Significant Association of Estrogen Receptor-β Isoforms and Coactivators in Breast Cancer Subtypes
Abstract
1. Introduction
1.1. Two Estrogen Receptors
1.2. Nuclear Receptor Coregulators
2. Materials and Methods
2.1. Patients
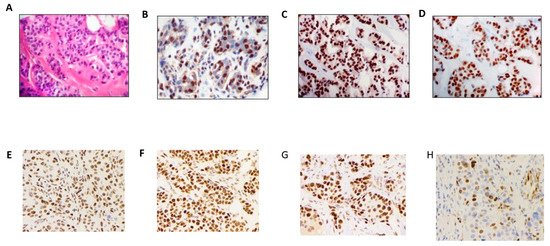
2.2. Tissue Microarray (TMA) Preparation
2.3. Immunohistochemistry
2.4. Statistical Analysis
3. Results
3.1. Association of Coactivators and Clinical Parameters in BCa Subtypes
3.2. Spearman Rank Order Correlation between Coactivators and ERβ Isoforms
3.3. Cox Univariate OS and Cofactors Expression in BCa Subtypes and Subgroups
4. Discussion
5. Conclusions
Author Contributions
Funding
Institutional Review Board Statement
Informed Consent Statement
Data Availability Statement
Conflicts of Interest
References
- Powell, E.; Shanle, E.; Brinkman, A.; Keles, S.; Wisinski, K.; Huang, W.; Xu, W. Identification of estrogen receptor dimer selective ligands reveals growth-inhibitory effects on cells that co-express ERα and ERβ. PLoS ONE 2012, 7, e30993. [Google Scholar] [CrossRef] [PubMed]
- Hall, J.; McDonnell, D. The estrogen receptor β isoform (ERβ) of the human estrogen receptor modulates ERα transcriptional activity and is a key regulator of the cellular response to estrogens and antiestrogens. Endocrinology 1999, 40, 5566–5578. [Google Scholar] [CrossRef] [PubMed]
- Borgquist, S.; Zholm, C.; Stendahl, M.; Anagnostaki, L.; Landberg, G.; Jirstrom, K. Oestrogen receptors α and β show different associations to clinicopathological parameters and their co-expression might predict a better response to endocrine treatment in breast cancer. J. Clin. Pathol. 2008, 61, 197–203. [Google Scholar] [CrossRef] [PubMed]
- Leung, Y.; Lee, M.; Lam, H.; Tarapore, P.; Ho, S. Estrogen receptor-beta ad breast cancer: Translating biology into clinical practice. Steroids 2012, 77, 727–737. [Google Scholar] [CrossRef] [PubMed]
- Bozovic, A.; Mandusic, V.; Todorovic, L.; Krajnovic, M. Estrogen receptor beta: The promising biomarker and potential target in metastasis. Int. J. Mol. Sci. 2021, 22, 1656. [Google Scholar] [CrossRef]
- O’Malley, B.W.; Qin, J.; Lanz, R.B. Cracking the coregulatory codes. Curr. Opin. Cell Biol. 2008, 20, 310–315. [Google Scholar] [CrossRef]
- Choi, Y. Estrogen receptor β expression and its clinical implication in breast cancers: Favorable or unfavorable? J. Breast Cancer 2022, 25, e9. [Google Scholar] [CrossRef]
- Zhou, Y.; Liu, X. The role of estrogen receptor beta in breast cancer. Biomark. Res. 2010, 8, 39. [Google Scholar] [CrossRef]
- Choi, Y.; Pinto, M. Estrogen receptor β in breast cancer: Associations between ERβ hormonal receptors, and other prognostic biomarkers. App. Immunohistochem. Mol. Morphol. 2005, 13, 19–25. [Google Scholar] [CrossRef]
- Choi, Y.; Kim, H.; Pollack, S. ERβ isoforms have differential clinical significance in breast cancer subtypes and subgroups. Curr. Issues Mol. Biol. 2022, 44, 1564–1586. [Google Scholar] [CrossRef]
- Hall, J.M.; McDonnell, D.P. Coregulators in nuclear estrogen receptor action: From concept to therapeutic targeting. Mol. Interv. 2005, 5, 343–357. [Google Scholar] [CrossRef] [PubMed]
- Lonard, D.M.; Lanz, R.B.; O’Malley, B.W. Nuclear receptor coregulators and human disease. Endocr. Rev. 2007, 28, 575–587. [Google Scholar] [CrossRef] [PubMed]
- York, B.; O’Malley, B.W. Steroid receptor coactivator (SRC) family: Master of Systems Biology. J. Biol. Chem. 2010, 285, 38743–38750. [Google Scholar] [CrossRef]
- Dasgupta, S.; Lonard, D.; O’Malley, B.W. Nuclear receptor coactivators: Master regulators of human health and disease. Annu. Rev. Med. 2014, 65, 279–292. [Google Scholar] [CrossRef]
- Altwegg, K.; Vadlamudi, R. The role of estrogen receptor correlators in endocrine resistant breast cancer. Explor. Target Antitumor Ther. 2021, 2, 385–400. [Google Scholar] [CrossRef]
- Klinge, C.M.; Jernigan, S.C.; Mattingly, K.A.; Risinger, K.E.; Zhang, J. Estrogen response element-dependent regulation of transcriptional activation of estrogen receptors alpha and beta by coactivators and corepressors. J. Mol. Endocrinol. 2004, 33, 387–410. [Google Scholar] [CrossRef] [PubMed]
- Wu, R.C.; Qin, J.; Hashimoto, Y.; Wong, J.; Xu, J.; Tsai, S.Y.; Tsai, M.-J.; O’Malley, B.W. Regulation of SRC-3 (pCIP/ACTR/AIB-1/RAC-3/TRAM-1) coactivator activity by I kappa B kinase. Mol. Cell. Biol. 2002, 22, 3549–3561. [Google Scholar] [CrossRef]
- Xu, J.; Wu, R.C.; O’Malley, B.W. Normal and cancer-related functions of the p160 steroid receptor co-activator (SRC) family. Nat. Rev. Cancer 2009, 9, 615–630. [Google Scholar] [CrossRef]
- Li, L.; Deng, C.; Chen, Q. SRC-3, a Steroid receptor coactivator: Implication in cancer. Int. J. Mol. Sci. 2021, 22, 4760. [Google Scholar] [CrossRef]
- List, H.J.; Reiter, R.; Singh, B.; Wellstein, A.; Riegel, A.T. Expression of the nuclear coactivator AIB1 in normal and malignant breast tissue. Breast Cancer Res. Treat. 2001, 68, 21–28. [Google Scholar] [CrossRef]
- Torres-Arzayus, M.I.; Zhao, J.; Bronson, R.; Brown, M. Estrogen-dependent and estrogen-independent mechanisms contribute to AIB-1-mediated tumor formation. Cancer Res. 2010, 70, 4102–4111. [Google Scholar] [CrossRef] [PubMed]
- Yan, J.; Tsai, S.Y.; Tsai, M.J. SRC-3/AIB1: Transcriptional coactivator in oncogenesis. Acta Pharmacol. Sin. 2006, 27, 387–394. [Google Scholar] [CrossRef] [PubMed]
- Gojis, O.; Rudraraju, B.; Gudi, M.; Hogben, K.; Sousha, S.; Coombes, R.; Cleator, S.; Palmieri, C. The role of SRC-3 in human breast cancer. Nat. Rev. Clin. Oncol. 2010, 7, 83–89. [Google Scholar] [CrossRef] [PubMed]
- Lee, K.; Lee, A.; Song, B.; Kang, C. Expression of AIB1 protein as a prognostic factor in breast cancer. World J. Surg. Oncol. 2011, 9, 139. [Google Scholar] [CrossRef]
- Dasgupta, S.; O’Malley, B.W. Transcriptional coregulators: Emerging roles of SRC family of coactivators in disease pathology. J. Mol. Endocrinol. 2014, 53, R47–R59. [Google Scholar] [CrossRef][Green Version]
- Burandt, E.; Jens, G.; Holst, F.; Jänicke, F.; Müller, V.; Quaas, A.; Choschzick, M.; Wilczak, W.; Terracciano, L.; Simon, R.; et al. Prognostic relevance of AIB1 (NCoA3) amplification and overexpression in breast cancer. Breast Cancer Res. Treat. 2013, 137, 745–753. [Google Scholar] [CrossRef]
- Zhao, W.; Zhang, Q.; Kang, X.; Jin, S.; Lou, C. AIB1 is required for the acquisition of epithelial growth factor receptor-mediated tamoxifen resistance in breast cancer cells. Biochem. Biophys. Res. Comm. 2009, 380, 699–704. [Google Scholar] [CrossRef] [PubMed]
- Osborne, C.K.; Bardou, V.; Hopp, T.A.; Chamness, G.C.; Hilsenbeck, S.G.; Fuqua, S.A.; Wong, J.; Allred, C.; Clark, G.; Schiff, R. Role of the estrogen receptor coactivator AIB1(SRC-3) and HER-2/neu in tamoxifen resistance in breast cancer. J. Natl. Cancer Inst. 2003, 95, 353–361. [Google Scholar] [CrossRef]
- Shou, J.; Massarweh, S.; Osborne, C.K.; Wakeling, A.E.; Ali, S.; Weiss, H.; Schiff, R. Mechanisms of tamoxifen resistance: Increased estrogen receptor-HER2/neu crosstalk in ER/HER2-positive breast cancer. J. Natl. Cancer Inst. 2004, 96, 926–935. [Google Scholar] [CrossRef]
- Song, X.; Zhang, C.; Zhao, M.; Chen, H.; Liu, X.; Chen, J.; Lonard, D.M.; Qin, L.; Xu, J.; Wang, X.; et al. Steroid receptor coactivator-3 (SRC-3/AIB1) as a novel therapeutic target in triple-negative breast cancer and its inhibition with a phospho-bufalin prodrug. PLoS ONE 2015, 10, e0140011. [Google Scholar] [CrossRef]
- Gregory, C.; He, B.; Johnson, R.; Ford, H.; Mohler, J.; French, F.; Wilson, E. A mechanism for androgen receptor–mediated prostate cancer recurrence after androgen deprivation therapy. Cancer Res. 2001, 61, 4315–4319. [Google Scholar]
- Hudelist, G.; Czerwenka, K.; Kubista, E.; Marton, E.; Pischinger, K.; Singer, C.F. Expression of sex steroid receptors and their cofactors in normal and malignant breast tissue: AIB1 is a carcinoma-specific co-activator. Breast Cancer Res. Treat. 2003, 78, 193–204. [Google Scholar] [CrossRef] [PubMed]
- Fleming, F.J.; Hill, A.D.; McDermott, E.W.; O’Higgins, N.J.; Young, L.S. Differential recruitment of coregulator proteins steroid receptor coactivator-1 and silencing mediator for retinoid and thyroid receptors to the estrogen receptor-estrogen response element by beta-estradiol and 4- hydroxytamoxifen in human breast cancer. J. Clin. Endocrinol. Metab. 2004, 89, 375–383. [Google Scholar] [CrossRef]
- Myers, E.; Fleming, F.; Crotty, T.; Kelly, G.; McDermott, E.; O’Higgins, N.; Hill1, A.; Young, L. Inverse relationship between ER-b and SRC-1 predicts outcome in endocrine-resistant breast cancer. Br. J. Cancer 2004, 91, 1687–1693. [Google Scholar] [CrossRef] [PubMed]
- McBryan, J.; Theissen, S.M.; Byrne, C.; Hughes, E.; Cocchiglia, S.; Sande, S.; O’Hara, J.; Tibbitts, P.; Hill, A.D.; Young, L.S. Metastatic progression with resistance to aromatase inhibitors is driven by the steroid receptor coactivator SRC-1. Cancer Res. 2012, 72, 548–559. [Google Scholar] [CrossRef] [PubMed]
- Lee, S.-K.; Kim, H.-J.; Na, S.-Y.; Kim, T.S.; Choi, H.-S.; Im, S.-Y.; Lee, J.W. Steroid receptor coactivator-1 coactivates activating protein-1-mediated transactivations through interaction with the c-Jun and c-Fos subunits. J. Biol. Chem. 1998, 273, 16651–16654. [Google Scholar] [CrossRef]
- Xia, Y.; Shen, S.; Verma, I. NF-kB, an active player in human cancers. Cancer Immunol. Res. 2014, 2, 823–830. [Google Scholar] [CrossRef]
- Lin, Y.; Bai, L.; Chen, W.; Xu, S. The NF-κB activation pathways, emerging molecular targets for cancer prevention and therapy. Expert Opin. Ther. Targets 2010, 14, 45–55. [Google Scholar] [CrossRef]
- Vleugel, M.; Wall, E.; Van Diest, P. C-jun activation is associated with proliferation and angiogenesis in invasive breast cancer. Hum. Pathol. 2006, 37, 668–674. [Google Scholar] [CrossRef]
- Jiao, X.; Katiyar, S.; Willmarth, N.; Liu, M.; Ma, X.; Flomenberg, N.; Lisanti, M.; Pestell, R. c-Jun induces mammary epithelial cellular invasion and breast cancer stem cell expansion. J. Biol. Chem. 2010, 285, 82188226. [Google Scholar] [CrossRef]
- Planas-Silva, M.D.; Shang, Y.; Donaher, J.L.; Brown, M.; Weinberg, R.A. AIB-1 enhances estrogen-dependent induction of cyclin D1 expression. Cancer Res. 2001, 61, 3858–3862. [Google Scholar] [PubMed]
- Zwijsen, R.; Buckle, R.E.; Hijmans, M.; Loomans, C.; Bernards, R. Ligand-independent recruitment of steroid receptor coactivators to estrogen receptor by cyclin D1. Genes Dev. 1998, 12, 3488–3498. [Google Scholar] [CrossRef] [PubMed]
- Ahlin, C.; Lundgren, C.; Embretse’n-Varro, E.; Jirstro¨m, K.; Blomqvist, C.; Fja¨llskog, M. High expression of cyclin D1 is associated to high proliferation rate and increased risk of mortality in women with ER-positive but not in ER-negative breast cancers. Breast Cancer Res. Treat. 2017, 164, 667–678. [Google Scholar] [CrossRef] [PubMed]
- Mohammadizadeh, F.; Hani, M.; Ranaee, M.; Bagheri, M. Role of cyclin D1 in breast cancer. J. Res. Med. Sci. 2013, 18, 1021–1025. [Google Scholar] [PubMed]
- Suen, C.S.; Berrodin, T.J.; Mastroeni, R.; Cheskis, B.J.; Lyttle, C.R.; Frail, D.E. A transcriptional co-activator, steroid co-activator-3 selectively augments steroid receptor transcriptional activity. J. Biol. Chem. 1998, 273, 27645–27653. [Google Scholar] [CrossRef] [PubMed]
- Liu, M.; Albanese, C.; Anderson, C.; Hilty, K.; Webb, P.; Uht, R.; Price, R.; Pestell, R.; Kushner, P. Opposing action of estrogen receptors α and β on cyclin D1 gene expression. J. Biol. Chem. 2002, 277, 24353–24380. [Google Scholar] [CrossRef]
- McIlroy, M.; Fleming, F.; Buggy, Y.; Hill, A.; Young, L. Tamoxifen-induced ER-α–SRC-3 interaction in HER2 positive human breast cancer; a possible mechanism for ER isoform specific recurrence. Endocr.-Relat. Cancer 2006, 13, 1135–1145. [Google Scholar] [CrossRef]
- Bai, Y.; Giguerère, V. Isoform-Selective Interactions between Estrogen Receptors and Steroid Receptor Coactivators Promoted by Estradiol and ErbB-2 Signaling in Living Cells. Mol. Endocrinol. 2000, 17, 589–599. [Google Scholar] [CrossRef]
- Wong, C.; Boris, B.; Cheskis, J. Structure-function evaluation of ER α and β interplay with SRC family coactivators. Biochemistry 2001, 40, 6756–6765. [Google Scholar] [CrossRef]
- Leung, Y.K.; Ho, S.M. Estrogen receptor beta: Switching to a new partner and escaping from estrogen. Sci. Signal. 2011, 4, e19. [Google Scholar] [CrossRef]
- Tremblay, A.; Tremblay, G.; Labrie, F.; Giguere, V. Ligand-Independent Recruitment of SRC-1 to Estrogen Receptor β through Phosphorylation of Activation Function AF-1. Mol. Cell 1999, 3, 513–519. [Google Scholar] [CrossRef] [PubMed]
- Herschberger, P.; Vasquez, A.; Kanterewicz, B.; Land, S.; Siegfried, J.; Nichols, M. Regulation of endogenous gene expression in human non-small cell lung cancer cells by estrogen receptor ligands. Cancer Res. 2005, 65, 1598–1605. [Google Scholar] [CrossRef] [PubMed]
- Giannini, R.; Cavallini, A. Expression analysis of a subset of coregulators and three nuclear receptors in human colorectal carcinoma. Anticancer Res. 2005, 25, 4287–4292. [Google Scholar]
- Kraichely, D.; Sun, J.; Katzenellenbogen, J.; Katzenellenbogen, B. Conformational changes and coactivator recruitment by novel ligands for estrogen receptor-α and estrogen receptor-β: Correlations with biological character and distinct differences among SRC coactivator family members. Endocrinology 2000, 121, 3534–3545. [Google Scholar] [CrossRef]
- Choi, Y. ERβ, AIB-1 and TIF-2 expression in breast cancer-associated myofibroblasts. Mod. Pathol. 2010, 23, 40A. [Google Scholar]
- Shaaban, A.; Green, A.; Karthik, S.; Alizadeh, Y.; Hughes, T.; Harkins, L.; Ellis, I.; Robertson, J.; Paish, E.; Saunders, P.; et al. Nuclear and Cytoplasmic Expression of ERB1, ERB2, and ERB5 Identifies Distinct Prognostic Outcome for Breast Cancer Patients. Clin. Cancer Res. 2008, 14, 16. [Google Scholar] [CrossRef]
- Collins, F.; Itani, N.; Esnal-Zufiaurre, A.; Gibson, D.; Fitzgerald, C.; Saunders, P. The ERβ5 splice variant increases oestrogen responsiveness of ERαpos Ishikawa cells. Endocr.-Relat. Cancer 2020, 27, 55–66. [Google Scholar] [CrossRef]
- Collins, F.; MacPherson, S.; Brown, P.; Bombail, V.; Williams, A.; Anderson, R.; Jabbour, H.; Saunders, P. Expression of oestrogen receptors, ERα, ERβ, and ERβ variants, in endometrial cancers and evidence that prostaglandin F may play a role in regulating expression of ERα. BMC Cancer 2009, 9, 330. [Google Scholar] [CrossRef]
- Liu, J.; Sareddy, G.; Zhou, M.; Viswanadhapalli, S.; Li, X.; Lai, Z.; Tekmal, R.; Brenner, A.; Vadlamudi, R. Differential effects of estrogen receptor b isoforms on glioblastoma progression. Cancer Res. 2018, 78, 3176–3189. [Google Scholar] [CrossRef]
- Li, W.; Wintersa, A.; Poteeta, E.; Ryoua, M.; Lin, S.; Haob, S.; Wu, Z.; Yuan, F.; Hatanpaa, K.J.; Simpkins, J.W. Involvement of estrogen receptor b5 in the progression of glioma. Brain Res. 2013, 29, 97–107. [Google Scholar] [CrossRef]
- Wimberly, H.; Han, G.; Pinnaduwage, D.; Murphy, L.C.; Yang, X.R.; Andrulis, I.L.; Sherman, M.; Figueroa, J.; Rimm, D.L. ERβ splice variant expression in four large cohorts of human breast cancer patient tumors. Breast Cancer Res. Treat. 2014, 146, 657–667. [Google Scholar] [CrossRef]
- Azorsa, D.O.; Cunliffe, H.E.; Meltzer, P.S. Association of steroid receptor coactivator AIB1 with estrogen receptor-alpha in breast cancer cells. Breast Cancer Res. Treat. 2001, 70, 89–101. [Google Scholar] [CrossRef]
- Kirkegaard, T.; McGlynn, L.; Campbell, F.; Muller, S.; Tovey, S.; Dunne, B.; Nielsen, K.; Cooke, T.; Barlett, J. Amplified in Breast Cancer 1 in human epidermal growth factor receptor-positive tumors of tamoxifen—Treated breast cancer patients. Clin. Cancer Res. 2007, 13, 1405–1411. [Google Scholar] [CrossRef]
- Guo, L.; Liu, S.; Yilamu, D.; Wang, B.; Yan, J. Positive expression of cyclin D1 is an indicator for the evaluation of the prognosis of breast cancer. Int. J. Clin. Exp. Med. 2015, 8, 18656–18664. [Google Scholar]
- Grivas, P.; Tzelepi, V.; Otiropoulou-Bonikou, G.; Kefalopoulou, Z.; Papavassiliou, A.; Kalofonos, H. Estrogen receptor α/β, AIB1, and TIF2 in colorectal carcinogenesis: Do coregulators have prognostic significance? Int. J. Color. Dis. 2009, 24, 613–622. [Google Scholar] [CrossRef] [PubMed]
- Nascimento, C.; Ferreira, F. Tumor microenvironment of human breast cancer, and feline mammary carcinoma as potential study model. BBA-Rev. Cancer 2021, 1876, 188587. [Google Scholar] [CrossRef]
- Tzelepi, V.; Grivas, P.; Kefalopoulou, Z.; Kalofonos, H.; Varakis, J.; Melachrinou, M.; Sotiropoulou-Bonikou, G. Estrogen signaling in colorectal carcinoma microenvironment: Expression of ERβ1, AIB-1, and TIF-2 is upregulated in cancer-associated myofibroblasts and correlates with disease progression. Virchows Arch. 2009, 454, 389–399. [Google Scholar] [CrossRef] [PubMed]
- Girault, I.; Lerebours, F.; Amarir, S.; Tozlu, S.; Tubiana-Hulin, M.; Lidereau, R.; Bieche, I. Expression analysis of estrogen receptor alpha coregulators in breast carcinoma: Evidence that NCOR1 expression is predictive of the response to tamoxifen. Clin. Cancer Res. 2003, 9, 1259–1266. [Google Scholar] [PubMed]
- Skliris, G.; Leygue, E.; Watson, P.; Murphy, L. Estrogen receptor alpha negative breast cancer patients: Estrogen receptor beta as a therapeutic target. J. Steroid Biochem. Mol. Biol. 2008, 109, 1–10. [Google Scholar] [CrossRef]
- Fleming, F.; Myers, E.; Kelly, G.; Crotty, T.; McDermott, E.; O’Higgins, N.; Hill, A.; Young, L. Expression of SRC-1, AIB1, and PEA3 in HER2 mediated endocrine resistant breast cancer; a predictive role for SRC-1. J. Clin. Pathol. 2004, 57, 1069–1074. [Google Scholar] [CrossRef]
- Paramanik, V.; Krishnan, H.; Thakur, M. Estrogen receptor α -and β interacting proteins contain consensus secretory structures: An Insilico study. Ann. Neurosci. 2018, 25, 1–10. [Google Scholar] [CrossRef]
- Mananathi, B.; SAmanthapudi, V.; Gajulapalli, N. Estrogen receptor coargulators and pioneer factors: The orchestrators of mammay gland cell fate and development. Front. Cell Dev. Biol. 2014, 2, 1–13. [Google Scholar] [CrossRef]
- Madak-Erdogan, Z.; Charn, T.; Edison, Y.; Katzenellenbogen, J. Integrative genomics of gene and metabolic regulation by estrogen receptors α -and β, and their coregulators. Mol. Syst. Biol. 2013, 9, 67. [Google Scholar] [CrossRef] [PubMed]
- Heldring, N.; Oike, A.; Andersson, S.; Mathews, J.; Cheng, G.; Hartman, J.; Tujague, M.; Strom, A.; Treuter, E.; Warner, M. Estrogen receptors: How do they signal and what are their targets. Physiol. Rev. 2007, 87, 905–931. [Google Scholar] [CrossRef] [PubMed]
- Chen, J.; Russo, J. Erα negative and triple-negative breast cancer: Molecular features and potential therapeutic approaches. Biochim. Biophys. Acta 2009, 1796, 162–175. [Google Scholar] [CrossRef]
- Hsia, E.Y.; Goodson, M.L.; Zou, J.X.; Privalsky, M.L.; Chen, H.W. Nclear receptor coregulators as a new paradigm for therapeutic targeting. Adv. Drug Deliv. Rev. 2010, 62, 1227–1237. [Google Scholar] [CrossRef] [PubMed]
- Song, X.; Chen, J.; Zhao, M.; Zhang, C.; Yu, Y.; Lonard, D.M.; Chow, D.-C.; Palzkill, T.; Xu, J.; O’Malley, B.W.; et al. Development of potent small-molecule inhibitors to drug the undruggable steroid receptor coactivator-3. Proc. Natl. Acad. Sci. USA 2016, 113, 4970–4975. [Google Scholar] [CrossRef]
- Wang, Y.; Lonard, D.M.; Yu, Y.; Chow, D.-C.; Palzkill, T.G.; Wang, J.; Qi, R.; Matzuk, A.J.; Song, X.; Madoux, F.; et al. Bufalin is a potent small-molecule inhibitor of the steroid receptor coactivators SRC-3 and SRC-1. Cancer Res. 2014, 74, 1506–1517. [Google Scholar] [CrossRef]

| Antibody | Antibody Clone | Supplier |
|---|---|---|
| ERβ1 | 385P/AR 385-10R | Biogenex, San Ramon, CA, USA |
| ERβ2 | MCA2279S/57/3 | Bio-rads, Hercules, CA, USA |
| ERβ5 | MCA4676/5/25 | Bio-rads, Hercules, CA, USA |
| AIB-1 | clone 34, mouse monoclonal | BD Transductuction Labs, San Jose, CA, USA |
| TIF-2 | clone 29, mouse monoclonal | BD Transductuction Labs, San Jose, CA, USA |
| NF-kB p65 | ABCAM E379 | Waltham, MA, USA |
| SRC-1 | clone 128E7, rabbit monoclonal | Cell Signaling Technology, Daners, MA, USA |
| Cyclin D1 | DCS-6 | DAKO, Carpintena, CA, USA |
| p-c-Jun | 822, KM-1 | Santa Cruz Biotech, Dallas, TX, USA |
| Actin-SMA | clone 2A4, mouse antihuman | DAKO, Carpintena, CA, USA |
| Ki-67 | MIB-1 | DAKO, Carpintena, CA, USA |
| P53 | D07 | DAKO, Carpintena, CA, USA |
| HER2/neu | HerceptTest | DAKO, Carpintena, CA, USA |
| ERα | ID5 | DAKO, Carpintena, CA, USA |
| PR | Pg363 | DAKO, Carpintena, CA, USA |
| AIB-1 | NF-kB | TIF-2 | SRC-1 | p-c-Jun | Cyclin D1 | ||||||||||||||
|---|---|---|---|---|---|---|---|---|---|---|---|---|---|---|---|---|---|---|---|
| Variables | Pos | Neg | p-Value * | Pos | Neg | p-Value | Pos | Neg | p-Value | Pos | Neg | p-Value | Pos | Neg | p-Value | Pos | Neg | p-Value | |
| ERα status | Pos | 49 | 11 | 0.3 | 58 | 5 | 1 | 60 | 4 | 1 | 49 | 16 | 1 | 48 | 14 | 0.83 | 22 | 50 | 0.024 |
| neg | 49 | 6 | 43 | 3 | 48 | 3 | 43 | 13 | 40 | 14 | 7 | 57 | |||||||
| Her-2/neu | Pos | 34 | 6 | 1 | 35 | 3 | 1 | 33 | 1 | 0.67 | 29 | 11 | 0.49 | 33 | 4 | 0.022 | 14 | 29 | 0.08 |
| Neg | 69 | 11 | 66 | 5 | 75 | 6 | 63 | 17 | 55 | 24 | 17 | 78 | |||||||
| PR | Pos | 46 | 9 | 0.79 | 51 | 4 | 1 | 54 | 4 | 1 | 47 | 13 | 0.83 | 43 | 14 | 1 | 20 | 47 | 0.07 |
| Neg | 52 | 8 | 50 | 4 | 54 | 3 | 45 | 15 | 45 | 14 | 11 | 60 | |||||||
| Ki-67 | >15% | 27 | 1 | 0.07 | 25 | 1 | 0.67 | 27 | 1 | 1 | 70 | 5 | 0.61 | 23 | 8 | 0.61 | 8 | 21 | 0.46 |
| <15% | 71 | 16 | 76 | 6 | 81 | 6 | 22 | 23 | 68 | 20 | 23 | 86 | |||||||
| Grade | Grade 2/3 | 85 | 16 | 0.69 | 88 | 7 | 1 | 93 | 6 | 1 | 80 | 23 | 0.54 | 79 | 22 | 0.19 | 29 | 91 | 0.36 |
| Grade 1 | 13 | 1 | 13 | 1 | 15 | 1 | 12 | 5 | 9 | 6 | 22 | 16 | |||||||
| Tumor size | >2 cm | 42 | 7 | 1 | 43 | 3 | 1 | 44 | 2 | 0.7 | 39 | 11 | 0.83 | 36 | 12 | 1 | 15 | 39 | 0.29 |
| <2 cm | 56 | 10 | 58 | 5 | 64 | 5 | 53 | 17 | 52 | 16 | 16 | 68 | |||||||
| Nodal status | Pos | 23 | 3 | 0.76 | 26 | 1 | 0.67 | 25 | 2 | 0.67 | 22 | 7 | 1 | 20 | 6 | 1 | 7 | 24 | 1 |
| Neg | 75 | 14 | 76 | 7 | 83 | 5 | 70 | 21 | 68 | 22 | 24 | 83 | |||||||
| CK5/6 | Pos | 12 | 2 | 1 | 13 | 1 | 1 | 14 | 1 | 1 | 13 | 1 | 0.18 | 11 | 24 | 0.75 | 3 | 13 | 1 |
| Neg | 86 | 15 | 88 | 7 | 84 | 6 | 79 | 27 | 77 | 24 | 28 | 94 | |||||||
| P53 > 5% | Pos | 60 | 6 | 0.3 | 50 | 2 | 0.27 | 56 | 0 | 0.013 | 48 | 8 | 0.032 | 46 | 10 | 0.13 | 14 | 44 | 0.68 |
| Neg | 48 | 11 | 51 | 6 | 52 | 7 | 44 | 20 | 42 | 18 | 17 | 63 |
| AIB-1 | NF-kB | TIF-2 | SRC-1 | p-c-Jun | cyclin D1 | |||||||||||||
|---|---|---|---|---|---|---|---|---|---|---|---|---|---|---|---|---|---|---|
| Pos | Neg | p-Value * | Pos | Neg | p-Value | Pos | Neg | p-Value | Pos | Neg | p-Value | Pos | Neg | p-Value | Pos | Neg | p-Value | |
| Types | ||||||||||||||||||
| Luminal A type (50) | 31 | 8 | 0.26 | 36 | 5 | 1 | 40 | 4 | 0.42 | 35 | 7 | 0.66 | 30 | 12 | 0.49 | 14 | 36 | 0.29 |
| 67 | 9 | 69 | 3 | 69 | 3 | 57 | 19 | 58 | 16 | 17 | 71 | |||||||
| Luminal B type (25) | 21 | 3 | 1 | 23 | 2 | 1 | 21 | 0 | 0.34 | 17 | 7 | 0.43 | 19 | 3 | 0.27 | 10 | 16 | 0.039 |
| 77 | 14 | 78 | 6 | 87 | 7 | 95 | 21 | 9 | 25 | 21 | 91 | |||||||
| Basal-like type (17) | 13 | 2 | 1 | 14 | 1 | 1 | 5 | 1 | 1 | 13 | 3 | 0.51 | 11 | 5 | 0.53 | 2 | 15 | 0.36 |
| 85 | 15 | 87 | 7 | 2 | 6 | 79 | 26 | 77 | 23 | 29 | 92 | |||||||
| HER2 type (17) | 12 | 3 | 0.46 | 14 | 1 | 1 | 15 | 0 | 0.59 | 14 | 1 | 0.19 | 11 | 4 | 0.75 | 5 | 12 | 0.53 |
| 86 | 14 | 87 | 7 | 93 | 7 | 78 | 27 | 77 | 24 | 26 | 95 | |||||||
| TNBC (43) | 32 | 3 | 0.26 | 29 | 2 | 1 | 34 | 2 | 1 | 28 | 7 | 0.64 | 25 | 11 | 0.34 | 4 | 40 | 0.009 |
| 66 | 14 | 72 | 6 | 74 | 5 | 64 | 21 | 63 | 17 | 27 | 67 |
| ERβ1 Protein | ERβ2 Protein | ERβ5 Protein | |
|---|---|---|---|
| AIB-1 | 0.19 (0.047) | 0.066 (0.48) | 0.25(0.0064) |
| NF-kB | 0.21 (0.028) | 0.13 (0.17) | 0.41 (<0.0001) |
| TIF-2 | 0.24 (0. 008) | −0.01 (0.90) | 0.31 (0.0005) |
| SRC-1 | 0.17 (0.07) | 0.07 (0.45) | 0.12 (0.17) |
| p-c-Jun | −0.04 (0.63) | 0.08 (0.38) | 0.06 (0.49) |
| Cyclin D1 | 0.11 (0.18) | 0.11 (0.18) | 0.13 (0.14) |
| Ki-67 | 0.38 (<0.0001) | 0.14 (0.088) | 0.34 (<0.0001) |
| P53 | 0.085 (0.33) | 0.06 (0.49) | 0.30 (0.029) |
| Grade 3 | 0.17 (0.049) | 0.17 (0.071) | 0.19 (0.024) |
| >2 cm | 0.17 (0.04) | 0.06 (0.49) | 0.10 (0.23) |
| Her2/neu+ | 0.26 (0.89) | 0.25 (0.10) | 0.31 (0.045) |
| LN+ | 0.09 (0.29) | 0.23 (0.007) | 0.14 (0.08) |
| ERα+ | 0.01 (0.81) | 0.15 (0.07) | −0.0005 (0.99) |
| PR+ | 0.005 (0.95) | 0.07 (0.39) | −0.08 (0.32) |
| Luminal A type | 0.005 (0.94) | 0.17 (0.045) | −0.08 (0.32) |
| Luminal B type | −0.01 (0.87) | −0.05 (0.54) | −0.07 (0.37) |
| HER2 type | −0.07 (0.39) | −0.09 (0.27) | 0.08 (0.36) |
| Basal type | 0.03 (0.7) | 0.05 (0.58) | 0.17 (0.038) |
| ERβ 5 Expression | ERβ1 Expression | ERβ2 Expression | ||
|---|---|---|---|---|
| Correlation with | subgroups | r (p-value) * | r (p-value) | r (p-value) |
| AIB-1 | ERα+ | 0.34 (0.0082) | 0.18 (0.16) | 0.15 (0.25) |
| ERα- | 0.18 (0.20) | 0.21 (0.11) | 0.012 (0.93) | |
| Luminal A type | 0.38 (0.019) | 0.22 (0.17) | 0.15 (0.34) | |
| HER2 type | 0.54 (0.035) | 0.46 (0.08) | −0.09 (0.73) | |
| >2 cm tumor | 0.29 (0.042) | 0.11 (0.44) | −0.16 (0.27) | |
| Grade 3 | 0.23 (0.02) | 0.14 (0.15) | −0.12 (0.21) | |
| Her2/neu+ | 0.35 (0.027) | 0.19 (0.23) | 0.1 (0.34) | |
| NF-kB | ERα+ | 0.43 (0.0004) | 0.22 (0.07) | 0.24 (0.06) |
| ERα- | 0.39 (0.0078) | 0.20 (0.17) | 0.05 (0.72) | |
| Luminal A type | 0.51 (0.0007) | 0.15 (0.33) | 0.11 (0.50) | |
| HER2 type | 0.68 (0.035) | 0.07 (0.08) | −0.03 (0.9) | |
| Ki-67 > 15% | 0.31 (0.019) | 0.16 (0.23) | −0.07 (0.59) | |
| Her2/neu+ | 0.45 (0.0046) | 0.20 (0.21) | 0.15 (0.36) | |
| >2 cm tumor | 0.29 (0.042) | 0.14 (0.35) | −013 (0.39) | |
| Grade 3 | 0.42 (<0.0001) | 0. 25 (0.013) | 0.15 (0.16) | |
| PR | 0.47 (0.0003) | 0.023 (0.08) | −0.13 (0.33) | |
| LN+ | 0.47 (0.013) | −0.13 (0.51) | 0.27 (0.16) | |
| TIF-2 | ERα+ | 0.35 (0.0039) | −0.21 (0.09) | −0.15 (0.23) |
| ERα- | 0.34 (0.043) | −0.13 (0.34) | −0.19 (0.16) | |
| TNBC | 0.33 (0.046) | 0.33 (0.05) | −0.19 (0.26) | |
| Luminal A type | 0.35 (0.019) | 0.17 (0.24) | 0.28 (0.07) | |
| Ki-67 > 15% | 0.32 (0.01) | 0.15 (0.21) | −0.12 (0.33) | |
| p53 > 5% | 0.28 (0.029) | 0.12 (0.33) | 0.12 (0.38) | |
| Grade 3 | 0.30 (0.0023) | 0.25 (0.012) | 0.05 (0.61) | |
| PR | 0.28 (0.03) | 0.16 (0.23) | 0.19 (0.16) | |
| Cyclin D1 | ERα+ | 0.29 (0.011) | 0.19 (0.11) | 0.16 (0.18) |
| Her2/neu+ | 0.09 (0.53) | 0.3 (0.049) | 0.12 (0.45) | |
| Luminal A type | 0.25 (0.004) | 0.11 (0.45) | 0.25 (0.07) | |
| Luminal B type | 0.1 (0.49) | 0.45 (0.02) | 0.02 (0.94) | |
| PR | 0.24 (0.046) | 0.22 (0.07) | 0.09 (0.43) | |
| p-c-Jun | Luminal B type | 0.44 (0.039) | 0.007 (0.97) | −0.008 (0.71) |
| SRC-1 | ERα+ | 0.18 (0.17) | 0.09 (0.49) | 0.01 (0.93) |
| ERα- | 0.08 (0.48) | 0.22 (0.07) | 0.08 (0.52) | |
| Her2/neu+ | 0.53 (0.34) | 0.10 (0.53) | −0.09 (0.54) | |
| PR | 0.12 (0.34) | 0.20 (0.11) | 0.19/0.13 |
| Subgroups (Case#) | AIB-1 | NF-kB | TIF-2 | SRC-1 | p-c-Jun | Cyclin D1 | ||||||
|---|---|---|---|---|---|---|---|---|---|---|---|---|
| p-Value | HR (CI) | p-Value | HR (CI) | p-Value | HR (CI) | p-Value | HR (CI) | p-Value | HR (CI) | p-Value | HR (CI) | |
| ERα- positive BCa (73) | 0.25 | 0.99 (0.96–1.011) | 0.58 | 0.733 (0.25–2.17) | 0.103 | 0.98 (0.96–1.004) | 0.53 | 0.99 (0.97–1.02) | 0.64 | 0.94 (0.77–1.02) | 0.034 | 1.02 (1.001–1.037) |
| ERα -negative BCa (65) | 0.23 | 1.01 (0.99–1.03) | 0.76 | 1.1 (0.52–2.45) | 0.22 | 1.01 (0.99–1.03) | 0.79 | 0.99 (0.98–1.02) | 0.24 | 1.01 (0.99–1.03) | 0.68 | 0.99 (0.91–1.06) |
| TNBC (43) | 0.5 | 1.008 (0.98–1.03) | 0.54 | 0.71 (0.23–2.2) | 0.17 | 1.02 (0.99–1.05) | 0.43 | 0.99 (0.97–1.02) | 0.49 | 1.008 (0.99–1.03) | 0.99 | 0.06 (0.000–1.0000) |
| Her2/neu+ (39) | 0.35 | 0.98 (0.97–1.013) | 0.72 | 1.2 (0.44–3.29) | 0.67 | 0.99 (0.97–1.022) | 0.76 | 0.99 (0.96–1.03) | 0.79 | 1.004 (0.98–1.03) | 0.59 | 1.006 (0.98- 1.03) |
| PR+ (54) | 0.54 | 0.99 (0.97–1.02) | 0.59 | 0.73 (0.23–2.34 | 0.19 | 0.98 (0.96–1.007) | 0.53 | 0.99 (0.97–1.016) | 0.66 | 0.99 (0.97–1.021) | 0.0128 | 1.03 (1.005–1.05) |
| Luminal A type (50) | 0.87 | 1.003 (0.97–1.04) | 0.97 | 1.04 (0.206–204) | 0.1 | 0.9 (0.94–1.006) | 0.72 | 0.99 (0.97–1.024) | 0.59 | 0.99 (0.959–1.03) | 0.032 | 1.028 (1.002–1.055) |
| Luminal B type (25) | 0.12 | 0.95 (0.89–1.01) | 0.48 | 0.56 (0.12–2.71) | 0.34 | 1.1 (0.8–1.41) | 0.61 | 0.99 (0.95–1.03) | 0.87 | 1.004 (0.96–1.05) | 0.61 | 1.007 (0.98–1.034) |
| HER2 type (17) | ** | ** | ** | ** | ** | ** | ||||||
| Basal type (17) | 0.12 | 1.03 (0.99–1.07) | 0.21 | 3.1 (0.54–17.38) | 0.34 | 1.03 (0.97–1.097) | 0.93 | 1.001 (0.97–1.03) | 0.96 | 1.001 (0.97–1.03) | 0.99 | 0.46 (0.000–3.87) |
| Grade 2/3 (115) | 0.97 | 1.000 (0.98–1.013) | 0.93 | 0.97 (0.49–1.9) | 0.78 | 0.99 (0.99–1.011) | 0.2 | 0.99 (0.97–1.006) | 0.71 | 1.003 (0.99–1.012) | 0.23 | 1.009 (0.99–1.023) |
| Grade 1 (23) | ** | ** | ** | ** | ** | ** | ||||||
| >2 cm tumor (51) | 0.91 | 1.001 (0.98–1.02) | 0.88 | 1.05 (0.54–2.05) | 0.72 | 0.99 (0.98–1.013) | 0.99 | 1.000 (0.98–1.02) | 0.56 | 1.005 (0.98–1.023) | 0.65 | 1.004 (0.99–1.02) |
| <2 cm tumor (87) | 0.82 | 1.004 (0.97–1.03) | 0.84 | 0.85 (0.18–3.9) | 0.77 | 0.99 (0.97–1.02) | 0.25 | 0.98 (0.94–1.02) | 0.58 | 1.009 (0.978–1.04) | 0.31 | 1.019 (0.98–1.04) |
| >15% Ki-67 (63) | 0.85 | 0.99 (0.98–1.014) | 0.9 | 1.05 (0.50–2.19) | 0.27 | 0.99 (0.98–1.006) | 0.19 | 0.99 (0.97–1.007 | 0.73 | 1.003 (0.98–1.020) | 0.11 | 1.013 (0.99–1.03) |
| LN positive (34) | 0.83 | 1.002 (0.98–1.03) | 0.85 | 1.16 (0.25–5.33) | 0.82 | 0.99 (0.98–1.02) | 0.83 | 1.00 (0.9–1.02) | 0.25 | 1.02 (0.99–1.06) | 0.28 | 1.011 (0.99–1.03) |
| p53 > 5% (57) | 0.59 | 0.99 (0.98–1.013) | 0.92 | 0.95 (0.37–2.5) | 0.097 | 0.98 (0.97–1.003) | 0.31 | 0.99 (0.96–1.013) | 0.31 | 1.011 (0.9–1.032) | 0.57 | 0.99 (0.9–1.02) |
Disclaimer/Publisher’s Note: The statements, opinions and data contained in all publications are solely those of the individual author(s) and contributor(s) and not of MDPI and/or the editor(s). MDPI and/or the editor(s) disclaim responsibility for any injury to people or property resulting from any ideas, methods, instructions or products referred to in the content. |
© 2023 by the authors. Licensee MDPI, Basel, Switzerland. This article is an open access article distributed under the terms and conditions of the Creative Commons Attribution (CC BY) license (https://creativecommons.org/licenses/by/4.0/).
Share and Cite
Choi, Y.; Pollack, S. Significant Association of Estrogen Receptor-β Isoforms and Coactivators in Breast Cancer Subtypes. Curr. Issues Mol. Biol. 2023, 45, 2533-2548. https://doi.org/10.3390/cimb45030166
Choi Y, Pollack S. Significant Association of Estrogen Receptor-β Isoforms and Coactivators in Breast Cancer Subtypes. Current Issues in Molecular Biology. 2023; 45(3):2533-2548. https://doi.org/10.3390/cimb45030166
Chicago/Turabian StyleChoi, Young, and Simcha Pollack. 2023. "Significant Association of Estrogen Receptor-β Isoforms and Coactivators in Breast Cancer Subtypes" Current Issues in Molecular Biology 45, no. 3: 2533-2548. https://doi.org/10.3390/cimb45030166
APA StyleChoi, Y., & Pollack, S. (2023). Significant Association of Estrogen Receptor-β Isoforms and Coactivators in Breast Cancer Subtypes. Current Issues in Molecular Biology, 45(3), 2533-2548. https://doi.org/10.3390/cimb45030166

