Effect of Type-2 Diabetes Mellitus on the Expression and Function of Smooth Muscle ATP-Sensitive Potassium Channels in Human Internal Mammary Artery Grafts
Abstract
1. Introduction
- to investigate the role of KATP channels in the pinacidil-induced vasodilation of HIMA from patients with T2DM
- to evaluate whether rings of HIMA from patients with and without T2DM show differences in the expression of KATP channel subunits.
2. Results
2.1. Characteristics of Patients
2.2. Effects of Pinacidil and Glibenclamide on the Human Internal Mammary Artery Precontracted by Serotonin
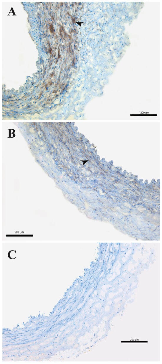
2.3. Molecular Analysis of KATP Channels: Immunohistochemistry
2.4. Molecular Analysis of KATP Channels: Western Blot
3. Discussion
4. Materials and Methods
4.1. Pharmacological Experiments
4.2. Immunohistochemical Analysis
4.3. Western Blot
4.4. Drugs and Solutions
4.5. Statistical Analysis
5. Conclusions
Author Contributions
Funding
Institutional Review Board Statement
Informed Consent Statement
Data Availability Statement
Acknowledgments
Conflicts of Interest
References
- Vaduganathan, M.; Mensah George, A.; Turco Justine, V.; Fuster, V.; Roth Gregory, A. The Global Burden of Cardiovascular Diseases and Risk. J. Am. Coll. Cardiol. 2022, 80, 2361–2371. [Google Scholar] [CrossRef] [PubMed]
- Diodato, M.; Chedrawy, E.G. Coronary artery bypass graft surgery: The past, present, and future of myocardial revascularisation. Surg. Res. Pract. 2014, 2014, 726158. [Google Scholar] [CrossRef] [PubMed]
- Fietsam, R., Jr.; Bassett, J.; Glover, J.L. Complications of coronary artery surgery in diabetic patients. Am. Surg. 1991, 57, 551–557. [Google Scholar] [PubMed]
- Singh, S.K.; Desai, N.D.; Petroff, S.D.; Deb, S.; Cohen, E.A.; Radhakrishnan, S.; Schwartz, L.; Dubbin, J.; Fremes, S.E. The Impact of Diabetic Status on Coronary Artery Bypass Graft Patency. Circulation 2008, 118 (Suppl. 1), S222–S225. [Google Scholar] [CrossRef] [PubMed]
- Axelsson, T.A.; Adalsteinsson, J.A.; Arnadottir, L.O.; Helgason, D.; Johannesdottir, H.; Helgadottir, S.; Orrason, A.W.; Andersen, K.; Gudbjartsson, T. Long-term outcomes after coronary artery bypass surgery in patients with diabetes. Interact. Cardiovasc. Thorac. Surg. 2020, 30, 685–690. [Google Scholar] [CrossRef] [PubMed]
- Shadrin, I.Y.; Holmes, D.R.; Behfar, A. Left Internal Mammary Artery as an Endocrine Organ: Insights into Graft Biology and Long-term Impact Following Coronary Artery Bypass Grafting. Mayo Clin. Proc. 2023, 98, 150–162. [Google Scholar] [CrossRef] [PubMed]
- Ziadinov, E.; Al-Kemyani, N.; Al-Sabti, H. Management of Internal Mammary Artery Spasm. Int. J. Clin. Med. 2014, 5, 284–291. [Google Scholar] [CrossRef]
- He, G.W. Arterial grafts: Clinical classification and pharmacological management. Ann. Cardiothorac. Surg. 2013, 2, 507–518. [Google Scholar] [PubMed]
- Novella, S.; Martínez, A.C.; Pagán, R.M.; Hernández, M.; García-Sacristán, A.; González-Pinto, A.; González-Santos, J.M.; Benedito, S. Plasma levels and vascular effects of vasopressin in patients undergoing coronary artery bypass grafting. Eur. J. Cardiothorac. Surg. 2007, 32, 69–76. [Google Scholar] [CrossRef]
- Hällberg, V.; Palomäki, A.; Lahtela, J.; Voutilainen, S.; Tarkka, M.; Kataja, M. Associations of metabolic syndrome and diabetes mellitus with 16-year survival after CABG. Cardiovasc. Diabetol. 2014, 13, 25. [Google Scholar] [CrossRef]
- Hadem, J.; Rossnick, R.; Hesse, B.; Herr, M.; Hansen, M.; Bergmann, A.; Kensah, G.; Maess, C.; Baraki, H.; Kümpers, P.; et al. Endothelial dysfunction following coronary artery bypass grafting: Influence of patient and procedural factors. Herz 2020, 45, 86–94. [Google Scholar] [CrossRef] [PubMed]
- Glovaci, D.; Fan, W.; Wong, N.D. Epidemiology of Diabetes Mellitus and Cardiovascular Disease. Curr. Cardiol. Rep. 2019, 21, 21. [Google Scholar] [CrossRef] [PubMed]
- Baskett, R.J.; Buth, K.J.; Collicott, C.; Ross, D.B.; Hirsch, G.M. Preoperative cardiovascular risk factor control in elective coronary artery bypass graft patients: A failure of present management. Can. J. Cardiol. 2002, 18, 397–402. [Google Scholar] [PubMed]
- Jackson, W.F. Potassium Channels in Regulation of Vascular Smooth Muscle Contraction and Growth. Adv. Pharmacol. 2017, 78, 89–144. [Google Scholar] [PubMed]
- Novakovic, A.; Gojkovic-Bukarica, L.; Peric, M.; Nezic, D.; Djukanovic, B.; Markovic-Lipkovski, J.; Heinle, H. The mechanism of endothelium-independent relaxation induced by the wine polyphenol resveratrol in human internal mammary artery. J. Pharmacol. Sci. 2006, 101, 85–90. [Google Scholar] [CrossRef] [PubMed]
- Tano, J.Y.; Schleifenbaum, J.; Gollasch, M. Perivascular adipose tissue, potassium channels, and vascular dysfunction. Arterioscler. Thromb. Vasc. Biol. 2014, 34, 1827–1830. [Google Scholar] [CrossRef] [PubMed]
- Werner, M.; Ledoux, J. K+ channels in biological processes: Vascular K+ channels in the regulation of blood pressure. J. Recept. Ligand Channel Res. 2014, 7, 51–60. [Google Scholar] [CrossRef]
- Nieves-Cintrón, M.; Syed, A.U.; Nystoriak, M.A.; Navedo, M.F. Regulation of voltage-gated potassium channels in vascular smooth muscle during hypertension and metabolic disorders. Microcirculation 2018, 25, e12423. [Google Scholar] [CrossRef]
- Nieves-Cintrón, M.; Syed, A.U.; Buonarati, O.R.; Rigor, R.R.; Nystoriak, M.A.; Ghosh, D.; Sasse, K.C.; Ward, S.M.; Santana, L.F.; Hell, J.W.; et al. Impaired BK(Ca) channel function in native vascular smooth muscle from humans with type 2 diabetes. Sci. Rep. 2017, 7, 14058. [Google Scholar] [CrossRef]
- Li, S.S.; Cui, N.; Yang, Y.; Trower, T.C.; Wei, Y.M.; Wu, Y.; Zhang, S.; Jin, X.; Jiang, C. Impairment of the Vascular KATP Channel Imposes Fatal Susceptibility to Experimental Diabetes due to Multi-Organ Injuries. J. Cell. Physiol. 2015, 230, 2915–2926. [Google Scholar] [CrossRef]
- Rajkovic, J.; Peric, M.; Stanisic, J.; Novakovic, R.; Djokic, V.; Rakocevic, J.; Tepavcevic, S.; Labudovic-Borovic, M.; Gostimirovic, M.; Heinle, H.; et al. The role of the adenosine triphosphate-sensitive potassium channels in pinacidil-induced vasodilatation of the human saphenous vein in patients with and without type 2 diabetes mellitus. J. Physiol. Pharmacol. 2020, 71, 125–135. [Google Scholar]
- Djokic, V.; Jankovic-Raznatovic, S.; Novakovic, R.; Kostic, M.; Rajkovic, J.; Labudovic-Borovic, M.; Rakocevic, J.; Stanisic, J.; Djuric, M.; Gojkovic-Bukarica, L. Effect of gestational diabetes mellitus and pregnancy-induced hypertension on human umbilical vein smooth muscle K(ATP) channels. Exp. Mol. Pathol. 2019, 111, 104323. [Google Scholar] [CrossRef] [PubMed]
- Dogan, M.F.; Yildiz, O.; Arslan, S.O.; Ulusoy, K.G. Potassium channels in vascular smooth muscle: A pathophysiological and pharmacological perspective. Fundam. Clin. Pharmacol. 2019, 33, 504–523. [Google Scholar] [CrossRef] [PubMed]
- Yoshida, H.; Feig, J.E.; Morrissey, A.; Ghiu, I.A.; Artman, M.; Coetzee, W.A. K ATP channels of primary human coronary artery endothelial cells consist of a heteromultimeric complex of Kir6.1, Kir6.2, and SUR2B subunits. J. Mol. Cell. Cardiol. 2004, 37, 857–869. [Google Scholar] [CrossRef] [PubMed]
- Ashcroft, F.M.; Gribble, F.M. New windows on the mechanism of action of K(ATP) channel openers. Trends Pharmacol. Sci. 2000, 21, 439–445. [Google Scholar] [CrossRef] [PubMed]
- Gojković, L.; Kazić, T. A comparison of the relaxant effects of pinacidil in rabbit renal and mesenteric artery. Gen. Pharmacol. 1994, 25, 1711–1717. [Google Scholar] [CrossRef] [PubMed]
- Gojkovic-Bukarica, L.; Savic, N.; Peric, M.; Markovic-Lipkovski, J.; Cirovic, S.; Kanjuh, V.; Cvejic, J.; Atanackovic, M.; Lesic, A.; Bumbasirevic, M.; et al. Effect of potassium channel opener pinacidil on the contractions elicited electrically or by noradrenaline in the human radial artery. Eur. J. Pharmacol. 2011, 654, 266–273. [Google Scholar] [CrossRef] [PubMed]
- Gojkoviíc Bukarica, L.; Kazić, T.; Sajić, Z.; Djukanović, B.; Panić, G.; Perić, M.; Bojić, M. The effects of levcromakalim and pinacidil on the human internal mammary artery. Fundam. Clin. Pharmacol. 1997, 11, 550–560. [Google Scholar] [CrossRef] [PubMed]
- Bonfanti, D.H.; Alcazar, L.P.; Arakaki, P.A.; Martins, L.T.; Agustini, B.C.; de Moraes Rego, F.G.; Frigeri, H.R. ATP-dependent potassium channels and type 2 diabetes mellitus. Clin. Biochem. 2015, 48, 476–482. [Google Scholar] [CrossRef]
- Miki, T.; Suzuki, M.; Shibasaki, T.; Uemura, H.; Sato, T.; Yamaguchi, K.; Koseki, H.; Iwanaga, T.; Nakaya, H.; Seino, S. Mouse model of Prinzmetal angina by disruption of the inward rectifier Kir6.1. Nat. Med. 2002, 8, 466–472. [Google Scholar] [CrossRef]
- Kakkar, R.; Ye, B.; Stoller, D.A.; Smelley, M.; Shi, N.Q.; Galles, K.; Hadhazy, M.; Makielski, J.C.; McNally, E.M. Spontaneous coronary vasospasm in KATP mutant mice arises from a smooth muscle-extrinsic process. Circ. Res. 2006, 98, 682–689. [Google Scholar] [CrossRef] [PubMed]
- He, G.W.; Fan, K.Y.; Chiu, S.W.; Chow, W.H. Injection of vasodilators into arterial grafts through cardiac catheter to relieve spasm. Ann. Thorac. Surg. 2000, 69, 625–628. [Google Scholar] [CrossRef] [PubMed]
- Cokolic, M.; Lalic, N.M.; Micic, D.; Mirosevic, G.; Klobucar Majanovic, S.; Lefterov, I.N.; Graur, M. Patterns of diabetes care in Slovenia, Croatia, Serbia, Bulgaria and Romania: An observational, non-interventional, cross-sectional study. Wien. Klin. Wochenschr. 2017, 129, 192–200. [Google Scholar] [CrossRef] [PubMed]
- Akar, F.; Manavbasi, Y.; Parlar, A.I.; Ulus, A.T.; Katircioglu, S.F. The gender differences in the relaxation to levosimendan of human internal mammary artery. Cardiovasc. Drugs Ther. 2007, 21, 331–338. [Google Scholar] [CrossRef] [PubMed]
- Ter Woorst, J.F.; van Straten, A.H.M.; Houterman, S.; Soliman-Hamad, M.A. Sex Difference in Coronary Artery Bypass Grafting: Preoperative Profile and Early Outcome. J. Cardiothorac. Vasc. Anesth. 2019, 33, 2679–2684. [Google Scholar] [CrossRef] [PubMed]
- Ranki, H.J.; Budas, G.R.; Crawford, R.M.; Jovanović, A. Gender-specific difference in cardiac ATP-sensitive K+ channels. J. Am. Coll. Cardiol. 2001, 38, 906–915. [Google Scholar] [CrossRef] [PubMed]
- Stojnic, N.; Gojkovic-Bukarica, L.; Peric, M.; Grbovic, L.; Lesic, A.; Bumbasirevic, M.; Heinle, H. Potassium channel opener pinacidil induces relaxation of the isolated human radial artery. J. Pharmacol. Sci. 2007, 104, 122–129. [Google Scholar] [CrossRef] [PubMed]
- Gutterman, D.D.; Miura, H.; Liu, Y. Redox modulation of vascular tone: Focus of potassium channel mechanisms of dilation. Arterioscler. Thromb. Vasc. Biol. 2005, 25, 671–678. [Google Scholar] [CrossRef] [PubMed]
- Zhuo, M.L.; Huang, Y.; Liu, D.P.; Liang, C.C. KATP channel: Relation with cell metabolism and role in the cardiovascular system. Int. J. Biochem. Cell Biol. 2005, 37, 751–764. [Google Scholar] [CrossRef]
- Chutkow, W.A.; Pu, J.; Wheeler, M.T.; Wada, T.; Makielski, J.C.; Burant, C.F.; McNally, E.M. Episodic coronary artery vasospasm and hypertension develop in the absence of Sur2 K(ATP) channels. J. Clin. Investig. 2002, 110, 203–208. [Google Scholar] [CrossRef]
- Matsuo, M.; Kimura, Y.; Ueda, K. KATP channel interaction with adenine nucleotides. J. Mol. Cell. Cardiol. 2005, 38, 907–916. [Google Scholar] [CrossRef] [PubMed]
- Gribble, F.M.; Reimann, F.; Ashfield, R.; Ashcroft, F.M. Nucleotide modulation of pinacidil stimulation of the cloned K(ATP) channel Kir6.2/SUR2A. Mol. Pharmacol. 2000, 57, 1256–1261. [Google Scholar] [PubMed]
- Gojkovic-Bukarica, L.C.; Beleslin-Cokic, B.B.; Novakovic, A.N.; Peric, M.S.; Markovic-Lipkovski, J.Z.; Cirovic, S.Z.; Nezic, D.G.; Lesic, A.R.; Kanjuh, V.I.; Heinle, H. The effects of potassium channel opener P1075 on the human saphenous vein and human internal mammary artery. J. Cardiovasc. Pharmacol. 2011, 57, 648–655. [Google Scholar] [CrossRef] [PubMed]
- Hart, N.J.; Weber, C.; Papas, K.K.; Limesand, S.W.; Vagner, J.; Lynch, R.M. Multivalent activation of GLP-1 and sulfonylurea receptors modulates β-cell second-messenger signaling and insulin secretion. Am. J. Physiol. Cell Physiol. 2019, 316, C48–C56. [Google Scholar] [CrossRef] [PubMed]
- Paggio, A.; Checchetto, V.; Campo, A.; Menabò, R.; Di Marco, G.; Di Lisa, F.; Szabo, I.; Rizzuto, R.; De Stefani, D. Identification of an ATP-sensitive potassium channel in mitochondria. Nature 2019, 572, 609–613. [Google Scholar] [CrossRef] [PubMed]
- Tsang, S.Y.; Yao, X.; Wong, C.M.; Au, C.L.; Chen, Z.Y.; Huang, Y. Contribution of Na+-Ca2+ exchanger to pinacidil-induced relaxation in the rat mesenteric artery. Br. J. Pharmacol. 2003, 138, 453–460. [Google Scholar] [CrossRef]
- Celotto, A.C.; Restini, C.B.; Capellini, V.K.; Bendhack, L.M.; Evora, P.R. Acidosis induces relaxation mediated by nitric oxide and potassium channels in rat thoracic aorta. Eur. J. Pharmacol. 2011, 656, 88–93. [Google Scholar] [CrossRef]
- Rohra, D.K.; Sharif, H.M.; Zubairi, H.S.; Sarfraz, K.; Ghayur, M.N.; Gilani, A.H. Acidosis-induced relaxation of human internal mammary artery is due to activation of ATP-sensitive potassium channels. Eur. J. Pharmacol. 2005, 514, 175–181. [Google Scholar] [CrossRef]
- Janković, J.; Davidović, M.; Bjegović-Mikanović, V.; Janković, S. Status of cardiovascular health in the Republic of Serbia: Results from the National Health Survey. PLoS ONE 2019, 14, e0214505. [Google Scholar] [CrossRef]
- Aziz, Q.; Thomas, A.M.; Gomes, J.; Ang, R.; Sones, W.R.; Li, Y.; Ng, K.E.; Gee, L.; Tinker, A. The ATP-sensitive potassium channel subunit, Kir6.1, in vascular smooth muscle plays a major role in blood pressure control. Hypertension 2014, 64, 523–529. [Google Scholar] [CrossRef]
- Li, A.; Knutsen, R.H.; Zhang, H.; Osei-Owusu, P.; Moreno-Dominguez, A.; Harter, T.M.; Uchida, K.; Remedi, M.S.; Dietrich, H.H.; Bernal-Mizrachi, C.; et al. Hypotension due to Kir6.1 gain-of-function in vascular smooth muscle. J. Am. Heart Assoc. 2013, 2, e000365. [Google Scholar] [CrossRef] [PubMed]
- Wang, J.; Bai, J.; Duan, P.; Wang, H.; Li, Y.; Zhu, Q. Kir6.1 improves cardiac dysfunction in diabetic cardiomyopathy via the AKT-FoxO1 signalling pathway. J. Cell. Mol. Med. 2021, 25, 3935–3949. [Google Scholar] [CrossRef] [PubMed]
- Girard, C.A.; Shimomura, K.; Proks, P.; Absalom, N.; Castano, L.; Perez de Nanclares, G.; Ashcroft, F.M. Functional analysis of six Kir6.2 (KCNJ11) mutations causing neonatal diabetes. Pflugers Arch. 2006, 453, 323–332. [Google Scholar] [CrossRef] [PubMed]
- Beltrand, J.; Busiah, K.; Vaivre-Douret, L.; Fauret, A.L.; Berdugo, M.; Cavé, H.; Polak, M. Neonatal Diabetes Mellitus. Front. Pediatr. 2020, 8, 540718. [Google Scholar] [CrossRef] [PubMed]
- Blanco-Rivero, J.; Gamallo, C.; Aras-López, R.; Cobeño, L.; Cogolludo, A.; Pérez-Vizcaino, F.; Ferrer, M.; Balfagon, G. Decreased expression of aortic KIR6.1 and SUR2B in hypertension does not correlate with changes in the functional role of K(ATP) channels. Eur. J. Pharmacol. 2008, 587, 204–208. [Google Scholar] [CrossRef] [PubMed]
- Park, W.S.; Hong, D.H.; Son, Y.K.; Kim, M.H.; Jeong, S.H.; Kim, H.K.; Kim, N.; Han, J. Alteration of ATP-sensitive K+ channels in rabbit aortic smooth muscle during left ventricular hypertrophy. Am. J. Physiol. Cell Physiol. 2012, 303, C170–C178. [Google Scholar] [CrossRef] [PubMed][Green Version]
- Li, H.; Shin, S.E.; Seo, M.S.; An, J.R.; Ha, K.S.; Han, E.T.; Hong, S.H.; Kim, J.; Yim, M.J.; Lee, J.M.; et al. Alterations of ATP-sensitive K+ channels in human umbilical arterial smooth muscle during gestational diabetes mellitus. Pflugers Arch. 2018, 470, 1325–1333. [Google Scholar] [CrossRef] [PubMed]
- Ocal, I.; Yilmaz, M.B.; Kocaturk-Sel, S.; Tufan, T.; Erkoc, M.A.; Comertpay, G.; Oksuz, H.; Barc, E.D. ATP sensitive K+ channel subunits (Kir6.1, Kir6.2) are the candidate mediators regulating ameliorating effects of pulsed magnetic field on aortic contractility in diabetic rats. Bioelectromagnetics 2018, 39, 299–311. [Google Scholar] [CrossRef]
- Sunaga, Y.; Gonoi, T.; Shibasaki, T.; Ichikawa, K.; Kusama, H.; Yano, H.; Seino, S. The effects of mitiglinide (KAD-1229), a new anti-diabetic drug, on ATP-sensitive K+ channels and insulin secretion: Comparison with the sulfonylureas and nateglinide. Eur. J. Pharmacol. 2001, 431, 119–125. [Google Scholar] [CrossRef]
- Cui, Y.; Tinker, A.; Clapp, L.H. Different molecular sites of action for the KATP channel inhibitors, PNU-99963 and PNU-37883A. Br. J. Pharmacol. 2003, 139, 122–128. [Google Scholar] [CrossRef]
- Shi, W.W.; Yang, Y.; Shi, Y.; Jiang, C. K(ATP) channel action in vascular tone regulation: From genetics to diseases. Sheng Li Xue Bao 2012, 64, 1–13. [Google Scholar] [PubMed]
- Furchgott, R.F.; Zawadzki, J.V. The obligatory role of endothelial cells in the relaxation of arterial smooth muscle by acetylcholine. Nature 1980, 288, 373–376. [Google Scholar] [CrossRef] [PubMed]
- Gojkovic-Bukarica, L.; Markovic-Lipkovski, J.; Heinle, H.; Cirovic, S.; Rajkovic, J.; Djokic, V.; Zivanovic, V.; Bukarica, A.; Novakovic, R. The red wine polyphenol resveratrol induced relaxation of the isolated renal artery of diabetic rats: The role of potassium channels. J. Funct. Foods 2019, 52, 266–275. [Google Scholar] [CrossRef]
- Stanišić, J.; Korićanac, G.; Ćulafić, T.; Romić, S.; Stojiljković, M.; Kostić, M.; Pantelić, M.; Tepavčević, S. Low intensity exercise prevents disturbances in rat cardiac insulin signaling and endothelial nitric oxide synthase induced by high fructose diet. Mol. Cell. Endocrinol. 2016, 420, 97–104. [Google Scholar] [CrossRef] [PubMed]




| Patient Demographic Characteristics | NDM (n = 17) | T2DM (n = 21) | p |
|---|---|---|---|
| Male/Female | 16/1 | 18/3 | |
| Age (±SD, years) | 63.9 ± 6.6 | 66.8 ± 7.6 | p > 0.05 |
Smoking
| 6 7 4 | 2 11 8 | p > 0.05 |
| Hypertension | 14 | 21 | p > 0.05 |
| Hyperlipoproteinemia | 15 | 20 | p > 0.05 |
| BMI (±SD) | 28 ± 4.1 | 28.4 ± 3.8 | p > 0.05 |
| Glycaemia (±SD, mmol/L) | 6.7 ± 2.1 | 7.9 ± 2.3 | p > 0.05 |
| Therapy Prior to Surgery | NDM (n = 17) | T2DM (n = 21) |
|---|---|---|
| ACE inhibitors (n, %) | 7 (41.2%) | 16 (76.2%) |
| β blockers (n, %) | 9 (52.9%) | 16 (76.2%) |
| CCBs (n, %) | 2 (11.8%) | 6 (28.6%) |
| Diuretics (n, %) | 4 (23.6%) | 6 (28.6%) |
| Statins (n, %) | 8 (47.1%) | 7 (33.3%) |
| Antiplatelet drugs (n, %) | 12 (70.6%) | 11 (52.4%) |
| Vasodilators (n, %) | 5 (29.4%) | 11 (52.4%) |
| Anticoagulants (n, %) | 2 (11.8%) | 5 (23.8%) |
Antidiabetics
| 0 0 | 14 (66.7%) 9 (42.9%) |
| Type 2 Diabetes Mellitus (T2DM) | ||
|---|---|---|
| pD2 ± SEM | Emax (%) ± SEM | |
| control | 5.75 ± 0.50 | 90.47 ± 9.53 |
| GLB (3 µM) | 5.53 ± 0.30 | 89.76 ± 5.64 |
| control | 6.08 ± 0.37 | 89.18 ± 7.24 |
| GLB (10 µM) | 5.67 ± 0.10 | 93.45 ± 2.05 |
| control | 5.81 ± 0.10 | 98.03 ± 1.97 |
| GLB (30 µM) | 3.88 ± 0.36 * | 64.84 ± 5.55 ** |
Disclaimer/Publisher’s Note: The statements, opinions and data contained in all publications are solely those of the individual author(s) and contributor(s) and not of MDPI and/or the editor(s). MDPI and/or the editor(s) disclaim responsibility for any injury to people or property resulting from any ideas, methods, instructions or products referred to in the content. |
© 2024 by the authors. Licensee MDPI, Basel, Switzerland. This article is an open access article distributed under the terms and conditions of the Creative Commons Attribution (CC BY) license (https://creativecommons.org/licenses/by/4.0/).
Share and Cite
Rajkovic, J.; Peric, M.; Stanisic, J.; Gostimirovic, M.; Novakovic, R.; Djokic, V.; Tepavcevic, S.; Rakocevic, J.; Labudovic-Borovic, M.; Gojkovic-Bukarica, L. Effect of Type-2 Diabetes Mellitus on the Expression and Function of Smooth Muscle ATP-Sensitive Potassium Channels in Human Internal Mammary Artery Grafts. Pharmaceuticals 2024, 17, 857. https://doi.org/10.3390/ph17070857
Rajkovic J, Peric M, Stanisic J, Gostimirovic M, Novakovic R, Djokic V, Tepavcevic S, Rakocevic J, Labudovic-Borovic M, Gojkovic-Bukarica L. Effect of Type-2 Diabetes Mellitus on the Expression and Function of Smooth Muscle ATP-Sensitive Potassium Channels in Human Internal Mammary Artery Grafts. Pharmaceuticals. 2024; 17(7):857. https://doi.org/10.3390/ph17070857
Chicago/Turabian StyleRajkovic, Jovana, Miodrag Peric, Jelena Stanisic, Milos Gostimirovic, Radmila Novakovic, Vladimir Djokic, Snezana Tepavcevic, Jelena Rakocevic, Milica Labudovic-Borovic, and Ljiljana Gojkovic-Bukarica. 2024. "Effect of Type-2 Diabetes Mellitus on the Expression and Function of Smooth Muscle ATP-Sensitive Potassium Channels in Human Internal Mammary Artery Grafts" Pharmaceuticals 17, no. 7: 857. https://doi.org/10.3390/ph17070857
APA StyleRajkovic, J., Peric, M., Stanisic, J., Gostimirovic, M., Novakovic, R., Djokic, V., Tepavcevic, S., Rakocevic, J., Labudovic-Borovic, M., & Gojkovic-Bukarica, L. (2024). Effect of Type-2 Diabetes Mellitus on the Expression and Function of Smooth Muscle ATP-Sensitive Potassium Channels in Human Internal Mammary Artery Grafts. Pharmaceuticals, 17(7), 857. https://doi.org/10.3390/ph17070857

