Obesity as a Confounding Factor in the Diagnosis of Wilson’s Disease: Case Report of Two Siblings with the Same Genotype but Different Clinical Courses
Abstract
1. Introduction
2. Case Report
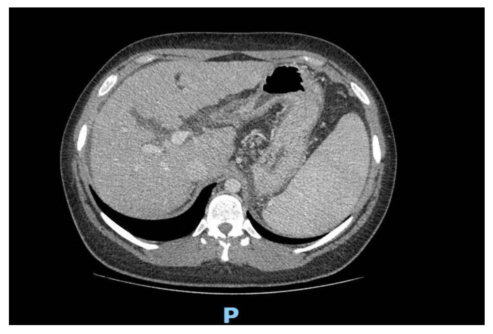
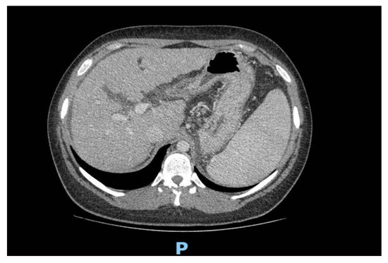
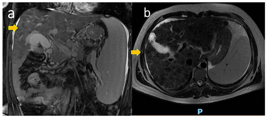
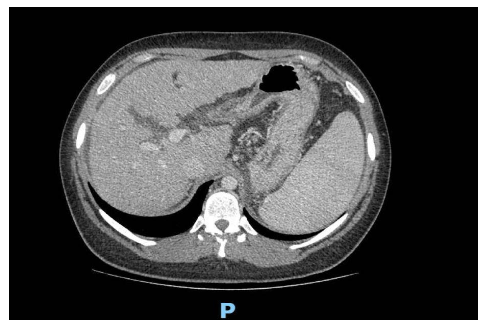
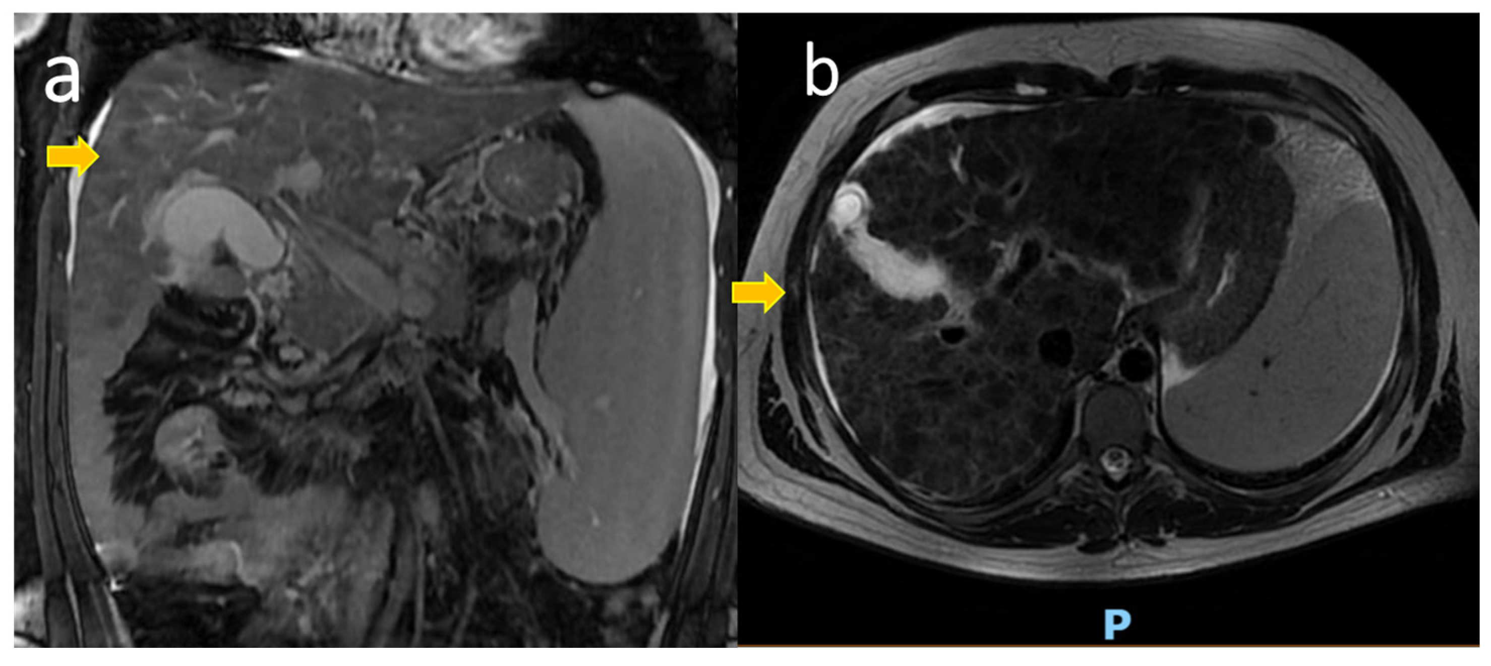
2.1. Patient n°1
2.2. Patient n°2
| Patient n°1 | Patient n°2 | |
|---|---|---|
| Sex | M | F |
| Type of Onset | Hepatic | Hepatic |
| Genotype | c.1286-2A>G/c.2668G>A (p.Val890Met) | c.1286-2A>G/c.2668G>A (p.Val890Met) |
| Age of Onset | 4 | 6 |
| Age of Diagnosis | 22 | 24 |
| Physical Examination | Obesity Class II (BMI 33), splenomegaly and hepatomegaly | Obesity Class II (BMI 35) |
| Blood Tests | Low ceruloplasmin and copper, thrombocytopenia, hypertransaminasemia (see Table 1) | Low ceruloplasmin and copper (see Table 1) |
| Eye Examination | KF rings in both eyes | No KF rings |
| Brain MRI | No obvious signs of involvement from WD | Absence of pathological signs of WD |
| Leipzig Score (before Genetic Test) | 6 | 4 |
| Abdominal US | Normal liver volume with irregular and cocooned margins and a non-homogeneous echostructure. Hypoechoic nodular formation in the 7th segment of 15 mm. Splenomegaly | Mild hepatic steatosis |
3. Discussion
Author Contributions
Funding
Institutional Review Board Statement
Informed Consent Statement
Data Availability Statement
Acknowledgments
Conflicts of Interest
References
- Schilsky, M.L.; Roberts, E.A.; Bronstein, J.M.; Dhawan, A.; Hamilton, J.P.; Rivard, A.M.; Washington, M.K.; Weiss, K.H.; Zimbrean, P.C. A multidisciplinary approach to the diagnosis and management of Wilson disease: Executive summary of the 2022 Practice Guidance on Wilson disease from the American Association for the Study of Liver Diseases. Hepatology 2023, 77, 1428–1455. [Google Scholar] [CrossRef]
- Członkowska, A.; Litwin, T.; Dusek, P.; Ferenci, P.; Lutsenko, S.; Medici, V.; Rybakowski, J.K.; Weiss, K.H.; Schilsky, M.L. Wilson disease. Nat. Rev. Dis. Primers 2018, 4, 21. [Google Scholar] [CrossRef] [PubMed]
- Kipker, N.; Alessi, K.; Bojkovic, M.; Padda, I.; Parmar, M.S. Neurological-Type Wilson Disease: Epidemiology, Clinical Manifestations, Diagnosis, and Management. Cureus 2023, 15, e38170. [Google Scholar] [CrossRef] [PubMed]
- Rodriguez-Castro, K.I.; Hevia-Urrutia, F.J.; Sturniolo, G.C. Wilson’s disease: A review of what we have learned. World J. Hepatol. 2015, 7, 2859–2870. [Google Scholar] [CrossRef] [PubMed]
- Lo, C.; Bandmann, O. Epidemiology and introduction to the clinical presentation of Wilson disease. Handb. Clin. Neurol. 2017, 142, 7–17. [Google Scholar] [PubMed]
- Chaudhry, H.S.; Anilkumar, A.C. Wilson Disease. In StatPearls [Internet]; StatPearls Publishing: Treasure Island, FL, USA, 2023. Available online: http://www.ncbi.nlm.nih.gov/books/NBK441990/ (accessed on 24 December 2023).
- Chanpong, A.; Dhawan, A. Wilson disease in children and young adults—State of the art. Saudi J. Gastroenterol. Off. J. Saudi Gastroenterol. Assoc. 2022, 28, 21–31. [Google Scholar]
- Shribman, S.; Marjot, T.; Sharif, A.; Vimalesvaran, S.; Ala, A.; Alexander, G.; Dhawan, A.; Dooley, J.; Gillett, G.T.; Kelly, D.; et al. Investigation and management of Wilson’s disease: A practical guide from the British Association for the Study of the Liver. Lancet Gastroenterol. Hepatol. 2022, 7, 560–575. [Google Scholar] [CrossRef] [PubMed]
- European Association for Study of Liver. EASL Clinical Practice Guidelines: Wilson’s disease. J. Hepatol. 2012, 56, 671–685. [Google Scholar] [CrossRef] [PubMed]
- Saroli Palumbo, C.; Schilsky, M.L. Clinical practice guidelines in Wilson disease. Ann. Transl. Med. 2019, 7 (Suppl. 2), S65. [Google Scholar] [CrossRef] [PubMed]
- Lepori, M.B.; Lovicu, M.; Dessi, V.; Zappu, A.; Incollu, S.; Zancan, L.; Giacchino, R.; Iorio, R.; Vajro, P.; Maggiore, G.; et al. Twenty-four novel mutations in Wilson disease patients of predominantly Italian origin. Genet. Test. 2007, 11, 328–332. [Google Scholar] [CrossRef] [PubMed]
- Gu, Y.H.; Kodama, H.; Du, S.L.; Gu, Q.J.; Sun, H.J.; Ushijima, H. Mutation spectrum and polymorphisms in ATP7B identified on direct sequencing of all exons in Chinese Han and Hui ethnic patients with Wilson’s disease. Clin. Genet. 2003, 64, 479–484. [Google Scholar] [CrossRef] [PubMed]
- Sapuppo, A.; Pavone, P.; Praticò, A.D.; Ruggieri, M.; Bertino, G.; Fiumara, A. Genotype-phenotype variable correlation in Wilson disease: Clinical history of two sisters with the similar genotype. BMC Med. Genet. 2020, 21, 128. [Google Scholar] [CrossRef] [PubMed]
- Cheng, N.; Wang, H.; Wu, W.; Yang, R.; Liu, L.; Han, Y.; Guo, L.; Hu, J.; Xu, L.; Zhao, J.; et al. Spectrum of ATP7B mutations and genotype-phenotype correlation in large-scale Chinese patients with Wilson Disease. Clin. Genet. 2017, 92, 69–79. [Google Scholar] [CrossRef] [PubMed]
- Fang, W.Y.; Abuduxikuer, K.; Shi, P.; Qiu, Y.L.; Zhao, J.; Li, Y.C.; Zhang, X.Y.; Wang, N.L.; Xie, X.B.; Lu, Y.; et al. Pediatric Wilson disease presenting as acute liver failure: Prognostic indices. World J. Clin. Cases 2021, 9, 3273–3286. [Google Scholar] [CrossRef] [PubMed]
- Liggi, M.; Murgia, D.; Civolani, A.; Demelia, E.; Sorbello, O.; Demelia, L. The relationship between copper and steatosis in Wilson’s disease. Clin. Res. Hepatol. Gastroenterol. 2013, 37, 36–40. [Google Scholar] [CrossRef] [PubMed]
- Kapoor, N.; Shetty, S.; Thomas, N.; Paul, T.V. Wilson’s disease: An endocrine revelation. Indian J. Endocrinol. Metab. 2014, 18, 855–857. [Google Scholar] [PubMed]
- Im, M.; Song, A.; Kim, J.; Kim, M.-S.; Lee, S.-M.; Kim, M.J.; Cho, S.Y.; Jin, D.-K. Wilson disease diagnosed incidentally by targeted gene panel sequencing in a Korean boy with severe obesity. Ann. Pediatr. Endocrinol. Metab. 2022, 27, 229–235. [Google Scholar] [CrossRef] [PubMed]


| Blood Test | Patient N°1 | Patient N°2 | Normal Value (n.v.) |
|---|---|---|---|
| Ceruloplasmin (mg/dL) | 5.1 | 7 | 22–58 |
| Serum copper (μg/dL) | 18 | 124 | 70–140 |
| Urinary copper in 24 h (μg/L) | 458 | 310 | 5–60 |
| Hb (g/dL) | 14.1 | 12.4 | 12–16 |
| RBC (mmc) | 4,340,000 | 4,620,000 | 3,800,000–5,500,000 |
| MCV (fL) | 88 | 82,5 | 80–97 |
| WBC (mmc) | 5710 | 7250 | 4000–10,000 |
| PLT (mmc) | 112,000 | 300,000 | 140,000–400,000 |
| Total bilirubin (mg/dL) | 0.66 | NA | 0.01–1 |
| Direct bilirubin (mg/dL) | 0.43 | NA | 0.01–0.3 |
| Total proteins (g/dL) | 6.5 | NA | 6–8.5 |
| Albumin (g/dL) | 3.7 | 3.77 | 4.02–4.76 |
| INR | 1.62 | NA | 0.8–1.2 |
| ALT (U/L) | 110 | 63 | 2–49 |
| AST (U/L) | 140 | 47 | 40–145 |
| ALP (U/L) | 177 | NA | 30–120 |
| GGT (U/L) | 194 | NA | 0–38 |
| Cholesterol (mg/dL) | 161 | 162 | <200 |
| Cholesterol HDL (mg/dL) | 40 | NA | >60 |
| Cholesterol LDL (mg/dL) | 91 | NA | 80–130 |
| Triglycerides (mg/dL) | 152 | 203 | 0–150 |
| Gene | Transcript | Phenotypes Associated | Transmission Model | Variant | State | HGMD | Frequency in gnomAD (Alleles) | Classification ACMG |
|---|---|---|---|---|---|---|---|---|
| ATP7B | NM_000053 | Wilson’s disease (OMIM #277900) | BA | c.1286-2A>G | Mat heterozygosity | Absent | Absent | Likely pathogenic |
| ATP7B | NM_000053 | Wilson’s disease (OMIM #277900) | BA | c.2668G>A (p.Val890Met) | Pat heterozygosity | Pathogenic | 5/280992 (no homozygous individuals) | Likely pathogenic |
Disclaimer/Publisher’s Note: The statements, opinions and data contained in all publications are solely those of the individual author(s) and contributor(s) and not of MDPI and/or the editor(s). MDPI and/or the editor(s) disclaim responsibility for any injury to people or property resulting from any ideas, methods, instructions or products referred to in the content. |
© 2024 by the authors. Licensee MDPI, Basel, Switzerland. This article is an open access article distributed under the terms and conditions of the Creative Commons Attribution (CC BY) license (https://creativecommons.org/licenses/by/4.0/).
Share and Cite
Bracciamà, E.; Sapuppo, A.; Rapisarda, L.; Siciliano, E.; Caciotti, A.; Morrone, A.; Ruggieri, M.; Cantarella, G.; Bernardini, R.; Bertino, G. Obesity as a Confounding Factor in the Diagnosis of Wilson’s Disease: Case Report of Two Siblings with the Same Genotype but Different Clinical Courses. Curr. Issues Mol. Biol. 2024, 46, 6112-6120. https://doi.org/10.3390/cimb46060365
Bracciamà E, Sapuppo A, Rapisarda L, Siciliano E, Caciotti A, Morrone A, Ruggieri M, Cantarella G, Bernardini R, Bertino G. Obesity as a Confounding Factor in the Diagnosis of Wilson’s Disease: Case Report of Two Siblings with the Same Genotype but Different Clinical Courses. Current Issues in Molecular Biology. 2024; 46(6):6112-6120. https://doi.org/10.3390/cimb46060365
Chicago/Turabian StyleBracciamà, Emanuele, Annamaria Sapuppo, Laura Rapisarda, Enrico Siciliano, Anna Caciotti, Amelia Morrone, Martino Ruggieri, Giuseppina Cantarella, Renato Bernardini, and Gaetano Bertino. 2024. "Obesity as a Confounding Factor in the Diagnosis of Wilson’s Disease: Case Report of Two Siblings with the Same Genotype but Different Clinical Courses" Current Issues in Molecular Biology 46, no. 6: 6112-6120. https://doi.org/10.3390/cimb46060365
APA StyleBracciamà, E., Sapuppo, A., Rapisarda, L., Siciliano, E., Caciotti, A., Morrone, A., Ruggieri, M., Cantarella, G., Bernardini, R., & Bertino, G. (2024). Obesity as a Confounding Factor in the Diagnosis of Wilson’s Disease: Case Report of Two Siblings with the Same Genotype but Different Clinical Courses. Current Issues in Molecular Biology, 46(6), 6112-6120. https://doi.org/10.3390/cimb46060365

