Investigating the Potential of Ufasomes Laden with Nintedanib as an Optimized Targeted Lung Nanoparadigm for Accentuated Tackling of Idiopathic Pulmonary Fibrosis
Abstract
1. Introduction
2. Results and Discussion
2.1. Fabrication of NTD-UFSs
2.2. Experimental Design
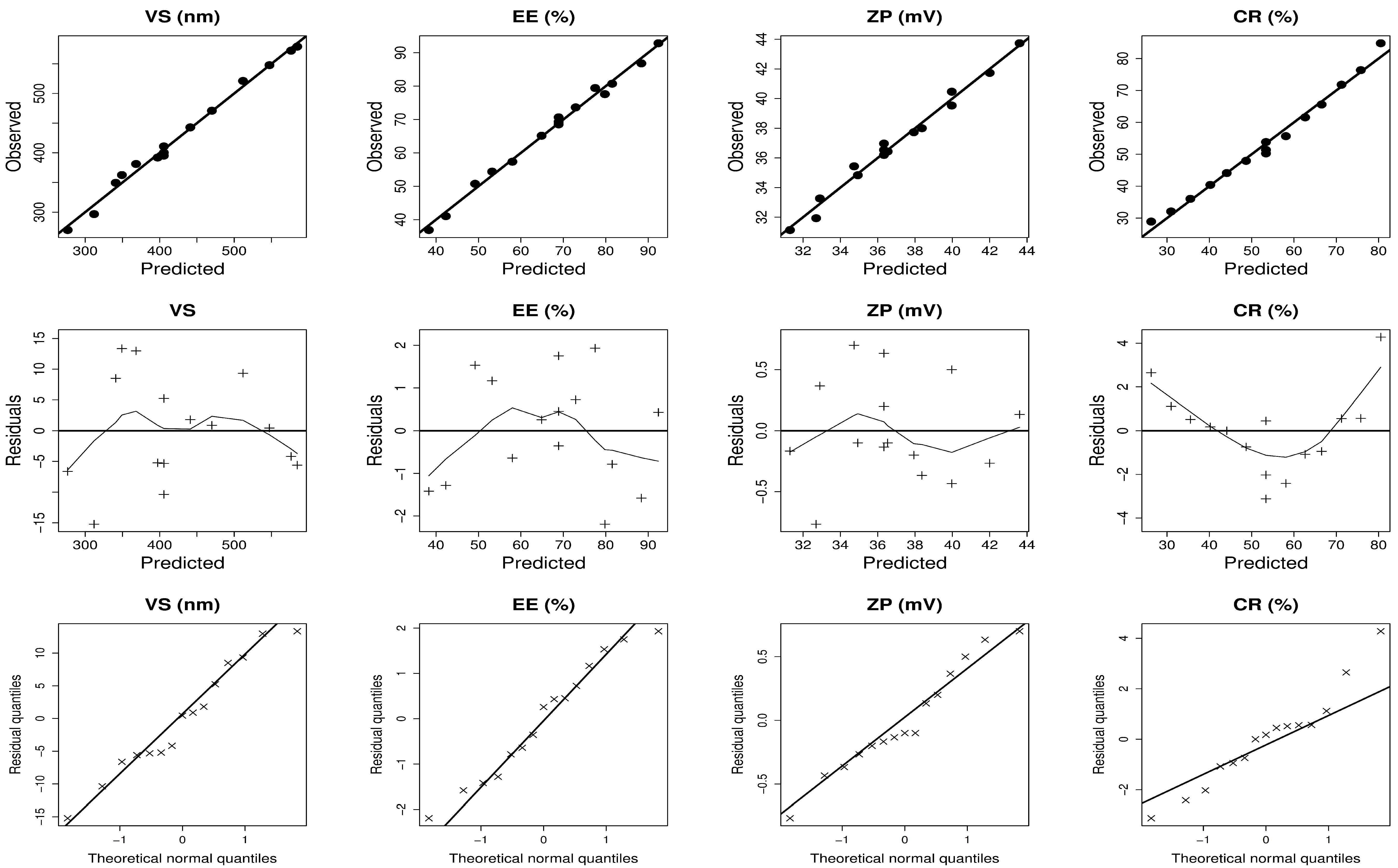
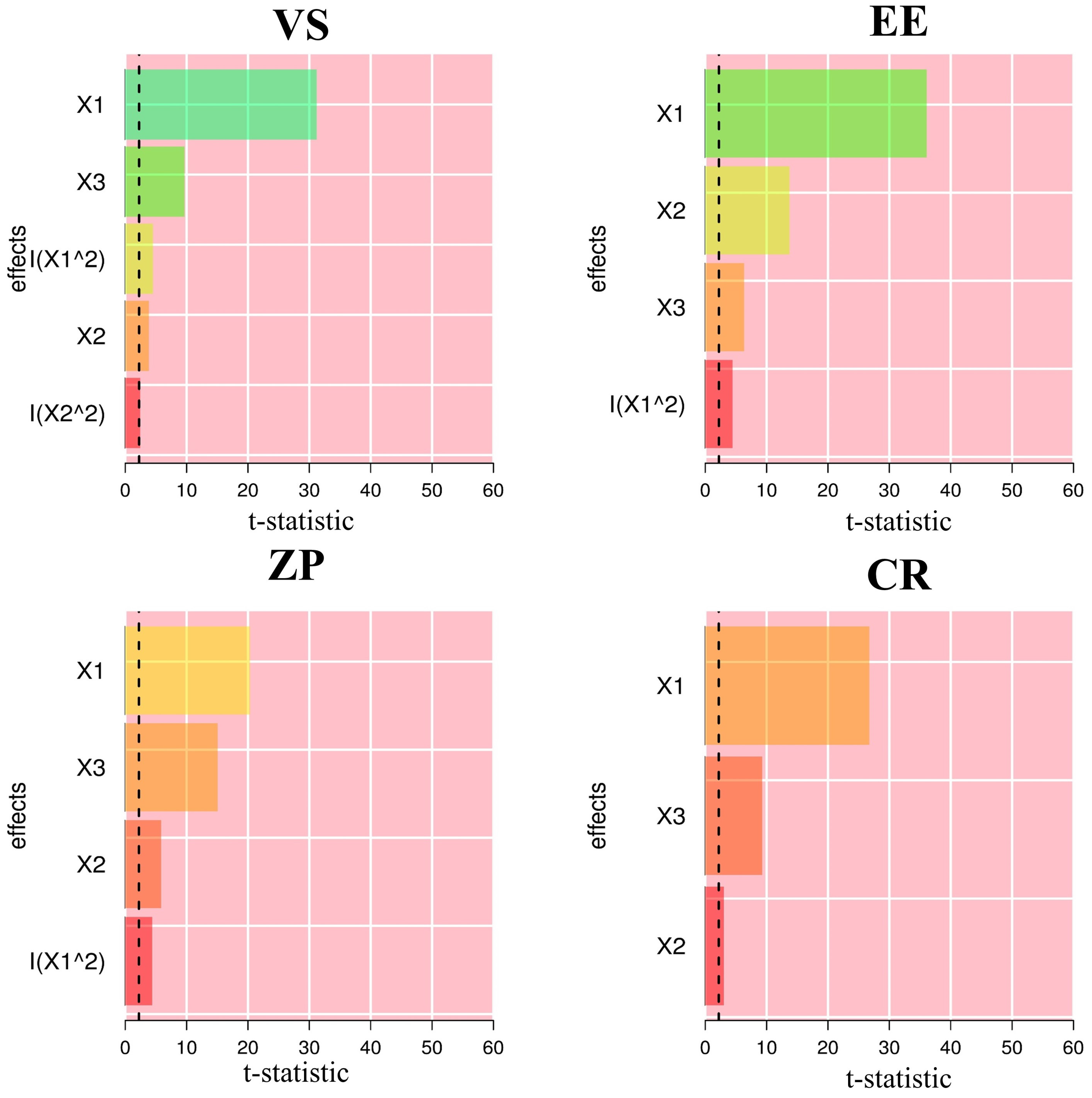
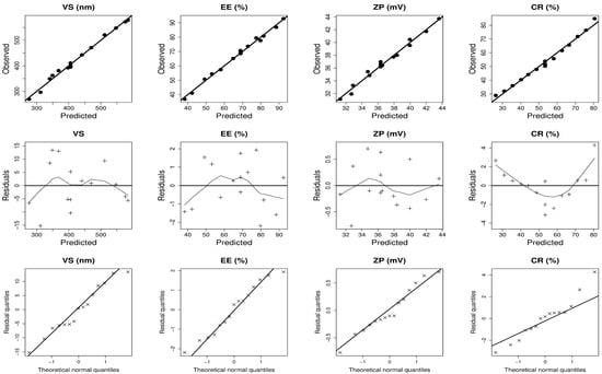
2.2.1. Analysis of VS

2.2.2. Analysis of EE%
2.2.3. Analysis of ZP

2.2.4. Analysis of CR
2.3. Formulation Optimization
2.4. Appraisal of the Optimal Formulation
2.4.1. FTIR Analysis
2.4.2. Differential Scanning Calorimetry (DSC)
2.4.3. In Vitro Release
2.4.4. Morphological Analysis
2.4.5. Short-Term Stability
2.4.6. Aerodynamic Characterization
2.5. In Vivo Experimentations
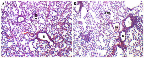
2.5.1. Histopathological Analysis
2.5.2. Pharmacokinetic Studies
3. Materials and Methods
3.1. Materials
3.2. Design of Experiments
3.3. Preparation of NTD-UFSs
3.4. Characterization and Optimization of NTD-UFSs
3.4.1. VS and ZP Analyses
3.4.2. Encapsulation Efficiency of NTD
3.4.3. Cumulative Release (CR) After 24 h
3.5. Characterization of the Optimized Formulation
3.5.1. Fourier-Transform Infrared Spectroscopy (FTIR)
3.5.2. Differential Scanning Calorimetry (DSC)
3.5.3. In Vitro Release
3.5.4. Morphological Analysis
3.5.5. Short Term Stability
3.5.6. Aerodynamic Characterization
Total Emitted Dose
Chromatographic Conditions
3.6. In Vivo Experimentations
3.6.1. Histopathological Examination
3.6.2. Pharmacokinetic Studies
Data Analysis
3.7. Statistical Analysis
4. Conclusions
Author Contributions
Funding
Institutional Review Board Statement
Informed Consent Statement
Data Availability Statement
Acknowledgments
Conflicts of Interest
References
- Ruggiero, V.; Aquino, G.; Del Gaudio, P.; Mencherini, T.; Tedesco, C.; Russo, P. Development and characterization of nintedanib inhalable powders as a potential pulmonary fibrosis treatment. J. Drug Deliv. Sci. Technol. 2024, 92, 105340. [Google Scholar] [CrossRef]
- Volpe, M.C.; Ciucci, G.; Zandomenego, G.; Vuerich, R.; Ring, N.A.R.; Vodret, S.; Salton, F.; Marchesan, P.; Braga, L.; Marcuzzo, T. Flt1 produced by lung endothelial cells impairs ATII cell transdifferentiation and repair in pulmonary fibrosis. Cell Death Dis. 2023, 14, 437. [Google Scholar] [CrossRef] [PubMed]
- Hutchinson, J.; Fogarty, A.; Hubbard, R.; McKeever, T. Global incidence and mortality of idiopathic pulmonary fibrosis: A systematic review. Eur. Respir. J. 2015, 46, 795–806. [Google Scholar] [CrossRef] [PubMed]
- Spagnolo, P.; Sverzellati, N.; Rossi, G.; Cavazza, A.; Tzouvelekis, A.; Crestani, B.; Vancheri, C. Idiopathic pulmonary fibrosis: An update. Ann. Med. 2015, 47, 15–27. [Google Scholar] [CrossRef]
- Varone, F.; Sgalla, G.; Iovene, B.; Bruni, T.; Richeldi, L. Nintedanib for the treatment of idiopathic pulmonary fibrosis. Expert Opin. Pharmacother. 2018, 19, 167–175. [Google Scholar] [CrossRef]
- Andrade da Silva, L.H.; Vieira, J.B.; Cabral, M.R.; Antunes, M.A.; Lee, D.; Cruz, F.F.; Hanes, J.; Rocco, P.R.M.; Morales, M.M.; Suk, J.S. Development of nintedanib nanosuspension for inhaled treatment of experimental silicosis. Bioeng. Transl. Med. 2023, 8, e10401. [Google Scholar] [CrossRef]
- Fletcher, S.V.; Jones, M.G.; Renzoni, E.A.; Parfrey, H.; Hoyles, R.K.; Spinks, K.; Kokosi, M.; Kwok, A.; Warburton, C.; Titmuss, V. Safety and tolerability of nintedanib for the treatment of idiopathic pulmonary fibrosis in routine UK clinical practice. ERJ Open Res. 2018, 4, 00049-2018. [Google Scholar] [CrossRef]
- Ogura, T.; Taniguchi, H.; Azuma, A.; Inoue, Y.; Kondoh, Y.; Hasegawa, Y.; Bando, M.; Abe, S.; Mochizuki, Y.; Chida, K. Safety and pharmacokinetics of nintedanib and pirfenidone in idiopathic pulmonary fibrosis. Eur. Respir. J. 2015, 45, 1382–1392. [Google Scholar] [CrossRef]
- Wang, X.; Wan, W.; Lu, J.; Quan, G.; Pan, X.; Liu, P. Effects of L-leucine on the properties of spray-dried swellable microparticles with wrinkled surfaces for inhalation therapy of pulmonary fibrosis. Int. J. Pharm. 2021, 610, 121223. [Google Scholar] [CrossRef]
- Eid, H.M.; Turkia, T.H.; Ali, A.A.; Aboud, H.M. A Novel Chitosan-coated Leciplex Loaded with Ambrisentan as a Possible Pulmonary Nanosystem: Optimization, Characterization, and Pharmacokinetics Assessments. J. Pharm. Sci. 2024, 113, 2320–2330. [Google Scholar] [CrossRef]
- Elkomy, M.H.; Ali, A.A.; Eid, H.M. Chitosan on the surface of nanoparticles for enhanced drug delivery: A comprehensive review. J. Control. Release 2022, 351, 923–940. [Google Scholar] [CrossRef] [PubMed]
- Rao, L.; Zhu, P.; Guo, M.; Hu, M.; Guo, X.; Du, Y.; Xu, G. Nebulized inhalation of nintedanib-loaded biomimetic nano-liposomes attenuated bleomycin-induced interstitial lung fibrosis in mice. Nano Today 2024, 56, 102298. [Google Scholar] [CrossRef]
- Patel, M.; Karampuri, S.; Kansara, V.; Vyas, B. Inhalable dry powder containing lipid polymer hybrid nanoparticles of Nintedanib esylate: In vitro and in vivo evaluations. J. Drug Deliv. Sci. Technol. 2023, 86, 104716. [Google Scholar] [CrossRef]
- K Shukla, S.; Nguyen, V.; Goyal, M.; Gupta, V. Cationically modified inhalable nintedanib niosomes: Enhancing therapeutic activity against non-small-cell lung cancer. Nanomedicine 2022, 17, 935–958. [Google Scholar] [CrossRef] [PubMed]
- Wang, X.; Gadhave, D.; Chauhan, G.; Gupta, V. Development and characterization of inhaled nintedanib-loaded PLGA nanoparticles using scalable high-pressure homogenization technique. J. Drug Deliv. Sci. Technol. 2024, 91, 105233. [Google Scholar] [CrossRef]
- Wang, X.; Goyal, M.; Gadhave, D.; Gupta, V. Inhaled nintedanib nanoparticles for enhanced efficacy in idiopathic pulmonary fibrosis (IPF) treatment–Evidence in disease-relevant in-vitro models. J. Drug Deliv. Sci. Technol. 2024, 95, 105615. [Google Scholar] [CrossRef]
- Gebicki, J.; Hicks, M. Ufasomes are stable particles surrounded by unsaturated fatty acid membranes. Nature 1973, 243, 232–234. [Google Scholar] [CrossRef]
- Salama, A.H.; Aburahma, M.H. Ufasomes nano-vesicles-based lyophilized platforms for intranasal delivery of cinnarizine: Preparation, optimization, ex-vivo histopathological safety assessment and mucosal confocal imaging. Pharm. Dev. Technol. 2016, 21, 706–715. [Google Scholar] [CrossRef]
- El-Masry, S.M.; Mazyed, E.A.; El-Morsi, R.M.; Khedr, S.M.; Abdelwahab, A.E.; Helmy, S.A.; Helmy, S.A. Bio-Friendly Oleic Acid-Based Ufasomal Topical Gel of Rosuvastatin for Diabetic Wound Healing: In-Vitro, Ex-Vivo, and In-Vivo Evaluation. J. Drug Deliv. Sci. Technol. 2024, 97, 105789. [Google Scholar] [CrossRef]
- Naik, P.V.; Dixit, S.G. Ufasomes as plausible carriers for horizontal gene transfer. J. Dispers. Sci. Technol. 2008, 29, 804–808. [Google Scholar] [CrossRef]
- Dhillon, V.; Sharma, S.; Jain, S.; Sharma, A.; Arora, S. Formulation characterization and evaluation of new topical 5-FU by drug entrapment in oleic acid vesicles. Am. J. PharmTech Res. 2011, 1, 1–16. [Google Scholar]
- Verma, S.; Bhardwaj, A.; Vij, M.; Bajpai, P.; Goutam, N.; Kumar, L. Oleic acid vesicles: A new approach for topical delivery of antifungal agent. Artif. Cells Nanomed. Biotechnol. 2014, 42, 95–101. [Google Scholar] [CrossRef] [PubMed]
- Elkomy, M.H.; El Menshawe, S.F.; Kharshoum, R.M.; Abdeltwab, A.M.; Hussein, R.R.; Hamad, D.S.; Alsalahat, I.; Aboud, H.M. Innovative pulmonary targeting of terbutaline sulfate-laded novasomes for non-invasive tackling of asthma: Statistical optimization and comparative in vitro/in vivo evaluation. Drug Deliv. 2022, 29, 2058–2071. [Google Scholar] [CrossRef] [PubMed]
- Araujo, J.; Gonzalez-Mira, E.; Egea, M.; Garcia, M.; Souto, E. Optimization and physicochemical characterization of a triamcinolone acetonide-loaded NLC for ocular antiangiogenic applications. Int. J. Pharm. 2010, 393, 168–176. [Google Scholar] [CrossRef]
- Chen, C.-C.; Tsai, T.-H.; Huang, Z.-R.; Fang, J.-Y. Effects of lipophilic emulsifiers on the oral administration of lovastatin from nanostructured lipid carriers: Physicochemical characterization and pharmacokinetics. Eur. J. Pharm. Biopharm. 2010, 74, 474–482. [Google Scholar] [CrossRef]
- Pinilla, C.M.B.; Reque, P.M.; Brandelli, A. Effect of oleic acid, cholesterol, and octadecylamine on membrane stability of freeze-dried liposomes encapsulating natural antimicrobials. Food Bioprocess Technol. 2020, 13, 599–610. [Google Scholar] [CrossRef]
- Mustan, F.; Politova-Brinkova, N.; Vinarov, Z.; Rossetti, D.; Rayment, P.; Tcholakova, S. Interplay between bulk aggregates, surface properties and foam stability of nonionic surfactants. Adv. Colloid Interface Sci. 2022, 302, 102618. [Google Scholar] [CrossRef]
- Eid, H.M.; Naguib, I.A.; Alsantali, R.I.; Alsalahat, I.; Hegazy, A.M. Novel chitosan-coated niosomal formulation for improved management of bacterial conjunctivitis: A highly permeable and efficient ocular nanocarrier for azithromycin. J. Pharm. Sci. 2021, 110, 3027–3036. [Google Scholar] [CrossRef]
- Fang, J.-Y.; Yu, S.-Y.; Wu, P.-C.; Huang, Y.-B.; Tsai, Y.-H. In vitro skin permeation of estradiol from various proniosome formulations. Int. J. Pharm. 2001, 215, 91–99. [Google Scholar] [CrossRef]
- Ali, M.H.; Kirby, D.J.; Mohammed, A.R.; Perrie, Y. Solubilisation of drugs within liposomal bilayers: Alternatives to cholesterol as a membrane stabilising agent. J. Pharm. Pharmacol. 2010, 62, 1646–1655. [Google Scholar] [CrossRef]
- Grimaldi, N.; Andrade, F.; Segovia, N.; Ferrer-Tasies, L.; Sala, S.; Veciana, J.; Ventosa, N. Lipid-based nanovesicles for nanomedicine. Chem. Soc. Rev. 2016, 45, 6520–6545. [Google Scholar] [CrossRef] [PubMed]
- Danaei, M.; Dehghankhold, M.; Ataei, S.; Hasanzadeh Davarani, F.; Javanmard, R.; Dokhani, A.; Khorasani, S.; Mozafari, M. Impact of particle size and polydispersity index on the clinical applications of lipidic nanocarrier systems. Pharmaceutics 2018, 10, 57. [Google Scholar] [CrossRef] [PubMed]
- Abd-Elal, R.M.; Shamma, R.N.; Rashed, H.M.; Bendas, E.R. Trans-nasal zolmitriptan novasomes: In-vitro preparation, optimization and in-vivo evaluation of brain targeting efficiency. Drug Deliv. 2016, 23, 3374–3386. [Google Scholar] [CrossRef] [PubMed]
- Durga, B.; Veera, L. Recent advances of non-ionic surfactant-based nano-vesicles (niosomes and proniosomes): A brief review of these in enhancing transdermal delivery of drug. Future J. Pharm. Sci 2020, 6, 100. [Google Scholar]
- Gabr, M.M.; Mortada, S.M.; Sallam, M.A. Hexagonal liquid crystalline nanodispersions proven superiority for enhanced oral delivery of rosuvastatin: In vitro characterization and in vivo pharmacokinetic study. J. Pharm. Sci. 2017, 106, 3103–3112. [Google Scholar] [CrossRef]
- Bnyan, R.; Khan, I.; Ehtezazi, T.; Saleem, I.; Gordon, S.; O’Neill, F.; Roberts, M. Surfactant effects on lipid-based vesicles properties. J. Pharm. Sci. 2018, 107, 1237–1246. [Google Scholar] [CrossRef]
- Khallaf, R.A.; Aboud, H.M.; Sayed, O.M. Surface modified niosomes of olanzapine for brain targeting via nasal route; preparation, optimization, and in vivo evaluation. J. Liposome Res. 2020, 30, 163–173. [Google Scholar] [CrossRef]
- Ahmed, S.; Amin, M.M.; El-Korany, S.M.; Sayed, S. Corneal targeted fenticonazole nitrate-loaded novasomes for the management of ocular candidiasis: Preparation, in vitro characterization, ex vivo and in vivo assessments. Drug Deliv. 2022, 29, 2428–2441. [Google Scholar] [CrossRef]
- Eid, H.M.; Ali, A.A.; Ali, A.M.A.; Eissa, E.M.; Hassan, R.M.; Abo El-Ela, F.I.; Hassan, A.H. Potential use of tailored citicoline chitosan-coated liposomes for effective wound healing in diabetic rat model. Int. J. Nanomed. 2022, 17, 555–575. [Google Scholar] [CrossRef]
- Abo El-Enin, H.A.; Elkomy, M.H.; Naguib, I.A.; Ahmed, M.F.; Alsaidan, O.A.; Alsalahat, I.; Ghoneim, M.M.; Eid, H.M. Lipid nanocarriers overlaid with chitosan for brain delivery of berberine via the nasal route. Pharmaceuticals 2022, 15, 281. [Google Scholar] [CrossRef]
- Salem, H.F.; Ali, A.A.; Hegazy, A.M.; Sadek, A.-R.A.; Aboud, H.M. Harnessing of doxylamine succinate/pyridoxine hydrochloride-dual laden bilosomes as a novel combinatorial nanoparadigm for intranasal delivery: In vitro optimization and in vivo pharmacokinetic appraisal. J. Pharm. Sci. 2022, 111, 794–809. [Google Scholar] [CrossRef] [PubMed]
- Quast, K. The use of zeta potential to investigate the interaction of oleate on hematite. Miner. Eng. 2016, 85, 130–137. [Google Scholar] [CrossRef]
- Afreen, U.; Shailaja, A. Pharmacosomes and emulsomes: An emerging novel vesicular drug delivery system. Glob. J. Anesth. Pain Med. 2020, 3, 287–297. [Google Scholar]
- Prakash, P.R.; Jayasheela, M.; Prasad, R.R.; Chandini, P.; Praveena, A.; Lakshmi, K.S.; Ramesh, P. Candesertan niosomesformulation and evaluation using Span 60 as non-ionic surafactant. J. Chem. Pharm. Res. 2015, 201, 7. [Google Scholar]
- Kaur, R.; Shaikh, T.B.; Sripadi, H.P.; Kuncha, M.; Sarathi, U.V.; Kulhari, H.; Andugulapati, S.B.; Sistla, R. Nintedanib solid lipid nanoparticles improve oral bioavailability and ameliorate pulmonary fibrosis in vitro and in vivo models. Int. J. Pharm. 2024, 649, 123644. [Google Scholar] [CrossRef]
- Liu, H.; Du, K.; Li, D.; Du, Y.; Xi, J.; Xu, Y.; Shen, Y.; Jiang, T.; Webster, T.J. A high bioavailability and sustained-release nano-delivery system for nintedanib based on electrospray technology. Int. J. Nanomed. 2018, 13, 8379–8393. [Google Scholar] [CrossRef]
- Inoue, K.; Ogawa, K.; Okada, J.i.; Sugibayashi, K. Enhancement of skin permeation of ketotifen by supersaturation generated by amorphous form of the drug. J. Control. Release 2005, 108, 306–318. [Google Scholar] [CrossRef]
- Elkomy, M.H.; Elmowafy, M.; Shalaby, K.; Azmy, A.F.; Ahmad, N.; Zafar, A.; Eid, H.M. Development and machine-learning optimization of mucoadhesive nanostructured lipid carriers loaded with fluconazole for treatment of oral candidiasis. Drug Dev. Ind. Pharm. 2021, 47, 246–258. [Google Scholar] [CrossRef]
- Kuzmov, A.; Minko, T. Nanotechnology approaches for inhalation treatment of lung diseases. J. Control. Release 2015, 219, 500–518. [Google Scholar] [CrossRef]
- Patlolla, R.R.; Chougule, M.; Patel, A.R.; Jackson, T.; Tata, P.N.; Singh, M. Formulation, characterization and pulmonary deposition of nebulized celecoxib encapsulated nanostructured lipid carriers. J. Control. Release 2010, 144, 233–241. [Google Scholar] [CrossRef]
- Aboud, H.M.; Hussein, A.K.; Zayan, A.Z.; Makram, T.S.; Sarhan, M.O.; El-Sharawy, D.M. Tailoring of selenium-plated novasomes for fine-tuning pharmacokinetic and tumor uptake of quercetin: In vitro optimization and in vivo radiobiodistribution assessment in ehrlich tumor-bearing mice. Pharmaceutics 2022, 14, 875. [Google Scholar] [CrossRef] [PubMed]
- El Menshawe, S.F.; Shalaby, K.; Elkomy, M.H.; Aboud, H.M.; Ahmed, Y.M.; Abdelmeged, A.A.; Elkarmalawy, M.; Abou Alazayem, M.A.; El Sisi, A.M. Repurposing celecoxib for colorectal cancer targeting via pH-triggered ultra-elastic nanovesicles: Pronounced efficacy through up-regulation of Wnt/β-catenin pathway in DMH-induced tumorigenesis. Int. J. Pharm. X 2024, 7, 100225. [Google Scholar] [CrossRef] [PubMed]
- Salem, H.F.; Aboud, H.M.; Abdellatif, M.M.; Abou-Taleb, H.A. Nose-to-Brain Targeted Delivery of Donepezil Hydrochloride via Novel Hyaluronic Acid-Doped Nanotransfersomes for Alzheimer’s Disease Mitigation. J. Pharm. Sci. 2024, 113, 1934–1945. [Google Scholar] [CrossRef] [PubMed]
- Zakir, F.; Vaidya, B.; Goyal, A.K.; Malik, B.; Vyas, S.P. Development and characterization of oleic acid vesicles for the topical delivery of fluconazole. Drug Deliv. 2010, 17, 238–248. [Google Scholar] [CrossRef]
- Ahmed, Y.M.; Orfali, R.; Hamad, D.S.; Rateb, M.E.; Farouk, H.O. Sustainable release of propranolol hydrochloride laden with biconjugated-ufasomes chitosan hydrogel attenuates cisplatin-induced sciatic nerve damage in in vitro/in vivo evaluation. Pharmaceutics 2022, 14, 1536. [Google Scholar] [CrossRef]
- Arafa, W.M.; Elkomy, M.H.; Aboud, H.M.; Ali, M.I.; Abdel Gawad, S.S.; Aboelhadid, S.M.; Mahdi, E.A.; Alsalahat, I.; Abdel-Tawab, H. Tunable polymeric mixed micellar nanoassemblies of lutrol F127/Gelucire 44/14 for oral delivery of praziquantel: A promising nanovector against hymenolepis nana in experimentally-infected rats. Pharmaceutics 2022, 14, 2023. [Google Scholar] [CrossRef]
- Elkomy, M.H.; Khallaf, R.A.; Mahmoud, M.O.; Hussein, R.R.; El-Kalaawy, A.M.; Abdel-Razik, A.-R.H.; Aboud, H.M. Intratracheally inhalable nifedipine-loaded chitosan-PLGA nanocomposites as a promising nanoplatform for lung targeting: Snowballed protection via regulation of TGF-β/β-catenin pathway in bleomycin-induced pulmonary fibrosis. Pharmaceuticals 2021, 14, 1225. [Google Scholar] [CrossRef]
- Ali, A.A.; Hassan, A.H.; Eissa, E.M.; Aboud, H.M. Response surface optimization of ultra-elastic nanovesicles loaded with deflazacort tailored for transdermal delivery: Accentuated bioavailability and anti-inflammatory efficacy. Int. J. Nanomed. 2021, 16, 591–607. [Google Scholar] [CrossRef]
- Mahmoud, M.O.; Aboud, H.M.; Hassan, A.H.; Ali, A.A.; Johnston, T.P. Transdermal delivery of atorvastatin calcium from novel nanovesicular systems using polyethylene glycol fatty acid esters: Ameliorated effect without liver toxicity in poloxamer 407-induced hyperlipidemic rats. J. Control. Release 2017, 254, 10–22. [Google Scholar] [CrossRef]
- Nahar, K.; Gupta, N.; Gauvin, R.; Absar, S.; Patel, B.; Gupta, V.; Khademhosseini, A.; Ahsan, F. In vitro, in vivo and ex vivo models for studying particle deposition and drug absorption of inhaled pharmaceuticals. Eur. J. Pharm. Sci. 2013, 49, 805–818. [Google Scholar] [CrossRef]
- Mohammed, H.; Roberts, D.L.; Copley, M.; Hammond, M.; Nichols, S.C.; Mitchell, J.P. Effect of sampling volume on dry powder inhaler (DPI)-emitted aerosol aerodynamic particle size distributions (APSDs) measured by the Next-Generation Pharmaceutical Impactor (NGI) and the Andersen eight-stage cascade impactor (ACI). Aaps Pharmscitech 2012, 13, 875–882. [Google Scholar] [CrossRef] [PubMed]
- Salem, H.F.; Kharshoum, R.M.; Abdel Hakim, L.F.; Abdelrahim, M.E. Edge activators and a polycationic polymer enhance the formulation of porous voriconazole nanoagglomerate for the use as a dry powder inhaler. J. Liposome Res. 2016, 26, 324–335. [Google Scholar] [CrossRef] [PubMed]
- Hassan, A.; Rabea, H.; Hussein, R.R.; Salah Eldin, R.; Abdelrahman, M.M.; Said, A.S.; Salem, H.F.; Abdelrahim, M.E. In-vitro characterization of the aerosolized dose during non-invasive automatic continuous positive airway pressure ventilation. Pulm. Ther. 2016, 2, 115–126. [Google Scholar] [CrossRef]
- Xu, D.; Zhang, Y.; Dai, J.; Bai, Y.; Xiao, Y.; Zhou, M.-t. A fast, sensitive, and high throughput method for the determination of nintedanib in mouse plasma by UPLC-MS/MS. Anal. Methods 2015, 7, 6561–6565. [Google Scholar] [CrossRef]
- Bivas-Benita, M.; Zwier, R.; Junginger, H.E.; Borchard, G. Non-invasive pulmonary aerosol delivery in mice by the endotracheal route. Eur. J. Pharm. Biopharm. 2005, 61, 214–218. [Google Scholar] [CrossRef]
- Bancroft, J.D.; Gamble, M. Theory and Practice of Histological Techniques; Elsevier Health Sciences: Amsterdam, The Netherlands, 2008. [Google Scholar]
- Kala, S.G.; Chinni, S. Bioavailability enhancement of vitamin E TPGS liposomes of nintedanib esylate: Formulation optimization, cytotoxicity and pharmacokinetic studies. Drug Deliv. Transl. Res. 2022, 12, 2856–2864. [Google Scholar] [CrossRef]
- Aboud, H.M.; Mahmoud, M.O.; Abdeltawab Mohammed, M.; Shafiq Awad, M.; Sabry, D. Preparation and appraisal of self-assembled valsartan-loaded amalgamated Pluronic F127/Tween 80 polymeric micelles: Boosted cardioprotection via regulation of Mhrt/Nrf2 and Trx1 pathways in cisplatin-induced cardiotoxicity. J. Drug Target. 2020, 28, 282–299. [Google Scholar] [CrossRef]









| Run | Independent Factors | Dependent Responses | PDI $ | |||||
|---|---|---|---|---|---|---|---|---|
| X1 (mg) | X2 (mg) | X3 (mg) | VS (Y1, nm) | EE (Y2, %) | ZP (Y3, mV) | CR (Y4, %) | ||
| R1 | 32.5 | 50 | 60 | 442.86 ± 6.30 | 65.13 ± 2.32 | −35.44 ± 2.96 | 47.93 ± 2.48 | 0.382 ± 0.100 |
| R2 | 50 | 50 | 40 | 547.73 ± 5.12 | 79.42 ± 3.32 | −41.73 ± 2.63 | 36.03 ± 2.67 | 0.461 ± 0.056 |
| R3 * | 32.5 | 100 | 40 | 395.20 ± 4.95 | 68.53 ± 2.87 | −36.19 ± 1.76 | 50.26 ± 2.18 | 0.300 ± 0.095 |
| R4 | 15 | 100 | 20 | 269.83 ± 5.48 | 41.04 ± 2.43 | −36.43 ± 2.64 | 84.79 ± 2.17 | 0.254 ± 0.024 |
| R5 | 15 | 100 | 60 | 362.60 ± 4.15 | 50.73 ± 2.55 | −31.14 ± 2.18 | 65.59 ± 3.39 | 0.214 ± 0.010 |
| R6 * | 32.5 | 100 | 40 | 400.23 ± 6.27 | 69.34 ± 2.57 | −36.96 ± 2.38 | 51.36 ± 2.18 | 0.211 ± 0.057 |
| R7 | 32.5 | 150 | 60 | 470.93 ± 4.95 | 77.59 ± 3.64 | −31.92 ± 1.57 | 44.12 ± 2.86 | 0.281 ± 0.050 |
| R8 | 32.5 | 150 | 20 | 392.03 ± 3.08 | 73.63 ± 4.31 | −37.73 ± 1.49 | 55.67 ± 2.20 | 0.391 ± 0.012 |
| R9 | 32.5 | 50 | 20 | 381.20 ± 3.75 | 57.35 ± 2.16 | −39.54 ± 2.26 | 61.57 ± 3.13 | 0.215 ± 0.006 |
| R10 * | 32.5 | 100 | 40 | 410.80 ± 4.36 | 70.64 ± 3.71 | −36.51 ± 3.25 | 53.83 ± 3.72 | 0.339 ± 0.018 |
| R11 | 15 | 50 | 40 | 296.70 ± 5.89 | 36.89 ± 2.18 | −34.83 ± 3.18 | 76.37 ± 2.60 | 0.270 ± 0.091 |
| R12 | 50 | 100 | 60 | 579.03 ± 5.25 | 86.81 ± 3.46 | −38.32 ± 2.18 | 28.90 ± 2.36 | 0.340 ± 0.024 |
| R13 | 50 | 100 | 20 | 521.17 ± 4.47 | 80.72 ± 2.38 | −43.27 ± 3.43 | 40.40 ± 3.52 | 0.335 ± 0.001 |
| R14 | 50 | 150 | 40 | 572.13 ± 5.42 | 92.83 ± 4.38 | −40.46 ± 4.29 | 32.08 ± 2.87 | 0.391 ± 0.024 |
| R15 | 15 | 150 | 40 | 349.43 ± 2.35 | 54.38 ± 2.14 | −33.28 ± 3.86 | 71.80 ± 2.46 | 0.271 ± 0.044 |
| Source | VS (Y1) | EE (Y2) | ZP (Y3) | CR (Y4) | ||||
|---|---|---|---|---|---|---|---|---|
| F | p | F | p | F | p | F | p | |
| Model | 406.92 | <0.0001 | 140.51 | <0.0001 | 9.45 | <0.0001 | 165.67 | <0.0001 |
| X1: Oleic acid concentration | 3216.9 | <0.0001 | 1057.50 | <0.0001 | 50.48 | <0.0001 | 1302.04 | <0.0001 |
| X2: Span 60 concentration | 50.20 | <0.0001 | 153.15 | <0.0001 | 4.32 | 0.0451 | 16.67 | 0.0002 |
| X3: Cholesterol concentration | 289.67 | <0.0001 | 32.61 | <0.0001 | 27.33 | <0.0001 | 156.61 | <0.0001 |
| Lack of Fit | 2.53 | 0.0748 | 0.6747 | 0.5739 | 0.1636 | 0.9201 | 0.5253 | 0.6681 |
| Model | Reduced Quadratic | Reduced Quadratic | Reduced Quadratic | Reduced Quadratic | ||||
| R2 | 0.9905 | 0.9731 | 0.7084 | 0.9771 | ||||
| Adjusted R2 | 0.9881 | 0.9661 | 0.6335 | 0.9712 | ||||
| Standard deviation | 10.03 | 2.95 | 2.44 | 2.73 | ||||
| %CV | 2.35 | 4.41 | 6.60 | 5.12 | ||||
| Adequate precision | 63.8587 | 38.8797 | 10.6806 | 42.087 | ||||
| Predicted R2 | 0.9842 | 0.9550 | 0.5099 | 0.9712 | ||||
| X1: OA Concentration (mg) | X2: Span 60 Concentration (mg) | X3: Cholesterol Concentration (mg) | ||||
|---|---|---|---|---|---|---|
| Optimum values | 28.308 | 129.282 | 20 | |||
| VS (nm) | EE% | ZP (mV) | CR (%) | |||
| Predicted | 356.06 | 64.95 | −37.67 | 63.18 | ||
| Actual | 364.62 | 62.51 | −36.07 | 65.57 | ||
| Prediction error (%) £ | 2.35 | −3.90 | −4.44 | 3.64 | ||
| Aerodynamic Parameter | Value |
|---|---|
| TED (µg) | 322.26 ± 7.51 |
| TED as percentage of nominal dose (%) | 80.57 ± 1.88 |
| FPD (µg) | 269.44 ± 11.64 |
| FPF (%) | 83.61 ± 2.37 |
| MMAD (µm) | 3.09 ± 0.23 |
| Pharmacokinetic Parameter | Formulation | ||
|---|---|---|---|
| Oral NTD Suspension | Intratracheal NTD Suspension | Intratracheal NTD-UFSs Suspension | |
| Cmax (ng/mL) | 420.27 ± 66.87 | 792.42 ± 55.57 a | 1150.61 ± 67.88 a,b |
| Tmax (h) | 3.00 ± 0.00 | 1.00 ± 0.00 a | 4.00 ± 0.00 a,b |
| Ke (1/h) | 0.1433 ± 0.0105 | 0.1506 ± 0.0119 | 0.0882 ± 0.0014 a,b |
| T1/2 (h) | 4.84 ± 0.36 | 4.60 ± 0.35 | 7.86 ± 0.12 a,b |
| AUC0–∞ (ng h/mL) | 2690.06 ± 388.77 | 4307.82 ± 159.76 a | 15221.19 ± 383.44 a,b |
| AUC0–24 (ng h/mL) | 2565.36 ± 410.07 | 4135.11 ± 128.83 a | 12999.99 ± 1357.57 a,b |
| MRT (h) | 7.21 ± 0.44 | 6.55 ± 0.68 | 12.83 ± 0.16 a,b |
| Frel | --------- | 160.14 | 565.83 b |
| Variable | Design Level | ||
|---|---|---|---|
| Low (−1) | Medium (0) | High (+1) | |
| Independent factors | |||
| X1: OA concentration (mg) | 15 | 32.5 | 50 |
| X2: Span 60 concentration (mg) | 50 | 100 | 150 |
| X3: Cholesterol concentration (mg) | 20 | 40 | 60 |
| Dependent factors | Constraints | ||
| Y1: VS (nm) | Minimize | ||
| Y2: EE% | Maximize | ||
| Y3: ZP (mV) | Maximize (absolute value) | ||
| Y4: CR (%) | Maximize | ||
Disclaimer/Publisher’s Note: The statements, opinions and data contained in all publications are solely those of the individual author(s) and contributor(s) and not of MDPI and/or the editor(s). MDPI and/or the editor(s) disclaim responsibility for any injury to people or property resulting from any ideas, methods, instructions or products referred to in the content. |
© 2024 by the authors. Licensee MDPI, Basel, Switzerland. This article is an open access article distributed under the terms and conditions of the Creative Commons Attribution (CC BY) license (https://creativecommons.org/licenses/by/4.0/).
Share and Cite
Aboud, H.M.; Ali, A.A.; Mohammed, N.H.; Hassan, A.H.E.; Roh, E.J.; El Menshawe, S.F. Investigating the Potential of Ufasomes Laden with Nintedanib as an Optimized Targeted Lung Nanoparadigm for Accentuated Tackling of Idiopathic Pulmonary Fibrosis. Pharmaceuticals 2024, 17, 1605. https://doi.org/10.3390/ph17121605
Aboud HM, Ali AA, Mohammed NH, Hassan AHE, Roh EJ, El Menshawe SF. Investigating the Potential of Ufasomes Laden with Nintedanib as an Optimized Targeted Lung Nanoparadigm for Accentuated Tackling of Idiopathic Pulmonary Fibrosis. Pharmaceuticals. 2024; 17(12):1605. https://doi.org/10.3390/ph17121605
Chicago/Turabian StyleAboud, Heba M., Adel A. Ali, Nada H. Mohammed, Ahmed H. E. Hassan, Eun Joo Roh, and Shahira F. El Menshawe. 2024. "Investigating the Potential of Ufasomes Laden with Nintedanib as an Optimized Targeted Lung Nanoparadigm for Accentuated Tackling of Idiopathic Pulmonary Fibrosis" Pharmaceuticals 17, no. 12: 1605. https://doi.org/10.3390/ph17121605
APA StyleAboud, H. M., Ali, A. A., Mohammed, N. H., Hassan, A. H. E., Roh, E. J., & El Menshawe, S. F. (2024). Investigating the Potential of Ufasomes Laden with Nintedanib as an Optimized Targeted Lung Nanoparadigm for Accentuated Tackling of Idiopathic Pulmonary Fibrosis. Pharmaceuticals, 17(12), 1605. https://doi.org/10.3390/ph17121605

