Successful Treatment of Complicated Influenza A(H3N2) Virus Infection and Rhabdomyolysis with Compassionate Use of IV Zanamivir
Abstract
1. Introduction
2. Results
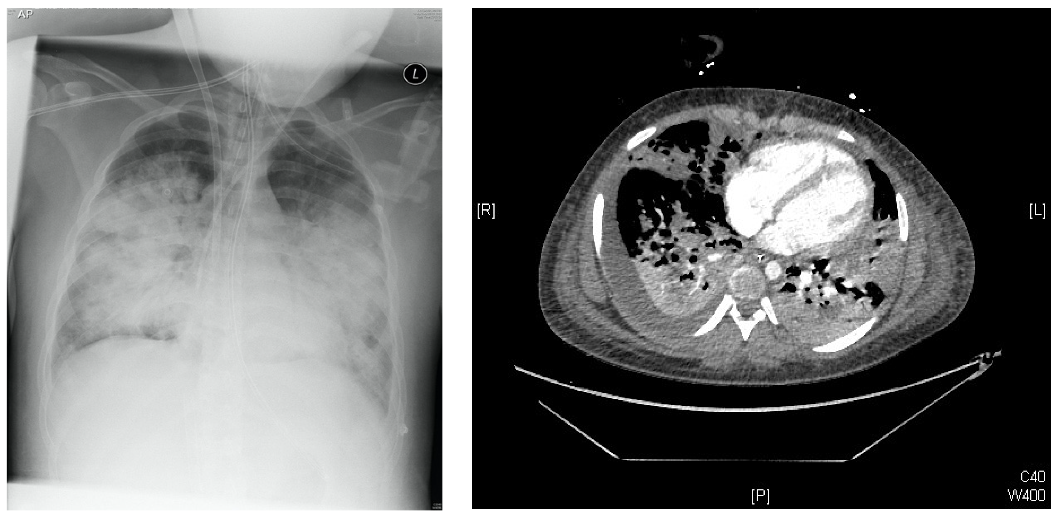
2.1. Initial Presentation Prior to Treatment
2.1.1. Clinical Presentation
2.1.2. Virology
2.1.3. Biomarkers
2.2. Treatment Decision
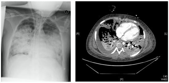
2.3. Treatment Monitoring and Response
2.3.1. Clinical Response and Disease Severity
2.3.2. Virologic Response
2.3.3. Biomarker Response
3. Discussion
4. Materials and Methods
4.1. Virology
4.2. Routine Parameter Analysis
4.3. Clinical Severity Assessments
5. Conclusions
Author Contributions
Funding
Institutional Review Board Statement
Informed Consent Statement
Data Availability Statement
Acknowledgments
Conflicts of Interest
References
- Shi, T.; Nie, Z.; Huang, L.; Fan, H.; Lu, G.; Yang, D.; Zhang, D. Mortality risk factors in children with severe influenza virus infection admitted to the pediatric intensive care unit. Medicine 2019, 98, e16861. [Google Scholar] [CrossRef] [PubMed]
- Lin, C.-H.; Chen, C.-H.; Hong, S.-Y.; Lin, S.-S.; Chou, I.-C.; Lin, H.-C.; Chang, J.-S. Comparison of severe pediatric complicated influenza patients with and without neurological involvement. Medicine 2021, 100, e25716. [Google Scholar] [CrossRef]
- Ghosh, U.; Bharathy, R.V.N.; Prasad, D.J.H.; Moorthy, M.; Verghese, V.P. An Eight-Year Profile of Children with Influenza A(H1N1) in a Large Hospital in India. J. Trop. Pediatr. 2021, 67, fmab084. [Google Scholar] [CrossRef]
- Muthuri, S.G.; Venkatesan, S.; Myles, P.R.; Leonardi-Bee, J.; Al Khuwaitir, T.S.A.; Al Mamun, A.; Anovadiya, A.P.; Azziz-Baumgartner, E.; Báez, C.; Bassetti, M.; et al. Effectiveness of neuraminidase inhibitors in reducing mortality in patients admitted to hospital with influenza A H1N1pdm09 virus infection: A meta-analysis of individual participant data. Lancet Respir. Med. 2014, 2, 395–404. [Google Scholar] [CrossRef] [PubMed]
- Shetty, A.K.; Wester, A. Peramivir injection in the treatment of acute influenza: A review of the literature. Infect. Drug Resist. 2016, 9, 201–214. [Google Scholar] [CrossRef]
- Birnkrant, D.; Cox, E. The Emergency Use Authorization of Peramivir for Treatment of 2009 H1N1 Influenza. N. Engl. J. Med. 2009, 361, 2204–2207. [Google Scholar] [CrossRef] [PubMed]
- European Medicines Agency. Summary on Compassionate Use for Tamiflu IV. Available online: https://www.ema.europa.eu/en/documents/other/summary-compassionate-use-tamiflu-iv_en.pdf (accessed on 17 August 2022).
- European Medicines Agency. Summary on Compassionate Use for IV Zanamivir. Available online: https://www.ema.europa.eu/en/documents/other/summary-compassionate-use-iv-zanamivir-rev-1_en.pdf (accessed on 25 August 2021).
- European Medical Agency, Committee for Medical Products for Human Use. Dectova. Available online: https://www.ema.europa.eu/en/medicines/human/EPAR/dectova (accessed on 24 June 2021).
- Ayala, E.; Kagawa, F.T.; Wehner, J.H.; Tam, J.; Upadhyay, D. Rhabdomyolysis Associated with 2009 Influenza A(H1N1). JAMA 2009, 302, 1863–1864. [Google Scholar] [CrossRef] [PubMed]
- Lai, C.-C.; Wang, C.-Y.; Lin, H.-I. Rhabdomyolysis and Acute Kidney Injury Associated with 2009 Pandemic Influenza A(H1N1). Am. J. Kidney Dis. 2010, 55, 615. [Google Scholar] [CrossRef]
- Unverdi, S.; Akay, H.; Ceri, M.; Inal, S.; Altay, M.; Demiroz, A.P.; Duranay, M. Acute Kidney Injury due to Rhabdomyolysis in H1N1 Influenza Infection. Ren. Fail. 2011, 33, 450–451. [Google Scholar] [CrossRef]
- Fearnley, R.A.; Lines, S.W.; Lewington, A.J.P.; Bodenham, A.R. Influenza A-induced rhabdomyolysis and acute kidney injury complicated by posterior reversible encephalopathy syndrome. Anaesthesia 2011, 66, 738–742. [Google Scholar] [CrossRef]
- D’Silva, D.; Hewagama, S.; Doherty, R.; Korman, T.; Buttery, J. Melting muscles: Novel H1N1 influenza A associated rhabdomyolysis. Pediatr. Infect. Dis. J. 2009, 28, 1138–1139. [Google Scholar] [CrossRef] [PubMed]
- Chen, S.-C.; Liu, K.-S.; Chang, H.-R.; Lee, Y.-T.; Chen, C.-C.; Lee, M.-C. Rhabdomyolysis following pandemic influenza A (H1N1) infection. Neth. J. Med. 2010, 68, 317–319. [Google Scholar]
- Runnstrom, M.; Ebied, A.; Khoury, A.P.; Reddy, R. Influenza-induced rhabdomyolysis. BMJ Case Rep. 2018, 11, e226610. [Google Scholar] [CrossRef] [PubMed]
- Ibrahim, A.; Manthri, S.; Soriano, P.K.; Bhatti, V.; Mamillapalli, C. Rhabdomyolysis Associated with Influenza A Virus Infection. Cureus 2018, 10, e2786. [Google Scholar] [CrossRef] [PubMed]
- Eyler, R.F.; Heung, M.; Pleva, M.; Sowinski, K.M.; Park, P.K.; Napolitano, L.M.; Mueller, B.A. Pharmacokinetics of Oseltamivir and Oseltamivir Carboxylate in Critically Ill Patients Receiving Continuous Venovenous Hemodialysis and/or Extracorporeal Membrane Oxygenation. Pharmacotherapy 2012, 32, 1061–1069. [Google Scholar] [CrossRef]
- Robson, R.; Buttimore, A.; Lynn, K.; Brewster, M.; Ward, P. The pharmacokinetics and tolerability of oseltamivir suspension in patients on haemodialysis and continuous ambulatory peritoneal dialysis. Nephrol. Dial. Transplant. 2006, 21, 2556–2562. [Google Scholar] [CrossRef] [PubMed]
- Rath, B.; Conrad, T.; Myles, P.; Alchikh, M.; Ma, X.; Hoppe, C.; Tief, F.; Chen, X.; Obermeier, P.; Kisler, B.; et al. Influenza and other respiratory viruses: Standardizing disease severity in surveillance and clinical trials. Expert Rev. Anti-Infect. Ther. 2017, 15, 545–568. [Google Scholar] [CrossRef]
- Obermeier, P.E.; Heim, A.; Biere, B.; Hage, E.; Alchikh, M.; Conrad, T.; Schweiger, B.; Rath, B.A. Linking digital surveillance and in-depth virology to study clinical patterns of viral respiratory infections in vulnerable patient populations. iScience 2022, 25, 104276. [Google Scholar] [CrossRef]
- Thakkar, N.; Salerno, S.; Hornik, C.P.; Gonzalez, D. Clinical Pharmacology Studies in Critically Ill Children. Pharm. Res. 2017, 34, 7–24. [Google Scholar] [CrossRef]
- Karsch, K.; Chen, X.; Miera, O.; Peters, B.; Obermeier, P.; Francis, R.C.; Amann, V.; Duwe, S.; Fraaij, P.; Heider, A.; et al. Pharmacokinetics of Oral and Intravenous Oseltamivir Treatment of Severe Influenza B Virus Infection Requiring Organ Replacement Therapy. Eur. J. Drug Metab. Pharmacokinet. 2017, 42, 155–164. [Google Scholar] [CrossRef]
- Zayet, S.; Kadiane-Oussou, N.J.; Lepiller, Q.; Zahra, H.; Royer, P.-Y.; Toko, L.; Gendrin, V.; Klopfenstein, T. Clinical features of COVID-19 and influenza: A comparative study on Nord Franche-Comte cluster. Microbes Infect. 2020, 22, 481–488. [Google Scholar] [CrossRef]
- Qin, J.; Lin, J.; Zhang, X.; Yuan, S.; Zhang, C.; Yin, Y. Evaluation of the Clinical Effectiveness of Oseltamivir for Influenza Treatment in Children. Front. Pharmacol. 2022, 13, 849545. [Google Scholar] [CrossRef]
- Jahns, F.-P.; Ben-Hamouda, N.; Kirsch, M.; Roumy, A.; Liaudet, L. Intravenous zanamivir for influenza myocarditis and enteral malabsorption. Crit. Care 2018, 22, 332. [Google Scholar] [CrossRef] [PubMed]
- Mazzitelli, M.; Garofalo, E.; Bruni, A.; Barreca, G.S.; Quirino, A.; Giancotti, A.; Serapide, F.; Indolfi, C.; Matera, G.; Navalesi, P.; et al. Severe myocarditis due to influenza A(H1N1)pdm09 viral infection in a young woman successfully treated with intravenous zanamivir: A case report. Clin. Case Rep. 2019, 7, 2336–2340. [Google Scholar] [CrossRef]
- Moscona, A. Neuraminidase Inhibitors for Influenza. N. Engl. J. Med. 2005, 353, 1363–1373. [Google Scholar] [CrossRef] [PubMed]
- McKimm-Breschkin, J.L. Influenza neuraminidase inhibitors: Antiviral action and mechanisms of resistance. Influenza Other Respir. Viruses 2013, 7, 25–36. [Google Scholar] [CrossRef] [PubMed]
- Marty, F.M.; Man, C.Y.; Van Der Horst, C.; François, B.; Garot, D.; Manez, R.; Thamlikitkul, V.; Lorente, J.A.; Alvarez-Lerma, F.; Brealey, D.; et al. Safety and Pharmacokinetics of Intravenous Zanamivir Treatment in Hospitalized Adults with Influenza: An Open-label, Multicenter, Single-Arm, Phase II Study. J. Infect. Dis. 2014, 209, 542–550. [Google Scholar] [CrossRef] [PubMed]
- Alame, M.M.; Massaad, E.; Zaraket, H. Peramivir: A Novel Intravenous Neuraminidase Inhibitor for Treatment of Acute Influenza Infections. Front. Microbiol. 2016, 7, 450. [Google Scholar] [CrossRef]
- Uyeki, T.M.; Bernstein, H.H.; Bradley, J.S.; Englund, J.A.; File, T.M.; Fry, A.M.; Gravenstein, S.; Hayden, F.G.; Harper, S.A.; Hirshon, J.M.; et al. Clinical Practice Guidelines by the Infectious Diseases Society of America: 2018 Update on Diagnosis, Treatment, Chemoprophylaxis, and Institutional Outbreak Management of Seasonal Influenzaa. Clin. Infect. Dis. 2019, 68, e1–e47. [Google Scholar] [CrossRef] [PubMed]
- Centers for Disease Conrol and Prevention (CDC), Influenza Antiviral Medication. Available online: https://www.cdc.gov/flu/professionals/antivirals/summary-clinicians.htm (accessed on 25 August 2021).
- US Food Drug Administration. FDA Approves Rapivab to Treat Flu Infection; US Food and Drug Administration: Silver Spring, MD, USA, 2018. Available online: http://www.fda.gov/NewsEvents/Newsroom/PressAnnouncements/ucm427755.htm (accessed on 25 June 2021).
- BioCryst Announces FDA Approval of Supplemental New Drug Application for RAPIVAB Expanding Patient Population to Include Children 6 Months and Older. News release. BioCryst. 3 February 2021. Available online: https://ir.biocryst.com/news-releases/news-release-details/biocryst-announces-fda-approval-supplemental-new-drug (accessed on 24 June 2021).
- Stoll, V.; Stewart, K.D.; Maring, C.J.; Muchmore, S.; Giranda, V.; Gu, Y.-G.Y.; Wang, G.; Chen, Y.; Sun, M.; Zhao, C.; et al. Influenza Neuraminidase Inhibitors: Structure-Based Design of a Novel Inhibitor Series. Biochemistry 2003, 42, 718–727. [Google Scholar] [CrossRef]
- Świerczyńska, M.; Mirowska-Guzel, D.M.; Pindelska, E. Antiviral Drugs in Influenza. Int. J. Environ. Res. Public Health 2022, 19, 3018. [Google Scholar] [CrossRef]
- Jefferson, T.; Jones, M.A.; Doshi, P.; Del Mar, C.B.; Hama, R.; Thompson, M.J.; Spencer, E.A.; Onakpoya, I.J.; Mahtani, K.R.; Nunan, D.; et al. Neuraminidase inhibitors for preventing and treating influenza in adults and children. Cochrane Database Syst. Rev. 2014, 2014, CD008965. [Google Scholar] [CrossRef]
- Komeda, T.; Ishii, S.; Itoh, Y.; Sanekata, M.; Yoshikawa, T.; Shimada, J. Post-marketing safety evaluation of the intravenous anti-influenza neuraminidase inhibitor peramivir: A drug-use investigation in patients with high risk factors. J. Infect. Chemother. 2016, 22, 677–684. [Google Scholar] [CrossRef] [PubMed]
- U.S. Food and Drug Administration. Xofluza: Package insert; 2019. Available online: https://www.accessdata.fda.gov/drugsatfda_docs/label/2019/210854s001lbl.pdf. (accessed on 15 September 2022).
- Dufrasne, F. Baloxavir Marboxil: An Original New Drug against Influenza. Pharmaceuticals 2021, 15, 28. [Google Scholar] [CrossRef]
- Kumar, D.; Ison, M.G.; Mira, J.-P.; Welte, T.; Ha, J.H.; Hui, D.S.; Zhong, N.; Saito, T.; Katugampola, L.; Collinson, N.; et al. Combining baloxavir marboxil with standard-of-care neuraminidase inhibitor in patients hospitalised with severe influenza (FLAGSTONE): A randomised, parallel-group, double-blind, placebo-controlled, superiority trial. Lancet Infect. Dis. 2022, 22, 718–730. [Google Scholar] [CrossRef]
- Hayden, F.G.; Sugaya, N.; Hirotsu, N.; Lee, N.; De Jong, M.D.; Hurt, A.C.; Ishida, T.; Sekino, H.; Yamada, K.; Portsmouth, S.; et al. Baloxavir Marboxil for Uncomplicated Influenza in Adults and Adolescents. N. Engl. J. Med. 2018, 379, 913–923. [Google Scholar] [CrossRef]
- Fraaij, P.L.A.; Van Der Vries, E.; Beersma, M.F.C.; Riezebos-Brilman, A.; Niesters, H.; Van Der Eijk, A.A.; De Jong, M.D.; Miranda, D.R.; Horrevorts, A.M.; Ridwan, B.U.; et al. Evaluation of the Antiviral Response to Zanamivir Administered Intravenously for Treatment of Critically Ill Patients with Pandemic Influenza A (H1N1) Infection. J. Infect. Dis. 2011, 204, 777–782. [Google Scholar] [CrossRef] [PubMed]
- Fry, A.M.; Pérez, A.; Finelli, L. Use of Intravenous Neuraminidase Inhibitors During the 2009 Pandemic: Results from Population-Based Surveillance. JAMA 2011, 306, 160–162. [Google Scholar] [CrossRef] [PubMed]
- Lackenby, A.; Hungnes, O.; Dudman, S.G.; Meijer, A.; Paget, W.J.; Hay, A.J.; Zambon, M.C. Emergence of resistance to oseltamivir among influenza A(H1N1) viruses in Europe. Eurosurveillance 2008, 13, 3–4. [Google Scholar] [CrossRef] [PubMed]
- Nitsch-Osuch, A.; Brydak, L. Influenza viruses resistant to neuraminidase inhibitors. Acta Biochim. Pol. 2014, 61, 505–508. [Google Scholar] [CrossRef]
- Hussain, M.; Galvin, H.D.; Haw, T.Y.; Nutsford, A.N.; Husain, M. Drug resistance in influenza A virus: The epidemiology and management. Infect. Drug Resist. 2017, 10, 121–134. [Google Scholar] [CrossRef] [PubMed]
- Bamber, H.; Rudge, B.; Vercueil, A. An elevated creatine kinase in the context of influenza A infection and sickle cell trait. Anaesth. Rep. 2019, 7, 57–59. [Google Scholar] [CrossRef]
- Yu, J.-S.; Chen, R.-D.; Zeng, L.-C.; Yang, H.-K.; Li, H. Myoglobin Offers Higher Accuracy Than Other Cardiac-Specific Biomarkers for the Prognosis of COVID-19. Front. Cardiovasc. Med. 2021, 8, 686328. [Google Scholar] [CrossRef] [PubMed]
- Schulze, M.; Nitsche, A.; Schweiger, B.; Biere, B. Diagnostic Approach for the Differentiation of the Pandemic Influenza A(H1N1)v Virus from Recent Human Influenza Viruses by Real-Time PCR. PLoS ONE 2010, 5, e9966. [Google Scholar] [CrossRef] [PubMed]
- Labor Berlin. Myoglobin. Available online: https://www.laborberlin.com/unsere-leistungen/leistungsverzeichnis-detail/?id=275 (accessed on 19 August 2022).
- Labor Berlin. Creatinkinase. Available online: https://www.laborberlin.com/unsere-leistungen/leistungsverzeichnis-detail/?id=114 (accessed on 19 August 2022).





Disclaimer/Publisher’s Note: The statements, opinions and data contained in all publications are solely those of the individual author(s) and contributor(s) and not of MDPI and/or the editor(s). MDPI and/or the editor(s) disclaim responsibility for any injury to people or property resulting from any ideas, methods, instructions or products referred to in the content. |
© 2023 by the authors. Licensee MDPI, Basel, Switzerland. This article is an open access article distributed under the terms and conditions of the Creative Commons Attribution (CC BY) license (https://creativecommons.org/licenses/by/4.0/).
Share and Cite
Alchikh, M.; Obermeier, P.E.; Schweiger, B.; Rath, B.A. Successful Treatment of Complicated Influenza A(H3N2) Virus Infection and Rhabdomyolysis with Compassionate Use of IV Zanamivir. Pharmaceuticals 2023, 16, 85. https://doi.org/10.3390/ph16010085
Alchikh M, Obermeier PE, Schweiger B, Rath BA. Successful Treatment of Complicated Influenza A(H3N2) Virus Infection and Rhabdomyolysis with Compassionate Use of IV Zanamivir. Pharmaceuticals. 2023; 16(1):85. https://doi.org/10.3390/ph16010085
Chicago/Turabian StyleAlchikh, Maren, Patrick E. Obermeier, Brunhilde Schweiger, and Barbara A. Rath. 2023. "Successful Treatment of Complicated Influenza A(H3N2) Virus Infection and Rhabdomyolysis with Compassionate Use of IV Zanamivir" Pharmaceuticals 16, no. 1: 85. https://doi.org/10.3390/ph16010085
APA StyleAlchikh, M., Obermeier, P. E., Schweiger, B., & Rath, B. A. (2023). Successful Treatment of Complicated Influenza A(H3N2) Virus Infection and Rhabdomyolysis with Compassionate Use of IV Zanamivir. Pharmaceuticals, 16(1), 85. https://doi.org/10.3390/ph16010085

