Curcumin Derivative CU4c Exhibits HDAC-Inhibitory and Anticancer Activities Against Human Lung Cancer Cells In Vitro and in Mouse Xenograft Models
Abstract
1. Introduction
2. Results
2.1. HDAC-Inhibitory Activity of the Curcumin Derivative CU4c In Vitro and in A549 Cells
2.2. HDAC-Inhibitory Activity of the Curcumin Derivative CU4c In Silico
2.3. Antiproliferative Effects of CU4c on Lung Cancer and Noncancer Cells
2.4. Selectivity Index (SI) of CU4c Against Human Lung Cancer A549 Cells
2.5. Antiproliferative Effects of CU4c in Combination with Standard Chemotherapeutic Drugs (CDDP and Gem) on A549 Cells
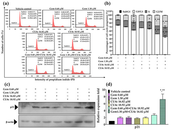
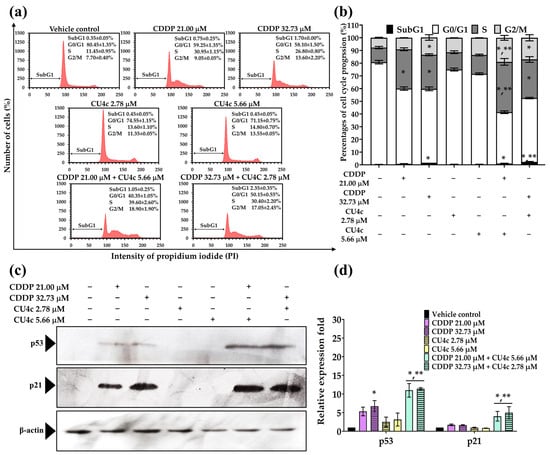
2.6. Effect of Combined Therapies of CU4c with CDDP or Gem on Cell Cycle Arrest Against A549 Cells
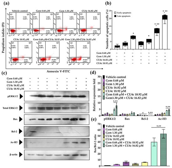
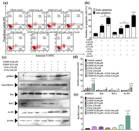
2.7. Effect of Combined Therapies of CU4c with CDDP or Gem on the Activation of Cellular Apoptosis Against A549 Cells
2.8. CU, CU4c, and Gem Single Treatments and Combinations of CU4c with Gem Inhibit the Growth of A549 Xenograft Tumors
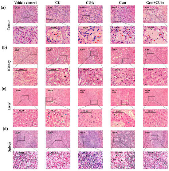
2.9. Toxicological Evaluation of CU, CU4c, and Gem Monotherapy and Combinations of CU4c with Gem in Nude Mouse Xenograft Models
3. Discussion
4. Materials and Methods
4.1. Materials
4.2. Cell Lines and Culture Conditions
4.3. The Extraction and Isolation of Curcumin
4.4. Curcumin Derivative CU4c Synthesis
4.5. In Vitro HDAC Inhibitory Activity Assay
4.6. Molecular Docking of CU4c to HDAC Crystal Structures
4.7. Cell Viability Assay
4.8. Selectivity Index (SI)
4.9. Drug Interaction
4.10. Cell Cycle Analysis
4.11. Cellular Apoptosis Detection
4.12. Western Blot Analysis
4.13. In Vivo Antitumor Study
4.14. Histological Examination
4.15. Statistical Analysis
5. Conclusions
Supplementary Materials
Author Contributions
Funding
Institutional Review Board Statement
Informed Consent Statement
Data Availability Statement
Acknowledgments
Conflicts of Interest
References
- Alamery, S.; AlAjmi, A.; Wani, T.A.; Zargar, S. In Silico and In Vitro Exploration of Poziotinib and Olmutinib Synergy in Lung Cancer: Role of Hsa-miR-7-5p in Regulating Apoptotic Pathway Marker Genes. Medicina 2023, 59, 1923. [Google Scholar] [CrossRef]
- Provencio, M.; Isla, D.; Sánchez, A.; Cantos, B. Inoperable Stage III Non-Small Cell Lung Cancer: Current Treatment and Role of Vinorelbine. J. Thorac. Dis. 2011, 3, 197–204. [Google Scholar] [CrossRef] [PubMed]
- Koshkina, N.V.; Waldrep, J.C.; Roberts, L.; Golunski, E.; Melton, S.; Knight, V. Paclitaxel Liposome Aerosol Treatment Induces Inhibition of Pulmonary Metastases in Murine Renal Carcinoma Model. Clin. Cancer Res. 2001, 7, 3258–3262. [Google Scholar] [PubMed]
- Lee, S.H. Chemotherapy for Lung Cancer in the Era of Personalized Medicine. Tuberc. Respir. Dis. 2019, 82, 179–189. [Google Scholar] [CrossRef] [PubMed]
- Chandolu, V.; Dass, C.R. Treatment of Lung Cancer Using Nanoparticle Drug Delivery Systems. Curr. Drug Discov. Technol. 2013, 10, 170–176. [Google Scholar] [CrossRef]
- Li, M.; Fang, G.; Zahid, F.; Saleem, R.; Ishrat, G.; Ali, Z.; Naeem, M.; Din, F.U. Co-Delivery of Paclitaxel and Curcumin Loaded Solid Lipid Nanoparticles for Improved Targeting of Lung Cancer: In Vitro and in Vivo Investigation. Heliyon 2024, 10, e30290. [Google Scholar] [CrossRef]
- Marino, F.Z.; Bianco, R.; Accardo, M.; Ronchi, A.; Cozzolino, I.; Morgillo, F.; Rossi, G.; Franco, R. Molecular Heterogeneity in Lung Cancer: From Mechanisms of Origin to Clinical Implications. Int. J. Med. Sci. 2019, 16, 981–989. [Google Scholar] [CrossRef]
- Narita, T.; Weinert, B.T.; Choudhary, C. Functions and Mechanisms of Non-Histone Protein Acetylation. Nat. Rev. Mol. Cell Biol. 2018, 20, 156–174. [Google Scholar] [CrossRef]
- Contreras-Sanzón, E.; Prado-Garcia, H.; Romero-Garcia, S.; Nuñez-Corona, D.; Ortiz-Quintero, B.; Luna-Rivero, C.; Martínez-Cruz, V.; Carlos-Reyes, Á. Histone Deacetylases Modulate Resistance to the Therapy in Lung Cancer. Front. Genet. 2022, 13, 960263. [Google Scholar] [CrossRef]
- Parbin, S.; Kar, S.; Shilpi, A.; Sengupta, D.; Deb, M.; Rath, S.K.; Patra, S.K. Histone Deacetylases. J. Histochem. Cytochem. 2013, 62, 11–33. [Google Scholar] [CrossRef]
- Damaskos, C.; Tomos, I.; Garmpis, N.; Karakatsani, A.; Dimitroulis, D.; Garmpi, A.; Spartalis, E.; Kampolis, C.F.; Tsagkari, E.; Loukeri, A.A.; et al. HiStone Deacetylase Inhibitors as a Novel Targeted Therapy against Non-Small Cell Lung Cancer: Where Are We Now and What Should We Expect? Anticancer Res. 2018, 38, 37–43. [Google Scholar] [CrossRef] [PubMed]
- Balasubramaniam, S.; Redon, C.E.; Peer, C.J.; Bryla, C.; Lee, M.-J.; Trepel, J.B.; Tomita, Y.; Rajan, A.; Giaccone, G.; Bonner, W.M.; et al. Phase I Trial of Belinostat with Cisplatin and Etoposide in Advanced Solid Tumors, with a Focus on Neuroendocrine and Small Cell Cancers of the Lung. Anti-Cancer Drugs 2018, 29, 457–465. [Google Scholar] [CrossRef]
- Tong, C.W.S.; Wu, W.K.K.; Loong, H.H.F.; Cho, W.C.S.; To, K.K.W. Drug Combination Approach to Overcome Resistance to EGFR Tyrosine Kinase Inhibitors in Lung Cancer. Cancer Lett. 2017, 405, 100–110. [Google Scholar] [CrossRef]
- Islam, R.; Singh, R. Curcumin and PCI-34051 Combined Treatment Ameliorates Inflammation and Fibrosis by Affecting MAP Kinase Pathway. Inflammopharmacology 2023, 31, 3063–3079. [Google Scholar] [CrossRef] [PubMed]
- Li, Y.; Seto, E. HDACs and HDAC Inhibitors in Cancer Development and Therapy. Cold Spring Harb. Perspect. Med. 2016, 6, a026831. [Google Scholar] [CrossRef] [PubMed]
- Cheshmazar, N.; Hamzeh-Mivehroud, M.; Charoudeh, H.N.; Hemmati, S.; Melesina, J.; Dastmalchi, S. Current Trends in Development of HDAC-Based Chemotherapeutics. Life Sci. 2022, 308, 120946. [Google Scholar] [CrossRef]
- Chiang, I.-T.; Wang, W.-S.; Liu, H.-C.; Yang, S.-T.; Tang, N.-Y.; Chung, J.-G. Curcumin Alters Gene Expression-Associated DNA Damage, Cell Cycle, Cell Survival and Cell Migration and Invasion in NCI-H460 Human Lung Cancer Cells in Vitro. Oncol. Rep. 2015, 34, 1853–1874. [Google Scholar] [CrossRef]
- Mirzaei, H.; Masoudifar, A.; Sahebkar, A.; Zare, N.; Nahand, J.S.; Rashidi, B.; Mehrabian, E.; Mohammadi, M.; Mirzaei, H.R.; Jaafari, M.R. MicroRNA: A Novel Target of Curcumin in Cancer Therapy. J. Cell. Physiol. 2017, 233, 3004–3015. [Google Scholar] [CrossRef]
- Soflaei, S.S.; Momtazi-Borojeni, A.A.; Majeed, M.; Derosa, G.; Maffioli, P.; Sahebkar, A. Curcumin: A Natural Pan-HDAC Inhibitor in Cancer. Curr. Pharm. Des. 2018, 24, 123–129. [Google Scholar] [CrossRef]
- Namwan, N.; Senawong, G.; Phaosiri, C.; Kumboonma, P.; Somsakeesit, L.-O.; Samankul, A.; Leerat, C.; Senawong, T. HDAC Inhibitory and Anti-Cancer Activities of Curcumin and Curcumin Derivative CU17 against Human Lung Cancer A549 Cells. Molecules 2022, 27, 4014. [Google Scholar] [CrossRef]
- Zoi, V.; Galani, V.; Lianos, G.D.; Voulgaris, S.; Kyritsis, A.P.; Alexiou, G.A. The Role of Curcumin in Cancer Treatment. Biomedicines 2021, 9, 1086. [Google Scholar] [CrossRef]
- Adiwidjaja, J.; McLachlan, A.J.; Boddy, A.V. Curcumin as a Clinically-Promising Anti-Cancer Agent: Pharmacokinetics and Drug Interactions. Expert Opin. Drug Metab. Toxicol. 2017, 13, 953–972. [Google Scholar] [CrossRef] [PubMed]
- Kuzminska, J.; Szyk, P.; Mlynarczyk, D.T.; Bakun, P.; Muszalska-Kolos, I.; Dettlaff, K.; Sobczak, A.; Goslinski, T.; Jelinska, A. Curcumin Derivatives in Medicinal Chemistry: Potential Applications in Cancer Treatment. Molecules 2024, 29, 5321. [Google Scholar] [CrossRef] [PubMed]
- Zhang, L.; Qiang, P.; Yu, J.; Miao, Y.; Chen, Z.; Qu, J.; Zhao, Q.; Chen, Z.; Liu, Y.; Yao, X.; et al. Identification of Compound CA-5f as a Novel Late-Stage Autophagy Inhibitor with Potent Anti-Tumor Effect against Non-Small Cell Lung Cancer. Autophagy 2018, 15, 391–406. [Google Scholar] [CrossRef]
- Zhi, T.X.; Liu, K.Q.; Cai, K.Y.; Zhao, Y.C.; Li, Z.W.; Wang, X.; He, X.H.; Sun, X.Y. Anti-Lung Cancer Activities of 1,2,3-Triazole Curcumin Derivatives via Regulation of the MAPK/NF-ΚB/STAT3 Signaling Pathways. ChemMedChem 2021, 17, e202100676. [Google Scholar] [CrossRef]
- Somsakeesit, L.-O.; Senawong, T.; Kumboonma, P.; Saenglee, S.; Samankul, A.; Senawong, G.; Yenjai, C.; Phaosiri, C. Influence of Side-Chain Changes on Histone Deacetylase Inhibitory and Cytotoxicity Activities of Curcuminoid Derivatives. Bioorg. Med. Chem. Lett. 2020, 30, 127171. [Google Scholar] [CrossRef] [PubMed]
- Artun, F.T.; Karagoz, A.; Ozcan, G.; Melikoglu, G.; Anil, S.; Kultur, S.; Sutlupinar, N. In Vitro Anticancer and Cytotoxic Activities of Some Plant Extracts on HeLa and Vero Cell Lines. In Proceedings of the 2nd International Conference on Natural Products for Cancer Prevention and Therapy, Kayseri, Turkey, 8–11 November 2017. [Google Scholar] [CrossRef]
- Chou, T.-C.; Talalay, P. Quantitative Analysis of Dose-Effect Relationships: The Combined Effects of Multiple Drugs or Enzyme Inhibitors. Adv. Enzyme Regul. 1984, 22, 27–55. [Google Scholar] [CrossRef]
- Buran, K. Colchicine as a Potential HDAC Inhibitor: Comparative Binding Energies and Prospects for Cancer Therapy Repurposing. J. Res. Pharm. 2024, 28, 1812–1819. [Google Scholar] [CrossRef]
- Bora-Tatar, G.; Dayangaç-Erden, D.; Demir, A.S.; Dalkara, S.; Yelekçi, K.; Erdem-Yurter, H. Molecular Modifications on Carboxylic Acid Derivatives as Potent Histone Deacetylase Inhibitors: Activity and Docking Studies. Bioorg. Med. Chem. 2009, 17, 5219–5228. [Google Scholar] [CrossRef]
- Zhou, G.; Guo, S.; Liu, D.; Zhang, L.; Sun, G. Antiproliferative Effect and Autophagy Induction of Curcumin Derivative ZYX02-Na on the Human Lung Cancer Cells A549. J. Biochem. Mol. Toxicol. 2020, 34, e22592. [Google Scholar] [CrossRef]
- Wang, S.; Oliveira-Silveira, J.; Fang, G.; Kang, J. High-Content Analysis Identified Synergistic Drug Interactions between INK128, an mTOR Inhibitor, and HDAC Inhibitors in a Non-Small Cell Lung Cancer Cell Line. BMC Cancer 2024, 24, 335. [Google Scholar] [CrossRef] [PubMed]
- Zhang, X.; Jiang, S.; Shang, B.; Jiang, H. Effects of Histone Deacetylase Inhibitor Trichostatin A Combined with Cisplatin on Apoptosis of A549 Cell Line. Thorac. Cancer 2014, 6, 202–208. [Google Scholar] [CrossRef] [PubMed]
- Pan, C.-H.; Chang, Y.-F.; Lee, M.-S.; Wen, B.-C.; Ko, J.-C.; Liang, S.-K.; Liang, M.-C. Vorinostat Enhances the Cisplatin-Mediated Anticancer Effects in Small Cell Lung Cancer Cells. BMC Cancer 2016, 16, 857. [Google Scholar] [CrossRef] [PubMed]
- Namwan, N.; Senawong, G.; Phaosiri, C.; Kumboonma, P.; Somsakeesit, L.-o.; Samankul, A.; Leerat, C.; Senawong, T. Synergistic Anti-Cancer Activities of Curcumin Derivative CU17 Combined with Gemcitabine Against A549 Non-Small-Cell Lung Cancer Cells. Pharmaceutics 2025, 17, 158. [Google Scholar] [CrossRef]
- Stewart, Z.A.; Westfall, M.D.; Pietenpol, J.A. Cell-Cycle Dysregulation and Anticancer Therapy. Trends Pharmacol. Sci. 2003, 24, 139–145. [Google Scholar] [CrossRef]
- Wagner, J.M.; Karnitz, L.M. Cisplatin-Induced DNA Damage Activates Replication Checkpoint Signaling Components That Differentially Affect Tumor Cell Survival. Mol. Pharmacol. 2009, 76, 208–214. [Google Scholar] [CrossRef]
- Hamed, S.S.; Straubinger, R.M.; Jusko, W.J. Pharmacodynamic Modeling of Cell Cycle and Apoptotic Effects of Gemcitabine on Pancreatic Adenocarcinoma Cells. Cancer Chemother. Pharmacol. 2013, 72, 553–563. [Google Scholar] [CrossRef]
- Dai, X.; Zhang, J.; Guo, G.; Cai, Y.; Cui, R.; Yin, C.; Liu, W.; Vinothkumar, R.; Zhang, T.; Liang, G.; et al. A Mono-Carbonyl Analog of Curcumin Induces Apoptosis in Drug-Resistant EGFR-Mutant Lung Cancer through the Generation of Oxidative Stress and Mitochondrial Dysfunction. Cancer Manag. Res. 2018, 10, 3069–3082. [Google Scholar] [CrossRef]
- Thongpon, P.; Intuyod, K.; Chomwong, S.; Pongking, T.; Klungsaeng, S.; Muisuk, K.; Charoenram, N.; Sitthirach, C.; Thanan, R.; Pinlaor, P.; et al. Curcumin Synergistically Enhances the Efficacy of Gemcitabine against Gemcitabine-Resistant Cholangiocarcinoma via the Targeting LAT2/Glutamine Pathway. Sci. Rep. 2024, 14, 16059. [Google Scholar] [CrossRef]
- Weir, N.M.; Selvendiran, K.; Kutala, V.K.; Tong, L.; Vishwanath, S.; Rajaram, M.; Tridandapani, S.; Anant, S.; Kuppusamy, P. Curcumin Induces G2/M Arrest and Apoptosis in Cisplatin-Resistant Human Ovarian Cancer Cells by Modulating Akt and P38 mAPK. Cancer Biol. Ther. 2007, 6, 178–184. [Google Scholar] [CrossRef]
- Diaz-Moralli, S.; Tarrado-Castellarnau, M.; Miranda, A.; Cascante, M. Targeting Cell Cycle Regulation in Cancer Therapy. Pharmacol. Ther. 2013, 138, 255–271. [Google Scholar] [CrossRef] [PubMed]
- Ocker, M.; Bitar, S.A.; Monteiro, A.C.; Gali-Muhtasib, H.; Schneider-Stock, R. Epigenetic Regulation of P21cip1/Waf1 in Human Cancer. Cancers 2019, 11, 1343. [Google Scholar] [CrossRef]
- Engeland, K. Cell Cycle Regulation: P53-P21-RB Signaling. Cell Death Differ. 2022, 29, 946–960. [Google Scholar] [CrossRef] [PubMed]
- El-Deiry, W.S. P21(WAF1) Mediates Cell-Cycle Inhibition, Relevant to Cancer Suppression and Therapy. Cancer Res. 2016, 76, 5189–5191. [Google Scholar] [CrossRef]
- Qian, S.; Wei, Z.; Yang, W.; Huang, J.; Yang, Y.; Wang, J. The Role of BCL-2 Family Proteins in Regulating Apoptosis and Cancer Therapy. Front. Oncol. 2022, 12, 985363. [Google Scholar] [CrossRef]
- Chen, H.; Lai, Z.; Liao, H.; Xie, J.; Xian, Y.; Chen, Y.; Ip, S.; Lin, Z.; Su, Z. Synergistic Antitumor Effect of Brusatol Combined with Cisplatin on Colorectal Cancer Cells. Int. J. Mol. Med. 2018, 41, 1447–1454. [Google Scholar] [CrossRef]
- Sugiura, R.; Satoh, R.; Takasaki, T. ERK: A Double-Edged Sword in Cancer. ERK-Dependent Apoptosis as a Potential Therapeutic Strategy for Cancer. Cells 2021, 10, 2509. [Google Scholar] [CrossRef]
- Wang, X.; Martindale, J.L.; Holbrook, N.J. Requirement for ERK Activation in Cisplatin-Induced Apoptosis. J. Biol. Chem. 2000, 275, 39435–39443. [Google Scholar] [CrossRef] [PubMed]
- Cagnol, S.; Chambard, J. ERK and Cell Death: Mechanisms of ERK-induced Cell Death–Apoptosis, Autophagy and Senescence. FEBS J. 2009, 277, 2–21. [Google Scholar] [CrossRef]
- To, K.K.W.; Cheung, K.M.; Cho, W.C.S. Repurposing of Triamterene as a Histone Deacetylase Inhibitor to Overcome Cisplatin Resistance in Lung Cancer Treatment. J. Cancer Res. Clin. Oncol. 2023, 149, 7217–7234. [Google Scholar] [CrossRef]
- Ramalingam, S.S.; Maitland, M.L.; Frankel, P.; Argiris, A.E.; Koczywas, M.; Gitlitz, B.; Thomas, S.; Espinoza-Delgado, I.; Vokes, E.E.; Gandara, D.R.; et al. Carboplatin and Paclitaxel in Combination with Either Vorinostat or Placebo for First-Line Therapy of Advanced Non–Small-Cell Lung Cancer. J. Clin. Oncol. 2009, 28, 56–62. [Google Scholar] [CrossRef]
- Newbold, A.; Salmon, J.M.; Martin, B.P.; Stanley, K.; Johnstone, R.W. The Role of P21waf1/Cip1 and p27Kip1 in HDACi-Mediated Tumor Cell Death and Cell Cycle Arrest in the Eμ-Myc Model of B-Cell Lymphoma. Oncogene 2013, 33, 5415–5423. [Google Scholar] [CrossRef] [PubMed]
- Gerlyng, P.; Åbyholm, A.; Grotmol, T.; Erikstein, B.; Huitfeldt, H.S.; Stokke, T.; Seglen, P.O. Binucleation and Polyploidization Patterns in Developmental and Regenerative Rat Liver Growth. Cell Prolif. 1993, 26, 557–565. [Google Scholar] [CrossRef]
- Maroni, P. Megakaryocytes in Bone Metastasis: Protection or Progression? Cells 2019, 8, 134. [Google Scholar] [CrossRef] [PubMed]
- Hillman, G.G.; Singh-Gupta, V.; Al-Bashirt, A.K.; Zhang, H.; Yunker, C.K.; Patel, A.D.; Sethi, S.; Abrams, J.; Haacket, E.M. Dynamic Contrast-Enhanced Magnet Resonance Imaging of Sunitinib-Induced Vascular Changes to Schedule Chemotherapy in Renal Cell Carcinoma Xenograft Tumors. Transl. Oncol. 2010, 3, 293–306. [Google Scholar] [CrossRef] [PubMed]
- Hailan, W.a.Q.; Abou-Tarboush, F.M.; Al-Anazi, K.M.; Ahmad, A.; Qasem, A.; Farah, M.A. Gemcitabine Induced Cytotoxicity, DNA Damage and Hepatic Injury in Laboratory Mice. Drug Chem. Toxicol. 2018, 43, 158–164. [Google Scholar] [CrossRef]
- Abdullah, R.A.; Ismail, H.K.; Al-Hubaity, A.Y. Histological Effect of Gemcitabine on the Liver and Kidney of Male Rat with and without Melatonin. Open Access Maced. J. Med. Sci. 2022, 10, 1242–1248. Available online: https://oamjms.eu/index.php/mjms/article/view/10071 (accessed on 27 April 2025).
- Wong, P.P.; Demircioglu, F.; Ghazaly, E.; Alrawashdeh, W.; Stratford, M.R.; Scudamore, C.L.; Cereser, B.; Crnogorac-Jurcevic, T.; McDonald, S.; Elia, G.; et al. Dual-action combination therapy enhances angiogenesis while reducing tumor growth and spread. Cancer Cell 2015, 27, 123–137. [Google Scholar] [CrossRef]
- Samankul, A.; Senawong, G.; Utaiwat, S.; Prompipak, J.; Woranam, K.; Phaosiri, C.; Sripa, B.; Senawong, T. Tiliacora Triandra Leaf Powder Ethanolic Extract in Combination with Cisplatin or Gemcitabine Synergistically Inhibits the Growth of Cholangiocarcinoma Cells In Vitro and in Nude Mouse Xenograft Models. Medicina 2023, 59, 1269. [Google Scholar] [CrossRef]
- Kumboonma, P.; Senawong, T.; Saenglee, S.; Senawong, G.; Somsakeesit, L.-O.; Yenjai, C.; Phaosiri, C. New Histone Deacetylase Inhibitors and Anticancer Agents from Curcuma Longa. Med. Chem. Res. 2019, 28, 1773–1782. [Google Scholar] [CrossRef]
- Venkateswarlu, S.; Ramachandra, M.S.; Subbaraju, G.V. Synthesis and Biological Evaluation of Polyhydroxycurcuminoids. Bioorg. Med. Chem. 2005, 13, 6374–6380. [Google Scholar] [CrossRef] [PubMed]
- Guo, P.; Wang, J.; Gao, W.; Liu, X.; Wu, S.; Wan, B.; Xu, L.; Li, Y. Salvianolic acid B reverses multidrug resistance in nude mice bearing human colon cancer stem cells. Mol. Med. Rep. 2018, 18, 1323–1334. [Google Scholar] [CrossRef] [PubMed]












| Compound | HDAC Class I | HDAC Class II | ||||||||||||
|---|---|---|---|---|---|---|---|---|---|---|---|---|---|---|
| HDAC1 | HDAC2 | HDAC3 | HDAC8 | HDAC4 | HDAC6 | HDAC7 | ||||||||
| ∆G | Ki | ∆G | Ki | ∆G | Ki | ∆G | Ki | ∆G | Ki | ∆G | Ki | ∆G | Ki | |
| CU4c | −6.30 | 23.90 | −6.17 | 29.85 | −6.79 | 10.49 | −5.89 | 47.81 | −7.90 | 1.63 | −7.00 | 7.43 | −7.92 | 1.56 |
| Compound | Exposure Times (h) | IC50 of CU4c, µM (Mean ± SEM) | SI | |
|---|---|---|---|---|
| A549 Cells | Vero Cells | |||
| CU4c | 24 | 93.90 ± 1.84 | >200 | 2.13 |
| 48 | 60.43 ± 2.18 | >200 | 3.31 | |
| 72 | 40.34 ± 1.20 | >200 | 4.96 | |
| Exposure Time | Parameters Used for Drug Interaction Assessment | CI | DRI | |||||
|---|---|---|---|---|---|---|---|---|
| IC50 of CU4c (µM) | Subtoxic Dose of CDDP (µM) | Subtoxic Dose of Gem (µM) | CDDP | Gem | CU4c | |||
| Alone | Combination | |||||||
| IC20 | IC20 | |||||||
| 24 h | 93.90 ± 1.84 | 5.66 ± 0.25 | 21.00 ± 0.48 | - | 0.38 ± 0.00 | 3.13 | - | 16.59 |
| 48 h | 60.43 ± 2.18 | 34.36 ± 0.81 | 7.12 ± 1.07 | - | 1.03 ± 0.01 | 1.91 | - | 1.76 |
| 72 h | 40.34 ± 1.20 | 30.15 ± 3.13 | 1.69 ± 0.19 | - | 1.23 ± 0.10 | 3.22 | - | 1.34 |
| 48 h | 60.43 ± 2.18 | 18.92 ± 1.97 | - | 0.68 ± 0.13 | 0.26 ± 0.02 | - | 16.00 | 3.19 |
| 72 h | 40.34 ± 1.20 | 16.82 ± 0.42 | - | 0.35 ± 0.14 | 0.31 ± 0.02 | - | 3.83 | 2.40 |
| IC30 | IC30 | |||||||
| 24 h | 93.90 ± 1.84 | 2.78 ± 0.11 | 32.73 ± 0.30 | - | 0.53 ± 0.00 | 2.01 | - | 33.78 |
| 48 h | 60.43 ± 2.18 | 41.86 ± 2.23 | 9.16 ± 1.71 | - | 1.35 ± 0.04 | 1.48 | - | 1.44 |
| 72 h | 40.34 ± 1.20 | 40.53 ± 3.03 | 2.68 ± 0.17 | - | 1.90 ± 0.11 | 2.03 | - | 1.00 |
| 48 h | 60.43 ± 2.18 | 16.82 ± 1.52 | - | 1.30 ± 0.18 | 0.76 ± 0.01 | - | 8.37 | 3.59 |
| 72 h | 40.34 ± 1.20 | 15.35 ± 3.63 | - | 0.55 ± 0.14 | 0.91 ± 0.12 | - | 2.44 | 2.63 |
| Groups | Initial Body Weight (g) | Final Body Weight (g) | %BWC | Organ Index (g/100 g Body Weight) | ||
|---|---|---|---|---|---|---|
| Liver | Spleen | Kidney | ||||
| Vehicle control | 25.70 ± 0.76 | 28.18 ± 0.89 | 9.66 | 7.00 ± 0.39 | 0.64 ± 0.09 | 0.98 ± 0.01 |
| CU 30 mg/kg | 24.91 ± 0.17 | 27.73 ± 0.63 | 11.36 | 7.22 ± 0.21 | 0.62 ± 0.24 | 1.01 ± 0.01 |
| CU4c 30 mg/kg | 24.09 ± 0.88 | 27.52 ± 1.42 | 14.17 | 7.09 ± 0.44 | 0.70 ± 0.04 | 0.96 ± 0.07 |
| Gem 50 mg/kg | 24.86 ± 0.55 | 25.69 ± 0.54 | 3.36 * | 7.31 ± 0.42 | 1.60 ± 0.08 * | 1.00 ± 0.01 |
| Gem 50 mg/kg + CU4c 30 mg/kg | 23.63 ± 0.07 | 26.23 ± 0.55 | 11.01 | 7.32 ± 0.71 | 1.59 ± 0.35 * | 1.11 ± 0.03 |
Disclaimer/Publisher’s Note: The statements, opinions and data contained in all publications are solely those of the individual author(s) and contributor(s) and not of MDPI and/or the editor(s). MDPI and/or the editor(s) disclaim responsibility for any injury to people or property resulting from any ideas, methods, instructions or products referred to in the content. |
© 2025 by the authors. Licensee MDPI, Basel, Switzerland. This article is an open access article distributed under the terms and conditions of the Creative Commons Attribution (CC BY) license (https://creativecommons.org/licenses/by/4.0/).
Share and Cite
Namwan, N.; Senawong, G.; Phaosiri, C.; Kumboonma, P.; Somsakeesit, L.-o.; Sangchang, P.; Senawong, T. Curcumin Derivative CU4c Exhibits HDAC-Inhibitory and Anticancer Activities Against Human Lung Cancer Cells In Vitro and in Mouse Xenograft Models. Pharmaceuticals 2025, 18, 960. https://doi.org/10.3390/ph18070960
Namwan N, Senawong G, Phaosiri C, Kumboonma P, Somsakeesit L-o, Sangchang P, Senawong T. Curcumin Derivative CU4c Exhibits HDAC-Inhibitory and Anticancer Activities Against Human Lung Cancer Cells In Vitro and in Mouse Xenograft Models. Pharmaceuticals. 2025; 18(7):960. https://doi.org/10.3390/ph18070960
Chicago/Turabian StyleNamwan, Narissara, Gulsiri Senawong, Chanokbhorn Phaosiri, Pakit Kumboonma, La-or Somsakeesit, Pitchakorn Sangchang, and Thanaset Senawong. 2025. "Curcumin Derivative CU4c Exhibits HDAC-Inhibitory and Anticancer Activities Against Human Lung Cancer Cells In Vitro and in Mouse Xenograft Models" Pharmaceuticals 18, no. 7: 960. https://doi.org/10.3390/ph18070960
APA StyleNamwan, N., Senawong, G., Phaosiri, C., Kumboonma, P., Somsakeesit, L.-o., Sangchang, P., & Senawong, T. (2025). Curcumin Derivative CU4c Exhibits HDAC-Inhibitory and Anticancer Activities Against Human Lung Cancer Cells In Vitro and in Mouse Xenograft Models. Pharmaceuticals, 18(7), 960. https://doi.org/10.3390/ph18070960

