Fecal Microbiota Transplantation in Refractory Immune-Mediated Colitis: Case Series and Review of the Literature
Abstract
1. Introduction
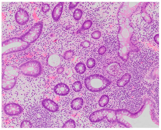
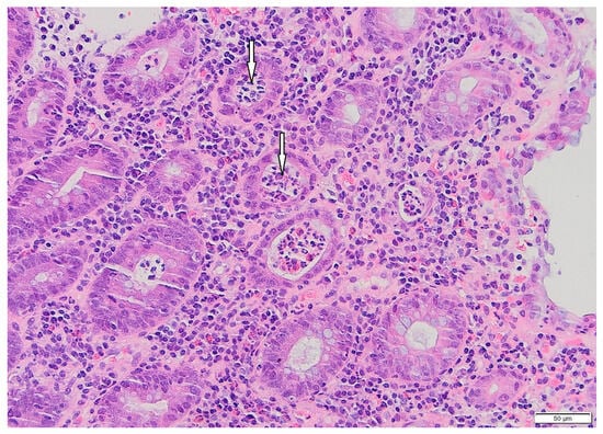
2. Case Presentations
3. Discussion
4. Conclusions
Supplementary Materials
Author Contributions
Funding
Institutional Review Board Statement
Informed Consent Statement
Data Availability Statement
Conflicts of Interest
References
- Roussos, P.; Migkou, M. Impact of PD-1/PD-L1 inhibitors on survival in stage III non-small-cell lung cancer: A systematic review. Cancer Pathog. Ther. 2023, 2, 155–163. [Google Scholar] [CrossRef]
- Younis, A.; Gribben, J. Immune Checkpoint Inhibitors: Fundamental Mechanisms, Current Status and Future Directions. Immuno 2024, 4, 186–210. [Google Scholar] [CrossRef]
- Wolchok, J.D.; Chiarion-Sileni, V.; Rutkowski, P.; Cowey, C.L.; Schadendorf, D.; Wagstaff, J.; Queirolo, P.; Dummer, R.; Butler, M.O.; Hill, A.G.; et al. Final, 10-Year Outcomes with Nivolumab plus Ipilimumab in Advanced Melanoma. N. Engl. J. Med. 2025, 392, 11–22. [Google Scholar] [CrossRef] [PubMed]
- Krishnamurthy, A.; Jimeno, A. Atezolizumab: A novel PD-L1 inhibitor in cancer therapy with a focus in bladder and non-small-cell lung cancers. Drugs Today 2017, 53, 217–237. [Google Scholar] [CrossRef] [PubMed]
- Dong, H.; Peng, Y.; Wang, X.; Cui, H. An updated review on immune checkpoint inhibitor-induced colitis: Epidemiology, pathogenesis, treatment strategies, and the role of traditional Chinese medicine. Front. Immunol. 2025, 16, 1551445. [Google Scholar] [CrossRef]
- Del Gaudio, A.; Di Vincenzo, F.; Petito, V.; Giustiniani, M.C.; Gasbarrini, A.; Scaldaferri, F.; Lopetuso, L.R. Focus on Immune Checkpoint Inhibitors-related Intestinal Inflammation: From Pathogenesis to Therapeutical Approach. Inflamm. Bowel Dis. 2024, 30, 1018–1031. [Google Scholar] [CrossRef]
- NCCN Guidelines, Management of Immunotherapy-Related Toxicities, Version 1. 2025. Available online: https://www.nccn.org/guidelines/guidelines-detail?category=3&id=1548 (accessed on 30 August 2025).
- Haanen, J.; Obeid, M.; Spain, L.; Carbonnel, F.; Wang, Y.; Robert, C.; Lyon, A.R.; Wick, W.; Kostine, M.; Peters, S.; et al. Management of toxicities from immunotherapy: ESMO Clinical Practice Guideline for diagnosis, treatment and follow-up. Ann. Oncol. 2022, 33, 1217–1238. [Google Scholar] [CrossRef] [PubMed]
- Han, X.; Zang, D.; Liu, D.; Chen, J. The multifaceted roles of common gut microbiota in immune checkpoint inhibitor-mediated colitis: From mechanism to clinical application. Front. Immunol. 2022, 13, 988849. [Google Scholar] [CrossRef] [PubMed] [PubMed Central]
- Wang, Y.; Wiesnoski, D.H.; Helmink, B.A.; Gopalakrishnan, V.; Choi, K.; DuPont, H.L.; Jiang, Z.D.; Abu-Sbeih, H.; Sanchez, C.A.; Chang, C.C.; et al. Fecal microbiota transplantation for refractory immune checkpoint inhibitor-associated colitis. Nat. Med. 2018, 24, 1804–1808. [Google Scholar] [CrossRef]
- Fasanello, M.K.; Robillard, K.T.; Boland, P.M.; Bain, A.J.; Kanehira, K. Use of Fecal Microbial Transplantation for Immune Checkpoint Inhibitor Colitis. ACG Case Rep. J. 2020, 7, e00360. [Google Scholar] [CrossRef]
- Halsey, T.M.; Thomas, A.S.; Hayase, T.; Ma, W.; Abu-Sbeih, H.; Sun, B.; Parra, E.R.; Jiang, Z.D.; DuPont, H.L.; Sanchez, C.; et al. Microbiome alteration via fecal microbiota transplantation is effective for refractory immune checkpoint inhibitor-induced colitis. Sci. Transl. Med. 2023, 15, eabq4006. [Google Scholar] [CrossRef] [PubMed]
- Wang, Y.; Shatila, M.; Varatharajalu, K.; Cruz, C.C.; Shen, S.-E.; Herrera, M.; Wang, X.; Thomas, A.; DuPont, H. S310 Fecal Transplantation Improved Patients’ Reported Outcome After Immune Checkpoint Inhibitor Colitis. Am. J. Gastroenterol. 2024, 119, S221–S222. [Google Scholar] [CrossRef]
- Wang, Y.; Varatharajalu, K.; Shatila, M.; Campbell, M.T.; Msaouel, P.; Kovitz, C.A. First-line treatment of fecal microbiota transplantation for immune-mediated colitis. J. Clin. Oncol. 2024, 42, 2660. [Google Scholar] [CrossRef]
- Peery, A.F.; Kelly, C.R.; Kao, D.; Vaughn, B.P.; Lebwohl, B.; Singh, S.; Imdad, A.; Altayar, O. AGA Clinical Guidelines Committee. AGA Clinical Practice Guideline on Fecal Microbiota-Based Therapies for Select Gastrointestinal Diseases. Gastroenterology 2024, 166, 409–434. [Google Scholar] [CrossRef]
- Cha, R.R.; Sonu, I. Fecal microbiota transplantation: Present and future. Clin Endosc. 2025, 58, 352–359. [Google Scholar] [CrossRef] [PubMed]
- Baruch, E.N.; Youngster, I.; Ben-Betzalel, G.; Ortenberg, R.; Lahat, A.; Katz, L.; Adler, K.; Dick-Necula, D.; Raskin, S.; Bloch, N.; et al. Fecal microbiota transplant promotes response in immunotherapy-refractory melanoma patients. Science 2021, 371, 602–609. [Google Scholar] [CrossRef]
- Routy, B.; Lenehan, J.G.; Miller, W.H., Jr.; Jamal, R.; Messaoudene, M.; Daisley, B.A.; Hes, C.; Al, K.F.; Martinez-Gili, L.; Punčochář, M.; et al. Fecal microbiota transplantation plus anti-PD-1 immunotherapy in advanced melanoma: A phase I trial. Nat. Med. 2023, 29, 2121–2132. [Google Scholar] [CrossRef]
- Kim, Y.; Kim, G.; Kim, S.; Cho, B.; Kim, S.Y.; Do, E.-J.; Bae, D.-J.; Kim, S.; Kweon, M.-N.; Song, J.S.; et al. Fecal microbiota transplantation improves anti-PD-1 inhibitor efficacy in unresectable or metastatic solid cancers refractory to anti-PD-1 inhibitor. Cell Host Microbe 2024, 32, 1380–1393.e9. [Google Scholar] [CrossRef]
- Elkrief, A.; Duttagupta, S.; Jamal, R.; Marcoux, N.; Desilets, A.; Messaoudene, M.; Mihalcioiu, C.; Durand, S.; Tehfe, M.; Blais, N.; et al. 1068P—Phase II trial of fecal microbiota transplantation (FMT) plus immune checkpoint inhibition (ICI) in advanced non-small cell lung cancer and cutaneous melanoma (FMT-LUMINate). Ann. Oncol. 2024, 35, S707–S708. [Google Scholar] [CrossRef]
- Davar, D.; Dzutsev, A.K.; McCulloch, J.A.; Rodrigues, R.R.; Chauvin, J.M.; Morrison, R.M.; Deblasio, R.N.; Menna, C.; Ding, Q.; Pagliano, O.; et al. Fecal microbiota transplant overcomes resistance to anti-PD-1 therapy in melanoma patients. Science 2021, 371, 595–602. [Google Scholar] [CrossRef]
- Aaronson, N.K.; Ahmedzai, S.; Bergman, B.; Bullinger, M.; Cull, A.; Duez, N.J.; Filiberti, A.; Flechtner, H.; Fleishman, S.B.; de Haes, J.C.; et al. The European Organization for Research and Treatment of Cancer QLQ-C30: A quality-of-life instrument for use in international clinical trials in oncology. J. Natl. Cancer Inst. 1993, 85, 365–376. [Google Scholar] [CrossRef]
- Radoš, L.; Golčić, M.; Mikolašević, I. The Relationship Between the Modulation of Intestinal Microbiota and the Response to Immunotherapy in Patients with Cancer. Biomedicines 2025, 13, 96. [Google Scholar] [CrossRef]
- Zhang, M.; Liu, J.; Xia, Q. Role of gut microbiome in cancer immunotherapy: From predictive biomarker to therapeutic target. Exp. Hematol. Oncol. 2023, 12, 84. [Google Scholar] [CrossRef]
- Lu, Y.; Yuan, X.; Wang, M.; He, Z.; Li, H.; Wang, J.; Li, Q. Gut microbiota influence immunotherapy responses: Mechanisms and therapeutic strategies. J. Hematol. Oncol. 2022, 15, 47. [Google Scholar] [CrossRef]
- Elkrief, A.; Waters, N.R.; Smith, N.; Dai, A.; Slingerland, J.; Aleynick, N.; Gogia, P.; Socci, N.D.; Lumish, M.; Giardina, P.A.; et al. Immune-related colitis is associated with fecal microbial dysbiosis and can be mitigated by fecal microbiota transplantation. Cancer Immunol. Res. 2024, 12, 308–321. [Google Scholar] [CrossRef] [PubMed Central]
- Shatila, M.; Varatharajalu, K.; Shen, S.-E.; Herrera, M.; Wang, X.S.; Thomas, A.; DuPont, H.L.; Wang, Y. Effect of fecal transplantation on patient reported outcomes after immune checkpoint inhibitor colitis. J. Clin. Oncol. 2024, 42 (Suppl. 16), 2517. [Google Scholar] [CrossRef]
- Vuyyuru, S.K.; Kedia, S.; Kalaivani, M.; Sahu, P.; Kante, B.; Kumar, P.; Ranjan, M.K.; Makharia, G.; Ananthakrishnan, A.; Ahuja, V. Efficacy and safety of fecal transplantation versus targeted therapies in ulcerative colitis: Network meta-analysis. Future Microbiol. 2021, 16, 1215–1227. [Google Scholar] [CrossRef] [PubMed]
- Shambhavi, S.; Singh, H.; Ramaprasad, G.; Khikmatov, M.; Grover, A.; Cohen, S.D. Vedolizumab or infliximab: Treatment option in immune checkpoint inhibitor–induced colitis. J. Clin. Oncol. 2025, 43 (Suppl. 16), 2667. [Google Scholar] [CrossRef]
- Park, S.Y.; Seo, G.S. Fecal Microbiota Transplantation: Is It Safe? Clin. Endosc. 2021, 54, 157–160. [Google Scholar] [CrossRef] [PubMed]
- Karimi, M.; Shirsalimi, N.; Hashempour, Z.; Salehi Omran, H.; Sedighi, E.; Beigi, F.; Mortezazadeh, M. Safety and efficacy of fecal microbiota transplantation (FMT) as a modern adjuvant therapy in various diseases and disorders: A comprehensive literature review. Front. Immunol. 2024, 15, 1439176. [Google Scholar] [CrossRef]







| Patient 1 | Patient 2 | |||
|---|---|---|---|---|
| Parameter | Before FMT | After FMT | Before FMT | After FMT |
| Function scores (lower values represent worse functioning) | ||||
| Physical functioning | 26.7 | 93.3 | 40.0 | 66.7 |
| Role functioning | 0.0 | 0.0 | 0.0 | 66.7 |
| Emotional functioning | 66.7 | 100.0 | 58.3 | 100.0 |
| Cognitive functioning | 100.0 | 100.0 | 83.3 | 66.7 |
| Social functioning | 33.3 | 66.7 | 66.7 | 100.0 |
| Global Health | 41.7 | 66.7 | 0.0 | 83.3 |
| Symptom scores (lower values represent more significant symptoms) | ||||
| Fatigue | 55.6 | 0.0 | 77.8 | 55.6 |
| Nausea | 0.0 | 0.0 | 0.0 | 0.0 |
| Pain | 100.0 | 0.0 | 55.6 | 0.0 |
| Dyspnea | 33.3 | 0.0 | 100.0 | 33.3 |
| Insomnia | 0.0 | 0.0 | 100.0 | 33.3 |
| Appetite loss | 100.0 | 0.0 | 0.0 | 0.0 |
| Constipation | 0.0 | 0.0 | 0.0 | 0.0 |
| Diarhhoea | 100.0 | 0.0 | 100.0 | 0.0 |
| Functional difficulties | 0.0 | 0.0 | 66.7 | 0.0 |
Disclaimer/Publisher’s Note: The statements, opinions and data contained in all publications are solely those of the individual author(s) and contributor(s) and not of MDPI and/or the editor(s). MDPI and/or the editor(s) disclaim responsibility for any injury to people or property resulting from any ideas, methods, instructions or products referred to in the content. |
© 2025 by the authors. Licensee MDPI, Basel, Switzerland. This article is an open access article distributed under the terms and conditions of the Creative Commons Attribution (CC BY) license (https://creativecommons.org/licenses/by/4.0/).
Share and Cite
Golčić, M.; Radoš, L.; Skočilić, I.; Badovinac, I.; Hauser, G.; Krznarić Zrnić, I.; Šantić, M.; Fučkar Čupić, D.; Francetić, S.; Lisica, K.; et al. Fecal Microbiota Transplantation in Refractory Immune-Mediated Colitis: Case Series and Review of the Literature. Pharmaceuticals 2025, 18, 1719. https://doi.org/10.3390/ph18111719
Golčić M, Radoš L, Skočilić I, Badovinac I, Hauser G, Krznarić Zrnić I, Šantić M, Fučkar Čupić D, Francetić S, Lisica K, et al. Fecal Microbiota Transplantation in Refractory Immune-Mediated Colitis: Case Series and Review of the Literature. Pharmaceuticals. 2025; 18(11):1719. https://doi.org/10.3390/ph18111719
Chicago/Turabian StyleGolčić, Marin, Laura Radoš, Iva Skočilić, Ivona Badovinac, Goran Hauser, Irena Krznarić Zrnić, Marina Šantić, Dora Fučkar Čupić, Sara Francetić, Karla Lisica, and et al. 2025. "Fecal Microbiota Transplantation in Refractory Immune-Mediated Colitis: Case Series and Review of the Literature" Pharmaceuticals 18, no. 11: 1719. https://doi.org/10.3390/ph18111719
APA StyleGolčić, M., Radoš, L., Skočilić, I., Badovinac, I., Hauser, G., Krznarić Zrnić, I., Šantić, M., Fučkar Čupić, D., Francetić, S., Lisica, K., Juras, L., Škrtić, M., Bešvir Džubur, A., Šeparović, R., Tomašić, V., Tečić Vuger, A., & Mikolašević, I. (2025). Fecal Microbiota Transplantation in Refractory Immune-Mediated Colitis: Case Series and Review of the Literature. Pharmaceuticals, 18(11), 1719. https://doi.org/10.3390/ph18111719

