Fabrication of an In Situ pH-Responsive Raloxifene-Loaded Invasome Hydrogel for Breast Cancer Management: In Vitro and In Vivo Evaluation
Abstract
1. Introduction
2. Results and Discussion
2.1. Preliminary Study
2.2. Characterization and Optimization of RLI Formulation
2.2.1. Design Expert Software
2.2.2. Vesicle Size
2.2.3. Entrapment Efficiency
2.2.4. Optimization of RLI Formulation
2.3. Characterization of Optimum RLI Formulation
2.3.1. Size Distribution and Zeta Potential
2.3.2. Morphology Evaluation
2.3.3. Crystallinity Evaluation
2.4. Preparation and Characterization of Optimum IPHRLI Formulation
2.4.1. Preparation of IPHRLI Formulation
2.4.2. pH Evaluation
2.4.3. Gelation Studies
2.4.4. Viscosity Study
2.4.5. In Vitro Release Kinetics Study
2.4.6. Stability Study
2.5. In Vivo Evaluation of IPHRLI Formulation
2.5.1. Bioavailability Study
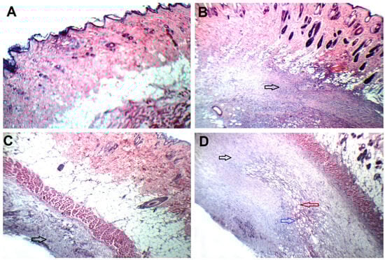
2.5.2. Antitumor Activity Study
2.5.3. Targeting Studies
2.5.4. Toxicity Studies
3. Materials and Methods
3.1. Materials
3.2. Optimization of RLF-Loaded Invasomes (RLIs)
3.3. Preparation and Characterization of RLI Formulation
3.3.1. Preparation of RLI Formulation
3.3.2. Vesicle Size (VS)
3.3.3. Analysis of Entrapment Efficiency (EE)
3.3.4. Optimization of RLI Formulation
3.4. Characterization of Optimum RLI Formulation
3.4.1. Size Distribution and Zeta Potential
3.4.2. Transmission Electron Microscopy (TEM)
3.4.3. Differential Scanning Calorimetry (DSC)
3.5. Preparation and Characterization of Optimum IPHRLI Formulation
3.5.1. Preparation of IPHRLI Formulation
3.5.2. pH Evaluation
3.5.3. Gelation Studies
3.5.4. Rheological Study
3.5.5. In Vitro Release Kinetics Study
3.5.6. Stability Study
3.6. In Vivo Evaluation of IPHRLI Formulation
3.6.1. Procedure
3.6.2. Cancer Induction and Management
3.6.3. Bioavailability Studies
3.6.4. Anti-Tumor Activity Measurement
3.6.5. Histopathology Study
3.6.6. Targeting Study
3.6.7. Toxicity Studies
3.7. Statistical Analysis
4. Conclusions
Author Contributions
Funding
Institutional Review Board Statement
Informed Consent Statement
Data Availability Statement
Acknowledgments
Conflicts of Interest
References
- Prados, J.; Melguizo, C.; Ortiz, R.; Velez, C.; Alvarez, P.J.; Arias, J.L.; Ruiz, M.A.; Gallardo, V.; Aranega, A. Doxorubicin-loaded nanoparticles: New advances in breast cancer therapy. Anti-Cancer Agents Med. Chem. 2012, 12, 1058–1070. [Google Scholar] [CrossRef] [PubMed]
- Shafei, A.; El-Bakly, W.; Sobhy, A.; Wagdy, O.; Reda, A.; Aboelenin, O.; Marzouk, A.; El Habak, K.; Mostafa, R.; Ali, M.A.; et al. A review on the efficacy and toxicity of different doxorubicin nanoparticles for targeted therapy in metastatic breast cancer. Biomed. Pharmacother. 2017, 95, 1209–1218. [Google Scholar] [CrossRef] [PubMed]
- Lei, S.; Zheng, R.; Zhang, S.; Wang, S.; Chen, R.; Sun, K.; Zeng, H.; Zhou, J.; Wei, W. Global patterns of breast cancer incidence and mortality: A population-based cancer registry data analysis from 2000 to 2020. Cancer Commun. 2021, 41, 1183–1194. [Google Scholar] [CrossRef] [PubMed]
- Zahedi, R.; Vardanjani, H.M.; Baneshi, M.R.; Haghdoost, A.A.; Afshar, R.M.; Sarabi, R.E.; Tavakoli, F.; Zolala, F. Incidence trend of breast Cancer in women of eastern Mediterranean region countries from 1998 to 2019: A systematic review and meta-analysis. BMC Women’s Health 2020, 20, 1–10. [Google Scholar] [CrossRef] [PubMed]
- Tufail, M.; Cui, J.; Wu, C. Breast cancer: Molecular mechanisms of underlying resistance and therapeutic approaches. Am. J. Cancer Res. 2022, 12, 2920–2949. [Google Scholar]
- Gil, E.M.C. Targeting the PI3K/AKT/mTOR pathway in estrogen receptor-positive breast cancer. Cancer Treat. Rev. 2014, 40, 862–871. [Google Scholar] [CrossRef]
- Pritchard, K. Endocrine therapy: Is the first generation of targeted drugs the last? J. Intern. Med. 2013, 274, 144–152. [Google Scholar] [CrossRef]
- Mahmood, S.; Taher, M.; Mandal, U.K. Experimental design and optimization of raloxifene hydrochloride loaded na-notransfersomes for transdermal application. Int. J. Nanomed. 2014, 9, 4331. [Google Scholar]
- Smita, N.; Sanidhya, S.; Bhaskar, V. Formulation and evaluation of Raloxifene hydrochloride tablets with improved dis-solution profile. Int. J. Adv. Pharm. 2016, 5, 127–139. [Google Scholar]
- Mohammadi, Z.; Samadi, F.Y.; Rahmani, S.; Mohammadi, Z. Chitosan-Raloxifene nanoparticle containing doxorubicin as a new double-effect targeting vehicle for breast cancer therapy. DARU J. Pharm. Sci. 2020, 28, 433–442. [Google Scholar] [CrossRef]
- Vora, D.; Dandekar, A.; Bhattaccharjee, S.; Singh, O.N.; Agrahari, V.; Peet, M.M.; Doncel, G.F.; Banga, A.K. Formulation Development for Transdermal Delivery of Raloxifene, a Chemoprophylactic Agent against Breast Cancer. Pharmaceutics 2022, 14, 680. [Google Scholar] [CrossRef] [PubMed]
- Waheed, A.; Aqil, M.; Ahad, A.; Imam, S.S.; Moolakkadath, T.; Iqbal, Z.; Ali, A. Improved bioavailability of raloxifene hydrochloride using limonene containing transdermal nano-sized vesicles. J. Drug Deliv. Sci. Technol. 2019, 52, 468–476. [Google Scholar] [CrossRef]
- Soni, N.K.; Sonali, L.; Singh, A.; Mangla, B.; Neupane, Y.R.; Kohli, K. Nanostructured lipid carrier potentiated oral delivery of raloxifene for breast cancer treatment. Nanotechnology 2020, 31, 475101. [Google Scholar] [CrossRef] [PubMed]
- Le, U.M.; Shaker, D.S.; Sloat, B.R.; Cui, Z. A thermo-sensitive polymeric gel containing a gadolinium (Gd) compound encapsulated into liposomes significantly extended the retention of the Gd in tumors. Drug Dev. Ind. Pharm. 2008, 34, 413–418. [Google Scholar] [CrossRef]
- Shaker, D.S.; MAShaker, M.S. Hanafy, Cellular uptake, cytotoxicity and in-vivo evaluation of Tamoxifen citrate loaded nio-somes. Int. J. Pharm. 2015, 493, 285–294. [Google Scholar] [CrossRef]
- Shaker, D.S.; Shaker, M.A.; Klingner, A.; Hanafy, M.S. In situ thermosensitive Tamoxifen citrate loaded hydrogels: An effective tool in breast cancer loco-regional therapy. J. Drug Deliv. Sci. Technol. 2016, 35, 155–164. [Google Scholar] [CrossRef]
- Salem, H.F.; Kharshoum, R.M.; Abo El-Ela, F.I.; Abdellatif, K.R. Evaluation and optimization of pH-responsive niosomes as a carrier for efficient treatment of breast cancer. Drug Deliv. Transl. Res. 2018, 8, 633–644. [Google Scholar] [CrossRef]
- Salem, H.F.; Kharshoum, R.M.; Gamal, F.A.; Abo El-Ela, F.I.; Abdellatif, K.R. Treatment of breast cancer with engineered novel pH-sensitive triaryl-(Z)-olefin niosomes containing hy-drogel: An in vitro and in vivo study. J. Liposome Res. 2020, 30, 126–135. [Google Scholar] [CrossRef]
- Kushwaha, S.K.S.; Rai, A.K.; Singh, S. Formulation and evaluation of pH sensitive hydrogel of camptothecin with en-hanced solubility by using β-cyclodextrin. J. Pharm. Investig. 2014, 44, 265–272. [Google Scholar] [CrossRef]
- Kushwaha, S.K.S.; Kumar, P.; Rai, A.K. Formulation and Evaluation of pH Sensitive Sustained Release Hydrogel of Methotrexate. Clin. Cancer Drugs 2018, 5, 105–112. [Google Scholar] [CrossRef]
- Zhang, J.; Fu, M.; Zhang, M.; Xu, L.; Gao, Y. Synthesis of oxidized glycerol monooleate-chitosan polymer and its hydrogel formation for sustained release of trimetazidine hydrochloride. Int. J. Pharm. 2014, 465, 32–41. [Google Scholar] [CrossRef] [PubMed]
- Lakshmi, P.; Kalpana, B.; Prasanthi, D. Invasomes-novel vesicular carriers for enhanced skin permeation. Syst. Rev. Pharm. 2013, 4, 26. [Google Scholar] [CrossRef]
- Jain, S.; Tripathi, S.; Tripathi, P.K. Invasomes: Potential vesicular systems for transdermal delivery of drug molecules. J. Drug Deliv. Sci. Technol. 2021, 61, 102166. [Google Scholar] [CrossRef]
- Ahmed, O.A.; Badr-Eldin, S.M. Development of an optimized avanafil-loaded invasomal transdermal film: Ex vivo skin permeation and in vivo evaluation. Int. J. Pharm. 2019, 570, 118657. [Google Scholar] [CrossRef]
- El-Tokhy, F.S.E.; Abdel-Mottaleb, M.M.; El-Ghany, E.A.; Geneidi, A.S. Design of long acting invasomal nanovesicles for improved transdermal permeation and bioavailability of asenapine maleate for the chronic treatment of schizophrenia. Int. J. Pharm. 2021, 608, 121080. [Google Scholar] [CrossRef]
- Abdulbaqi, I.M.; Darwis, Y.; Khan, N.A.K.; Assi, R.A.; Khan, A.A. Ethosomal nanocarriers: The impact of constituents and formulation techniques on ethosomal properties, in vivo studies, and clinical trials. Int. J. Nanomed. 2016, 11, 2279–2304. [Google Scholar] [CrossRef]
- Salem, H.F.; Gamal, A.; Saeed, H.; Tulbah, A.S. The impact of improving dermal permeation on the efficacy and targeting of liposome nanoparticles as a potential treatment for breast cancer. Pharmaceutics 2021, 13, 1633. [Google Scholar] [CrossRef] [PubMed]
- Salem, H.F.; Gamal, A.; Saeed, H.; Kamal, M.; Tulbah, A.S. Enhancing the bioavailability and efficacy of vismodegib for the control of skin cancer: In vitro and in vivo studies. Pharmaceuticals 2022, 15, 126. [Google Scholar] [CrossRef]
- Dragicevic, N.; Verma, D.D.; Fahr, A. Invasomes: Vesicles for enhanced skin delivery of drugs. In Percutaneous Penetration Enhancers Chemical Methods in Penetration Enhancement: Nanocarriers; Springer: Berlin/Heidelberg, Germany, 2016; pp. 77–92. [Google Scholar]
- Awan, Z.A.; AlGhamdi, S.A.; Alhakamy, N.A.; Okbazghi, S.Z.; Alfaleh, M.A.; Badr-Eldin, S.M.; Aldawsari, H.M.; Abourehab, M.A.S.; Asfour, H.Z.; Zakai, S.A.; et al. Optimized 2-methoxyestradiol invasomes fortified with apamin: A promising approach for suppression of A549 lung cancer cells. Drug Deliv. 2022, 29, 1536–1548. [Google Scholar] [CrossRef] [PubMed]
- Gamal, A.; Aboelhadid, S.M.; El-Ela, F.I.A.; Abdel-Baki, A.-A.S.; Ibrahium, S.M.; El-Mallah, A.M.; Al-Quraishy, S.; Hassan, A.O.; Gadelhaq, S.M. Synthesis of carvacrol-loaded invasomes nanoparticles improved acaricide efficacy, cuticle invasion and inhibition of acetylcholinestrase against hard ticks. Microorganisms 2023, 11, 733. [Google Scholar] [CrossRef]
- Nangare, S.; Dugam, S. Smart invasome synthesis, characterizations, pharmaceutical applications, and pharmacokinetic perspective: A review. Future J. Pharm. Sci. 2020, 6, 1–21. [Google Scholar] [CrossRef]
- Kamran, M.; Ahad, A.; Aqil, M.; Imam, S.S.; Sultana, Y.; Ali, A. Design, formulation and optimization of novel soft nano-carriers for transdermal olmesartan medoxomil delivery: In vitro characterization and in vivo pharmacokinetic assessment. Int. J. Pharm. 2016, 505, 147–158. [Google Scholar] [CrossRef] [PubMed]
- Teaima, M.H.; Eltabeeb, M.A.; El-Nabarawi, M.A.; Abdellatif, M.M. Utilization of propranolol hydrochloride mucoadhesive invasomes as a locally acting contraceptive: In-vitro, ex-vivo, and in-vivo evaluation. Drug Deliv. 2022, 29, 2549–2560. [Google Scholar] [CrossRef] [PubMed]
- Abou-Taleb, H.A.; Zaki, R.M.; Hefny, A.A.; Afzal, O.; Shahataa, M.G.; El-Ela, F.I.A.; Salem, H.F.; Fouad, A.G. In vitro and in vivo evaluation of isoxsuprine loaded invasomes for efficient treatment of diabetes-accelerated atherosclerosis. J. Drug Deliv. Sci. Technol. 2024, 96, 105686. [Google Scholar] [CrossRef]
- Prasanthi, D.; Lakshmi, P.K. Iontophoretic transdermal delivery of finasteride in vesicular invasomal carriers. Pharm. Nanotechnol. 2013, 1, 136–150. [Google Scholar] [CrossRef]
- Patel, H.K.; Shah, C.V.; Shah, V.H.; Upadhyay, U.M. Design, development and in vitro evaluation OF controlled release gel for topical delivery of quetiapine using box-behnken design. Int. J. Pharm. Sci. Res. 2012, 3, 3384. [Google Scholar]
- Gamal, A.; Saeed, H.; El-Ela, F.I.A.; Salem, H.F. Improving the antitumor activity and bioavailability of sonidegib for the treatment of skin cancer. Pharmaceutics 2021, 13, 1560. [Google Scholar] [CrossRef]
- Tavano, L. Liposomal gels in enhancing skin delivery of drugs. In Percutaneous Penetration Enhancers Chemical Methods in Penetration Enhancement: Drug Manipulation Strategies and Vehicle Effects; Springer: Berlin/Heidelberg, Germany, 2015; pp. 329–341. [Google Scholar]
- Madan, S.; Nehate, C.; Barman, T.K.; Rathore, A.S.; Koul, V. Design, preparation, and evaluation of liposomal gel formulations for treatment of acne: In vitro and in vivo studies. Drug Dev. Ind. Pharm. 2019, 45, 395–404. [Google Scholar] [CrossRef]
- Pires, P.C.; Rodrigues, M.; Alves, G.; Santos, A.O. Strategies to improve drug strength in nasal preparations for brain delivery of low aqueous solubility drugs. Pharmaceutics 2022, 14, 588. [Google Scholar] [CrossRef]
- Ganguly, S.; Dash, A.K. A novel in situ gel for sustained drug delivery and targeting. Int. J. Pharm. 2004, 276, 83–92. [Google Scholar] [CrossRef]
- Hossain, M.A.; Alam, S.; Paul, P. Development and evaluation of sustained release matrix tablets of indapamide using Methocel K15M CR. J. Appl. Pharm. Sci. 2013, 3, 85–90. [Google Scholar]
- Prusty, A.; Gupta, B.K.; Mishra, A. Formulation and in vivo evaluation of pharmacokinetics parameters of extended release matrix tablet containing drug benidipine hydrochloride by using PK solver software. Res. J. Pharm. Technol. 2022, 15, 4924–4930. [Google Scholar] [CrossRef]
- Benival, D.M.; Devarajan, P.V. Lipomer of doxorubicin hydrochloride for enhanced oral bioavailability. Int. J. Pharm. 2012, 423, 554–561. [Google Scholar] [CrossRef] [PubMed]
- Kalaria, D.R.; Sharma, G.; Beniwal, V.; Kumar, M.N.V.R. Design of biodegradable nanoparticles for oral delivery of doxorubicin: In vivo pharmacokinetics and toxicity studies in rats. Pharm. Res. 2009, 26, 492–501. [Google Scholar] [CrossRef] [PubMed]
- Dias, M.F.; de Figueiredo, B.C.P.; Teixeira-Neto, J.; Guerra, M.C.A.; Fialho, S.L.; Cunha, A.S. In vivo evaluation of antitumoral and antiangiogenic effect of imiquimod-loaded polymeric nanoparticles. Biomed. Pharmacother. 2018, 103, 1107–1114. [Google Scholar] [CrossRef]
- Karimi, B.; Ashrafi, M.; Shomali, T.; Yektaseresht, A. Therapeutic effect of simvastatin on DMBA-induced breast cancer in mice. Fundam. Clin. Pharmacol. 2019, 33, 84–93. [Google Scholar] [CrossRef]
- Patro, N.M.; Devi, K.; Pai, R.S.; Suresh, S. Evaluation of bioavailability, efficacy, and safety profile of doxorubicin-loaded solid lipid nanoparticles. J. Nanopart. Res. 2013, 15, 1–18. [Google Scholar] [CrossRef]
- Ahad, A.; Aqil, M.; Kohli, K.; Sultana, Y.; Mujeeb, M.; Ali, A. Formulation and optimization of nanotransfersomes using experimental design technique for accentuated transdermal delivery of valsartan. Nanomed. Nanotechnol. Biol. Med. 2012, 8, 237–249. [Google Scholar] [CrossRef]
- Abou-Taleb, H.A.; Aldosari, B.N.; Zaki, R.M.; Afzal, O.; Tulbah, A.S.; Shahataa, M.G.; El-Ela, F.I.A.; Salem, H.F.; Fouad, A.G. Formulation and therapeutic evaluation of isoxsuprine-loaded nanoparticles against diabetes-associated stroke. Pharmaceutics 2023, 15, 2242. [Google Scholar] [CrossRef]
- El-Ela, F.I.A.; Gamal, A.; Elbanna, H.A.; ElBanna, A.H.; Salem, H.F.; Tulbah, A.S. In vitro and in vivo evaluation of the effectiveness and safety of amygdalin as a cancer therapy. Pharmaceuticals 2022, 15, 1306. [Google Scholar] [CrossRef]
- Fouad, A.G.; Ali, M.R.; Naguib, D.M.; Farouk, H.O.; Zanaty, M.I.; El-Ela FI, A. Design, optimization, and in vivo evaluation of invasome-mediated candesartan for the control of diabetes-associated atherosclerosis. Drug Deliv. Transl. Res. 2024, 14, 474–490. [Google Scholar] [CrossRef] [PubMed]
- Abdelwahd, A.; Rasool, B.K.A. Optimizing and evaluating the transdermal permeation of hydrocortisone transfersomes formulation based on digital analysis of the in vitro drug release and ex vivo studies. Recent Adv. Drug Deliv. Formul. 2022, 16, 122–144. [Google Scholar] [CrossRef] [PubMed]
- Ruiz, S.M.A.; Bernad, M.J.J.B.; Arellano, R.L.; Torres, R.D.; Chacón, S.D.C.C.; Estrada, D.V. In Vitro and In Vivo Profiles and Characterization of Insulin Nanocarriers Based in Flexible LIPOSOMES designed for Oral Administration. Lett. Drug Des. Discov. 2019, 16, 948–960. [Google Scholar] [CrossRef]
- Trontelj, J.; Vovk, T.; Bogataj, M.; Mrhar, A. HPLC analysis of raloxifene hydrochloride and its application to drug quality control studies. Pharmacol. Res. 2005, 52, 334–339. [Google Scholar] [CrossRef]







| Variables | Levels | ||||
|---|---|---|---|---|---|
| −1 | 0 | +1 | |||
| Independent variables X1: phospholipid concentration (% w/v) | 1 | 3 | 5 | ||
| X2: ethanol concentration (% v/v) | 1 | 3 | 5 | ||
| X3: cineole concentration (% v/v) | 0.5 | 1 | 1.5 | ||
| Dependent variables | |||||
| Y1: vesicle size (nm) | |||||
| Y2: entrapment efficiency (%) | |||||
| Formulations | Independent Variables | Dependent Variables (n = 3) | |||||
|---|---|---|---|---|---|---|---|
| Observed Value | Predicted Value | ||||||
| X1 (%) | X2 (%) | X3 (%) | VS (nm ± SD) | EE (% ± SD) | VS (nm ± SD) | EE (% ± SD) | |
| F1 | 5 | 3 | 0.5 | 347 ± 2.00 | 84.51 ± 0.52 | 346.8 | 84.53 |
| F2 | 5 | 1 | 1 | 395.1 ± 4.86 | 87.00 ± 0.56 | 395.5 | 86.98 |
| F3 | 3 | 3 | 1 | 288.4 ± 4.69 | 74.80 ± 0.36 | 288.7 | 74.92 |
| F4 | 3 | 5 | 1.5 | 240.8 ± 4.99 | 65.50 ± 0.55 | 241.0 | 65.51 |
| F5 | 1 | 3 | 1.5 | 217.3 ± 1.63 | 65.57 ± 0.41 | 217.4 | 65.54 |
| F6 | 3 | 3 | 1 | 289.3 ± 4.18 | 75.03 ± 0.45 | 288.7 | 74.92 |
| F7 | 1 | 1 | 1 | 260.7 ± 4.04 | 71.00 ± 0.56 | 261.2 | 71.00 |
| F8 | 5 | 5 | 1 | 315.7 ± 4.94 | 75.00 ± 0.50 | 315.2 | 75.00 |
| F9 | 3 | 3 | 1 | 288.5 ± 5.95 | 74.94 ± 0.38 | 288.7 | 74.92 |
| F10 | 1 | 3 | 0.5 | 196.0 ± 4.36 | 68.53 ± 0.51 | 195.7 | 68.54 |
| F11 | 3 | 1 | 1.5 | 331.7 ± 1.48 | 77.50 ± 0.42 | 331.0 | 77.53 |
| F12 | 5 | 3 | 1.5 | 355.7 ± 3.95 | 81.57 ± 0.41 | 355.9 | 81.57 |
| F13 | 1 | 5 | 1 | 160.3 ± 4.90 | 58.94 ± 0.50 | 159.9 | 58.96 |
| F14 | 3 | 1 | 0.5 | 316.6 ± 3.33 | 80.50 ± 0.66 | 316.4 | 80.49 |
| F15 | 3 | 5 | 0.5 | 224.3 ± 2.15 | 68.54 ± 0.56 | 224.8 | 68.51 |
| Pharmacokinetic Parameters | Intra-Tumor IPHRLI | Oral Free RLF |
|---|---|---|
| Cmax (µg/mL) | 2.44 ± 0.19 a | 3.63 ± 0.30 |
| Tmax (h) | 4 a | 2 |
| AUC0-α (µg·h/mL) | 89.44 ± 6.00 a | 21.97 ± 1.82 |
| t0.5 (h) | 24.76 ± 1.46 a | 4.51 ± 0.13 |
| MRT (h) | 37.19 ± 2.13 a | 6.42 ± 0.16 |
| Relative bioavailability | 4.07 a |
| Anti-Tumor Activity Parameters | Control Positive | Oral Free RLF | Intra-Tumor IPHRLI |
|---|---|---|---|
| Tumor volume (mm3) at the end of the experiment | 2026.63 ± 43.99 | 588.81 ± 18.28 | 22.08 ± 2.77 |
| Body weight (g) at the end of the experiment | 15.3 ± 1.09 | 24.45 ± 1.56 | 53.37 ± 1.87 |
| Survival time (days) at the end of the experiment | 19.33 | 24.33 | 28 |
| Increased lifespan (%) | 25.86 * | 44.83 * |
Disclaimer/Publisher’s Note: The statements, opinions and data contained in all publications are solely those of the individual author(s) and contributor(s) and not of MDPI and/or the editor(s). MDPI and/or the editor(s) disclaim responsibility for any injury to people or property resulting from any ideas, methods, instructions or products referred to in the content. |
© 2024 by the authors. Licensee MDPI, Basel, Switzerland. This article is an open access article distributed under the terms and conditions of the Creative Commons Attribution (CC BY) license (https://creativecommons.org/licenses/by/4.0/).
Share and Cite
Farouk, H.O.; Nagib, M.M.; Fouad, A.G.; Naguib, D.M.; Khalil, S.F.A.; Belal, A.; Miski, S.F.; Albezrah, N.K.A.; Al-Ziyadi, S.H.; Kim, G.-H.; et al. Fabrication of an In Situ pH-Responsive Raloxifene-Loaded Invasome Hydrogel for Breast Cancer Management: In Vitro and In Vivo Evaluation. Pharmaceuticals 2024, 17, 1518. https://doi.org/10.3390/ph17111518
Farouk HO, Nagib MM, Fouad AG, Naguib DM, Khalil SFA, Belal A, Miski SF, Albezrah NKA, Al-Ziyadi SH, Kim G-H, et al. Fabrication of an In Situ pH-Responsive Raloxifene-Loaded Invasome Hydrogel for Breast Cancer Management: In Vitro and In Vivo Evaluation. Pharmaceuticals. 2024; 17(11):1518. https://doi.org/10.3390/ph17111518
Chicago/Turabian StyleFarouk, Hanan O., Marwa M. Nagib, Amr Gamal Fouad, Demiana M. Naguib, Sherif Faysal Abdelfattah Khalil, Amany Belal, Samar F. Miski, Nisreen Khalid Aref Albezrah, Shatha Hallal Al-Ziyadi, Gi-Hui Kim, and et al. 2024. "Fabrication of an In Situ pH-Responsive Raloxifene-Loaded Invasome Hydrogel for Breast Cancer Management: In Vitro and In Vivo Evaluation" Pharmaceuticals 17, no. 11: 1518. https://doi.org/10.3390/ph17111518
APA StyleFarouk, H. O., Nagib, M. M., Fouad, A. G., Naguib, D. M., Khalil, S. F. A., Belal, A., Miski, S. F., Albezrah, N. K. A., Al-Ziyadi, S. H., Kim, G.-H., Hassan, A. H. E., Lee, K.-T., & Hamad, D. S. (2024). Fabrication of an In Situ pH-Responsive Raloxifene-Loaded Invasome Hydrogel for Breast Cancer Management: In Vitro and In Vivo Evaluation. Pharmaceuticals, 17(11), 1518. https://doi.org/10.3390/ph17111518

