A New Intraoral Six-Degrees-of-Freedom Jaw Movement Tracking Method Using Magnetic Fingerprints
Abstract
1. Introduction
2. Materials and Methods
2.1. Measurement Principles
2.2. Assembly of the Sensing Module
2.2.1. Sensing Module and Measurement System
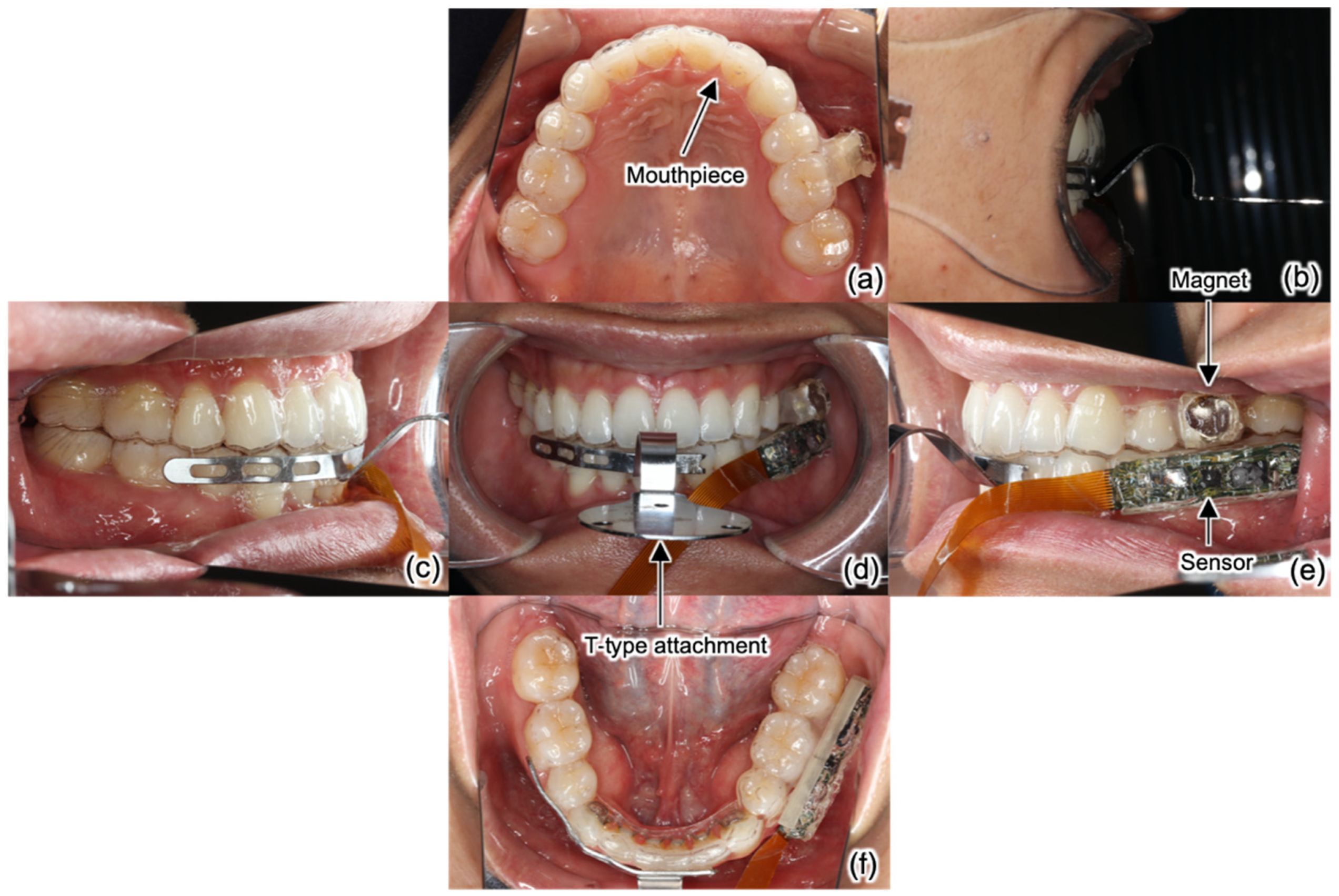
2.2.2. Manufacturing Method of the Mouthpiece-Type Mandibular Movement Measuring Device
2.3. Mandibular Movement Tracking
2.3.1. Precision Assessment of the Sensor Position
2.3.2. Evaluation of the Mouthpiece-Type Jaw Movement Tracking Device
3. Results and Discussion
3.1. Evaluation of the Sensor’s Positional Precision
3.2. Evaluation of the Mouthpiece-Type Mandibular Movement Tracker
4. Conclusions
Supplementary Materials
Author Contributions
Funding
Institutional Review Board Statement
Informed Consent Statement
Data Availability Statement
Conflicts of Interest
References
- Gibbs, C.H.; Messerman, T.; Reswick, J.B.; Derda, H.J. Functional movements of the mandible. J. Prosthet. Dent. 1971, 26, 604–620. [Google Scholar] [CrossRef]
- Mapelli, A.; Galante, D.; Lovecchio, N.; Sforza, C.; Ferrario, V.F. Translation and rotation movements of the mandible during mouth opening and closing. Clin. Anat. 2009, 22, 311–318. [Google Scholar] [CrossRef] [PubMed]
- Okeson, J.P. Management of Temporomandibular Disorders and Occlusion, 5th ed.; Elsevier Inc.: New York, NY, USA, 2003; pp. 66–76. [Google Scholar]
- Gauer, R.L.; Semidey, M.J. Diagnosis and treatment of temporomandibular disorders. Am. Fam. Physician 2015, 91, 378–386. [Google Scholar] [PubMed]
- K7 Evaluation System. Available online: https://www.myotronics.com/k7x (accessed on 28 September 2022).
- Gnatho-Hexagraph II (No Longer Commercially Available). Available online: http://www.gcdental.co.jp/tekisei/seihinsyuri/sinryo_s.html (accessed on 28 September 2022). (In Chinese).
- WinJMA System. Available online: https://www.zebris.de/en/welcome-to-the-world-of-functional-digital-dentistry/welcome-to-the-world-of-functional-digital-dentistry (accessed on 29 September 2022). (In German).
- Woodford, S.C.; Robinson, D.L.; Mehl, A.; Lee, P.V.S.; Ackland, D.C. Measurement of normal and pathological mandibular and temporomandibular joint kinematics: A systematic review. J. Biomech. 2020, 111, 109994. [Google Scholar] [CrossRef] [PubMed]
- Flavel, S.C.; Nordstromm, M.A.; Miles, T.S. A simple and inexpensive system for monitoring jaw movements in ambulatory humans. J. Biomech. 2002, 35, 573–577. [Google Scholar] [CrossRef]
- Fuentes, R.; Navarro, P.; Curiqueo, A.; Ottone, N.E. Determination of mandibular border and functional movement protocols using an electromagnetic articulograph (EMA). Int. J. Clin. Exp. Med. 2015, 8, 19905–19916. [Google Scholar] [PubMed]
- Nishigawa, K.; Nakano, M.; Bando, E. Study of jaw movement and masticatory muscle activity during unilateral chewing with and without balancing side molar contacts. J. Oral Rehabil. 1997, 24, 691–696. [Google Scholar] [CrossRef] [PubMed]
- Jucevičius, M.; Ožiūnas, R.; Mažeika, M.; Marozas, V.; Jegelevičius, D. Accelerometry-enhanced magnetic sensor for intra-oral continuous jaw motion tracking. Sensors 2021, 21, 1409. [Google Scholar] [CrossRef] [PubMed]
- Paperno, E.; Sasada, I.; Leonovich, E. A new method for magnetic position and orientation tracking. IEEE Trans Magn. 2001, 37, 1938–1940. [Google Scholar] [CrossRef]
- Singh, M.; Shankar, R.A.; Jung, B. Magnetic position tracking using inductor coils and IMU. In Proceedings of the 2020 IEEE Sensors, Rotterdam, The Netherlands, 25–28 October 2020. [Google Scholar]
- Shao, W.; Zhao, F.; Wang, C.; Luo, H.; Muhammad Zahid, T.; Wang, Q.; Li, D. Location fingerprint extraction for magnetic field magnitude based indoor positioning. J. Sens. 2016, 2016, 1945695. [Google Scholar] [CrossRef]
- Carrillo, D.; Moreno, V.; Úbeda, B.; Skarmeta, A.F. MagicFinger: 3D magnetic fingerprints for indoor location. Sensors 2015, 15, 17168–17194. [Google Scholar] [CrossRef] [PubMed]
- Numerical Calculation Library for Convex Hull, Qhull. Available online: http://www.qhull.org (accessed on 28 September 2022).
- Nakai, T. A Uniform magnetic field generator combined with a thin-film magneto-impedance sensor capable of human body scans. Sensors 2022, 22, 3120. [Google Scholar] [CrossRef] [PubMed]
- Masaki, R.; Tsuchida, K.; Aoyama, H.; Honkura, Y.; Hayashi, T.; Fujii, Y.; Kohno, S. Development of a jaw-position measuring system using magneto-impedance (MI) sensor. In Proceedings of the IEEE International Magnetics Conference (INTERMAG), Nagoya, Japan, 4–8 April 2005; pp. 1269–1270. [Google Scholar]
- Khan, M.A.; Sun, J.; Li, B.; Przybysz, A.; Kosel, J. Magnetic sensors-A review and recent technologies. Eng. Res. Express 2021, 3, 022005. [Google Scholar] [CrossRef]
- Camacho-Alonso, F.; Sánchez-Siles, M.; Gilbel-del Águila, O. No evidence of genotoxic damage in a group of patients with titanium dental implants and different metal restorations in the oral cavity. Clin. Implant. Dent. Relat. Res. 2015, 17, 811–821. [Google Scholar] [CrossRef] [PubMed]
- Shimada, Y.; Yoshida, Y.; Isogai, R.; Maki, K. Visualization of orthodontic forces generated by aligner-type appliances. Dent. Mater. J. 2022, 41, 608–615. [Google Scholar] [CrossRef] [PubMed]
- Komiyama, O.; Asano, T.; Suzuki, H.; Kawara, M.; Wada, M.; Kobayashi, K.; Ohtake, S. Mandibular condyle movement during mastication of foods. J. Oral Rehabil. 2003, 30, 592–600. [Google Scholar] [CrossRef] [PubMed]
- Reicheneder, C.; Proof, P.; Baumert, U.; Gedrange, T. Comparison of maximum mouth-opening capacity and condylar path length in adults and children during the growth period. Ann. Anat. 2008, 190, 344–350. [Google Scholar] [CrossRef] [PubMed]
- Martinot, J.B.; Senny, F.; Denison, S.; Cuthbert, V.; Gueulette, E.; Guénard, H.; Pépin, J.L. Mandibular movements identify respiratory effort in pediatric obstructive sleep apnea. J. Clin. Sleep Med. 2015, 11, 567–574. [Google Scholar] [CrossRef] [PubMed]
- Hopp, M.; Rogaschewski, S.; Groth, T. Testing the cytotoxicity of metal alloys used as magnetic prosthetic devices. J. Mater. Sci. Mater. Med. 2003, 14, 335–345. [Google Scholar] [CrossRef] [PubMed]
- Shiotsu, R.; Yoshida, Y.; Haga, S.; Maki, K. Development of a new intraoral sensing system for measuring the wearing time of clear aligner. J. Jpn. Acad. Digit. Dent. 2022, 11, 118–126. [Google Scholar]


















Publisher’s Note: MDPI stays neutral with regard to jurisdictional claims in published maps and institutional affiliations. |
© 2022 by the authors. Licensee MDPI, Basel, Switzerland. This article is an open access article distributed under the terms and conditions of the Creative Commons Attribution (CC BY) license (https://creativecommons.org/licenses/by/4.0/).
Share and Cite
Morikawa, K.; Isogai, R.; Nonaka, J.; Yoshida, Y.; Haga, S.; Maki, K. A New Intraoral Six-Degrees-of-Freedom Jaw Movement Tracking Method Using Magnetic Fingerprints. Sensors 2022, 22, 8923. https://doi.org/10.3390/s22228923
Morikawa K, Isogai R, Nonaka J, Yoshida Y, Haga S, Maki K. A New Intraoral Six-Degrees-of-Freedom Jaw Movement Tracking Method Using Magnetic Fingerprints. Sensors. 2022; 22(22):8923. https://doi.org/10.3390/s22228923
Chicago/Turabian StyleMorikawa, Kinta, Ryosuke Isogai, Junya Nonaka, Yoshifumi Yoshida, Shugo Haga, and Koutaro Maki. 2022. "A New Intraoral Six-Degrees-of-Freedom Jaw Movement Tracking Method Using Magnetic Fingerprints" Sensors 22, no. 22: 8923. https://doi.org/10.3390/s22228923
APA StyleMorikawa, K., Isogai, R., Nonaka, J., Yoshida, Y., Haga, S., & Maki, K. (2022). A New Intraoral Six-Degrees-of-Freedom Jaw Movement Tracking Method Using Magnetic Fingerprints. Sensors, 22(22), 8923. https://doi.org/10.3390/s22228923

