Sign in to use this feature.

Years

Between: -

Subjects

remove_circle_outline
remove_circle_outline
remove_circle_outline
remove_circle_outline
remove_circle_outline
remove_circle_outline

Journals

Article Types

Countries / Regions

Search Results (29)

Search Parameters:
Keywords = cetirizine

Order results
Result details
Results per page
Select all
Export citation of selected articles as:
19 pages, 6219 KB  
Article
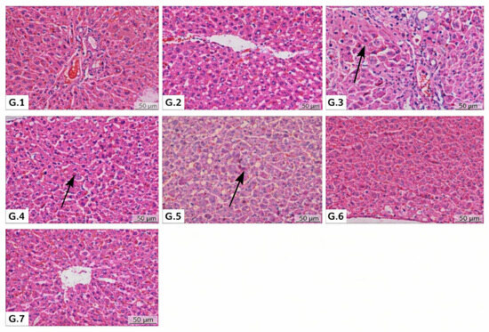
Cetirizine and Dexamethasone in Sepsis: Insights into Maresin-1 Signaling and Cytokine Regulation
by Yalcin Aydin, Mehmet Kazim Borku, Kader Ugur, Yesari Eroksuz, Elif Emre, Canan Akdeniz Incili, İbrahim Sahin, İlknur Zeynep Acarturk, Suleyman Aydin and Do-Youn Lee
J. Clin. Med. 2026, 15(1), 198; https://doi.org/10.3390/jcm15010198 - 26 Dec 2025
Viewed by 365
Abstract
Background/Objectives: Sepsis remains one of the leading causes of mortality, yet its etiopathogenesis is still not fully understood. This study aimed to investigate the effects of cetirizine and dexamethasone (alone and in combination) on serum levels of Maresin-1 (MaR-1), TNF-α, IFN-γ, IL-1, [...] Read more.
Background/Objectives: Sepsis remains one of the leading causes of mortality, yet its etiopathogenesis is still not fully understood. This study aimed to investigate the effects of cetirizine and dexamethasone (alone and in combination) on serum levels of Maresin-1 (MaR-1), TNF-α, IFN-γ, IL-1, IL-2, IL-6, IL-8, and IL-10 in a rat model of sepsis induced by the cecal ligation and puncture (CLP) method. Methods: Male Sprague Dawley rats aged 8–10 weeks were used and randomly divided into 7 groups, each containing 7 rats: Group 1 (Control), Group 2 (Sham), Group 3 (Sepsis), Group 4 (Sepsis + Saline), Group 5 (Sepsis + Cetirizine), Group 6 (Sepsis + Dexamethasone), and Group 7 (Sepsis + Cetirizine + Dexamethasone). Sepsis was induced via CLP in all groups except Control and Sham. Results: In the sepsis groups (G3–G7), neutrophil and white blood cell counts increased while lymphocyte counts decreased (p < 0.05). In groups treated with cetirizine and/or dexamethasone (G5–G7), a significant decrease in neutrophils and an increase in lymphocytes were observed. MaR-1 levels significantly decreased (p < 0.05) in all sepsis-induced groups compared to controls, while interleukin levels significantly increased. Cetirizine and dexamethasone supplementation significantly increased MaR-1 levels and decreased interleukin levels (p < 0.05). The combined treatment was more effective. Conclusions: This study is the first to highlight the potential of MaR-1 as a critical biomarker in sepsis diagnosis and monitoring, and cetirizine and dexamethasone, especially in combination, may represent a promising therapeutic option in sepsis management. Full article
(This article belongs to the Section General Surgery)
Show Figures

Figure 1

22 pages, 2669 KB  
Article
Development of Spray-Dried Mannitol–Pregelatinized Rice Starch Using SeDeM-Based Approach for Direct Compressible Cetirizine Dihydrochloride Tablets
by Phennapha Saokham, Ruttiros Khonkarn, Pratchaya Tipduangta, Pattaraporn Panraksa and Karnkamol Trisopon
Pharmaceutics 2025, 17(11), 1409; https://doi.org/10.3390/pharmaceutics17111409 - 30 Oct 2025
Viewed by 843
Abstract
Background/Objectives: Direct compression offers a cost-effective route for tablet manufacturing but is often limited by poor powder flow and compressibility. This study reported the development of a co-processed excipient comprising 98% mannitol and 2% pregelatinized rice starch (PRS) using spray drying with [...] Read more.
Background/Objectives: Direct compression offers a cost-effective route for tablet manufacturing but is often limited by poor powder flow and compressibility. This study reported the development of a co-processed excipient comprising 98% mannitol and 2% pregelatinized rice starch (PRS) using spray drying with ammonium bicarbonate as a pore-forming agent. Methods: This optimized excipient demonstrated balanced powder flow and enhanced compressibility suitable for direct compression applications. The SeDeM expert system guided the optimization process by evaluating raw and spray-dried components. PRS exhibited excellent flowability that decreased after spray drying but displayed significantly enhanced compressibility, whereas mannitol maintained superior flow but continued to show limited compressibility post-drying. Scanning electron microscopy, differential scanning calorimetry, Fourier-transform infrared spectroscopy, and X-ray powder diffraction confirmed the absence of chemical interactions and unchanged wettability during co-processing. Results: The resulting excipient combined the favorable flow characteristics of mannitol with the improved compressibility of PRS, rendering it suitable for direct compression. Cetirizine dihydrochloride (CET) tablets were formulated via exponential curve fitting within the SeDeM framework, yielding an optimal CET-to-excipient ratio of 13:87. The tablets met all pharmacopeial physicochemical requirements, including uniform mass, adequate tensile strength, rapid disintegration, and dissolution profiles comparable to a reference product, with dissimilarity (f1 = 4.28) and similarity (f2 = 64.03) factors within regulatory acceptance limits. Conclusions: These findings represented the first application of SeDeM methodology to a co-processed mannitol–pregelatinized rice starch system, enabling predictive optimization of powder flow and compressibility in direct compression formulations. Full article
Show Figures

Graphical abstract

15 pages, 1075 KB  
Article
Synergistic Antibacterial Activity of Azithromycin-Loaded Chitosan Nanoparticles Alone and in Combination with Cetirizine Dihydrochloride Against Resistant Isolates of Respiratory Tract Infections
by Umbreen Anwar, Adeel Sattar, Muhammad Adil Rasheed, Muhammad Abu Bakr Shabbir and Mateen Abbas
Antibiotics 2025, 14(10), 992; https://doi.org/10.3390/antibiotics14100992 - 3 Oct 2025
Viewed by 1270
Abstract
Background/Objectives: Antibiotic resistance is a major public health concern, with considerable socio-economic consequences. Researchers are exploring alternative strategies, including nanotechnology, which has shown significance in targeted drug delivery. This study evaluates the synergistic antibacterial activity of azithromycin-loaded chitosan nanoparticles (AZM-CSNPs) against azithromycin-resistant clinical [...] Read more.
Background/Objectives: Antibiotic resistance is a major public health concern, with considerable socio-economic consequences. Researchers are exploring alternative strategies, including nanotechnology, which has shown significance in targeted drug delivery. This study evaluates the synergistic antibacterial activity of azithromycin-loaded chitosan nanoparticles (AZM-CSNPs) against azithromycin-resistant clinical respiratory isolates of methicillin-resistant Staphylococcus aureus (MRSA) and Klebsiella pneumoniae (K. pneumoniae). Methods: A total of 87 sputum samples (n = 87) were collected and analyzed. The ermB gene for K. pneumoniae and the ermA gene for MRSA were used to confirm resistant isolates. Among 87 samples, 29 manifested K. pneumoniae, and 32 exhibited MRSA-positive cultures, confirmed through phenotypic and genotypic methods. The RT-PCR is performed by using a cDNA Kit to determine the gene expression. Results: The results elucidate resistance of K. pneumoniae against several antibiotics, including azithromycin (15 µg), chloramphenicol (30 µg), and amoxicillin (30 µg), while MRSA also showed resistance to cefoxitin (30 µg), azithromycin (15 µg), and gentamycin (10 µg). Reduction in the MIC value of the nanoparticle formulation showed their effectiveness. The AZM-CSNPs combined with cetirizine dihydrochloride helped to down-regulate the resistant genes. Conclusions: Notably, a strong synergistic effect was observed with AZM-CSNPs in combination with cetirizine, significantly enhancing antibacterial efficacy against resistant isolates. Full article
Show Figures

Figure 1

15 pages, 543 KB  
Article
Occurrence of Pharmaceuticals and Personal Care Products in Cannabis sativa L. Following Application of Sewage Sludge-Based Composts and Vermicomposts
by Ales Hanc, Bayu Dume, Sarka Kusnierova, Milan Hrcka, Tereza Hrebeckova, Pavel Michal, Maha Hleibieh, Alena Nehasilova and Tomas Cajthaml
Agriculture 2025, 15(5), 470; https://doi.org/10.3390/agriculture15050470 - 22 Feb 2025
Cited by 1 | Viewed by 1211
Abstract
The use of some organic fertilizers may raise concerns about the transfer of hazardous substances to soil and plants. This study examined the impact of soil amendment with compost and vermicompost derived from sewage sludge and straw pellets in different ratios on the [...] Read more.
The use of some organic fertilizers may raise concerns about the transfer of hazardous substances to soil and plants. This study examined the impact of soil amendment with compost and vermicompost derived from sewage sludge and straw pellets in different ratios on the accumulation of pharmaceuticals and personal care products (PPCPs) by hemp (Cannabis sativa L.). The concentrations of fifty different PPCPs were measured in compost-treated soil, and in the roots and above-ground biomass of cannabis grown on the soil. The highest bioaccumulation of PPCPs was recorded in plants from previously unfertilized soils low in organic matter, while the lowest concentrations were measured in soil amended with compost or vermicompost made from straw pellets only, without sewage sludge. The effect of sludge-derived compost and vermicompost application on the absorption of PPCPs was statistically determined by measurements in soil samples, roots and shoots of carbamazepine, cetirizine, lamotrigine, telmisartan, paraxanthine, tramadol, triclosan, and venlafaxine. The above-ground biomass exhibited lower PPCP content than roots, suggesting a potential plant defense mechanism for limiting contaminant translocation. Only tramadol and carbamazepine showed significantly increased content in above-ground biomass. Full article
Show Figures

Graphical abstract

11 pages, 1112 KB  
Article
Protolytic Equilibria of Cetirizine in the Presence of Micelle-Forming Surfactants
by Marija Popović-Nikolić, Gordana Popović, Slavica Oljačić and Katarina Nikolić
Organics 2025, 6(1), 2; https://doi.org/10.3390/org6010002 - 2 Jan 2025
Cited by 2 | Viewed by 2218
Abstract
The acid–base equilibria of cetirizine were investigated with and without the presence of differently charged micelle-forming surfactants (anionic, cationic, nonionic). The pKa values were potentiometrically determined at 25 °C and at a constant ionic strength (0.1 M NaCl). Experimental data were [...] Read more.
The acid–base equilibria of cetirizine were investigated with and without the presence of differently charged micelle-forming surfactants (anionic, cationic, nonionic). The pKa values were potentiometrically determined at 25 °C and at a constant ionic strength (0.1 M NaCl). Experimental data were analyzed by applying the computer program Hyperquad 5.2.15. Based on a shift in the ionization constants (∆pKa) in micellar solutions against the pKa values determined in “pure” water under the same conditions, the effects of micelles on the protolytic equilibria of cetirizine were estimated. Applied micelles caused a shift in the protolytic equilibria of all cetirizine ionizable centers, with the piperazine function connected to aliphatic side moiety (∆pKa1 from −0.47 to +1.42), carboxyl group (∆pKa2 from −0.92 to +2.02), and piperazine nitrogen connected to phenyl rings (∆pKa3 from −2.01 to +2.19). Anionic SDS and nonionic Brij 35 micelles caused an increase in the pKa values of the ionizable centers of cetirizine, while a decrease in the pKa values was detected under the influence of cationic CTAB and nonionic TX-100 micelles. The change in the ionization pattern by micelles at pH values with biopharmaceutical significance provides indications of possible interactions of cetirizine with biomolecules of different charge and polarity under physiological conditions. Full article
Show Figures

Graphical abstract

12 pages, 2456 KB  
Article
ICOSLG Is Associated with Anti-PD-1 and Concomitant Antihistamine Treatment Response in Advanced Melanoma
by Domenico Mallardo, Mario Fordellone, Margaret Ottaviano, Giuseppina Marano, Maria Grazia Vitale, Mario Mallardo, Mariagrazia Capasso, Teresa De Cristofaro, Mariaelena Capone, Teresa Meinardi, Miriam Paone, Patrizia Sabatelli, Rosaria De Filippi, Alessandra Cesano, Ernesta Cavalcanti, Corrado Caracò, Sarah Warren, Alfredo Budillon, Ester Simeone and Paolo Antonio Ascierto
Int. J. Mol. Sci. 2024, 25(22), 12439; https://doi.org/10.3390/ijms252212439 - 19 Nov 2024
Cited by 2 | Viewed by 3595
Abstract
We previously demonstrated that patients with metastatic unresectable stage IIIb–IV melanoma receiving cetirizine (a second-generation H1 antagonist antihistamine) premedication with immunotherapy had better outcomes than those not receiving cetirizine. In this retrospective study, we searched for a gene signature potentially predictive of the [...] Read more.
We previously demonstrated that patients with metastatic unresectable stage IIIb–IV melanoma receiving cetirizine (a second-generation H1 antagonist antihistamine) premedication with immunotherapy had better outcomes than those not receiving cetirizine. In this retrospective study, we searched for a gene signature potentially predictive of the response to the addition of cetirizine to checkpoint inhibition (nivolumab or pembrolizumab with or without previous ipilimumab). Transcriptomic analysis showed that inducible T cell costimulator ligand (ICOSLG) expression directly correlated with the disease control rate (DCR) when detected with a loading value > 0.3. A multivariable logistic regression model showed a positive association between the DCR and ICOSLG expression for progression-free survival and overall survival. ICOSLG expression was associated with CD64, a specific marker of M1 macrophages, at baseline in the patient samples who received cetirizine concomitantly with checkpoint inhibitors, but this association was not present in subjects who had not received cetirizine. In conclusion, our results show that the clinical advantage of concomitant treatment with cetirizine during checkpoint inhibition in patients with malignant melanoma is associated with high ICOSLG expression, which could predict the response to immune checkpoint inhibitor blockade. Full article
(This article belongs to the Special Issue Advances in Melanoma and Skin Cancers: 2nd Edition)
Show Figures

Figure 1

24 pages, 5428 KB  
Article
GPCR Inhibitors Have Antiviral Properties against JC Polyomavirus Infection
by Amanda L. Sandberg, Avery C. S. Bond, Lucas J. Bennett, Sophie E. Craig, David P. Winski, Lara C. Kirkby, Abby R. Kraemer, Kristina G. Kelly, Samuel T. Hess and Melissa S. Maginnis
Viruses 2024, 16(10), 1559; https://doi.org/10.3390/v16101559 - 30 Sep 2024
Cited by 1 | Viewed by 2926
Abstract
JC polyomavirus (JCPyV) infects the majority of the population and initially establishes a persistent but asymptomatic infection of the kidneys. In healthy individuals, the infection remains controlled by the host immune system, but for individuals experiencing prolonged immunosuppression, the infection can reactivate and [...] Read more.
JC polyomavirus (JCPyV) infects the majority of the population and initially establishes a persistent but asymptomatic infection of the kidneys. In healthy individuals, the infection remains controlled by the host immune system, but for individuals experiencing prolonged immunosuppression, the infection can reactivate and spread to the brain, where it causes progressive multifocal leukoencephalopathy (PML), which is a fatal neurodegenerative disease. Currently, there are no approved therapies to treat PML, and affected individuals suffer rapid motor weakness and cognitive deterioration. To identify novel therapeutic treatments for JCPyV infection, receptor agonists/antagonists identified in a previously published drug screen were evaluated for their antiviral properties. Seven drugs were selected and validated using infectivity assays, and the mechanism of inhibition was further explored for G protein coupled receptor (GPCR)-associated inhibitors due to the role of the GPCR 5-hydroxytryptamine 2 receptors (5-HT2Rs) in JCPyV entry. The inhibitors cetirizine and paroxetine both reduced infection early in the JCPyV infectious cycle. Paroxetine specifically reduced viral internalization through altering the receptor density of 5-HT2CR, inhibiting β-arrestin recruitment to the receptor, and reducing MAPK signaling through ERK. These findings highlight the potential of receptor signaling and viral entry mechanisms as possible targets for antiviral drug development. Further, this research suggests that FDA-approved receptor agonists/antagonists currently used to treat other medical conditions could be repurposed into antivirals for the possible treatment of JCPyV infection and the fatal disease PML. Full article
(This article belongs to the Special Issue JC Polyomavirus)
Show Figures

Graphical abstract

16 pages, 5659 KB  
Article
Advancing Cardiovascular Drug Screening Using Human Pluripotent Stem Cell-Derived Cardiomyocytes
by Jisun Oh, Oh-Bin Kwon, Sang-Wook Park, Jun-Woo Kim, Heejin Lee, Young-Kyu Kim, Eun Ji Choi, Haiyoung Jung, Dong Kyu Choi, Bae Jun Oh and Sang-Hyun Min
Int. J. Mol. Sci. 2024, 25(14), 7971; https://doi.org/10.3390/ijms25147971 - 21 Jul 2024
Cited by 7 | Viewed by 3746
Abstract
Human pluripotent stem cell-derived cardiomyocytes (hPSC-CMs) have emerged as a promising tool for studying cardiac physiology and drug responses. However, their use is largely limited by an immature phenotype and lack of high-throughput analytical methodology. In this study, we developed a high-throughput testing [...] Read more.
Human pluripotent stem cell-derived cardiomyocytes (hPSC-CMs) have emerged as a promising tool for studying cardiac physiology and drug responses. However, their use is largely limited by an immature phenotype and lack of high-throughput analytical methodology. In this study, we developed a high-throughput testing platform utilizing hPSC-CMs to assess the cardiotoxicity and effectiveness of drugs. Following an optimized differentiation and maturation protocol, hPSC-CMs exhibited mature CM morphology, phenotype, and functionality, making them suitable for drug testing applications. We monitored intracellular calcium dynamics using calcium imaging techniques to measure spontaneous calcium oscillations in hPSC-CMs in the presence or absence of test compounds. For the cardiotoxicity test, hPSC-CMs were treated with various compounds, and calcium flux was measured to evaluate their effects on calcium dynamics. We found that cardiotoxic drugs withdrawn due to adverse drug reactions, including encainide, mibefradil, and cetirizine, exhibited toxicity in hPSC-CMs but not in HEK293-hERG cells. Additionally, in the effectiveness test, hPSC-CMs were exposed to ATX-II, a sodium current inducer for mimicking long QT syndrome type 3, followed by exposure to test compounds. The observed changes in calcium dynamics following drug exposure demonstrated the utility of hPSC-CMs as a versatile model system for assessing both cardiotoxicity and drug efficacy. Overall, our findings highlight the potential of hPSC-CMs in advancing drug discovery and development, which offer a physiologically relevant platform for the preclinical screening of novel therapeutics. Full article
Show Figures

Figure 1

12 pages, 1074 KB  
Article
Comparing the Risk of Infusion-Related Reactions and Tolerability in Patients Given Cetirizine or Diphenhydramine Prior to Ocrelizumab Infusion (PRECEPT)
by Kyle Smoot, Horia Marginean, Tiffany Gervasi-Follmar and Chiayi Chen
Medicina 2024, 60(4), 659; https://doi.org/10.3390/medicina60040659 - 19 Apr 2024
Cited by 1 | Viewed by 2507
Abstract
Background: Ocrelizumab is an effective medication for multiple sclerosis. However, infusion-related reactions (IRRs) are a concern for patients and may lead to discontinuation of ocrelizumab. To minimize IRRs, pre-medications are administered. However, from our experience, these medications, especially diphenhydramine, can cause marked drowsiness. [...] Read more.
Background: Ocrelizumab is an effective medication for multiple sclerosis. However, infusion-related reactions (IRRs) are a concern for patients and may lead to discontinuation of ocrelizumab. To minimize IRRs, pre-medications are administered. However, from our experience, these medications, especially diphenhydramine, can cause marked drowsiness. The primary objective of this study was to evaluate whether cetirizine is non-inferior to diphenhydramine in limiting the proportion and severity of reactions from ocrelizumab infusions. Methods: Twenty participants were serially randomized in a 1:1 ratio to receive 10 mg of cetirizine or 25 mg of diphenhydramine orally prior to their first three ocrelizumab infusions. Results: The rate of IRRs in this study was similar across both treatment groups with no increase in the risk of severity, and no grade 3 IRRs. Further, patients receiving cetirizine experienced a reduction in fatigue. While there was not a significant difference in global satisfaction, this score increased over time in the cetirizine arm while it remained unchanged in the diphenhydramine arm. Conclusions: Overall, our results suggest that cetirizine does not increase the risk of infusion-related reactions compared to diphenhydramine. Full article
(This article belongs to the Section Neurology)
Show Figures

Figure 1

14 pages, 1752 KB  
Review
Repurposing Therapeutic Drugs Complexed to Vanadium in Cancer
by Ana Luísa De Sousa-Coelho, Gil Fraqueza and Manuel Aureliano
Pharmaceuticals 2024, 17(1), 12; https://doi.org/10.3390/ph17010012 - 21 Dec 2023
Cited by 28 | Viewed by 3180
Abstract
Repurposing drugs by uncovering new indications for approved drugs accelerates the process of establishing new treatments and reduces the high costs of drug discovery and development. Metal complexes with clinically approved drugs allow further opportunities in cancer therapy—many vanadium compounds have previously shown [...] Read more.
Repurposing drugs by uncovering new indications for approved drugs accelerates the process of establishing new treatments and reduces the high costs of drug discovery and development. Metal complexes with clinically approved drugs allow further opportunities in cancer therapy—many vanadium compounds have previously shown antitumor effects, which makes vanadium a suitable metal to complex with therapeutic drugs, potentially improving their efficacy in cancer treatment. In this review, covering the last 25 years of research in the field, we identified non-oncology-approved drugs suitable as ligands to obtain different vanadium complexes. Metformin-decavanadate, vanadium-bisphosphonates, vanadyl(IV) complexes with non-steroidal anti-inflammatory drugs, and cetirizine and imidazole-based oxidovanadium(IV) complexes, each has a parent drug known to have different medicinal properties and therapeutic indications, and all showed potential as novel anticancer treatments. Nevertheless, the precise mechanisms of action for these vanadium compounds against cancer are still not fully understood. Full article
Show Figures

Figure 1

13 pages, 5048 KB  
Article
Cetirizine and Levetiracetam as Inhibitors of Monoacylglycerol Lipase: Investigating Their Repurposing Potential as Novel Osteoarthritic Pain Therapies
by Corina Andrei, Dragos Paul Mihai, Georgiana Nitulescu, Anca Ungurianu, Denisa Marilena Margina, George Mihai Nitulescu, Octavian Tudorel Olaru, Radu Mihai Busca and Anca Zanfirescu
Pharmaceuticals 2023, 16(11), 1563; https://doi.org/10.3390/ph16111563 - 6 Nov 2023
Cited by 5 | Viewed by 2298
Abstract
Osteoarthritis is characterized by progressive articular cartilage degradation, subchondral bone changes, and synovial inflammation, and affects various joints, causing pain and disability. Current osteoarthritis therapies, primarily focused on pain management, face limitations due to limited effectiveness and high risks of adverse effects. Safer [...] Read more.
Osteoarthritis is characterized by progressive articular cartilage degradation, subchondral bone changes, and synovial inflammation, and affects various joints, causing pain and disability. Current osteoarthritis therapies, primarily focused on pain management, face limitations due to limited effectiveness and high risks of adverse effects. Safer and more effective treatments are urgently needed. Considering that the endocannabinoid 2-arachidonoyl glycerol is involved in pain processing, increasing its concentration through monoacylglycerol lipase (MAGL) inhibition reduces pain in various animal models. Furthermore, drug repurposing approaches leverage established drug safety profiles, presenting a cost-effective route to accelerate clinical application. To this end, cetirizine and levetiracetam were examined for their MAGL inhibitory effects. In vitro studies revealed that cetirizine and levetiracetam inhibited MAGL with IC50 values of 9.3931 µM and 3.0095 µM, respectively. In vivo experiments demonstrated that cetirizine, and to a lesser extent levetiracetam, reduced mechanical and thermal nociception in complete Freund adjuvant (CFA)-induced osteoarthritis in rats. Cetirizine exhibited a notable anti-inflammatory effect, reducing CFA-induced inflammation, as well as the inflammatory infiltrate and granuloma formation in the affected paw. These findings suggest that cetirizine may serve as a promising starting point for the development of novel compounds for osteoarthritis treatment, addressing both pain and inflammation. Full article
(This article belongs to the Section Pharmacology)
Show Figures

Figure 1

15 pages, 5069 KB  
Article
Adsorption Characteristics of Cetirizine on Graphene Oxide
by Tuhin Bhattacharjee, Arnab Bhattacharjee, Deepmoni Deka, Mihir Kumar Purkait, Devasish Chowdhury and Gitanjali Majumdar
Sustain. Chem. 2023, 4(2), 209-223; https://doi.org/10.3390/suschem4020016 - 30 May 2023
Cited by 4 | Viewed by 3624
Abstract
Water pollution caused by emerging contaminants such as pharmaceutical compounds is a growing problem worldwide. In this reported work, graphene oxide (GO) was directly used to remove an antihistamine drug, cetirizine. GO was prepared from graphite using a modified Hummer’s method and was [...] Read more.
Water pollution caused by emerging contaminants such as pharmaceutical compounds is a growing problem worldwide. In this reported work, graphene oxide (GO) was directly used to remove an antihistamine drug, cetirizine. GO was prepared from graphite using a modified Hummer’s method and was characterized by UV–vis spectroscopy, Fourier-transformed infrared spectroscopy (FTIR), thermogravimetric analyzer (TGA), field scanning electron microscope (FE-SEM), transmission electron microscope (TEM), X-ray diffraction (XRD), etc. GO was demonstrated to be a highly efficient adsorbent for removing cetirizine from an aqueous solution. The adsorption of cetirizine on GO at various pH levels showed that in acidic pH with the adsorption shows faster kinetics and complete removal of cetirizine within 10 min, followed by neutral pH, which showed relatively slower kinetics but complete removal of cetirizine. However, at basic pH, GO could not completely remove cetirizine after 24 h. At a neutral pH, GO showed maximum adsorption of 81.30 mg g−1 of cetirizine. The adsorption isotherm results showed good agreement with the Langmuir isotherm. The BET surface area analysis showed the presence of mesoporosity in GO. In addition, the BET analysis further revealed a type IV isotherm curve being followed. A plausible mechanism is also discussed in the paper. The recyclability experiment demonstrates an adsorption efficiency of 85% after four cycles. The thermodynamic study reveals that adsorption is thermodynamically less favorable at higher temperatures. Hence, the current study successfully demonstrates the use of GO as an efficient adsorbent in removing cetirizine. It also studies the various factors and interactions affecting adsorption. Thus, this study sheds light on the adsorption characteristics of cetirizine on graphene oxide. Full article
(This article belongs to the Topic Green and Sustainable Chemistry)
Show Figures

Figure 1

7 pages, 242 KB  
Case Report
Toxicological Analysis in Tissues Following Exhumation More Than Two Years after Death (948 Days): A Forensic Perspective in a Fatal Case
by Giuseppe Davide Albano, Stefania Zerbo, Corinne La Spina, Mauro Midiri, Daniela Guadagnino, Tommaso D’Anna, Roberto Buscemi and Antonina Argo
Toxics 2023, 11(6), 485; https://doi.org/10.3390/toxics11060485 - 26 May 2023
Cited by 2 | Viewed by 3724
Abstract
Exhumations are performed in accordance with a court order and are crucial instruments in the investigation of death allegations. When a death is thought to be the result of drug misuse, pharmaceutical overdose, or pesticide poisoning, this process may be used on human [...] Read more.
Exhumations are performed in accordance with a court order and are crucial instruments in the investigation of death allegations. When a death is thought to be the result of drug misuse, pharmaceutical overdose, or pesticide poisoning, this process may be used on human remains. However, after a protracted postmortem interval (PMI), it might be difficult to detect the cause of death by looking at an exhumed corpse. The following case report reveals problems associated with postmortem drug concentration changes following exhumation more than two years after death. A 31-year-old man was found dead in a prison cell. Onan inspection of the place, two blister packs, one with a tablet and the other empty, were taken and kept by the police officers. The evening before, the deceased would have taken cetirizine and food supplements consisting of carnitine–creatine tablets. No relevant autopsy findings have been observed. The toxicological analysis was performed by gas chromatography coupled to mass spectrometry and was negative for substances of abuse. Proteomic analysis was positive for creatine detection and negative for other drugs (clarithromycin, fenofibrate, and cetirizine). The presented case shows the methods, the findings, and the limitations of toxicological analysis in an exhumation case with a long postmortem interval (PMI). Full article
(This article belongs to the Special Issue Clinical and Post-Mortem Toxicology)
12 pages, 1784 KB  
Article
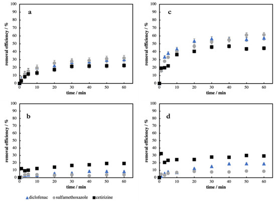
Removal of Environmentally Harmful and Hardly Degradable Pharmaceuticals Sulfamethoxazole, Diclofenac, and Cetirizine by Adsorption on Activated Charcoal
by Daniela Pavúková, Lucia Fašková, Eva Melníková, Emília Mališová, Ján Híveš, Ladislav Štibrányi, Pavol Hudec, Monika Naumowicz and Miroslav Gál
Water 2022, 14(24), 3988; https://doi.org/10.3390/w14243988 - 7 Dec 2022
Cited by 9 | Viewed by 2667
Abstract
The removal of three environmentally harmful and hardly degradable pharmaceuticals, namely sulfamethoxazole, diclofenac, and cetirizine, from aqueous solution by the adsorption onto two types of activated charcoals (WSCl2 and HWOH) was investigated. The volume of micropores and mesopores in two charcoals was the [...] Read more.
The removal of three environmentally harmful and hardly degradable pharmaceuticals, namely sulfamethoxazole, diclofenac, and cetirizine, from aqueous solution by the adsorption onto two types of activated charcoals (WSCl2 and HWOH) was investigated. The volume of micropores and mesopores in two charcoals was the main property affecting removal efficiencies. Using microporous WSCl2 as an adsorbent, higher removal efficiencies were achieved for all chosen pharmaceuticals. The highest removal efficiency was recorded in the case of sulfamethoxazole (79%). A direct correlation between log Kow and removal efficiencies and between the solubility of pharmaceuticals and removal efficiencies was not found. The adsorption behavior of individual pharmaceutical solutions can be described by the pseudo-second order kinetic model. The parameters obtained from the kinetic model show that the adsorption rate on HWOH was higher than on WSCl2. However, the amounts of adsorbed pharmaceuticals were lower on HWOH than on WSCl2, which can be linked to the textural difference between the charcoals. In the mixture consisting of all three compounds, overall removal efficiencies were lower than in the case when individual pharmaceuticals were present in the solution. Results also indicate that a certain fraction of the micropores can only be occupied by the smallest compound in the mixture (sulfamethoxazole). Full article
(This article belongs to the Section Wastewater Treatment and Reuse)
Show Figures

Figure 1

14 pages, 3508 KB  
Article
Zinc Oxide–Graphene Nanocomposite-Based Sensor for the Electrochemical Determination of Cetirizine
by Rakesh R. Sawkar, Mahesh M. Shanbhag, Suresh M. Tuwar, Kunal Mondal and Nagaraj P. Shetti
Catalysts 2022, 12(10), 1166; https://doi.org/10.3390/catal12101166 - 3 Oct 2022
Cited by 29 | Viewed by 3300
Abstract
A nanocomposite electrode of graphene (Gr) and zinc oxide (ZnO) nanoparticles was fabricated to study the electrochemical oxidation behavior of an anti-inflammatory drug, i.e., cetirizine (CET). The voltametric response of CET for bare CPE, Gr/CPE, ZnO/CPE, and the ZnO-Gr nanocomposite electrode was studied. [...] Read more.
A nanocomposite electrode of graphene (Gr) and zinc oxide (ZnO) nanoparticles was fabricated to study the electrochemical oxidation behavior of an anti-inflammatory drug, i.e., cetirizine (CET). The voltametric response of CET for bare CPE, Gr/CPE, ZnO/CPE, and the ZnO-Gr nanocomposite electrode was studied. The modifier materials were characterized using scanning electron microscopy (SEM), energy-dispersive X-ray spectroscopy (EDS), and X-ray powder diffraction (XRD) to comprehend the surface morphology of the utilized modifiers. The influence of pH, scan rate, and accumulation time on the electrooxidation of CET was examined. It was found that the electrochemical oxidation of CET was diffusion-controlled, in which two protons and two electrons participated. The detection limit was found to be 2.8 × 10−8 M in a linearity range of 0.05–4.0 µM. Study of excipients was also performed, and it was found that they had negligible interference with the peak potential of CET. The validation and utility of the fabricated nanocomposite sensor material were examined by analyzing clinical and biological samples. Stability testing of the nanocomposite electrode was conducted to assess the reproducibility, determining that the developed biosensor has good stability and high efficiency in producing reproducible results. Full article
Show Figures

Figure 1

Back to TopTop