Bioactivity of Falkenbergia rufolanosa Methanolic Extract: Assessment of Its Effect on Methyl-Thiophanate Induced Bone and Blood Disorders
Abstract
1. Introduction
2. Results
2.1. In Vitro Study
2.1.1. Yield and Chemical Composition
2.1.2. Amounts of Polyphenols, Flavonoids, Anthocyanins, and Vitamin C
2.1.3. Mineral Contents
2.1.4. The Antioxidant Activity
2.1.5. Antibacterial Activity of FRE
2.2. In Vivo Study
2.2.1. Effects on the General Health
2.2.2. Food and Water Intake
2.2.3. Determination of Hematological Parameters
2.2.4. Enmeration of WBC Formula
2.2.5. Achievement of Blood Smears
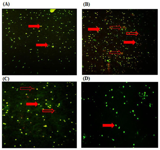
2.2.6. MN Assay
2.2.7. Biochemical Assays
Mineral Contents Levels in Plasma, Urine, and Femurs
Determination of Oxidative Stress Markers
Determination of Lactate Dehydrogenase Activity
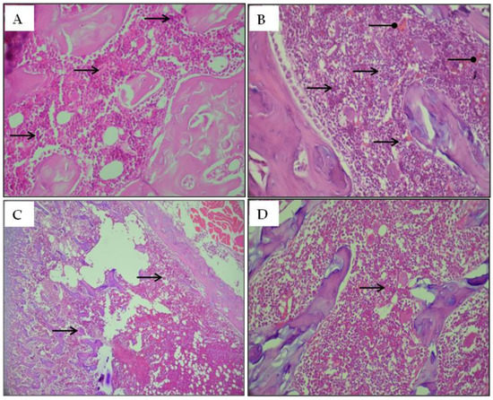
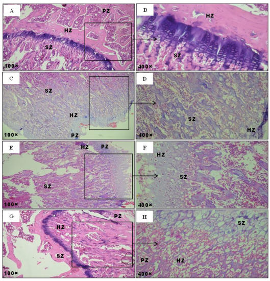
2.2.8. Histological Studies
3. Discussion
4. Materials and Methods
4.1. Material
4.2. Extraction of F. rufolanosa
4.3. Physicochemical Properties of FRE
4.4. Determination of Total Phenolic Content (TPC)
4.5. Determination of Total Flavonoid Content
4.6. Determination of Total Anthocyanin Content (TAC)
4.7. Determination of Total Vitamin C Content
4.8. Determination of Antioxidative Activities In Vitro
4.8.1. DPPH Radical-Scavenging Assay
4.8.2. Reducing Power Assay
4.8.3. β-Carotene Bleaching (BCB) Assay
4.9. Antimicrobial Activity
4.10. Animals and Experimental Design
4.10.1. Blood and Organ Preparation
4.10.2. Biochemical Assays
Determination of Hematological Parameters
Osmotic Fragility Test
Achievement of Blood Smears
MN Assay in Peripheral Blood
Mineral Levels in the Bone, Blood, and Urine
Determination of Malondialdehyde and Advanced Oxidation Protein Products Levels
Determination of Enzymatic and Non-Enzymatic Antioxidants
Determination of Lactate Dehydrogenase Activity
Histological Studies
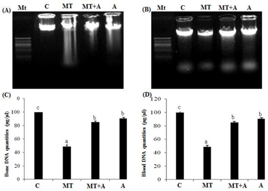
DNA Fragmentation and Quantification Analysis
4.11. Statistical Analysis
5. Conclusions
Author Contributions
Funding
Institutional Review Board Statement
Informed Consent Statement
Data Availability Statement
Conflicts of Interest
References
- Gupta, P.K. Pesticide Exposure—Indian Scene. Toxicology 2004, 198, 83–90. [Google Scholar] [CrossRef]
- Saulsbury, M.D.; Heyliger, S.O.; Wang, K.; Johnson, D.J. Chlorpyrifos Induces Oxidative Stress in Oligodendrocyte Progenitor Cells. Toxicology 2009, 259, 1–9. [Google Scholar] [CrossRef]
- Traina, M.E.; Fazzi, P.; Macrì, C.; Ricciardi, C.; Stazi, A.V.; Urbani, E.; Mantovani, A. In Vivo Studies on Possible Adverse Effects on Reproduction of the Fungicide Methyl Thiophanate. J. Appl. Toxicol. 1998, 18, 241–248. [Google Scholar] [CrossRef]
- Ben Amara, I.; Ben Saad, H.; Cherif, B.; Elwej, A.; Lassoued, S.; Kallel, C.; Zeghal, N. Methyl-Thiophanate Increases Reactive Oxygen Species Production and Induces Genotoxicity in Rat Peripheral Blood. Toxicol. Mech. Methods 2014, 24, 679–687. [Google Scholar] [CrossRef] [PubMed]
- Saquib, Q.; Al-Khedhairy, A.A.; Al-Arifi, S.; Dhawan, A.; Musarrat, J. Assessment of Methyl Thiophanate–Cu (II) Induced DNA Damage in Human Lymphocytes. Toxicol. Vitr. 2009, 23, 848–854. [Google Scholar] [CrossRef] [PubMed]
- Bolognesi, C. Genotoxicity of Pesticides: A Review of Human Biomonitoring Studies. Mutat. Res. Rev. Mutat. Res. 2003, 543, 251–272. [Google Scholar] [CrossRef]
- Jaballi, I.; Saad, H.B.; Bkhairia, I.; Cherif, B.; Kallel, C.; Boudawara, O.; Droguet, M.; Magné, C.; Hakim, A.; Amara, I.B. Cytoprotective Effects of the Red Marine Alga Chondrus Canaliculatus Against Maneb-Induced Hematotoxicity and Bone Oxidative Damages in Adult Rats. Biol. Trace Elem. Res. 2018, 184, 99–113. [Google Scholar] [CrossRef]
- Santoso, J.; Gunji, S.; Yoshie-Stark, Y.; Suzuki, T. Mineral Contents of Indonesian Seaweeds and Mineral Solubility Affected by Basic Cooking. FSTR 2006, 12, 59–66. [Google Scholar] [CrossRef]
- Ortiz, J.; Romero, N.; Robert, P.; Araya, J.; Lopez-Hernández, J.; Bozzo, C.; Navarrete, E.; Osorio, A.; Rios, A. Dietary Fiber, Amino Acid, Fatty Acid and Tocopherol Contents of the Edible Seaweeds Ulva Lactuca and Durvillaea Antarctica. Food Chem. 2006, 99, 98–104. [Google Scholar] [CrossRef]
- Pomin, V.H. Seaweed: Ecology, Nutrient Composition, and Medicinal Uses; Pomin, V.H., Ed.; Nova Science: Hauppauge, NY, USA, 2011; ISBN 978-1-61470-878-0. [Google Scholar]
- Aslam, M.N.; Kreider, J.M.; Paruchuri, T.; Bhagavathula, N.; DaSilva, M.; Zernicke, R.F.; Goldstein, S.A.; Varani, J. A Mineral-Rich Extract from the Red Marine Algae Lithothamnion Calcareum Preserves Bone Structure and Function in Female Mice on a Western-Style Diet. Calcif. Tissue Int. 2010, 86, 313–324. [Google Scholar] [CrossRef]
- Troudi, A.; Ben Amara, I.; Soudani, N.; Bouaziz, H.; Boudawara, T.; Zeghal, N. Oxidative Stress Induced by Gibberellic Acid in Bone of Suckling Rats. Ecotoxicol. Environ. Saf. 2011, 74, 643–649. [Google Scholar] [CrossRef]
- Andrews, J.E.; Jackson, L.D.; Stead, A.G.; Donaldson, W.E. Morphometric Analysis of Osteosclerotic Bone Resulting from Hexachlorobenzene Exposure. J. Toxicol. Environ. Health 1990, 31, 193–201. [Google Scholar] [CrossRef] [PubMed]
- Diebold, J.; Molina, T.; Le Tourneau, A.; Audouin, J. Difficultés d’interprétation histologique dans le diagnostic entre lymphomes et modifications réactionnelles et/ou inflammatoires en pathologie ganglionnaire. Rev. Francoph. Des Lab. 2008, 2008, 43–50. [Google Scholar] [CrossRef]
- Edreva, A. Generation and Scavenging of Reactive Oxygen Species in Chloroplasts: A Submolecular Approach. Agric. Ecosyst. Environ. 2005, 106, 119–133. [Google Scholar] [CrossRef]
- Elwej, A.; Ben Salah, G.; Kallel, C.; Fakhfakh, F.; Zeghal, N.; Ben Amara, I. Protective Effects of Pomegranate Peel against Hematotoxicity, Chromosomal Aberrations, and Genotoxicity Induced by Barium Chloride in Adult Rats. Pharm. Biol. 2016, 54, 964–974. [Google Scholar] [CrossRef] [PubMed]
- Ashton, N. Physiology of Red and White Blood Cells. Anaesth. Intensive Care Med. 2013, 14, 261–266. [Google Scholar] [CrossRef]
- Blanc-Lapierre, A.; Bouvier, G.; Garrigou, A.; Canal-Raffin, M.; Raherison, C.; Brochard, P.; Baldi, I. Effets chroniques des pesticides sur le système nerveux central: État des connaissances épidémiologiques. Rev. D’épidémiologie Et De St. Publique 2012, 60, 389–400. [Google Scholar] [CrossRef]
- Feki, A.; Ben Saad, H.; Jaballi, I.; Magne, C.; Boudawara, O.; Zeghal, K.M.; Hakim, A.; Ben Ali, Y.; Ben Amara, I. Methyl Thiophanate-Induced Toxicity in Liver and Kidney of Adult Rats: A Biochemical, Molecular and Histopathological Approach. Cell Mol. Biol. 2017, 63, 20. [Google Scholar] [CrossRef]
- Ben Saad, H.; Nasri, I.; Elwej, A.; Krayem, N.; Jarraya, R.; Kallel, C.; Zeghal, N.; Amara, I.B. A Mineral and Antioxidant-Rich Extract from the Red Marine Algae Alsidium Corallinum Exhibits Cytoprotective Effects Against Potassium Bromate-Induced Erythrocyte Oxidative Damages in Mice. Biol. Trace Elem. Res. 2014, 160, 85–96. [Google Scholar] [CrossRef]
- Shiozawa, Y.; Jung, Y.; Ziegler, A.M.; Pedersen, E.A.; Wang, J.; Wang, Z.; Song, J.; Wang, J.; Lee, C.H.; Sud, S.; et al. Erythropoietin Couples Hematopoiesis with Bone Formation. PLoS ONE 2010, 5, e10853. [Google Scholar] [CrossRef]
- Vener, C.; Novembrino, C.; Bamonti Catena, F.; Fracchiolla, N.S.; Gianelli, U.; Savi, F.; Radaelli, F.; Fermo, E.; Cortelezzi, A.; Lonati, S.; et al. Oxidative Stress Is Increased in Primary and Post−polycythemia Vera Myelofibrosis. Exp. Hematol. 2010, 38, 1058–1065. [Google Scholar] [CrossRef] [PubMed]
- Zheng, S.; Zhong, Z.-M.; Qin, S.; Chen, G.-X.; Wu, Q.; Zeng, J.-H.; Ye, W.-B.; Li, W.; Yuan, K.; Yao, L.; et al. Advanced Oxidation Protein Products Induce Inflammatory Response in Fibroblast-Like Synoviocytes through NADPH Oxidase -Dependent Activation of NF-ΚB. Cell Physiol. Biochem. 2013, 32, 972–985. [Google Scholar] [CrossRef]
- Ajala, M.; Droguet, M.; Kraiem, M.; Ben Saad, H.; Boujhoud, Z.; Hilali, A.; Kallel, H.; Pujo, J.M.; Ben Amara, I. The Potential Effect of Polysaccharides Extracted from Red Alga Gelidium spinosum against Intestinal Epithelial Cell Apoptosis. Pharmaceuticals 2023, 16, 444. [Google Scholar] [CrossRef] [PubMed]
- Clemens, M.R.; Bursa-Zanetti, Z. Lipid Abnormalities and Peroxidation of Erythrocytes in Nephrotic Syndrome. Nephron 1989, 53, 325–329. [Google Scholar] [CrossRef] [PubMed]
- Bernabucci, U.; Ronchi, B.; Lacetera, N.; Nardone, A. Markers of Oxidative Status in Plasma and Erythrocytes of Transition Dairy Cows During Hot Season. J. Dairy Sci. 2002, 85, 2173–2179. [Google Scholar] [CrossRef] [PubMed]
- Dumaswala, U.J.; Zhuo, L.; Jacobsen, D.W.; Jain, S.K.; Sukalski, K.A. Protein and Lipid Oxidation of Banked Human Erythrocytes: Role of Glutathione. Free Radic Biol. Med. 1999, 27, 1041–1049. [Google Scholar] [CrossRef]
- Ramajayam, G.; Sridhar, M.; Karthikeyan, S.; Lavanya, R.; Veni, S.; Vignesh, R.C.; Ilangovan, R.; Djody, S.S.; Gopalakrishnan, V.; Arunakaran, J.; et al. Effects of Aroclor 1254 on Femoral Bone Metabolism in Adult Male Wistar Rats. Toxicology 2007, 241, 99–105. [Google Scholar] [CrossRef]
- Sachindra, N.M.; Airanthi, M.K.W.A.; Hosokawa, M.; Miyashita, K. Radical Scavenging and Singlet Oxygen Quenching Activity of Extracts from Indian Seaweeds. J. Food Sci. Technol. 2010, 47, 94–99. [Google Scholar] [CrossRef]
- Felhi, S.; Hajlaoui, H.; Ncir, M.; Bakari, S.; Ktari, N.; Saoudi, M.; Gharsallah, N.; Kadri, A. Nutritional, Phytochemical and Antioxidant Evaluation and FT-IR Analysis of Freeze Dried Extracts of Ecballium Elaterium Fruit Juice from Three Localities. Food Sci. Technol. 2016, 36, 646–655. [Google Scholar] [CrossRef]
- Youdim, K.A.; Shukitt-Hale, B.; MacKinnon, S.; Kalt, W.; Joseph, J.A. Polyphenolics Enhance Red Blood Cell Resistance to Oxidative Stress: In Vitro and in Vivo1Mention of Trade Name, Proprietary Product, or Specific Equipment Does Not Constitute a Guarantee by the US Department of Agriculture and Does Not Imply Its Approval to the Exclusion of Other Products That May Be Suitable.1. Biochim. Et Biophys. Acta (BBA)—Gen. Subj. 2000, 1523, 117–122. [Google Scholar] [CrossRef]
- Sabeena Farvin, K.H.; Jacobsen, C. Phenolic Compounds and Antioxidant Activities of Selected Species of Seaweeds from Danish Coast. Food Chem. 2013, 138, 1670–1681. [Google Scholar] [CrossRef] [PubMed]
- Kearns, S.R.; Daly, A.F.; Sheehan, K.; Murray, P.; Kelly, C.; Bouchier-Hayes, D. Oral Vitamin C Reduces the Injury to Skeletal Muscle Caused by Compartment Syndrome. J. Bone Jt. Surgery. Br. Vol. 2004, 86-B, 906–911. [Google Scholar] [CrossRef] [PubMed]
- Yoshida, W.B.; Campos, E.B.P. de Ischemia and Reperfusion in Skin Flaps: Effects of Mannitol and Vitamin C in Reducing Necrosis Area in a Rat Experimental Model. Acta Cir. Bras. 2005, 20, 358–363. [Google Scholar] [CrossRef] [PubMed]
- AOAC International; Association of Official Analytical Chemists International; ed Latimer. Official Methods of Analysis of AOAC International, 18th ed.; Horwitz, W., AOAC International, Eds.; AOAC International: Gaithersburg, MD, USA, 2011; ISBN 978-0-935584-82-0. [Google Scholar]
- Cowie, G.L.; Hedges, J.I. Carbohydrate Sources in a Coastal Marine Environment. Geochim. Et Cosmochim. Acta 1984, 48, 2075–2087. [Google Scholar] [CrossRef]
- Bradford, M.M. A Rapid and Sensitive Method for the Quantitation of Microgram Quantities of Protein Utilizing the Principle of Protein-Dye Binding. Anal. Biochem. 1976, 72, 248–254. [Google Scholar] [CrossRef]
- Aliou, N.; Lamine, N.M. Evaluation of the Physical and Chemical Fertility of Soils in the Sylvopastoral Zone: Case of the Pilot Site of the National Institute of Pedology in the Commune of Kelle Gueye (Louga/Senegal). JGIS 2022, 14, 503–515. [Google Scholar] [CrossRef]
- Velioglu, Y.S.; Mazza, G.; Gao, L.; Oomah, B.D. Antioxidant Activity and Total Phenolics in Selected Fruits, Vegetables, and Grain Products. J. Agric. Food Chem. 1998, 46, 4113–4117. [Google Scholar] [CrossRef]
- Arvouet-Grand, A.; Vennat, B.; Pourrat, A.; Legret, P. Standardization of propolis extract and identification of principal constituents. J. Pharm. Belg. 1994, 49, 462–468. [Google Scholar]
- Wrolstad, R.E.; Durst, R.W.; Lee, J. Tracking Color and Pigment Changes in Anthocyanin Products. Trends Food Sci. Technol. 2005, 16, 423–428. [Google Scholar] [CrossRef]
- Jacques-Silva, M.C.; Nogueira, C.W.; Broch, L.C.; Flores, É.M.M.; Rocha, J.B.T. Diphenyl Diselenide and Ascorbic Acid Changes Deposition of Selenium and Ascorbic Acid in Liver and Brain of Mice: Deposition of Selenium and Ascorbic Acid in Liver and Brain of Mice. Pharmacol. Toxicol. 2001, 88, 119–125. [Google Scholar] [CrossRef]
- Bersuder, P.; Hole, M.; Smith, G. Antioxidants from a Heated Histidine-Glucose Model System. I: Investigation of the Antioxidant Role of Histidine and Isolation of Antioxidants by High-Performance Liquid Chromatography. J. Amer. Oil Chem. Soc. 1998, 75, 181–187. [Google Scholar] [CrossRef]
- Oyaizu, M. Studies on Products of Browning Reaction. Antioxidative Activities of Products of Browning Reaction Prepared from Glucosamine. Jpn. J. Nutr. Diet 1986, 44, 307–315. [Google Scholar] [CrossRef]
- Koleva, I.I.; van Beek, T.A.; Linssen, J.P.H.; Groot, A.D.; Evstatieva, L.N. Screening of Plant Extracts for Antioxidant Activity: A Comparative Study on Three Testing Methods. Phytochem. Anal. 2002, 13, 8–17. [Google Scholar] [CrossRef] [PubMed]
- Celiktas, O.Y.; Kocabas, E.E.H.; Bedir, E.; Sukan, F.V.; Ozek, T.; Baser, K.H.C. Antimicrobial Activities of Methanol Extracts and Essential Oils of Rosmarinus Officinalis, Depending on Location and Seasonal Variations. Food Chem. 2007, 100, 553–559. [Google Scholar] [CrossRef]
- Sinha, M.; Manna, P.; Sil, P.C. A 43kD Protein from the Herb, Cajanus Indicus L., Protects against Fluoride Induced Oxidative Stress in Mice Erythrocytes. Pathophysiology 2007, 14, 47–54. [Google Scholar] [CrossRef]
- Amend, S.R.; Valkenburg, K.C.; Pienta, K.J. Murine Hind Limb Long Bone Dissection and Bone Marrow Isolation. JoVE 2016, 110, 53936. [Google Scholar] [CrossRef]
- Draper, H.H.; Hadley, M. Malondialdehyde Determination as Index of Lipid Peroxidation. In Methods in Enzymology; Elsevier: Amsterdam, The Netherlands, 1990; Volume 186, pp. 421–431. ISBN 978-0-12-182087-9. [Google Scholar]
- Witko, V.; Nguyen, A.T.; Descamps-Latscha, B. Microtiter Plate Assay for Phagocyte-Derived Taurine-Chloramines. J. Clin. Lab. Anal. 1992, 6, 47–53. [Google Scholar] [CrossRef] [PubMed]
- Aebi, H. Catalase in Vitro. In Methods in Enzymology; Elsevier: Amsterdam, The Netherlands, 1984; Volume 105, pp. 121–126. ISBN 978-0-12-182005-3. [Google Scholar]
- Beauchamp, C.; Fridovich, I. Superoxide Dismutase: Improved Assays and an Assay Applicable to Acrylamide Gels. Anal. Biochem. 1971, 44, 276–287. [Google Scholar] [CrossRef]
- Ellman, G.L. Tissue Sulfhydryl Groups. Arch. Biochem. Biophys. 1959, 82, 70–77. [Google Scholar] [CrossRef]
- Jollow, D.J.; Mitchell, J.R.; Zampaglione, N.; Gillette, J.R. Bromobenzene-Induced Liver Necrosis. Protective Role of Glutathione and Evidence for 3,4-Bromobenzene Oxide as the Hepatotoxic Metabolite. Pharmacology 1974, 11, 151–169. [Google Scholar] [CrossRef]
- Flohé, L.; Günzler, W.A. Assays of Glutathione Peroxidase. In Methods in Enzymology; Elsevier: Amsterdam, The Netherlands, 1984; Volume 105, pp. 114–120. ISBN 978-0-12-182005-3. [Google Scholar]
- Talbott, S.M.; Cifuentes, M.; Dunn, M.G.; Shapses, S.A. Energy Restriction Reduces Bone Density and Biomechanical Properties in Aged Female Rats. J. Nutr. 2001, 131, 2382–2387. [Google Scholar] [CrossRef] [PubMed]
- Kanno, S.; Shouji, A.; Hirata, R.; Asou, K.; Ishikawa, M. Effects of Naringin on Cytosine Arabinoside (Ara-C)-Induced Cytotoxicity and Apoptosis in P388 Cells. Life Sci. 2004, 75, 353–365. [Google Scholar] [CrossRef] [PubMed]
- Sellins, K.S.; Cohen, J.J. Gene Induction by Gamma-Irradiation Leads to DNA Fragmentation in Lymphocytes. J. Immunol. 1987, 139, 3199–3206. [Google Scholar] [CrossRef] [PubMed]



nucleus of WBC;
necrotic cells;
apoptotic cells.
nucleus of WBC;
necrotic cells;
apoptotic cells.

: Megakaryocytic cell;
: Apoptosis.
: Megakaryocytic cell;
: Apoptosis.


| Bacteria | Diameter of Inhibition Zone (mm) |
|---|---|
| S. Typhimurium | 6.5 ± 0.25 a |
| K. Pneumonia | 7.25 ± 0.2 b |
| L. Monocytogenes | 9.5 ± 0.21 b |
| Actinomyces sp. | 11 ± 0.25 c |
| E. Faecalis | 8.5 ± 0.5 b |
| Enterobacteria | 6.5 ± 0.25 a |
| M. luteus | 6.5 ± 0.25 a |
| Parameters | Treatment Groups | |||
|---|---|---|---|---|
| Control | MT | MT + Alga | Alga | |
| Initial body weights (g) | 254 ± 3.01 a | 250 ± 3.07 a | 255 ± 3.1 a | 260 ± 3.13 b |
| Final body weights (g) | 261 ± 3.05 a | 232 ± 2.98 c | 239 ± 3.12 b | 269 ± 3.01 a |
| Absolute femur weights (g) | 0.72 ± 0.13 c | 0.56 ± 0.06 b | 0.67 ± 0.18 a | 0.67 ± 0.11 a |
| Relative femur weight (g/100 g BW) | 0.27 ± 0.01 a | 0.24 ± 0.02 a | 0.28 ± 0.03 a | 0.25 ± 0.07 a |
| Food consumption (g/day/rat) | 17.15 ± 0.67 c | 13.10 ± 1.73 a | 16.008 ± 0.53 b | 16.07 ± 1.05 c |
| Drinking water intake (ml/day/rat) | 15.95 ± 0.87 c | 12.25 ± 0.67 a | 13.98 ± 1.03 b | 14.85 ± 1.42 c |
| Parameters | Treatment Groups | |||
|---|---|---|---|---|
| Control | MT | MT + Alga | Alga | |
| RBC count (106/mL) | 8.16 ± 0.17 c | 6.39 ± 0.24 a | 7.49 ± 0.09 b | 8.15 ± 0.20 c |
| Hb (g/dL) | 13.82 ± 0.32 c | 9.58 ± 0.19 a | 13.32 ± 0.23 b | 13.80 ± 0.35 c |
| HT (%) | 43.23 ± 0.34 a | 47.16 ± 0.35 c | 44.38 ± 0.33 b | 43.22 ± 0.30 a |
| MCV (mm3/RBC) | 52.66 ± 0.373 a | 52.21 ± 0.33 a | 52.40 ± 0.683 a | 52.66 ± 0.302 a |
| MCH (pg/RBC) | 16.60 ± 0.33 a | 16.37 ± 0.25 a | 16.46 ± 0.33 a | 16.58 ± 0.379 a |
| MCHC (g/dL) | 31.82 ± 0.408 a | 32.33 ± 0.25 a | 31.89 ± 0.343 a | 31.92 ± 0.443 a |
| PLT (103/μL) | 855.45 ± 3.36 d | 761.94 ± 3.34 a | 804.46 ± 3.43 b | 838.69 ± 3.65 c |
| WBC count (103/mL) | 11.84 ± 0.33 a | 18.78 ± 0.56 c | 14.28 ± 0.59 b | 11.86 ± 0.38 a |
| Parameters | Treatment Groups | |||
|---|---|---|---|---|
| Control | MT | MT + Alga | Alga | |
| Plasma levels (mg/L) | ||||
| Calcium (Ca) | 60.23 ± 2.18 a | 84.67 ± 4.43 c | 71.12 ± 2.55 b | 65.15 ± 1.18 a |
| Phosphorus (P) | 60.13 ± 0.97 a | 63.08 ± 1.70 b | 60.45 ± 0.49 a | 60.02 ± 0.88 a |
| Sodium (Na) | 138.67 ± 1.53 a | 141.67 ± 3.06 a | 138.33 ± 1.53 a | 139.24 ± 0.51 a |
| Magnesium (Mg) | 0.72 ± 0.04 a | 0.85 ± 0.13 a | 0.72 ± 0.03 a | 0.73 ± 0.02 a |
| Potassium (K) | 150.88 ± 2.30 a | 165.94 ± 2.93 c | 158.73 ± 1.62 b | 161.33 ± 3.06 c |
| Bone levels (mg/g) | ||||
| Calcium (Ca) | 143.05 ± 3.07 c | 53.3 ± 5.22 a | 136.61 ± 3.59 b | 144.96 ± 4.74 c |
| Phosphorus (P) | 52.6 ± 2.36 c | 24.89 ± 3.89 a | 40.96 ± 2.37 b | 35 ± 4.41 b |
| Sodium (Na) | 63.17 ± 2.03 c | 56.71 ± 1.69 a | 58.62 ± 1.09 b | 60.02 ± 1.46 b |
| Magnesium (Mg) | 35.69 ± 2.11 a | 43.23 ± 0.76 b | 42.55 ± 2.02 b | 39.92 ± 1.59 b |
| Potassium (K) | 48.11 ± 0.84 c | 27 ± 2.36 a | 31.83 ± 1.69 b | 34.39 ± 2.21 b |
| Urinary levels (mg/L) | ||||
| Calcium (Ca) | 82.17 ± 2.00 a | 94.86 ± 2.88 b | 79.70 ± 1.50 a | 80.79 ± 2.50 a |
| Phosphorus (P) | 216.16 ± 4.51 a | 604.83 ± 7.03 c | 304.27 ± 6.40 b | 225.69 ± 4.10 a |
| Sodium (Na) | 84.06 ± 3.68 c | 38.05 ± 2.03 a | 73.52 ± 3.63 b | 81.40 ± 4.24 c |
| Magnesium (Mg) | 25.71 ± 0.50 b | 22.65 ± 0.83 a | 23.95 ± 0.83 a | 25.94 ± 0.79 b |
| Potassium (K) | 239.33 ± 4.04 d | 172.67 ± 4.03 a | 214.20 ± 3.94 b | 225.43 ± 1.25 c |
| Parameters | Treatment Groups | |||
|---|---|---|---|---|
| Control | MT | MT + alga | Alga | |
| Erythrocyte | ||||
| MDA (nmoles MDA/g tissue) | 51.12 ± 2.69 a | 80.56 ± 2.76 c | 66.93 ± 1.91 b | 51.07 ± 0.34 a |
| AOPP (μmoles/mg protein) | 1.56 ± 0.26 b | 1.86 ± 0.39 b | 1.43 ± 0.18 a | 1.61 ± 0.06 b |
| GSH (μg/mg of protein) | 50.44 ± 4.79 b | 41.27 ± 3.47 a | 48.53 ± 3.1 b | 51.05 ± 4.26 b |
| CAT (μmoles H2O2 degraded/min/mg protein) | 3.75 ± 0.49 b | 2.25 ± 0.22 a | 3.81 ± 0.38 b | 3.45 ± 0.55 b |
| SOD (units/mg protein) | 26.88 ± 0.89 c | 12.18 ± 0.54 a | 16.15 ± 0.73 b | 26.83 ± 0.73 c |
| GPx (nmoles of GSH/min/mg protein) | 4.13 ± 0.10 c | 2.16 ± 0.03 a | 3.15 ± 0.10 b | 4.14 ± 0.07 c |
| Bone | ||||
| MDA (nmoles MDA/g tissue) | 25.34 ± 1.07 a | 42.06 ± 0.86 d | 30.08 ± 0.58 c | 27.32 ± 0.58 b |
| AOPP (μmoles/mg protein) | 0.32 ± 0.04 a | 0.45 ± 0.06 b | 0.31 ± 0.14 a | 0.43 ± 0.05 b |
| GSH (mg/g tissue) | 67.41 ± 2.81 b | 56.024 ± 2.18 a | 64.14 ± 2.81 b | 66.88 ± 3.02 b |
| CAT (μmoles H2O2 degraded/min/mg protein) | 14.91 ± 0.49 a | 7.73 ± 1.95 b | 10.11 ± 0.26 a | 14.36 ± 1.26 a |
| SOD (units/mg protein) | 19.57 ± 6.22 a | 12.17 ± 5.44 b | 17.81 ± 5.27 a | 19.18 ± 6.31 a |
| GPx (nmoles of GSH/min/mg protein) | 11.74 ± 1.57 c | 6.18 ± 1.21 a | 9.1 ± 1.91 b | 10 ± 0.70 b |
Disclaimer/Publisher’s Note: The statements, opinions and data contained in all publications are solely those of the individual author(s) and contributor(s) and not of MDPI and/or the editor(s). MDPI and/or the editor(s) disclaim responsibility for any injury to people or property resulting from any ideas, methods, instructions or products referred to in the content. |
© 2023 by the authors. Licensee MDPI, Basel, Switzerland. This article is an open access article distributed under the terms and conditions of the Creative Commons Attribution (CC BY) license (https://creativecommons.org/licenses/by/4.0/).
Share and Cite
Feki, A.; Kammoun, I.; Eleroui, M.; Kallel, R.; Megdiche, F.; Hariz, L.; Boudawara, T.; Kallel, C.; Kallel, H.; Pujo, J.M.; et al. Bioactivity of Falkenbergia rufolanosa Methanolic Extract: Assessment of Its Effect on Methyl-Thiophanate Induced Bone and Blood Disorders. Pharmaceuticals 2023, 16, 529. https://doi.org/10.3390/ph16040529
Feki A, Kammoun I, Eleroui M, Kallel R, Megdiche F, Hariz L, Boudawara T, Kallel C, Kallel H, Pujo JM, et al. Bioactivity of Falkenbergia rufolanosa Methanolic Extract: Assessment of Its Effect on Methyl-Thiophanate Induced Bone and Blood Disorders. Pharmaceuticals. 2023; 16(4):529. https://doi.org/10.3390/ph16040529
Chicago/Turabian StyleFeki, Amal, Intissar Kammoun, Malek Eleroui, Rim Kallel, Fatma Megdiche, Liwa Hariz, Tahia Boudawara, Choumous Kallel, Hatem Kallel, Jean Marc Pujo, and et al. 2023. "Bioactivity of Falkenbergia rufolanosa Methanolic Extract: Assessment of Its Effect on Methyl-Thiophanate Induced Bone and Blood Disorders" Pharmaceuticals 16, no. 4: 529. https://doi.org/10.3390/ph16040529
APA StyleFeki, A., Kammoun, I., Eleroui, M., Kallel, R., Megdiche, F., Hariz, L., Boudawara, T., Kallel, C., Kallel, H., Pujo, J. M., & Ben Amara, I. (2023). Bioactivity of Falkenbergia rufolanosa Methanolic Extract: Assessment of Its Effect on Methyl-Thiophanate Induced Bone and Blood Disorders. Pharmaceuticals, 16(4), 529. https://doi.org/10.3390/ph16040529

