Effect of Bouvardia ternifolia Root Extract on Brain Structures, Oxidative Stress, and p53 Expression in a Rat Model of Cerebral Ischemia/Reperfusion
Abstract
1. Introduction
2. Results
2.1. Effect of BtD Extract on BCCAO/R-Induced Oxidative Stress and Changes in the Brain’s Redox Environment
2.2. BtD Regulates p53 Protein Expression
2.3. Effect of BtD Extract on Neuronal Morphology at 6 Days of Reperfusion
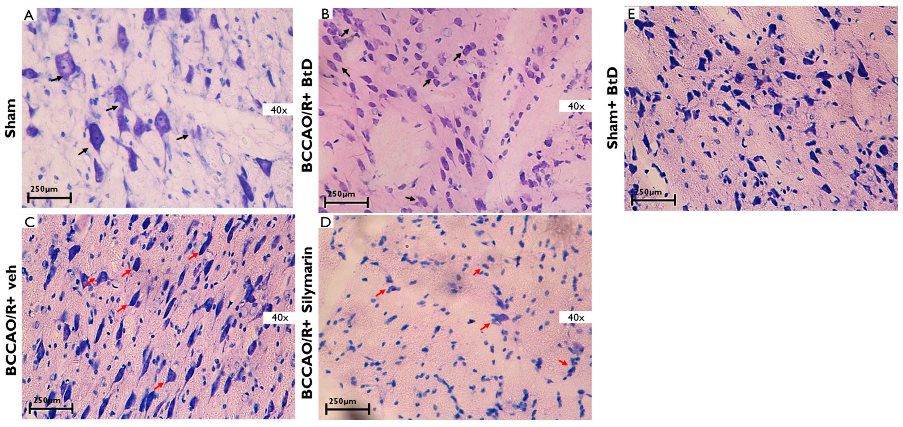
2.3.1. Cerebral Cortex
2.3.2. Cerebral Striatum
2.3.3. Cerebral Hippocampus
2.3.4. Cerebellum
3. Discussion
- Indirect regulation via antioxidant and anti-inflammatory activity. Several BtD constituents possess strong free radical–scavenging and lipid peroxidation–inhibiting capacities. α-Tocopherol (vitamin E) is a well-characterized chain-breaking antioxidant that prevents lipid peroxidation and reduces ROS accumulation. Lower ROS levels attenuate p53 gene activation driven by redox-sensitive pathways such as MAPK, JNK, and NF-κB. Squalene similarly decreases oxidative stress by enhancing endogenous antioxidant enzyme activities (SOD, CAT, and GSH-Px), leading to stabilization of mitochondrial membranes and reduced oxidative DNA damage—one of the main activators of p53 signaling. 3-Carene and other monoterpenes have been shown to inhibit inflammatory mediators (TNF-α, COX-2, iNOS), thus indirectly reducing stress signaling that upregulates p53 expression. Together, these effects suggest that BtD restores redox balance, lowering the need for p53-mediated stress responses [36].
- Transcriptional Crosstalk with the Nrf2/HO-1 Pathway. Many natural antioxidants activate Nrf2, which suppresses oxidative and apoptotic pathways while indirectly modulating p53 [37]. BtD components like α-tocopherol, squalene, and rubiyunnanin H are potential Nrf2 activators. Upon activation, Nrf2 upregulates HO-1, NQO1, and GCLC, reducing ROS-induced p53 activation and apoptosis. Hence, BtD may modulate p53 transcriptionally via Nrf2-dependent antioxidant gene induction, maintaining neuronal viability during ischemia/reperfusion injury. Compounds present in BtD extract could inhibit p53 translocation to the outer mitochondrial membrane, where it directly binds to and inactivates the anti-apoptotic proteins B-cell lymphoma-2 (BCL-2) and extra-large B-cell lymphoma (BCL-xL). This results in oligomerization of B-cell lymphoma-2-associated X protein (BAX) and B-cell lymphoma-2 antagonist/killer (BAK). However, further experiments are required to determine the pathway of p53 inhibition [38].
- Post-translational Regulation: MDM2–p53 Stability. Polyphenolic and terpenoid compounds can also modulate p53 turnover. By reducing oxidative activation of kinases (p38, JNK), BtD may limit p53 phosphorylation and stabilization. Additionally, activation of PI3K/Akt by certain BtD metabolites could enhance MDM2-mediated ubiquitination and proteasomal degradation of p53, restoring physiological levels [39].
4. Materials and Methods
4.1. Plant Material and Extract Preparation
4.2. Animals for Experimentation in Cerebral Ischemia
4.3. Induction of Cerebral Ischemia Through Bilateral Common Carotid Artery Occlusion (BCCAO)
- Group I (Sham): Healthy control rats subjected to sham surgery without arterial occlusion.
- Group II (BCCAO/R+veh): Rats subjected to bilateral common carotid artery occlusion and 60 min of reperfusion, receiving vehicle treatment.
- Group III (BCCAO/R+silymarin): Rats subjected to BCCAO/R and treated with silymarin at 50 mg/kg [46].
- Group IV (BCCAO/R+BtD): Rats subjected to BCCAO/R and treated with dichloromethane root extract of Bouvardia ternifolia (BtD) at 300 mg/kg.
4.4. Brain and Sample Preparation
4.5. Measurement of Oxidative Stress Biomarkers
4.5.1. Determination of Lipid Peroxidation (LPO)
4.5.2. Quantification of Reactive Oxygen Species (ROS)
4.5.3. Determination of Superoxide Dismutase (SOD) Activity
4.5.4. Determination of Reduced Glutathione (GSH)
4.6. Protein Quantification
4.7. Western Blot Analysis of p53
4.8. Preparation of Brain Sections
Toluidine Blue Staining
- Xylene for 5 min;
- 100% ethanol for 5 s;
- 96% ethanol for 5 s;
- Distilled water for 5 s;
- Crystal violet solution (diluted 30–40% with distilled water) for 5 s;
- 96% ethanol for 5 s;
- 100% ethanol for 5 s;
- Xylene for 5 min.
4.9. Statistical Analysis
5. Conclusions
6. Limitations of the Study
Author Contributions
Funding
Institutional Review Board Statement
Data Availability Statement
Conflicts of Interest
References
- Lee, T.-K.; Kang, I.-J.; Sim, H.; Lee, J.-C.; Ahn, J.-H.; Kim, D.-W.; Park, J.-H.; Lee, C.-H.; Kim, J.-D.; Won, M.-H.; et al. Therapeutic effects of decursin and Angelica gigas Nakai root extract in gerbil brain after transient ischemia via Protecting BBB Leakage and Astrocyte Endfeet Damage. Molecules 2021, 26, 2161. [Google Scholar] [CrossRef]
- Li, L.; Lu, Q.; Ma, G.; Li, T.; Deng, J.; Li, W. p53 protein and diseases of the central nervous system. Front. Genet. 2023, 13, 1051395. [Google Scholar] [CrossRef]
- Cheng, C.Y.; Kao, S.T.; Lee, Y.C. Angelica sinensis extract protects against ischemia–reperfusion injury in the hippocampus by activating p38 MAPK-mediated signaling. J. Ethnopharmacol. 2020, 252, 112612. [Google Scholar] [CrossRef]
- Rao, J.; Li, H.; Zhang, H.; Xiang, X.; Ding, X.; Li, L.; Geng, F.; Qi, H. Periplaneta americana extract activates the ERK/CREB/BDNF pathway to promote post-stroke recovery. J. Ethnopharmacol. 2024, 321, 11740. [Google Scholar] [CrossRef]
- Liang, Y.; Chen, L.; Huang, J.; Lan, Z.; Xia, S.; Yang, H.; Bao, X.; Yu, X.; Fan, Y.; Xu, Y.; et al. Neuroprotective effects of aucubin against cerebral ischemia–reperfusion injury. Int. Immunopharmacol. 2024, 129, 111648. [Google Scholar] [CrossRef] [PubMed]
- Cui, D.R.; Wang, L.; Jiang, W.; Qi, A.H.; Zhou, Q.H.; Zhang, X.L. Propofol prevents cerebral ischemia-triggered autophagy activation and cell death through the NF-κB/p53 pathway. Neuroscience 2013, 246, 117–132. [Google Scholar] [CrossRef]
- Zhao, J.; Dong, Y.; Chen, X.; Xiao, X.; Tan, B.; Chen, G.; Hu, J.; Qi, D.; Li, X.; Xie, R. p53 inhibition protects against ne uronal ischemia/reperfusion injury via the p53/PRAS40/mTOR pathway. Oxid. Med. Cell. Longev. 2021, 2021, 4729465. [Google Scholar] [CrossRef]
- Xu, G.; Zhang, J.; Shao, C.; Wu, H.; Shen, J.; Wang, Y.; Li, Y.; Li, C.; Yu, L.; Zhou, H.; et al. Puerarin mitigates cerebral ischemia/reperfusion (CIR)-induced ferroptosis by sup-pressing Ser15 phosphorylation-mediated p53 activation. Free Radic. Biol. Med. 2025, 237, 383–396. [Google Scholar] [CrossRef]
- Tao, T.; Liu, M.; Chen, M.; Luo, Y.; Wang, C.; Xu, T.; Jiang, Y.; Guo, Y.; Zhang, J.H. Natural medicine in neuroprotection for ischemic stroke: Challenges and prospects. Pharmacol. Ther. 2020, 216, 107695. [Google Scholar] [CrossRef] [PubMed]
- Kim, J.Y.; Park, J.; Lee, J.E.; Yenari, M.A. NOX inhibitors—A promising avenue for Ischemic Stroke. Exp. Neurobiol. 2017, 26, 195–205. [Google Scholar] [CrossRef] [PubMed]
- Martz, D.; Rayos, G.; Schielke, G.P.; Betz, A.L. Allopurinol and dimethylthiourea reduce brain infarction following middle cerebral artery occlusion in rats. Stroke. 1989, 20, 488–494. [Google Scholar] [CrossRef]
- Chen, S.; Chen, H.; Du, Q.; Shen, J. Targeting Myeloperoxidase (MPO) mediated oxidative stress and inflammation for redu-cing brain Ischemia Injury: Potential application of natural compounds. Front. Physiol. 2020, 11, 433. [Google Scholar] [CrossRef] [PubMed]
- Xie, Q.; Li, H.; Lu, D.; Yuan, J.; Ma, R.; Li, J.; Ren, M.; Li, Y.; Chen, H.; Wang, J.; et al. Neuroprotective Effect for Cerebral Ischemia by Natural Products: A Review. Front. Pharmacol. 2021, 12, 607412. [Google Scholar] [CrossRef] [PubMed] [PubMed Central]
- Yoo, K.-Y.; Won, M.-H.; Ahn, J.H.; Park, J.H. Therapeutic Potential of Natural Compounds for Brain Ischemia-Reperfusion Injury. Biology 2025, 14, 1153. [Google Scholar] [CrossRef] [PubMed]
- Wang, L.; Zhang, X.; Xiong, X.; Zhu, H.; Chen, R.; Zhang, S.; Chen, G.; Jian, Z. Nrf2 regulates oxidative stress and its role in Cerebral Ischemic Stroke. Antioxidants 2022, 11, 2377. [Google Scholar] [CrossRef]
- Sandberg, M.; Patil, J.; D’Angelo, B.; Weber, S.; Mallard, C. Nrf2-regulation in brain health and disease: Implication of cerebral inflammation. Neuropharmacology 2014, 79, 298–306. [Google Scholar] [CrossRef]
- Han, M.; Hu, L.; Chen, Y. Rutaecarpine may improve neuronal injury, inhibits apoptosis, inflammation and oxidative stress by regulating the expression of ERK1/2 and Nrf2/HO-1 pathway in rats with cerebral ischemia-reperfusion injury. Drug Des. Dev. Ther. 2019, 13, 2923–2931. [Google Scholar] [CrossRef]
- Li, R.; Li, X.; Wu, H.; Yang, Z.; Fei, L.; Zhu, J. Theaflavin attenuates cerebral ischemia/reperfusion injury by abolishing miRNA1283pmediated Nrf2 inhibition and reducing oxidative stress. Mol. Med. Rep. 2019, 20, 4893–4904. [Google Scholar] [CrossRef]
- Song, Y.; Wang, L.; Bei, Y.; Qin, D.; Ai, L.; Ma, Q.; Lin, P. Carvacryl acetate, a semisynthetic monoterpenic ester obtained from essential oils, provides neuroprotection against cerebral ischemia reperfusion-induced oxidative stress injury via the Nrf2 signalling pathway. Food Funct. 2020, 11, 1754–1763. [Google Scholar] [CrossRef]
- Cui, Y.H.; Zhang, X.Q.; Wang, N.D.; Zheng, M.D.; Yan, J. Vitexin protects against ischemia/reperfusion-induced brain endot- helial permeability. Eur. J. Pharmacol. 2019, 853, 210–219. [Google Scholar] [CrossRef]
- Houldsworth, C.A. Role of oxidative stress in neurodegenerative disorders: A review of reactive oxygen species and pre-vention by antioxidants. Brain Commun. 2024, 6, fcad356. [Google Scholar] [CrossRef]
- Zapata Lopera, Y.M.; Jiménez-Ferrer, E.; Herrera-Ruiz, M.; Zamilpa, A.; González-Cortazar, M.; Rosas-Salgado, G.; Santi-llán-Urquiza, M.A.; Trejo-Tapia, G.; Jiménez-Aparicio, A.R. New chromones from Bouvardia ternifolia with anti-inflammatory activity. Plants 2023, 12, 1. [Google Scholar] [CrossRef]
- Jolad, S.D.; Hoffmann, J.J.; Torrance, S.J.; Wiedhopf, R.M.; Cole, J.R.; Arora, S.K.; Bates, R.B.; Gargiulo, R.L.; Kriek, G.R. Bouvardin and deoxybouvardin, antitumor cyclic hexapeptides from Bouvardia ternifolia (Rubiaceae). J. Am. Chem. Soc. 1977, 99, 8040–8044. [Google Scholar] [CrossRef]
- Bates, R.B.; Cole, J.R.; Hoffmann, J.J.; Kriek, G.R.; Linz, G.S.; Torrance, S.J. Solution forms of bouvardin and relatives from NMR studies. 6-O-Methylbouvardin. J. Am. Chem. Soc. 1983, 105, 1343–1347. [Google Scholar] [CrossRef]
- Jiménez-Ferrer, E.; Reynosa-Zapata, I.; Pérez-Torres, Y.; Tortoriello, J. The secretagogue effect of the poison from Centruroi-des limpidus limpidus on the pancreas of mice and the antagonistic action of the Bouvardia ternifolia extract. Phytomedicine 2005, 12, 65–71. [Google Scholar] [CrossRef] [PubMed]
- García-Morales, G.; Huerta-Reyes, M.; González-Cortazar, M.; Zamilpa, A.; Jiménez-Ferrer, E.; Silva-García, R.; Ro-mán-Ramos, R. Anti-inflammatory, antioxidant and anti-acetylcholinesterase activities of Bouvardia ternifolia: Potential implications in Alzheimer’s disease. Arch. Pharm. Res. 2015, 38, 1369–1379. [Google Scholar] [CrossRef]
- Zapata-Lopera, Y.M.; Trejo-Tapia, G.; Cano-Europa, E.; Rodríguez-Hernández, A.A.; Rojas-Franco, P.; Herrera-Ruiz, M.; Jiménez-Ferrer, E. Neuroprotective effect of Bouvardia ternifolia (Cav.) Schltdl via inhibition of TLR4/NF-κB, caspase-3/Bax/Bcl-2 pathways in ischemia/reperfusion injury in rats. Front. Pharmacol. 2024, 15, 1471542. [Google Scholar] [CrossRef] [PubMed]
- Lopera, Y.M.Z.; Trejo-Tapia, G.; González-Cortazar, M.; Herrera-Ruiz, M.; Zamilpa, A.; Jiménez-Ferrer, E. Cyclic Hexapep-tide from Bouvardia ternifolia (Cav.) Schltdl. and Neuroprotective Effects of Root Extracts. Plants 2023, 12, 2600. [Google Scholar] [CrossRef]
- García-Sánchez, A.; Miranda-Díaz, A.G.; Cardona-Muñoz, E.G. Oxidative stress in physiopathology and pharmacological treatment of chronic diseases. Oxid. Med. Cell. Longev. 2020, 2020, 2082145. [Google Scholar] [CrossRef] [PubMed]
- Sies, H.; Jones, D.P. Reactive oxygen species (ROS) as pleiotropic physiological signaling agents. Nat. Rev. Mol. Cell Biol. 2020, 21, 363–383. [Google Scholar] [CrossRef]
- Bhattacharjee, S. ROS and oxidative modification of cellular components. React. Oxyg. Species Plant Biol. 2019, 1, 81–105. [Google Scholar] [CrossRef]
- Zhao, Y.; Liu, Y.; Xu, Y.; Li, K.; Zhou, L.; Qiao, H.; Xu, Q. The role of ferroptosis in blood–brain barrier injury. Cell. Mol. Neurobiol. 2023, 43, 223–236. [Google Scholar] [CrossRef] [PubMed]
- Soussi, T.; Dehouche, K.; Béroud, C. p53 website and analysis of p53 gene mutations in human cancer. Hum. Mutat. 2000, 15, 105–113. [Google Scholar] [CrossRef]
- Morrison, R.; Kinoshita, Y. The role of p53 in neuronal cell death. Cell Death Differ. 2000, 7, 868–879. [Google Scholar] [CrossRef]
- Hong, L.Z.; Zhao, X.Y.; Zhang, H.L. p53-mediated neuronal cell death in ischemic brain injury. Neurosci. Bull. 2010, 26, 232–240. [Google Scholar] [CrossRef]
- Almeida, A.; Sánchez-Morán, I.; Rodríguez, C. Mitochondrial-nuclear p53 trafficking controls neuronal susceptibility in stroke. IUBMB Life 2021, 73, 582–591. [Google Scholar] [CrossRef] [PubMed] [PubMed Central]
- Uzdensky, A.B. Apoptosis regulation in the penumbra after ischemic stroke: Expression of pro- and antiapoptotic proteins. Apoptosis 2019, 24, 687–702. [Google Scholar] [CrossRef] [PubMed]
- Bang, S.; Kaur, S.; Kurokawa, M. Regulation of the p53 Family Proteins by the Ubiquitin Proteasomal Pathway. Int. J. Mol. Sci. 2019, 21, 261. [Google Scholar] [CrossRef] [PubMed] [PubMed Central]
- Shieh, S.Y.; Ikeda, M.; Taya, Y.; Prives, C. DNA damage-induced phosphorylation of p53 alleviates inhibition by MDM2. Cell 1997, 91, 325–334. [Google Scholar] [CrossRef] [PubMed]
- Klacanova, K.; Kovalska, M.; Chomova, M.; Pilchova, I.; Tatarkova, Z.; Kaplan, P.; Racay, P. Global brain ischemia in rats is associated with mitochondrial release and downregulation of Mfn2. Int. J. Mol. Med. 2019, 43, 2420–2428. [Google Scholar] [CrossRef]
- Kelley, M.H.; Taguchi, N.; Ardeshiri, A.; Kuroiwa, M.; Hurn, P.D.; Traystman, R.J.; Herson, P.S. Ischemic insult to cerebellar Purkinje cells causes diminished GABAA receptor function. J. Neurochem. 2008, 107, 668–678. [Google Scholar] [CrossRef]
- Zhu, H.; Yoshimoto, T.; Imajo-Ohmi, S.; Dazortsava, M.; Mathivanan, A.; Yamashima, T. Why are hippocampal CA1 neurons vulnerable but motor cortex neurons resistant to transient ischemia? J. Neurochem. 2012, 120, 574–585. [Google Scholar] [CrossRef]
- Kim, Y.H.; Lee, T.K.; Lee, J.C.; Kim, D.W.; Hong, S.; Cho, J.H.; Shin, M.C.; Choi, S.Y.; Won, M.H.; Kang, I.J. Oxcarbazepine protects cerebellar Purkinje cells from ischemia/reperfusion injury via attenuation of oxidative stress. Antioxidants 2022, 11, 2450. [Google Scholar] [CrossRef]
- Kokotilo, K.J.; Eng, J.J.; Curt, A. Reorganization and preservation of motor control of the brain in spinal cord injury: A systematic review. J. Neurotrauma 2009, 26, 2113–2126. [Google Scholar] [CrossRef]
- Fan, J.T.; Chen, Y.S.; Xu, W.Y.; Du, L.; Zeng, G.Z.; Zhang, Y.M.; Su, J.; Li, Y.; Tan, N.H. Rubiyunnanins A and B, two novel cyclic hexapeptides from Rubia yunnanensis. Tetrahedron Lett. 2010, 51, 6810–6813. [Google Scholar] [CrossRef]
- Mardani-Nafchi, H.; Heidari-Soureshjani, S.; Rostamian, S. A systematic review of silymarin and silibinin mechanisms for attenuating cerebral ischemia-reperfusion injuries. Avicenna J. Phytomed. 2025, 15, 1279–1297. [Google Scholar] [CrossRef] [PubMed] [PubMed Central]
- Secretaría de Agricultura, Ganadería, Desarrollo Rural, Pesca y Alimentación (SAGARPA). NOM-062-ZOO-1999. Especificaciones Microbiológicas para Productos de Origen Animal. 1999. Available online: https://www.gob.mx/cms/uploads/attachment/file/203498/NOM-062-ZOO-1999_220801.pdf (accessed on 24 October 2025).
- Cano-Europa, E.; Pérez-Severiano, F.; Vergara, P.; Ortiz-Butrón, R.; Ríos, C.; Segovia, J.; Pacheco-Rosado, J. Hypothyroidism induces selective oxidative stress in amygdala and hippocampus of rat. Metab. Brain Dis. 2008, 23, 275–287. [Google Scholar] [CrossRef] [PubMed]
- Kitagawa, K.; Matsumoto, M.; Mabuchi, T.; Yagita, Y.; Mandai, K.; Matsushita, K.; Hori, M.; Yanagihara, T. Ischemic toleran-ce in hippocampal CA1 neurons studied using contralateral controls. Neuroscience 1997, 81, 989–998. [Google Scholar] [CrossRef] [PubMed]
- Hissin, P.J.; Hilf, R. Fluorometric determination of oxidized and reduced glutathione in tissues. Anal. Biochem. 1976, 74, 214–226. [Google Scholar] [CrossRef] [PubMed]
- Bradford, M.M. A rapid and sensitive method for the quantification of microgram quantities of protein utilizing the principle of protein–dye binding. Anal. Biochem. 1976, 72, 248–254. [Google Scholar] [CrossRef]
- Blas-Valdivia, V.; Rojas-Franco, P.; Serrano-Contreras, J.I.; Sfriso, A.A.; García-Hernández, C.; Franco-Colín, M.; Cano-Europa, E. C-phycoerythrin from Phormidium persicinum prevents acute kidney injury by attenuating oxidative and endoplas- mic re-ticulum stress. Mar. Drugs 2021, 19, 589. [Google Scholar] [CrossRef] [PubMed]
- Garcia-Pliego, E.; Franco-Colin, M.; Rojas-Franco, P.; Blas-Valdivia, V.; Serrano-Contreras, J.I.; Pentón-Rol, G.; Cano-Europa, E. Phycocyanobilin is the molecule responsible for the nephroprotective action of phycocyanin in acute kidney injury caused by mercury. Food Funct. 2021, 12, 2985–2994. [Google Scholar] [CrossRef] [PubMed]







Disclaimer/Publisher’s Note: The statements, opinions and data contained in all publications are solely those of the individual author(s) and contributor(s) and not of MDPI and/or the editor(s). MDPI and/or the editor(s) disclaim responsibility for any injury to people or property resulting from any ideas, methods, instructions or products referred to in the content. |
© 2025 by the authors. Licensee MDPI, Basel, Switzerland. This article is an open access article distributed under the terms and conditions of the Creative Commons Attribution (CC BY) license (https://creativecommons.org/licenses/by/4.0/).
Share and Cite
Zapata-Lopera, Y.M.; Trejo-Tapia, G.; Cano-Europa, E.; Blas-Valdivia, V.; Herera-Ruiz, M.; Miguel-Martínez, F.A.; Jiménez-Ferrer, E. Effect of Bouvardia ternifolia Root Extract on Brain Structures, Oxidative Stress, and p53 Expression in a Rat Model of Cerebral Ischemia/Reperfusion. Pharmaceuticals 2025, 18, 1678. https://doi.org/10.3390/ph18111678
Zapata-Lopera YM, Trejo-Tapia G, Cano-Europa E, Blas-Valdivia V, Herera-Ruiz M, Miguel-Martínez FA, Jiménez-Ferrer E. Effect of Bouvardia ternifolia Root Extract on Brain Structures, Oxidative Stress, and p53 Expression in a Rat Model of Cerebral Ischemia/Reperfusion. Pharmaceuticals. 2025; 18(11):1678. https://doi.org/10.3390/ph18111678
Chicago/Turabian StyleZapata-Lopera, Yury Maritza, Gabriela Trejo-Tapia, Edgar Cano-Europa, Vanessa Blas-Valdivia, Maribel Herera-Ruiz, Francisco A. Miguel-Martínez, and Enrique Jiménez-Ferrer. 2025. "Effect of Bouvardia ternifolia Root Extract on Brain Structures, Oxidative Stress, and p53 Expression in a Rat Model of Cerebral Ischemia/Reperfusion" Pharmaceuticals 18, no. 11: 1678. https://doi.org/10.3390/ph18111678
APA StyleZapata-Lopera, Y. M., Trejo-Tapia, G., Cano-Europa, E., Blas-Valdivia, V., Herera-Ruiz, M., Miguel-Martínez, F. A., & Jiménez-Ferrer, E. (2025). Effect of Bouvardia ternifolia Root Extract on Brain Structures, Oxidative Stress, and p53 Expression in a Rat Model of Cerebral Ischemia/Reperfusion. Pharmaceuticals, 18(11), 1678. https://doi.org/10.3390/ph18111678

