Prevalence and Diversity of Plant Parasitic Nematodes in Irish Peatlands
Abstract
1. Introduction
2. Materials and Methods
2.1. Peat Soil Sampling and Description of the Sampling Sites
2.2. Processing of Soil for Morphological and Molecular Identification of Nematodes
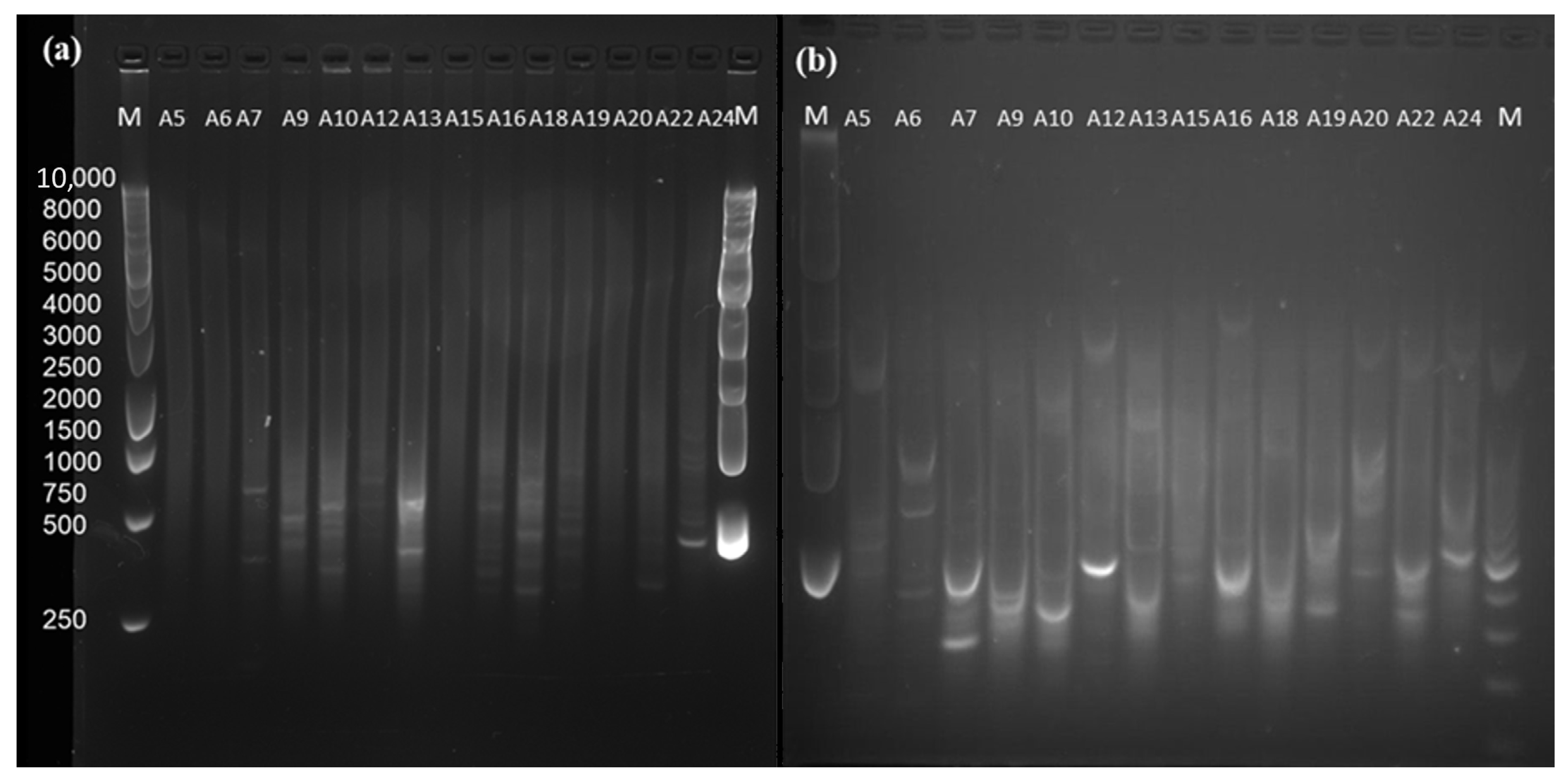
- (a)
- Randomly amplified polymorphic DNA (RAPD) reaction
- (b)
- Amplicon sequencing of the DNA samples
2.3. Analysis of Soil Nematode Survey
2.4. Recording Vegetation Growth in Various Peatland Habitats
2.5. Statistical Analysis
3. Results
3.1. Morphological Identification of Nematodes
3.2. Molecular Analysis and Identification of Nematodes and Their Communities in Peatland Habitats
3.2.1. RAPD Analysis
3.2.2. Amplicon Sequencing of the DNA Samples
3.3. Vegetation Growth in Various Peatland Habitats
4. Discussion
Author Contributions
Funding
Institutional Review Board Statement
Data Availability Statement
Acknowledgments
Conflicts of Interest
References
- Tanneberger, F.; Appulo, L.; Ewert, S.; Lakner, S.; Ó Brolcháin, N.; Peters, J.; Wichtmann, W. The Power of Nature-Based Solutions: How Peatlands Can Help Us to Achieve Key EU Sustainability Objectives. Adv. Sustain. Syst. 2021, 5, 1–10. [Google Scholar] [CrossRef]
- Mackin, F.; Flynn, R.; Barr, A.; Fernandez-Valverde, F. Use of geographical information system-based hydrological modelling for development of a raised bog conservation and restoration programme. Ecol. Eng. 2017, 106, 242–252. [Google Scholar] [CrossRef][Green Version]
- Ferriss, S.E.; Smith, K.G.; Inskipp, T.P. Irish Biodiversity: A Taxonomic Inventory of Fauna. Irish Wildl. Manuals, No. 38; Department of the Environment, Heritage and Local Government: Dublin, Ireland, 2009. [Google Scholar]
- Renco, M.; Murín, J. Soil Nematode Assemblages in Natural European Peatlands of the Horná Orava Protected Landscape. Wetlands 2013, 33, 459–470. [Google Scholar] [CrossRef]
- Hiraishi, T.; Krug, T.; Tanabe, K.; Srivastava, N.; Baasansuren, J.; Fukuda, M.; Troxler, T.G. 2013 Supplement to the 2006 IPCC Guidelines for National Greenhouse Gas Inventories: Wetlands Methodological Guidance on Lands with Wet and Drained Soils, and Constructed Wetlands for Wastewater Treatment; IPCC: Geneva, Switzerland, 2014. [Google Scholar]
- Temmink, R.J.M.; Vroom, R.J.E.; van Dijk, G.; Käärmelahti, S.A.; Koks, A.H.W.; Joosten, H.; Krebs, M.; Gaudig, G.; Brust, K.; Lamers, L.P.M.; et al. Restoring organic matter, carbon and nutrient accumulation in degraded peatlands: 10 years Sphagnum paludiculture. Biogeochemistry 2023, 167, 347–361. [Google Scholar] [CrossRef]
- Sari, D.A.; Margules, C.; Lim, H.S.; Widyatmaka, F.; Sayer, J.; Dale, A.; Macgregor, C. Evaluating policy coherence: A case study of peatland forests on the Kampar Peninsula landscape, Indonesia. Land Use Policy 2021, 105, 105396. [Google Scholar] [CrossRef]
- Bogale, M.; Baniya, A.; Di Gennaro, P. Nematode Identification Techniques and Recent Advances. Plants 2020, 9, 1260. [Google Scholar] [CrossRef]
- Nisa, R.U.; Tantray, A.Y.; Shah, A.A. Shift from morphological to recent advanced molecular approaches for the identification of nematodes. Genomics 2022, 114, 110295. [Google Scholar] [CrossRef]
- Pulavarty, A.; Klappauf, T.; Singh, A.; McMillan, D.; Kakouli-Duarte, T.A. Simple and Efficient Protocol for Extraction of Nematodes from the Irish Peat Soils. Bio-Protocol 2024. [Google Scholar] [CrossRef]
- Seinhorst, J.W. On the Killing, Fixation and Transferring to Glycerin of Nematodes. Nematologica 1962, 8, 29–32. [Google Scholar] [CrossRef]
- Gharahkhani, A.; Pourjam, E.; Leduc, D.; Pedram, M. The nematode genus Haliplectus Cobb, 1913 (Chromadorea: Haliplectidae): Phylogenetic relationships, description of a new species from the Persian Gulf, southern Iran, and a tabular key to valid species. Nematology 2022, 19, 1–17. [Google Scholar] [CrossRef]
- Mirbabaei Karani, S.H.; Kashi, L.; Ghaderi, R.; Karegar, A. Five species of tylenchidae and dolichodoridae (nematoda: Tylenchoidea) from Iran. J. Agric. Sci. Technol. 2015, 17, 227–240. [Google Scholar]
- Smythe, A.B. Evolution of Feeding Structures in the Marine Nematode Order Enoplida. Integr. Comp. Biol. 2015, 55, 228–240. [Google Scholar] [CrossRef] [PubMed][Green Version]
- Schmidt Rhaesa, A. Outline on nematode phylogeny. Nematoda 2013, 2, 171–172. [Google Scholar] [CrossRef]
- Mekete, T.; Dababat, A.; Sekora, N.; Akyazi, F.; Abebe, E. Identification Key for Agriculturally Important Plant-Parasitic Nematodes Prepared for the International Nematode Diagnosis and Identification Course 2012-A Manual for Nematology; CIMMYT: Mexico, Mexico, 2012. [Google Scholar]
- Holovachov, O.; De Ley, I.T.; Mundo-Ocampo, M.; De Ley, P. Identification of Cephaloboidea (Nematoda). J. Penelit. Pendidik. Guru Sekol. Dasar 2009, 6, 86. [Google Scholar]
- Bongers, T. De Nematoden van Nederland; KNNV Bibliotheekuitgave 46, Pirola: Schoorl, The Netherlands, 1988; 408p. [Google Scholar]
- Yeates, G.W.; Bongers, T.; De Goede, R.G.M.; Freckman, D.W.; Georgieva, S.S. Feeding Habits in Soil Nematode Families and Genera-An Outline for Soil Ecologists. J. Nematol. 1993, 25, 315–331. [Google Scholar]
- Randig, O.; Leroy, F.; Castagnone-Sereno, P. RAPD characterization of single females of the root-knot nematodes, Meloidogyne spp. Eur. J. Plant Pathol. 2001, 107, 639–643. [Google Scholar] [CrossRef]
- Chacon, M.R.; Rodriguez, E.; Parkhouse, R.M.E.; Burrows, P.R.; Garate, T. The differentiation of parasitic nematodes using random amplified polymorphic DNA. J. Helminthol. 1994, 68, 109–113. [Google Scholar] [CrossRef]
- Caswell-Chen, E.P.; Williamson, V.M.; Wu, F.F. Random amplified polymorphic DNA analysis of Heterodera cruciferae and H. schachtii populations. J. Nematol. 1992, 24, 343. [Google Scholar] [PubMed]
- Bhadury, P.; Austen, M.; Bilton, D.; Lambshead, P.; Rogers, A.; Smerdon, G. Development and evaluation of a DNA-barcoding approach for the rapid identification of nematodes. Mar. Ecol. Prog. Serv. 2006, 320, 1–9. [Google Scholar] [CrossRef]
- Karpinska, A.; Ryan, D.; Germaine, K.; Dowling, D.; Forrestal, P.; Kakouli-duarte, T. Soil Microbial and Nematode Community Response to the Field Application of Recycled Bio-Based Fertilisers in Irish Grassland. Sustainability 2021, 13, 12342. [Google Scholar] [CrossRef]
- Pulavarty, A.; Singh, A.; Smyth, D.; Mehta, J.P.; Horgan, K. Sustainable management of the potato cyst nematode, Globodera rostochiensis, with two microbial fermentation products. Front. Plant Sci. 2022, 13, 987059. [Google Scholar] [CrossRef] [PubMed]
- Anon. Dirección Nacionalde Meteorología, Ministerio de Defensa; Normales Climatológicas: Montevideo, Uruguay, 1996. [Google Scholar]
- McArdle, B.H.; Anderson, M.J. Fitting Multivariate models to community data: A Comment on Distance-Based Redundancy Analysis. Ecology 2001, 82, 290–297. [Google Scholar] [CrossRef]
- Zapala, M.A.; Schork, N.J. Multivariate regression analysis of distance matrices for testing associations between gene expression patterns and related variables. Proc. Natl. Acad. Sci. USA 2006, 103, 19430–19435. [Google Scholar] [CrossRef] [PubMed]
- Mir, M.A.; Ahmad, T.; Gupta, I.D.; Magotra, A.; Singh, A.P.; Singh, M.; Pandit, A.; Raveendran, V.M. Association of polymorphisms in exon 6 and 3′-untranslated region of the OLR1 gene with milk production traits in Sahiwal cattle. J. Appl. Anim. Res. 2023, 51, 156–165. [Google Scholar] [CrossRef]
- Puza, V.; Mracek, Z. Mixed infection of Galleria mellonella with two entomopathogenic nematode (Nematoda: Rhabditida) species: Steinernema affine benefits from the presence of Steinernema kraussei. J. Invertebr. Pathol. 2009, 102, 40–43. [Google Scholar] [CrossRef]
- Razia, M.; Padmanaban, K.; Raja, R.K.; Chellapandi, P.; Sivaramakrishnan, S. 16S rDNA-based phylogeny of non-symbiotic bacteria associating entomopathogenic nematode from infected insect cadavers. Genom. Bioinform. 2011, 9, 104–112. [Google Scholar] [CrossRef]
- Paulchamy, C. Genetic diversity of entomopathogenic nematodes in undisrupted ecosystem revealed with PCR-RAPD markers. Int. J. Nematol. 2015, 24, 1–8. [Google Scholar]
- Neher, D.A.; Wu, J.; Barbercheck, M.E.; Anas, O. Ecosystem type affects interpretation of soil nematode community measures. Appl. Soil Ecol. 2005, 30, 47–64. [Google Scholar] [CrossRef]
- Kalinkina, D.S.; Sushchuj, A.A.; Matveeva, E.M. Characteristics of soil nematode communities under conditions of woody plant introduction. Russ. J. Ecol. 2016, 47, 473–479. [Google Scholar] [CrossRef]
- Sipes, B.S.; Schmitt, D.P.; Nelson, S.C. Burrowing Nematode, a Major Pest in the Tropics. 2001. Available online: https://www.ctahr.hawaii.edu/oc/freepubs/pdf/PD-21.pdf (accessed on 19 July 2024).
- Nguyen, K.B. Methodology, Morphology and Identification. In Entomopathogenic Nematodes: Systematics, Phylogeny and Bacterial Symbionts; Brill: Buckinghamshire, UK, 2010; pp. 59–119. [Google Scholar]
- Cox, R.J.; Smart, G.C., Jr. Nematodes associated with plants from naturally acidic wetlands soil. J. Nematol. 1994, 26, 535. [Google Scholar]
- Hosseinvand, M.; Eskandari, A.; Ghaderi, R. Morphological and molecular characterisation of Coslenchus persicus n. sp. (Nematoda: Tylenchidae) from Iran. Nematology 2020, 23, 345–354. [Google Scholar] [CrossRef]
- Wood, W.K. Observations on the feeding behavior of Coslenchus costatus. J. Nematol. 1971, 3, 45–56. [Google Scholar]
- Yeates, G.W.; Williams, P.A. Influence of three invasive weeds and site factors on soil microfauna in New Zealand. Pedobiologia 2001, 45, 367–383. [Google Scholar] [CrossRef]
- Peneva, V.; Neilson, R.; Boag, B.; Brown, D.J.F. Criconematidae (Nematoda) from oak forests in two nature reserves in Russia. Syst. Parasitol. 2000, 46, 191–201. [Google Scholar] [CrossRef]
- Ruehle, J.L. Nematodes parasitic on forest trees I. reproduction of ectoparasites on pines. Nematologica 1966, 12, 443–447. [Google Scholar] [CrossRef]
- Goodey, J.B.; Franklin, M.T.; Hooper, D.J. T. Goodey’s: The Nematode Parasites of Plants Catalogued under Their Hosts, 3rd ed.; Commonwealth Agricultural Bureaux, Farnham Royal: Bucks, UK, 1965. [Google Scholar]
- Vovlas, N. Macroposthonia sicula n. sp. (Nematoda: Criconematidae), a parasite of Olive trees in Sicily. J. Nematol. 1982, 14, 95–99. [Google Scholar]
- Pulavarty, A.; Singh, A.; Young, K.; Horgan, K.; Kakouli-Duarte, T. Investigating the Effects of Alltech Crop Science (ACS) Products on Plant Defence against Root-Knot Nematode Infestation. Microorganisms 2023, 11, 1700. [Google Scholar] [CrossRef]
- Collange, B.; Navarrete, M.; Peyre, G.; Mateille, T.; Tchamitchian, M. Root-knot nematode (Meloidogyne) management in vegetable crop production: The challenge of an agronomic system analysis. Crop Prot. 2011, 30, 1251–1262. [Google Scholar] [CrossRef]
- Rich, J.R.; Brito, J.A.; Kaur, R.; Ferrell, J.A. Weed species as hosts of Meloidogyne: A review. Nematropica 2009, 157–185. [Google Scholar]
- Griffin, G.D.; Inserra, R.N.; Vovlas, N. Rangeland grasses as hosts of Meloidogyne chitwoodi. J. Nematol. 1984, 16, 399–402. [Google Scholar] [PubMed]
- Siddiqui, I.A.; Samuel, A.S.; Alexander, M.F. Distribution of Plant Parasitic Nematodes in California; Department of Food and Agriculture, Division of Plant Industry: Sacramento, CA, USA, 1973; 324p. [Google Scholar]
- Verschoor, B.C.; Pronk, T.E.; De Goede, R.G.M.; Brussaard, L. Could plant-feeding nematodes affect the competition between grass species during succession in grasslands under restoration management? J. Ecol. 2002, 90, 753–761. [Google Scholar] [CrossRef]
- Fleming, T.R.; McGowan, N.E.; Maule, A.; Fleming, C.C. Prevalence and diversity of plant parasitic nematodes in Northern Ireland grassland and cereals, and the influence of soils and rainfall. Plant Pathol. 2016, 65, 1539–1550. [Google Scholar] [CrossRef]
- Pulavarty, A.; Egan, A.; Karpinska, A.; Horgan, K.; Kakouli-Duarte, T. Plant Parasitic Nematodes: A Review on Their Behaviour, Host Interaction, Management Approaches and Their Occurrence in Two Sites in the Republic of Ireland. Plants 2021, 10, 2352. [Google Scholar] [CrossRef]
- Azizi, K.; Ali, E.; Akbar, K.; Reza, G.; Sven, V.D.E.; Martijn, H.; Johannes, H. Morphological and molecular data support the monophyletic nature of the genus Pratylenchoides Winslow, 1958 (Nematoda: Merliniidae) and reveal its intrageneric structuring. Nematology 2016, 18, 1165–1183. [Google Scholar] [CrossRef]
- Bernard, E.C. Hoplolaimoidea (Nematoda: Tylenchida) from the Aleutian Islands with Descriptions of Four New Species. J. Nematol. 1984, 16, 194–203. [Google Scholar]
- Bell, N.; Watson, R. Identification and host range assessment of Paratylenchus nanus (Tylenchida: Tylenchulidae) and Paratrichodorus minor (Triplonchida: Trichodoridae). Nematology 2001, 3, 483–490. [Google Scholar] [CrossRef]
- Townshend, J.L.; Davidson, T.R. Grass and legume hosts of Paratylenchus projectus. Nematologica 1989, 35, 128–131. [Google Scholar]
- Jones, J.; Haegeman, A.; Danchin, E.; Gaur, H.S.; Helder, J.; Jones, M.; Kikuchi, T.; Manzanilla-López, R.H.; Palomares-Rius, J.E.; Wesemael, W.; et al. Top 10 plant-parasitic nematodes in molecular plant pathology. Mol. Plant Pathol. 2013, 14, 946–961. [Google Scholar] [CrossRef]
- McKenry, M.V. Nematodes and plant damage thresholds. Plant Pathol. 1994, 43, 430–437. [Google Scholar]
- Been, T.H.; Schomaker, C.H.; Molendijk, L.P.G. Practical implications of different management strategies for potato cyst nematodes (Globodera pallida and G. rostochiensis). Annu. Rev. Phytopathol. 2007, 45, 271–289. [Google Scholar]
- Sasser, J.N.; Freckman, D.W. A World Perspective on Nematology: The Role of the Society. Annu. Rev. Phytopathol. 1987, 25, 59–85. [Google Scholar]
- Fosu-Nyarko, J.; Jones, M.G.K. Advances in understanding the molecular mechanisms of root lesion nematode host interactions. Annu. Rev. Phytopathol. 2016, 54, 253–278. [Google Scholar] [CrossRef]
- Vicente, C.; Espada, M.; Vieira, P.; Mota, M. Pine Wilt Disease: A threat to European forestry. Eur. J. Plant Pathol. 2012, 133, 89–99. [Google Scholar] [CrossRef]





| PPN Families/Peat Habitats | HBH | HBL | DBH | DBL | WP | RG-I | C-RW | C-NRW | W-RW | W-NRW | IGFP-RW | IGFP-NRW | FP | R-FP |
|---|---|---|---|---|---|---|---|---|---|---|---|---|---|---|
| Tylenchidae | 20.0 | 4.0 | 40.0 | 26.0 | 4.0 | 8.0 | 9.0 | 8.0 | 1.0 | 1.0 | 2.0 | 11.0 | 6.0 | 8.0 |
| Ecphyadophoridae | 0.0 | 1.0 | 1.0 | 0.0 | 0.0 | 1.0 | 0.0 | 0.0 | 0.0 | 0.0 | 0.0 | 0.0 | 8.0 | 0.0 |
| Hoplolaimidae | 0.0 | 0.0 | 0.0 | 0.0 | 0.0 | 9.0 | 51.0 | 13.0 | 1.0 | 0.0 | 3.0 | 37.0 | 12.0 | 2.0 |
| Pratylenchidae | 0.0 | 0.0 | 0.0 | 0.0 | 1.0 | 1.0 | 0.0 | 0.0 | 0.0 | 0.0 | 2.0 | 40.0 | 1.0 | 0.0 |
| Heteroderidae | 0.0 | 0.0 | 0.0 | 0.0 | 0.0 | 1.0 | 0.0 | 0.0 | 0.0 | 0.0 | 2.0 | 2.0 | 0.0 | 0.0 |
| Meloidogynidae | 0.0 | 0.0 | 8.0 | 0.0 | 6.0 | 2.0 | 0.0 | 0.0 | 0.0 | 0.0 | 0.0 | 4.0 | 0.0 | 0.0 |
| Criconematidae | 0.0 | 0.0 | 3.0 | 0.0 | 0.0 | 0.0 | 1.0 | 0.0 | 12.0 | 17.0 | 0.0 | 0.0 | 0.0 | 0.0 |
| Hemicycliophoridae | 0.0 | 0.0 | 0.0 | 0.0 | 0.0 | 0.0 | 0.0 | 0.0 | 1.0 | 0.0 | 2.0 | 0.0 | 0.0 | 0.0 |
| Total number of PPN | 20.0 | 5.0 | 52.0 | 26.0 | 11.0 | 22.0 | 61.0 | 21.0 | 15.0 | 18.0 | 11.0 | 94.0 | 27.0 | 10.0 |
| Total nematodes extracted | 77 | 114 | 103 | 73 | 62 | 88 | 77 | 77 | 62 | 78 | 138 | 220 | 59 | 149 |
| PPN Percentage (%) | 26.0 | 4.4 | 49.5 | 35.6 | 17.7 | 25.0 | 79.2 | 27.3 | 24.2 | 23.1 | 8.0 | 42.7 | 45.8 | 6.7 |
| Habitat | Family | Genus |
|---|---|---|
| HBH | Tylenchidae | Basiria (18) |
| Malenchus (2) | ||
| HBL | Tylenchidae | Basiria (3) |
| Coslenchus (1) | ||
| Ecphyadophoridae (1) | ||
| DBH | Tylenchidae | Basiria (11), Boleodorus (20), Coslenchus (8) |
| Meloidogynidae | Meloidogyne (8) | |
| Ecphyadophoridae (1) | ||
| Criconematidae | Macroposthonia (3) | |
| DBL | Tylenchidae | Basiria (12), Boleodorus (11), Mirculenchus (1) |
| WP | Tylenchidae | Coslenchus (4) |
| Pratylenchidae | Pratelynchus (1) | |
| Meloidogynidae | Meloidogyne (6) | |
| RG-I | Tylenchidae | Basiria (6), Boleodorus (2) |
| Ecphyadophoridae (1) | ||
| Hoplolaimidae | Rotylenchus (1), Helicotylenchus (8) | |
| Heteroderidae | Heterodera (1) | |
| Meloidogynidae | Meloidogyne (1) | |
| Pratylenchidae | Pratelynchus (1) | |
| C-RW | Criconematidae | Macroposthonia (1) |
| Tylenchidae | Tylenchus (4), Basiria (3), Mirculenchus (1), Coslenchus (1) | |
| Hoplolaimidae | Helicotylenchus (49), Rotylenchus (2) | |
| C-NRW | Tylenchidae | Tylenchus (5), Basiria (1), Mirculenchus (1), Boleodorus (1) |
| Hoplolaimidae | Helicotylenchus (13) | |
| W-RW | Tylenchidae | Basiria (1) |
| Hoplolaimidae | Helicotylenchus (1) | |
| Criconematidae | Mesocriconema (8), Criconema (4) | |
| Hemicycliophoridae | Hemicycliophora (1) | |
| W-NRW | Tylenchidae | Tylenchus (1) |
| Criconematidae | Mesocriconema (9), Criconema (8) | |
| IGFP-RW | Tylenchidae | Coslenchus (2) |
| Hoplolaimidae | Helicotylenchus (3) | |
| Pratylenchidae | Pratelynchus (1), Zygotylenchus (1) | |
| Heteroderidae | Heterodera (2) | |
| Hemicycliophoridae | Hemicycliophora (2) | |
| IGFP-NRW | Tylenchidae | Basiria (10) |
| Hoplolaimidae | Helicotylenchus (37) | |
| Pratylenchidae | Pratelynchus (3), Pratylenchoides (37) | |
| Heteroderidae | Heterodera (2) | |
| Meloidogynidae | Meloidogyne (5) | |
| FP | Tylenchidae | Basiria (5) |
| Ecphyadophoridae (9) | ||
| Pratylenchidae | Zygotylenchus (1) | |
| Hoplolaimidae | Helicotylenchus (12) | |
| R-FP | Tylenchidae | Coslenchus (2), Basiria (6) |
| Hoplolaimidae | Helicotylenchus (2) |
| Case | HBL | HBH | DBH | DBL | C-RW | C-NRW | R-FP | FP | W-RW | W-NRW | IFPG-RW | IFPG-NRW | RG-I | WP |
|---|---|---|---|---|---|---|---|---|---|---|---|---|---|---|
| HBL | 0 | 0.883 | 2.021 | 2.328 | 0.961 | 2.652 | 3.203 | 3.198 | 3.745 | 3.74 | 3.651 | 3.651 | 3.671 | 3.651 |
| HBH | 0.883 | 0 | 1.259 | 1.1 | 1.316 | 1.589 | 1.961 | 2.265 | 2.461 | 2.446 | 2.388 | 2.388 | 2.397 | 2.388 |
| DBH | 2.021 | 1.259 | 0 | 0.395 | 1.343 | 0.233 | 0.424 | 0.481 | 0.606 | 0.601 | 0.592 | 0.592 | 0.586 | 0.592 |
| DBL | 2.328 | 1.1 | 0.395 | 0 | 1.389 | 0.297 | 0.509 | 0.661 | 0.664 | 0.664 | 0.642 | 0.642 | 0.639 | 0.642 |
| C-RW | 0.961 | 1.316 | 1.343 | 1.389 | 0 | 1.706 | 2.217 | 1.963 | 2.548 | 2.539 | 2.487 | 2.487 | 2.497 | 2.487 |
| C-NRW | 2.652 | 1.589 | 0.233 | 0.297 | 1.706 | 0 | 0.129 | 0.15 | 0.2 | 0.199 | 0.191 | 0.191 | 0.192 | 0.191 |
| R-FP | 3.203 | 1.961 | 0.424 | 0.509 | 2.217 | 0.129 | 0 | 0.127 | 0.083 | 0.083 | 0.083 | 0.083 | 0.076 | 0.083 |
| FP | 3.198 | 2.265 | 0.481 | 0.661 | 1.963 | 0.15 | 0.127 | 0 | 0.116 | 0.121 | 0.122 | 0.122 | 0.118 | 0.122 |
| W-RW | 3.745 | 2.461 | 0.606 | 0.664 | 2.548 | 0.2 | 0.083 | 0.116 | 0 | 0.002 | 0.003 | 0.003 | 0.001 | 0.003 |
| W-NRW | 3.74 | 2.446 | 0.601 | 0.664 | 2.539 | 0.199 | 0.083 | 0.121 | 0.002 | 0 | 0.001 | 0.001 | 0.001 | 0.001 |
| IFPG-RW | 3.651 | 2.388 | 0.592 | 0.642 | 2.487 | 0.191 | 0.083 | 0.122 | 0.003 | 0.001 | 0 | 0 | 0.001 | 0 |
| IFPG-NRW | 3.651 | 2.388 | 0.592 | 0.642 | 2.487 | 0.191 | 0.083 | 0.122 | 0.003 | 0.001 | 0 | 0 | 0.001 | 0 |
| RG-I | 3.671 | 2.397 | 0.586 | 0.639 | 2.497 | 0.192 | 0.076 | 0.118 | 0.001 | 0.001 | 0.001 | 0.001 | 0 | 0.001 |
| WP | 3.651 | 2.388 | 0.592 | 0.642 | 2.487 | 0.191 | 0.083 | 0.122 | 0.003 | 0.001 | 0 | 0 | 0.001 | 0 |
Disclaimer/Publisher’s Note: The statements, opinions and data contained in all publications are solely those of the individual author(s) and contributor(s) and not of MDPI and/or the editor(s). MDPI and/or the editor(s) disclaim responsibility for any injury to people or property resulting from any ideas, methods, instructions or products referred to in the content. |
© 2024 by the authors. Licensee MDPI, Basel, Switzerland. This article is an open access article distributed under the terms and conditions of the Creative Commons Attribution (CC BY) license (https://creativecommons.org/licenses/by/4.0/).
Share and Cite
Pulavarty, A.; Klappauf, T.; Singh, A.; Molero Molina, P.; Godjo, A.; Molleman, B.; McMillan, D.; Kakouli-Duarte, T. Prevalence and Diversity of Plant Parasitic Nematodes in Irish Peatlands. Diversity 2024, 16, 639. https://doi.org/10.3390/d16100639
Pulavarty A, Klappauf T, Singh A, Molero Molina P, Godjo A, Molleman B, McMillan D, Kakouli-Duarte T. Prevalence and Diversity of Plant Parasitic Nematodes in Irish Peatlands. Diversity. 2024; 16(10):639. https://doi.org/10.3390/d16100639
Chicago/Turabian StylePulavarty, Anusha, Tilman Klappauf, Ankit Singh, Patricia Molero Molina, Anique Godjo, Bastiaan Molleman, Douglas McMillan, and Thomais Kakouli-Duarte. 2024. "Prevalence and Diversity of Plant Parasitic Nematodes in Irish Peatlands" Diversity 16, no. 10: 639. https://doi.org/10.3390/d16100639
APA StylePulavarty, A., Klappauf, T., Singh, A., Molero Molina, P., Godjo, A., Molleman, B., McMillan, D., & Kakouli-Duarte, T. (2024). Prevalence and Diversity of Plant Parasitic Nematodes in Irish Peatlands. Diversity, 16(10), 639. https://doi.org/10.3390/d16100639

