Rifampicin Enhanced Carbapenem Activity with Improved Antibacterial Effects and Eradicates Established Acinetobacter baumannii Biofilms
Abstract
1. Introduction
2. Results and Discussion
2.1. Bacteria Isolates
2.2. Antibacterial Effects of Rifampicin and Carbapenems on CRAB Clinical Isolates
2.3. Checkerboard Assay
2.4. Time-Kill Assay
2.5. Biofilm Inhibitory Activity of Rifampicin with Carbapenems
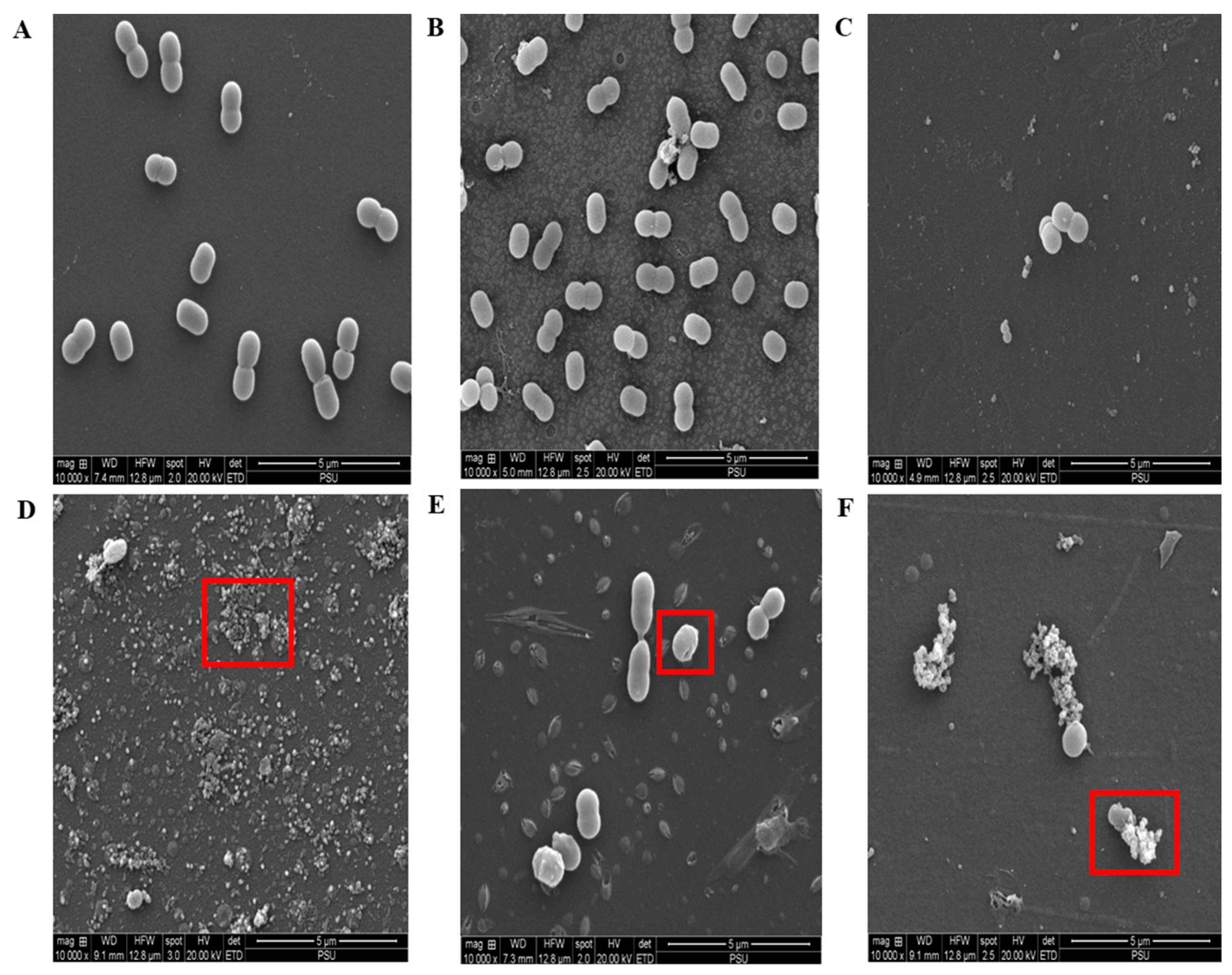
2.6. Scanning Electron Microscopy
3. Materials and Methods
3.1. Chemicals and Media
3.2. Bacterial Isolates
3.3. Screening for Rifampicin Resistance in CRAB Isolates
3.4. Antibacterial Testing of RR-CRAB Isolates
3.5. Antimicrobial Combination Assays
3.6. Time-Kill Assay
3.7. Biofilm Forming Assay
3.8. Viability of Biofilm Cells
3.9. Scanning Electron Microscopy (SEM)
3.10. Statistical Analysis
4. Conclusions
Supplementary Materials
Author Contributions
Funding
Institutional Review Board Statement
Informed Consent Statement
Data Availability Statement
Conflicts of Interest
References
- World Health Organization. Prioritization of Pathogens to Guide Discovery, Research and Development of New Antibiotics for Drug-Resistant Bacterial Infections, Including Tuberculosis; World Health Organization: Geneva, Switzerland, 2017. [Google Scholar]
- Russo, A.; Bassetti, M.; Bellelli, V.; Bianchi, L.; Cattaneo, F.M.; Mazzocchetti, S.; Paciacconi, E.; Cottini, F.; Schiattarella, A.; Tufaro, G.; et al. Efficacy of a Fosfomycin-Containing Regimen for Treatment of Severe Pneumonia Caused by Multidrug-Resistant Acinetobacter baumannii: A Prospective, Observational Study. Infect. Dis. Ther. 2021, 10, 187–200. [Google Scholar] [CrossRef] [PubMed]
- Gheorghe, I.; Barbu, I.C.; Surleac, M.; Sârbu, I.; Popa, L.I.; Paraschiv, S.; Feng, Y.; Lazăr, V.; Chifiriuc, M.C.; Oţelea, D. Subtypes, resistance and virulence platforms in extended-drug resistant Acinetobacter baumannii Romanian isolates. Sci. Rep. 2021, 11, 13288. [Google Scholar] [CrossRef] [PubMed]
- Ilsan, N.A.; Lee, Y.-J.; Kuo, S.-C.; Lee, I.-H.; Huang, T.-W. Antimicrobial resistance mechanisms and virulence of colistin-and carbapenem-resistant Acinetobacter baumannii isolated from a teaching hospital in Taiwan. Microorganisms 2021, 9, 1295. [Google Scholar] [CrossRef] [PubMed]
- Colquhoun, J.M.; Rather, P.N. Insights into mechanisms of biofilm formation in Acinetobacter baumannii and implications for uropathogenesis. Front. Cell. Infect. Microbiol. 2020, 10, 253. [Google Scholar] [CrossRef] [PubMed]
- Raveendra, N.; Rathnakara, S.H.; Haswani, N.; Subramaniam, V. Bacterial biofilms on tracheostomy tubes. Indian J. Otolaryngol. Head Neck Surg. 2021, 74 (Suppl. 3), 4995–4999. [Google Scholar] [CrossRef]
- Ramos-Gallardo, G. Chronic wounds in burn injury: A case report on importance of biofilms. World J. Plast. Surg. 2016, 5, 175. [Google Scholar]
- Gedefie, A.; Demsis, W.; Ashagrie, M.; Kassa, Y.; Tesfaye, M.; Tilahun, M.; Bisetegn, H.; Sahle, Z. Acinetobacter baumannii biofilm formation and its role in disease pathogenesis: A review. Infect. Drug Resist. 2021, 14, 3711. [Google Scholar] [CrossRef]
- Pompilio, A.; Scribano, D.; Sarshar, M.; Di Bonaventura, G.; Palamara, A.T.; Ambrosi, C. Gram-negative bacteria holding together in a biofilm: The Acinetobacter baumannii way. Microorganisms 2021, 9, 1353. [Google Scholar] [CrossRef]
- Azizi, O.; Shahcheraghi, F.; Salimizand, H.; Modarresi, F.; Shakibaie, M.R.; Mansouri, S.; Ramazanzadeh, R.; Badmasti, F.; Nikbin, V. Molecular analysis and expression of bap gene in biofilm-forming multi-drug-resistant Acinetobacter baumannii. Rep. Biochem. Mol. Biol. 2016, 5, 62. [Google Scholar]
- Eze, E.C.; Chenia, H.Y.; El Zowalaty, M.E. Acinetobacter baumannii biofilms: Effects of physicochemical factors, virulence, antibiotic resistance determinants, gene regulation, and future antimicrobial treatments. Infect. Drug Resist. 2018, 11, 2277. [Google Scholar] [CrossRef]
- Bardhan, T.; Chakraborty, M.; Bhattacharjee, B. Prevalence of colistin-resistant, carbapenem-hydrolyzing proteobacteria in hospital water bodies and out-falls of West Bengal, India. Int. J. Environ. Res. Public Health 2020, 17, 1007. [Google Scholar] [CrossRef] [PubMed]
- Lebeaux, D.; Ghigo, J.-M.; Beloin, C. Biofilm-related infections: Bridging the gap between clinical management and fundamental aspects of recalcitrance toward antibiotics. Microbiol. Mol. Biol. Rev. 2014, 78, 510–543. [Google Scholar] [CrossRef] [PubMed]
- Shenkutie, A.M.; Yao, M.Z.; Siu, G.K.-h.; Wong, B.K.C.; Leung, P.H.-m. Biofilm-induced antibiotic resistance in clinical Acinetobacter baumannii isolates. Antibiotics 2020, 11, 817. [Google Scholar] [CrossRef] [PubMed]
- Zimmerli, W.; Sendi, P. Role of rifampin against staphylococcal biofilm infections in vitro, in animal models, and in orthopedic-device-related infections. Antimicrob. Agents Chemother. 2019, 63, e01746-18. [Google Scholar] [CrossRef] [PubMed]
- Wang, Y.; Bao, W.; Guo, N.; Chen, H.; Cheng, W.; Jin, K.; Shen, F.; Xu, J.; Zhang, Q.; Wang, C. Antimicrobial activity of the imipenem/rifampicin combination against clinical isolates of Acinetobacter baumannii grown in planktonic and biofilm cultures. World J. Microbiol. Biotechnol. 2014, 30, 3015–3025. [Google Scholar] [CrossRef]
- Wouthuyzen-Bakker, M.; Sebillotte, M.; Lomas, J.; Kendrick, B.; Palomares, E.B.; Murillo, O.; Parvizi, J.; Shohat, N.; Reinoso, J.C.; Sánchez, R.E. Timing of implant-removal in late acute periprosthetic joint infection: A multicenter observational study. J. Infect. 2019, 79, 199–205. [Google Scholar] [CrossRef]
- Zhang, H.; Zhu, Y.; Yang, N.; Kong, Q.; Zheng, Y.; Lv, N.; Chen, H.; Yue, C.; Liu, Y.; Li, J. In vitro and in vivo Activity of Combinations of Polymyxin B with Other Antimicrobials Against Carbapenem-Resistant Acinetobacter baumannii. Infect. Drug Resist. 2021, 14, 4657. [Google Scholar] [CrossRef]
- Armengol, E.; Asunción, T.; Viñas, M.; Sierra, J.M. When combined with colistin, an otherwise ineffective rifampicin–linezolid combination becomes active in Escherichia coli, Pseudomonas aeruginosa, and Acinetobacter baumannii. Microorganisms 2020, 8, 86. [Google Scholar] [CrossRef]
- Nwabor, O.F.; Terbtothakun, P.; Voravuthikunchai, S.P.; Chusri, S. Evaluation of the synergistic antibacterial effects of fosfomycin in combination with selected antibiotics against carbapenem–resistant Acinetobacter baumannii. Pharmaceuticals 2021, 14, 185. [Google Scholar] [CrossRef]
- Srisakul, S.; Wannigama, D.L.; Higgins, P.G.; Hurst, C.; Abe, S.; Hongsing, P.; Saethang, T.; Luk-In, S.; Liao, T.; Kueakulpattana, N. Overcoming addition of phosphoethanolamine to lipid A mediated colistin resistance in Acinetobacter baumannii clinical isolates with colistin–sulbactam combination therapy. Sci. Rep. 2022, 12, 11390. [Google Scholar] [CrossRef]
- Li, T.; Sheng, M.; Gu, T.; Zhang, Y.; Yirepanjiang, A.; Li, Y. In vitro assessment of cefoperazone-sulbactam based combination therapy for multidrug-resistant Acinetobacter baumannii isolates in China. J. Thorac. Dis. 2018, 10, 1370. [Google Scholar] [CrossRef] [PubMed]
- Konai, M.M.; Haldar, J. Lysine-based small molecule sensitizes rifampicin and tetracycline against multidrug-resistant Acinetobacter baumannii and Pseudomonas aeruginosa. ACS Infect. Dis. 2019, 6, 91–99. [Google Scholar] [CrossRef] [PubMed]
- Almutairi, M.M. Synergistic activities of colistin combined with other antimicrobial agents against colistin-resistant Acinetobacter baumannii clinical isolates. PLoS ONE 2022, 17, e0270908. [Google Scholar] [CrossRef] [PubMed]
- Ju, Y.G.; Lee, H.J.; Yim, H.S.; Lee, M.-G.; Sohn, J.W.; Yoon, Y.K. In vitro synergistic antimicrobial activity of a combination of meropenem, colistin, tigecycline, rifampin, and ceftolozane/tazobactam against carbapenem-resistant Acinetobacter baumannii. Sci. Rep. 2022, 12, 7541. [Google Scholar] [CrossRef]
- Sarshar, M.; Behzadi, P.; Scribano, D.; Palamara, A.T.; Ambrosi, C. Acinetobacter baumannii: An ancient commensal with weapons of a pathogen. Pathogens 2021, 10, 387. [Google Scholar] [CrossRef]
- Thummeepak, R.; Kongthai, P.; Leungtongkam, U.; Sitthisak, S. Distribution of virulence genes involved in biofilm formation in multi-drug resistant Acinetobacter baumannii clinical isolates. Int. Microbiol. 2016, 19, 121–129. [Google Scholar]
- Jacob, B.; Makarewicz, O.; Hartung, A.; Brodt, S.; Roehner, E.; Matziolis, G. In vitro additive effects of dalbavancin and rifampicin against biofilm of Staphylococcus aureus. Sci. Rep. 2021, 11, 23425. [Google Scholar] [CrossRef] [PubMed]
- Wences, M.; Wolf, E.R.; Li, C.; Singh, N.; Bah, N.; Tan, X.; Huang, Y.; Bulman, Z.P. Combatting planktonic and biofilm populations of carbapenem-resistant Acinetobacter baumannii with polymyxin-based combinations. Antibiotics 2022, 11, 959. [Google Scholar] [CrossRef] [PubMed]
- Yang, J.; Toyofuku, M.; Sakai, R.; Nomura, N. Influence of the alginate production on cell-to-cell communication in Pseudomonas aeruginosa PAO1. Environ. Microbiol. Rep. 2017, 9, 239–249. [Google Scholar] [CrossRef]
- Hudzicki, J. Kirby-Bauer disk diffusion susceptibility test protocol. Am. Soc. Microbiol. 2009, 15, 55–63. [Google Scholar]
- Humphries, R.; Bobenchik, A.M.; Hindler, J.A.; Schuetz, A.N. Overview of changes to the clinical and laboratory standards institute performance standards for antimicrobial susceptibility testing, M100. J. Clin. Microbiol. 2021, 59, e00213-21. [Google Scholar] [CrossRef] [PubMed]
- Kheshti, R.; Pourabbas, B.; Mosayebi, M.; Vazin, A. In vitro activity of colistin in combination with various antimicrobials against Acinetobacter baumannii species, a report from South Iran. Infect. Drug Resist. 2019, 12, 129. [Google Scholar] [CrossRef]
- Leelasupasri, S.; Santimaleeworagun, W.; Jitwasinkul, T. Antimicrobial susceptibility among colistin, sulbactam, and fosfomycin and a synergism study of colistin in combination with sulbactam or fosfomycin against clinical isolates of carbapenem-resistant Acinetobacter baumannii. J. Pathog. 2018, 2018, 3893492. [Google Scholar] [CrossRef] [PubMed]
- Singh, A.K.; Prakash, P.; Achra, A.; Singh, G.P.; Das, A.; Singh, R.K. Standardization and classification of in vitro biofilm formation by clinical isolates of Staphylococcus aureus. J. Glob. Infect. Dis. 2017, 9, 93. [Google Scholar] [PubMed]
- Bardbari, A.M.; Arabestani, M.R.; Karami, M.; Keramat, F.; Alikhani, M.Y.; Bagheri, K.P. Correlation between ability of biofilm formation with their responsible genes and MDR patterns in clinical and environmental Acinetobacter baumannii isolates. Microb. Pathog. 2017, 108, 122–128. [Google Scholar] [CrossRef]
- Chojnacki, M.; Philbrick, A.; Wucher, B.; Reed, J.N.; Tomaras, A.; Dunman, P.M.; Wozniak, R.A. Development of a broad-spectrum antimicrobial combination for the treatment of Staphylococcus aureus and Pseudomonas aeruginosa corneal infections. Antimicrob. Agents Chemother. 2019, 63, e01929-18. [Google Scholar] [CrossRef]
- Remuzgo-Martínez, S.; Lázaro-Díez, M.; Mayer, C.; Aranzamendi-Zaldumbide, M.; Padilla, D.; Calvo, J.; Marco, F.; Martínez-Martínez, L.; Icardo, J.M.; Otero, A. Biofilm formation and quorum-sensing-molecule production by clinical isolates of Serratia liquefaciens. Appl. Environ. Microbiol. 2015, 81, 3306–3315. [Google Scholar] [CrossRef]






| Isolate Code | ZOI (mm) | MICs (µg/mL) | FICI | MICs (µg/mL) | FICI | MICs (µg/mL) | FICI | |||
|---|---|---|---|---|---|---|---|---|---|---|
| RIF (RIF + MEM) | MEM (MEM + RIF) | RIF (RIF + DOR) | DOR (DOR + RIF) | RIF (RIF + IMP) | IMP (IMP + RIF) | |||||
| ST002 | 17.5 | 2 (0.5) | 32 (16) | 0.8 (A) | 2 (0.5) | 16 (8) | 0.8 (A) | 2 (1) | 32 (16) | 1(I) |
| ST004 | NZ | 64 (8) | 16 (8) | 0.6 (A) | 64 (8) | 16 (8) | 0.6 (A) | 64 (16) | 128 (32) | 0.6 (A) |
| ST011 | 7 | 1 (0.125) | 128 (64) | 0.6 (A) | 1 (0.125) | 32 (16) | 0.6 (A) | 1 (0.25) | 512 (256) | 0.8 (A) |
| ST016 | 5.8 | 1 (0.25) | 16 (8) | 0.8 (A) | ND | ND | ND | 1 (0.5) | 16 (8) | 1 (I) |
| PA025 | 17.7 | 1 (0.5) | 64 (32) | 1 (I) | 1 (0.5) | 16 (0.5) | 1 (I) | 1 (0.13) | 128 (64) | 0.6 (A) |
| PA037 | 17.1 | 2 (0.5) | 128 (32) | 0.5 (S) | 2 (0.5) | 64 (32) | 0.8 (A) | 1 (0.5) | 128 (32) | 0.5 (S) |
| TR009 | NZ | 64 (16) | 128 (64) | 0.8 (A) | 64 (16) | 16 (8) | 0.8 (A) | 64 (16) | 64 (16) | 0.5 (S) |
| TR023 | 11.55 | 2 (0.5) | 128 (32) | 0.5 (S) | 2 (05) | 32 (16) | 0.8 (A) | 1 (0.25) | 128 (32) | 0.5 (S) |
| TR045 | 8 | 2 (0.5) | 128 (64) | 0.8 (A) | 2 (0.5) | 64 (32) | 0.8 (A) | 2 (0.5) | 128 (64) | 0.8 (A) |
| TR057 | 8.7 | 4 (1) | 64 (16) | 0.5 | 4 (1) | 32 (16) | 0.8 (A) | 4 (1) | 128 (64) | 0.8 (A) |
| TR069 | NZ | 32 (4) | 32 (16) | 0.6 (A) | 32 (4) | 8 (4) | 0.6 (A) | 32 (4) | 64 (32) | 0.6 (A) |
| TR082 | NZ | 32 (4) | 16 (8) | 0.6 (A) | 32 (4) | 16 (8) | 0.6 (A) | 32 (4) | 32 (16) | 0.6 (A) |
| TR119 | 14.7 | 2 (0.5) | 128 (64) | 0.8 (A) | 2 (0.5) | 64 (32) | 0.8 (A) | 2 (0.5) | 256 (128) | 0.8 (A) |
| TR0121 | 12.7 | 2 (0.5) | 128 (64) | 0.8 (A) | 2 (0.5) | 64 (32) | 0.8 (A) | 2 (0.5) | 256 (64) | 0.5 (S) |
| TR123 | 7 | 8 (4) | 128 (32) | 0.8 (A) | 8 (2) | 128 (32) | 0.5 (S) | 8 (2) | 64 (32) | 0.5 (S) |
| TR125 | NZ | 64 (16) | 16 (4) | 0.5 (S) | 64 (16) | 8 (4) | 0.8 (A) | 64 (16) | 16 (4) | 0.5 (S) |
| TR131 | 10.2 | 4 (1) | 32 (8) | 0.5 (S) | 4 (1) | 8 (4) | 0.8 (A) | 4 (0.5) | 32 (16) | 0.6 (A) |
| SK009 | 10.69 | 256 (64) | 128 (64) | 0.8 (A) | 256 (128) | 64 (32) | 1 (I) | 256 (128) | 64 (32) | 1 (I) |
| SK015 | NZ | 64 (8) | 64 (32) | 0.6 (A) | 64 (8) | 32 (16) | 0.8 (A) | 64 (32) | 64 (16) | 0.6 (A) |
| SK024 | NZ | 16 (4) | 128 (16) | 0.5 (S) | 16 (4) | 16 (8) | 0.8 (A) | 16 (2) | 64 (32) | 0.6(A) |
| SK025 | NZ | 16 (2) | 64 (32) | 0.6 (A) | 16 (4) | 16 (8) | 0.8 (A) | 16 (2) | 128 (64) | 0.6(A) |
| SK035 | 7 | 1 (0.5) | 32 (8) | 0.8 (A) | 1 (0.25) | 32 (8) | 0.5 (S) | 1 (0.25) | 64 (16) | 0.5 (S) |
| SK040 | NZ | 32 (8) | 16 (4) | 0.5 (S) | 32 (4) | 16 (8) | 0.6 (A) | 32 (8) | 64 (16) | 0.5 (S) |
| SK052 | NZ | 64 (8) | 32 (16) | 0.6 (A) | 64 (16) | 32 (16) | 0.8 (A) | 64 (8) | 128 (64) | 0.6 (A) |
| SK056 | NZ | 64 (8) | 32 (16) | 0.6 (A) | 64 (16) | 16 (8) | 0.8 (A) | 64 (8) | 64 (32) | 0.6 (A) |
| SK059 | NZ | 64 (8) | 16 (8) | 0.6 (A) | 64 (8) | 8 (4) | 0.6 (A) | 64 (8) | 32 (8) | 0.4 |
| Sk065 | NZ | 32 (4) | 32 (16) | 0.6 (A) | 32 (4) | 16 (8) | 0.6 (A) | 32 (4) | 128 (32) | 0.4 (S) |
| Sk067 | 14.7 | 64 (8) | 64 (32) | 0.6 (A) | 64 (16) | 32 (16) | 0.8 (A) | 64 (16) | 256 (128) | 0.8 (A) |
| SK068 | 14.7 | 1 (0.125) | 128 (64) | 0.6 (A) | 1 (0.25) | 32 (16) | 0.8 (A) | 1 (0.125) | 128 (64) | 0.6 (A) |
| ATCC 19606 | <1 | <1 | <1 | <1 | <1 | <1 | ||||
Disclaimer/Publisher’s Note: The statements, opinions and data contained in all publications are solely those of the individual author(s) and contributor(s) and not of MDPI and/or the editor(s). MDPI and/or the editor(s) disclaim responsibility for any injury to people or property resulting from any ideas, methods, instructions or products referred to in the content. |
© 2023 by the authors. Licensee MDPI, Basel, Switzerland. This article is an open access article distributed under the terms and conditions of the Creative Commons Attribution (CC BY) license (https://creativecommons.org/licenses/by/4.0/).
Share and Cite
Nwabor, L.C.; Chukamnerd, A.; Nwabor, O.F.; Pomwised, R.; Voravuthikunchai, S.P.; Chusri, S. Rifampicin Enhanced Carbapenem Activity with Improved Antibacterial Effects and Eradicates Established Acinetobacter baumannii Biofilms. Pharmaceuticals 2023, 16, 477. https://doi.org/10.3390/ph16040477
Nwabor LC, Chukamnerd A, Nwabor OF, Pomwised R, Voravuthikunchai SP, Chusri S. Rifampicin Enhanced Carbapenem Activity with Improved Antibacterial Effects and Eradicates Established Acinetobacter baumannii Biofilms. Pharmaceuticals. 2023; 16(4):477. https://doi.org/10.3390/ph16040477
Chicago/Turabian StyleNwabor, Lois Chinwe, Arnon Chukamnerd, Ozioma Forstinus Nwabor, Rattanaruji Pomwised, Supayang P. Voravuthikunchai, and Sarunyou Chusri. 2023. "Rifampicin Enhanced Carbapenem Activity with Improved Antibacterial Effects and Eradicates Established Acinetobacter baumannii Biofilms" Pharmaceuticals 16, no. 4: 477. https://doi.org/10.3390/ph16040477
APA StyleNwabor, L. C., Chukamnerd, A., Nwabor, O. F., Pomwised, R., Voravuthikunchai, S. P., & Chusri, S. (2023). Rifampicin Enhanced Carbapenem Activity with Improved Antibacterial Effects and Eradicates Established Acinetobacter baumannii Biofilms. Pharmaceuticals, 16(4), 477. https://doi.org/10.3390/ph16040477

