White Tea Reduces Dyslipidemia, Inflammation, and Oxidative Stress in the Aortic Arch in a Model of Atherosclerosis Induced by Atherogenic Diet in ApoE Knockout Mice
Abstract
1. Introduction
2. Results
2.1. HPLC Content and Total Polyphenol/Flavonoid Capacity of White Tea
2.2. Food Intake Results
2.3. Consuming White Tea Reduces the Rate of Weight Gain
2.4. White Tea Ameliorates AD-Induced Dyslipidemia
2.5. White Tea Reduces Oxidative Stress Markers
2.6. White Tea Reduces Inflammation Markers
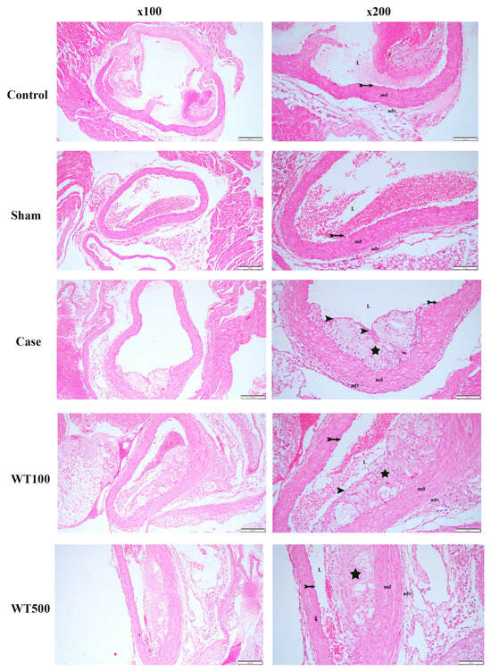
2.7. WT Does Not Reduce Atherosclerotic Plaque Burden in the Aortic Root
3. Discussion
4. Materials and Methods
4.1. HPLC-Mediated Content Analysis and Polyphenol/Flavonoid Capacity of White Tea
4.2. Chemicals, Diets, and WT Preparation
4.3. Animals
4.4. Control of Food Intake
4.5. Experimental Groups and Procedures
4.6. Measurement of Serum Routine Biochemistry Parameters
4.7. Determination of Serum Oxidative Stress and Inflammation Markers
4.8. Aortic Arch Homogenization
4.9. Investigation of Atherogenic and Antiatherogenic Parameters at the Aortic Arch
4.10. Determination of ADAM10 and ADAM17 Activity at the Aortic Arch
4.11. Histological Analysis in Aortic Root
4.12. Statistical Analysis
5. Conclusions
Supplementary Materials
Author Contributions
Funding
Institutional Review Board Statement
Informed Consent Statement
Data Availability Statement
Acknowledgments
Conflicts of Interest
References
- Roth, G.A.; Mensah, G.A.; Johnson, C.O.; Addolorato, G.; Ammirati, E.; Baddour, L.M.; Barengo, N.C.; Beaton, A.Z.; Benjamin, E.J.; Benziger, C.P.; et al. Global Burden of Cardiovascular Diseases and Risk Factors, 1990–2019: Update from the GBD 2019 Study. J. Am. Coll. Cardiol. 2020, 76, 2982–3021. [Google Scholar] [CrossRef] [PubMed]
- Carnuta, M.G.; Stancu, C.S.; Toma, L.; Sanda, G.M.; Niculescu, L.S.; Deleanu, M.; Popescu, A.C.; Popescu, M.R.; Vlad, A.; Dimulescu, D.R.; et al. Dysfunctional high-density lipoproteins have distinct composition, diminished anti-inflammatory potential and discriminate acute coronary syndrome from stable coronary artery disease patients. Sci. Rep. 2017, 7, 7295. [Google Scholar] [CrossRef] [PubMed]
- Ohashi, R.; Mu, H.; Yao, Q.; Chen, C. Atherosclerosis: Immunopathogenesis and immunotherapy. Med. Sci. Monit. Int. Med. J. Exp. Clin. Res. 2004, 10, RA255–RA260. [Google Scholar]
- Paudel, K.R.; Panth, N.; Kim, D.W. Circulating Endothelial Microparticles: A Key Hallmark of Atherosclerosis Progression. Scientifica 2016, 2016, 8514056. [Google Scholar] [CrossRef]
- Chistiakov, D.A.; Melnichenko, A.A.; Grechko, A.V.; Myasoedova, V.A.; Orekhov, A.N. Potential of anti-inflammatory agents for treatment of atherosclerosis. Exp. Mol. Pathol. 2018, 104, 114–124. [Google Scholar] [CrossRef]
- Guerrini, V.; Gennaro, M.L. Foam Cells: One Size Doesn’t Fit All. Trends Immunol. 2019, 40, 1163–1179. [Google Scholar] [CrossRef]
- Ghattas, A.; Griffiths, H.R.; Devitt, A.; Lip, G.Y.; Shantsila, E. Monocytes in coronary artery disease and atherosclerosis: Where are we now? J. Am. Coll. Cardiol. 2013, 62, 1541–1551. [Google Scholar] [CrossRef]
- Scolaro, B.; Nogueira, M.S.; Paiva, A.; Bertolami, A.; Barroso, L.P.; Vaisar, T.; Heffron, S.P.; Fisher, E.A.; Castro, I.A. Statin dose reduction with complementary diet therapy: A pilot study of personalized medicine. Mol. Metab. 2018, 11, 137–144. [Google Scholar] [CrossRef]
- Ziff, O.J.; Kotecha, D. Digoxin: The good and the bad. Trends Cardiovasc. Med. 2016, 26, 585–595. [Google Scholar] [CrossRef]
- Giudicessi, J.R.; Ackerman, M.J.; Camilleri, M. Cardiovascular safety of prokinetic agents: A focus on drug-induced arrhythmias. Neurogastroenterol. Motil. 2018, 30, e13302. [Google Scholar] [CrossRef]
- Cheng, X.; Zhao, C.; Jin, Z.; Hu, J.; Zhang, Z.; Zhang, C. Natural products: Potential therapeutic agents for atherosclerosis. Chin. J. Nat. Med. 2022, 20, 830–845. [Google Scholar] [CrossRef] [PubMed]
- Zhou, D.-D.; Luo, M.; Shang, A.; Mao, Q.-Q.; Li, B.-Y.; Gan, R.-Y.; Li, H.-B. Antioxidant Food Components for the Prevention and Treatment of Cardiovascular Diseases: Effects, Mechanisms, and Clinical Studies. Oxidative Med. Cell. Longev. 2021, 2021, 6627355. [Google Scholar] [CrossRef] [PubMed]
- Khokhar, S.; Magnusdottir, S.G.M. Total phenol, catechin, and caffeine contents of teas commonly consumed in the United kingdom. J. Agric. Food Chem. 2002, 50, 565–570. [Google Scholar] [CrossRef] [PubMed]
- Pettigrew, J. The Tea Companion: A Connoisseur’s Guide, 1st ed.; RunningPress Book Publishers: Philadelphia, PA, USA, 2014; p. 160. [Google Scholar]
- Seyıs, F.; Yurterı, E.; Ozcan, A. Tea (Camellia sinensis) Cultivation and Breeding in Turkey: Past and Present Status. Ekin J. Crop Breed. Genet. 2019, 5, 111–119. [Google Scholar]
- Almajano, M.P.; Carbó, R.; Jiménez, J.A.L.; Gordon, M.H. Antioxidant and Antimicrobial Activities of Tea Infusions. Food Chem. 2018, 108, 55–63. [Google Scholar] [CrossRef]
- Yılmaz, B.; Acar-Tek, N. White tea: Its history, composition, and potential effects on body weight management. eFood 2023, 4, 1–11. [Google Scholar] [CrossRef]
- Atak, M.; Kutlu, E.Y.; Çavuş, D.; Çomoğlu, M. Handmade Green Tea: Antioxidant Content and Activity. Appl. Food Res. 2024, 4, 100626. [Google Scholar] [CrossRef]
- Söhle, J.; Knott, A.; Holtzmann, U.; Siegner, R.; Grönniger, E.; Schepky, A.; Gallinat, S.; Wenck, H.; Stäb, F.; Winnefeld, M. White Tea extract induces lipolytic activity and inhibits adipogenesis in human subcutaneous (pre)-adipocytes. Nutr. Metab. 2009, 6, 20. [Google Scholar] [CrossRef]
- El Hadri, K.; Smith, R.; Duplus, E.; El Amri, C. Inflammation, Oxidative Stress, Senescence in Atherosclerosis: Thioredoxine-1 as an Emerging Therapeutic Target. Int. J. Mol. Sci. 2021, 23, 77. [Google Scholar] [CrossRef]
- Tabas, I.; García-Cardeña, G.; Owens, G.K. Recent insights into the cellular biology of atherosclerosis. J. Cell Biol. 2015, 209, 13–22. [Google Scholar] [CrossRef]
- Cao, S.-Y.; Zhao, C.-N.; Gan, R.-Y.; Xu, X.-Y.; Wei, X.-L.; Corke, H.; Atanasov, A.G.; Li, H.-B. Effects and Mechanisms of Tea and Its Bioactive Compounds for the Prevention and Treatment of Cardiovascular Diseases: An Updated Review. Antioxidants 2019, 8, 166. [Google Scholar] [CrossRef] [PubMed]
- Truong, V.-L.; Jeong, W.-S. Cellular Defensive Mechanisms of Tea Polyphenols: Structure-Activity Relationship. Int. J. Mol. Sci. 2021, 22, 9109. [Google Scholar] [CrossRef] [PubMed]
- Hilal, Y.; Engelhardt, U. Characterisation of white tea—Comparison to green and black tea. J. Verbr. Lebensm. 2007, 2, 414–421. [Google Scholar] [CrossRef]
- Chen, I.-J.; Liu, C.-Y.; Chiu, J.-P.; Hsu, C.-H. Therapeutic effect of high-dose green tea extract on weight reduction: A randomized, double-blind, placebo-controlled clinical trial. Clin. Nutr. 2016, 35, 592–599. [Google Scholar] [CrossRef] [PubMed]
- Yang, Q.; Zhang, Y.; Zhang, L.; Li, X.; Dong, R.; Song, C.; Cheng, L.; Shi, M.; Zhao, H. Combination of tea polyphenols and proanthocyanidins prevents menopause-related memory decline in rats via increased hippocampal synaptic plasticity by inhibiting p38 MAPK and TNF-α pathway. Nutr. Neurosci. 2022, 25, 1909–1927. [Google Scholar] [CrossRef]
- Roberto, B.S.; Macedo, G.A.; Macedo, J.A.; Martins, I.M.; Nakajima, V.M.; Allwood, J.W.; Stewart, D.; McDougall, G.J. Immobilized tannase treatment alters polyphenolic composition in teas and their potential anti-obesity and hypoglycemic activities in vitro. Food Funct. 2016, 7, 3920–3932. [Google Scholar] [CrossRef]
- Chen, S.; Osaki, N.; Shimotoyodome, A. Green tea catechins enhance norepinephrine-induced lipolysis via a protein kinase A-dependent pathway in adipocytes. Biochem. Biophys. Res. Commun. 2015, 461, 1–7. [Google Scholar] [CrossRef]
- Murase, T.; Nagasawa, A.; Suzuki, J.; Hase, T.; Tokimitsu, I. Beneficial effects of tea catechins on diet-induced obesity: Stimulation of lipid catabolism in the liver. Int. J. Obes. Relat. Metab. Disord. J. Int. Assoc. Study Obes. 2002, 26, 1459–1464. [Google Scholar] [CrossRef]
- Luo, K.; Ma, C.; Xing, S.; An, Y.; Feng, J.; Dang, H.; Huang, W.; Qiao, L.; Cheng, J.; Xie, L. White tea and its active polyphenols lower cholesterol through reduction of very-low-density lipoprotein production and induction of LDLR expression. Biomed. Pharmacother. Biomed. Pharmacother. 2020, 127, 110146. [Google Scholar] [CrossRef]
- Kong, P.; Cui, Z.Y.; Huang, X.F.; Zhang, D.D.; Guo, R.J.; Han, M. Inflammation and atherosclerosis: Signaling pathways and therapeutic intervention. Signal Transduct. Target The. 2022, 7, 131. [Google Scholar] [CrossRef]
- Guo, X.; Ma, L. Inflammation in coronary artery disease-clinical implications of novel HDL-cholesterol-related inflammatory parameters as predictors. Coron. Artery Dis. 2023, 34, 66–77. [Google Scholar] [CrossRef] [PubMed]
- Arai, J.; Otoyama, Y.; Nozawa, H.; Kato, N.; Yoshida, H. The immunological role of ADAMs in the field of gastroenterological chronic inflammatory diseases and cancers: A review. Oncogene 2023, 42, 549–558. [Google Scholar] [CrossRef] [PubMed]
- Saeed, M.; Abd El-Hack, M.E.; Alagawany, M.; Naveed, M.; Arain, M.A.; Arif, M.; Soomro, R.N.; Kakar, M.; Manzoor, R.; Tiwari, R.; et al. Phytochemistry, modes of action and beneficial health applications of green tea (Camellia sinensis) in humans and animals. Inter. J. Pharmacol. 2017, 13, 698–708. [Google Scholar] [CrossRef]
- Jiménez-Zamora, A.; Delgado-Andrade, C.; Rufián-Henares, J.A. Antioxidant capacity, total phenols and color profile during the storage of selected plants used for infusion. Food Chem. 2016, 199, 339–346. [Google Scholar] [CrossRef]
- Liu, L.; Nagai, I.; Gao, Y.; Matsushima, Y.; Kawai, Y.; Sayama, K. Effects of catechins and caffeine on the development of atherosclerosis in mice. Biosci. Biotechnol. Biochem. 2017, 81, 1948–1955. [Google Scholar] [CrossRef]
- Asbaghi, O.; Fouladvand, F.; Gonzalez, M.J.; Aghamohammadi, V.; Choghakhori, R.; Abbasnezhad, A. The effect of green tea on C-reactive protein and biomarkers of oxidative stress in patients with type 2 diabetes mellitus: A systematic review and meta-analysis. Complement. Ther. Med. 2019, 46, 210–216. [Google Scholar] [CrossRef]
- Haghighatdoost, F.; Hariri, M. The effect of green tea on inflammatory mediators: A systematic review and meta-analysis of randomized clinical trials. Phytother. Res. PTR 2019, 33, 2274–2287. [Google Scholar] [CrossRef]
- Rahman, S.U.; Li, Y.; Huang, Y.; Zhu, L.; Feng, S.; Wu, J.; Wang, X. Treatment of inflammatory bowel disease via green tea polyphenols: Possible application and protective approaches. Inflammopharmacology 2018, 26, 319–330. [Google Scholar] [CrossRef]
- Farzaei, M.H.; Bahramsoltani, R.; Abbasabadi, Z.; Braidy, N.; Nabavi, S.M. Role of green tea catechins in prevention of age-related cognitive decline: Pharmacological targets and clinical perspective. J. Cell. Physiol. 2019, 234, 2447–2459. [Google Scholar] [CrossRef]
- Ramadan, G.; El-Beih, N.M.; Talaat, R.M.; El-Ghffar, E.A.A. Anti-inflammatory activity of green versus black tea aqueous extract in a rat model of human rheumatoid arthritis. Int. J. Rheum. Dis. 2017, 20, 203–213. [Google Scholar] [CrossRef]
- Liu, L.; Wu, X.; Zhang, B.; Yang, W.; Li, D.; Dong, Y.; Yin, Y.; Chen, Q. Protective effects of tea polyphenols on exhaustive exercise-induced fatigue, inflammation and tissue damage. Food Nutr. Res. 2017, 61, 1333390. [Google Scholar] [CrossRef] [PubMed]
- Scoparo, C.T.; de Souza, L.M.; Rattmann, Y.D.; Kiatkoski, E.C.; Dartora, N.; Iacomini, M. The protective effect of green and black teas (Camellia sinensis) and their identified compounds against murine sepsis. Food Res. Int. 2016, 83, 102–111. [Google Scholar] [CrossRef]
- Wahyudi, S.; Sargowo, D. Green tea polyphenols inhibit oxidized LDL-induced NF-KB activation in human umbilical vein endothelial cells. Acta Medica Indones. 2007, 39, 66–70. [Google Scholar]
- Inami, S.; Takano, M.; Yamamoto, M.; Murakami, D.; Tajika, K.; Yodogawa, K.; Yokoyama, S.; Ohno, N.; Ohba, T.; Sano, J.; et al. Tea catechin consumption reduces circulating oxidized low-density lipoprotein. Int. Heart J. 2007, 48, 725–732. [Google Scholar] [CrossRef]
- Shi, Z.; Long, X.; Li, Y.; Jin, J.; Li, J.; Yuan, C.; Jin, R. Protective Effect of Tea Saponins on Alcohol-Induced Gastric Mucosal Injury in Mice. ACS Omega 2022, 8, 673–681. [Google Scholar] [CrossRef]
- Albuquerque, K.F.F.S.; Marinovic, M.P.; Morandi, A.C.; Bolin, A.P.; Otton, R. Green tea polyphenol extract in vivo attenuates inflammatory features of neutrophils from obese rats. Eur. J. Nutr. 2016, 55, 1261–1274. [Google Scholar] [CrossRef]
- Balsan, G.; Pellanda, L.C.; Sausen, G.; Galarraga, T.; Zaffari, D.; Pontin, B.; Portal, V.L. Effect of yerba mate and green tea on paraoxonase and leptin levels in patients affected by overweight or obesity and dyslipidemia: A randomized clinical trial. Nutr. J. 2019, 18, 5. [Google Scholar] [CrossRef]
- Basu, A.; Sanchez, K.; Leyva, M.J.; Wu, M.; Betts, N.M.; E Aston, C.; Lyons, T.J. Green tea supplementation affects body weight, lipids, and lipid peroxidation in obese subjects with metabolic syndrome. J. Am. Coll. Nutr. 2010, 29, 31–40. [Google Scholar] [CrossRef]
- Kavantzas, N.; Chatziioannou, A.; Yanni, A.; Tsakayannis, D.; Balafoutas, D.; Agrogiannis, G.; Perrea, D. Effect of green tea on angiogenesis and severity of atherosclerosis in cholesterol-fed rabbit. Vasc. Pharmacol. 2006, 44, 461–463. [Google Scholar] [CrossRef]
- Cai, Y.; Kurita-Ochiai, T.; Hashizume, T.; Yamamoto, M. Green tea epigallocatechin-3-gallate attenuates Porphyromonas gingivalis-induced atherosclerosis. Pathog. Dis. 2013, 67, 76–83. [Google Scholar] [CrossRef]
- Faustin, J.; Bahrudin; Susilaningsih, N.; Muniroh, M.; Mahati, E.; Istiadi, H. Effect of white tea (Camellia sinensis) leaf extract on cigarette smoke and high-fat diet-induced atherosclerosis in Wistar rats. J. Adv. Biotechnol. Exp. Ther. 2023, 6, 552–563. [Google Scholar] [CrossRef]
- Minatti, J.; Wazlawik, E.; Hort, M.A.; Zaleski, F.L.; Ribeiro-Do-Valle, R.M.; Maraschin, M.; da Silva, E.L. Green tea extract reverses endothelial dysfunction and reduces atherosclerosis progression in homozygous knockout low-density lipoprotein receptor mice. Nutr. Res. 2012, 32, 684–693. [Google Scholar] [CrossRef] [PubMed]
- Björkegren, J.L.; Hägg, S.; Talukdar, H.A.; Foroughi Asl, H.; Jain, R.K.; Cedergren, C.; Shang, M.M.; Rossignoli, A.; Takolander, R.; Melander, O.; et al. Plasma cholesterol-induced lesion networks activated before regression of early, mature, and advanced atherosclerosis. PLoS Genet. 2014, 10, e1004201. [Google Scholar] [CrossRef] [PubMed]
- Jung, C.; Christiansen, S.; Kaul, M.G.; Koziolek, E.; Reimer, R.; Heeren, J.; Adam, G.; Heine, M.; Ittrich, H. Quantitative and qualitative estimation of atherosclerotic plaque burden in vivo at 7T MRI using Gadospin F in comparison to en face preparation evaluated in ApoE KO mice. PLoS ONE 2017, 12, e0180407. [Google Scholar] [CrossRef]
- Fangueiro, J.F.; Parra, A.; Silva, A.M.; Egea, M.A.; Souto, E.B.; Garcia, M.L.; Calpena, A.C. Validation of a high performance liquid chromatography method for the stabilization of epigallocatechin gallate. Int. J. Pharm. 2014, 475, 181–190. [Google Scholar] [CrossRef]
- Horžić, D.; Komes, D.; Belščak, A.; Ganić, K.K.; Iveković, D.; Karlović, D. The Composition of Polyphenols and Methylxanthines in Teas and Herbal Infusions. Food Chem. 2009, 115, 441–448. [Google Scholar] [CrossRef]
- Lin, J.-Y.; Tang, C.-Y. Determination of Total Phenolic and Flavonoid Contents in Selected Fruits and Vegetables, as Well as Their Stimulatory Effects on Mouse Splenocyte Proliferation. Food Chem. 2007, 101, 140–147. [Google Scholar] [CrossRef]
- Lilley, E.; Stanford, S.C.; Kendall, D.E.; Alexander, S.P.; Cirino, G.; Docherty, J.R.; George, C.H.; Insel, P.A.; Izzo, A.A.; Ji, Y.; et al. ARRIVE 2.0 and the British Journal of Pharmacology: Updated guidance for 2020. Br. J. Pharmacol. 2020, 177, 3611–3616. [Google Scholar] [CrossRef]
- McGrath, J.C.; Lilley, E. Implementing guidelines on reporting research using animals (ARRIVE etc.): New requirements for publication in BJP. Br. J. Pharmacol. 2015, 172, 3189–3193. [Google Scholar] [CrossRef]
- Veseli, B.E.; Perrotta, P.; De Meyer, G.R.; Roth, L.; Van der Donckt, C.; Martinet, W. Animal models of atherosclerosis. Eur. J. Pharmacol. 2017, 816, 3–13. [Google Scholar] [CrossRef]
- Yigit, E.; Deger, O.; Korkmaz, K.; Yigit, M.H.; Uydu, H.A.; Mercantepe, T.; Demir, S. Propolis Reduces Inflammation and Dyslipidemia Caused by High-Cholesterol Diet in Mice by Lowering ADAM10/17 Activities. Nutrients 2024, 16, 1861. [Google Scholar] [CrossRef] [PubMed]
- Song, J.-L.; Zhou, Y.; Feng, X.; Zhao, X. White tea (Camellia sinenesis (L.)) ethanol extracts attenuate reserpine-induced gastric ulcers in mice. Food Sci. Biotechnol. 2015, 24, 1159–1165. [Google Scholar] [CrossRef]
- Abdella, E.M.M. Protective effects of white tea extract against mercuric chloride induced hepatotoxicity in mice. Int. J. Pharm. Sci. Res. 2017, 8, 603–610. [Google Scholar] [CrossRef]
- Li, N.; Zhou, X.; Wang, J.; Chen, J.; Lu, Y.; Sun, Y.; Song, Y.; Tan, X.; Xie, G.; Chen, Y.; et al. White tea alleviates non-alcoholic fatty liver disease by regulating energy expenditure and lipid metabolism. Gene 2022, 833, 146553. [Google Scholar] [CrossRef]
- Wong, M.C.; van Diepen, J.A.; Hu, L.; Guigas, B.; de Boer, H.C.; van Puijvelde, G.H.; Kuiper, J.; van Zonneveld, A.J.; Shoelson, S.E.; Voshol, P.J.; et al. Hepatocyte-specific IKKβ expression aggravates atherosclerosis development in APOE*3-Leiden mice. Atherosclerosis 2012, 220, 362–368. [Google Scholar] [CrossRef]
- van der Vaart, J.I.; van Eenige, R.; Rensen, P.C.; Kooijman, S. Atherosclerosis: An overview of mouse models and a detailed methodology to quantify lesions in the aortic root. Vasc. Biol. 2024, 6, e230017. [Google Scholar] [CrossRef]
- Kotsovilis, S.; Salagianni, M.; Varela, A.; Davos, C.H.; Galani, I.E.; Andreakos, E. Comprehensive Analysis of 1-Year-Old Female Apolipoprotein E-Deficient Mice Reveals Advanced Atherosclerosis with Vulnerable Plaque Characteristics. Int. J. Mol. Sci. 2024, 25, 1355. [Google Scholar] [CrossRef]
- Arslan, A.K.; Yaşar; Çolak, C.; Yoloğlu, S. WSSPAS: An Interactive Web Application for Sample Size and Power Analysis with R Using Shiny. Türkiye Klin. Biyoistatistik Derg. 2019, 3, 224–246. [Google Scholar] [CrossRef]





| Number | Compound Name | Retention Time (Min) | Concentration (n = 2, µg/g) |
|---|---|---|---|
| 1 | Gallic acid | 3.202 | 5.55 ± 0.61 |
| 2 | Epigallocatechin | 4.499 | 261.4 ± 3.59 |
| 3 | Catechin | 5.488 | - |
| 4 | Caffeine | 7.750 | 101.51 ± 2.61 |
| 5 | Epigallocatechin 3-gallate | 8.678 | 119.8 ± 2.31 |
| 6 | Epicatechin | 9.800 | - |
| 7 | Epicatechin 3-gallate | 15.916 | 46.36 ± 1.70 |
| White Tea Antioxidant Capacity | Total Polyphenol Content (mg GA/g dry WT) | Total Flavonoid Capacity (mg Q/g dry WT) |
| 4.43 ± 0.24 | 157.1 ± 6.87 |
| Food Intake g/day/mouse (X) | ||||||||||
|---|---|---|---|---|---|---|---|---|---|---|
| Cage No. | n | Mice | Diet | Group | 0–4 Weeks | 4–8 Weeks | 8–12 Weeks | Cage No. | Group | 12–16 Weeks |
| 1 | 4 | C57BL/6J | Control | Control | 5.68 | 5.52 | 5.35 | 5.73 | ||
| 2 | 4 | C57BL/6J | Control | 5.54 | 5.58 | 5.45 | 5.34 | |||
| 3 | 4 | ApoE−/− | Control | Sham | 5.25 | 5.43 | 5.40 | 5.23 | ||
| 4 | 4 | ApoE−/− | Control | 5.38 | 5.60 | 5.30 | 5.94 | |||
| 5 | 4 | ApoE−/− | Atherogenic | 5.70 | 5.55 | 5.15 | 8 | Case | 5.27 | |
| 6 | 4 | ApoE−/− | Atherogenic | 5.51 | 5.74 | 5.27 | 10 | 5.58 | ||
| 7 | 4 | ApoE−/− | Atherogenic | 5.90 | 5.45 | 4.91 | 6 | WT100 | 5.54 | |
| 8 | 4 | ApoE−/− | Atherogenic | 5.40 | 5.27 | 5.53 | 7 | 5.28 | ||
| 9 | 4 | ApoE−/− | Atherogenic | 5.43 | 5.61 | 5.00 | 5 | WT500 | 5.35 | |
| 10 | 4 | ApoE−/− | Atherogenic | 5.74 | 5.36 | 5.18 | 9 | 5.49 | ||
| Parameters (X ± SD) | Control | Sham | Case | WT100 | WT500 |
|---|---|---|---|---|---|
| (C57BL/6J + CD) | (ApoE KO + CD) | (ApoE KO + AD) | (ApoE KO + AD + WT100) | (ApoE KO + AD + WT500) | |
| Glu (mg/dL) | 126.8 ± 33.3 | 170 ± 23.4 | 180.8 ± 37.1 | 162.5 ± 33.3 | 172 ± 40.5 |
| TG (mg/dL) | 78.4 ± 16.8 | 69.1 ± 5.8 # | 107 ± 26.5 * | 52.2 ± 10.7 *,# | 71.7 ± 14.5 *,† |
| TC (mg/dL) | 81.2 ± 7.2 | 338.2 ± 25 *,# | 1942 ± 195.9 * | 958 ± 112.1 *,# | 708.7 ± 127 *,#,† |
| ALT (U/L) | 30 ± 3.1 | 44.2 ± 4.2 | 42.1 ± 11.4 | 33.7 ± 6.2 | 43.4 ± 30.2 |
| AST (U/L) | 148.8 ± 40.3 | 217.1 ± 68.7 | 214.6 ± 48.7 | 201.1 ± 43.7 | 221.1 ± 112.3 |
| BUN (mg/dL) | 22.8 ± 5.4 | 29.1 ± 4.8 * | 28.6 ± 3 * | 32 ± 3.6 * | 28.8 ± 3.4 * |
| Lesion Area/Whole Cross-Sectional Area × 100 (X ± SD) | |
|---|---|
| Control | 0 |
| Sham | 0.3 ± 0.1 |
| Case | 27.5 ± 10.7 |
| WT100 | 20.9 ± 15.6 |
| WT500 | 24.2 ± 14.2 |
| Control | Sham | Case | WT100 | WT500 | |
|---|---|---|---|---|---|
| C57BL-6J Mice | + | − | − | − | − |
| ApoE−/− Mice | − | + | + | + | + |
| Control Diet | + | + | − | − | − |
| Atherogenic Diet | − | − | + | + | + |
| Administration | 0.9% NaCl by o.g. for the last 28 days. | 0.9% NaCl by o.g. for the last 28 days. | 0.9% NaCl by o.g. for the last 28 days [62]. | 100 mg/kg WT by o.g. for the last 28 days [63,64]. | 500 mg/kg WT by o.g. for the last 28 days [65]. |
Disclaimer/Publisher’s Note: The statements, opinions and data contained in all publications are solely those of the individual author(s) and contributor(s) and not of MDPI and/or the editor(s). MDPI and/or the editor(s) disclaim responsibility for any injury to people or property resulting from any ideas, methods, instructions or products referred to in the content. |
© 2024 by the authors. Licensee MDPI, Basel, Switzerland. This article is an open access article distributed under the terms and conditions of the Creative Commons Attribution (CC BY) license (https://creativecommons.org/licenses/by/4.0/).
Share and Cite
Huner Yigit, M.; Atak, M.; Yigit, E.; Topal Suzan, Z.; Kivrak, M.; Uydu, H.A. White Tea Reduces Dyslipidemia, Inflammation, and Oxidative Stress in the Aortic Arch in a Model of Atherosclerosis Induced by Atherogenic Diet in ApoE Knockout Mice. Pharmaceuticals 2024, 17, 1699. https://doi.org/10.3390/ph17121699
Huner Yigit M, Atak M, Yigit E, Topal Suzan Z, Kivrak M, Uydu HA. White Tea Reduces Dyslipidemia, Inflammation, and Oxidative Stress in the Aortic Arch in a Model of Atherosclerosis Induced by Atherogenic Diet in ApoE Knockout Mice. Pharmaceuticals. 2024; 17(12):1699. https://doi.org/10.3390/ph17121699
Chicago/Turabian StyleHuner Yigit, Merve, Mehtap Atak, Ertugrul Yigit, Zehra Topal Suzan, Mehmet Kivrak, and Huseyin Avni Uydu. 2024. "White Tea Reduces Dyslipidemia, Inflammation, and Oxidative Stress in the Aortic Arch in a Model of Atherosclerosis Induced by Atherogenic Diet in ApoE Knockout Mice" Pharmaceuticals 17, no. 12: 1699. https://doi.org/10.3390/ph17121699
APA StyleHuner Yigit, M., Atak, M., Yigit, E., Topal Suzan, Z., Kivrak, M., & Uydu, H. A. (2024). White Tea Reduces Dyslipidemia, Inflammation, and Oxidative Stress in the Aortic Arch in a Model of Atherosclerosis Induced by Atherogenic Diet in ApoE Knockout Mice. Pharmaceuticals, 17(12), 1699. https://doi.org/10.3390/ph17121699

