Nose-to-Brain Delivery of Chitosan-Grafted Leciplexes for Promoting the Bioavailability and Antidepressant Efficacy of Mirtazapine: In Vitro Assessment and Animal Studies
Abstract
1. Introduction
2. Results and Discussion
2.1. Experimental Design and Optimization
2.2. Characterization of MRZ-LPX Formulations
2.2.1. MRZ Entrapment Efficiency
2.2.2. VS Analysis
2.2.3. In Vitro Release Evaluation
2.2.4. Ex Vivo Drug Permeation Study
2.3. Selection of the Optimal MRZ-LPX Formula
2.3.1. Morphology and Physical Stability of the Optimized MRZ-LPX
2.3.2. Z-Potential of the Tailored MRZ-LPX
2.3.3. Ex Vivo Mucosal Adhesion and Viscosity Examination
2.4. Pharmacodynamics Assessment
2.4.1. The Forced Swimming Test (FST)
2.4.2. Open Field Test (OFT)
2.4.3. Tail Suspension Test
2.4.4. Sucrose Preference Test (SPT)
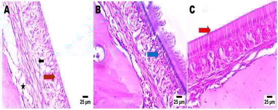
2.4.5. Nasal Histopathological Examination
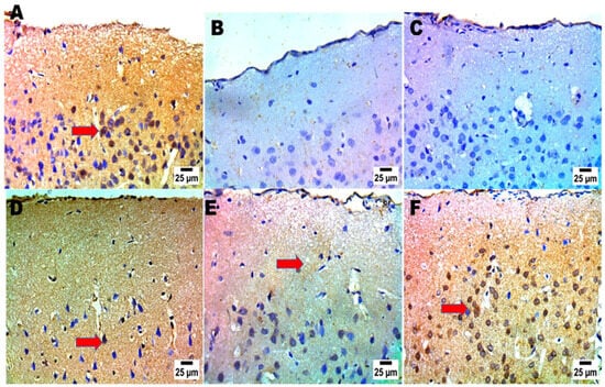
2.4.6. Immunohistochemistry and Scoring Analysis
2.5. Pharmacokinetics Assessment
3. Materials and Methods
3.1. Materials
3.2. Experimental Design and Optimization
3.2.1. Fabrication of MRZ-LPXs
3.2.2. In Vitro Exemplification of MRZ-LPXs
Entrapment Efficiency
Determination of LPXs-VS
In Vitro Release Study of MRZ-LPXs
Ex Vivo Permeability Investigation of MRZ-LPXs
3.2.3. Optimization and Characterization of the Tailored MRZ-LPX Formulation
Transmission Electron Microscopy (TEM)
Physical Stability Study of MRZ-LPX
Zeta Potential Measurement
3.2.4. Formulation of CS Grafted MRZ-LPX
Ex Vivo Mucoadhesion Study and Viscosity Assessment
3.2.5. Pharmacodynamics Study
Animals
Depression Induction and Experimental Procedure
Forced Swimming Test (FST): Immobility, Bathing, and Rambling
Open Field Test (OFT)
Tail Suspension Test (TST)
Sucrose Preference Test (SPT)
Investigations of Histopathology and Tolerability
Brain-Derived Neurotropic Factor (BDNF) Immunohistochemical Investigation and Statistical Analysis
3.2.6. Plasma and Brain Bioavailability Study
Animals
Administration of MRZ to Rats and the Study Procedures
Sample HPLC Analysis
Pharmacokinetic and Statistical Analysis
4. Conclusions
Supplementary Materials
Author Contributions
Funding
Institutional Review Board Statement
Informed Consent Statement
Data Availability Statement
Acknowledgments
Conflicts of Interest
References
- Marcus, M.; Yasamy, M.T.; Van Ommeren, M.; Chisholm, D.; Saxena, S. Depression: A Global Public Health Concern; World Health Organization: Geneva, Switzerland, 2012. [Google Scholar]
- Nemeroff, C.B.; Schatzberg, A.F.; Rasgon, N.; Strakowski, S.M. The American Psychiatric Association Publishing Textbook of Mood Disorders; American Psychiatric Pub.: Washington, DC, USA, 2022. [Google Scholar]
- Eissa, E.M.; El Sisi, A.M.; Bekhet, M.A.; El-Ela, F.I.A.; Kharshoum, R.M.; Ali, A.A.; Alrobaian, M.; Ali, A.M.A. pH-Sensitive In Situ Gel of Mirtazapine Invasomes for Rectal Drug Delivery: Protruded Bioavailability and Anti-Depressant Efficacy. Pharmaceuticals 2024, 17, 978. [Google Scholar] [CrossRef]
- Vysloužil, J.; Doležel, P.; Kejdušová, M.; Košťál, V.; Beneš, L.; Dvořáčková, K. Long-term controlled release of PLGA microparticles containing antidepressant mirtazapine. Pharm. Dev. Technol. 2014, 21, 214–221. [Google Scholar] [CrossRef]
- Toprak, S.K.; Erdogan, E.; Azap, Ö.K. Mirtazapine-Induced Thrombocytopenia and Neutropenia/Mirtazapin Iliskili Trombositopeni ve Nötropeni. Turk. J. Haematol. 2012, 29, 297. [Google Scholar] [CrossRef]
- Tong, G.-F.; Qin, N.; Sun, L.-W. Development and evaluation of Desvenlafaxine loaded PLGA-chitosan nanoparticles for brain delivery. Saudi Pharm. J. 2017, 25, 844–851. [Google Scholar] [CrossRef] [PubMed]
- Serralheiro, A.; Alves, G.; Fortuna, A.; Falcão, A. Intranasal administration of carbamazepine to mice: A direct delivery pathway for brain targeting. Eur. J. Pharm. Sci. 2014, 60, 32–39. [Google Scholar] [CrossRef]
- Ahmed, T.A.; Badr-Eldin, S.M.; Ahmed, O.A.A.; Aldawsari, H. Intranasal optimized solid lipid nanoparticles loaded in situ gel for enhancing trans-mucosal delivery of simvastatin. J. Drug Deliv. Sci. Technol. 2018, 48, 499–508. [Google Scholar] [CrossRef]
- Natsheh, H.; Touitou, E. Phospholipid Vesicles for Dermal/Transdermal and Nasal Administration of Active Molecules: The Effect of Surfactants and Alcohols on the Fluidity of Their Lipid Bilayers and Penetration Enhancement Properties. Molecules 2020, 25, 2959. [Google Scholar] [CrossRef] [PubMed]
- Salem, H.F.; Ali, A.A.; Rabea, Y.K.; El-Ela, F.I.A.; Khallaf, R.A. Optimization and Appraisal of Chitosan-Grafted PLGA Nanoparticles for Boosting Pharmacokinetic and Pharmacodynamic Effect of Duloxetine HCl Using Box-Benkhen Design. J. Pharm. Sci. 2023, 112, 544–561. [Google Scholar] [CrossRef] [PubMed]
- Bekhet, M.A.; Ali, A.A.; Kharshoum, R.M.; El-Ela, F.I.A.; Salem, H.F. Intranasal Niosomal In Situ Gel As A Novel Strategy for Improving Citicoline Efficacy and Brain Delivery in Treatment of Epilepsy: In Vitro and Ex Vivo Characterization and In Vivo Pharmacodynamics Investigation. J. Pharm. Sci. 2022, 111, 2258–2269. [Google Scholar] [CrossRef] [PubMed]
- Alsaidan, O.A.; Elkomy, M.H.; Zaki, R.M.; Tulbah, A.S.; Yusif, R.M.; Eid, H.M. Brain targeting of venlafaxine via intranasal transbilosomes thermogel for improved management of depressive disorder. J. Pharm. Sci. 2024, 113, 3304–3314. [Google Scholar] [CrossRef] [PubMed]
- A Date, A.; Srivastava, D.; Nagarsenker, M.S.; Mulherkar, R.; Panicker, L.; Aswal, V.; A Hassan, P.; Steiniger, F.; Thamm, J.; Fahr, A. Lecithin-based novel cationic nanocarriers (LeciPlex) I: Fabrication, characterization and evaluation. Nanomedicine 2011, 6, 1309–1325. [Google Scholar] [CrossRef]
- Kamel, R.; El-Deeb, N.M.; Abbas, H. Development of a potential anti-cancer pulmonary nanosystem consisted of chitosan-doped LeciPlex loaded with resveratrol using a machine learning method. J. Drug Deliv. Sci. Technol. 2022, 70, 103259. [Google Scholar] [CrossRef]
- Chen, C.-C.; Tsai, T.-H.; Huang, Z.-R.; Fang, J.-Y. Effects of lipophilic emulsifiers on the oral administration of lovastatin from nanostructured lipid carriers: Physicochemical characterization and pharmacokinetics. Eur. J. Pharm. Biopharm. 2010, 74, 474–482. [Google Scholar] [CrossRef] [PubMed]
- Date, A.A.; Nagarsenker, M.S.; Patere, S.; Dhawan, V.; Gude, R.P.; Hassan, P.A.; Aswal, V.; Steiniger, F.; Thamm, J.; Fahr, A. Lecithin-based novel cationic nanocarriers (Leciplex) II: Improving therapeutic efficacy of quercetin on oral administration. Mol. Pharm. 2011, 8, 716–726. [Google Scholar] [CrossRef]
- Hassan, D.H.; Abdelmonem, R.; Abdellatif, M.M. Formulation and Characterization of Carvedilol Leciplex for Glaucoma Treatment: In-Vitro, Ex-Vivo and In-Vivo Study. Pharmaceutics 2018, 10, 197. [Google Scholar] [CrossRef] [PubMed]
- Refai, H.; Osman, D.; Khalifa, M.K.; Elsalhy, S. Trifluoperazine-loaded leciplexes as potential nasal delivery systems for treatment of depression. Azhar Int. J. Pharm. Med Sci. 2022, 2, 70–82. [Google Scholar] [CrossRef]
- Tada, R.; Suzuki, H.; Takahashi, S.; Negishi, Y.; Kiyono, H.; Kunisawa, J.; Aramaki, Y. Nasal vaccination with pneumococcal surface protein A in combination with cationic liposomes consisting of DOTAP and DC-chol confers antigen-mediated protective immunity against Streptococcus pneumoniae infections in mice. Int. Immunopharmacol. 2018, 61, 385–393. [Google Scholar] [CrossRef]
- Migliore, M.M.; Vyas, T.K.; Campbell, R.B.; Amiji, M.M.; Waszczak, B.L. Brain delivery of proteins by the intranasal route of administration: A comparison of cationic liposomes versus aqueous solution formulations. J. Pharm. Sci. 2010, 99, 1745–1761. [Google Scholar] [CrossRef] [PubMed]
- Bhattacharya, S. Central composite design for response surface methodology and its application in pharmacy. In Response Surface Methodology in Engineering Science; IntechOpen: London, UK, 2021. [Google Scholar]
- A Ali, A.; Hassan, A.H.; Eissa, E.M.; Aboud, H.M. Response Surface Optimization of Ultra-Elastic Nanovesicles Loaded with Deflazacort Tailored for Transdermal Delivery: Accentuated Bioavailability and Anti-Inflammatory Efficacy. Int. J. Nanomed. 2021, 16, 591–607. [Google Scholar] [CrossRef]
- Albash, R.; Abdellatif, M.M.; Hassan, M.; Badawi, N.M. Tailoring terpesomes and leciplex for the effective ocular conveyance of moxifloxacin hydrochloride (Comparative assessment): In-vitro, ex-vivo, and in-vivo evaluation. Int. J. Nanomed. 2021, 16, 5247–5263. [Google Scholar] [CrossRef] [PubMed]
- Abdellatif, M.M.; Ahmed, S.M.; El-Nabarawi, M.A.; Teaima, M. Oral Bioavailability Enhancement of Vancomycin Hydrochloride with Cationic Nanocarrier (Leciplex): Optimization, In Vitro, Ex Vivo, and In Vivo Studies. Sci. Pharm. 2022, 91, 1. [Google Scholar] [CrossRef]
- Salama, A.; Badran, M.M.; Elmowafy, M.; Soliman, G.M. Spironolactone-loaded leciplexes as potential topical delivery systems for female acne: In vitro appraisal and ex vivo skin permeability studies. Pharmaceutics 2019, 12, 25. [Google Scholar] [CrossRef] [PubMed]
- Al-Mahallawi, A.M.; Khowessah, O.M.; Shoukri, R.A. Nano-transfersomal ciprofloxacin loaded vesicles for non-invasive trans-tympanic ototopical delivery: In-vitro optimization, ex-vivo permeation studies, and in-vivo assessment. Int. J. Pharm. 2014, 472, 304–314. [Google Scholar] [CrossRef]
- Qu, Y.; Wu, Z.; Liu, Y.; Lin, J.; Zhang, L.; Luo, X. Impact of double-chain surfactant stabilizer on the free active surface sites of gold nanoparticles. Mol. Catal. 2021, 501, 111377. [Google Scholar] [CrossRef]
- Niu, L.; Yan, J.; Yang, X.; Burger, C.; Rong, L.; Hsiao, B.; Liang, D. Complexation of DNA with cationic surfactants as studied by small-angle X-ray scattering. Sci. China Chem. 2014, 57, 1738–1745. [Google Scholar] [CrossRef]
- Kumar, B.; Jalodia, K.; Kumar, P.; Gautam, H.K. Recent advances in nanoparticle-mediated drug delivery. J. Drug Deliv. Sci. Technol. 2017, 41, 260–268. [Google Scholar] [CrossRef]
- Khatoon, K.; Rizwanullah; Amin, S.; Mir, S.R.; Akhter, S. Cilnidipine loaded transfersomes for transdermal application: Formulation optimization, in-vitro and in-vivo study. J. Drug Deliv. Sci. Technol. 2019, 54, 101303. [Google Scholar] [CrossRef]
- Ranjan, O.P.; Shavi, G.V.; Nayak, U.Y.; Arumugam, K.; Averineni, R.K.; Meka, S.R.; Sureshwar, P. Controlled release chitosan microspheres of mirtazapine: In vitro and in vivo evaluation. Arch. Pharmacal Res. 2011, 34, 1919–1929. [Google Scholar] [CrossRef]
- Ghazwani, M.; Vasudevan, R.; Kandasamy, G.; Manusri, N.; Devanandan, P.; Puvvada, R.C.; Veeramani, V.P.; Paulsamy, P.; Venkatesan, K.; Chidmabaram, K.; et al. Formulation of Intranasal Mucoadhesive Thermotriggered In Situ Gel Containing Mirtazapine as an Antidepressant Drug. Gels 2023, 9, 457. [Google Scholar] [CrossRef] [PubMed]
- Kaur, R.; Sharma, N.; Tikoo, K.; Sinha, V. Development of mirtazapine loaded solid lipid nanoparticles for topical delivery: Optimization, characterization and cytotoxicity evaluation. Int. J. Pharm. 2020, 586, 119439. [Google Scholar] [CrossRef] [PubMed]
- Eid, H.M.; Turkia, T.H.; Ali, A.A.; Aboud, H.M. A Novel Chitosan-coated Leciplex Loaded with Ambrisentan as a Possible Pulmonary Nanosystem: Optimization, Characterization, and Pharmacokinetics Assessments. J. Pharm. Sci. 2024, 113, 2320–2330. [Google Scholar] [CrossRef] [PubMed]
- Abdellatif, M.M.; Josef, M.; El-Nabarawi, M.A.; Teaima, M. Sertaconazole-Nitrate-Loaded Leciplex for Treating Keratomycosis: Optimization Using D-Optimal Design and In Vitro, Ex Vivo, and In Vivo Studies. Pharmaceutics 2022, 14, 2215. [Google Scholar] [CrossRef]
- Shah, S.M.; Ashtikar, M.; Jain, A.S.; Makhija, D.T.; Nikam, Y.; Gude, R.P.; Steiniger, F.; Jagtap, A.A.; Nagarsenker, M.S.; Fahr, A. LeciPlex, invasomes, and liposomes: A skin penetration study. Int. J. Pharm. 2015, 490, 391–403. [Google Scholar] [CrossRef]
- Peetla, C.; Labhasetwar, V. Effect of molecular structure of cationic surfactants on biophysical interactions of surfactant-modified nanoparticles with a model membrane and cellular uptake. Langmuir 2009, 25, 2369–2377. [Google Scholar] [CrossRef]
- El-Enin, H.A.A.; Elkomy, M.H.; Naguib, I.A.; Ahmed, M.F.; Alsaidan, O.A.; Alsalahat, I.; Ghoneim, M.M.; Eid, H.M. Lipid nanocarriers overlaid with chitosan for brain delivery of berberine via the nasal route. Pharmaceuticals 2022, 15, 281. [Google Scholar] [CrossRef]
- Ferreira, N.N.; Granja, S.; Boni, F.I.; Prezotti, F.G.; Ferreira, L.M.B.; Cury, B.S.F.; Reis, R.M.; Baltazar, F.; Gremião, M.P.D. Modulating chitosan-PLGA nanoparticle properties to design a co-delivery platform for glioblastoma therapy intended for nose-to-brain route. Drug Deliv. Transl. Res. 2020, 10, 1729–1747. [Google Scholar] [CrossRef]
- Lee, D.-W.; A Shirley, S.; Lockey, R.F.; Mohapatra, S.S. Thiolated chitosan nanoparticles enhance anti-inflammatory effects of intranasally delivered theophylline. Respir. Res. 2006, 7, 112. [Google Scholar] [CrossRef] [PubMed]
- Mahajan, H.S.; Gattani, S.G. Nasal administration of ondansetron using a novel microspheres delivery system. Pharm. Dev. Technol. 2009, 14, 226–232. [Google Scholar] [CrossRef] [PubMed]
- Alam, M.I.; Baboota, S.; Ahuja, A.; Ali, M.; Ali, J.; Sahni, J.K. Intranasal administration of nanostructured lipid carriers containing CNS acting drug: Pharmacodynamic studies and estimation in blood and brain. J. Psychiatr. Res. 2012, 46, 1133–1138. [Google Scholar] [CrossRef] [PubMed]
- Kaur, P.; Garg, T.; Vaidya, B.; Prakash, A.; Rath, G.; Goyal, A.K. Brain delivery of intranasal in situ gel of nanoparticulated polymeric carriers containing antidepressant drug: Behavioral and biochemical assessment. J. Drug Target. 2015, 23, 275–286. [Google Scholar] [CrossRef]
- Bregman, T.; Reznikov, R.; Diwan, M.; Raymond, R.; Butson, C.R.; Nobrega, J.N.; Hamani, C. Antidepressant-like effects of medial forebrain bundle deep brain stimulation in rats are not associated with accumbens dopamine release. Brain Stimul. 2015, 8, 708–713. [Google Scholar] [CrossRef] [PubMed]
- Mohsen, K.; Azzazy, H.M.; Allam, N.K.; Basalious, E. Intranasal lipid nanocapsules for systemic delivery of nimodipine into the brain: In vitro optimization and in vivo pharmacokinetic study. Mater. Sci. Eng. C 2020, 116, 111236. [Google Scholar] [CrossRef] [PubMed]
- Md, S.; Khan, R.A.; Mustafa, G.; Chuttani, K.; Baboota, S.; Sahni, J.K.; Ali, J. Bromocriptine loaded chitosan nanoparticles intended for direct nose to brain delivery: Pharmacodynamic, pharmacokinetic and scintigraphy study in mice model. Eur. J. Pharm. Sci. 2013, 48, 393–405. [Google Scholar] [CrossRef]
- Liu, S.; Yang, S.; Ho, P.C. Intranasal administration of carbamazepine-loaded carboxymethyl chitosan nanoparticles for drug delivery to the brain. Asian J. Pharm. Sci. 2018, 13, 72–81. [Google Scholar] [CrossRef]
- Shah, B.; Khunt, D.; Misra, M.; Padh, H. Application of Box-Behnken design for optimization and development of quetiapine fumarate loaded chitosan nanoparticles for brain delivery via intranasal route*. Int. J. Biol. Macromol. 2016, 89, 206–218. [Google Scholar] [CrossRef] [PubMed]
- Blanco, E.; Shen, H.; Ferrari, M. Principles of nanoparticle design for overcoming biological barriers to drug delivery. Nat. Biotechnol. 2015, 33, 941–951. [Google Scholar] [CrossRef] [PubMed]
- Le, M.Q.; Carpentier, R.; Lantier, I.; Ducournau, C.; Dimier-Poisson, I.; Betbeder, D. Residence time and uptake of porous and cationic maltodextrin-based nanoparticles in the nasal mucosa: Comparison with anionic and cationic nanoparticles. Int. J. Pharm. 2018, 550, 316–324. [Google Scholar] [CrossRef]
- Mistry, A.; Stolnik, S.; Illum, L. Nose-to-brain delivery: Investigation of the transport of nanoparticles with different surface characteristics and sizes in excised porcine olfactory epithelium. Mol. Pharm. 2015, 12, 2755–2766. [Google Scholar] [CrossRef] [PubMed]
- Muntimadugu, E.; Dhommati, R.; Jain, A.; Challa, V.G.S.; Shaheen, M.; Khan, W. Intranasal delivery of nanoparticle encapsulated tarenflurbil: A potential brain targeting strategy for Alzheimer’s disease. Eur. J. Pharm. Sci. 2016, 92, 224–234. [Google Scholar] [CrossRef]
- Kubbinga, M.; Augustijns, P.; García, M.A.; Heinen, C.; Wortelboer, H.M.; Verwei, M.; Langguth, P. The effect of chitosan on the bioaccessibility and intestinal permeability of acyclovir. Eur. J. Pharm. Biopharm. 2019, 136, 147–155. [Google Scholar] [CrossRef] [PubMed]
- Elkomy, M.H.; Eid, H.M.; Shalaby, K.; Zafar, A.; Abdelgawad, M.A.; Rateb, M.E.; Ali, M.R.; Alsalahat, I.; Abou-Taleb, H.A. Bilosomes as a promising nanoplatform for oral delivery of an alkaloid nutraceutical: Improved pharmacokinetic profile and snowballed hypoglycemic effect in diabetic rats. Drug Deliv. 2022, 29, 2694–2704. [Google Scholar] [CrossRef]
- Salem, H.F.; Ali, A.A.; Rabea, Y.K.; El-Ela, F.I.A.; Khallaf, R.A. Glycerosomal thermosensitive in situ gel of duloxetine HCl as a novel nanoplatform for rectal delivery: In vitro optimization and in vivo appraisal. Drug Deliv. Transl. Res. 2022, 12, 3083–3103. [Google Scholar] [CrossRef]
- Karaşen, N.; Altinöz, S. Determination of mirtazapine in tablets by UV spectrophotometric and derivative spectrophotometric methods. J. Pharm. Biomed. Anal. 2000, 24, 11–17. [Google Scholar] [CrossRef] [PubMed]
- Eid, H.M.; Elkomy, M.H.; El Menshawe, S.F.; Salem, H.F. Development, Optimization, and In Vitro/In Vivo Characterization of Enhanced Lipid Nanoparticles for Ocular Delivery of Ofloxacin: The Influence of Pegylation and Chitosan Coating. Aaps Pharmscitech 2019, 20, 183. [Google Scholar] [CrossRef] [PubMed]
- Fadel, M.; Abdelbary, G.; Elmenshawe, S.F.; Eissa, E. Toluidine blue loaded transferosomes for topical photodynamic therapy: For-mulation and characterization. Int. J. Res. Phram. Sci. 2011, 2, 537–544. [Google Scholar]
- Eissa, E.M.; Elkomy, M.H.; Eid, H.M.; Ali, A.A.; Abourehab, M.A.S.; Alsubaiyel, A.M.; Naguib, I.A.; Alsalahat, I.; Hassan, A.H. Intranasal Delivery of Granisetron to the Brain via Nanostructured Cubosomes-Based In Situ Gel for Improved Management of Chemotherapy-Induced Emesis. Pharmaceutics 2022, 14, 1374. [Google Scholar] [CrossRef]
- Ezealisiji, K.E.; Mbah, C.J.; Osadebe, P.O. Aqueous solubility enhancement of mirtazapine: Effect of cosolvent and surfactant. Pharmacol. Pharm. 2015, 06, 471–476. [Google Scholar] [CrossRef]
- Aboud, H.M.; Hassan, A.H.; Ali, A.A.; Abdel-Razik, A.-R.H. Novel in situ gelling vaginal sponges of sildenafil citrate-based cubosomes for uterine targeting. Drug Deliv. 2018, 25, 1328–1339. [Google Scholar] [CrossRef]
- Salem, H.F.; Ali, A.A.; Hegazy, A.M.; Sadek, A.-R.A.; Aboud, H.M. Harnessing of doxylamine succinate/pyridoxine hydrochloride-dual laden bilosomes as a novel combinatorial nanoparadigm for intranasal delivery: In vitro optimization and in vivo pharmacokinetic appraisal. J. Pharm. Sci. 2022, 111, 794–809. [Google Scholar] [CrossRef]
- Omar, M.M.; Hasan, O.A.; El Sisi, A.M. Preparation and optimization of lidocaine transferosomal gel containing permeation enhancers: A promising approach for enhancement of skin permeation. Int. J. Nanomed. 2019, 14, 1551–1562. [Google Scholar] [CrossRef] [PubMed]
- Thakkar, H.; Vaghela, D.; Patel, B.P. Brain targeted intranasal in-situ gelling spray of paroxetine: Formulation, characterization and in-vivo evaluation. J. Drug Deliv. Sci. Technol. 2020, 62, 102317. [Google Scholar] [CrossRef]
- Bhattamisra, S.K.; Shak, A.T.; Xi, L.W.; Safian, N.H.; Choudhury, H.; Lim, W.M.; Shahzad, N.; Alhakamy, N.A.; Anwer, M.K.; Radhakrishnan, A.K.; et al. Nose to brain delivery of rotigotine loaded chitosan nanoparticles in human SH-SY5Y neuroblastoma cells and animal model of Parkinson’s disease. Int. J. Pharm. 2020, 579, 119148. [Google Scholar] [CrossRef]
- Eid, H.M.; A Ali, A.; Ali, A.M.A.; Eissa, E.M.; Hassan, R.M.; El-Ela, F.I.A.; Hassan, A.H. Potential Use of Tailored Citicoline Chitosan-Coated Liposomes for Effective Wound Healing in Diabetic Rat Model. Int. J. Nanomed. 2022, 17, 555–575. [Google Scholar] [CrossRef] [PubMed]
- Elkomy, M.H.; El-Menshawe, S.F.; Ali, A.A.; Halawa, A.A.; El-Din, A.S.G.S. Betahistine dihydrochloride transdermal delivery via optimized thermosensitive gels: Percutaneous absorption evaluation using rat growth as a biomarker. Drug Deliv. Transl. Res. 2018, 8, 165–177. [Google Scholar] [CrossRef] [PubMed]
- El-Sisi, A.E.; El-Sayad, M.E.; Abdelsalam, N.M. Protective effects of mirtazapine and chrysin on experimentally induced testicular damage in rats. Biomed. Pharmacother. 2017, 95, 1059–1066. [Google Scholar] [CrossRef] [PubMed]
- Chenu, F.; Guiard, B.; Bourin, M.; Gardier, A. Antidepressant-like activity of selective serotonin reuptake inhibitors combined with a NK1 receptor antagonist in the mouse forced swimming test. Behav. Brain Res. 2006, 172, 256–263. [Google Scholar] [CrossRef]
- Dang, R.; Zhou, X.; Tang, M.; Xu, P.; Gong, X.; Liu, Y.; Jiao, H.; Jiang, P. Fish oil supplementation attenuates neuroinflammation and alleviates depressive-like behavior in rats submitted to repeated lipopolysaccharide. Eur. J. Nutr. 2018, 57, 893–906. [Google Scholar] [CrossRef]
- Can, A.; Dao, D.T.; Terrillion, C.E.; Piantadosi, S.C.; Bhat, S.; Gould, T.D. The tail suspension test. J. Vis. Exp. JoVE 2012, 3769. [Google Scholar] [CrossRef]
- Salama, H.A.; Mahmoud, A.A.; Kamel, A.O.; Hady, M.A.; Awad, G.A.S. Brain delivery of olanzapine by intranasal administration of transfersomal vesicles. J. Liposome Res. 2012, 22, 336–345. [Google Scholar] [CrossRef]
- Xing, R.; Mustapha, O.; Ali, T.; Rehman, M.; Zaidi, S.S.; Baseer, A.; Batool, S.; Mukhtiar, M.; Shafique, S.; Malik, M.; et al. Development, characterization, and evaluation of SLN-loaded thermoresponsive hydrogel system of topotecan as biological macromolecule for colorectal delivery. BioMed Res. Int. 2021, 2021, 9968602. [Google Scholar] [CrossRef] [PubMed]
- Panda, D.S.; Eid, H.M.; Elkomy, M.H.; Khames, A.; Hassan, R.M.; El-Ela, F.I.A.; Yassin, H.A. Berberine encapsulated lecithin–chitosan nanoparticles as innovative wound healing agent in type II diabetes. Pharmaceutics 2021, 13, 1197. [Google Scholar] [CrossRef]
- Lee, M.-S.; Park, W.-S.; Kim, Y.H.; Kwon, S.-H.; Jang, Y.-J.; Han, D.; Morita, K.; Her, S. Antidepressant-like effects of Cortex Mori Radicis extract via bidirectional phosphorylation of glucocorticoid receptors in the hippocampus. Behav. Brain Res. 2013, 236, 56–61. [Google Scholar] [CrossRef] [PubMed]
- Salazar-Juárez, A.; Barbosa-Méndez, S.; Merino-Reyes, P.; Matus-Ortega, M.; Hernández-Calderón, J.A.; Antón, B. Chronic dosing with mirtazapine does not produce sedation in rats. Rev. Bras. Psiquiatr. 2017, 39, 228–236. [Google Scholar] [CrossRef]
- Alam, M.I.; Baboota, S.; Ahuja, A.; Ali, M.; Ali, J.; Sahni, J.K. Intranasal infusion of nanostructured lipid carriers (NLC) containing CNS acting drug and estimation in brain and blood. Drug Deliv. 2013, 20, 247–251. [Google Scholar] [CrossRef]
- Aldeeb, R.A.E.; Mahdy, M.A.E.G.; El-Nahas, H.M.; Musallam, A.A. Design of mirtazapine solid dispersion with different carriers’ systems: Optimization, in vitro evaluation, and bioavailability assessment. Drug Deliv. Transl. Res. 2023, 13, 2340–2352. [Google Scholar] [CrossRef] [PubMed]
- Ezealisiji, K.M.; Mbah, C.J.; Osadebe, P.; Krause, R. Pharmacokinetics studies of mirtazapine loaded nanoemulsion and its evaluation as transdermal delivery system. Chem. Pharm. Res. 2017, 9, 74–84. [Google Scholar]








| Factor Code | Factor Name | Factor Level | Response Code | Response Name | Unit | ||
|---|---|---|---|---|---|---|---|
| −1 | 0 | +1 | |||||
| Y1 | Entrapment efficiency | (EE %) | |||||
| A | PL90G conc (%w/v) | 1 | 1.25 | 1.5 | Y2 | leciplex vesicle size (VS) | (nm) |
| B | PL90G:SAA (ratio) | 3 | 4 | 5 | Y3 | Amount MRZ released after 12 h (CMRZR) | % |
| C | SAA type | CTAB | DDAB | Y4 | Q24* | (µg/cm2) | |
| Run | PL90G (%w/v) | PL90G:SAA (Ratio) | SAA Type | Y1 (%) ± SD | Y2 (nm) ± SD | Y3 (%) ± SD | Y4 (µg/cm²) ± SD |
|---|---|---|---|---|---|---|---|
| F1 | 1 | 3 | CTAB | 33.10 ± 2.55 | 124.20 ± 7.69 | 82.93 ± 2.87 | 445.63 ± 13.82 |
| F2 | 1 | 4 | CTAB | 36.87 ± 2.44 | 146.30 ± 10.90 | 77.03 ± 2.05 | 402.87 ± 11.38 |
| F3 | 1 | 5 | CTAB | 44.40 ± 3.12 | 160.73 ± 8.59 | 72.70 ± 2.16 | 369.80 ± 14.22 |
| F4 | 1.25 | 3 | CTAB | 51.53 ± 1.46 | 198.27 ± 9.60 | 76.41 ± 1.64 | 378.47 ± 12.14 |
| F5 * | 1.25 | 4 | CTAB | 55.14 ± 2.74 | 252.20 ± 3.84 | 71.36 ± 1.80 | 352.90 ± 9.12 |
| F6 * | 1.25 | 4 | CTAB | 56.67 ± 2.65 | 244.90 ± 5.82 | 71.13 ± 1.63 | 340.83 ± 10.03 |
| F7 * | 1.25 | 4 | CTAB | 57.97 ± 1.96 | 258.60 ± 6.70 | 70.79 ± 2.64 | 346.36 ± 7.91 |
| F8 | 1.25 | 5 | CTAB | 66.70 ± 1.35 | 287.57 ± 6.47 | 65.60 ± 4.48 | 334.60 ± 8.09 |
| F9 | 1.5 | 3 | CTAB | 62.37 ± 2.71 | 316.17 ± 8.06 | 69.53 ± 1.52 | 302.70 ± 10.84 |
| F10 | 1.5 | 4 | CTAB | 64.93 ± 1.93 | 342.50 ± 10.56 | 64.17 ± 2.96 | 292.23 ± 12.08 |
| F11 | 1.5 | 5 | CTAB | 77.33 ± 1.76 | 364.56 ± 12.27 | 61.28 ± 3.81 | 286.17 ± 11.91 |
| F12 | 1 | 3 | DDAB | 52.90 ± 3.15 | 303.33 ± 8.32 | 73.14 ± 1.04 | 460.46 ± 16.45 |
| F13 | 1 | 4 | DDAB | 56.33 ± 2.52 | 334.57 ± 9.35 | 68.44 ± 1.85 | 437.16 ± 13.91 |
| F14 | 1 | 5 | DDAB | 68.53 ± 2.21 | 398.30 ± 7.30 | 65.53 ± 2.80 | 416.52 ± 15.33 |
| F15 | 1.25 | 3 | DDAB | 59.50 ± 1.63 | 363.96 ± 9.51 | 67.77 ± 2.66 | 440.77 ± 11.99 |
| F16 * | 1.25 | 4 | DDAB | 70.53 ± 3.3 | 391.73 ± 12.75 | 63.78 ± 1.48 | 408.63 ± 12.74 |
| F17 * | 1.25 | 4 | DDAB | 68.80 ± 2.41 | 384.40 ± 16.03 | 62.26 ± 3.59 | 414.96 ± 10.48 |
| F18 * | 1.25 | 4 | DDAB | 69.40 ± 2.10 | 378.66 ± 13.32 | 62.86 ± 2.34 | 410.40 ± 9.77 |
| F19 | 1.25 | 5 | DDAB | 78.15 ± 2.89 | 427.70 ± 7.51 | 58.58 ± 2.04 | 398.26 ± 15.94 |
| F20 | 1.5 | 3 | DDAB | 72.81 ± 3.69 | 363.80 ± 7.96 | 60.47 ± 3.17 | 387.30 ± 11.85 |
| F21 | 1.5 | 4 | DDAB | 80.30 ± 2.91 | 448.30 ± 9.71 | 57.24 ± 2.99 | 352.50 ± 9.84 |
| F22 | 1.5 | 5 | DDAB | 86.43 ± 3.15 | 483.40 ± 9.10 | 55.91 ± 2.48 | 327.50 ± 20.20 |
| Pharmacokinetics Parameter | Oral MRZ Suspension | Intranasal MRZ Suspension | Intranasal CS-MRZ-LPX | |||
|---|---|---|---|---|---|---|
| Plasma | Brain | Plasma | Brain | Plasma | Brain | |
| Cmax (ng/mL) | 972.84 ± 34.28 | 494.94 ± 34.21 | 1869.56 ± 132.82 (a) | 1121.79 ± 108.72 (a) | 3123.036 ± 281.57 (a,b) | 2021.198 ± 133.24 (a,b) |
| Tmax (h) | 2 | 2.67 ± 0.94 | 2 | 2 | 2 | 2 |
| T1/2 (h) | 35.01 ± 1.86 | 5.82 ± 0.27 | 39.73 ± 1.722 (a) | 7.59 ± 0.141 | 54.19 ± 1.28 (a,b) | 14.2 ± 3.31 (a,b) |
| Kel | 0.0198 ± 0.001 | 0.1193 ± 0.0054 | 0.0175 ± 0.0007 (a) | 0.0913 ± 0.0017 (a) | 0.0128 ± 0.0003 (a,b) | 0.0511 ± 0.010 (a,b) |
| MRT (h) | 51.47 ± 2.32 | 8.92 ± 1.20 | 53.48 ± 1.89 | 10.63 ± 0.42 | 75.81 ± 1.42 (a,b) | 18.82 ± 4.3 (a,b) |
| AUC(0-t) (ng.h/mL) | 28,813.4 ± 1406.97 | 4278.466 ± 127.72 | 52,274.84 ± 4333.01 (a) | 6518.425 ± 219.87 (a) | 88,954.4 ± 6980.9 (a,b) | 12,145.2 ± 457.11 (a,b) |
| AUC (0-∞) (ng.h/mL) | 38,955.64 ± 2051.04 | 6328.87 ± 266.57 | 69,950.22 ± 5507.48 (a) | 9596.36 ± 508.31 (a) | 144,514 ± 12,348.7 (a,b) | 24,407.4 ± 2384.57 (a,b) |
| % Relative bioavailability (Frel) | 179.5 | 151.6 | 370.9 | 385.6 | ||
Disclaimer/Publisher’s Note: The statements, opinions and data contained in all publications are solely those of the individual author(s) and contributor(s) and not of MDPI and/or the editor(s). MDPI and/or the editor(s) disclaim responsibility for any injury to people or property resulting from any ideas, methods, instructions or products referred to in the content. |
© 2025 by the authors. Licensee MDPI, Basel, Switzerland. This article is an open access article distributed under the terms and conditions of the Creative Commons Attribution (CC BY) license (https://creativecommons.org/licenses/by/4.0/).
Share and Cite
El Sisi, A.M.; Eissa, E.M.; Hassan, A.H.E.; Bekhet, M.A.; El-Ela, F.I.A.; Roh, E.J.; Kharshoum, R.M.; Ali, A.A. Nose-to-Brain Delivery of Chitosan-Grafted Leciplexes for Promoting the Bioavailability and Antidepressant Efficacy of Mirtazapine: In Vitro Assessment and Animal Studies. Pharmaceuticals 2025, 18, 46. https://doi.org/10.3390/ph18010046
El Sisi AM, Eissa EM, Hassan AHE, Bekhet MA, El-Ela FIA, Roh EJ, Kharshoum RM, Ali AA. Nose-to-Brain Delivery of Chitosan-Grafted Leciplexes for Promoting the Bioavailability and Antidepressant Efficacy of Mirtazapine: In Vitro Assessment and Animal Studies. Pharmaceuticals. 2025; 18(1):46. https://doi.org/10.3390/ph18010046
Chicago/Turabian StyleEl Sisi, Amani M., Essam M. Eissa, Ahmed H. E. Hassan, Marina A. Bekhet, Fatma I. Abo El-Ela, Eun Joo Roh, Rasha M. Kharshoum, and Adel A. Ali. 2025. "Nose-to-Brain Delivery of Chitosan-Grafted Leciplexes for Promoting the Bioavailability and Antidepressant Efficacy of Mirtazapine: In Vitro Assessment and Animal Studies" Pharmaceuticals 18, no. 1: 46. https://doi.org/10.3390/ph18010046
APA StyleEl Sisi, A. M., Eissa, E. M., Hassan, A. H. E., Bekhet, M. A., El-Ela, F. I. A., Roh, E. J., Kharshoum, R. M., & Ali, A. A. (2025). Nose-to-Brain Delivery of Chitosan-Grafted Leciplexes for Promoting the Bioavailability and Antidepressant Efficacy of Mirtazapine: In Vitro Assessment and Animal Studies. Pharmaceuticals, 18(1), 46. https://doi.org/10.3390/ph18010046

