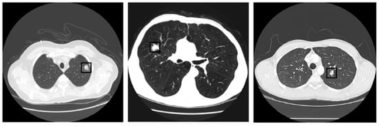
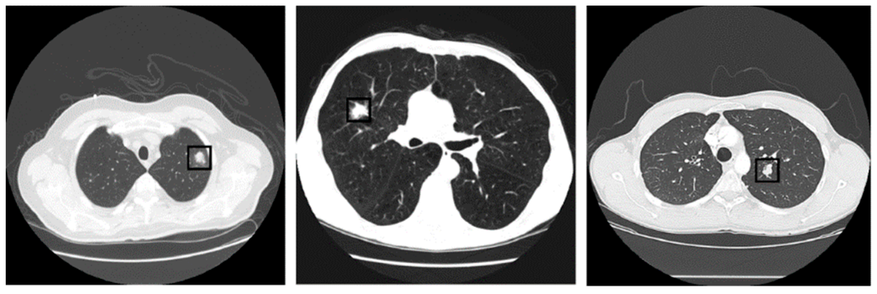
Automated Lung Nodule Detection and Classification Using Deep Learning Combined with Multiple Strategies
Nasrullah, N.; Sang, J.; Alam, M.S.; Mateen, M.; Cai, B.; Hu, H. Automated Lung Nodule Detection and Classification Using Deep Learning Combined with Multiple Strategies. Sensors 2019, 19, 3722. https://doi.org/10.3390/s19173722
Nasrullah N, Sang J, Alam MS, Mateen M, Cai B, Hu H. Automated Lung Nodule Detection and Classification Using Deep Learning Combined with Multiple Strategies. Sensors. 2019; 19(17):3722. https://doi.org/10.3390/s19173722
Chicago/Turabian StyleNasrullah, Nasrullah, Jun Sang, Mohammad S. Alam, Muhammad Mateen, Bin Cai, and Haibo Hu. 2019. "Automated Lung Nodule Detection and Classification Using Deep Learning Combined with Multiple Strategies" Sensors 19, no. 17: 3722. https://doi.org/10.3390/s19173722


