Ulceroprotective Effects of Epilobium angustifolium Extract in DSS-Induced Colitis in Mice
Abstract
1. Introduction
2. Materials and Methods
2.1. Plant Material and Plant Extraction
2.2. Animals
2.3. Experimental Design
2.4. Experimental Methods
2.4.1. Measurement of Hematological Parameters
2.4.2. Oxidative Stress Markers
2.4.3. Histopathological Examination
2.4.4. Statistical Analysis
3. Results
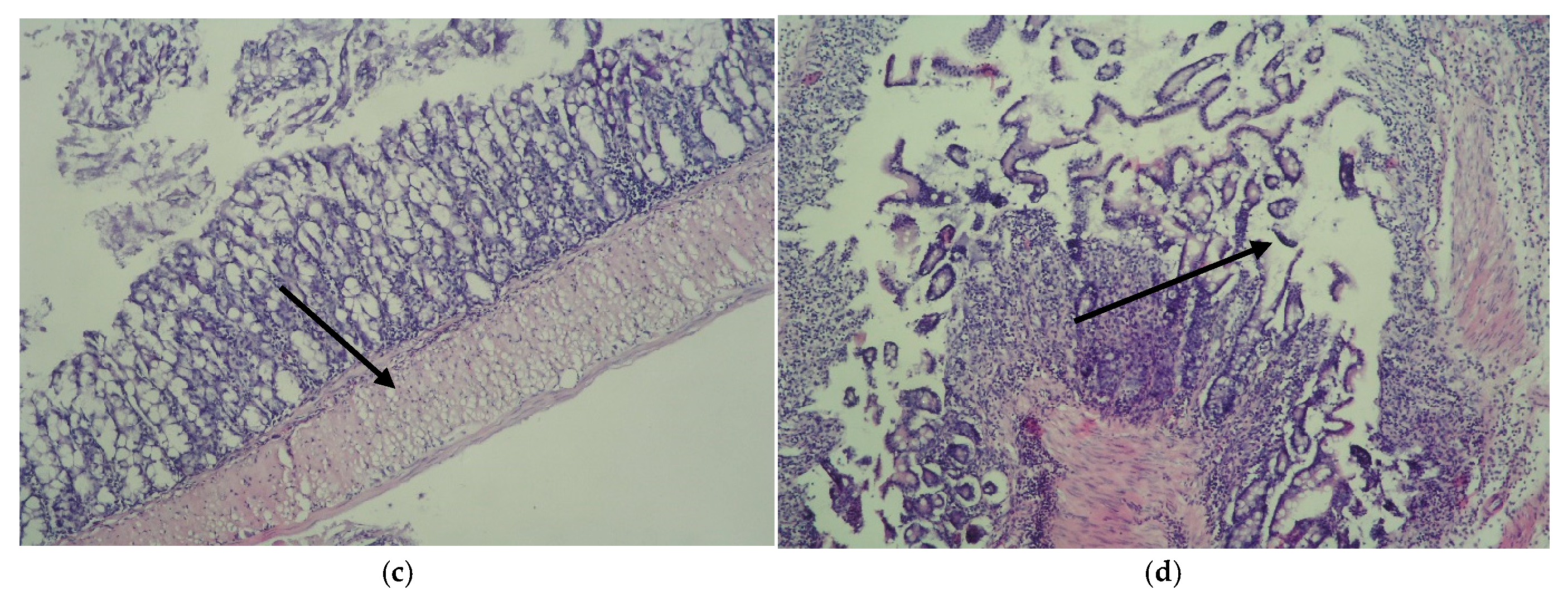
Histopathological Findings
4. Discussion
5. Conclusions
Supplementary Materials
Author Contributions
Funding
Institutional Review Board Statement
Informed Consent Statement
Data Availability Statement
Conflicts of Interest
References
- Saez, A.; Herrero-Fernandez, B.; Gomez-Bris, R.; Sánchez-Martinez, H.; Gonzalez-Granado, J.M. Pathophysiology of Inflammatory Bowel Disease: Innate Immune System. Int. J. Mol. Sci. 2023, 24, 1526. [Google Scholar] [CrossRef] [PubMed]
- Luc, B.; Gerhard, R.; Michael, S. New insights into the pathophysiology of inflammatory bowel disease: Microbiota, epigenetics and common signalling pathways. Swiss Med. Wkly. 2018, 148, w14599. [Google Scholar] [CrossRef]
- Treuer, T.; Richards, M.; Mert, C.; Dhesi, E.; Silva, L.; Tan, Y.; Hoque, S. Dose Escalation Patterns and Associated Costs of Advanced Therapies for Ulcerative Colitis in France and the United Kingdom: A Retrospective Database Analysis. Clin. Outcomes Res. 2025, 17, 129–146. [Google Scholar] [CrossRef] [PubMed]
- Valdivia Krag, C.; Mirabent, C.; González Castilla, M.L.; Benítez, J.M.; Marín Pedrosa, S.; Soto, P.; Iglesias-Flores, E.; Gros, B. P0481 Real-World Analysis of Disease Progression in Ulcerative Colitis: A Comparative Study Across Diagnostic Eras at a Tertiary IBD Center. J. Crohns Colitis 2025, 19, i1014–i1016. [Google Scholar] [CrossRef]
- Mishra, R.; Dhawan, P.; Srivastava, A.S.; Singh, A.B. Inflammatory bowel disease: Therapeutic limitations and prospective of the stem cell therapy. World J. Stem Cells 2020, 12, 1050–1066. [Google Scholar] [CrossRef]
- Cai, Z.; Wang, S.; Li, J. Treatment of Inflammatory Bowel Disease: A Comprehensive Review. Front. Med. 2021, 8, 765474. [Google Scholar] [CrossRef]
- Zhao, M.; Larsen, L.; Dige, A.; Hvas, C.L.; Poulsen, A.; Christiansen, D.; Attauabi, M.; Lo, B.; Wewer, M.; Ovesen, P.D.; et al. P405 Primary non-response and loss-of-response to first-line biological therapies are more common in patients with Ulcerative Colitis than Crohn’s Disease—Preliminary results from the Danish IBD Biobank Project. J. Crohns Colitis 2022, 16, i397–i398. [Google Scholar] [CrossRef]
- Yamamoto-Furusho, J.K.; Al Harbi, O.; Armuzzi, A.; Chan, W.; Ponce De Leon, E.; Qian, J.; Shapina, M.; Toruner, M.; Tu, C.-H.; Ye, B.D.; et al. Incidence of suboptimal response to tumor necrosis factor antagonist therapy in inflammatory bowel disease in newly industrialised countries: The EXPLORE study. Dig. Liver Dis. 2020, 52, 869–877. [Google Scholar] [CrossRef]
- Vermeire, S.; Gils, A.; Accossato, P.; Lula, S.; Marren, A. Immunogenicity of biologics in inflammatory bowel disease. Ther. Adv. Gastroenterol. 2018, 11, 1756283X17750355. [Google Scholar] [CrossRef]
- Zhang, Y.-Z. Inflammatory bowel disease: Pathogenesis. World J. Gastroenterol. 2014, 20, 91. [Google Scholar] [CrossRef]
- Calvez, V.; Puca, P.; Di Vincenzo, F.; Del Gaudio, A.; Bartocci, B.; Murgiano, M.; Iaccarino, J.; Parand, E.; Napolitano, D.; Pugliese, D.; et al. Novel Insights into the Pathogenesis of Inflammatory Bowel Diseases. Biomedicines 2025, 13, 305. [Google Scholar] [CrossRef] [PubMed]
- Xavier, R.J.; Podolsky, D.K. Unravelling the pathogenesis of inflammatory bowel disease. Nature 2007, 448, 427–434. [Google Scholar] [CrossRef]
- Chassaing, B.; Aitken, J.D.; Malleshappa, M.; Vijay-Kumar, M. Dextran Sulfate Sodium (DSS)-Induced Colitis in Mice. Curr. Protoc. Immunol. 2014, 104, 15–25. [Google Scholar] [CrossRef]
- Eichele, D.D.; Kharbanda, K.K. Dextran sodium sulfate colitis murine model: An indispensable tool for advancing our understanding of inflammatory bowel diseases pathogenesis. World J. Gastroenterol. 2017, 23, 6016–6029. [Google Scholar] [CrossRef]
- Kobayashi, T.; Siegmund, B.; Le Berre, C.; Wei, S.C.; Ferrante, M.; Shen, B.; Bernstein, C.N.; Danese, S.; Peyrin-Biroulet, L.; Hibi, T. Ulcerative colitis. Nat. Rev. Dis. Primer 2020, 6, 74. [Google Scholar] [CrossRef]
- Chong, J.; Chen, Z.; Ma, J.; He, L.; Zhu, Y.; Lu, Z.; Qiu, Z.; Chen, C.; Chen, Y.; Jiang, F. Mechanistic investigation and the optimal dose based on baicalin in the treatment of ulcerative colitis–A preclinical systematic review and meta-analysis. BMC Gastroenterol. 2025, 25, 50. [Google Scholar] [CrossRef]
- Vitalone, A.; Allkanjari, O. Epilobium spp.: Pharmacology and Phytochemistry. Phytother. Res. 2018, 32, 1229–1240. [Google Scholar] [CrossRef]
- Kuzmanov, B. Epilobium angustifolium L. In Flora Republicae Bulgaricae, Onagraceae; Bulgarian Academy of Sciences: Sofia, Bulgaria, 1979; Volume 7, pp. 449–454. [Google Scholar]
- Granica, S.; Piwowarski, J.P.; Czerwińska, M.E.; Kiss, A.K. Phytochemistry, pharmacology and traditional uses of different Epilobium species (Onagraceae): A review. J. Ethnopharmacol. 2014, 156, 316–346. [Google Scholar] [CrossRef]
- Pei, X.; Xiao, J.; Wei, G.; Zhang, Y.; Lin, F.; Xiong, Z.; Lu, L.; Wang, X.; Pang, G.; Jiang, Y.; et al. Oenothein B inhibits human non-small cell lung cancer A549 cell proliferation by ROS-mediated PI3K/Akt/NF-κB signaling pathway. Chem. Biol. Interact. 2019, 298, 112–120. [Google Scholar] [CrossRef]
- Gevrenova, R.; Zengin, G.; Ozturk, G.; Zheleva-Dimitrova, D. Exploring the Phytochemical Profile and Biological Insights of Epilobium angustifolium L. Herb. Plants 2025, 14, 415. [Google Scholar] [CrossRef]
- Martins, J.L.R.; Silva, D.M.D.; Florentino, I.F.; Fajemiroye, J.O.; Hungria Pinto, E.M.; Oliveira, T.S.D.; Rocha, F.F.D.; Souza Gil, E.D.; Ferreira, A.L.; Santos, S.D.C.; et al. Gastroprotective Effect of oenothein B: A Romising Macrocyclic Ellagitannin. Front. J. Soc. Technol. Environ. Sci. 2024, 13, 152–165. [Google Scholar] [CrossRef]
- Beserra, A.M.S.E.S.; Calegari, P.I.; Souza, M.D.C.; Dos Santos, R.A.N.; Lima, J.C.D.S.; Silva, R.M.; Balogun, S.O.; Martins, D.T.D.O. Gastroprotective and Ulcer-Healing Mechanisms of Ellagic Acid in Experimental Rats. J. Agric. Food Chem. 2011, 59, 6957–6965. [Google Scholar] [CrossRef] [PubMed]
- Shin, J.M.; Son, Y.-J.; Ha, I.J.; Erdenebileg, S.; Jung, D.S.; Song, D.; Kim, Y.S.; Kim, S.M.; Nho, C.W. Artemisia argyi extract alleviates inflammation in a DSS-induced colitis mouse model and enhances immunomodulatory effects in lymphoid tissues. BMC Complement. Med. Ther. 2022, 22, 64. [Google Scholar] [CrossRef] [PubMed]
- Héctor Polizio, A.; Peña, C. Effects of angiotensin II type 1 receptor blockade on the oxidative stress in spontaneously hypertensive rat tissues. Regul. Pept. 2005, 128, 1–5. [Google Scholar] [CrossRef]
- Bump, E.A.; Taylor, Y.C.; Brown, J.M. Role of glutathione in the hypoxic cell cytotoxicity of misonidazole. Cancer Res. 1983, 43, 997–1002. [Google Scholar]
- Tappel, A.L. hydroperoxides. In Methods in Enzymology; Elsevier: Amsterdam, The Netherlands, 1978; Volume 52, ISBN 978-0-12-181952-1. [Google Scholar]
- Aebi, H. Catalase. In Methods of Enzymatic Analysis; Elsevier: Amsterdam, The Netherlands, 1974; pp. 673–684. ISBN 978-0-12-091302-2. [Google Scholar]
- Misra, H.P.; Fridovich, I. The Role of Superoxide Anion in the Autoxidation of Epinephrine and a Simple Assay for Superoxide Dismutase. J. Biol. Chem. 1972, 247, 3170–3175. [Google Scholar] [CrossRef]
- Sánchez-Fidalgo, S.; Villegas, I.; Aparicio-Soto, M.; Cárdeno, A.; Rosillo, M.Á.; González-Benjumea, A.; Marset, A.; López, Ó.; Maya, I.; Fernández-Bolaños, J.G.; et al. Effects of dietary virgin olive oil polyphenols: Hydroxytyrosyl acetate and 3,4-dihydroxyphenylglycol on DSS-induced acute colitis in mice. J. Nutr. Biochem. 2015, 26, 513–520. [Google Scholar] [CrossRef]
- Lowry, O.H.; Rosebrough, N.J.; Farr, A.L.; Randall, R.J. Protein measurement with the Folin phenol reagent. J. Biol. Chem. 1951, 193, 265–275. [Google Scholar] [CrossRef]
- Bancroft, J.D.; Gamble, M. (Eds.) Theory and Practice of Histological Techniques; In Expertconsult, 6th ed.; Churchill Livingstone/Elsevier: Philadelphia, PA, USA, 2008; ISBN 978-0-443-10279-0. [Google Scholar]
- Almutary, A.G.; Alnuqaydan, A.M.; Almatroodi, S.A.; Tambuwala, M.M. Comparative Analysis of the Effect of Different Concentrations of Dextran Sodium Sulfate on the Severity and Extent of Inflammation in Experimental Ulcerative Colitis. Appl. Sci. 2023, 13, 3233. [Google Scholar] [CrossRef]
- Yang, C.; Merlin, D. Unveiling Colitis: A Journey Through the Dextran Sodium Sulfate-Induced Model. Inflamm. Bowel Dis. 2024, 30, 844–853. [Google Scholar] [CrossRef]
- Subudhi, R.N.; Poonia, N.; Singh, D.; Arora, V. Natural approaches for the management of ulcerative colitis: Evidence of preclinical and clinical investigations. Nat. Prod. Bioprospect. 2024, 14, 42. [Google Scholar] [CrossRef] [PubMed]
- Mazzon, E.; Muià, C.; Paola, R.D.; Genovese, T.; Menegazzi, M.; De Sarro, A.; Suzuki, H.; Cuzzocrea, S. Green tea polyphenol extract attenuates colon injury induced by experimental colitis. Free Radic. Res. 2005, 39, 1017–1025. [Google Scholar] [CrossRef] [PubMed]
- Oliyaei, N.; Zekri, S.; Iraji, A.; Oliyaei, A.; Tanideh, R.; Mussin, N.M.; Tamadon, A.; Tanideh, N. Health benefits of algae and marine-derived bioactive metabolites for modulating ulcerative colitis symptoms. J. Funct. 2025, 125, 106690. [Google Scholar] [CrossRef]
- Long, D.; Zhang, W.; Mao, C.; Zhu, Y.; Xu, Y. Natural products for the treatment of ulcerative colitis: Focus on the JAK/STAT pathway. Front. Immunol. 2025, 16, 1538302. [Google Scholar] [CrossRef]
- Wang, Y.-J.; Zha, X.-Q.; Li, Q.-M.; Luo, J.-P. Intervention and potential mechanism of non-starch polysaccharides from natural resources on ulcerative colitis: A review. Int. J. Biol. Macromol. 2022, 210, 545–564. [Google Scholar] [CrossRef]
- He, L.; Zhang, Y.; Li, J.; Chen, D.; Yue, S.; Liu, Y.; Guo, Y.; Wang, Y.; Xiu, M.; He, J. Dunhuang Dabupi Decoction and its active components alleviate ulcerative colitis by activating glutathione metabolism and inhibiting JAK-STAT pathway in Drosophila and mice. J. Ethnopharmacol. 2025, 346, 119717. [Google Scholar] [CrossRef]
- Zhang, X.; Zhang, F.; Li, Y.; Fan, N.; Zhao, K.; Zhang, A.; Kang, J.; Lin, Y.; Xue, X.; Jiang, X. Blockade of PI3K/AKT signaling pathway by Astragaloside IV attenuates ulcerative colitis via improving the intestinal epithelial barrier. J. Transl. Med. 2024, 22, 406. [Google Scholar] [CrossRef]
- Pellegrini, C.; Fornai, M.; Colucci, R.; Benvenuti, L.; D’Antongiovanni, V.; Natale, G.; Fulceri, F.; Giorgis, M.; Marini, E.; Gastaldi, S.; et al. A Comparative Study on the Efficacy of NLRP3 Inflammasome Signaling Inhibitors in a Pre-Clinical Model of Bowel Inflammation. Front. Pharmacol. 2018, 9, 1405. [Google Scholar] [CrossRef]
- Salem, H.A.; Wadie, W. Effect of Niacin on Inflammation and Angiogenesis in a Murine Model of Ulcerative Colitis. Sci. Rep. 2017, 7, 7139. [Google Scholar] [CrossRef]
- Kamalian, A.; Asl, M.S.; Dolatshahi, M.; Afshari, K.; Shamshiri, S.; Roudsari, N.M.; Momtaz, S.; Rahimi, R.; Abdollahi, M.; Abdolghaffari, A.H. Interventions of natural and synthetic agents in inflammatory bowel disease, modulation of nitric oxide pathways. World J. Gastroenterol. 2020, 26, 3365–3400. [Google Scholar] [CrossRef]
- Crispin, D.A.; Brentnall, T.A.; Agoff, S.N.; Haggitt, R.C.; Taylor, S.L.; Raaka, S.; Afonina, I.A.; Stevens, A.C.; Bronner, M.P.; Rabinovitch, P.S.; et al. The Role of Cyclooxygenase 2 in Ulcerative Colitis-Associated Neoplasia. Am. J. Pathol. 2000, 157, 737–745. [Google Scholar] [CrossRef]
- Rezaie, N.; Bagheri-Amiri, F.; Aghamohammad, S.; Khatami, S.; Talebi, M.; Sohrabi, A.; Pourshafie, M.R.; Rohani, M. The therapeutic effect of antioxidant postbiotic cocktail in colitis mice: A promising approach to alleviate oxidative stress in two high-fat and normal-diet feeding mice. J. Agric. Food Res. 2025, 19, 101547. [Google Scholar] [CrossRef]
- Muro, P.; Zhang, L.; Li, S.; Zhao, Z.; Jin, T.; Mao, F.; Mao, Z. The emerging role of oxidative stress in inflammatory bowel disease. Front. Endocrinol. 2024, 15, 1390351. [Google Scholar] [CrossRef] [PubMed]
- San Gabriel, P.T.; O’Neil, T.R.; Au, A.; Tan, J.K.; Pinget, G.V.; Liu, Y.; Fong, G.; Ku, J.; Glaros, E.; Macia, L.; et al. Myeloperoxidase Gene Deletion Causes Drastic Microbiome Shifts in Mice and Does Not Mitigate Dextran Sodium Sulphate-Induced Colitis. Int. J. Mol. Sci. 2024, 25, 4258. [Google Scholar] [CrossRef]
- Geboes, K.; Dalle, I. Influence of treatment on morphological features of mucosal inflammation. Gut 2002, 50, iii37–iii42. [Google Scholar] [CrossRef]
- Ullah, A.; Munir, S.; Badshah, S.L.; Khan, N.; Ghani, L.; Poulson, B.G.; Emwas, A.-H.; Jaremko, M. Important Flavonoids and Their Role as a Therapeutic Agent. Molecules 2020, 25, 5243. [Google Scholar] [CrossRef]
- Vezza, T.; Rodríguez-Nogales, A.; Algieri, F.; Utrilla, M.; Rodriguez-Cabezas, M.; Galvez, J. Flavonoids in Inflammatory Bowel Disease: A Review. Nutrients 2016, 8, 211. [Google Scholar] [CrossRef]
- Xue, J.-C.; Yuan, S.; Meng, H.; Hou, X.-T.; Li, J.; Zhang, H.-M.; Chen, L.-L.; Zhang, C.-H.; Zhang, Q.-G. The role and mechanism of flavonoid herbal natural products in ulcerative colitis. Biomed. Pharmacother. 2023, 158, 114086. [Google Scholar] [CrossRef]
- Salaritabar, A.; Darvishi, B.; Hadjiakhoondi, F.; Manayi, A.; Sureda, A.; Nabavi, S.F.; Fitzpatrick, L.R.; Nabavi, S.M.; Bishayee, A. Therapeutic potential of flavonoids in inflammatory bowel disease: A comprehensive review. World J. Gastroenterol. 2017, 23, 5097. [Google Scholar] [CrossRef]
- Zhang, Q.; Wen, F.; Sun, F.; Xu, Z.; Liu, Y.; Tao, C.; Sun, F.; Jiang, M.; Yang, M.; Yao, J. Efficacy and Mechanism of Quercetin in the Treatment of Experimental Colitis Using Network Pharmacology Analysis. Molecules 2022, 28, 146. [Google Scholar] [CrossRef]
- Li, H.; Ruan, J.; Huang, J.; Yang, D.; Yu, H.; Wu, Y.; Zhang, Y.; Wang, T. Pomegranate (Punica granatum L.) and Its Rich Ellagitannins as Potential Inhibitors in Ulcerative Colitis. Int. J. Mol. Sci. 2023, 24, 17538. [Google Scholar] [CrossRef] [PubMed]
- Venkataraman, B.; Ojha, S.; Belur, P.D.; Bhongade, B.; Raj, V.; Collin, P.D.; Adrian, T.E.; Subramanya, S.B. Phytochemical drug candidates for the modulation of peroxisome proliferator-activated receptor γ in inflammatory bowel diseases. Phytother. Res. 2020, 34, 1530–1549. [Google Scholar] [CrossRef]
- Xiong, Y.; Cheng, Z.; Zhang, Y.; Liu, T.; Wan, Z.; Xia, C.; Zhou, B.; Shan, C.; Song, D.; Miao, F. Ellagic acid alleviates DSS–induced ulcerative colitis by inhibiting ROS/NLRP3 pathway activation and modulating gut microbiota in mice. Eur. J. Nutr. 2025, 64, 64. [Google Scholar] [CrossRef]
- Pandurangan, A.K.; Norhaizan, M.; Mohebali, N.; Yeng, L.C. Gallic acid attenuates dextran sulfate sodium-induced experimental colitis in BALB/c mice. Drug Des. Devel. Ther. 2015, 9, 3923–3934. [Google Scholar] [CrossRef]
- Kiss, A.K.; Bazylko, A.; Filipek, A.; Granica, S.; Jaszewska, E.; Kiarszys, U.; Kośmider, A.; Piwowarski, J. Oenothein B’s contribution to the anti-inflammatory and antioxidant activity of Epilobium sp. Phytomedicine 2011, 18, 557–560. [Google Scholar] [CrossRef]
- Schepetkin, I.A.; Kirpotina, L.N.; Jakiw, L.; Khlebnikov, A.I.; Blaskovich, C.L.; Jutila, M.A.; Quinn, M.T. Immunomodulatory Activity of Oenothein B Isolated from Epilobium angustifolium. J. Immunol. 2009, 183, 6754–6766. [Google Scholar] [CrossRef]
- Qu, Y.; Li, X.; Xu, F.; Zhao, S.; Wu, X.; Wang, Y.; Xie, J. Kaempferol Alleviates Murine Experimental Colitis by Restoring Gut Microbiota and Inhibiting the LPS-TLR4-NF-κB Axis. Front. Immunol. 2021, 12, 679897. [Google Scholar] [CrossRef]
- Park, M.-Y.; Ji, G.E.; Sung, M.-K. Dietary Kaempferol Suppresses Inflammation of Dextran Sulfate Sodium-Induced Colitis in Mice. Dig. Dis. Sci. 2012, 57, 355–363. [Google Scholar] [CrossRef]
- Calva-Candelaria, N.; Meléndez-Camargo, M.E.; Montellano-Rosales, H.; Estrada-Pérez, A.R.; Rosales-Hernández, M.C.; Fragoso-Vázquez, M.J.; Martínez-Archundia, M.; Correa-Basurto, J.; Márquez-Flores, Y.K. Oenothera rosea L’Hér. ex Ait attenuates acute colonic inflammation in TNBS-induced colitis model in rats: In vivo and in silico myeloperoxidase role. Biomed. Pharmacother. 2018, 108, 852–864. [Google Scholar] [CrossRef]
- Rho, H.S.; Ghimeray, A.K.; Yoo, D.S.; Ahn, S.M.; Kwon, S.S.; Lee, K.H.; Cho, D.H.; Cho, J.Y. Kaempferol and Kaempferol Rhamnosides with Depigmenting and Anti-Inflammatory Properties. Molecules 2011, 16, 3338–3344. [Google Scholar] [CrossRef]
- Kong, L.; Luo, C.; Li, X.; Zhou, Y.; He, H. The anti-inflammatory effect of kaempferol on early atherosclerosis in high cholesterol fed rabbits. Lipids Health Dis. 2013, 12, 115. [Google Scholar] [CrossRef] [PubMed]
- Gong, J.-H.; Shin, D.; Han, S.-Y.; Park, S.-H.; Kang, M.-K.; Kim, J.-L.; Kang, Y.-H. Blockade of Airway Inflammation by Kaempferol via Disturbing Tyk-STAT Signaling in Airway Epithelial Cells and in Asthmatic Mice. Evid. Based Complement. Alternat. Med. 2013, 2013, 1–13. [Google Scholar] [CrossRef] [PubMed]
- Lee, J.; Kim, G. Evaluation of Antioxidant and Inhibitory Activities for Different Subclasses Flavonoids on Enzymes for Rheumatoid Arthritis. J. Food Sci. 2010, 75, H212–H217. [Google Scholar] [CrossRef] [PubMed]
- Bangar, S.P.; Chaudhary, V.; Sharma, N.; Bansal, V.; Ozogul, F.; Lorenzo, J.M. Kaempferol: A flavonoid with wider biological activities and its applications. Crit. Rev. Food Sci. Nutr. 2023, 63, 9580–9604. [Google Scholar] [CrossRef]
- Yoon, H.-Y.; Lee, E.-G.; Lee, H.; Cho, I.J.; Choi, Y.J.; Sung, M.-S.; Yoo, H.-G.; Yoo, W.-H. Kaempferol inhibits IL-1β-induced proliferation of rheumatoid arthritis synovial fibroblasts and the production of COX-2, PGE2 and MMPs. Int. J. Mol. Med. 2013, 32, 971–977. [Google Scholar] [CrossRef]
- Zhao, J.; Hong, T.; Dong, M.; Meng, Y.; Mu, J. Protective effect of myricetin in dextran sulphate sodium-induced murine ulcerative colitis. Mol. Med. Rep. 2013, 7, 565–570. [Google Scholar] [CrossRef]
- Zieniuk, B. Dihydrocaffeic Acid—Is It the Less Known but Equally Valuable Phenolic Acid? Biomolecules 2023, 13, 859. [Google Scholar] [CrossRef]
- Baeza, G.; Sarriá, B.; Mateos, R.; Bravo, L. Dihydrocaffeic acid, a major microbial metabolite of chlorogenic acids, shows similar protective effect than a yerba mate phenolic extract against oxidative stress in HepG2 cells. Food Res. Int. 2016, 87, 25–33. [Google Scholar] [CrossRef]




| № | Groups (n = 6) | Week 1 | Week 2 | Week 3 |
|---|---|---|---|---|
| 1. | Control | Food and water ad libitum | Food and water ad libitum | Food and water ad libitum |
| 2. | DSS | DSS 3% | Pure tap water | Pure tap water |
| 3. | DSS + DXM | DSS 3% + DXM 1 mg/kg | DXM 1 mg/kg | DXM 1 mg/kg |
| 4. | DSS + EAE | DSS 3% + EAE 300 mg/kg | EAE 300 mg/kg | EAE 300 mg/kg |
| Score | Weight Loss (% of Initial wt) | Bleeding | Stool Consistency | Inflammatory Score (DAI) |
|---|---|---|---|---|
| 0 | none | Negative | Regular | Normal |
| 1 | 1–5% | Slight bleeding | Soft unformed excrement | Slight inflammation |
| 2 | 6–10% | Moderate bleeding | Loose feces | Moderate inflammation |
| 3 | >11% | Severe bleeding | Watery diarrhea | Severe inflammation |
| Parameters | Controls | DSS 3% | DSS + DXM | DSS + EAE |
|---|---|---|---|---|
| Colon weight (g) | 0.86 ± 0.032 | 0.42 ± 0.048 * | 0.72 ± 0.039 *+ | 0.64 ± 0.022 *+ |
| Colon length (cm) | 11.1 ± 0.34 | 7.2 ± 0.52 * | 10.8 ± 0.14 + | 10.3 ± 0.4 + |
| Hematological Parameters | Controls | DSS 3% | DSS + DXM | DSS + EAE |
|---|---|---|---|---|
| WBC (×109)/L | 7.51 ± 1.32 | 14.22 ± 1.10 * | 6.41 ± 1.4 + | 9.33 ± 0.8 *+# |
| RBC (×1012)/L | 9.6 ± 0.70 | 5.2 ± 0.10 * | 8.9 ± 0.9 + | 8.1 ± 1.2 + |
| HGB g/L | 140.7 ± 2.4 | 47.2 ± 5.20 * | 106.6 ± 3.8 *+ | 86.6 ± 4.3 *+# |
| HCT % | 44.4 ± 2.20 | 30.2 ± 1.10 * | 40.6 ± 3.22 + | 42.3 ± 2.06 + |
| PLT (×109)/L | 734.8 ± 64.4 | 547.3 ± 55.1 * | 622.2 ± 36.8 + | 812.2 ± 36.2 *+# |
| Parameters | Controls | DSS 3% | DSS + DXM | DSS + EAE |
|---|---|---|---|---|
| MDA nmol/g tissue | 4.78 ± 0.45 | 8.22 ± 0.48 * | 4.32 ± 0.43 + | 6.18 ± 0.62 *+# |
| GSH nmol/g tissue | 7.22 ± 0.51 | 3.81 ± 0.24 * | 5.42 ± 0.41 *+ | 6.24 ± 0.32 *+ |
| MPO U/mg tissue | 0.38 ± 0.04 | 0.91 ± 0.09 * | 0.62 ± 0.07 *+ | 0.72 ± 0.08 *+ |
| CAT nmol/mg/min | 5.62 ± 0.41 | 3.24 ± 0.32 * | 4.93 ± 0.46 + | 4.33 ± 0.28 *+ |
| SOD nmol/mg/min | 0.62 ± 0.03 | 0.38 ± 0.02 * | 0.56 ± 0.03 + | 0.58 ± 0.04 + |
| GPx nmol/mg/min | 1.65 ± 0.12 | 0.92 ± 0.06 * | 1.36 ± 0.09 + | 1.57 ± 0.07 + |
Disclaimer/Publisher’s Note: The statements, opinions and data contained in all publications are solely those of the individual author(s) and contributor(s) and not of MDPI and/or the editor(s). MDPI and/or the editor(s) disclaim responsibility for any injury to people or property resulting from any ideas, methods, instructions or products referred to in the content. |
© 2025 by the authors. Licensee MDPI, Basel, Switzerland. This article is an open access article distributed under the terms and conditions of the Creative Commons Attribution (CC BY) license (https://creativecommons.org/licenses/by/4.0/).
Share and Cite
Simeonova, R.; Mihaylova, R.; Gevrenova, R.; Savov, Y.; Zheleva-Dimitrova, D. Ulceroprotective Effects of Epilobium angustifolium Extract in DSS-Induced Colitis in Mice. Curr. Issues Mol. Biol. 2025, 47, 444. https://doi.org/10.3390/cimb47060444
Simeonova R, Mihaylova R, Gevrenova R, Savov Y, Zheleva-Dimitrova D. Ulceroprotective Effects of Epilobium angustifolium Extract in DSS-Induced Colitis in Mice. Current Issues in Molecular Biology. 2025; 47(6):444. https://doi.org/10.3390/cimb47060444
Chicago/Turabian StyleSimeonova, Rumyana, Rositsa Mihaylova, Reneta Gevrenova, Yonko Savov, and Dimitrina Zheleva-Dimitrova. 2025. "Ulceroprotective Effects of Epilobium angustifolium Extract in DSS-Induced Colitis in Mice" Current Issues in Molecular Biology 47, no. 6: 444. https://doi.org/10.3390/cimb47060444
APA StyleSimeonova, R., Mihaylova, R., Gevrenova, R., Savov, Y., & Zheleva-Dimitrova, D. (2025). Ulceroprotective Effects of Epilobium angustifolium Extract in DSS-Induced Colitis in Mice. Current Issues in Molecular Biology, 47(6), 444. https://doi.org/10.3390/cimb47060444

