Cetirizine and Levetiracetam as Inhibitors of Monoacylglycerol Lipase: Investigating Their Repurposing Potential as Novel Osteoarthritic Pain Therapies
Abstract
1. Introduction
2. Results
2.1. MAGL Activity Assay
2.2. Molecular Docking
2.3. Mechanical Pain Response
2.4. Thermal Pain Response
2.5. Anti-Inflammatory Effect
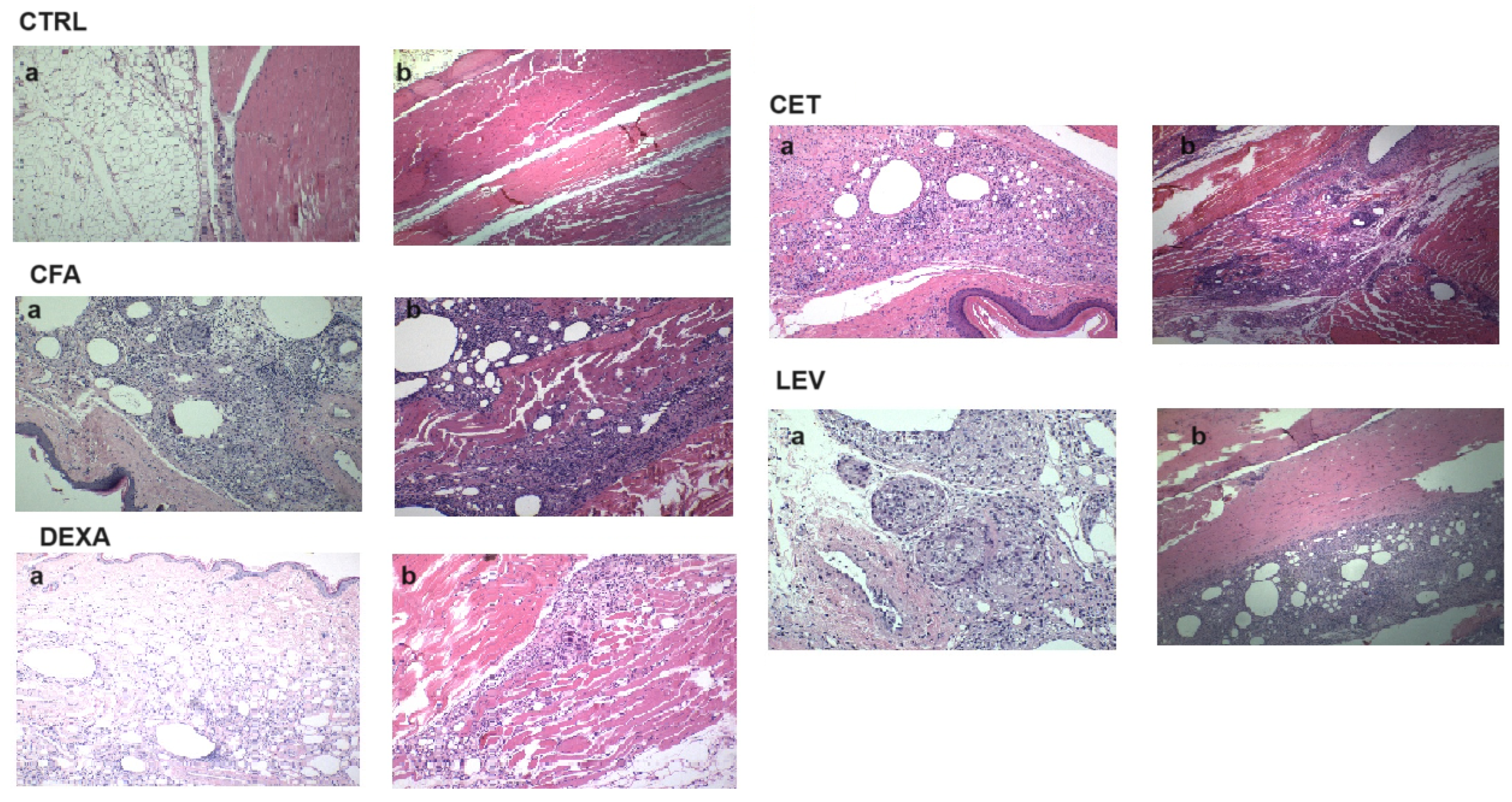
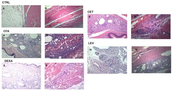
2.6. Histopathological Analysis
3. Discussion
4. Materials and Methods
4.1. MAGL Activity Assay
4.2. Animals
4.3. Induction of Osteoarthritis
4.4. Randall–Selitto Test
4.5. Hot Plate Test
4.6. Paw Volume Assessment
4.7. Histological Assessment
4.8. Molecular Docking
4.9. Statistical Analysis
5. Conclusions
Author Contributions
Funding
Institutional Review Board Statement
Informed Consent Statement
Data Availability Statement
Conflicts of Interest
References
- Mobasheri, A.; Batt, M. An update on the pathophysiology of osteoarthritis. Ann. Phys. Rehabil. Med. 2016, 59, 333–339. [Google Scholar] [CrossRef] [PubMed]
- Leifer, V.P.; Katz, J.N.; Losina, E. The burden of OA-health services and economics. Osteoarthr. Cartil. 2022, 30, 10–16. [Google Scholar] [CrossRef] [PubMed]
- Conaghan, P.G.; Cook, A.D.; Hamilton, J.A.; Tak, P.P. Therapeutic options for targeting inflammatory osteoarthritis pain. Nat. Rev. Rheumatol. 2019, 15, 355–363. [Google Scholar] [CrossRef] [PubMed]
- Guindon, J.; Hohmann, A. The Endocannabinoid System and Pain. CNS Neurol. Disord.—Drug Targets 2009, 8, 403–421. [Google Scholar] [CrossRef] [PubMed]
- Sugiura, T. Physiological roles of 2-arachidonoylglycerol, an endogenous cannabinoid receptor ligand. BioFactors 2009, 35, 88–97. [Google Scholar] [CrossRef]
- Sugiura, T.; Kishimoto, S.; Oka, S.; Gokoh, M. Biochemistry, pharmacology and physiology of 2-arachidonoylglycerol, an endogenous cannabinoid receptor ligand. Prog. Lipid Res. 2006, 45, 405–446. [Google Scholar] [CrossRef]
- Chicca, A.; Marazzi, J.; Gertsch, J. The antinociceptive triterpene β-amyrin inhibits 2-arachidonoylglycerol (2-AG) hydrolysis without directly targeting cannabinoid receptors. Br. J. Pharmacol. 2012, 167, 1596–1608. [Google Scholar] [CrossRef]
- Mbizvo, G.K.; Dixon, P.; Hutton, J.L.; Marson, A.G. The adverse effects profile of levetiracetam in epilepsy: A more detailed look. Int. J. Neurosci. 2014, 124, 627–634. [Google Scholar] [CrossRef]
- Portnoy, J.M.; Dinakar, C. Review of cetirizine hydrochloride for the treatment of allergic disorders. Expert Opin. Pharmacother. 2004, 5, 125–135. [Google Scholar] [CrossRef]
- Zanfirescu, A.; Ungurianu, A.; Mihai, D.P.; Radulescu, D.; Nitulescu, G.M. Targeting monoacylglycerol lipase in pursuit of therapies for neurological and neurodegenerative diseases. Molecules 2021, 26, 5668. [Google Scholar] [CrossRef]
- Bononi, G.; Poli, G.; Rizzolio, F.; Tuccinardi, T.; Macchia, M.; Minutolo, F.; Granchi, C. An updated patent review of monoacylglycerol lipase (MAGL) inhibitors (2018–present). Expert Opin. Ther. Pat. 2021, 31, 153–168. [Google Scholar] [CrossRef] [PubMed]
- Priya, M.; Sathya, N.V.; Satyajit, M.; Jamuna, R.R. Screening of cetirizine for analgesic activity in mice. Int. J. Basic Clin. Pharmacol. 2013, 2, 187. [Google Scholar]
- Ashmawi, H.A.; Braun, L.M.; Sousa, A.M.; Posso, I.d.P. Analgesic Effects Of H1 Receptor Antagonists In The Rat Model Of Formalin-Induced Pain. Brazilian J. Anesthesiol. 2009, 59, 461–470. [Google Scholar] [CrossRef] [PubMed]
- Khalilzadeh, E.; Azarpey, F.; Hazrati, R. The effect of histamine h1 receptor antagonists on the morphine-induced antinociception in the acute trigeminal model of nociception in rats. Asian J. Pharm. Clin. Res. 2017, 10, 76–80. [Google Scholar] [CrossRef][Green Version]
- Hunskaar, S.; Hole, K. The formalin test in mice: Dissociation between inflammatory and non-inflammatory pain. Pain 1987, 30, 103–114. [Google Scholar] [CrossRef]
- Stepanović-Petrović, R.M.; Micov, A.M.; Tomić, M.A.; Ugrešić, N.D. The Local Peripheral Antihyperalgesic Effect of Levetiracetam and Its Mechanism of Action in an Inflammatory Pain Model. Anesth. Analg. 2012, 115, 1457–1466. [Google Scholar] [CrossRef]
- Wiffen, P.J.; Derry, S.; Moore, R.A.; Lunn, M.P.T. Levetiracetam for Neuropathic Pain in Adults. In Cochrane Database of Systematic Reviews; Derry, S., Ed.; John Wiley & Sons, Ltd.: Chichester, UK, 2014; Volume 2017. [Google Scholar]
- Asgharpour-Masouleh, N.; Rezayof, A.; Alijanpour, S.; Delphi, L. Pharmacological activation of mediodorsal thalamic GABA-A receptors modulates morphine/cetirizine-induced changes in the prefrontal cortical GFAP expression in a rat model of neuropathic pain. Behav. Brain Res. 2023, 438, 114213. [Google Scholar] [CrossRef]
- Tomić, M.A.; Micov, A.M.; Stepanović-Petrović, R.M. Levetiracetam interacts synergistically with nonsteroidal analgesics and caffeine to produce antihyperalgesia in rats. J. Pain 2013, 14, 1371–1382. [Google Scholar] [CrossRef]
- Sakin, Y.S.; Dogrul, A.; Ilkaya, F.; Seyrek, M.; Ulas, U.H.; Gulsen, M.; Bagci, S. The effect of FAAH, MAGL, and Dual FAAH/MAGL inhibition on inflammatory and colorectal distension-induced visceral pain models in Rodents. Neurogastroenterol. Motil. 2015, 27, 936–944. [Google Scholar] [CrossRef]
- Ignatowska-Jankowska, B.M.; Ghosh, S.; Crowe, M.S.; Kinsey, S.G.; Niphakis, M.J.; Abdullah, R.A.; Tao, Q.; O’Neal, S.T.; Walentiny, D.M.; Wiley, J.L.; et al. In vivo characterization of the highly selective monoacylglycerol lipase inhibitor KML29: Antinociceptive activity without cannabimimetic side effects. Br. J. Pharmacol. 2014, 171, 1392–1407. [Google Scholar] [CrossRef]
- Ghosh, S.; Wise, L.E.; Chen, Y.; Gujjar, R.; Mahadevan, A.; Cravatt, B.F.; Lichtman, A.H. The monoacylglycerol lipase inhibitor JZL184 suppresses inflammatory pain in the mouse carrageenan model. Life Sci. 2013, 92, 498–505. [Google Scholar] [CrossRef] [PubMed]
- Brindisi, M.; Maramai, S.; Gemma, S.; Brogi, S.; Grillo, A.; Di Cesare Mannelli, L.; Gabellieri, E.; Lamponi, S.; Saponara, S.; Gorelli, B.; et al. Development and Pharmacological Characterization of Selective Blockers of 2-Arachidonoyl Glycerol Degradation with Efficacy in Rodent Models of Multiple Sclerosis and Pain. J. Med. Chem. 2016, 59, 2612–2632. [Google Scholar] [CrossRef] [PubMed]
- Smith, F.M.; Haskelberg, H.; Tracey, D.J.; Moalem-Taylor, G. Role of histamine H3 and H4 receptors in mechanical hyperalgesia following peripheral nerve injury. Neuroimmunomodulation 2007, 14, 317–325. [Google Scholar] [CrossRef]
- Obara, I.; Telezhkin, V.; Alrashdi, I.; Chazot, P.L. Histamine, histamine receptors, and neuropathic pain relief. Br. J. Pharmacol. 2020, 177, 580–599. [Google Scholar] [CrossRef] [PubMed]
- Tetlow, L.C.; Woolley, D.E. Effect of histamine on the production of matrix metalloproteinases-1, -3, -8 and -13, and TNF? and PGE2 by human articular chondrocytes and synovial fibroblasts in vitro: A comparative study. Virchows Arch. 2004, 445, 485–490. [Google Scholar] [CrossRef] [PubMed]
- Tetlow, L.C.; Woolley, D.E. Histamine stimulates matrix metalloproteinase-3 and -13 production by human articular chondrocytes in vitro. Ann. Rheum. Dis. 2002, 61, 737–740. [Google Scholar] [CrossRef] [PubMed]
- Yoshida, H.; Nagaoka, A.; Kusaka-Kikushima, A.; Tobiishi, M.; Kawabata, K.; Sayo, T.; Sakai, S.; Sugiyama, Y.; Enomoto, H.; Okada, Y.; et al. KIAA1199, a deafness gene of unknown function, is a new hyaluronan binding protein involved in hyaluronan depolymerization. Proc. Natl. Acad. Sci. USA 2013, 110, 5612–5617. [Google Scholar] [CrossRef]
- Al-Romaiyan, A.; Masocha, W. Pristimerin, a triterpene that inhibits monoacylglycerol lipase activity, prevents the development of paclitaxel-induced allodynia in mice. Front. Pharmacol. 2022, 13, 944502. [Google Scholar] [CrossRef]
- Jaiswal, S.; Ayyannan, S.R. Anticancer Potential of Small-Molecule Inhibitors of Fatty Acid Amide Hydrolase and Monoacylglycerol Lipase. ChemMedChem 2021, 16, 2172–2187. [Google Scholar] [CrossRef]
- Puris, E.; Petralla, S.; Auriola, S.; Kidron, H.; Fricker, G.; Gynther, M. Monoacylglycerol Lipase Inhibitor JJKK048 Ameliorates ABCG2 Transporter-Mediated Regorafenib Resistance Induced by Hypoxia in Triple Negative Breast Cancer Cells. J. Pharm. Sci. 2023, 112, 2581–2590. [Google Scholar] [CrossRef]
- Wittig, F.; Henkel, L.; Prüser, J.L.; Merkord, J.; Ramer, R.; Hinz, B. Inhibition of Monoacylglycerol Lipase Decreases Angiogenic Features of Endothelial Cells via Release of Tissue Inhibitor of Metalloproteinase-1 from Lung Cancer Cells. Cells 2023, 12, 1757. [Google Scholar] [CrossRef] [PubMed]
- Luo, S.; Li, H.; Liu, J.; Xie, X.; Wan, Z.; Wang, Y.; Zhao, Z.; Wu, X.; Li, X.; Yang, M.; et al. Andrographolide ameliorates oxidative stress, inflammation and histological outcome in complete Freund’s adjuvant-induced arthritis. Chem. Biol. Interact. 2020, 319, 108984. [Google Scholar] [CrossRef] [PubMed]
- Deuis, J.R.; Dvorakova, L.S.; Vetter, I. Methods used to evaluate pain behaviors in rodents. Front. Mol. Neurosci. 2017, 10, 284. [Google Scholar] [CrossRef]
- Falk, S.; Ipsen, D.H.; Appel, C.K.; Ugarak, A.; Durup, D.; Dickenson, A.H.; Heegaard, A.M. Randall Selitto pressure algometry for assessment of bone-related pain in rats. Eur. J. Pain 2015, 19, 305–312. [Google Scholar] [CrossRef] [PubMed]
- Kayser, V. Randall-Selitto Paw Pressure Test. In Encyclopedia of Pain; Springer: Berlin/Heidelberg, Germany, 2013; Volume 4, pp. 3357–3360. [Google Scholar]
- Zanfirescu, A.; Cristea, A.N.; Nitulescu, G.M.; Velescu, B.S.; Gradinaru, D. Chronic monosodium glutamate administration induced hyperalgesia in mice. Nutrients 2018, 10, 1. [Google Scholar] [CrossRef] [PubMed]
- Fierascu, R.C.; Georgiev, M.I.; Fierascu, I.; Ungureanu, C.; Avramescu, S.M.; Ortan, A.; Georgescu, M.I.; Sutan, A.N.; Zanfirescu, A.; Dinu-Pirvu, C.E.; et al. Mitodepressive, antioxidant, antifungal and anti-inflammatory effects of wild-growing Romanian native Arctium lappa L. (Asteraceae) and Veronica persica Poiret (Plantaginaceae). Food Chem. Toxicol. 2018, 111, 44–52. [Google Scholar] [CrossRef]
- Hayer, S.; Vervoordeldonk, M.J.; Denis, M.C.; Armaka, M.; Hoffmann, M.; Bäcklund, J.; Nandakumar, K.S.; Niederreiter, B.; Geka, C.; Fischer, A.; et al. SMASH recommendations for standardised microscopic arthritis scoring of histological sections from inflammatory arthritis animal models. Ann. Rheum. Dis. 2021, 80, 714–726. [Google Scholar] [CrossRef]
- Aida, J.; Fushimi, M.; Kusumoto, T.; Sugiyama, H.; Arimura, N.; Ikeda, S.; Sasaki, M.; Sogabe, S.; Aoyama, K.; Koike, T. Design, Synthesis, and Evaluation of Piperazinyl Pyrrolidin-2-ones as a Novel Series of Reversible Monoacylglycerol Lipase Inhibitors. J. Med. Chem. 2018, 61, 9205–9217. [Google Scholar] [CrossRef] [PubMed]
- Land, H.; Humble, M.S. YASARA: A Tool to Obtain Structural Guidance in Biocatalytic Investigations. In Protein Engineering: Methods and Protocols; Springer: Berlin/Heidelberg, Germany, 2018; pp. 43–67. [Google Scholar]
- Zanfirescu, A.; Nitulescu, G.; Mihai, D.P.; Nitulescu, G.M. Identifying FAAH Inhibitors as New Therapeutic Options for the Treatment of Chronic Pain through Drug Repurposing. Pharmaceuticals 2021, 15, 38. [Google Scholar] [CrossRef]
- Trott, O.; Olson, A.J. AutoDock Vina: Improving the speed and accuracy of docking with a new scoring function, efficient optimization, and multithreading. J. Comput. Chem. 2010, 31, 455–461. [Google Scholar] [CrossRef]





| Compound | IC50 (µM) | Concentration (µM) | Inhibition (%, mean ± S.E.M.) |
|---|---|---|---|
| Cetirizine | 9.3931 | 10 | 52.775 ± 0.925 |
| 1 | 21.610 ± 1.859 | ||
| 0.1 | 7.230 ± 1.049 | ||
| 0.01 | 1.975 ± 5.615 | ||
| 0.001 | 1.690 ± 3.140 | ||
| Levetiracetam | 3.0095 | 10 | 60.800 ± 2.599 |
| 1 | 29.920 ± 0.509 | ||
| 0.1 | 9.880 ± 1.309 | ||
| 0.01 | 2.455 ± 0.304 | ||
| 0.001 | 1.225 ± 0.214 |
| Rat | CTL | CFA | CFA + TRM | CFA + LEV | CFA + CET | ||||||||||
|---|---|---|---|---|---|---|---|---|---|---|---|---|---|---|---|
| Day 0 | Day 7 | Day 14 | Day 0 | Day 7 | Day 14 | Day 0 | Day 7 | Day 14 | Day 0 | Day 7 | Day 14 | Day 0 | Day 7 | Day 14 | |
| Mean ± S.E.M | 22.50 ± 1.57 | 21.15 ± 1.71 | 21.90 ± 1.49 | 23.15 ± 1.26 | 12.24 ± 2.08 | 17.65 ± 2.18 | 21.70 ± 2.00 | 20.45 ± 2.05 | 22.35 ± 1.64 | 24.95 ± 0.05 | 16.56 ± 2.36 | 19.39 ± 1.73 | 25.00 ± 0.00 | 19.30 ± 1.78 | 21.90 ± 1.49 |
| % variation vs. baseline | −6 | −2.67 | −47.13 | −23.76 | −5.76 | 2.99 | −33.63 | −22.28 | −22.8 | −12.4 | |||||
| % variation vs. control | −41.13 ** | −21.09 | 0.24 | 5.66 | −27.63 | −19.62 | −16.8 | −9.73 | |||||||
| % variation vs. CFA | 41.37 # | 26.75 | 13.50 | 1.47 | 24.33 # | 14.02 | |||||||||
| Rat | CTL | CFA | CFA + TRM | CFA + LEV | CFA + CET | ||||||||||
|---|---|---|---|---|---|---|---|---|---|---|---|---|---|---|---|
| Day 0 | Day 7 | Day 14 | Day 0 | Day 7 | Day 14 | Day 0 | Day 7 | Day 14 | Day 0 | Day 7 | Day 14 | Day 0 | Day 7 | Day 14 | |
| Mean ± S.E.M | 5.35 ± 0.28 | 5.63 ± 0.27 | 6.11 ± 0.59 | 5.45 ± 0.42 | 4.93 ± 0.63 | 4.14 ± 0.32 | 6.2 ± 0.43 | 8.82 ± 0.97 | 7.29 ± 0.63 | 5.1 ± 0.34 | 6.22 ± 0.15 | 7.03 ± 0.87 | 5.82 ± 0.54 | 5.11 ± 0.30 | 5.89 ± 0.55 |
| % variation vs. baseline | 5.23 | 14.21 | −9.54 | −24.04 | 42.26 | 17.58 | 13.02 | −6.43 | 15.26 | 25.44 | |||||
| % variation vs. control | −14.77 | −38.24 * | 37.03 | 3.38 | 7.78 | −20.64 | 10.03 | 11.23 | |||||||
| % variation vs. CFA | 40.97 # | 41.62 ## | 11.74 | 17.61 | 13.98 | 35.27 # | |||||||||
| Rat | CTL | CFA | CFA + DEXA | CFA + LEV | CFA + CET |
|---|---|---|---|---|---|
| 1 | 0 | 2 | 1 | 3 | 2 |
| 2 | 0 | 2 | 1 | 2 | 2 |
| 3 | 0 | 2 | 1 | 2 | 2 |
| 4 | 0 | 3 | 1 | 2 | 2 |
| 5 | 0 | 2 | 1 | 2 | 2 |
| 6 | 1 | 2 | |||
| Mean ± S.E.M | 0 | 2.20 ± 0.2 | 1 | 2.20 ± 0.2 | 2 |
| ANOVA F(5, 32) | 47.93 | ||||
| ANOVA p | <0.0001 | ||||
| post-hoc | - | *** | ### | - | - |
| Drug | Side Effects |
|---|---|
| Levetiracetam | Upper respiratory tract or urinary tract infections, somnolence, dizziness, behavioral effects such as depression, anxiety, aggression, nervousness, agitation, irritability, headache, asthenia, accidental injury, flu syndrome, nausea and diarrhea [8] |
| Cetirizine | Dry mouth, somnolence and fatigue [9] |
Disclaimer/Publisher’s Note: The statements, opinions and data contained in all publications are solely those of the individual author(s) and contributor(s) and not of MDPI and/or the editor(s). MDPI and/or the editor(s) disclaim responsibility for any injury to people or property resulting from any ideas, methods, instructions or products referred to in the content. |
© 2023 by the authors. Licensee MDPI, Basel, Switzerland. This article is an open access article distributed under the terms and conditions of the Creative Commons Attribution (CC BY) license (https://creativecommons.org/licenses/by/4.0/).
Share and Cite
Andrei, C.; Mihai, D.P.; Nitulescu, G.; Ungurianu, A.; Margina, D.M.; Nitulescu, G.M.; Olaru, O.T.; Busca, R.M.; Zanfirescu, A. Cetirizine and Levetiracetam as Inhibitors of Monoacylglycerol Lipase: Investigating Their Repurposing Potential as Novel Osteoarthritic Pain Therapies. Pharmaceuticals 2023, 16, 1563. https://doi.org/10.3390/ph16111563
Andrei C, Mihai DP, Nitulescu G, Ungurianu A, Margina DM, Nitulescu GM, Olaru OT, Busca RM, Zanfirescu A. Cetirizine and Levetiracetam as Inhibitors of Monoacylglycerol Lipase: Investigating Their Repurposing Potential as Novel Osteoarthritic Pain Therapies. Pharmaceuticals. 2023; 16(11):1563. https://doi.org/10.3390/ph16111563
Chicago/Turabian StyleAndrei, Corina, Dragos Paul Mihai, Georgiana Nitulescu, Anca Ungurianu, Denisa Marilena Margina, George Mihai Nitulescu, Octavian Tudorel Olaru, Radu Mihai Busca, and Anca Zanfirescu. 2023. "Cetirizine and Levetiracetam as Inhibitors of Monoacylglycerol Lipase: Investigating Their Repurposing Potential as Novel Osteoarthritic Pain Therapies" Pharmaceuticals 16, no. 11: 1563. https://doi.org/10.3390/ph16111563
APA StyleAndrei, C., Mihai, D. P., Nitulescu, G., Ungurianu, A., Margina, D. M., Nitulescu, G. M., Olaru, O. T., Busca, R. M., & Zanfirescu, A. (2023). Cetirizine and Levetiracetam as Inhibitors of Monoacylglycerol Lipase: Investigating Their Repurposing Potential as Novel Osteoarthritic Pain Therapies. Pharmaceuticals, 16(11), 1563. https://doi.org/10.3390/ph16111563

