The Expression of Testin, Ki-67 and p16 in Cervical Cancer Diagnostics
Abstract
1. Introduction
2. Materials and Methods
2.1. Preparation of Tissue Microarrays (TMAs)
2.2. Immunohistochemistry (IHC)
2.3. Evaluation of the IHC Reactions
2.4. Cell Lines
2.5. Western Blot
2.6. Statistical Analysis
3. Results
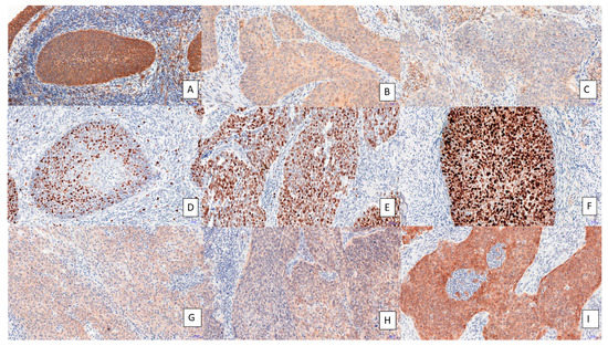
3.1. IHC on Tissue Samples
3.2. WB on Cell Lines
4. Discussion
Limitations
5. Conclusions
Author Contributions
Funding
Institutional Review Board Statement
Informed Consent Statement
Data Availability Statement
Conflicts of Interest
References
- Sung, H.; Ferlay, J.; Siegel, R.L.; Laversanne, M.; Soerjomataram, I.; Jemal, A.; Bray, F. Global Cancer Statistics 2020: GLOBOCAN Estimates of Incidence and Mortality Worldwide for 36 Cancers in 185 Countries. CA Cancer J. Clin. 2021, 71, 209–249. [Google Scholar] [CrossRef] [PubMed]
- Cervical Cancer—Cancer Stat Facts, (n.d.). Available online: https://seer.cancer.gov/statfacts/html/cervix.html (accessed on 22 May 2022).
- Olusola, P.; Banerjee, H.N.; Philley, J.V.; Dasgupta, S. Human Papilloma Virus-Associated Cervical Cancer and Health Disparities. Cells 2019, 8, 622. [Google Scholar] [CrossRef] [PubMed]
- Crow, J.M. HPV: The global burden. Nature 2012, 488, S2–S3. [Google Scholar] [CrossRef] [PubMed]
- Fullár, A.; Karászi, K.; Hollósi, P.; Lendvai, G.; Oláh, L.; Reszegi, A.; Papp, Z.; Sobel, G.; Dudás, J.; Kovalszky, I. Two ways of epigenetic silencing of TFPI2 in cervical cancer. PLoS ONE 2020, 15, e0234873. [Google Scholar] [CrossRef]
- Cáceres-Durán, M.Á.; Ribeiro-Dos-Santos, Â.; Vidal, A.F. Roles and Mechanisms of the Long Noncoding RNAs in Cervical Cancer. Int. J. Mol. Sci. 2020, 21, 9742. [Google Scholar] [CrossRef]
- Revathidevi, S.; Murugan, A.K.; Nakaoka, H.; Inoue, I.; Munirajan, A.K. APOBEC: A molecular driver in cervical cancer pathogenesis. Cancer Lett. 2020, 496, 104–116. [Google Scholar] [CrossRef]
- Zhang, L.; Tian, S.; Pei, M.; Zhao, M.; Wang, L.; Jiang, Y.; Yang, T.; Zhao, J.; Song, L.; Yang, X. Crosstalk between histone modification and DNA methylation orchestrates the epigenetic regulation of the costimulatory factors, Tim-3 and galectin-9, in cervical cancer. Oncol. Rep. 2019, 42, 2655–2669. [Google Scholar] [CrossRef]
- Laengsri, V.; Kerdpin, U.; Plabplueng, C.; Treeratanapiboon, L.; Nuchnoi, P. Cervical Cancer Markers: Epigenetics and microRNAs. Lab. Med. 2018, 49, 97–111. [Google Scholar] [CrossRef]
- Sharma, S.; Kelly, T.K.; Jones, P.A. Epigenetics in cancer. Carcinogenesis 2010, 31, 27–36. [Google Scholar] [CrossRef]
- Canfell, K. Towards the global elimination of cervical cancer. Papillomavirus Res. 2019, 8, 100170. [Google Scholar] [CrossRef]
- Tatarelli, C.; Linnenbach, A.; Mimori, K.; Croce, C.M. Characterization of the Human TESTIN Gene Localized in the FRA7G Region at 7q31.2. Genomics 2000, 12, 1–12. [Google Scholar] [CrossRef] [PubMed]
- Tobias, E.S.; Hurlstone, A.F.L.; MacKenzie, E.; McFarlane, R.; Black, D.M. The TES gene at 7q31.1 is methylated in tumours and encodes a novel growth-suppressing LIM domain protein. Oncogene 2001, 20, 2844–2853. [Google Scholar] [CrossRef]
- Gong, Y.; Yang, Y.; Tian, S.; Chen, H. Different Role of Caveolin-1 Gene in the Progression of Gynecological Tumors. Asian Pac. J. Cancer Prev. 2019, 20, 3259–3268. [Google Scholar] [CrossRef] [PubMed]
- Weeks, R.J.; Kees, U.R.; Song, S.; Morison, I.M. Silencing of TESTIN by dense biallelic promoter methylation is the most common molecular event in childhood acute lymphoblastic leukaemia. Mol. Cancer 2010, 9, 163. [Google Scholar] [CrossRef] [PubMed]
- Coutts, A.; MacKenzie, E.; Griffith, E.; Black, D.M. TES is a novel focal adhesion protein with a role in cell spreading. J. Cell Sci. 2003, 116, 897–906. [Google Scholar] [CrossRef] [PubMed]
- Garvalov, B.K.; Higgins, T.E.; Sutherland, J.D.; Zettl, M.; Scaplehorn, N.; Köcher, T.; Piddini, E.; Griffiths, G.; Way, M. The conformational state of Tes regulates its zyxin-dependent recruitment to focal adhesions. J. Cell Biol. 2003, 161, 33–39. [Google Scholar] [CrossRef]
- Griffith, E.; Coutts, A.S.; Black, D.M. Characterisation of chicken TES and its role in cell spreading and motility. Cell Motil. Cytoskelet. 2004, 57, 133–142. [Google Scholar] [CrossRef]
- Steponaitis, G.; Kazlauskas, A.; Skiriute, D.; Valiulyte, I.; Skauminas, K.; Tamasauskas, A.; Vaitkiene, P. Testin (TES) as a candidate tumour suppressor and prognostic marker in human astrocytoma. Oncol. Lett. 2016, 12, 3305–3311. [Google Scholar] [CrossRef]
- Popiel, A.; Kobierzycki, C.; Dzięgiel, P. The Role of Testin in Human Cancers. Pathol. Oncol. Res. 2019, 25, 1279–1284. [Google Scholar] [CrossRef]
- Khurana, T.; Noegel, A.A. LIM proteins: Association with the actin cytoskeleton. Protoplasma 2002, 219, 1–12. [Google Scholar] [CrossRef]
- Cattaruzza, M.; Lattrich, C.; Hecker, M. Focal Adhesion Protein Zyxin Is a Mechanosensitive Modulator of Gene Expression in Vascular Smooth Muscle Cells. Hypertension 2004, 43, 726–730. [Google Scholar] [CrossRef]
- Kadrmas, J.L.; Beckerle, M.C. The LIM domain: From the cytoskeleton to the nucleus. Nat. Rev. Mol. Cell Biol. 2004, 5, 920–931. [Google Scholar] [CrossRef]
- Edelson, M.I.; Scherer, S.W.; Tsui, L.C.; Welch, W.R.; Bell, D.A.; Berkowitz, R.S.; Mok, S.C. Identification of a 1300 kilobase deletion unit on chromosome 7q31.3 in invasive epithelial ovarian carcinomas. Oncogene 1997, 14, 2979–2984. [Google Scholar] [CrossRef] [PubMed][Green Version]
- Bieche, I.; Khodja, A.; Driouch, K.; Lidereau, R. Genetic alteration mapping on chromosome 7 in primary breast cancer. Clin. Cancer Res. 1997, 3, 1009–1016. [Google Scholar] [PubMed]
- Matsuura, K.; Shiga, K.; Yokoyama, J.; Saijo, S.; Miyagi, T.; Takasaka, T. Loss of heterozygosity of chromosome 9p21 and 7q31 is correlated with high incidence of recurrent tumor in head and neck squamous cell carcinoma. Anticancer Res. 1998, 18, 453–458. [Google Scholar] [PubMed]
- Nishizuka, S.; Tamura, G.; Terashima, M.; Satodate, R. Commonly deleted region on the long arm of chromosome 7 in differentiated adenocarcinoma of the stomach. Br. J. Cancer 1997, 76, 1567–1571. [Google Scholar] [CrossRef][Green Version]
- Koike, M.; Tasaka, T.; Spira, S.; Tsuruoka, N.; Koeffler, H.P. Allelotyping of acute myelogenous leukemia: Loss of heterozygosity at 7q31.1 (D7S486) and q33-34 (D7S498, D7S505). Leuk. Res. 1999, 23, 307–310. [Google Scholar] [CrossRef]
- Latil, A.; Cussenot, O.; Fournier, G.; Baron, J.C.; Lidereau, R. Loss of heterozygosity at 7q31 is a frequent and early event in prostate cancer. Clin. Cancer Res. 1995, 1, 1385–1389. [Google Scholar] [CrossRef]
- Wang, M.; Wang, Q.; Peng, W.-J.; Hu, J.-F.; Wang, Z.-Y.; Liu, H.; Huang, L.-N. Testin is a tumor suppressor in non-small cell lung cancer. Oncol. Rep. 2017, 37, 1027–1035. [Google Scholar] [CrossRef]
- Szymańska-Chabowska, A.; Juzwiszyn, J.; Jankowska-Polańska, B.; Tański, W.; Chabowski, M. Chitinase 3-Like 1, Nestin, and Testin Proteins as Novel Biomarkers of Potential Clinical Use in Colorectal Cancer: A Review. In Advances in Experimental Medicine and Biology; Springer: Cham, Switzerland, 2020; pp. 1–8. [Google Scholar] [CrossRef]
- Dong, R.; Pu, H.; Wang, Y.; Yu, J.; Lian, K.; Mao, C. TESTIN was commonly hypermethylated and involved in the epithelial-mesenchymal transition of endometrial cancer. APMIS 2015, 123, 394–400. [Google Scholar] [CrossRef]
- Cui, J.; Gu, Z.; Ding, G.; Liang, K.; Zhang, H.; Guo, G.; Zhang, L. TESTIN suppresses tumor growth and invasion via manipulating cell cycle progression in endometrial carcinoma. J. Pharmacol. Exp. Ther. 2014, 20, 980–987. [Google Scholar] [CrossRef] [PubMed]
- Remmele, W.; Stegner, H.E. Recommendation for uniform definition of an immunoreactive score (IRS) for immunohistochemical estrogen receptor detection (ER-ICA) in breast cancer tissue. Pathologe 1987, 8, 138–140. [Google Scholar] [PubMed]
- Boukamp, P. Normal Keratinization in a Spontaneously Immortalized. J. Cell Biol. 1988, 106, 761–771. [Google Scholar] [CrossRef] [PubMed]
- van Dam, P.A.; Rolfo, C.; Ruiz, R.; Pauwels, P.; Van Berckelaer, C.; Trinh, X.B.; Gandia, J.F.; Bogers, J.P.; Van Laere, S. Potential new biomarkers for squamous carcinoma of the uterine cervix. ESMO Open 2018, 3, e000352. [Google Scholar] [CrossRef] [PubMed]
- Sun, H.; Shen, K.; Cao, D. Progress in immunocytochemical staining for cervical cancer screening. Cancer Manag. Res. 2019, 11, 1817–1827. [Google Scholar] [CrossRef]
- Zhu, J.; Li, X.; Kong, X.; Moran, M.S.; Su, P.; Haffty, B.G.; Yang, Q. Testin is a tumor suppressor and prognostic marker in breast cancer. Cancer Sci. 2012, 103, 2092–2101. [Google Scholar] [CrossRef]
- Li, Y.; Fu, Y.; Cheng, B.; Xie, X.; Wang, X. A Comparative Study on the Accuracy and Efficacy between Dalton and CINtec® PLUS p16/Ki-67 Dual Stain in Triaging HPV-Positive Women. Front. Oncol. 2022, 11, 815213. [Google Scholar] [CrossRef]
- Zhang, S.-K.; Jia, M.-M.; Zhao, D.-M.; Wu, Z.-N.; Guo, Z.; Liu, Y.-L.; Guo, P.-P.; Chen, Q.; Cao, X.-Q.; Liu, S.-Z.; et al. Evaluation of p16/Ki-67 dual staining in the detection of cervical precancer and cancer in China. Cancer Epidemiol. 2019, 59, 123–128. [Google Scholar] [CrossRef]
- Sarwath, H.; Bansal, D.; Husain, N.E.; Mohamed, M.; Sultan, A.A.; Bedri, S. Introduction of p16INK4a as a surrogate biomarker for HPV in women with invasive cervical cancer in Sudan. Infect. Agents Cancer 2017, 12, 50. [Google Scholar] [CrossRef]
- Shi, Q.; Xu, L.; Yang, R.; Meng, Y.; Qiu, L. Ki-67 and P16 proteins in cervical cancer and precancerous lesions of young women and the diagnostic value for cervical cancer and precancerous lesions. Oncol. Lett. 2019, 18, 1351–1355. [Google Scholar] [CrossRef]
- Song, F.; Du, H.; Xiao, A.; Wang, C.; Huang, X.; Yan, P.; Liu, Z.; Qu, X.; Belinson, J.L.; Wu, R. Evaluating the Performance of p16INK4a Immunocytochemistry in Cervical Cancer Screening. Cancer Manag. Res. 2020, 12, 9067–9075. [Google Scholar] [CrossRef] [PubMed]
- Iaconis, L.; Hyjek, E.; Ellenson, L.H.; Pirog, E.C. p16 and Ki-67 Immunostaining in Atypical Immature Squamous Metaplasia of the Uterine Cervix: Correlation With Human Papillomavirus Detection. Arch. Pathol. Lab. Med. 2007, 131, 1343–1349. [Google Scholar] [CrossRef] [PubMed]
- Peeters, E.; Wentzensen, N.; Bergeron, C.; Arbyn, M. Meta-analysis of the accuracy of p16 or p16/Ki-67 immunocytochemistry versus HPV testing for the detection of CIN2+/CIN3+ in triage of women with minor abnormal cytology. Cancer Cytopathol. 2019, 127, 169–180. [Google Scholar] [CrossRef] [PubMed]
- Zhu, Y.; Ren, C.; Yang, L.; Zhang, X.; Liu, L.; Wang, Z. Performance of p16/Ki67 immunostaining, HPV E6/E7 mRNA testing, and HPV DNA assay to detect high-grade cervical dysplasia in women with ASCUS. BMC Cancer 2019, 19, 271. [Google Scholar] [CrossRef]
- Keating, J.T.; Cviko, A.; Riethdorf, S.; Riethdorf, L.; Quade, B.J.; Sun, D.; Duensing, S.; Sheets, E.E.; Munger, K.; Crum, C.P. Ki-67, Cyclin E, and p16 INK4 Are Complimentary Surrogate Biomarkers for Human Papilloma Virus-Related Cervical Neoplasia. Am. J. Surg. Pathol. 2001, 25, 884–891. [Google Scholar] [CrossRef] [PubMed]





| Parameters | No. | (%) |
|---|---|---|
| Age (years) <35 | 7 | 7.69 |
| 35–45 | 22 | 24.18 |
| >45 | 62 | 68.13 |
| Grade G1 | 18 | 19.78 |
| G2 | 57 | 62.64 |
| G3 | 16 | 17.58 |
| Histological types Carcinoma planoepithelial | 73 | 80.22 |
| Adenocarcinoma | 12 | 13.19 |
| Other than carcinoma planoepithelial and adenocarcinoma | 6 | 6.59 |
| Score | Percentage of Positively Stained Cells (PP) | Intensity of Staining (SI) | IRS Points (PP × SI) | IRS Classification |
|---|---|---|---|---|
| 0 | no staining | no color reaction | 0–1 | Negative |
| 1 | <10% | weak reaction | 2–3 | Positive, weak expression |
| 2 | 10–50% | moderate reaction | 4–8 | Positive, moderate expression |
| 3 | 51–80% | strong reaction | 9–12 | Positive, strong expression |
| 4 | >80% |
| Control | Testin | ||||||
|---|---|---|---|---|---|---|---|
| β-Actin I | β-Actin II | β-Actin Average | Testin I | Testin II | Testin Average | Testin Normallized | |
| HaCaT | 2,179,147 | 1,980,546 | 2,079,847 | 6,246,846 | 5,946,842 | 6,096,844 | 2.931391331 |
| HeLa | 2,362,978 | 1,897,653 | 2,130,316 | 2,209,494 | 2,106,849 | 2,158,171.5 | 1.013075997 |
| SiHa | 2,008,224 | 2,012,950 | 2,010,587 | 471,170 | 4,405,306 | 2,438,238 | 1.212699575 |
| C-33A | 1,989,734 | 2,106,843 | 2,048,289 | 12,936 | 10,310 | 11,623 | 0.005674494 |
Disclaimer/Publisher’s Note: The statements, opinions and data contained in all publications are solely those of the individual author(s) and contributor(s) and not of MDPI and/or the editor(s). MDPI and/or the editor(s) disclaim responsibility for any injury to people or property resulting from any ideas, methods, instructions or products referred to in the content. |
© 2023 by the authors. Licensee MDPI, Basel, Switzerland. This article is an open access article distributed under the terms and conditions of the Creative Commons Attribution (CC BY) license (https://creativecommons.org/licenses/by/4.0/).
Share and Cite
Popiel-Kopaczyk, A.; Grzegrzolka, J.; Piotrowska, A.; Olbromski, M.; Smolarz, B.; Romanowicz, H.; Rusak, A.; Mrozowska, M.; Dziegiel, P.; Podhorska-Okolow, M.; et al. The Expression of Testin, Ki-67 and p16 in Cervical Cancer Diagnostics. Curr. Issues Mol. Biol. 2023, 45, 490-500. https://doi.org/10.3390/cimb45010032
Popiel-Kopaczyk A, Grzegrzolka J, Piotrowska A, Olbromski M, Smolarz B, Romanowicz H, Rusak A, Mrozowska M, Dziegiel P, Podhorska-Okolow M, et al. The Expression of Testin, Ki-67 and p16 in Cervical Cancer Diagnostics. Current Issues in Molecular Biology. 2023; 45(1):490-500. https://doi.org/10.3390/cimb45010032
Chicago/Turabian StylePopiel-Kopaczyk, Aneta, Jedrzej Grzegrzolka, Aleksandra Piotrowska, Mateusz Olbromski, Beata Smolarz, Hanna Romanowicz, Agnieszka Rusak, Monika Mrozowska, Piotr Dziegiel, Marzenna Podhorska-Okolow, and et al. 2023. "The Expression of Testin, Ki-67 and p16 in Cervical Cancer Diagnostics" Current Issues in Molecular Biology 45, no. 1: 490-500. https://doi.org/10.3390/cimb45010032
APA StylePopiel-Kopaczyk, A., Grzegrzolka, J., Piotrowska, A., Olbromski, M., Smolarz, B., Romanowicz, H., Rusak, A., Mrozowska, M., Dziegiel, P., Podhorska-Okolow, M., & Kobierzycki, C. (2023). The Expression of Testin, Ki-67 and p16 in Cervical Cancer Diagnostics. Current Issues in Molecular Biology, 45(1), 490-500. https://doi.org/10.3390/cimb45010032

