Sarcopenia Detection System Using RGB-D Camera and Ultrasound Probe: System Development and Preclinical In-Vitro Test
Abstract
1. Introduction
- A four DOF sarcopenia detection system with conventional ultrasound probe, RGB-D camera and force sensor is developed to accurately measure the muscle thickness in the subject’s thigh (i.e., rectus femoris, medial gastrocnemius).
- An angular thigh scanning method with an ultrasound probe is proposed to angularly scan the surface of the subject’s thigh. First, the method curve-fits the angular surface of the subject’s thigh with an RGB-D camera with piecewise arcs. Second, the ultrasound probe is moved along the fitted arc using the Jacobian matrix. The radial interface force can be maintained by a force feedback control.
- An in-vitro test with ham-gelatin phantom is performed to validate the system and the proposed method.
2. Materials and Methods
2.1. Sarcopenia Detection System
2.1.1. Sarcopenia Detection System Overview
2.1.2. Details of the Sarcopenia Detection System and Test Section
2.1.3. Communications of the Sarcopenia Detection System
2.2. Angular Thigh Scanning Method
2.2.1. Piecewise Arc Curve Fitting
2.2.2. Ultrasound Probe Moving Method
Planar Kinematics of the Sarcopenia Detection System
Jacobian Based Ultrasound Probe Moving
2.2.3. Control Flow of the Sarcopenia Detection System
3. Results
3.1. Human Thigh Stiffness Measurement
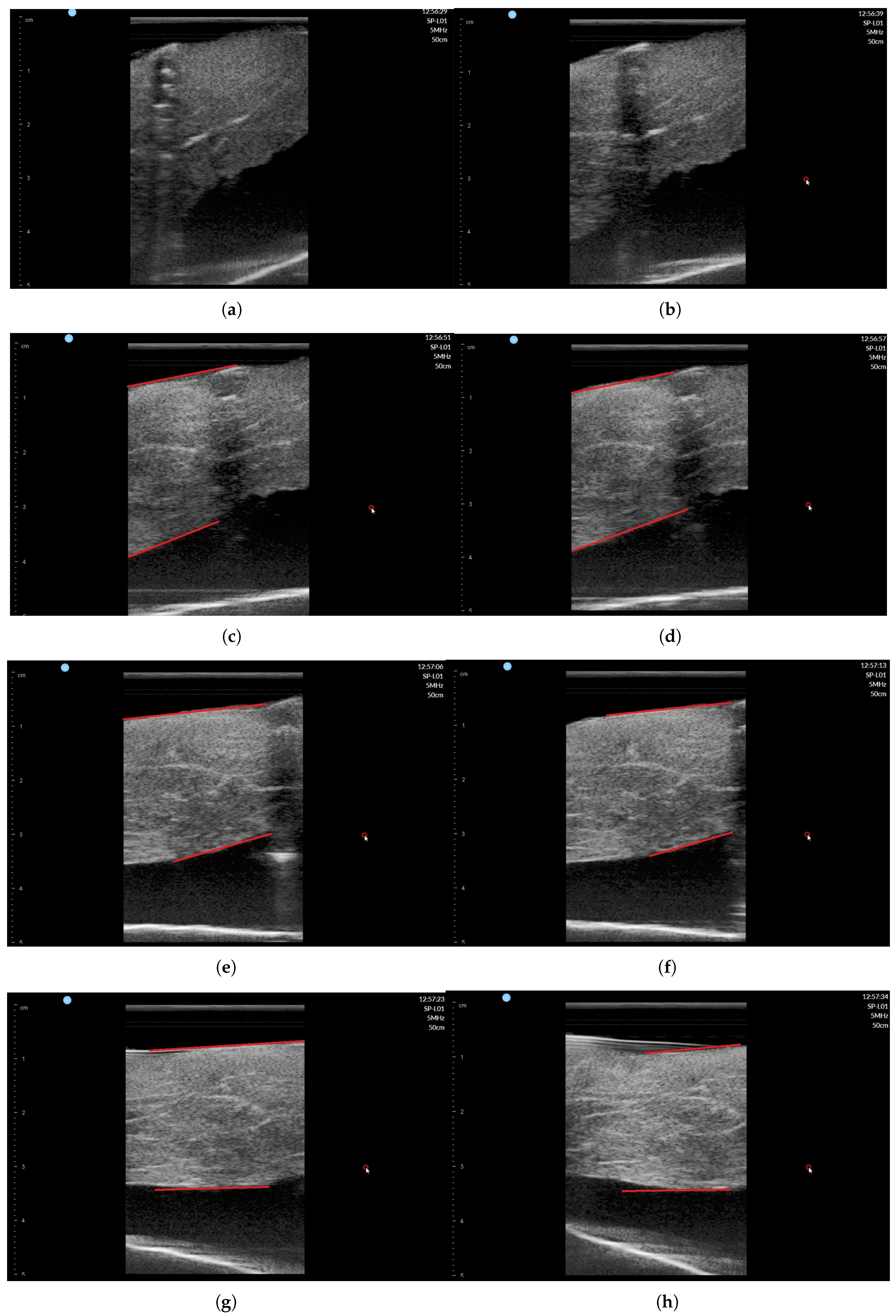
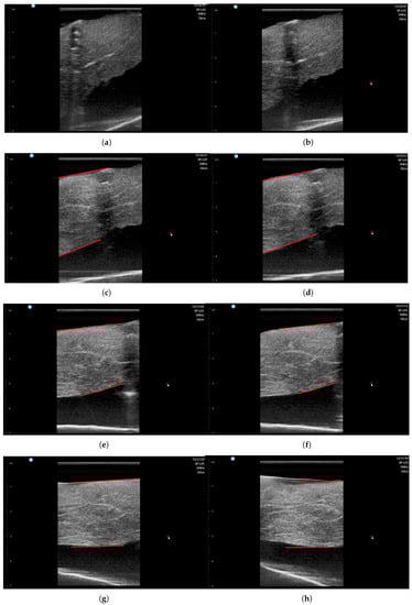
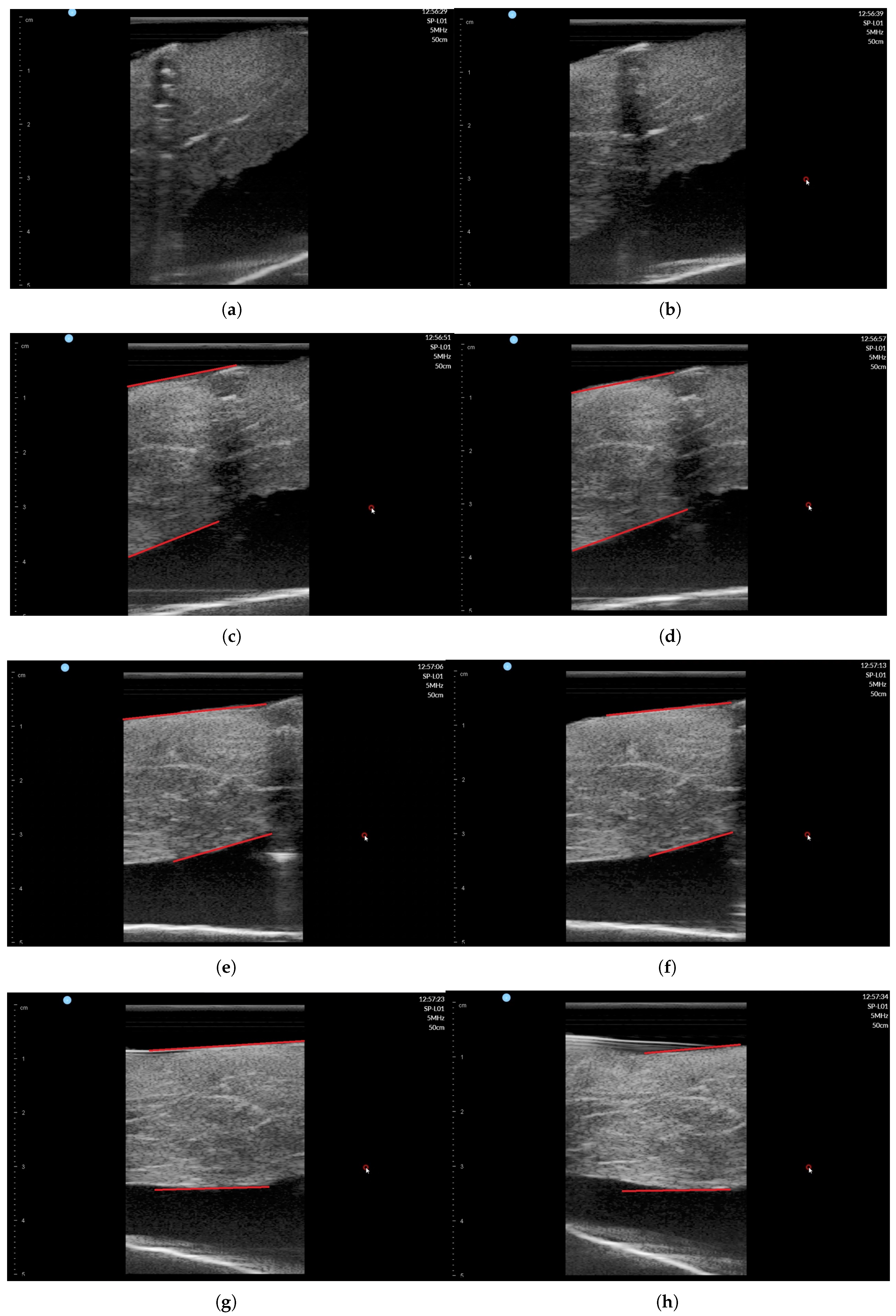
3.2. In-Vitro Phantom Test
3.2.1. Ham-Gelatin Phantom
3.2.2. In-Vitro Ham-Gelatin Phantom Test Result
4. Conclusions and Discussions
4.1. Conclusions
4.2. Clinical Relevance
Author Contributions
Funding
Conflicts of Interest
Appendix A
| Algorithm 1: Piecewise arc curve fitting(arcs_number, number_of_points_in_each_arc, surface_points). |
![]() |
| Algorithm 2: Initilal_R_and_Angle_from_Points(surface_points[number_of_arcs], number_of_points_in_arc). |
![]() |
| Algorithm 3: Initial_P_from_R_and_Angle(surface_points[arcs_number], number_of_points_in_arc, initial_radius, initial_angle). |
![]() |
References
- Santilli, V.; Bernetti, A.; Mangone, M.; Paoloni, M. Clinical definition of sarcopenia. Clin. Cases Miner. Bone Metab. 2014, 11, 177. [Google Scholar] [CrossRef]
- Cesari, M.; Kritchevsky, S.B.; Baumgartner, R.N.; Atkinson, H.H.; Penninx, B.W.; Lenchik, L.; Palla, S.L.; Ambrosius, W.T.; Tracy, R.P.; Pahor, M. Sarcopenia, obesity, and inflammation—Results from the Trial of Angiotensin Converting Enzyme Inhibition and Novel Cardiovascular Risk Factors study. Am. J. Clin. Nutr. 2005, 82, 428–434. [Google Scholar] [CrossRef]
- von Haehling, S.; Morley, J.E.; Anker, S.D. An overview of sarcopenia: Facts and numbers on prevalence and clinical impact. J. Cachexia Sarcopenia Muscle 2010, 1, 129–133. [Google Scholar] [CrossRef]
- Rubbieri, G.; Mossello, E.; Di Bari, M. Techniques for the diagnosis of sarcopenia. Clin. Cases Miner. Bone Metab. 2014, 11, 181. [Google Scholar] [CrossRef] [PubMed]
- Martin, A.D.; Spenst, L.F.; Drinkwater, D.T.; Clarys, J.P. Anthropometric estimation of muscle mass in men. Med. Sci. Sport. Exerc. 1990, 22, 729–733. [Google Scholar] [CrossRef] [PubMed]
- Perez-Zepeda, M.U.; Sanchez-Garrido, N.; Gonzalez-Lara, M.; Gutierrez-Robledo, L.M. Sarcopenia prevalence using simple measurements and population-based cutoff values. J. Lat. Am. Geriatr. Med. 2016, 2, 8. [Google Scholar] [PubMed]
- Santos, L.A.A.; Lima, T.B.; Ietsugu, M.D.V.; Nunes, H.R.D.C.; Qi, X.; Romeiro, F.G. Anthropometric measures associated with sarcopenia in outpatients with liver cirrhosis. Nutr. Diet. 2019, 76, 613–619. [Google Scholar] [CrossRef]
- Janssen, I.; Heymsfield, S.B.; Baumgartner, R.N.; Ross, R. Estimation of skeletal muscle mass by bioelectrical impedance analysis. J. Appl. Physiol. 2000, 89, 465–471. [Google Scholar] [CrossRef]
- Gonzalez, M.C.; Heymsfield, S.B. Bioelectrical impedance analysis for diagnosing sarcopenia and cachexia: What are we really estimating? J. Cachexia Sarcopenia Muscle 2017, 8, 187–189. [Google Scholar] [CrossRef]
- Sergi, G.; De Rui, M.; Stubbs, B.; Veronese, N.; Manzato, E. Measurement of lean body mass using bioelectrical impedance analysis: A consideration of the pros and cons. Aging Clin. Exp. Res. 2017, 29, 591–597. [Google Scholar] [CrossRef]
- Plank, L.D. Dual-energy X-ray absorptiometry and body composition. Curr. Opin. Clin. Nutr. Metab. Care 2005, 8, 305–309. [Google Scholar] [CrossRef] [PubMed]
- Conn, P.M. Handbook of Models for Human Aging (Chapter 81—Models of Sarcopenia); Academic Press: Cambridge, MA, USA, 2006; pp. 977–991. ISBN 9780123693914. [Google Scholar]
- Lorente Ramos, R.M.; Azpeitia Armán, J.; Arévalo Galeano, N.; Muñoz Hernández, A.; García Gómez, J.M.; Gredilla Molinero, J. Dual energy X-ray absorptimetry: Fundamentals, methodology, and clinical applications. Radiología 2012, 54, 410–423. [Google Scholar] [CrossRef]
- Kim, E.Y.; Kim, Y.S.; Park, I.; Ahn, H.K.; Cho, E.K.; Jeong, Y.M. Prognostic Significance of CT-Determined Sarcopenia in Patients with Small-Cell Lung Cancer. J. Thorac. Oncol. 2015, 10, 1795–1799. [Google Scholar] [CrossRef]
- Kim, E.Y.; Kim, Y.S.; Park, I.; Ahn, H.K.; Cho, E.K.; Jeong, Y.M.; Kim, J.H. Evaluation of sarcopenia in small-cell lung cancer patients by routine chest CT. Support. Support. Care Cancer 2016, 24, 4721–4726. [Google Scholar] [CrossRef] [PubMed]
- Peterson, S.J.; Braunschweig, C.A. Prevalence of sarcopenia and associated outcomes in the clinical setting. Nutr. Clin. Pract. 2016, 31, 40–48. [Google Scholar] [CrossRef]
- Watanabe, Y.; Yamada, Y.; Fukumoto, Y.; Ishihara, T.; Yokoyama, K.; Yoshida, T.; Miyake, M.; Yamagata, E.; Kimura, M. Echo intensity obtained from ultrasonography images reflecting muscle strength in elderly men. Clin. Interv. Aging 2013, 8, 993. [Google Scholar] [CrossRef] [PubMed]
- Yoshiko, A.; Kaji, T.; Sugiyama, H.; Koike, T.; Oshida, Y.; Akima, H. Muscle quality characteristics of muscles in the thigh, upper arm and lower back in elderly men and women. Eur. J. Appl. Physiol. 2018, 118, 1385–1395. [Google Scholar] [CrossRef]
- Yamaguchi, K.; Tohara, H.; Hara, K.; Nakane, A.; Yoshimi, K.; Nakagawa, K.; Minakuchi, S. Factors associated with masseter muscle quality assessed from ultrasonography in community-dwelling elderly individuals: A cross-sectional study. Arch. Gerontol. Geriatr. 2019, 82, 128–132. [Google Scholar] [CrossRef]
- Correa-de-Araujo, R.; Harris-Love, M.O.; Miljkovic, I.; Fragala, M.S.; Anthony, B.W.; Manini, T.M. The Need for Standardized Assessment of Muscle Quality in Skeletal Muscle Function Deficit and Other Aging-Related Muscle Dysfunctions: A Symposium Report. Front. Physiol. 2017, 8, 87. [Google Scholar] [CrossRef]
- Stringer, H.J.; Wilson, D. The Role of Ultrasound as a Diagnostic Tool for Sarcopenia. J. Frailty Aging 2018, 7, 258–261. [Google Scholar]
- Minetto, M.A.; Caresio, C.; Menapace, T.; Hajdarevic, A.; Marchini, A.; Molinari, F.; Maffiuletti, N.A. Ultrasound-Based Detection of Low Muscle Mass for Diagnosis of Sarcopenia in Older Adults. Phys. Med. Rehabil. 2016, 8, 453–462. [Google Scholar] [CrossRef] [PubMed]
- Strasser, E.M.; Draskovits, T.; Praschak, M.; Quittan, M.; Graf, A. Association between ultrasound measurements of muscle thickness, pennation angle, echogenicity and skeletal muscle strength in the elderly. Age 2013, 35, 2377–2388. [Google Scholar] [CrossRef]
- Hida, T.; Ando, K.; Kobayashi, K.; Ito, K.; Tsushima, M.; Kobayakawa, T.; Morozumi, M.; Tanaka, S.; Machino, M.; Ota, K.; et al. Ultrasound measurement of thigh muscle thickness for assessment of sarcopenia. Nagoya J. Med. Sci. 2018, 80, 519. [Google Scholar] [PubMed]
- Wang, J.; Hu, Y.; Tian, G. Ultrasound measurements of gastrocnemius muscle thickness in older people with sarcopenia. Clin. Interv. Aging 2018, 13, 2193. [Google Scholar] [CrossRef] [PubMed]
- Caresio, C.; Salvi, M.; Molinari, F.; Meiburger, K.M.; Minetto, M.A. Fully Automated Muscle Ultrasound Analysis (MUSA): Robust and Accurate Muscle Thickness Measurement. Ultrasound Med. Biol. 2017, 43, 195–205. [Google Scholar] [CrossRef] [PubMed]
- Ismail, C.; Zabal, J.; Hernandez, H.J.; Woletz, P.; Manning, H.; Teixeira, C.; DiPietro, L.; Blackman, M.R.; Harris-Love, M.O. Diagnostic ultrasound estimates of muscle mass and muscle quality discriminate between women with and without sarcopenia. Front. Physiol. 2015, 6, 302. [Google Scholar] [CrossRef]
- Berger, J.; Bunout, D.; Barrera, G.; de la Maza, M.P.; Henriquez, S.; Leiva, L.; Hirsch, S. Rectus femoris (RF) ultrasound for the assessment of muscle mass in older people. Arch. Gerontol. Geriatr. 2015, 61, 33–38. [Google Scholar] [CrossRef]
- Gilbertson, M.W.; Anthony, B.W. Force and Position Control System for Freehand Ultrasound. IEEE Trans. Robot. 2015, 31, 835–849. [Google Scholar] [CrossRef]
- Harris-Love, M.O.; Ismail, C.; Monfaredi, R.; Hernandez, H.J.; Pennington, D.; Woletz, P.; McIntosh, V.; Adams, B.; Blackman, M.R. Interrater reliability of quantitative ultrasound using force feedback among examiners with varied levels of experience. PeerJ 2016, 4, e2146. [Google Scholar] [CrossRef]
- LBR iiwa. Available online: https://www.kuka.com/en-de/products/robot-systems/industrial-robots/lbr-iiwa (accessed on 13 April 2020).
- Chatelain, P.; Krupa, A.; Navab, N. Confidence-driven control of an ultrasound probe. IEEE Trans. Robot. 2017, 33, 1410–1424. [Google Scholar] [CrossRef]
- Mathiassen, K.; Fjellin, J.E.; Glette, K.; Hol, P.K.; Elle, O.J. An ultrasound robotic system using the commercial robot UR5. Front. Robot. AI 2016, 3, 1. [Google Scholar] [CrossRef]
- Collaborative Robotic Automation—Cobots from Universal Robots. Available online: https://www.universal-robots.com/ (accessed on 16 April 2020).
- Victorova, M.; Navarro-Alarcon, D.; Zheng, Y.P. 3D Ultrasound Imaging of Scoliosis with Force-Sensitive Robotic Scanning. In Proceedings of the 2019 3rd IEEE International Conference on Robotic Computing (IRC), Naples, Italy, 25–27 February 2019. [Google Scholar]
- Sasaki, Y.; Eura, F.; Kobayashi, K.; Kondo, R.; Tomita, K.; Nishiyama, Y.; Tsukihara, H.; Matumoto, N.; Koizumi, N. Development of compact portable ultrasound robot for home healthcare. J. Eng. 2019, 2019, 495–499. [Google Scholar] [CrossRef]
- Sasaki, Y.; Eura, F.; Kobayashi, K.; Kondo, R.; Tomita, K.; Nishiyama, Y.; Tsukihara, H.; Matsumoto, N.; Koizumi, N. Automatic Diagnosis by Compact Portable Ultrasound Robot: State Estimation of Internal Organs with Steady-State Kalman Filter. In Proceedings of the 2019 IEEE Healthcare Innovations and Point of Care Technologies, (HI-POCT 2019), Bethesda, MD, USA, 20–22 November 2019. [Google Scholar]
- Graumann, C.; Fuerst, B.; Hennersperger, C.; Bork, F.; Navab, N. Robotic ultrasound trajectory planning for volume of interest coverage. In Proceedings of the 2016 IEEE International Conference on Robotics and Automation, Stockholm, Sweden, 16–21 May 2016. [Google Scholar]
- Rusu, R.B.; Marton, Z.C.; Blodow, N.; Dolha, M.; Beetz, M. Towards 3D Point cloud based object maps for household environments. Rob. Auton. Syst. 2008, 56, 927–941. [Google Scholar] [CrossRef]
- Zou, H.; Hastie, T.; Tibshirani, R. Sparse principal component analysis. J. Comput. Graph. Stat. 2006, 15, 265–286. [Google Scholar] [CrossRef]
- Meng, B.; Zhao, Y.Y.; Chen, L.; Aalamifar, F.; Liu, X.J.; Boctor, E. Robot-assisted mirror ultrasound scanning for deep venous thrombosis detection using RGB-D sensor. Multimed. Tools Appl. 2016, 75, 14247–14261. [Google Scholar] [CrossRef]
- Product Introduction Astra Mini, Astra Mini S & DuriPOD. Available online: https://orbbec3d.com/astra-mini-series/ (accessed on 13 April 2020).
- EPOS4 Modula 50/5 EPOS4 Compact 50/5 CAN. Available online: https://www.maxongroup.com/medias/sys_master/8825356615710.pdf (accessed on 13 April 2020).
- myAHRS+ 3 Dimensional Attitude and Heading Reference System. Available online: http://withrobot.com/en/sensor/myahrsplus/ (accessed on 13 April 2020).
- SiMPLi SP Medical Contact us to learn more. Available online: https://interson.com/medical/simpli-sp-medical/ (accessed on 13 April 2020).
- Multi-Axis Force/Torque Sensors. Available online: https://www.ati-ia.com/products/ft/sensors.aspx (accessed on 13 April 2020).
- MPFIT: A MINPACK-1 Least Squares Fitting Library in C. Available online: http://cow.physics.wisc.edu/~craigm/idl/cmpfit.html (accessed on 13 April 2020).
- Madsen, E.L.; Hobson, M.A.; Shi, H.; Varghese, T.; Frank, G.R. Tissue-mimicking agar/gelatin materials for use in heterogeneous elastography phantoms. Phys. Med. Biol. 2005, 50, 5597. [Google Scholar] [CrossRef]
- Chao, S.L.; Chen, K.C.; Lin, L.W.; Wang, T.L.; Chong, C.F. Ultrasound phantoms made of gelatin covered with hydrocolloid skin dressing. J. Emerg. Med. 2013, 45, 240–243. [Google Scholar] [CrossRef]


















| Radius of Arc | Center Point of Arc (x,y) | Total Error | Average Error | |||
|---|---|---|---|---|---|---|
| 1 arc curve fitting | 67.77 | −8.16 | −53.06 | 6.34 | 0.19 | |
| 2 arc curve fitting | 1st arc | 73.62 | −2.20 | −56.89 | 1.22 | 0.04 |
| 2nd arc | 51.42 | −5.79 | −35.85 | |||
| Stiffness | Male | Female | Average | |||||
|---|---|---|---|---|---|---|---|---|
| Subject 1 | Subject 2 | Subject 3 | Subject 4 | Subject 5 | Subject 6 | Subject 7 | ||
| 0.602 | 0.902 | 0.886 | 0.269 | 0.497 | 0.848 | 0.344 | 0.621 | |
| Radius of Arc | Center Point of Arc (x,y) | Total Error | Average Error | ||
|---|---|---|---|---|---|
| 1 arc curve fitting | 58.75 | 4.37 | −25.65 | 5.28 | 0.18 |
| Angle (°) | 50 | 60 | 70 | 80 | 90 | 100 | 110 | 120 | Average | Std. Deviation | |
|---|---|---|---|---|---|---|---|---|---|---|---|
| Operator #1 | muscle thickness (mm) | - | - | 27.54 | 26.41 | 24.52 | 24.53 | 26.41 | 26.43 | 25.97 | 1.09 |
| muscle thickness - average value (mm) | - | - | 1.57 | 0.44 | −1.44 | −1.43 | 0.44 | 0.46 | |||
| Operator #2 | muscle thickness (mm) | - | - | 27.47 | 26.45 | 24.9 | 24.56 | 26.11 | 26.22 | 25.95 | 0.97 |
| muscle thickness - average value (mm) | - | - | 1.51 | 0.49 | −1.05 | −1.38 | 0.15 | 0.27 | |||
| Operator #3 | muscle thickness (mm) | - | - | 27.73 | 26.86 | 24.56 | 24.64 | 25.84 | 25.47 | 25.85 | 1.14 |
| muscle thickness - average value (mm) | - | - | 1.88 | 1.01 | −1.28 | −1.21 | 0.00 | −0.38 | |||
| Operator #4 | muscle thickness (mm) | - | - | 27.73 | 27.16 | 24.9 | 25.66 | 25.84 | 26.22 | 26.25 | 0.94 |
| muscle thickness - average value (mm) | - | - | 1.47 | 0.91 | −1.35 | −0.59 | −0.40 | −0.03 | |||
| Average | muscle thickness (mm) | - | - | 27.62 | 26.72 | 24.72 | 24.84 | 26.05 | 26.08 | 26.01 | 1.00 |
| muscle thickness - average value (mm) | - | - | 1.61 | 0.71 | −1.28 | −1.16 | 0.04 | 0.07 | |||
© 2020 by the authors. Licensee MDPI, Basel, Switzerland. This article is an open access article distributed under the terms and conditions of the Creative Commons Attribution (CC BY) license (http://creativecommons.org/licenses/by/4.0/).
Share and Cite
Kim, Y.-J.; Kim, S.; Choi, J. Sarcopenia Detection System Using RGB-D Camera and Ultrasound Probe: System Development and Preclinical In-Vitro Test. Sensors 2020, 20, 4447. https://doi.org/10.3390/s20164447
Kim Y-J, Kim S, Choi J. Sarcopenia Detection System Using RGB-D Camera and Ultrasound Probe: System Development and Preclinical In-Vitro Test. Sensors. 2020; 20(16):4447. https://doi.org/10.3390/s20164447
Chicago/Turabian StyleKim, Yeoun-Jae, Seongjun Kim, and Jaesoon Choi. 2020. "Sarcopenia Detection System Using RGB-D Camera and Ultrasound Probe: System Development and Preclinical In-Vitro Test" Sensors 20, no. 16: 4447. https://doi.org/10.3390/s20164447
APA StyleKim, Y.-J., Kim, S., & Choi, J. (2020). Sarcopenia Detection System Using RGB-D Camera and Ultrasound Probe: System Development and Preclinical In-Vitro Test. Sensors, 20(16), 4447. https://doi.org/10.3390/s20164447




