomic Combination Therapy: A Case Report and Literature Review of Molecular Mechanisms" Current Issues in Molecular Biology 47, no. 8: 660. https://doi.org/10.3390/cimb47080660
APA StyleChoi, K. (2025). Partial Remission Without Recurrence in a 9-Year-Old Golden Retriever with Nasal Carcinoma Treated with Prednisolone/Chlorambucil Metronomic Combination Therapy: A Case Report and Literature Review of Molecular Mechanisms. Current Issues in Molecular Biology, 47(8), 660. https://doi.org/10.3390/cimb47080660

