Exploring Perforated Jejunal GIST: A Rare Case Report and Review of Molecular and Clinical Literature
Abstract
1. Introduction
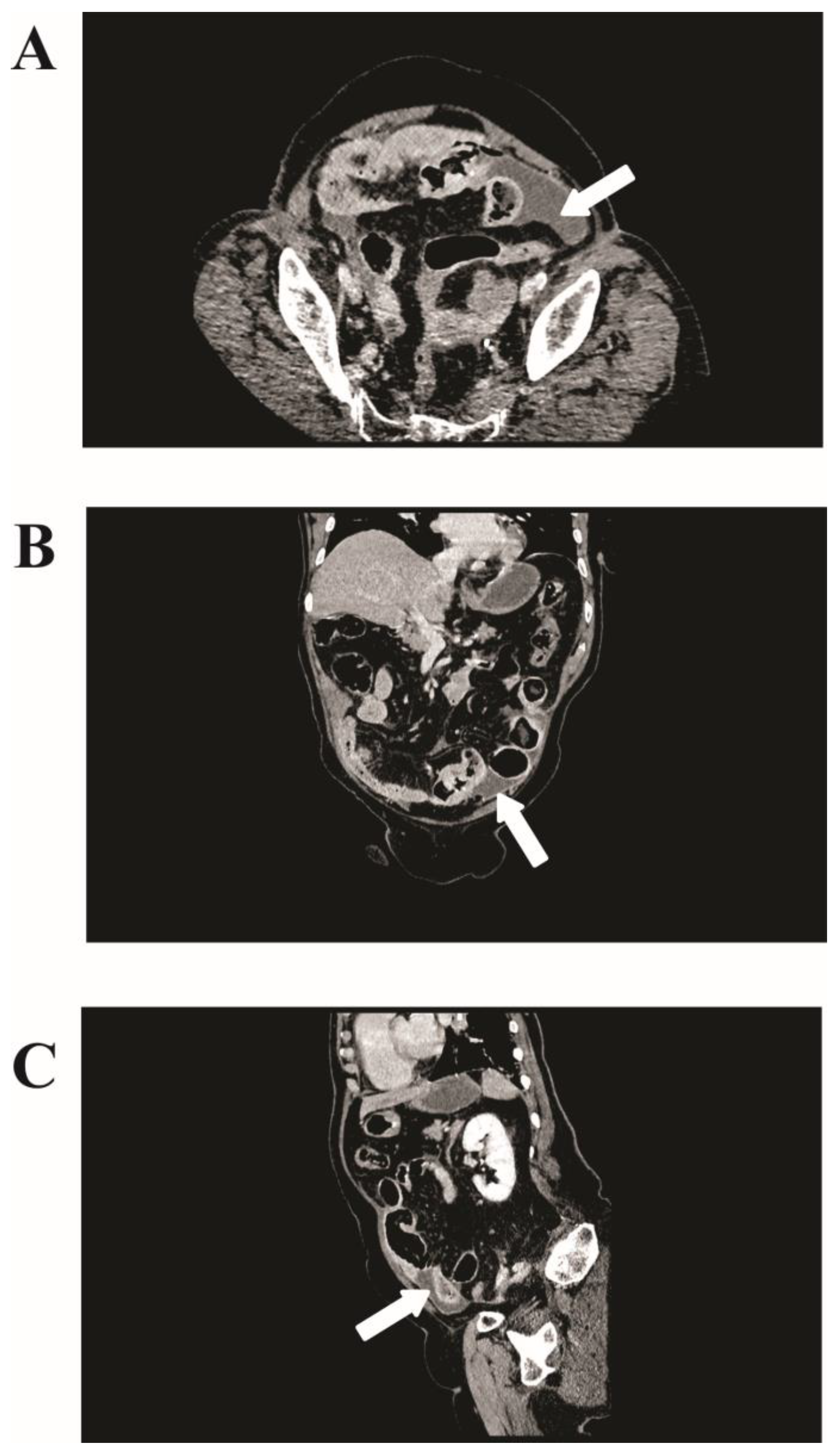
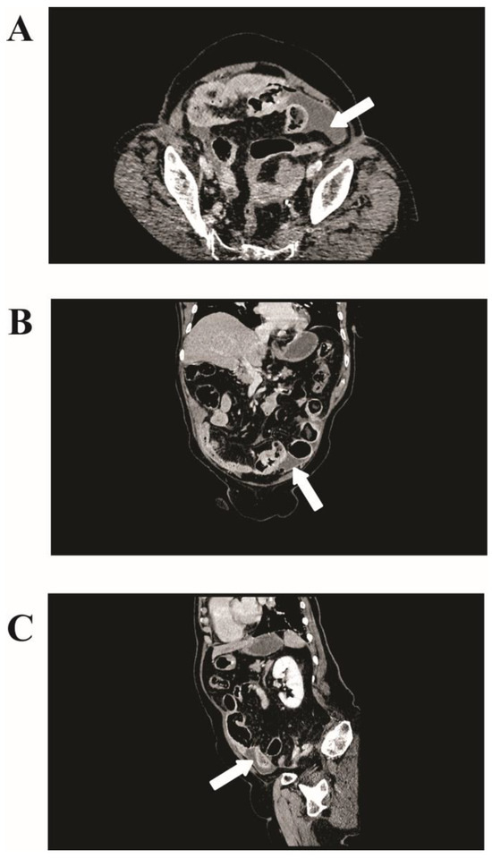
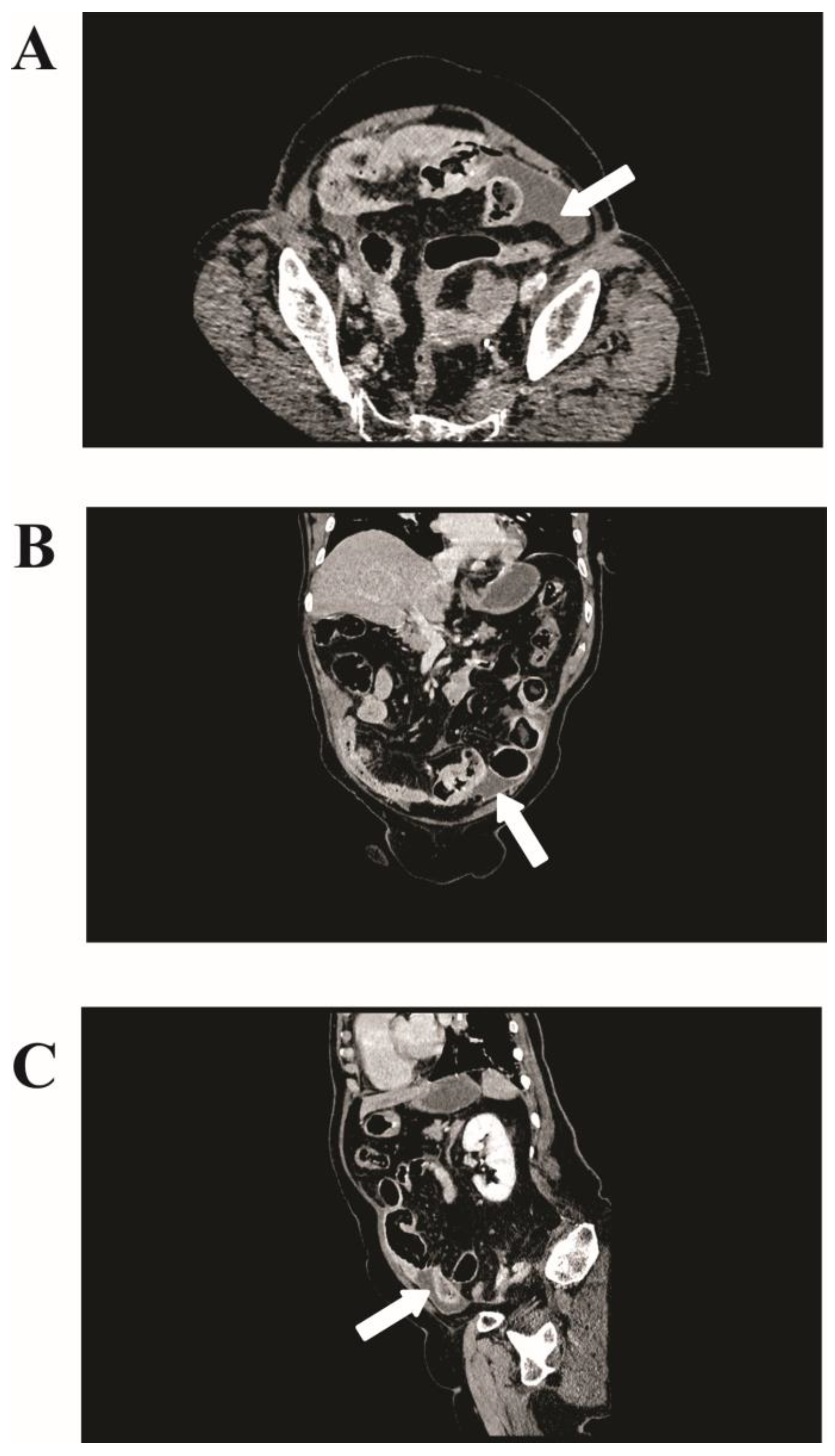
2. Case Presentation
3. Discussion
3.1. Genetic Basis and Molecular Pathogenesis of Gastrointestinal Stromal Tumors (GISTs)
3.1.1. The Role of KIT Mutations in GIST
3.1.2. PDGFRA Mutations in Gastrointestinal Stromal Tumors
3.1.3. SDH Deficiency in GISTs without KIT/PDGFRA Mutations
3.1.4. RAS and BRAF Mutations in Gastrointestinal Stromal Tumors
3.1.5. Diverse Genetic Alterations beyond KIT and PDGFRA in GISTs
3.2. Clinical Symptomatology of Gastrointestinal Stromal Tumors
3.3. Perforation of Jejunal Gastrointestinal Stromal Tumors
3.4. Diagnosis of Gastrointestinal Stromal Tumors
3.5. Histopathology of Gastrointestinal Stromal Tumors
3.6. Prognosis of Gastrointestinal Stromal Tumors
3.7. Treatment of Gastrointestinal Stromal Tumors
3.8. Current Frontiers in Gastrointestinal Stromal Tumor Research: A State-of-the-Art Overview
4. Conclusions
Author Contributions
Funding
Institutional Review Board Statement
Informed Consent Statement
Data Availability Statement
Acknowledgments
Conflicts of Interest
References
- Sorour, M.A.; Kassem, M.I.; Ghazal Ael, H.; El-Riwini, M.T.; Abu Nasr, A. Gastrointestinal stromal tumors (GIST) related emergencies. Int. J. Surg. 2014, 12, 269–280. [Google Scholar] [CrossRef]
- Diamantis, A.; Samara, A.A.; Symeonidis, D.; Baloyiannis, I.; Vasdeki, D.; Tolia, M.; Volakakis, G.; Mavrovounis, G.; Tepetes, K. Gastrointestinal stromal tumors (GISTs) and synchronous intra-abdominal malignancies: Case series of a single institution’s experience. Oncotarget 2020, 11, 4813–4821. [Google Scholar] [CrossRef]
- Machairiotis, N.; Kougioumtzi, I.; Zarogoulidis, P.; Stylianaki, A.; Tsimogiannis, K.; Katsikogiannis, N. Gastrointestinal stromal tumor mesenchymal neoplasms: The offspring that choose the wrong path. J. Multidiscip. Healthc. 2013, 6, 127–131. [Google Scholar] [CrossRef]
- Al-Swaiti, G.T.; Al-Qudah, M.H.; Al-Doud, M.A.; Al-Bdour, A.R.; Al-Nizami, W. Spontaneous perforation of jejunal gastrointestinal stromal tumor: A case report. Int. J. Surg. Case Rep. 2020, 73, 31–34. [Google Scholar] [CrossRef] [PubMed]
- Gheorghe, G.; Bacalbasa, N.; Ceobanu, G.; Ilie, M.; Enache, V.; Constantinescu, G.; Bungau, S.; Diaconu, C.C. Gastrointestinal Stromal Tumors—A Mini Review. J. Pers. Med. 2021, 11, 694. [Google Scholar] [CrossRef] [PubMed]
- Alessiani, M.; Gianola, M.; Rossi, S.; Perfetti, V.; Serra, P.; Zelaschi, D.; Magnani, E.; Cobianchi, L. Peritonitis secondary to spontaneous perforation of a primary gastrointestinal stromal tumour of the small intestine: A case report and a literature review. Int. J. Surg. Case Rep. 2015, 6c, 58–62. [Google Scholar] [CrossRef] [PubMed]
- Wu, C.E.; Tzen, C.Y.; Wang, S.Y.; Yeh, C.N. Clinical Diagnosis of Gastrointestinal Stromal Tumor (GIST): From the Molecular Genetic Point of View. Cancers 2019, 11, 679. [Google Scholar] [CrossRef] [PubMed]
- Unk, M.; Jezeršek Novaković, B.; Novaković, S. Molecular Mechanisms of Gastrointestinal Stromal Tumors and Their Impact on Systemic Therapy Decision. Cancers 2023, 15, 1498. [Google Scholar] [CrossRef] [PubMed]
- Schaefer, I.M.; DeMatteo, R.P.; Serrano, C. The GIST of Advances in Treatment of Advanced Gastrointestinal Stromal Tumor. Am. Soc. Clin. Oncol. Educ. Book 2022, 42, 885–899. [Google Scholar] [CrossRef]
- Duffaud, F.; Le Cesne, A. Recent advances in managing gastrointestinal stromal tumor. F1000Research 2017, 6, 1689. [Google Scholar] [CrossRef]
- Tzikos, G.; Menni, A.-E.; Krokou, D.; Vouchara, A.; Doutsini, S.; Karlafti, E.; Karakatsanis, A.; Ioannidis, A.; Panidis, S.; Papavramidis, T.; et al. Gastrointestinal Stromal Tumors: Our Ten-Year Experience of a Single-Center Tertiary Hospital. J. Pers. Med. 2023, 13, 1254. [Google Scholar] [CrossRef]
- Sato, K.; Tazawa, H.; Fujisaki, S.; Fukuhara, S.; Imaoka, K.; Hirata, Y.; Takahashi, M.; Fukuda, S.; Kuga, Y.; Nishida, T.; et al. Acute diffuse peritonitis due to spontaneous rupture of a primary gastrointestinal stromal tumor of the jejunum: A case report. Int. J. Surg. Case Rep. 2017, 39, 288–292. [Google Scholar] [CrossRef]
- Karagülle, E.; Türk, E.; Yildirim, E.; Gõktürk, H.S.; Kiyici, H.; Moray, G. Multifocal intestinal stromal tumors with jejunal perforation and intra-abdominal abscess: Report of a case. Turk. J. Gastroenterol. 2008, 19, 264–267. [Google Scholar]
- Ku, M.C.; Tsai, C.M.; Tyan, Y.S. Multiple gastrointestinal stromal tumors in a patient with type I neurofibromatosis presenting with tumor rupture and peritonitis. Clin. Imaging 2010, 34, 57–59. [Google Scholar] [CrossRef]
- Feng, F.; Chen, F.; Chen, Y.; Liu, J. A rare perforated gastrointestinal stromal tumor in the jejunum: A case report. Turk. J. Gastroenterol. 2011, 22, 208–212. [Google Scholar] [CrossRef]
- Memmi, N.; Cipe, G.; Bektasoglu, H.; Toydemir, T.; Kadioglu, H.; Bozkurt, S.; Buyukpinarbasili, N.; Karatepe, O.; Muslumanoglu, M. Perforated gastrointestinal stromal tumor in the jejunum: A rare cause of acute abdomen. Oncol. Lett. 2012, 4, 1244–1246. [Google Scholar] [CrossRef] [PubMed]
- Shoji, M.; Yoshimitsu, Y.; Maeda, T.; Sakuma, H.; Nakai, M.; Ueda, H. Perforated gastrointestinal stromal tumor (GIST) in a true jejunal diverticulum in adulthood: Report of a case. Surg. Today 2014, 44, 2180–2186. [Google Scholar] [CrossRef]
- Misawa, S.; Takeda, M.; Sakamoto, H.; Kirii, Y.; Ota, H.; Takagi, H. Spontaneous rupture of a giant gastrointestinal stromal tumor of the jejunum: A case report and literature review. World J. Surg. Oncol. 2014, 12, 153. [Google Scholar] [CrossRef] [PubMed][Green Version]
- Meneses, E.; Elkbuli, A.; Baroutjian, A.; McKenney, M.; Boneva, D. Perforated proximal jejunal gastrointestinal stromal tumor pT4N0M0 presenting with severe sepsis: A case report and literature review. Ann. Med. Surg. 2020, 57, 76–81. [Google Scholar] [CrossRef] [PubMed]
- Oppelt, P.J.; Hirbe, A.C.; Van Tine, B.A. Gastrointestinal stromal tumors (GISTs): Point mutations matter in management, a review. J. Gastrointest. Oncol. 2017, 8, 466–473. [Google Scholar] [CrossRef]
- Wang, Q.; Huang, Z.P.; Zhu, Y.; Fu, F.; Tian, L. Contribution of Interstitial Cells of Cajal to Gastrointestinal Stromal Tumor Risk. Med. Sci. Monit. 2021, 27, e929575. [Google Scholar] [CrossRef] [PubMed]
- de Pinieux, G.; Karanian, M.; Le Loarer, F.; Le Guellec, S.; Chabaud, S.; Terrier, P.; Bouvier, C.; Batistella, M.; Neuville, A.; Robin, Y.M.; et al. Nationwide incidence of sarcomas and connective tissue tumors of intermediate malignancy over four years using an expert pathology review network. PLoS ONE 2021, 16, e0246958. [Google Scholar] [CrossRef]
- Ricci, R. Syndromic gastrointestinal stromal tumors. Hered. Cancer Clin. Pract. 2016, 14, 15. [Google Scholar] [CrossRef] [PubMed]
- Stratakis, C.A.; Carney, J.A. The triad of paragangliomas, gastric stromal tumours and pulmonary chondromas (Carney triad), and the dyad of paragangliomas and gastric stromal sarcomas (Carney–Stratakis syndrome): Molecular genetics and clinical implications. J. Intern. Med. 2009, 266, 43–52. [Google Scholar] [CrossRef] [PubMed]
- Andrzejewska, M.; Czarny, J.; Derwich, K. Latest Advances in the Management of Pediatric Gastrointestinal Stromal Tumors. Cancers 2022, 14, 4989. [Google Scholar] [CrossRef] [PubMed]
- Qian, H.; Yan, N.; Hu, X.; Jiang, J.; Cao, Z.; Shen, D. Molecular Portrait of GISTs Associated with Clinicopathological Features: A Retrospective Study with Molecular Analysis by a Custom 9-Gene Targeted Next-Generation Sequencing Panel. Front. Genet. 2022, 13, 864499. [Google Scholar] [CrossRef]
- Brčić, I.; Argyropoulos, A.; Liegl-Atzwanger, B. Update on Molecular Genetics of Gastrointestinal Stromal Tumors. Diagnostics 2021, 11, 194. [Google Scholar] [CrossRef]
- Astolfi, A.; Indio, V.; Nannini, M.; Saponara, M.; Schipani, A.; De Leo, A.; Altimari, A.; Vincenzi, B.; Comandini, D.; Grignani, G.; et al. Targeted Deep Sequencing Uncovers Cryptic KIT Mutations in KIT/PDGFRA/SDH/RAS-P Wild-Type GIST. Front. Oncol. 2020, 10, 504. [Google Scholar] [CrossRef]
- Boikos, S.A.; Pappo, A.S.; Killian, J.K.; LaQuaglia, M.P.; Weldon, C.B.; George, S.; Trent, J.C.; von Mehren, M.; Wright, J.A.; Schiffman, J.D.; et al. Molecular Subtypes of KIT/PDGFRA Wild-Type Gastrointestinal Stromal Tumors: A Report from the National Institutes of Health Gastrointestinal Stromal Tumor Clinic. JAMA Oncol. 2016, 2, 922–928. [Google Scholar] [CrossRef]
- Mathias-Machado, M.C.; de Jesus, V.H.F.; de Carvalho Oliveira, L.J.; Neumann, M.; Peixoto, R.D.A. Current Molecular Profile of Gastrointestinal Stromal Tumors and Systemic Therapeutic Implications. Cancers 2022, 14, 5330. [Google Scholar] [CrossRef]
- Niinuma, T.; Suzuki, H.; Sugai, T. Molecular characterization and pathogenesis of gastrointestinal stromal tumor. Transl. Gastroenterol. Hepatol. 2018, 3, 2. [Google Scholar] [CrossRef]
- Sheikh, E.; Tran, T.; Vranic, S.; Levy, A.; Bonfil, R.D. Role and significance of c-KIT receptor tyrosine kinase in cancer: A review. Bosn. J. Basic Med. Sci. 2022, 22, 683–698. [Google Scholar] [CrossRef]
- Liu, H.; Chen, X.; Focia, P.J.; He, X. Structural basis for stem cell factor-KIT signaling and activation of class III receptor tyrosine kinases. Embo J. 2007, 26, 891–901. [Google Scholar] [CrossRef]
- Lemmon, M.A.; Schlessinger, J. Cell signaling by receptor tyrosine kinases. Cell 2010, 141, 1117–1134. [Google Scholar] [CrossRef]
- Wozniak, A.; Rutkowski, P.; Piskorz, A.; Ciwoniuk, M.; Osuch, C.; Bylina, E.; Sygut, J.; Chosia, M.; Rys, J.; Urbanczyk, K.; et al. Prognostic value of KIT/PDGFRA mutations in gastrointestinal stromal tumours (GIST): Polish Clinical GIST Registry experience. Ann. Oncol. 2012, 23, 353–360. [Google Scholar] [CrossRef] [PubMed]
- Rossi, F.; Ehlers, I.; Agosti, V.; Socci, N.D.; Viale, A.; Sommer, G.; Yozgat, Y.; Manova, K.; Antonescu, C.R.; Besmer, P. Oncogenic Kit signaling and therapeutic intervention in a mouse model of gastrointestinal stromal tumor. Proc. Natl. Acad. Sci. USA 2006, 103, 12843–12848. [Google Scholar] [CrossRef] [PubMed]
- Chi, P.; Chen, Y.; Zhang, L.; Guo, X.; Wongvipat, J.; Shamu, T.; Fletcher, J.A.; Dewell, S.; Maki, R.G.; Zheng, D.; et al. ETV1 is a lineage survival factor that cooperates with KIT in gastrointestinal stromal tumours. Nature 2010, 467, 849–853. [Google Scholar] [CrossRef] [PubMed]
- Ran, L.; Sirota, I.; Cao, Z.; Murphy, D.; Chen, Y.; Shukla, S.; Xie, Y.; Kaufmann, M.C.; Gao, D.; Zhu, S.; et al. Combined inhibition of MAP kinase and KIT signaling synergistically destabilizes ETV1 and suppresses GIST tumor growth. Cancer Discov. 2015, 5, 304–315. [Google Scholar] [CrossRef]
- Sun, Y.; Yue, L.; Xu, P.; Hu, W. An overview of agents and treatments for PDGFRA-mutated gastrointestinal stromal tumors. Front. Oncol. 2022, 12, 927587. [Google Scholar] [CrossRef] [PubMed]
- Heinrich, M.C.; Corless, C.L.; Duensing, A.; McGreevey, L.; Chen, C.J.; Joseph, N.; Singer, S.; Griffith, D.J.; Haley, A.; Town, A.; et al. PDGFRA activating mutations in gastrointestinal stromal tumors. Science 2003, 299, 708–710. [Google Scholar] [CrossRef]
- Lasota, J.; Dansonka-Mieszkowska, A.; Sobin, L.H.; Miettinen, M. A great majority of GISTs with PDGFRA mutations represent gastric tumors of low or no malignant potential. Lab. Investig. 2004, 84, 874–883. [Google Scholar] [CrossRef] [PubMed]
- Wozniak, A.; Rutkowski, P.; Schöffski, P.; Ray-Coquard, I.; Hostein, I.; Schildhaus, H.U.; Le Cesne, A.; Bylina, E.; Limon, J.; Blay, J.Y.; et al. Tumor genotype is an independent prognostic factor in primary gastrointestinal stromal tumors of gastric origin: A european multicenter analysis based on ConticaGIST. Clin. Cancer Res. 2014, 20, 6105–6116. [Google Scholar] [CrossRef]
- Rizzo, A.; Pantaleo, M.A.; Astolfi, A.; Indio, V.; Nannini, M. The Identity of PDGFRA D842V-Mutant Gastrointestinal Stromal Tumors (GIST). Cancers 2021, 13, 705. [Google Scholar] [CrossRef]
- Corless, C.L.; Schroeder, A.; Griffith, D.; Town, A.; McGreevey, L.; Harrell, P.; Shiraga, S.; Bainbridge, T.; Morich, J.; Heinrich, M.C. PDGFRA mutations in gastrointestinal stromal tumors: Frequency, spectrum and in vitro sensitivity to imatinib. J. Clin. Oncol. 2005, 23, 5357–5364. [Google Scholar] [CrossRef]
- Lasota, J.; Stachura, J.; Miettinen, M. GISTs with PDGFRA exon 14 mutations represent subset of clinically favorable gastric tumors with epithelioid morphology. Lab. Investig. 2006, 86, 94–100. [Google Scholar] [CrossRef] [PubMed]
- Blay, J.-Y.; Kang, Y.-K.; Nishida, T.; von Mehren, M. Gastrointestinal stromal tumours. Nat. Rev. Dis. Primers 2021, 7, 22. [Google Scholar] [CrossRef] [PubMed]
- Bardella, C.; Pollard, P.J.; Tomlinson, I. SDH mutations in cancer. Biochim. Biophys. Acta BBA Bioenerg. 2011, 1807, 1432–1443. [Google Scholar] [CrossRef] [PubMed]
- Pantaleo, M.A.; Astolfi, A.; Urbini, M.; Nannini, M.; Paterini, P.; Indio, V.; Saponara, M.; Formica, S.; Ceccarelli, C.; Casadio, R.; et al. Analysis of all subunits, SDHA, SDHB, SDHC, SDHD, of the succinate dehydrogenase complex in KIT/PDGFRA wild-type GIST. Eur. J. Hum. Genet. 2014, 22, 32–39. [Google Scholar] [CrossRef]
- Nannini, M.; Astolfi, A.; Paterini, P.; Urbini, M.; Santini, D.; Catena, F.; Indio, V.; Casadio, R.; Pinna, A.D.; Biasco, G.; et al. Expression of IGF-1 receptor in KIT/PDGF receptor-α wild-type gastrointestinal stromal tumors with succinate dehydrogenase complex dysfunction. Future Oncol. 2013, 9, 121–126. [Google Scholar] [CrossRef]
- Schipani, A.; Nannini, M.; Astolfi, A.; Pantaleo, M.A. SDHA Germline Mutations in SDH-Deficient GISTs: A Current Update. Genes 2023, 14, 646. [Google Scholar] [CrossRef]
- Miettinen, M.; Lasota, J. Succinate dehydrogenase deficient gastrointestinal stromal tumors (GISTs)—A review. Int. J. Biochem. Cell Biol. 2014, 53, 514–519. [Google Scholar] [CrossRef] [PubMed]
- Gill, A.J.; Lipton, L.; Taylor, J.; Benn, D.E.; Richardson, A.L.; Frydenberg, M.; Shapiro, J.; Clifton-Bligh, R.J.; Chow, C.W.; Bogwitz, M. Germline SDHC mutation presenting as recurrent SDH deficient GIST and renal carcinoma. Pathology 2013, 45, 689–691. [Google Scholar] [CrossRef]
- Miettinen, M.; Killian, J.K.; Wang, Z.F.; Lasota, J.; Lau, C.; Jones, L.; Walker, R.; Pineda, M.; Zhu, Y.J.; Kim, S.Y.; et al. Immunohistochemical loss of succinate dehydrogenase subunit A (SDHA) in gastrointestinal stromal tumors (GISTs) signals SDHA germline mutation. Am. J. Surg. Pathol. 2013, 37, 234–240. [Google Scholar] [CrossRef] [PubMed]
- Miranda, C.; Nucifora, M.; Molinari, F.; Conca, E.; Anania, M.C.; Bordoni, A.; Saletti, P.; Mazzucchelli, L.; Pilotti, S.; Pierotti, M.A.; et al. KRAS and BRAF mutations predict primary resistance to imatinib in gastrointestinal stromal tumors. Clin. Cancer Res. 2012, 18, 1769–1776. [Google Scholar] [CrossRef] [PubMed]
- Simanshu, D.K.; Nissley, D.V.; McCormick, F. RAS Proteins and Their Regulators in Human Disease. Cell 2017, 170, 17–33. [Google Scholar] [CrossRef]
- Lasota, J.; Xi, L.; Coates, T.; Dennis, R.; Evbuomwan, M.O.; Wang, Z.F.; Raffeld, M.; Miettinen, M. No KRAS mutations found in gastrointestinal stromal tumors (GISTs): Molecular genetic study of 514 cases. Mod. Pathol. 2013, 26, 1488–1491. [Google Scholar] [CrossRef] [PubMed][Green Version]
- Śmiech, M.; Leszczyński, P.; Kono, H.; Wardell, C.; Taniguchi, H. Emerging BRAF Mutations in Cancer Progression and Their Possible Effects on Transcriptional Networks. Genes 2020, 11, 1342. [Google Scholar] [CrossRef] [PubMed]
- Rossi, S.; Gasparotto, D.; Miceli, R.; Toffolatti, L.; Gallina, G.; Scaramel, E.; Marzotto, A.; Boscato, E.; Messerini, L.; Bearzi, I.; et al. KIT, PDGFRA, and BRAF mutational spectrum impacts on the natural history of imatinib-naive localized GIST: A population-based study. Am. J. Surg. Pathol. 2015, 39, 922–930. [Google Scholar] [CrossRef]
- Agaimy, A.; Terracciano, L.M.; Dirnhofer, S.; Tornillo, L.; Foerster, A.; Hartmann, A.; Bihl, M.P. V600E BRAF mutations are alternative early molecular events in a subset of KIT/PDGFRA wild-type gastrointestinal stromal tumours. J. Clin. Pathol. 2009, 62, 613–616. [Google Scholar] [CrossRef]
- Huss, S.; Pasternack, H.; Ihle, M.A.; Merkelbach-Bruse, S.; Heitkötter, B.; Hartmann, W.; Trautmann, M.; Gevensleben, H.; Büttner, R.; Schildhaus, H.-U.; et al. Clinicopathological and molecular features of a large cohort of gastrointestinal stromal tumors (GISTs) and review of the literature: BRAF mutations in KIT/PDGFRA wild-type GISTs are rare events. Hum. Pathol. 2017, 62, 206–214. [Google Scholar] [CrossRef]
- Shi, S.S.; Wu, N.; He, Y.; Wei, X.; Xia, Q.Y.; Wang, X.; Ye, S.B.; Li, R.; Rao, Q.; Zhou, X.J. EGFR gene mutation in gastrointestinal stromal tumours. Histopathology 2017, 71, 553–561. [Google Scholar] [CrossRef] [PubMed]
- Daniels, M.; Lurkin, I.; Pauli, R.; Erbstösser, E.; Hildebrandt, U.; Hellwig, K.; Zschille, U.; Lüders, P.; Krüger, G.; Knolle, J.; et al. Spectrum of KIT/PDGFRA/BRAF mutations and Phosphatidylinositol-3-Kinase pathway gene alterations in gastrointestinal stromal tumors (GIST). Cancer Lett. 2011, 312, 43–54. [Google Scholar] [CrossRef] [PubMed]
- Shi, E.; Chmielecki, J.; Tang, C.M.; Wang, K.; Heinrich, M.C.; Kang, G.; Corless, C.L.; Hong, D.; Fero, K.E.; Murphy, J.D.; et al. FGFR1 and NTRK3 actionable alterations in “Wild-Type” gastrointestinal stromal tumors. J. Transl. Med. 2016, 14, 339. [Google Scholar] [CrossRef] [PubMed]
- Wai, D.H.; Knezevich, S.R.; Lucas, T.; Jansen, B.; Kay, R.J.; Sorensen, P.H. The ETV6-NTRK3 gene fusion encodes a chimeric protein tyrosine kinase that transforms NIH3T3 cells. Oncogene 2000, 19, 906–915. [Google Scholar] [CrossRef] [PubMed]
- Tognon, C.; Knezevich, S.R.; Huntsman, D.; Roskelley, C.D.; Melnyk, N.; Mathers, J.A.; Becker, L.; Carneiro, F.; MacPherson, N.; Horsman, D.; et al. Expression of the ETV6-NTRK3 gene fusion as a primary event in human secretory breast carcinoma. Cancer Cell 2002, 2, 367–376. [Google Scholar] [CrossRef] [PubMed]
- Yap, Y.S.; McPherson, J.R.; Ong, C.K.; Rozen, S.G.; Teh, B.T.; Lee, A.S.; Callen, D.F. The NF1 gene revisited–from bench to bedside. Oncotarget 2014, 5, 5873–5892. [Google Scholar] [CrossRef]
- Bergoug, M.; Doudeau, M.; Godin, F.; Mosrin, C.; Vallée, B.; Bénédetti, H. Neurofibromin Structure, Functions and Regulation. Cells 2020, 9, 2365. [Google Scholar] [CrossRef]
- Yamamoto, H.; Tobo, T.; Nakamori, M.; Imamura, M.; Kojima, A.; Oda, Y.; Nakamura, N.; Takahira, T.; Yao, T.; Tsuneyoshi, M. Neurofibromatosis type 1-related gastrointestinal stromal tumors: A special reference to loss of heterozygosity at 14q and 22q. J. Cancer Res. Clin. Oncol. 2009, 135, 791–798. [Google Scholar] [CrossRef]
- Mussi, C.; Schildhaus, H.-U.; Gronchi, A.; Wardelmann, E.; Hohenberger, P. Therapeutic Consequences from Molecular Biology for Gastrointestinal Stromal Tumor Patients Affected by Neurofibromatosis Type 1. Clin. Cancer Res. 2008, 14, 4550–4555. [Google Scholar] [CrossRef]
- Toda-Ishii, M.; Akaike, K.; Suehara, Y.; Mukaihara, K.; Kubota, D.; Kohsaka, S.; Okubo, T.; Mitani, K.; Mogushi, K.; Takagi, T.; et al. Clinicopathological effects of protein phosphatase 2, regulatory subunit A, alpha mutations in gastrointestinal stromal tumors. Mod. Pathol. 2016, 29, 1424–1432. [Google Scholar] [CrossRef][Green Version]
- Waisbren, J.; Uthe, R.; Siziopikou, K.; Kaklamani, V. BRCA 1/2 gene mutation and gastrointestinal stromal tumours: A potential association. BMJ Case Rep. 2015, 2015, bcr2014208830. [Google Scholar] [CrossRef]
- von Mehren, M.; Joensuu, H. Gastrointestinal Stromal Tumors. J. Clin. Oncol. 2018, 36, 136–143. [Google Scholar] [CrossRef]
- Caterino, S.; Lorenzon, L.; Petrucciani, N.; Iannicelli, E.; Pilozzi, E.; Romiti, A.; Cavallini, M.; Ziparo, V. Gastrointestinal stromal tumors: Correlation between symptoms at presentation, tumor location and prognostic factors in 47 consecutive patients. World J. Surg. Oncol. 2011, 9, 13. [Google Scholar] [CrossRef]
- Miranda, E.D.; Fernandez Trokhimtchouk, T.; Flores, L.F.; Morillo Cox, Á.; Negrete, J.R. Jejunal Gastrointestinal Stromal Tumor: A Diagnostic Challenge. Cureus 2023, 15, e38098. [Google Scholar] [CrossRef] [PubMed]
- Cabral, F.C.; Fulwadhva, U.; Landman, W.; Ghushe, N.; Sodickson, A.; Khurana, B. BWH emergency radiology–surgical correlation: Small-bowel GI stromal tumor perforation. Emerg. Radiol. 2015, 22, 441–443. [Google Scholar] [CrossRef] [PubMed]
- Efremidou, E.I.; Liratzopoulos, N.; Papageorgiou, M.S.; Romanidis, K. Perforated GIST of the small intestine as a rare cause of acute abdomen: Surgical treatment and adjuvant therapy. Case report. J. Gastrointestin. Liver Dis. 2006, 15, 297–299. [Google Scholar]
- Jansen, K.; Farahi, N.; Büscheck, F.; Lennartz, M.; Luebke, A.M.; Burandt, E.; Menz, A.; Kluth, M.; Hube-Magg, C.; Hinsch, A.; et al. DOG1 expression is common in human tumors: A tissue microarray study on more than 15,000 tissue samples. Pathol. Res. Pract. 2021, 228, 153663. [Google Scholar] [CrossRef] [PubMed]
- Miettinen, M. Immunohistochemistry of soft tissue tumours-review with emphasis on 10 markers. Histopathology 2014, 64, 101–118. [Google Scholar] [CrossRef]
- Zhang, H.; Liu, Q. Prognostic Indicators for Gastrointestinal Stromal Tumors: A Review. Transl. Oncol. 2020, 13, 100812. [Google Scholar] [CrossRef]
- Lasota, J.; Miettinen, M. KIT and PDGFRA mutations in gastrointestinal stromal tumors (GISTs). Semin. Diagn. Pathol. 2006, 23, 91–102. [Google Scholar] [CrossRef]
- Chaudhry, U.I.; DeMatteo, R.P. Advances in the surgical management of gastrointestinal stromal tumor. Adv. Surg. 2011, 45, 197–209. [Google Scholar] [CrossRef]
- Townsend, H. Surgical Management of Gastrointestinal Stromal Tumors. J. Adv. Pract. Oncol. 2023, 14, 541–547. [Google Scholar] [CrossRef] [PubMed]
- Rammohan, A.; Sathyanesan, J.; Rajendran, K.; Pitchaimuthu, A.; Perumal, S.K.; Srinivasan, U.; Ramasamy, R.; Palaniappan, R.; Govindan, M. A gist of gastrointestinal stromal tumors: A review. World J. Gastrointest. Oncol. 2013, 5, 102–112. [Google Scholar] [CrossRef]
- Thacoor, A. Gastrointestinal stromal tumours: Advances in surgical and pharmacological management options. J. Gastrointest. Oncol. 2018, 9, 573–578. [Google Scholar] [CrossRef]
- Iwatsuki, M.; Harada, K.; Iwagami, S.; Eto, K.; Ishimoto, T.; Baba, Y.; Yoshida, N.; Ajani, J.A.; Baba, H. Neoadjuvant and adjuvant therapy for gastrointestinal stromal tumors. Ann. Gastroenterol. Surg. 2019, 3, 43–49. [Google Scholar] [CrossRef] [PubMed]
- Casali, P.G.; Blay, J.Y.; Abecassis, N.; Bajpai, J.; Bauer, S.; Biagini, R.; Bielack, S.; Bonvalot, S.; Boukovinas, I.; Bovee, J.; et al. Gastrointestinal stromal tumours: ESMO-EURACAN-GENTURIS Clinical Practice Guidelines for diagnosis, treatment and follow-up. Ann. Oncol. 2022, 33, 20–33. [Google Scholar] [CrossRef] [PubMed]
- Serrano, C.; Martín-Broto, J.; Asencio-Pascual, J.M.; López-Guerrero, J.A.; Rubió-Casadevall, J.; Bagué, S.; García-Del-Muro, X.; Fernández-Hernández, J.; Herrero, L.; López-Pousa, A.; et al. 2023 GEIS Guidelines for gastrointestinal stromal tumors. Ther. Adv. Med. Oncol. 2023, 15, 17588359231192388. [Google Scholar] [CrossRef]
- Klug, L.R.; Khosroyani, H.M.; Kent, J.D.; Heinrich, M.C. New treatment strategies for advanced-stage gastrointestinal stromal tumours. Nat. Rev. Clin. Oncol. 2022, 19, 328–341. [Google Scholar] [CrossRef] [PubMed]
- Heinrich, M.C.; Jones, R.L.; George, S.; Gelderblom, H.; Schöffski, P.; von Mehren, M.; Zalcberg, J.R.; Kang, Y.-K.; Razak, A.A.; Trent, J.; et al. Ripretinib versus sunitinib in gastrointestinal stromal tumor: ctDNA biomarker analysis of the phase 3 INTRIGUE trial. Nat. Med. 2024. [Google Scholar] [CrossRef]
- Naito, Y.; Nishida, T.; Doi, T. Current status of and future prospects for the treatment of unresectable or metastatic gastrointestinal stromal tumours. Gastric Cancer 2023, 26, 339–351. [Google Scholar] [CrossRef]
- Arshad, J.; Costa, P.A.; Barreto-Coelho, P.; Valdes, B.N.; Trent, J.C. Immunotherapy Strategies for Gastrointestinal Stromal Tumor. Cancers 2021, 13, 3525. [Google Scholar] [CrossRef] [PubMed]
- Serrano, C. New treatments in advanced gastrointestinal stromal tumor. Curr. Opin. Oncol. 2021, 33, 323–328. [Google Scholar] [CrossRef] [PubMed]


| Authors | Year | Age | Sex | Clinical Presentation | Location (Distance from Treitz’ Ligament) | Size (cm) | Intraoperative Findings | Mitotic Count (/50 HPF) | Ki67 % | Treatment and Adjuvant Therapy (Duration) | Outcome |
|---|---|---|---|---|---|---|---|---|---|---|---|
| Karagülle et al. [13] | 2008 | 70 | M | Right-sided abdominal pain, inappetence, nausea, bloating | Jejunum (5 cm) | 5 | Abscess | 0 | N/A | Surgical Resection (SR) | 13 months ANED |
| Ku MC et al. [14] | 2010 | 33 | F | Acute abdominal pain | Jejunum (multiple tumors) | 6.5 × 5.3 × 3.9 | Peritonitis | N/A | N/A | SR | N/A |
| Feng et al. [15] | 2011 | 49 | M | Paroxysmal, persistent left abdominal pain | Jejunum (40 cm) | 10 × 8 | Peritonitis | <5 | <5 | SR | N/A |
| Memmi et al. [16] | 2012 | 59 | M | Acute abdominal pain | Jejunum (150 cm) | 12 × 10 × 9 | Peritonitis | 7 | 8 | SR | N/A |
| Shoji et al. [17] | 2013 | 61 | M | Sudden abdominal pain, nausea | Jejunum (40 cm) | 9 × 7 | Peritonitis | 0 | 1 | SR + Imatinib (36 months) | 36 months ANED |
| Misawa et al. [18] | 2014 | 70 | M | Fever, abdominal pain | Jejunum (near Treitz’s ligament) | 10 × 10 | Peritonitis | N/A | 26 | SR + Imatinib | 12 months ANED |
| Alessiani et al. [6] | 2014 | 82 | M | Fever, vomiting, diarrhea, diffuse abdominal pain | Jejunum (10 cm) | 7 × 5 | Peritonitis | 16 | 15 | SR + Imatinib | 6 months ANDE |
| Sato et al. [12] | 2017 | 74 | M | Vomiting, abdominal pain | Jejunum (100 cm) | 14 | Peritonitis | N/A | N/A | SR + Imatinib (3 months) | 22 months |
| Meneses et al. [19] | 2020 | 46 | M | Left upper quadrant pain, fevers, chills | Jejunum (10 cm) | 13 × 6 × 7.5 | Peritonitis | <5 | 10 | SR | N/A |
| Al-Swaiti et al. [4] | 2020 | 59 | M | Severe generalized abdominal pain | Jejunum (mild) | 11 × 9 | Peritonitis | 8 | N/A | SR + Imatinib | N/A |
| Our case | 2022 | 76 | F | Acute abdominal pain, abdominal distention | Jejunum (150 cm) | 35 | Peritonitis | >5 | 25 | SR | 24 months ANED |
Disclaimer/Publisher’s Note: The statements, opinions and data contained in all publications are solely those of the individual author(s) and contributor(s) and not of MDPI and/or the editor(s). MDPI and/or the editor(s) disclaim responsibility for any injury to people or property resulting from any ideas, methods, instructions or products referred to in the content. |
© 2024 by the authors. Licensee MDPI, Basel, Switzerland. This article is an open access article distributed under the terms and conditions of the Creative Commons Attribution (CC BY) license (https://creativecommons.org/licenses/by/4.0/).
Share and Cite
Mirovic, M.; Stojanovic, M.D.; Jovanovic, M.; Stankovic, V.; Milosev, D.; Zdravkovic, N.; Milosevic, B.; Cvetkovic, A.; Spasic, M.; Vekic, B.; et al. Exploring Perforated Jejunal GIST: A Rare Case Report and Review of Molecular and Clinical Literature. Curr. Issues Mol. Biol. 2024, 46, 1192-1207. https://doi.org/10.3390/cimb46020076
Mirovic M, Stojanovic MD, Jovanovic M, Stankovic V, Milosev D, Zdravkovic N, Milosevic B, Cvetkovic A, Spasic M, Vekic B, et al. Exploring Perforated Jejunal GIST: A Rare Case Report and Review of Molecular and Clinical Literature. Current Issues in Molecular Biology. 2024; 46(2):1192-1207. https://doi.org/10.3390/cimb46020076
Chicago/Turabian StyleMirovic, Milos, Milica Dimitrijevic Stojanovic, Marina Jovanovic, Vesna Stankovic, Danijela Milosev, Natasa Zdravkovic, Bojan Milosevic, Aleksandar Cvetkovic, Marko Spasic, Berislav Vekic, and et al. 2024. "Exploring Perforated Jejunal GIST: A Rare Case Report and Review of Molecular and Clinical Literature" Current Issues in Molecular Biology 46, no. 2: 1192-1207. https://doi.org/10.3390/cimb46020076
APA StyleMirovic, M., Stojanovic, M. D., Jovanovic, M., Stankovic, V., Milosev, D., Zdravkovic, N., Milosevic, B., Cvetkovic, A., Spasic, M., Vekic, B., Jovanovic, I., Stojanovic, B. S., Petrovic, M., Bogut, A., Peulic, M., & Stojanovic, B. (2024). Exploring Perforated Jejunal GIST: A Rare Case Report and Review of Molecular and Clinical Literature. Current Issues in Molecular Biology, 46(2), 1192-1207. https://doi.org/10.3390/cimb46020076

