Protective Effects of Cuscuta australis Against CCl4-Induced Hepatic Injury in Rats: Antioxidant, Anti-Inflammatory, and In Silico Insights
Abstract
1. Introduction
2. Results
2.1. In Vitro Antioxidant Potential and Phytocontents Dosage
2.2. Phytochemical Characterization
2.3. In Vivo Acute Toxicity
2.4. Effect of CA on Gravimetric Parameters
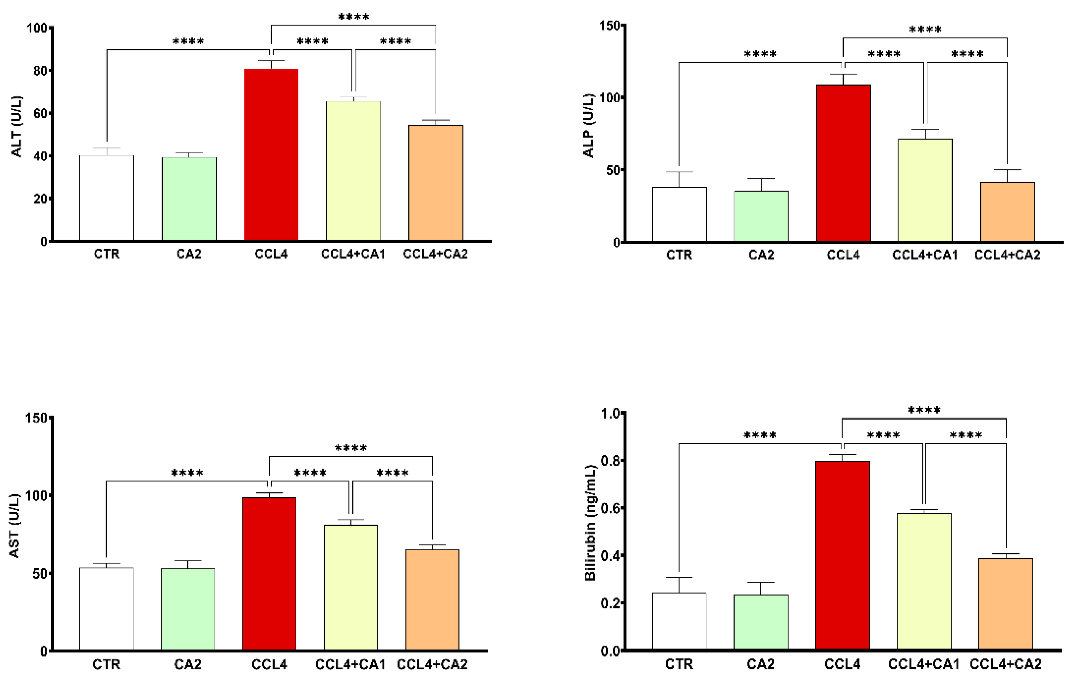
2.5. Effect of CA on Hepatic Injury Markers
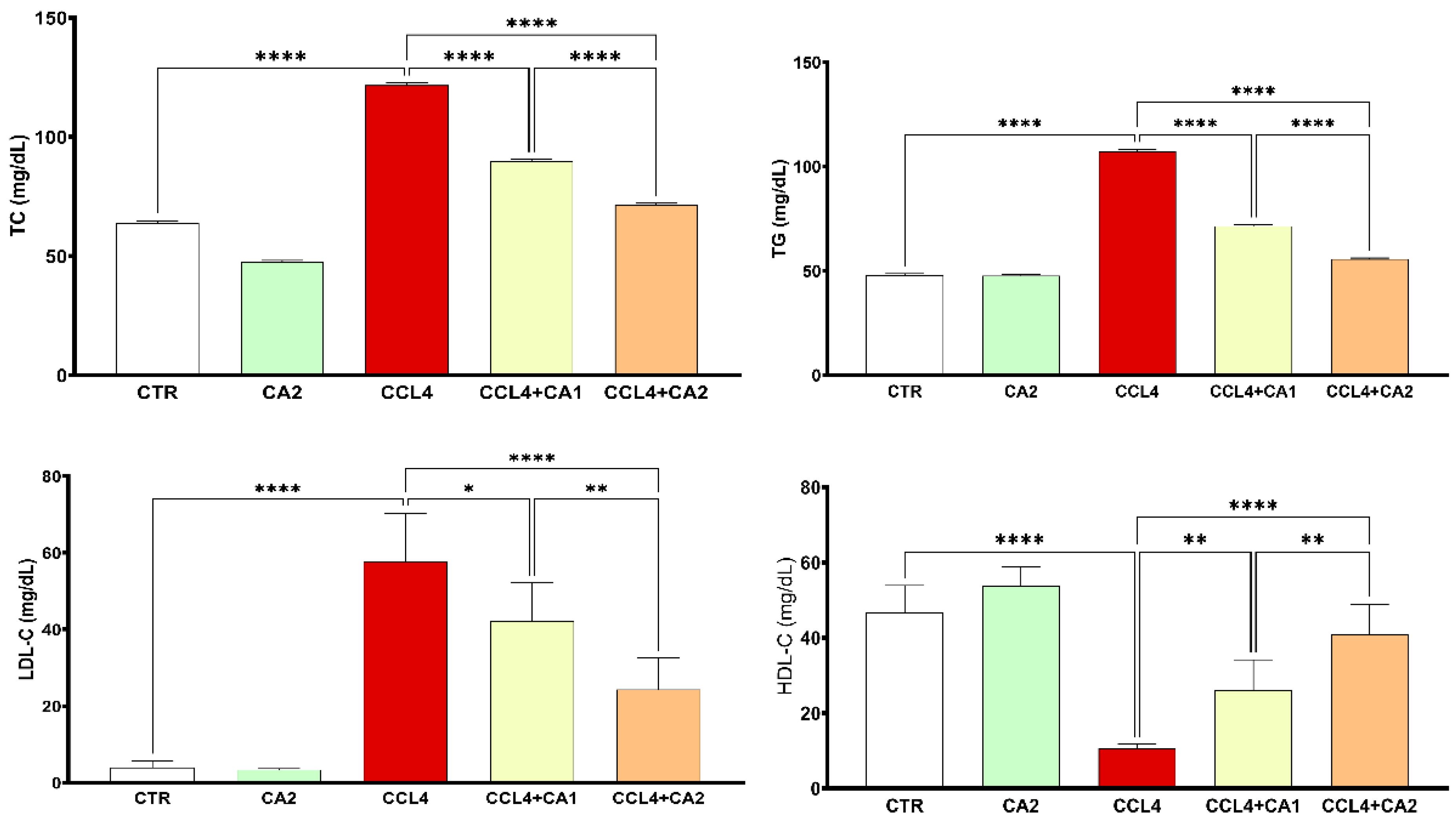
2.6. Effect of CA on Lipid Profile
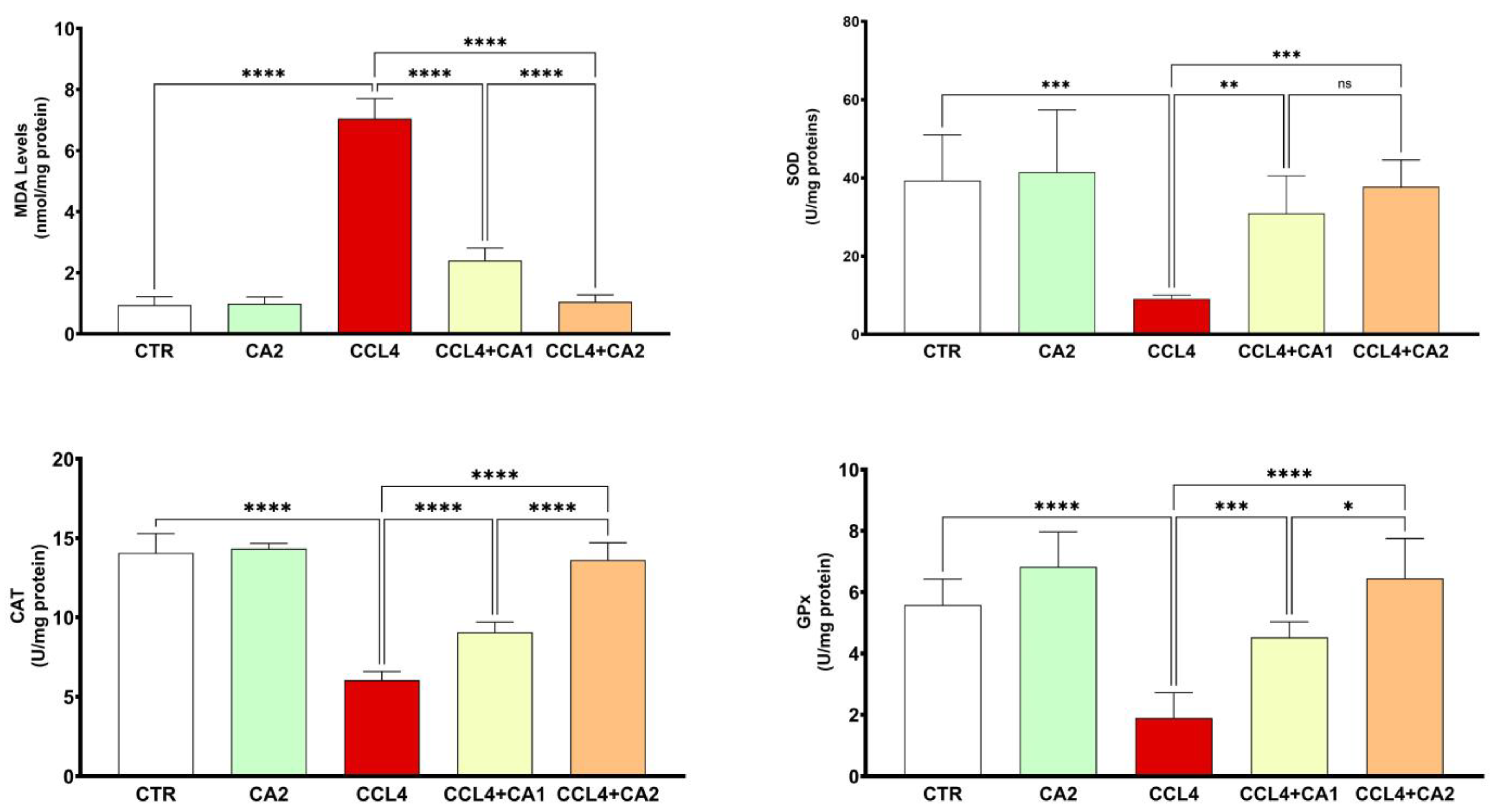
2.7. Effect of CA on Oxidative Stress
2.8. Effect of CA on Pro-Inflammatory Cytokine Levels
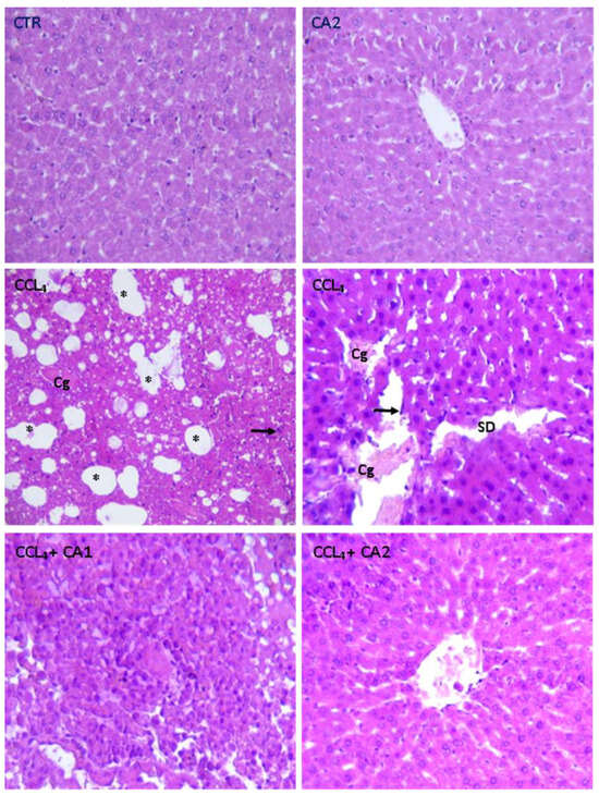
2.9. Histological Study
2.10. Molecular Docking
3. Discussion
4. Materials and Methods
4.1. Chemicals and Standards
4.2. Plant Harvesting and Extraction
4.3. In Vitro Assays
4.4. HPLC-PDA-MS/MS Analyses
4.5. In Vivo Assays
4.5.1. Animals
4.5.2. Acute Toxicity Assessment
4.5.3. Experimental Design
4.5.4. Lipid Profile
4.5.5. Hepatic Functional Enzymes
4.5.6. Oxidative Stress Markers
4.5.7. Histopathological Examinations
4.6. Molecular Docking
4.6.1. Phytoligands Preparation
4.6.2. Targets Preparation
4.6.3. Molecular Docking
4.7. Statistics
5. Conclusions
Supplementary Materials
Author Contributions
Funding
Institutional Review Board Statement
Informed Consent Statement
Data Availability Statement
Acknowledgments
Conflicts of Interest
References
- Coffin, C.S. Investir dans l’avenir: Formation pour les soins cliniques et la recherche sur les maladies du foie. Can. Liver J. 2025, 8, 3–4. [Google Scholar] [CrossRef]
- Xie, P.; Ommati, M.M.; Chen, D.; Chen, W.; Han, L.; Zhao, X.; Sun, P. Hepatotoxic effects of environmentally relevant concentrations of polystyrene microplastics on senescent Zebrafish (Danio rerio): Patterns of stress response and metabolomic alterations. Aquat. Toxicol. 2025, 279, 107252. [Google Scholar] [CrossRef] [PubMed]
- Gonfa, Y.H.; Bachheti, A.; Semwal, P.; Rai, N.; Singab, A.N.; Bachheti, R.K. Hepatoprotective activity of medicinal plants, their phytochemistry, and safety concerns: A systematic review. Z. Für Naturforschung C 2025, 80, 61–73. [Google Scholar]
- Tang, S.; Yan, G.; Kong, L.; Sun, H.; Liu, C.; Han, Y.; Wang, X. Research progress on the hepatoprotective effect, pharmacokinetic properties, and hepatotoxicity of geniposide. Acupunct. Herb. Med. 2025, 5, 136–146. [Google Scholar] [CrossRef]
- Alburyhi, M.M.; El-Shaibany, A. Formulation, Development and Evaluation of Plicosepalus Acacia Extract Capsules Delivery System as an Advanced Phytotherapy Approach for Hepatoprotective. World J. Pharm. Res. 2025, 14, 1309–1334. [Google Scholar]
- Lozanova, V.; Teofanova, D.; Chakarova, B.; Rusanov, K.; Pachedjieva, K.; Tosheva, A.; Zagorchev, L. The Antioxidant Properties of Extracts of Cuscuta spp. Depend on the Parasite and the Host Species. Antioxidants 2025, 14, 761. [Google Scholar] [CrossRef]
- Nickrent, D.L. Parasitic Angiosperms: How Often and How Many? Taxon 2020, 69, 5–27. [Google Scholar] [CrossRef]
- Bouwmeester, H.; Sinha, N.; Scholes, J. Parasitic Plants: Physiology, Development, Signaling, and Ecosystem Interactions. Plant Physiol. 2021, 185, 1267–1269. [Google Scholar] [CrossRef]
- De Vega, C.; Ortiz, P.L.; Arista, M. Host-Driven Phenotypic and Phenological Differentiation in Sympatric Races of a Parasitic Plant. Flora 2024, 320, 152617. [Google Scholar] [CrossRef]
- Ramezan, D.; Farrokhzad, Y.; Zargar, M.; Stybayev, G.; Kipshakbayeva, G.; Baitelenova, A. An Insight into Cuscuta campestris as a Medicinal Plant: Phytochemical Variation of Cuscuta Campestris with Various Host Plants. Agriculture 2023, 13, 770. [Google Scholar] [CrossRef]
- Těšitel, J.; Li, A.-R.; Knotková, K.; McLellan, R.; Bandaranayake, P.C.G.; Watson, D.M. The Bright Side of Parasitic Plants: What Are They Good For? Plant Physiol. 2021, 185, 1309–1324. [Google Scholar] [CrossRef]
- Kurt-Celep, I.; Yagi, S.; Dall’Acqua, S.; Sut, S.; Celep, E.; Kaya, S.; Berisha, A.; Ponnaiya, S.K.M.; Balakrishnan, K.; Yildiztugay, E.; et al. From Parasitic Life to Health-Promoting Applications—A Versatile Goldmine Discovered in Nature’s Secret Treasure Chest: Orobanche Nana. Food Biosci. 2024, 62, 105296. [Google Scholar] [CrossRef]
- Wang, Y.; Xu, J.; Hu, B.; Dong, C.; Sun, J.; Li, Z.; Ye, K.; Deng, F.; Wang, L.; Aslam, M.; et al. Assembly, Annotation, and Comparative Analysis of Ipomoea Chloroplast Genomes Provide Insights into the Parasitic Characteristics of Cuscuta Species. Front. Plant Sci. 2023, 13, 1074697. [Google Scholar] [CrossRef] [PubMed]
- Derbak, L.; Vaglica, A.; Badalamenti, N.; Porrello, A.; Ilardi, V.; Rebbas, K.; Hamdi, B.; Bruno, M. The Chemical Composition of the Essential Oils of Two Mediterranean Species of Convolvulaceae: Convolvulus althaeoides subsp. Tenuissimus Collected in Sicily (Italy) and Calystegia silvatica Collected in Algeria. Nat. Prod. Res. 2025, 39, 2388–2397. [Google Scholar] [CrossRef] [PubMed]
- Fischer, K.; Lachner, L.A.-M.; Olsen, S.; Mulisch, M.; Krause, K. The Enigma of Interspecific Plasmodesmata: Insight from Parasitic Plants. Front. Plant Sci. 2021, 12, 641924. [Google Scholar] [CrossRef]
- Pan, H.; Zagorchev, L.; Chen, L.; Tao, Y.; Cai, C.; Jiang, M.; Sun, Z.; Li, J. Complete Chloroplast Genomes of Five Cuscuta Species and Their Evolutionary Significance in the Cuscuta Genus. BMC Genom. 2023, 24, 310. [Google Scholar] [CrossRef]
- Yang, Z.; Liu, X.; Qin, X.; Xiao, Z.; Luo, Q.; Pan, D.; Yang, H.; Liao, S.; Chen, X. Unveiling the Intricate Structural Variability Induced by Repeat-Mediated Recombination in the Complete Mitochondrial Genome of Cuscuta gronovii Willd. Genomics 2025, 117, 110966. [Google Scholar] [CrossRef]
- Kaya, I.; Demir, I.; Usta, M.; Sipahioğlu, H.M. Molecular Phylogeny Based on Its Sequences of nrDNA of Some Species Belonging to Dodder (Cuscuta L.) Genus from Various Ecological Sites of Turkey. Not. Bot. Horti Agrobot. Cluj-Napoca 2020, 48, 1332–1340. [Google Scholar] [CrossRef]
- El Mokni, R.; Elaissi, A.; El Aouni, M.H. Cuscuta campestris (Cuscutaceae) Une Holoparasite Nouvelle et Envahissante Pour La Flore de Tunisie. Flora Mediterr. 2016, 26, 179–189. [Google Scholar] [CrossRef]
- Zhou, L.; Lu, Q.W.; Yang, B.F.; Zagorchev, L.; Li, J.-M. Integrated Small RNA, mRNA, and Degradome Sequencing Reveals the Important Role of miRNAs in the Interactions between Parasitic Plant Cuscuta australis and Its Host Trifolium repens. Sci. Hortic. 2021, 289, 110458. [Google Scholar] [CrossRef]
- Al-gburi, B.K.H. Detection of Phytoconstituents: Therapeutic, Nutritional and Industrial of Cuscuta Australis Seeds Parasitizing on Basil. NESciences 2025, 10, 197–205. [Google Scholar] [CrossRef]
- Gangarde, P.; Bhatt, S.; Pujari, R. Assessment of Neuroprotective Potential of Cuscuta reflexa in Aluminium Chloride-Induced Experimental Model of Alzheimer’s Disease: In Vitro and In Vivo Studies. J. Trace Elem. Med. Biol. 2025, 88, 127612. [Google Scholar] [CrossRef] [PubMed]
- Mehrabi, F.; Safdari, A.; Moslemi, A.; Salehi, M.; Agharazi, A.; Rezvanfar, M.R. Efficacy of Ma’aljobon Aftimouni (Cuscuta reflexa and Whey) on HbA1c and Blood Glucose Levels in Patients with Type 2 Diabetes: A Randomized Triple-Blind Clinical Trial. Contemp. Clin. Trials Commun. 2025, 43, 101401. [Google Scholar] [CrossRef] [PubMed]
- Selvi, E.K.; Unal, G. The Anticancer Activity of Cuscuta campestris Yunck Extract: An Combined Study of In Vitro and In Vivo Experiments. South Afr. J. Bot. 2024, 174, 40–48. [Google Scholar] [CrossRef]
- Zhang, X.; Liang, M.; Lin, Z.; Li, M.; Duan, T.; Han, Y.; Meng, L.; Li, M.; Lin, G.; Xia, T. Integrating Network Analysis and Experimental Validation to Reveal the Mechanism of Cuscuta chinensis lam. Extract in the Treatment of IgA Nephropathy. J. Funct. Foods 2025, 124, 106658. [Google Scholar] [CrossRef]
- Costa, C.D.M.; Boaretto, A.G.; Barros, T.F.; Alves, F.M.; da Silva Trentin, D.; Silva, D.B. Holoparasites Cuscuta platyloba and Cuscuta xanthochortos Inhibit Staphylococcus aureus and Biofilm: A Metabolomics Approach. J. Herb. Med. 2023, 42, 100766. [Google Scholar] [CrossRef]
- Bedoui, A.; Mufti, A.; Feriani, A.; Baccari, H.; Bouallegue, A.; Kharrat, M.; Sobeh, M.; Amri, M.; Abbes, Z. Unlocking the Hepatoprotective Potential of the Parasitic Plant Orobanche foetida Poir. Aqueous Extract against CCl4-Induced Liver Injury in Rat. Front. Pharmacol. 2024, 14, 1320062. [Google Scholar] [CrossRef]
- Unsal, V.; Cicek, M.; Sabancilar, İ. Toxicity of Carbon Tetrachloride, Free Radicals and Role of Antioxidants. Rev. Environ. Health 2021, 36, 279–295. [Google Scholar] [CrossRef]
- Habib, S.A.; Suddek, G.M.; Abdel Rahim, M.; Abdelrahman, R.S. The Protective Effect of Protocatechuic Acid on Hepatotoxicity Induced by Cisplatin in Mice. Life Sci. 2021, 277, 119485. [Google Scholar] [CrossRef]
- Islam, S.; Adam, Z.; Akanda, J.H. Quinic and Caffeic Acids Derivatives: Affecting Antioxidant Capacities and Phenolics Contents of Certain Therapeutic and Specialty Crops Employing Water and Ethanolic Extracts. Food Chem. Adv. 2024, 4, 100693. [Google Scholar] [CrossRef]
- Liu, L.; Sun, Y.; Cui, H.; Dong, N.; Niu, D. New Insights into the Hepato-Protective Effects of Ferulic Acid Based on Transcriptomic and Metabolomic Profiling. J. Funct. Foods 2024, 122, 106554. [Google Scholar] [CrossRef]
- Atta, R.; Arafat, H.E.K.; Khalil, I.A.; Ali, D.A.; Abd El-Fadeal, N.M.; Kattan, S.W.; Alelwani, W.; Fawzy, M.S.; Mansour, M.F. Enhanced Hepatoprotective Efficacy of Quercetin Nanoparticles Versus Free Quercetin against Acrylamide-Induced Hepatotoxicity Through Modulation of MAPK/NF-κB/NLRP3 Signaling Pathways and Molecular Docking Validation. Tissue Cell 2025, 95, 102936. [Google Scholar] [CrossRef] [PubMed]
- El-Ghazouani, F.; Amri, O.; Bouhaimi, A.; Zekhnini, A. Myricitrin, Kaempferol-3-O-Rutinoside, and Rutin from Acacia tortilis (Forssk.) Hayne ssp. raddiana Alleviate Liver Injury in Carbon Tetrachloride (CCl4)-Intoxicated Rats. South Afr. J. Bot. 2025, 181, 172–180. [Google Scholar] [CrossRef]
- Żurawek, D.; Pydyn, N.; Major, P.; Szade, K.; Trzos, K.; Kuś, E.; Pośpiech, E.; Małczak, P.; Radkowiak, D.; Budzyński, A.; et al. Diosmetin Alleviates TNFα-Induced Liver Inflammation by Improving Liver Sinusoidal Endothelial Cell Dysfunction. Biomed. Pharmacother. 2025, 183, 117843. [Google Scholar] [CrossRef]
- Dahiya, A.; Majee, C.; Mazumder, R.; Priya, N.; Salahauddin, S.; Atriya, A. Insight into the Glycosylation Methods of the Flavonoids as an Approach to Enhance Its Bioavailability and Pharmacological Activities. Ind. J. Pharm. Edu. Res. 2023, 57, 354–371. [Google Scholar] [CrossRef]
- Elasbali, A.M.; Al-Soud, W.A.; Mousa Elayyan, A.E.; Alhassan, H.H.; Danciu, C.; Elfaki, E.M.; Alharethi, S.H.; Alharbi, B.; Alanazi, H.H.; Mohtadi, M.E.; et al. Antioxidative and ROS-Dependent Apoptotic Effects of Cuscuta reflexa Roxb. Stem against Human Lung Cancer: Network Pharmacology and In Vitro Experimental Validation. J. Biomol. Struct. Dyn. 2024, 42, 11651–11676. [Google Scholar] [CrossRef]
- Zhang, L.; Liu, C.; Yin, L.; Huang, C.; Fan, S. Mangiferin Relieves CCl4-Induced Liver Fibrosis in Mice. Sci. Rep. 2023, 13, 4172. [Google Scholar] [CrossRef]
- De Almeida, C.F.; Arantes Ferreira Peres, W.; da Silva, P.S.; Santos de Aguiar Cardoso, C.; de Andrade, M.M.; Castro-Alves, J.; de Souza Borges Quintana, M.; Araujo, M.C.; Fraga, K.Y.D.; Cormack, J.A.; et al. Higher Levels of Plasmatic Saturated Fatty Acid Were Significantly Associated with Liver Fibrosis in HIV Mono-Infection: A Case-Control Study. Metab. Open 2024, 24, 100334. [Google Scholar] [CrossRef]
- Ali, F.T.; El-Gneady, F.F.; Ahmed, F.A.; Abd El-Sattar, N.E.A.; Mostafa, M.M.; El-Adl, K.; Elhady, M.M. Exploration of Phytochemical Components, Bioactivity Based Fractionation, and In Silico HMG-CoA Reductase Inhibitory Effect of Euphorbia Dendroides Chloroform Extract. Nat. Prod. Res. 2025, 1–9. [Google Scholar] [CrossRef]
- Feriani, A.; Tir, M.; Aldahmash, W.; Mnafgui, K.; Hichem, A.; Gómez-Caravaca, A.M.; Del Mar Contreras, M.; Taamalli, A.; Alwasel, S.; Segura-Carretero, A.; et al. In Vivo Evaluation and Molecular Docking Studies of Schinus molle L. Fruit Extract Protective Effect against Isoproterenol-Induced Infarction in Rats. Environ. Sci. Pollut. Res. Int. 2022, 29, 80910–80925. [Google Scholar] [CrossRef]
- Li, B.; George, E.W.; Vachali, P.; Chang, F.-Y.; Gorusupudi, A.; Arunkumar, R.; Giauque, N.A.; Wan, Z.; Frederick, J.M.; Bernstein, P.S. Mechanism for the Selective Uptake of Macular Carotenoids Mediated by the HDL Cholesterol Receptor SR-BI. Exp. Eye Res. 2023, 229, 109429. [Google Scholar] [CrossRef] [PubMed]
- Al-Jarallah, A.; Brunet, R.; Trigatti, B. Chapter 8—The Scavenger Receptor Class B Type I: An HDL Receptor Involved in Lipid Transport and HDL Dependent Signaling. In The HDL Handbook; Komoda, T., Ed.; Academic Press: Boston, MA, USA, 2010; pp. 153–178. ISBN 978-0-12-382171-3. [Google Scholar]
- Widowati, W.; Darsono, L.; Utomo, H.S.; Sabrina, A.H.N.; Natariza, M.R.; Valentinus Tarigan, A.C.; Waluyo, N.W.; Gleyriena, A.M.; Siahaan, B.H.; Oktaviani, R. Antidiabetic and Hepatoprotection Effect of Butterfly Pea Flower (Clitoria Ternatea L.) through Antioxidant, Anti-Inflammatory, Lower LDH, ACP, AST, and ALT on Diabetes Mellitus and Dyslipidemia Rat. Heliyon 2024, 10, e29812. [Google Scholar] [CrossRef] [PubMed]
- Folarin, R.O.; Omirinde, J.O.; Bejide, R.; Isola, T.O.; Usende, L.I.; Basiru, A. Comparative Hepatoprotective Activity of Ethanolic Extracts of Cuscuta australis against Acetaminophen Intoxication in Wistar Rats. Int. Sch. Res. Not. 2014, 2014, 730516. [Google Scholar] [CrossRef]
- Koca-Caliskan, U.; Yilmaz, I.; Taslidere, A.; Yalcin, F.N.; Aka, C.; Sekeroglu, N. Cuscuta arvensis Beyr “Dodder”: In Vivo Hepatoprotective Effects Against Acetaminophen-Induced Hepatotoxicity in Rats. J. Med. Food 2018, 21, 625–631. [Google Scholar] [CrossRef]
- Peng, W.H.; Chen, Y.W.; Lee, M.S.; Chang, W.T.; Tsai, J.C.; Lin, Y.C.; Lin, M.K. Hepatoprotective Effect of Cuscuta campestris Yunck. Whole Plant on Carbon Tetrachloride Induced Chronic Liver Injury in Mice. Int. J. Mol. Sci. 2016, 17, 2056. [Google Scholar] [CrossRef]
- Noureen, S.; Noreen, S.; Ghumman, S.A.; Batool, F.; Bukhari, S.N.A. The genus Cuscuta (Convolvolaceac): An updated review on indigenous uses, phytochemistry, and pharmacology. Iran J. Basic Med. Sci. 2019, 22, 1225–1252. [Google Scholar] [CrossRef]
- Tej, A.; Mekky, R.H.; del Contreras, M.M.; Feriani, A.; Tir, M.; L’taief, B.; Alshaharni, M.O.; Faidi, B.; Mnafgui, K.; Abbes, Z.; et al. Eucalyptus torquata Seeds: Investigation of Phytochemicals Profile via LC-MS and Its Potential Cardiopreventive Capacity in Rats. Food Biosci. 2024, 59, 103666. [Google Scholar] [CrossRef]
- El-Sehrawy, A.A.M.A.; Mohammed, A.N.; Gupta, J.; Mohammed, J.S.; Roopashree, R.; Kashyap, A.; Janney, J.B.; Sahoo, S.; Al-Hasnaawei, S.; Nasr, Y.M. Combating Oxidative Stress in Non-Alcoholic Fatty Liver Disease: From Mechanisms to Therapeutic Strategies. Pathol. Res. Pract. 2025, 272, 156053. [Google Scholar] [CrossRef]
- Zhang, Y.; Xu, S.; Liu, M.; Xu, X.; Han, T.; Jia, Z.; Li, X.; Lin, R. Pharmacokinetic/Pharmacodynamic Study of Salt-Processed Product of Cuscutae Semen with Hepatoprotective Effects. Curr. Drug Metab. 2022, 23, 964–972. [Google Scholar] [CrossRef]
- Sato, A.; Nakashima, H.; Nakashima, M.; Ikarashi, M.; Nishiyama, K.; Kinoshita, M.; Seki, S. Involvement of the TNF and FasL produced by CD11b Kupffer cells/macrophages in CCl4-induced acute hepatic injury. PLoS ONE 2014, 9, e92515. [Google Scholar] [CrossRef]
- Dong, X.; Liu, J.; Xu, Y.; Cao, H. Role of macrophages in experimental liver injury and repair in mice (Review). Exp. Ther. Med. 2019, 17, 3835–3847. [Google Scholar] [CrossRef] [PubMed]
- Iqbal, N.; Zubair, H.M.; Almutairi, M.H.; Abbas, M.; Akhtar, M.F.; Aleya, L.; Kamel, M.; Saleem, A.; Jabeen, Q.; Noreen, S.; et al. Hepatoprotective Effect of Cordia Rothii Extract against CCl4-Induced Oxidative Stress via Nrf2-NFκB Pathways. Biomed. Pharmacother. 2022, 156, 113840. [Google Scholar] [CrossRef] [PubMed]
- Wang, H.; Li, Y.; Bian, Y.; Li, X.; Wang, Y.; Wu, K.; Liu, C.; Liu, Y.; Wang, X. Potential Hepatoprotective Effects of Cistanche Deserticola Y.C. Ma: Integrated Phytochemical Analysis Using UPLC-Q-TOF-MS/MS, Target Network Analysis, and Experimental Assessment. Front. Pharmacol. 2022, 13, 1018572. [Google Scholar] [CrossRef] [PubMed]
- Feriani, A.; Tir, M.; Gómez-Caravaca, A.M.; Del Mar Contreras, M.; Taamalli, A.; Segura-Carretero, A.; Ghazouani, L.; Mufti, A.; Tlili, N.; El Feki, A.; et al. Zygophyllum album Leaves Extract Prevented Hepatic Fibrosis in Rats, by Reducing Liver Injury and Suppressing Oxidative Stress, Inflammation, Apoptosis and the TGF-Β1/Smads Signaling Pathways. Exploring of Bioactive Compounds Using HPLC-DAD-ESI-QTOF-MS/MS. Inflammopharmacology 2020, 28, 1735–1750. [Google Scholar] [CrossRef]
- Arjmand, A.; Tsipouras, M.G.; Tzallas, A.T.; Forlano, R.; Manousou, P.; Giannakeas, N. Quantification of Liver Fibrosis—A Comparative Study. Appl. Sci. 2020, 10, 447. [Google Scholar] [CrossRef]
- Dua, T.K.; Ashraf, G.J.; Palai, S.; Baishya, T.; Nandi, G.; Sahu, R.; Paul, P. The Protective Role of Probiotics in the Mitigation of Carbon Tetrachloride (CCl4) Induced Hepatotoxicity. Food Chem. Adv. 2023, 2, 100205. [Google Scholar] [CrossRef]
- Duan, Y.; Pan, X.; Luo, J.; Xiao, X.; Li, J.; Bestman, P.L.; Luo, M. Association of Inflammatory Cytokines with Non-Alcoholic Fatty Liver Disease. Front. Immunol. 2022, 13, 880298. [Google Scholar] [CrossRef]
- Taylor, A.E.; Carey, A.N.; Kudira, R.; Lages, C.S.; Shi, T.; Lam, S.; Karns, R.; Simmons, J.; Shanmukhappa, K.; Almanan, M.; et al. Interleukin 2 Promotes Hepatic Regulatory T Cell Responses and Protects from Biliary Fibrosis in Murine Sclerosing Cholangitis. Hepatology 2018, 68, 1905–1921. [Google Scholar] [CrossRef]
- Kwon, S.H.; Lee, W.Y.; Kim, Y.W.; Ko, K.S.; Bak, S.B.; Park, S.D. Isoquercitrin Attenuates Oxidative Liver Damage Through AMPK-YAP Signaling: An Integrative In Silico, In Vitro, and In Vivo Study. Int. J. Mol. Sci. 2025, 26, 2717. [Google Scholar] [CrossRef]
- Terao, J. Potential Role of Quercetin Glycosides as Anti-Atherosclerotic Food-Derived Factors for Human Health. Antioxidants 2023, 12, 258. [Google Scholar] [CrossRef]
- El Maaiden, E.; Ullah, N.; Ezzariai, A.; Mazar, A.; Boukcim, H.; Hirich, A.; Nasser, B.; Qarah, N.; Kouisni, L.; El Kharrassi, Y. Comparing antioxidant and cytoprotective effects: Quercetin glycoside vs. aglycone from Ephedra alata. Phytomedicine Plus 2024, 4, 100603. [Google Scholar] [CrossRef]
- Najahi, A.; Alaya, A.; Mufti, A.; Tir, M.; del Contreras, M.M.; Feriani, A.; Harrath, A.H.; Hfaiedh, N.; Tlili, N. HPLC-QTOF-MS Analysis of Polygonum maritimum Aerial Parts Extract and Focus on the Therapeutic Potential against Ethylene Glycol-Induced Lithiasis in Rats. Food Biosci. 2024, 57, 103481. [Google Scholar] [CrossRef]
- Folin, O.; Ciocalteu, V. On tyrosine and tryptophane determinations in proteins. J. Biol. Chem. 1927, 73, 627–650. [Google Scholar] [CrossRef]
- Mahdi, I.; Fahsi, N.; Annaz, H.; Drissi, B.; Barakate, M.; Mahmoud, M.F.; Sobeh, M. Thymus satureioides Coss.: Mineral Composition, Nutritional Value, Phytochemical Profiling, and Dermatological Properties. Molecules 2023, 28, 4636. [Google Scholar] [CrossRef]
- Vala, M.; Maitreya, B. Phytochemical analysis and total tannin content (TTC) of Delonix regia (Bojer ex. hook) Raf. bark by using different solvents collected from Saurashtra region. Int. Assoc. Biol. Comput. Dig. 2022, 1, 144–148. [Google Scholar] [CrossRef]
- Bedoui, A.; Feriani, A.; Bouallegue, A.; Baccari, H.; Borgi, M.A.; Kharrat, M.; Sahri, N.; Sobeh, M.; Amri, M.; Abbes, Z. Unveiling the Cardiopreventive Effect of the Parasitic Weed Orobanche Crenata Forsk. Extract against Isoproterenol-Induced Myocardial Infarction in Rats. Food Biosci. 2025, 69, 106820. [Google Scholar] [CrossRef]
- Taamalli, A.; Feriani, A.; Lozano-Sanchez, J.; Ghazouani, L.; El Mufti, A.; Allagui, M.S.; Segura-Carretero, A.; Mhamdi, R.; Arráez-Roman, D. Potential Hepatoprotective Activity of Super Critical Carbon Dioxide Olive Leaf Extracts against CCl4-Induced Liver Damage. Foods 2020, 9, 804. [Google Scholar] [CrossRef]
- Buege, J.A.; Aust, S.D. Microsomal Lipid Peroxidation. Methods Enzymol. 1978, 52, 302–310. [Google Scholar] [CrossRef]
- Marklund, S.; Marklund, G. Involvement of the Superoxide Anion Radical in the Autoxidation of Pyrogallol and a Convenient Assay for Superoxide Dismutase. Eur. J. Biochem. 1974, 47, 469–474. [Google Scholar] [CrossRef]
- Aebi, H. Catalase in Vitro. Methods Enzymol. 1984, 105, 121–126. [Google Scholar] [CrossRef]
- Flohé, L.; Günzler, W.A. Assays of Glutathione Peroxidase. Methods Enzymol. 1984, 105, 114–121. [Google Scholar] [CrossRef]
- Bogari, H.A.; Rashied, R.M.H.; Abdelfattah, M.A.O.; Malatani, R.T.; Khinkar, R.M.; Hareeri, R.H.; Wink, M.; Sobeh, M. Euclea divinorum hiern: Chemical profiling of the leaf extract and its antioxidant activity in silico, in vitro and in Caenorhabditis elegans model. Metabolites 2022, 12, 1031. [Google Scholar] [CrossRef]







| TPC * | TFC ** | TTC *** | DPPH **** | ABTS **** | |
|---|---|---|---|---|---|
| CA | 16.89 ± 2.8 | 10.32 ± 1.5 | 0.75 ± 0.1 | 0.58 ± 0.14 | 0.62 ± 0.05 |
| Ascorbic acid | - | - | - | 0.63 ± 0.07 | 0.73 ± 0.02 |
| Rt (min) | [M−H]− | MS/MS | Proposed Compounds |
|---|---|---|---|
| 1.46 | 191 | 108 | Quinic acid |
| 1.56 | 133 | 133 | Malic acid |
| 1.62 | 191 | 111 | Citric acid |
| 1.68 | 193 | 113 | Glucuronic acid |
| 3.60 | 315 | 108, 153 | Protocatechuic acid |
| 5.19 | 169 | Gallic acid | |
| 6.13 | 153 | 108 | Dihydroxybenzoic acid |
| 6.49 | 499 | 163, 191 | Coumaroylquinic acid glucoside |
| 7.60 | 341 | 135, 179 | Caffeic acid glucoside |
| 7.63 | 325 | 119, 163 | Coumaric acid glucoside |
| 8.11 | 515 | 179, 191 | Caffeoylquinic acid glucoside |
| 8.89 | 503 | 135, 179 | Caffeic acid diglucoside |
| 9.79 | 337 | 163, 191 | Coumaroylquinic acid |
| 10.48 | 355 | 193 | Ferulic acid glucoside |
| 11.06 | 503 | 135, 179 | Caffeic acid diglucoside |
| 11.08 | 353 | 179, 191 | Caffeoylquinic acid |
| 11.36 | 499 | 163, 191 | Caffeoyl coumaroylquinic acid |
| 12.98 | 179 | 135 | Caffeic acid |
| 13.46 | 771 | 301, 447, 609 | Quercetin diglucoside rhamnoside |
| 15.29 | 337 | 163, 191 | Coumaroylquinic acid |
| 15.56 | 639 | 301, 315 | Isorhamnetin diglucoside |
| 17.31 | 625 | 301, 463 | Quercetin diglucoside |
| 17.57 | 367 | 191, 193 | Feruloylquinic acid |
| 18.90 | 337 | 163, 191 | Coumaroylquinic acid |
| 19.41 | 163 | 119 | Coumaric acid |
| 20.55 | 917 | 285, 593, 755 | Kaempferol triglucoside rhamnoside |
| 21.15 | 785 | 285, 623, 785 | Kaempferol glucuronide diglucoside |
| 21.33 | 933 | 463, 609, 771 | Quercetin triglucoside rhamnoside |
| 23.22 | 609 | 301 | Quercetin glucoside rhamnoside |
| 23.62 | 933 | 285, 447, 771 | Kaempferol tetraglucoside |
| 23.89 | 677 | 173, 179 | Tricaffeoylquinic acid |
| 24.04 | 463 | 301 | Quercetin glucoside |
| 24.28 | 917 | 285, 593, 755 | Kaempferol triglucoside rhamnoside |
| 24.40 | 947 | 285, 447, 623 | Kaempferol glucuronide triglucoside |
| 25.51 | 771 | 301, 447, 609 | Quercetin diglucoside rhamnoside |
| 25.66 | 623 | 315, 461 | Isorhamnetin glucoside rhamnoside |
| 27.17 | 593 | 285 | Kaempferol glucoside rhamnoside |
| 27.43 | 623 | 315 | Isorhamnetin glucoside rhamnoside |
| 27.83 | 801 | 301, 463, 639 | Quercetin feruloyl glucosyl glucoside |
| 29.21 | 477 | 315 | Isorhamnetin glucoside |
| 30.56 | 755 | 285 | Kaempferol diglucoside rhamnoside |
| 31.76 | 665 | 315, 461 | Isorhamnetin acetyl glucoside rhamnoside |
| 37.77 | 639 | 271, 301 | Quercetin feruloyl glucoside |
| 39.77 | 301 | 151, 179 | Quercetin |
| 39.07 | 609 | 285, 447 | Kaempferol caffeoyl glucoside |
| 39.64 | 609 | 301 | Quercetin coumaroyl glucoside |
| 40.45 | 593 | 285 | Kaempferol coumaroyl glucoside |
| 42.58 | 445 | 284, 299 | Diosmetin glucoside |
| 43.24 | 593 | 285 | Kaempferol coumaroyl glucoside |
| 44.26 | 623 | 285 | Kaempferol feruloyl glucoside |
| 46.61 | 285 | 151, 255 | Kaempferol |
| 48.03 | 315 | 301 | Isorhamnetin |
| 52.77 | 299 | 271, 299 | Diosmetin |
| CTR | CA2 | CCl4 | CCl4 + CA1 | CCl4 + CA2 | |
|---|---|---|---|---|---|
| Body weight (g) | 231.3 ± 5.1 | 230.3 ± 5.6 | 186.6 ± 5.4 *** | 214.3 ± 3.8 ** | 213.1 ± 4.2 ** |
| Relative weight of liver (g/100 g) | 3.4 ± 0.5 | 3.6 ± 0.2 | 1.69 ± 0.5 *** | 2.91 ± 0.3 ** | 3.41 ± 0.44 *** |
| CTR | CA2 | CCl4 | CCl4 + CA1 | CCl4 + CA2 | |
|---|---|---|---|---|---|
| Normal hepatocytes | + | + | - | - | + |
| Intact sinusoids | + | + | - | - | + |
| Sinusoidal dilation | - | - | ++ | + | - |
| Congestion of the centrilobular vein | - | - | ++ | + | - |
| Infiltration Leucocyte | - | - | ++ | - | - |
| Foci of lipid | - | - | ++ | + | - |
| Compounds | Docking Score (Kcal/moL) | |||
|---|---|---|---|---|
| CYP450 (3E4E) | IL-2 (1M47) | TNF-α (7JRA) | IL-6 (1ALU) | |
| Malic acid | −12.91 | −9.70 | −8.09 | −11.22 |
| Dihydroxybenzoic acid | −10.73 | −11.56 | −10.52 | −9.75 |
| Coumaric acid | −13.04 | −7.80 | −6.41 | −9.50 |
| Gallic acid | −12.06 | −12.25 | - | −13.63 |
| Caffeic acid | −13.37 | −11.03 | −8.62 | −10.86 |
| Quinic acid | −12.80 | −7.07 | −10.08 | −10.11 |
| Citric acid | −14.74 | −10.94 | −10.27 | −11.46 |
| Glucuronic acid | −14.53 | −7.65 | −11.92 | −10.47 |
| Kaempferol | −11.34 | −12.31 | −8.51 | −10.95 |
| Diosmetin | −12.45 | −10.77 | - | −13.02 |
| Quercetin | −14.09 | −10.95 | −9.48 | −13.25 |
| Protocatechuic acid | −10.83 | −10.10 | −8.90 | −8.91 |
| Isorhamnetin | −12.52 | −10.31 | - | −11.52 |
| Coumaric acid glucoside | −17.75 | −8.08 | −9.11 | −10.88 |
| Coumaroylquinic acid | −16.47 | −9.65 | −10.26 | −11.21 |
| Caffeic acid glucoside | −17.13 | −8.52 | −13.11 | −12.25 |
| Caffeoylquinic acid | −15.20 | −9.52 | −10.50 | −14.39 |
| Ferulic acid glucoside | −13.90 | −7.26 | −7.95 | −10.14 |
| Feruloylquinic acid | −18.00 | −9.86 | −7.66 | −13.17 |
| Diosmetin glucoside | −17.85 | −11.03 | −10.61 | −10.30 |
| Quercetin glucoside | −19.20 | −11.09 | −11.87 | −16.47 |
| Isorhamnetin glucoside | −17.44 | −10.03 | −10.69 | −14.13 |
| Silymarin® | −16.77 | −10.30 | −8.35 | −13.43 |
| Co-crystallized ligand (4-Methylpyrazole) | −6.29 | |||
Disclaimer/Publisher’s Note: The statements, opinions and data contained in all publications are solely those of the individual author(s) and contributor(s) and not of MDPI and/or the editor(s). MDPI and/or the editor(s) disclaim responsibility for any injury to people or property resulting from any ideas, methods, instructions or products referred to in the content. |
© 2025 by the authors. Licensee MDPI, Basel, Switzerland. This article is an open access article distributed under the terms and conditions of the Creative Commons Attribution (CC BY) license (https://creativecommons.org/licenses/by/4.0/).
Share and Cite
Baccari, H.; Bedoui, A.; Feriani, A.; Bouallegue, A.; Sahri, N.; Khatib, S.; Kharrat, M.; Tlili, N.; Sobeh, M.; Amri, M.; et al. Protective Effects of Cuscuta australis Against CCl4-Induced Hepatic Injury in Rats: Antioxidant, Anti-Inflammatory, and In Silico Insights. Pharmaceuticals 2025, 18, 1524. https://doi.org/10.3390/ph18101524
Baccari H, Bedoui A, Feriani A, Bouallegue A, Sahri N, Khatib S, Kharrat M, Tlili N, Sobeh M, Amri M, et al. Protective Effects of Cuscuta australis Against CCl4-Induced Hepatic Injury in Rats: Antioxidant, Anti-Inflammatory, and In Silico Insights. Pharmaceuticals. 2025; 18(10):1524. https://doi.org/10.3390/ph18101524
Chicago/Turabian StyleBaccari, Hanen, Arij Bedoui, Anouar Feriani, Amal Bouallegue, Nihad Sahri, Sohaib Khatib, Mohamed Kharrat, Nizar Tlili, Mansour Sobeh, Moez Amri, and et al. 2025. "Protective Effects of Cuscuta australis Against CCl4-Induced Hepatic Injury in Rats: Antioxidant, Anti-Inflammatory, and In Silico Insights" Pharmaceuticals 18, no. 10: 1524. https://doi.org/10.3390/ph18101524
APA StyleBaccari, H., Bedoui, A., Feriani, A., Bouallegue, A., Sahri, N., Khatib, S., Kharrat, M., Tlili, N., Sobeh, M., Amri, M., & Abbes, Z. (2025). Protective Effects of Cuscuta australis Against CCl4-Induced Hepatic Injury in Rats: Antioxidant, Anti-Inflammatory, and In Silico Insights. Pharmaceuticals, 18(10), 1524. https://doi.org/10.3390/ph18101524

