Chip-Sized Lensless Holographic Microscope for Real-Time On-Chip Biological Sensing
Abstract
1. Introduction
1.1. Miniaturized Microscopy
1.2. Smartphone-Based Microscopy
1.3. Lensless Microscopy
2. Materials and Methods
2.1. Chip-Sized Microscope (CLHM) Hardware
2.2. Chip-Sized Microscope (CLHM) Software
- (i)
- Parameter configuration: Users first define camera settings—such as frame rate, pixel pitch, gain, and exposure time—as well as display parameters, including LED pitch, emission wavelength, intensity, luminance, and current bias. The desired LED grid size (e.g., 5 × 5) is also specified.
- (ii)
- Hologram acquisition: A series of images is captured as the LED array sequentially illuminates the sample. For example, a 5 × 5 grid results in 25 individual holographic segments.
- (iii)
- Normalization: Each image is corrected for LED intensity variations and ambient light effects via background subtraction. This step homogenizes the illumination across all segments.
- (iv)
- Stitching: The normalized segments are spatially combined to form a single composite hologram that represents the full field of view.
- (v)
- Holographic reconstruction: A numerical backpropagation algorithm refocuses the wavefront to the sample plane, and twin-image correction is applied to reduce reconstruction artifacts.
2.3. Experimental Setups
2.3.1. CLHM-Resolution Analysis Setup
2.3.2. Microfluidic Setup for Monitoring Wine Samples
2.3.3. Zebrafish Imaging Setup
2.3.4. Angiogenesis Assay for Tissue and Cellular Monitoring
3. Results
3.1. Resolution Analysis
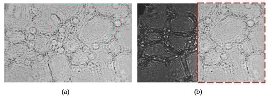
3.2. Biological Samples Analysis
4. Discussion
Author Contributions
Funding
Institutional Review Board Statement
Informed Consent Statement
Data Availability Statement
Acknowledgments
Conflicts of Interest
References
- Yuan, S.; Zhang, P.; Zhang, F.; Yan, S.; Dong, R.; Wu, C.; Deng, J. Profiling signaling mediators for cell–cell interactions and communications with microfluidics-based single-cell analysis tools. iScience 2025, 28, 111663. [Google Scholar] [CrossRef] [PubMed]
- Ly, V.T.; Baudin, P.V.; Pansodtee, P.; Jung, E.A.; Voitiuk, K.; Rosen, Y.M.; Willsey, H.R.; Mantalas, G.L.; Seiler, S.T.; Selberg, J.A.; et al. Picroscope: Low-cost system for simultaneous longitudinal biological imaging. Commun. Biol. 2021, 4, 1261. [Google Scholar] [CrossRef] [PubMed]
- Yanny, K.; Antipa, N.; Liberti, W.; Dehaeck, S.; Monakhova, K.; Liu, F.L.; Shen, K.; Ng, R.; Waller, L. Miniscope3D: Optimized single-shot miniature 3D fluorescence microscopy. Light Sci. Appl. 2020, 9, 171. [Google Scholar] [CrossRef] [PubMed]
- Son, J.; Mandracchia, B.; Jia, S. Miniaturized modular-array fluorescence microscopy. Biomed. Opt. Express 2020, 11, 7221–7235. [Google Scholar] [CrossRef]
- Barbera, G.; Jun, R.; Zhang, Y. A miniature fluorescence microscope for multi-plane imaging. Sci. Rep. 2022, 12, 16686. [Google Scholar] [CrossRef]
- Rodríguez-Pena, A.; Uranga-Solchaga, J.; Ortiz-de-Solórzano, C. Spheroscope: A custom-made miniaturized microscope for tracking tumour spheroids in microfluidic devices. Sci. Rep. 2020, 10, 2779. [Google Scholar] [CrossRef]
- Liao, Y.; Qin, C.; Zhang, X.; Ye, J.; Xu, Z.; Zong, H.; Hu, N.; Zhang, D. A dual-mode, image-enhanced, miniaturized microscopy system for incubator-compatible monitoring of live cells. Talanta 2024, 278, 126537. [Google Scholar] [CrossRef]
- Beacher, N.J.; Washington, K.A.; Zhang, Y.; Li, Y.; Ling, D. GRIN lens applications for studying neurobiology of substance use disorder. Addict. Neurosci. 2022, 4, 100049. [Google Scholar] [CrossRef]
- Jin, B.; Jean, A.R.; Maslov, A.; Astratov, V. Ball Lens-Assisted Cellphone Imaging with Submicron Resolution. Laser Photonics Rev. 2023, 17, 2300146. [Google Scholar] [CrossRef]
- Zhang, H.; Zhang, W.; Zuo, Z.; Yang, J. Towards ultra-low-cost smartphone microscopy. Microsc. Res. Tech. 2024, 87, 1521–1533. [Google Scholar] [CrossRef]
- Liu, Y.; Rollins, A.M.; Levenson, R.M. Pocket MUSE: An affordable, versatile and high-performance fluorescence microscope using a smartphone. Commun. Biol. 2021, 4, 334. [Google Scholar] [CrossRef]
- Lian, M.; Shi, F.; Cao, Q.; Wang, C.; Li, N.; Li, X.; Zhang, X.; Chen, D. Paper-Based Colorimetric Sensor Using Bimetallic Nickel–Cobalt Selenides Nanozyme with Artificial Neural Network-Assisted for Detection of H2O2 on Smartphone. Sens. Actuators B Chem. 2024, 311, 124038. [Google Scholar] [CrossRef]
- Grant, B.D.; Quang, T.; Possati-Resende, J.C.; Scapulatempo-Neto, C.; de Macedo Matsushita, G.; Mauad, E.C. A mobile-phone base high-resolution microendoscope to image cervicaprecancer. PLoS ONE 2019, 14, e0211045. [Google Scholar] [CrossRef] [PubMed]
- Picazo-Bueno, J.A.; Trindade, K.; Sanz, M.; Micó, V. Design, Calibration, and Application of a Robust, Cost-Effective, and High-Resolution Lensless Holographic Microscope. Sensors 2022, 22, 553. [Google Scholar] [CrossRef]
- Vinjimore Kesavan, S.; Momey, F.; Cioni, O. High-throughput monitoring of major cell functions by means of lensfree video microscopy. Sci. Rep. 2024, 4, 5942. [Google Scholar] [CrossRef]
- Berdeu, A.; Momey, F.; Laperrousaz, B.; Bordy, T.; Gidrol, X. 3D lens-free time-lapse microscopy for 3D cell culture. In Proceedings of the European Conferences on Biomedical Optics, Munich, Germany, 25–29 June 2017; p. 104140C. [Google Scholar]
- Allier, C.; Morel, S.; Vincent, R.; Ghenim, L.; Navarro, F.; Menneteau, M.; Bordy, T.; Hervé, L.; Cioni, O.; Gidrol, X.; et al. Imaging of dense cell cultures by multiwavelength lens-free video microscopy. Cytom. A 2017, 91, 433–442. [Google Scholar] [CrossRef]
- Scholz, G.; Mariana, S.; Dharmawan, A.B.; Syamsu, I.; Hörmann, P.; Reuse, C.; Hartmann, J.; Hiller, K.; Prades, J.D.; Wasisto, H.S. Continuous Live-Cell Culture Imaging and Single-Cell Tracking by Computational Lensfree LED Microscopy. Sensors 2019, 19, 1234. [Google Scholar] [CrossRef] [PubMed]
- Zheng, G.; Horstmeyer, R.; Yang, C. Wide-field, high-resolution Fourier ptychographic microscopy. Nat. Photon. 2013, 7, 739–745. [Google Scholar] [CrossRef] [PubMed]
- Kim, J.; Song, S.; Kim, H.; Kim, B.; Park, M.; Oh, S.J.; Kim, D.; Cense, B.; Huh, Y.-M.; Lee, J.Y.; et al. Ptychographic lens-less birefringence microscopy using a mask-modulated polarization image sensor. Sci. Rep. 2023, 13, 19263. [Google Scholar] [CrossRef]
- Xu, C.; Pang, H.; Cao, A.; Deng, Q.; Hu, S.; Yang, H. Lensless Imaging via Blind Ptychography Modulation and Wavefront Separation. Photonics 2023, 10, 191. [Google Scholar] [CrossRef]
- Jiang, S.; Zhu, J.; Song, P.; Guo, C.; Bian, Z.; Wang, R.; Huang, Y.; Wang, S.; Zhang, H.; Zheng, G. Wide-field, high-resolution lensless on-chip microscopy via near-field blind ptychographic modulation. Lab Chip 2020, 20, 1058–1065. [Google Scholar] [CrossRef] [PubMed]
- Benito-Altamirano, I.; Moreno, S.; Vaz-Romero, D.M.; Puig-Pujol, A.; Roca-Domènech, G.; Canals, J.; Vilà, A.; Prades, J.D.; Diéguez, Á. MicroVi: A Cost-Effective Microscopy Solution for Yeast Cell Detection and Count in Wine Value Chain. Biosensors 2025, 15, 40. [Google Scholar] [CrossRef]
- Ghaddar, B.; Diotel, N. Zebrafish: A New Promise to Study the Impact of Metabolic Disorders on the Brain. Int. J. Mol. Sci. 2022, 23, 5372. [Google Scholar] [CrossRef]
- Zang, L.; Maddison, L.A.; Chen, W. Zebrafish as a Model for Obesity and Diabetes. Front. Cell Dev. Biol. 2018, 6, 91. [Google Scholar] [CrossRef]
- Liu, J.; Yuan, X.; Fan, C.; Ma, G. Application of the zebrafish model in human viral research. Virus Res. 2024, 341, 199327. [Google Scholar] [CrossRef]
- Fajar, S.; Dwi, S.P.; Nur, I.S.; Wahyu, A.P.; Sukamto, S.M.; Winda, A.R.; Nastiti, W.; Andri, F.; Firzan, N. Zebrafish as a model organism for virus disease research: Current status and future directions. Heliyon 2024, 10, e33865. [Google Scholar] [CrossRef]
- Bailone, R.L.; Fukushima, H.C.S.; Ventura Fernandes, B. Zebrafish as an alternative animal model in human and animal vaccination research. Lab. Anim. Res. 2020, 36, 13. [Google Scholar] [CrossRef]
- Choi, T.Y.; Choi, T.I.; Lee, Y.R. Zebrafish as an animal model for biomedical research. Exp. Mol. Med. 2021, 53, 310–317. [Google Scholar] [CrossRef]
- Parichy, D.M.; Elizondo, M.R.; Mills, M.G.; Gordon, T.N.; Engeszer, R.E. Normal table of postembryonic zebrafish development: Staging by externally visible anatomy of the living fish. Dev. Dyn. 2009, 238, 2975–3015. [Google Scholar] [CrossRef] [PubMed]
- Kengla, C.; Kidiyoor, A.; Murphy, S.V. Chapter 68—Bioprinting Complex 3D Tissue and Organs, 68.5.1 Primary Cells. In Kidney Transplantation, Bioengineering and Regeneration; Orlando, G., Remuzzi, G., Williams, D., Eds.; Academic Press: Cambridge, MA, USA, 2017; p. 964. [Google Scholar]
- Carter, M.; Shieh, J. Chapter 14—Cell Culture Techniques, Immortalized Cell Lines. In Guide to Research Techniques in Neuroscience, 2nd ed.; Carter, M., Shieh, J., Eds.; Academic Press: Cambridge, MA, USA, 2015; p. 298. [Google Scholar]
- Narsinh, K.H.; Plews, J.; Wu, J.C. Comparison of human induced pluripotent and embryonic stem cells: Fraternal or identical twins? Mol. Ther. 2011, 19, 635–638. [Google Scholar] [CrossRef] [PubMed]
- Niu, X.; Zhang, Y.; Wang, Y. Co-culture models for investigating cellular crosstalk in the glioma microenvironment. Cancer Pathog. Ther. 2023, 2, 219–230. [Google Scholar] [CrossRef] [PubMed]
- Song, B.X.; Azhar, L.; Koo, G.K.Y.; Marzolini, S.; Gallagher, D.; Swardfager, W.; Chen, C.; Ba, J.; Herrmann, N.; Lanctôt, K.L. The effect of exercise on blood concentrations of angiogenesis markers in older adults: A systematic review and meta-analysis. Neurobiol. Aging 2024, 135, 15–25. [Google Scholar] [CrossRef] [PubMed]
- Rapp, J.; Ness, J.; Wolf, J.; Hospach, A.; Liang, P.; Hug, M.J.; Agostini, H.; Schlunck, G.; Lange, C.; Bucher, F. 2D and 3D in vitro angiogenesis assays highlight different aspects of angiogenesis. Biochim. Biophys. Acta Mol. Basis Dis. 2024, 1870, 167028. [Google Scholar] [CrossRef]
- Kocherova, I.; Bryja, A.; Mozdziak, P.; Angelova Volponi, A.; Dyszkiewicz-Konwińska, M.; Piotrowska-Kempisty, H.; Antosik, P.; Bukowska, D.; Bruska, M.; Iżycki, D.; et al. Human Umbilical Vein Endothelial Cells (HUVECs) Co-Culture with Osteogenic Cells: From Molecular Communication to Engineering Prevascularised Bone Grafts. J. Clin. Med. 2019, 8, 1602. [Google Scholar] [CrossRef]
- Sant, K.E.; Timme-Laragy, A.R. Zebrafish as a Model for Toxicological Perturbation of Yolk Sac and Nutrition in the Early Embryo. Curr. Environ. Health Rep. 2018, 5, 125–133. [Google Scholar]
- Tian, X.; Yao, W.; Tan, J.; Hu, Z.; Liu, J. gdf11 Is Required for Pronephros and Cloaca Development through Targeting TGF-β Signaling. Sci. Rep. 2025, 15, 12345. [Google Scholar] [CrossRef] [PubMed]











| System | Time Point | Image Size (μm) | Closed Loops (Raw Count) | Junctions (Raw Count) |
|---|---|---|---|---|
| Inverted microscope | 2 h | 333 × 232 | 8 | 37 |
| 4 h | 333 × 232 | 6 | 26 | |
| 24 h | 333 × 232 | 2 | 10 | |
| CLHM | 2 h | 464 × 307 | 9 | 31 |
| 4 h | 464 × 307 | 6 | 22 | |
| 24 h | 464 × 307 | 1 | 10 |
Disclaimer/Publisher’s Note: The statements, opinions and data contained in all publications are solely those of the individual author(s) and contributor(s) and not of MDPI and/or the editor(s). MDPI and/or the editor(s) disclaim responsibility for any injury to people or property resulting from any ideas, methods, instructions or products referred to in the content. |
© 2025 by the authors. Licensee MDPI, Basel, Switzerland. This article is an open access article distributed under the terms and conditions of the Creative Commons Attribution (CC BY) license (https://creativecommons.org/licenses/by/4.0/).
Share and Cite
Moncada-Madrazo, S.; Moreno, S.; Caravaca, O.; Canals, J.; Castro, N.; López, M.; Ramón-Azcón, J.; Vilà, A.; Diéguez, Á. Chip-Sized Lensless Holographic Microscope for Real-Time On-Chip Biological Sensing. Sensors 2025, 25, 5247. https://doi.org/10.3390/s25175247
Moncada-Madrazo S, Moreno S, Caravaca O, Canals J, Castro N, López M, Ramón-Azcón J, Vilà A, Diéguez Á. Chip-Sized Lensless Holographic Microscope for Real-Time On-Chip Biological Sensing. Sensors. 2025; 25(17):5247. https://doi.org/10.3390/s25175247
Chicago/Turabian StyleMoncada-Madrazo, Sofía, Sergio Moreno, Oriol Caravaca, Joan Canals, Natalia Castro, Manel López, Javier Ramón-Azcón, Anna Vilà, and Ángel Diéguez. 2025. "Chip-Sized Lensless Holographic Microscope for Real-Time On-Chip Biological Sensing" Sensors 25, no. 17: 5247. https://doi.org/10.3390/s25175247
APA StyleMoncada-Madrazo, S., Moreno, S., Caravaca, O., Canals, J., Castro, N., López, M., Ramón-Azcón, J., Vilà, A., & Diéguez, Á. (2025). Chip-Sized Lensless Holographic Microscope for Real-Time On-Chip Biological Sensing. Sensors, 25(17), 5247. https://doi.org/10.3390/s25175247

