Loss of CCL28 and CXCL17 Expression and Increase in CCR1 Expression May Be Related to Malignant Transformation of LGBLEL into Lymphoma
Abstract
1. Introduction
2. Materials and Methods
2.1. Subjects
2.2. Tissue and Blood Specimen Collection
2.3. Whole-Transcript Sequencing
2.4. Real-Time Quantitative Polymerase Chain Reaction (RT-qPCR)
2.5. Immunohistochemical Staining (IHC)
2.6. Western Blotting (WB)
2.7. Data Processing and Statistical Analysis
3. Results
3.1. Transcriptome Sequencing Results of Lymphoma and CH
3.2. Transcriptome Sequencing Results of Lymphoma and LGBLEL
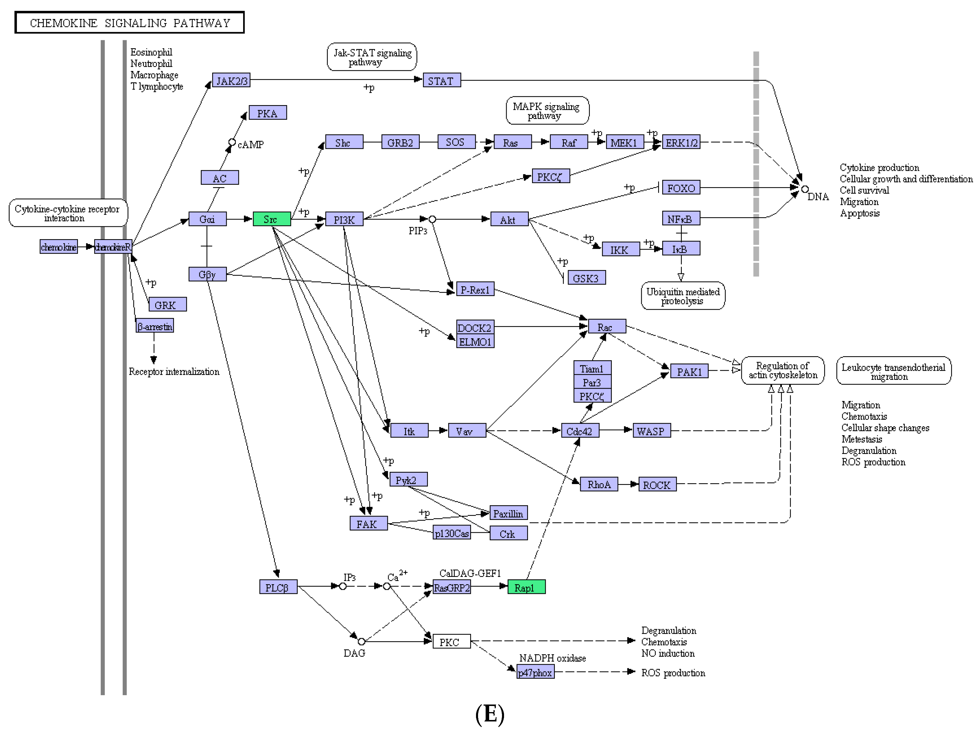
3.3. Key Genes of the Chemokine Signaling Pathway Are Differentially Expressed in LGBLEL and Lymphoma
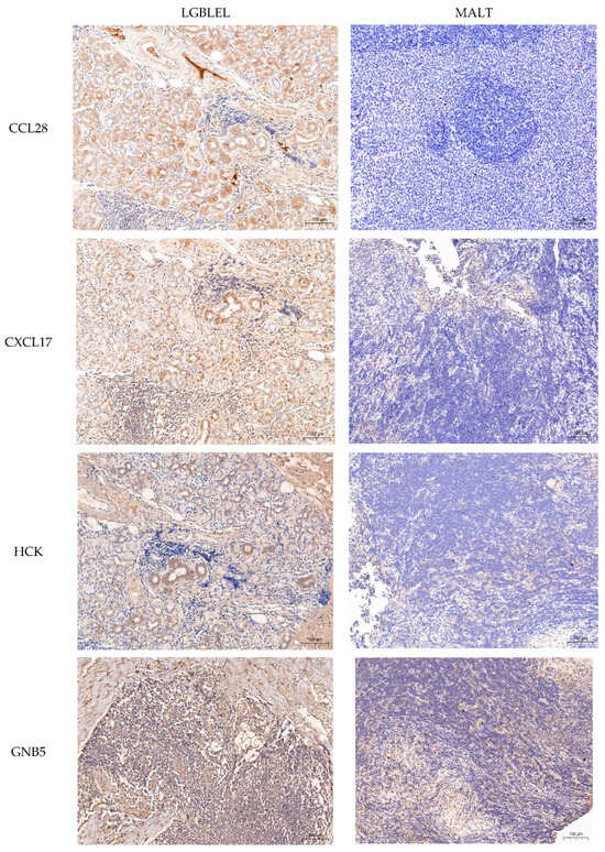
3.4. IHC Revealed Differential Expression of Key Proteins in the Chemokine Signaling Pathway in LGBLEL and Lymphoma
3.5. Western Blotting Reveals Differential Expression in the Chemokine Signaling Pathway Key Proteins in LGBLEL and Lymphoma
4. Discussion
Supplementary Materials
Author Contributions
Funding
Institutional Review Board Statement
Informed Consent Statement
Data Availability Statement
Conflicts of Interest
Abbreviations
| LGBLEL | lacrimal gland benign lymphoepithelial lesion |
| CH | cavernous hemangioma |
| RT-qPCR | Real-time quantitative polymerase chain reaction |
| IHC | immunohistochemical |
| WB | Western blotting |
| IgG4-ROD | immunoglobulin G4-related ophthalmic disease |
| IgG4-RD | IgG4-related disease |
| MALT | muco-associated lymphoid tissue |
| DEGs | differentially expressed genes |
| FDR | false discovery rate |
| GO | Gene Ontology |
| KEGG | Kyoto Encyclopedia of Genes and Genomes |
References
- Luan, F.; Liu, R.; Li, J.; Ge, X.; Wang, N.; Guo, Q.; Tao, Y.; Ma, J. Evaluation of the Efficacy of Immune and Inflammatory Markers in the Diagnosis of Lacrimal-Gland Benign Lymphoepithelial Lesion. Curr. Issues Mol. Biol. 2023, 45, 2013–2020. [Google Scholar] [CrossRef] [PubMed]
- Liu, R.; Wang, N.; Wang, J.J.; Li, J.; Ge, X.; Zhang, J.X.; Ma, J.M. Different serum levels of IgG and complements and recurrence rates in IgG4-positive and negative lacrimal gland benign lymphoepithelial lesion. Int. J. Ophthalmol. 2023, 16, 876–883. [Google Scholar] [CrossRef]
- Goto, H.; Takahira, M.; Azumi, A.; Japanese Study Group for IgG4-Related Ophthalmic Disease. Diagnostic criteria for IgG4-related ophthalmic disease. Jpn. J. Ophthalmol. 2015, 59, 1–7. [Google Scholar] [CrossRef] [PubMed]
- Soussan, J.B.; Deschamps, R.; Sadik, J.C.; Savatovsky, J.; Deschamps, L.; Puttermann, M.; Zmuda, M.; Heran, F.; Galatoire, O.; Picard, H.; et al. Infraorbital nerve involvement on magnetic resonance imaging in European patients with IgG4-related ophthalmic disease: A specific sign. Eur. Radiol. 2017, 27, 1335–1343. [Google Scholar] [CrossRef] [PubMed]
- Japanese Study Group of IgG4-Related Ophthalmic Disease. A prevalence study of IgG4-related ophthalmic disease in Japan. Jpn. J. Ophthalmol. 2013, 57, 573–579. [Google Scholar] [CrossRef] [PubMed]
- Derzko-Dzulynsky, L. IgG4-related disease in the eye and ocular adnexa. Curr. Opin. Ophthalmol. 2017, 28, 617–622. [Google Scholar] [CrossRef] [PubMed]
- Yu, W.K.; Tsai, C.C.; Kao, S.C.; Liu, C.J. Immunoglobulin G4-related ophthalmic disease. Taiwan J. Ophthalmol. 2018, 8, 9–14. [Google Scholar] [CrossRef] [PubMed]
- Sabt, B.I.; Al Yahyai, M.; Al-Mujaini, A.A.; Al-Mujaini, A.S. Ocular adnexal marginal zone lymphoma arising in a patient with immunoglobulin-G4-related ophthalmic disease: A 4-year delay in diagnosis. Saudi J. Ophthalmol. 2022, 35, 164–166. [Google Scholar] [CrossRef]
- Peng, X.; Jing, H.; He, W. Bilateral IgG4-related Ophthalmic Disease with Diffuse Large B-cell Lymphoma of the Right Eye: A Case Report. Ophthalmic Plast. Reconstr. Surg. 2020, 36, e84–e85. [Google Scholar] [CrossRef]
- Lai, K.K.H.; Li, E.Y.M.; Chan, R.Y.C.; Wong, K.C.W.; Yu, J.K.S.; Cheuk, W.; Hui, Y.H.; Cheng, A.C.O.; Chin, J.K.Y.; Ip, S.K.; et al. Malignancies in Immunoglobulin G4-related ophthalmic disease. Eur. J. Ophthalmol. 2023, 33, 171–181. [Google Scholar] [CrossRef] [PubMed]
- Adzavon, Y.M.; Zhao, P.; Zhang, X.; Liu, M.; Lv, B.; Yang, L.; Zhang, X.; Xie, F.; Zhang, M.; Ma, J.; et al. Genes and pathways associated with the occurrence of malignancy in benign lymphoepithelial lesions. Mol. Med. Rep. 2018, 17, 2177–2186. [Google Scholar] [CrossRef]
- Asakage, M.; Usui, Y.; Nezu, N.; Shimizu, H.; Tsubota, K.; Umazume, K.; Yamakawa, N.; Umezu, T.; Suwanai, H.; Kuroda, M.; et al. Comprehensive Gene Analysis of IgG4-Related Ophthalmic Disease Using RNA Sequencing. J. Clin. Med. 2020, 9, 3458. [Google Scholar] [CrossRef] [PubMed]
- Jöhrer, K.; Hofbauer, S.W.; Zelle-Rieser, C.; Greil, R.; Hartmann, T.N. Chemokine-dependent B cell-T cell interactions in chronic lymphocytic leukemia and multiple myeloma—Targets for therapeutic intervention? Expert Opin. Biol. Ther. 2012, 12, 425–441. [Google Scholar] [CrossRef] [PubMed]
- Li, J.; Liu, R.; Sun, M.; Wang, J.; Wang, N.; Zhang, X.; Ge, X.; Ma, J. The FcεRI signaling pathway is involved in the pathogenesis of lacrimal gland benign lymphoepithelial lesions as shown by transcriptomic analysis. Sci. Rep. 2021, 11, 21853. [Google Scholar] [CrossRef] [PubMed]
- Jaxa-Kwiatkowski, A.; Tomczyk-Kurza, K.; Gerber, H.; Kubiak, M. Orbital Cavernous Venous Malformation in a 35-Year-Old Man: A Case Report. Indian J. Otolaryngol. Head Neck Surg. 2023, 75, 1000–1005. [Google Scholar] [CrossRef]
- Liu, R.; Wang, N.; Wang, J.; Sun, M.; Ge, X.; Ma, J. The difference of clinical features and immunological indicators in immunoglobulin G4-related dacryadenitis and lacrimal lymphomas. Chin. J. Ophthalmol. Electron. Ed. 2021, 11, 217–222. [Google Scholar]
- Chen, Y.; Yang, J.; Guo, H.; Du, Y.; Liu, G.; Yu, C.; Zhong, F.; Lian, B.; Zhang, J. Comparative transcriptomic analysis reveals potential mechanisms for high tolerance to submergence in arbor willows. PeerJ 2022, 10, e12881. [Google Scholar] [CrossRef]
- Walter, W.; Shahswar, R.; Stengel, A.; Meggendorfer, M.; Kern, W.; Haferlach, T.; Haferlach, C. Clinical application of whole transcriptome sequencing for the classification of patients with acute lymphoblastic leukemia. BMC Cancer 2021, 21, 886. [Google Scholar] [CrossRef]
- Doganyigit, Z.; Eroglu, E.; Akyuz, E. Inflammatory mediators of cytokines and chemokines in sepsis: From bench to bedside. Hum. Exp. Toxicol. 2022, 41, 09603271221078871. [Google Scholar] [CrossRef]
- Stone, M.J.; Hayward, J.A.; Huang, C.; EHuma, Z.; Sanchez, J. Mechanisms of Regulation of the Chemokine-Receptor Network. Int. J. Mol. Sci. 2017, 18, 342. [Google Scholar] [CrossRef]
- Capecchi, R.; Croia, C.; Puxeddu, I.; Pratesi, F.; Cacciato, A.; Campani, D.; Boggi, U.; Morelli, L.; Tavoni, A.; Migliorini, P. CXCL12/SDF-1 in IgG4-Related Disease. Front. Pharmacol. 2021, 12, 750216. [Google Scholar] [CrossRef] [PubMed]
- Tsuboi, H.; Iizuka-Koga, M.; Asashima, H.; Takahashi, H.; Kudo, H.; Ono, Y.; Honda, F.; Iizuka, A.; Segawa, S.; Abe, S.; et al. Upregulation and pathogenic roles of CCL18-CCR8 axis in IgG4-related disease. Mod. Rheumatol. 2020, 30, 729–737. [Google Scholar] [CrossRef] [PubMed]
- Akiyama, M.; Yasuoka, H.; Yoshimoto, K.; Takeuchi, T. CC-chemokine ligand 18 is a useful biomarker associated with disease activity in IgG4-related disease. Ann. Rheum. Dis. 2018, 77, 1386–1387. [Google Scholar] [CrossRef]
- Koarada, S.; Tashiro, S.; Tokuda, Y.; Ono, Y.; Sadanaga, Y.; Suematsu, R.; Ono, N.; Ohta, A.; Tada, Y. Persistent expression of CXCR5 on plasmablasts in IgG4-related disease. Ann. Rheum. Dis. 2015, 74, e32. [Google Scholar] [CrossRef] [PubMed]
- de Masson, A.; Darbord, D.; Dobos, G.; Boisson, M.; Roelens, M.; Ram-Wolff, C.; Cassius, C.; Le Buanec, H.; de la Grange, P.; Jouenne, F.; et al. Macrophage-derived CXCL9 and CXCL11, T-cell skin homing, and disease control in mogamulizumab-treated CTCL patients. Blood 2022, 139, 1820–1832. [Google Scholar] [CrossRef]
- Chan, C.C.; Shen, D.; Hackett, J.J.; Buggage, R.R.; Tuaillon, N. Expression of chemokine receptors, CXCR4 and CXCR5, and chemokines, BLC and SDF-1, in the eyes of patients with primary intraocular lymphoma. Ophthalmology 2003, 110, 421–426. [Google Scholar] [CrossRef] [PubMed]
- Higuchi, T.; Hashida, Y.; Matsuo, K.; Kitahata, K.; Ujihara, T.; Murakami, I.; Nakayama, T.; Daibata, M. EBV-positive pyothorax-associated lymphoma expresses CXCL9 and CXCL10 chemokines that attract cytotoxic lymphocytes via CXCR3. Cancer Sci. 2023, 114, 2622–2633. [Google Scholar] [CrossRef]
- Hnátková, M.; Mociková, H.; Trnený, M.; Zivný, J. The biological environment of Hodgkin’s lymphoma and the role of the chemokine CCL17/TARC. Prague Med. Rep. 2009, 110, 35–41. [Google Scholar]
- Chatzis, L.; Goules, A.V.; Stergiou, I.E.; Voulgarelis, M.; Tzioufas, A.G.; Kapsogeorgou, E.K. Serum, but Not Saliva, CXCL13 Levels Associate With Infiltrating CXCL13+ Cells in the Minor Salivary Gland Lesions and Other Histologic Parameters in Patients With Sjögren’s Syndrome. Front. Immunol. 2021, 12, 705079. [Google Scholar] [CrossRef]
- Traianos, E.Y.; Locke, J.; Lendrem, D.; Bowman, S.; Hargreaves, B.; Macrae, V.; UK Primary Sjögren’s Syndrome Registry; Tarn, J.R.; Ng, W.F. Serum CXCL13 levels are associated with lymphoma risk and lymphoma occurrence in primary Sjögren’s syndrome. Rheumatol. Int. 2020, 40, 541–548. [Google Scholar] [CrossRef]
- Barone, F.; Bombardieri, M.; Rosado, M.M.; Morgan, P.R.; Challacombe, S.J.; De Vita, S.; Carsetti, R.; Spencer, J.; Valesini, G.; Pitzalis, C. CXCL13, CCL21, and CXCL12 expression in salivary glands of patients with Sjogren’s syndrome and MALT lymphoma: Association with reactive and malignant areas of lymphoid organization. J. Immunol. 2008, 180, 5130–5140. [Google Scholar] [CrossRef] [PubMed]
- Stollberg, S.; Kämmerer, D.; Neubauer, E.; Schulz, S.; Simonitsch-Klupp, I.; Kiesewetter, B.; Raderer, M.; Lupp, A. Differential somatostatin and CXCR4 chemokine receptor expression in MALT-type lymphoma of gastric and extragastric origin. J. Cancer Res. Clin. Oncol. 2016, 142, 2239–2247. [Google Scholar] [CrossRef] [PubMed]
- Suefuji, H.; Ohshima, K.; Karube, K.; Kawano, R.; Nabeshima, K.; Suzumiya, J.; Hayabuchi, N.; Kikuchi, M. CXCR3-positive B cells found at elevated frequency in the peripheral blood of patients with MALT lymphoma are attracted by MIG and belong to the lymphoma clone. Int. J. Cancer 2005, 114, 896–901. [Google Scholar] [CrossRef] [PubMed]
- Mohan, T.; Deng, L.; Wang, B.Z. CCL28 chemokine: An anchoring point bridging innate and adaptive immunity. Int. Immunopharmacol. 2017, 51, 165–170. [Google Scholar] [CrossRef] [PubMed]
- Hanamoto, H.; Nakayama, T.; Miyazato, H.; Takegawa, S.; Hieshima, K.; Tatsumi, Y.; Kanamaru, A.; Yoshie, O. Expression of CCL28 by Reed-Sternberg cells defines a major subtype of classical Hodgkin’s disease with frequent infiltration of eosinophils and/or plasma cells. Am. J. Pathol. 2004, 164, 997–1006. [Google Scholar] [CrossRef] [PubMed]
- Cheng, F.; Yang, S.Y.; Fang, X.X.; Wang, X.; Zhao, F.T. Role of the CCL28-CCR10 pathway in monocyte migration in rheumatoid arthritis. Beijing Da Xue Xue Bao Yi Xue Ban 2022, 54, 1074–1078. (In Chinese) [Google Scholar] [CrossRef] [PubMed]
- Choreño-Parra, J.A.; Thirunavukkarasu, S.; Zúñiga, J.; Khader, S.A. The protective and pathogenic roles of CXCL17 in human health and disease: Potential in respiratory medicine. Cytokine Growth Factor Rev. 2020, 53, 53–62. [Google Scholar] [CrossRef] [PubMed]
- Xiao, S.; Xie, W.; Zhou, L. Mucosal chemokine CXCL17: What is known and not known. Scand. J. Immunol. 2021, 93, e12965. [Google Scholar] [CrossRef] [PubMed]
- Zhou, X.; Guo, S.; Shi, Y. Comprehensive analysis of the expression and significance of CXCLs in human diffuse large B-cell lymphoma. Sci. Rep. 2022, 12, 2817. [Google Scholar] [CrossRef] [PubMed]
- Sanchez, J.; EHuma, Z.; Lane, J.R.; Liu, X.; Bridgford, J.L.; Payne, R.J.; Canals, M.; Stone, M.J. Evaluation and extension of the two-site, two-step model for binding and activation of the chemokine receptor CCR1. J. Biol. Chem. 2019, 294, 3464–3475. [Google Scholar] [CrossRef] [PubMed]
- Deutsch, A.J.; Steinbauer, E.; Hofmann, N.A.; Strunk, D.; Gerlza, T.; Beham-Schmid, C.; Schaider, H.; Neumeister, P. Chemokine receptors in gastric MALT lymphoma: Loss of CXCR4 and upregulation of CXCR7 is associated with progression to diffuse large B-cell lymphoma. Mod. Pathol. 2013, 26, 182–194. [Google Scholar] [CrossRef] [PubMed]
- Sadeghi, L.; Wright, A.P. Migration and Adhesion of B-Lymphocytes to Specific Microenvironments in Mantle Cell Lymphoma: Interplay between Signaling Pathways and the Epigenetic Landscape. Int. J. Mol. Sci. 2021, 22, 6247. [Google Scholar] [CrossRef] [PubMed]














| Group | Mean Age (Years Old) | Sex (Male: Female) |
|---|---|---|
| LGBLEL (n = 15) | 42.60 ± 8.48 (range, 27–57) | 1:6.5 |
| Lymphoma (n = 14) | 57.43 ± 11.06 (range, 38–78) | 2.5:1 |
| CH (n = 9) | 48.67 ± 7.09 (range, 37–55) | 1:3.5 |
| p Value | LGBLEL vs. Lymphoma | Lymphoma vs. CH | LGBLEL vs. CH |
|---|---|---|---|
| Mean age (years old) | 0.000 # | 0.016 # | 0.069 # |
| Sex (male: female) | 0.003 * | 0.036 * | 0.615 * |
| Gene | Primer Sequence 5′-3′ |
|---|---|
| h GAPDH_F | GCCTTCCGTGTCCCCACTGC |
| h GAPDH_R | GGCTGGTGGTCCAGGGGTCT |
| h CCL28_F | GCCCTACATGCCTCAGAAG |
| h CCL28_R | CTTAACAGTATGGTTGTGCGG |
| h CXCL17_F | CTGTTGCTGCCACTAATGC |
| h CXCL17_R | GCTCTCAGGAACCAATCTTTG |
| h HCK_F | GGAGCCCATCTACATCATCA |
| h HCK_R | CCGTGTACTCGTTGTCCTCA |
| h NRAS_F | CAATCCAGCTAATCCAGAACC |
| h NRAS_R | TGTTTCCCACTAGCACCATAG |
| h GNB5_F | GTTCTGTGTACCCCTTGACG |
| h GNB5_R | GGCTTTCTTGTCACATCCC |
| h VAV2_F | ACGAGGACATCATCAAGGTG |
| h VAV2_R | GGTAGTACTTGGCCTCGGTC |
| h CCR1_F | GGAATTCACTCACCACACCTG |
| h CCR1_R | ACGGACAGCTTTGGATTTCT |
Disclaimer/Publisher’s Note: The statements, opinions and data contained in all publications are solely those of the individual author(s) and contributor(s) and not of MDPI and/or the editor(s). MDPI and/or the editor(s) disclaim responsibility for any injury to people or property resulting from any ideas, methods, instructions or products referred to in the content. |
© 2024 by the authors. Licensee MDPI, Basel, Switzerland. This article is an open access article distributed under the terms and conditions of the Creative Commons Attribution (CC BY) license (https://creativecommons.org/licenses/by/4.0/).
Share and Cite
Liu, R.; Ma, M.; Li, J.; Luan, F.; Ren, T.; Wang, N.; Ma, J. Loss of CCL28 and CXCL17 Expression and Increase in CCR1 Expression May Be Related to Malignant Transformation of LGBLEL into Lymphoma. Curr. Issues Mol. Biol. 2024, 46, 10969-10990. https://doi.org/10.3390/cimb46100652
Liu R, Ma M, Li J, Luan F, Ren T, Wang N, Ma J. Loss of CCL28 and CXCL17 Expression and Increase in CCR1 Expression May Be Related to Malignant Transformation of LGBLEL into Lymphoma. Current Issues in Molecular Biology. 2024; 46(10):10969-10990. https://doi.org/10.3390/cimb46100652
Chicago/Turabian StyleLiu, Rui, Mingshen Ma, Jing Li, Fuxiao Luan, Tingting Ren, Nan Wang, and Jianmin Ma. 2024. "Loss of CCL28 and CXCL17 Expression and Increase in CCR1 Expression May Be Related to Malignant Transformation of LGBLEL into Lymphoma" Current Issues in Molecular Biology 46, no. 10: 10969-10990. https://doi.org/10.3390/cimb46100652
APA StyleLiu, R., Ma, M., Li, J., Luan, F., Ren, T., Wang, N., & Ma, J. (2024). Loss of CCL28 and CXCL17 Expression and Increase in CCR1 Expression May Be Related to Malignant Transformation of LGBLEL into Lymphoma. Current Issues in Molecular Biology, 46(10), 10969-10990. https://doi.org/10.3390/cimb46100652

