Formulation and Characterization of Metformin-Loaded Ethosomes for Topical Application to Experimentally Induced Skin Cancer in Mice
Abstract
1. Introduction
2. Results
2.1. Influence of the Independent Variables on Entrapment Efficiency %
2.2. Influence of the Independent Variables on the Vesicle Sizes
2.3. Influence of the Independent Variables on ZP
2.4. Influence of the Independent Variables at a Percent of Drug Release
2.5. Selection of the Optimized Formula
2.6. In Vitro Studies to Evaluate Skin Permeation
2.7. Morphological Characterization of the Ethosomes
2.8. Thermal Analysis of Optimal Metformin-Loaded Ethosomes Formula
2.9. In Vivo Antitumoral Activity of the Optimized Metformin-Loaded Ethosomal Gel
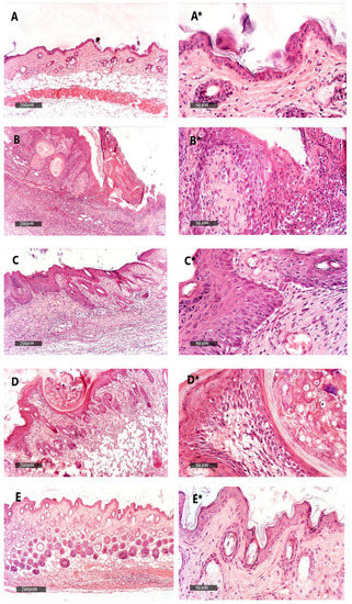
2.9.1. The Body Weight and Lesion Length and Width
2.9.2. The Thickness of the Hematoxylin and Eosin-Stained Skin Layers
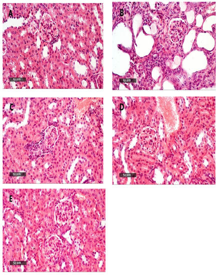
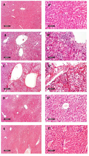
2.9.3. Histopathological Examination of Kidney Specimens Stained with H&E
2.9.4. Histopathological Examination of Liver Specimens Stained with H&E
2.9.5. Liver and Kidney Function Tests
3. Discussion
3.1. Influence of the Independent Variables on EE%
3.2. Influence of the Independent Variables on Vesicle Size and ZP
3.3. Influence of the Independent Variables on DR%
3.4. In Vitro Skin Permeation Study
3.5. Thermal Analysis of Optimal Metformin-Loaded Ethosomes Formula
3.6. In Vivo Antitumor Activity and Toxicology
4. Material and Methods
4.1. Materials
4.2. Box–Behnken Experimental Design
4.3. Formulation of Metformin-Loaded Ethosomes
4.4. Characterization of the Metformin-Loaded Ethosomes
4.4.1. Determination of entrapment efficiency %
4.4.2. Vesicle Size Analysis
4.4.3. Zeta Potential Analysis
4.4.4. In Vitro Release Study
4.4.5. Optimization and Experimental Model Validation
4.5. In Vitro Skin Permeation
4.6. Analysis of Permeation Study Data
4.7. Gel Formulation
4.8. Morphological Examination of the Optimal Metformin-Loaded Ethosomes Formula
4.9. Thermal Analysis of Optimal Metformin-Loaded Ethosomes Formula
4.10. In Vivo Mouse Study for Screening of Antitumor Activity and Toxicity
4.10.1. Mice Preparation and Ethical Approval
4.10.2. Induction of Skin Lesions
4.10.3. Regimen of Applying Metformin-Loaded Ethosomes
4.10.4. Histopathological Methodology and Examination
4.10.5. Toxicological Screening
4.11. Statistical Analysis
5. Conclusions
Author Contributions
Funding
Institutional Review Board Statement
Informed Consent Statement
Data Availability Statement
Acknowledgments
Conflicts of Interest
References
- Neagu, M.; Caruntu, C.; Constantin, C.; Boda, D.; Zurac, S.; Spandidos, D.A.; Tsatsakis, A.M. Chemically induced skin carcinogenesis: Updates in experimental models (Review). Oncol. Rep. 2016, 35, 2516–2528. [Google Scholar] [CrossRef] [PubMed]
- Jaune, E.; Rocchi, S. Metformin: Focus on melanoma. Front. Endocrinol. (Lausanne) 2018, 9, 472. [Google Scholar] [CrossRef] [PubMed]
- Migden, M.R.; Chandra, S.; Rabinowits, G.; Chen, C.I.; Desai, J.; Seluzhytsky, A.; Sasane, M.; Campanelli, B.; Chen, Z.; Freeman, M.L.; et al. CASE (CemiplimAb-rwlc Survivorship and Epidemiology) study in advanced cutaneous squamous cell carcinoma. Futur. Oncol. 2020, 16, 11–19. [Google Scholar] [CrossRef] [PubMed]
- Aplin, A.E.; Kaplan, F.M.; Shao, Y. Mechanisms of resistance to RAF inhibitors in melanoma. J. Investig. Dermatol. 2011, 131, 1817–1820. [Google Scholar] [CrossRef] [PubMed]
- Brahmer, J.R.; Drake, C.G.; Wollner, I.; Powderly, J.D.; Picus, J.; Sharfman, W.H.; Stankevich, E.; Pons, A.; Salay, T.M.; McMiller, T.L.; et al. Phase I study of single-agent anti-programmed death-1 (MDX-1106) in refractory solid tumors: Safety, clinical activity, pharmacodynamics, and immunologic correlates. J. Clin. Oncol. 2010, 28, 3167–3175. [Google Scholar] [CrossRef]
- Bridgeman, S.C.; Ellison, G.C.; Melton, P.E.; Newsholme, P.; Mamotte, C.D.S. Epigenetic effects of metformin: From molecular mechanisms to clinical implications. Diabetes Obes. Metab. 2018, 20, 1553–1562. [Google Scholar] [CrossRef]
- Zeng, J.Y.; Sharma, S.; Zhou, Y.Q.; Yao, H.P.; Hu, X.; Zhang, R.; Wang, M.H. Synergistic activities of MET/RON inhibitor BMS-777607 and mTOR inhibitor AZD8055 to polyploid cells derived from pancreatic cancer and cancer stem cells. Mol. Cancer Ther. 2013, 13, 37–48. [Google Scholar] [CrossRef]
- Karthik, G.M.; Ma, R.; Lövrot, J.; Kis, L.L.; Lindh, C.; Blomquist, L.; Fredriksson, I.; Bergh, J.; Hartman, J. mTOR inhibitors counteract tamoxifen-induced activation of breast cancer stem cells. Cancer Lett. 2015, 367, 76–87. [Google Scholar] [CrossRef]
- Fu, Y.L.; Zhang, Q.H.; Wang, X.W.; He, H. Antidiabetic drug metformin mitigates ovarian cancer SKOV3 cell growth by triggering G2/M cell cycle arrest and inhibition of m-TOR/PI3K/Akt signaling pathway. Eur. Rev. Med. Pharmacol. Sci. 2017, 21, 1169–1175. [Google Scholar]
- Mikhaylova, A.L.; Basharina, A.A.; Sorokin, D.V.; Buravchenko, G.I.; Samsonik, S.A.; Bogush, T.A.; Scherbakov, A.M. 48P Low glucose sensitizes A431 skin cancer cells to metformin treatments: A way forward to targeting PD-L1. Ann. Oncol. 2021, 32, S1360. [Google Scholar] [CrossRef]
- Luo, Q.; Hu, D.; Hu, S.; Yan, M.; Sun, Z.; Chen, F. In vitro and in vivo anti-tumor effect of metformin as a novel therapeutic agent in human oral squamous cell carcinoma. BMC Cancer 2012, 12, 517. [Google Scholar] [CrossRef] [PubMed]
- Tomic, T.; Botton, T.; Cerezo, M.; Robert, G.; Luciano, F.; Puissant, A.; Gounon, P.; Allegra, M.; Bertolotto, C.; Bereder, J.M.; et al. Metformin inhibits melanoma development through autophagy and apoptosis mechanisms. Cell Death Dis. 2011, 2, e199. [Google Scholar] [CrossRef] [PubMed]
- Song, M.; Xia, W.; Tao, Z.; Zhu, B.; Zhang, W.; Liu, C.; Chen, S. Self-assembled polymeric nanocarrier-mediated co-delivery of metformin and doxorubicin for melanoma therapy. Drug Deliv. 2021, 28, 594–606. [Google Scholar] [CrossRef] [PubMed]
- Adalsteinsson, J.A.; Muzumdar, S.; Waldman, R.; Wu, R.; Ratner, D.; Feng, H.; Ungar, J.; Silverberg, J.I.; Olafsdottir, G.H.; Kristjansson, A.K.; et al. Metformin is associated with decreased risk of basal cell carcinoma: A whole-population case-control study from Iceland. J. Am. Acad. Dermatol. 2021, 85, 56–61. [Google Scholar] [CrossRef] [PubMed]
- Doan, H.Q.; Silapunt, S.; Migden, M.R. Sonidegib, a novel smoothened inhibitor for the treatment of advanced basal cell carcinoma. Onco Targets Ther. 2016, 9, 5671–5678. [Google Scholar] [CrossRef] [PubMed]
- Song, Z.; Wei, B.; Lu, C.; Huang, X.; Li, P.; Chen, L. Metformin suppresses the expression of Sonic hedgehog in gastric cancer cells. Mol. Med. Rep. 2017, 15, 1909–1915. [Google Scholar] [CrossRef]
- Niu, C.; Chen, Z.; Kim, K.T.; Sun, J.; Xue, M.; Chen, G.; Li, S.; Shen, Y.; Zhu, Z.; Wang, X.; et al. Metformin alleviates hyperglycemia-induced endothelial impairment by downregulating autophagy via the Hedgehog pathway. Autophagy 2019, 15, 843–870. [Google Scholar] [CrossRef]
- Shurrab, N.T.; Arafa, E.S.A. Metformin: A review of its therapeutic efficacy and adverse effects. Obes. Med. 2020, 17, 100186. [Google Scholar] [CrossRef]
- Ita, K. Transdermal Drug Delivery: Concepts and Application; Academic Press: Cambridge, MA, USA, 2020; ISBN 9780128225509. [Google Scholar]
- Touitou, E.; Dayan, N.; Bergelson, L.; Godin, B.; Eliaz, M. Ethosomes-Novel vesicular carriers for enhanced delivery: Characterization and skin penetration properties. J. Control. Release 2000, 65, 403–418. [Google Scholar] [CrossRef]
- Natsheh, H.; Touitou, E. Phospholipid vesicles for dermal/transdermal and nasal administration of active molecules: The effect of surfactants and alcohols on the fluidity of their lipid bilayers and penetration enhancement properties. Molecules 2020, 25, 2959. [Google Scholar] [CrossRef]
- Ascenso, A.; Raposo, S.; Batista, C.; Cardoso, P.; Mendes, T.; Praça, F.G.; Bentley, M.V.L.B.; Simões, S. Development, characterization, and skin delivery studies of related ultradeformable vesicles: Transfersomes, ethosomes, and transethosomes. Int. J. Nanomed. 2015, 10, 5837–5851. [Google Scholar] [CrossRef] [PubMed]
- Yang, L.; Wu, L.; Wu, D.; Shi, D.; Wang, T.; Zhu, X. Mechanism of transdermal permeation promotion of lipophilic drugs by ethosomes. Int. J. Nanomed. 2017, 12, 3357–3364. [Google Scholar] [CrossRef] [PubMed]
- Zhu, X.; Li, F.; Peng, X.; Zeng, K. Formulation and evaluation of lidocaine base ethosomes for transdermal delivery. Anesth. Analg. 2013, 117, 352–357. [Google Scholar] [CrossRef] [PubMed]
- Dave, V.; Kumar, D.; Lewis, S.; Paliwal, S. Ethosome for enhanced transdermal drug delivery of aceclofenac. Int. J. Drug Deliv. 2010, 2, 81–92. [Google Scholar] [CrossRef]
- Guth, K.; Schäfer-Korting, M.; Fabian, E.; Landsiedel, R.; van Ravenzwaay, B. Suitability of skin integrity tests for dermal absorption studies in vitro. Toxicol. Vitr. 2015, 29, 113–123. [Google Scholar] [CrossRef] [PubMed]
- Bouriche, S.; Alonso-García, A.; Cárceles-Rodríguez, C.M.; Rezgui, F.; Fernández-Varón, E. An in vivo pharmacokinetic study of metformin microparticles as an oral sustained release formulation in rabbits. BMC Vet. Res. 2021, 17, 315. [Google Scholar] [CrossRef]
- Amr Gamal, F.; Kharshoum, R.M.; Sayed, O.M.; El-Ela, F.I.A.; Salem, H.F. Control of basal cell carcinoma via positively charged ethosomes of Vismodegib: In vitro and in vivo studies. J. Drug Deliv. Sci. Technol. 2020, 56, 101556. [Google Scholar] [CrossRef]
- Goindi, S.; Dhatt, B.; Kaur, A. Ethosomes-based topical delivery system of antihistaminic drug for treatment of skin allergies. J. Microencapsul. 2014, 31, 716–724. [Google Scholar] [CrossRef]
- Abdel Aziz, R.L.; Abdel-Wahab, A.; Abo El-Ela, F.I.; Hassan, N.E.H.Y.; El-Nahass, E.S.; Ibrahim, M.A.; Khalil, A.T.A.Y. Dose- dependent ameliorative effects of quercetin and L-Carnitine against atrazine- induced reproductive toxicity in adult male Albino rats. Biomed. Pharmacother. 2018, 102, 855–864. [Google Scholar] [CrossRef]
- Salem, H.F.; Kharshoum, R.M.; El-Ela, F.I.A.; Gamal, A.F.; Abdellatif, K.R.A. Evaluation and optimization of pH-responsive niosomes as a carrier for efficient treatment of breast cancer. Drug Deliv. Transl. Res. 2018, 8, 633–644. [Google Scholar] [CrossRef]
- Abdulbaqi, I.M.; Darwis, Y.; Khan, N.A.K.; Assi, R.A.; Khan, A.A. Ethosomal nanocarriers: The impact of constituents and formulation techniques on ethosomal properties, in vivo studies, and clinical trials. Int. J. Nanomed. 2016, 11, 2279–2304. [Google Scholar] [CrossRef] [PubMed]
- Yang, F.; Kamiya, N.; Goto, M. Transdermal delivery of the anti-rheumatic agent methotrexate using a solid-in-oil nanocarrier. Eur. J. Pharm. Biopharm. 2012, 82, 158–163. [Google Scholar] [CrossRef] [PubMed]
- Pathan, I.B.; Jaware, B.P.; Shelke, S.; Ambekar, W. Curcumin loaded ethosomes for transdermal application: Formulation, optimization, in-vitro and in-vivo study. J. Drug Deliv. Sci. Technol. 2018, 44, 49–57. [Google Scholar] [CrossRef]
- Sandhiya, S.; Melvin, G.; Kumar, S.S.; Dkhar, S.A. The dawn of hedgehog inhibitors: Vismodegib. J. Pharmacol. Pharmacother. 2013, 4, 4–7. [Google Scholar] [CrossRef]
- Limsuwan, T.; Amnuaikit, T. Development of Ethosomes Containing Mycophenolic Acid. Procedia Chem. 2012, 4, 328–335. [Google Scholar] [CrossRef]
- Puri, R.; Jain, S. Ethogel topical formulation for increasing the local bioavailability of 5-fluorouracil: A mechanistic study. Anticancer. Drugs 2012, 23, 923–934. [Google Scholar] [CrossRef]
- Ainbinder, D.; Godin, B.; Touitou, E. Ethosomes: Enhanced delivery of drugs to and across the skin. In Percutaneous Penetration Enhancers Chemical Methods in Penetration Enhancement: Nanocarriers; Springer: Berlin/Heidelberg, Germany, 2016; pp. 61–75. ISBN 9783662478622. [Google Scholar]
- El-Menshawe, S.F.; Sayed, O.M.; Abou-Taleb, H.A.; El Tellawy, N. Skin permeation enhancement of nicotinamide through using fluidization and deformability of positively charged ethosomal vesicles: A new approach for treatment of atopic eczema. J. Drug Deliv. Sci. Technol. 2019, 52, 687–701. [Google Scholar] [CrossRef]
- Vezočnik, V.; Rebolj, K.; Sitar, S.; Ota, K.; Tušek-Žnidarič, M.; Štrus, J.; Sepčić, K.; Pahovnik, D.; Maček, P.; Žagar, E. Size fractionation and size characterization of nanoemulsions of lipid droplets and large unilamellar lipid vesicles by asymmetric-flow field-flow fractionation/multi-angle light scattering and dynamic light scattering. J. Chromatogr. A 2015, 1418, 185–191. [Google Scholar] [CrossRef]
- Zhang, Z.; Wo, Y.; Zhang, Y.; Wang, D.; He, R.; Chen, H.; Cui, D. In vitro study of ethosome penetration in human skin and hypertrophic scar tissue. Nanomed. Nanotechnol. Biol. Med. 2012, 8, 1026–1033. [Google Scholar] [CrossRef]
- Umar, S. Development and Evaluation of Transdermal Gel of Lornoxicam. Univers. J. Pharm. Res. 2017, 2, 17–20. [Google Scholar] [CrossRef]
- Verma, P.; Pathak, K. Nanosized ethanolic vesicles loaded with econazole nitrate for the treatment of deep fungal infections through topical gel formulation. Nanomed. Nanotechnol. Biol. Med. 2012, 8, 489–496. [Google Scholar] [CrossRef] [PubMed]
- Chandra, A.; Aggarwal, G.; Manchanda, S.; Narula, A. Development of Topical Gel of Methotrexate Incorporated Ethosomes and Salicylic Acid for the Treatment of Psoriasis. Pharm. Nanotechnol. 2019, 7, 362–374. [Google Scholar] [CrossRef] [PubMed]
- Elmoslemany, R.M.; Abdallah, O.Y.; El-Khordagui, L.K.; Khalafallah, N.M. Propylene glycol liposomes as a topical delivery system for miconazole nitrate: Comparison with conventional liposomes. AAPS PharmSciTech 2012, 13, 723–731. [Google Scholar] [CrossRef]
- Florencia Martini, M.; Disalvo, E.A.; Pickholz, M. Nicotinamide and picolinamide in phospholipid monolayers. Int. J. Quantum Chem. 2012, 112, 3289–3295. [Google Scholar] [CrossRef]
- Garg, B.J.; Garg, N.K.; Beg, S.; Singh, B.; Katare, O.P. Nanosized ethosomes-based hydrogel formulations of methoxsalen for enhanced topical delivery against vitiligo: Formulation optimization, in vitro evaluation and preclinical assessment. J. Drug Target. 2016, 24, 233–246. [Google Scholar] [CrossRef]
- Chourasia, M.K.; Kang, L.; Chan, S.Y. Nanosized ethosomes bearing ketoprofen for improved transdermal delivery. Results Pharma Sci. 2011, 1, 60–67. [Google Scholar] [CrossRef]
- Ahad, A.; Raish, M.; Al-Mohizea, A.M.; Al-Jenoobi, F.I.; Alam, M.A. Enhanced anti-inflammatory activity of carbopol loaded meloxicam nanoethosomes gel. Int. J. Biol. Macromol. 2014, 67, 99–104. [Google Scholar] [CrossRef]
- Gamal, A.; Saeed, H.; Abo El-Ela, F.I.; Salem, H.F. Improving the antitumor activity and bioavailability of sonidegib for the treatment of skin cancer. Pharmaceutics 2021, 13, 1560. [Google Scholar] [CrossRef]
- Shewaiter, M.A.; Hammady, T.M.; El-Gindy, A.; Hammadi, S.H.; Gad, S. Formulation and characterization of leflunomide/diclofenac sodium microemulsion base-gel for the transdermal treatment of inflammatory joint diseases. J. Drug Deliv. Sci. Technol. 2021, 61, 102110. [Google Scholar] [CrossRef]
- Checkley, L.A.; Rho, O.; Angel, J.M.; Cho, J.; Blando, J.; Beltran, L.; Hursting, S.D.; DiGiovanni, J. Metformin inhibits skin tumor promotion in overweight and obese mice. Cancer Prev. Res. 2014, 7, 54–64. [Google Scholar] [CrossRef]
- Lin, H.; Lin, L.; Choi, Y.; Michniak-Kohn, B. Development and in-vitro evaluation of co-loaded berberine chloride and evodiamine ethosomes for treatment of melanoma. Int. J. Pharm. 2020, 581, 119278. [Google Scholar] [CrossRef] [PubMed]
- Nainwal, N.; Jawla, S.; Singh, R.; Saharan, V.A. Transdermal applications of ethosomes—A detailed review. J. Liposome Res. 2019, 29, 103–113. [Google Scholar] [CrossRef] [PubMed]
- Journal, I.; Sciences, B.; Chappidi, S.R.; Education, P. Formulation and In Vitro evaluation of Liposomes containing Metformin Hydrochloride Formulation and In Vitro Evaluation of Liposomes Containing. Int. J. Res. Pharm. Biomed. Sci. 2016, 4, 479–485. [Google Scholar]
- Gokhale, J.P.; Mahajan, H.S.; Surana, S.S. Quercetin loaded nanoemulsion-based gel for rheumatoid arthritis: In vivo and in vitro studies. Biomed. Pharmacother. 2019, 112, 108622. [Google Scholar] [CrossRef]
- Olesen, U.H.; Clergeaud, G.; Lerche, C.M.; Andresen, T.L.; Haedersdal, M. Topical delivery of vismodegib using ablative fractional laser and micro-emulsion formulation in vitro. Lasers Surg. Med. 2019, 51, 79–87. [Google Scholar] [CrossRef]
- Shen, L.N.; Zhang, Y.T.; Wang, Q.; Xu, L.; Feng, N.P. Enhanced in vitro and in vivo skin deposition of apigenin delivered using ethosomes. Int. J. Pharm. 2014, 460, 280–288. [Google Scholar] [CrossRef]
- Salem, H.F.; Kharshoum, R.M.; Abou-Taleb, H.A.; AbouTaleb, H.A.; AbouElhassan, K.M. Progesterone-loaded nanosized transethosomes for vaginal permeation enhancement: Formulation, statistical optimization, and clinical evaluation in anovulatory polycystic ovary syndrome. J. Liposome Res. 2019, 29, 183–194. [Google Scholar] [CrossRef]
- Bronaugh, R.L.; Stewart, R.F.; Simon, M. Methods for in vitro percutaneous absorption studies VII: Use of excised human skin. J. Pharm. Sci. 1986, 75, 1094–1097. [Google Scholar] [CrossRef]
- Salem, H.F.; Kharshoum, R.M.; Sayed, O.M.; Abdel Hakim, L.F. Formulation design and optimization of novel soft glycerosomes for enhanced topical delivery of celecoxib and cupferron by Box–Behnken statistical design. Drug Dev. Ind. Pharm. 2018, 44, 1871–1884. [Google Scholar] [CrossRef]
- Bhujbal, S.; Dash, A.K. Metformin-Loaded Hyaluronic Acid Nanostructure for Oral Delivery. AAPS PharmSciTech 2018, 19, 2543–2553. [Google Scholar] [CrossRef]
- Dias, M.F.; de Figueiredo, B.C.P.; Teixeira-Neto, J.; Guerra, M.C.A.; Fialho, S.L.; Silva Cunha, A. In vivo evaluation of antitumoral and antiangiogenic effect of imiquimod-loaded polymeric nanoparticles. Biomed. Pharmacother. 2018, 103, 1107–1114. [Google Scholar] [CrossRef] [PubMed]
- Praça, F.S.G.; Medina, W.S.G.; Eloy, J.O.; Petrilli, R.; Campos, P.M.; Ascenso, A.; Bentley, M.V.L.B. Evaluation of critical parameters for in vitro skin permeation and penetration studies using animal skin models. Eur. J. Pharm. Sci. 2018, 111, 121–132. [Google Scholar] [CrossRef] [PubMed]
















| Formula Number | Lecithin w/w% (X1) | Cholesterol w/w% (X2) | Ethanol and Isopropyl Alcohol w/w% (X3) | EE% (Y1) | VS (nm) (Y2) | ZP (mV) (Y3) | DR% (Y4) |
|---|---|---|---|---|---|---|---|
| 1 | 2 | 0 | 30 | 98.26 ± 0.52 | 203.00 ± 15.07 | −54.05 ± 2.35 | 42.07 ± 0.34 |
| 2 * | 3 | 0.5 | 30 | 98.08 ± 0.82 | 200.04 ± 11.21 | −60.02 ± 2.21 | 66.31 ± 0.52 |
| 3 | 2 | 0.5 | 20 | 98.26 ± 0.41 | 245.11 ± 20.52 | −47.31 ± 1.33 | 43.45 ± 0.45 |
| 4 * | 3 | 0.5 | 30 | 98.08 ± 0.82 | 200.04 ± 11.21 | −60.02 ± 2.21 | 66.31 ± 0.52 |
| 5 | 4 | 0.5 | 40 | 98.14 ± 0.92 | 223.02 ± 9.01 | −50.23 ± 1.44 | 38.06 ± 0.41 |
| 6 | 4 | 1 | 30 | 98.01 ± 1.20 | 203.34 ± 11.30 | −49.24 ± 0.87 | 53.14 ± 0.23 |
| 7 | 3 | 0 | 20 | 98.44 ± 0.35 | 414.01 ± 55.04 | −51.01 ± 0.93 | 38.03 ± 0.82 |
| 8 | 3 | 0 | 40 | 98.26 ± 0.40 | 560.01 ± 127.14 | −58.03 ± 1.20 | 45.47 ± 0.24 |
| 9 | 3 | 1 | 40 | 99.40 ± 0.24 | 161.03 ± 13.23 | −57.04 ± 2.37 | 37.28 ± 0.64 |
| 10 * | 3 | 0.5 | 30 | 98.08 ± 0.82 | 200.04 ± 11.21 | −60.02 ± 2.21 | 66.31 ± 0.52 |
| 11 | 4 | 0 | 30 | 98.08 ± 0.52 | 173.13 ± 18.61 | −53.17 ± 2.01 | 45.04 ± 0.62 |
| 12 * | 3 | 0.5 | 30 | 98.08 ± 0.82 | 200.04 ± 11.21 | −60.02 ± 2.21 | 66.31 ± 0.52 |
| 13 | 2 | 0.5 | 40 | 98.40 ± 0.35 | 124.01 ± 14.27 | −60.08 ± 1.44 | 55.04 ± 0.98 |
| 14 * | 3 | 0.5 | 30 | 98.08 ± 0.82 | 200.04 ± 11.21 | −60.02 ± 2.21 | 66.31 ± 0.52 |
| 15 | 2 | 1 | 30 | 98.30 ± 0.44 | 192.41 ± 17.30 | −54.31 ± 4.28 | 52.41 ± 0.45 |
| 16 | 3 | 1 | 20 | 98.11 ± 0.73 | 234.13 ± 20.63 | −52.24 ± 1.81 | 70.02 ± 0.45 |
| 17 | 4 | 0.5 | 20 | 97.80 ± 0.23 | 380.06 ± 45.09 | −50.06 ± 1.22 | 62.16 ± 0.45 |
| The Amount of Permeated Metformin (µg/cm2) | The Steady-State Flux (µg/cm2/h) | The Percent of Cumulative Permeation (%) | |
|---|---|---|---|
| Formula #9 | 1224.27 ± 18.1 | 2.93 | 72 |
| The optimum formula #13 | 1660 ± 32.4 | 3.61 | 97.6 |
| Formula #16 | 1547 ± 21.7 | 3.26 | 91 |
| Factor | Levels of Independent Variables | ||
|---|---|---|---|
| Independent Variables | Minimum (−1) | Moderate (0) | Maximum (+1) |
| X1 = L-α-Lecithin concentration (w/w%) | 2% | 3% | 4% |
| X2 = Cholesterol concentration (w/w%) | 0% | 0.5% | 1% |
| X3 = Ethanol and isopropyl alcohol concentration (w/w%) | 20% | 30% | 40% |
| Y1 = Entrapment efficiency (%) | Maximum | ||
| Y2 = Vesicle size (nm) | Minimum | ||
| Y3 = Zeta Potential (mV) | Maximum | ||
| Y4 = DR % (% of drug released after 8 h) | Maximum | ||
| Group 1 | Received vehicle (acetone) and topical empty gel. |
| Group 2 | Received DMBA and topical empty gel. |
| Group 3 | Received DMBA and topical free metformin gel. |
| Group 4 | Received DMBA and topical empty ethosomes gel. |
| Group 5 | Received DMBA and metformin ethosomes gel. |
Publisher’s Note: MDPI stays neutral with regard to jurisdictional claims in published maps and institutional affiliations. |
© 2022 by the authors. Licensee MDPI, Basel, Switzerland. This article is an open access article distributed under the terms and conditions of the Creative Commons Attribution (CC BY) license (https://creativecommons.org/licenses/by/4.0/).
Share and Cite
Mousa, I.A.; Hammady, T.M.; Gad, S.; Zaitone, S.A.; El-Sherbiny, M.; Sayed, O.M. Formulation and Characterization of Metformin-Loaded Ethosomes for Topical Application to Experimentally Induced Skin Cancer in Mice. Pharmaceuticals 2022, 15, 657. https://doi.org/10.3390/ph15060657
Mousa IA, Hammady TM, Gad S, Zaitone SA, El-Sherbiny M, Sayed OM. Formulation and Characterization of Metformin-Loaded Ethosomes for Topical Application to Experimentally Induced Skin Cancer in Mice. Pharmaceuticals. 2022; 15(6):657. https://doi.org/10.3390/ph15060657
Chicago/Turabian StyleMousa, Ibrahim A., Taha M. Hammady, Shadeed Gad, Sawsan A. Zaitone, Mohamed El-Sherbiny, and Ossama M. Sayed. 2022. "Formulation and Characterization of Metformin-Loaded Ethosomes for Topical Application to Experimentally Induced Skin Cancer in Mice" Pharmaceuticals 15, no. 6: 657. https://doi.org/10.3390/ph15060657
APA StyleMousa, I. A., Hammady, T. M., Gad, S., Zaitone, S. A., El-Sherbiny, M., & Sayed, O. M. (2022). Formulation and Characterization of Metformin-Loaded Ethosomes for Topical Application to Experimentally Induced Skin Cancer in Mice. Pharmaceuticals, 15(6), 657. https://doi.org/10.3390/ph15060657

