Henneguya correai n. sp. (Cnidaria, Myxozoa) Parasitizing the Fins of the Amazonian Fish Semaprochilodus insignis †
Abstract
1. Introduction
2. Material and Methods
2.1. Sampling
2.2. Morphological and Ultrastructural Analysis
2.3. DNA Extraction, PCR and Sequencing
2.4. Sequence Alignment and Phylogenetic Analyses
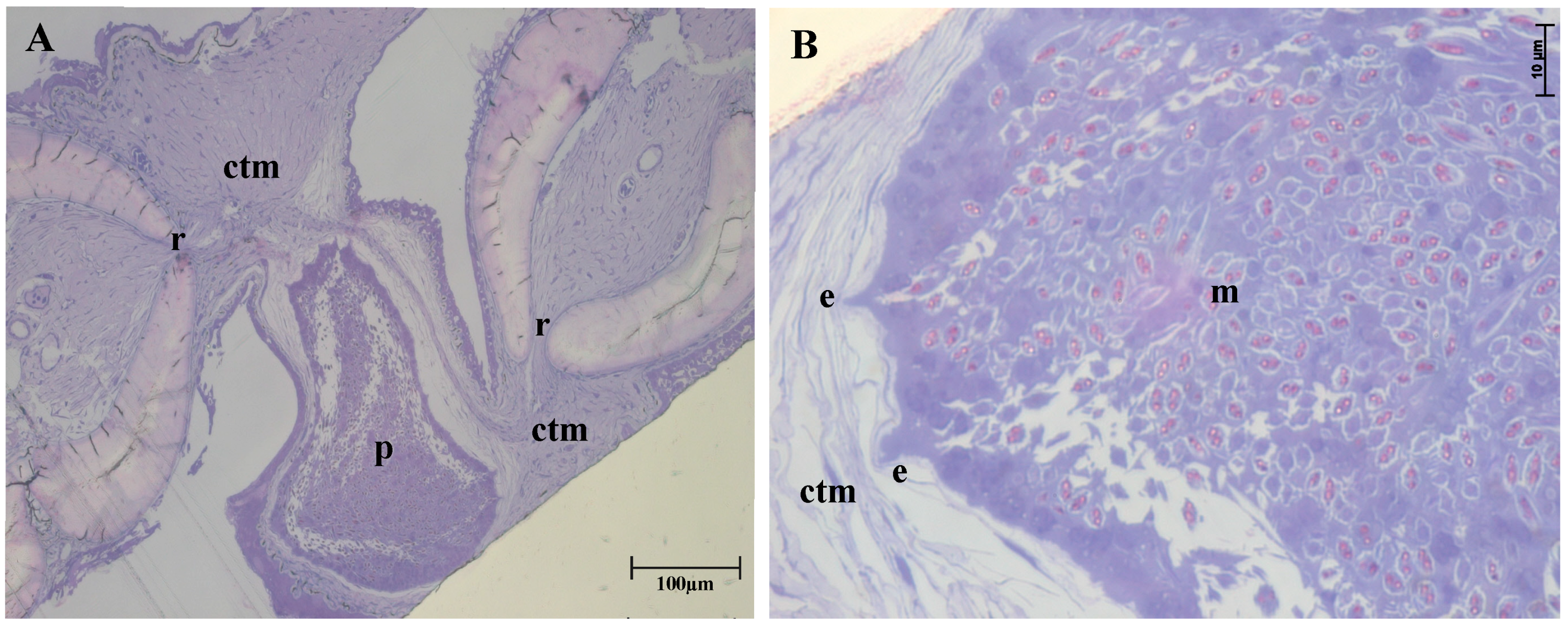
3. Results
| Species | TL | BL | CA | BW | PCL | PCW | T | PT | Host | Site of Infection | Locality | Reference |
|---|---|---|---|---|---|---|---|---|---|---|---|---|
| Henneguya correiai sp. nov. | 47.9 ± 4.9 (39.5–60.8) | 14.4 ± 1.6 (12.4–20.5) | 33.7 ± 4.5 ( 26.4–45.2) | 4.0 ± 0.59 (2.71–5.3) | 7.2 ± 0.8 (5.2–8.3) | 1.5 ± 0.3 (1.0–2.2) | 3.15 ± 0.4 (2.67–3.55) | 8–13 | Semaprochilodus insignis | Fins | Tapajós river, Amazon basin, PA, Brazil | This study |
| Henneguya tietensis | 55.5 ± 2.1 (53.5–57.0) | 16.2 ± 1.1 (15.0–16.9) | 39.0 ± 2.0 (35.2–39.7) | 5.5 ± 0.1 (5.4–5.6) | 7.3 ± 0.2 (7.1–7.5) | 1.7 ± 0.2 (1.3–1.7) | 3.8 ± 0.3 (3.7–4.2) | 11–13 | Prochilodus lineatus | Gills | Paraná river basin, Brazil | [12] |
| Henneguya caudalongula | 71.0 ± 1.4 | 16.6 ± 0.5 | 52.6 ± 1.5 | 4.6 ± 0.2 | 6.1 ± 0.2 | 1.6 ± 0.2 | _ | 10–11 | Prochilodus lineatus | Gills | Pirassununga, SP, Brazil | [28] |
| Henneguya paranaensis | 33.3 ± 1.5 | 11.4 ± 0.3 | 24.1 ± 1.5 | 4.1 ± 0.4 | 8.4 | 2.0 | _ | 10–12 | Prochilodus lineatus | Gills | Paraná river basin, Brazil | [29] |
4. Discussions
Author Contributions
Funding
Institutional Review Board Statement
Informed Consent Statement
Data Availability Statement
Acknowledgments
Conflicts of Interest
References
- Buckup, P.A.; Santos, G.M. Ictiofauna da ecorregião Tapajós-Xingu: Fatos e perspectivas. Bol. Soc. Bras. Ictiol. 2010, 98, 3–9. [Google Scholar]
- Castro, R.M.C.; Vari, R.P. Check List of the Freshwater Fishes of South and Central America. Edipucrs 2003, 2004, 65–70. [Google Scholar]
- Melo, B.F.; Sidlauskas, B.L.; Hoekzema, K.; Frable, B.W.; Vari, R.P.; Oliveira, C. Molecular phylogenetics of the Neotropical fish family Prochilodontidae (Teleostei: Characiformes). Mol. Phylo. Evol. 2016, 102, 189–201. [Google Scholar] [CrossRef] [PubMed]
- Santos, G.M.; Ferreira, E.J.G.; Zuanon, J.A.S. Peixes comerciais de Manaus. Manaus: Ibama/AM. ProVárzea 2006, 1, 144. [Google Scholar]
- Okamura, B.; Hartigan, A.; Naldoni, J. Extensive uncharted biodiversity: The parasite dimension. Integr. Comp. Biol. 2018, 58, 1132–1145. [Google Scholar] [CrossRef]
- Eiras, J.C.; Adriano, E.A. A checklist of new species of Henneguya Thelohan, 1892 (Myxozoa: Myxosporea, Myxobolidae) described between 2002 and 2012. Syst. Parasitol. 2012, 83, 95–104. [Google Scholar] [CrossRef]
- Lom, J.; Dyková, I. Myxozoan genera: Definition and notes on taxonomy, lifecycle terminology and pathogenic species. Folia. Parasitol. 2006, 53, 1–36. [Google Scholar] [CrossRef]
- Eiras, J.C.; Cruz, C.F.; Saraiva, A.; Adriano, E.A. Synopsis of the species of Myxobolus (Cnidaria, Myxozoa, Myxosporea) described between 2014 and 2020. Folia. Parasitol. 2021, 68, 12. [Google Scholar] [CrossRef]
- Rangel, L.F.; Santos, M.J.; Rocha, S. Synopsis of the species of Henneguya Thelohan, 1892 (Cnidaria: Myxosporea: Myxobolidae) described since 2012. Syst. Parasitol. 2023, 100, 291–305. [Google Scholar] [CrossRef]
- Capodifoglio, K.R.; Adriano, E.A.; Naldoni, J.; Meira, C.M.; da Silva, M.R.; Maia, A.A. Novel myxosporean species parasitizing an economically important fish from the Amazon basin. Parasitol. Res. 2020, 119, 1209–1220. [Google Scholar] [CrossRef]
- Naldoni, J.; Carriero, M.M.; Moreira, G.S.; Silva, M.R.M.; Maia, A.A.M.; Adriano, E.A. Increasing the known biodiversity of cnidarian parasites of bryconid fishes from South America: Two novel Myxobolus species with ultrastructure and ssrDNA-based phylogeny. Parasitol. Res. 2020, 113, 2665–2670. [Google Scholar] [CrossRef] [PubMed]
- Vieira, D.H.M.D.; Rangel, L.F.; Tagliavini, V.P.; Abdallah, V.D.; Santos, M.J.; Azevedo, R.K. Morphological and molecular analysis of Henneguya tietensis n.sp. (Cnidaria: Myxosporea), parasitizing the gills filaments of Prochilodus lineatus (Valenciennes, 1837) from Brazil. Parasitol. Res. 2021, 120, 27–36. [Google Scholar] [CrossRef] [PubMed]
- Eiras, J.C.; Malta, J.C.O.; Varella, A.M.B.; Pavanelli, G.C. Myxobolus insignis sp. n. (Myxozoa, Myxosporea, Myxobolidae), a parasite of the Amazonian teleost fish Semaprochilodus insignis (Osteichthyes, Prochilodontidae). Mem. Inst. Osw. Cruz. 2005, 100, 245–247. [Google Scholar] [CrossRef]
- Müller, M.I.; Naldoni, J.; Corrêa, L.L.; Adriano, E.A. Two new species of Myxobolus parasitizing the gills of Semaprochilodus insignis in the Brazilian Amazon. Mic. Patho. 2022, 165, 105464. [Google Scholar] [CrossRef]
- Lom, J.; Arthur, J.R. A guideline for the preparation of species description in Myxosporea. J. Fish. Dis. 1989, 12, 151–156. [Google Scholar] [CrossRef]
- Sellyei, B.; Molnár, K.; Czeglédi, I.; Preiszner, B.; Székely, C. Effect of 80% ethanol or 10% formalin fixation, freezing at −20 °C and staining on Myxobolus (Myxosporea) spores to be deposited in parasitological collections. Int. J. Parasitol. Parasites Wildl. 2022, 19, 257–262. [Google Scholar] [CrossRef] [PubMed]
- Capodifoglio, K.R.H.; Adriano, E.A.; Silva, M.R.M.; Maia, A.A.M. Supplementary data of Henneguya leporinicola (Myxozoa, Myxosporea) a parasite of Leporinus macrocephalus from fish farms in the state of São Paulo, Brazil. Acta Parasitol. 2015, 60, 451–458. [Google Scholar] [CrossRef]
- Barta, J.R.; Martin, D.S.; Liberator, P.A.; Dashkevicz, M.; Anderson, J.W.; Feighner, S.D.; Elbrecht, A.; Perkinsbarrow, A.; Jenkins, M.C.; Danforth, H.D.; et al. Phylogenetic relation- ships among eight Eimeria species infecting domestic fowl inferred using complete small subunit ribosomal DNA sequences. J. Parasitol. 1997, 83, 262–271. [Google Scholar] [CrossRef]
- Hallet, S.L.; Diamant, A. Ultrastructure and small- subunit ribosomal DNA sequence of Henneguya lesteri n. sp. (Myxosporea), a parasite of sand whiting Sillago analis (Sillaginidae) from the coast of Queensland, Australia. Dis. Aquat. Org. 2001, 46, 197–212. [Google Scholar] [CrossRef]
- Ward, R.D.; Zemlak, T.S.; Innes, B.H.; Last, P.R.; Hebert, P.D.N. DNA barcoding Australia’s fish species. Philos. Trans. R Soc. B 2005, 360, 1847–1857. [Google Scholar] [CrossRef]
- Kearse, M.; Moir, R.; Wilson, A.; Stones-Havas, S.; Cheung, M.; Sturrock, S.; Buxton, S.; Cooper, A.; Markowitz, S.; Duran, C.; et al. Geneious Basic: An integrated and extendable desktop software plat-form for the organization and analysis of sequence data. Bioinformatics 2012, 28, 1647–1649. [Google Scholar] [CrossRef] [PubMed]
- Xia, X. DAMBE5: A comprehensive software package for data analysis in molecular biology and evolution. Mol. Biol. Evol. 2013, 30, 1720–1728. [Google Scholar] [CrossRef] [PubMed]
- Posada, D. jModelTest: Phylogenetic model averaging. Mol. Biol. Evol. 2008, 25, 1253–1256. [Google Scholar] [CrossRef] [PubMed]
- Miller, M.A.; Pfeiffer, W.; Schwartz, T. Creating the CIPRES Science Gateway for inference of large phylogenetic trees. In Proceedings of the Gateway Computing Environments Workshop (GCE), New Orleans, LA, USA, 14 November 2010; pp. 1–8. [Google Scholar]
- Guindon, S.; Gascuel, O. A simple, fast and accurate algorithm to estimate large phylogenies by maximum likelihood. Syst. Biol. 2003, 52, 696–704. [Google Scholar] [CrossRef]
- Rambaut, A. Molecular Evolution, Phylogenetics and Epidemiology: Fig-Tree. 2009. Available online: http://tree.bio.ed.ac.uk/software/figtree/ (accessed on 10 May 2021).
- Rocha, S.; Casal, G.; Velasco, M.; Alves, Â.; Matos, E.; Al-Quraishy, S.; Azevedo, C. Morphology and phylogeny of Thelohanellus marginatus n. sp. (Myxozoa: Myxosporea), a parasite infecting the gills of the fish Hypophthalmus marginatus (Teleostei: Pimelodidae) in the Amazon River. J. Eukaryot. Microbiol. 2014, 61, 586–593. [Google Scholar] [CrossRef]
- Adriano, E.A.; Arana, S.; Cordeiro, N.S. Histopathology and ultrastructure of Henneguya caudalongula sp. n. infecting Prochilodus lineatus (Pisces: Prochilodontidae) cultivated in the state of São Paulo, Brazil. Mem. Inst. Oswaldo. Cruz. 2005, 100, 177–181. [Google Scholar] [CrossRef]
- Eiras, J.C.; Pavanelli, G.C.; Takemoto, R.M. Henneguya paranaensis sp. n. (Myxozoa, Myxobolidae), a parasite of the teleost fish Prochilodus lineatus (Characiformes, Prochilodontidae) from the Paraná River, Brazil. Bull. Eur. Ass. Fish Pathol. 2004, 24, 308–311. [Google Scholar]
- Froese, R.; Pauly, R.D. FishBase. 2019. Available online: http://www.fishbase.org (accessed on 12 May 2021).
- Guerreiro, A.I.C.; Amadio, S.A.; Fabré, N.N.; Batista, V.S. Exploring the effect of strong hydrological droughts and floods on populational parameters of Semaprochilodus insignis (Actinopterygii: Prochilodontidae) from the Central Amazonia. Environ. Dev. Sustain. 2020, 23, 3338–3348. [Google Scholar] [CrossRef]
- El-Mansy, A.; Bashtar, A.R. Histopathological and ultrastrucutural studies of Henneguya suprabranchiae Landsberg, 1987 (Myxosporea: Myxobolidae) parasitizing the suprabranchial organ of the freshwater catfish Clarias gariepinus Burchell, 1822 in Egypt. Parasitol. Res. 2002, 88, 617–626. [Google Scholar]
- Zatti, S.A.; Naldoni, J.; Silva, M.R.; Maia, A.A.; Adriano, E.A. Morphology, ultrastructure and phylogeny of Myxobolus curimatae n. sp. (Myxozoa: Myxosporea) a parasite of Prochilodus costatus (Teleostei: Prochilodontidae) from the São Francisco River, Brazil. Parasitol. Int. 2015, 64, 362–368. [Google Scholar] [CrossRef]
- Zatti, S.A.; Arana, S.; Maia, A.A.M.; Adriano, E.A. Ultrastructural, ssrDNA sequencing of Myxobolus prochilodus and Myxobolus porofilus and details of the interaction with the host Prochilodus lineatus. Parasitol. Res. 2016, 115, 4573–4585. [Google Scholar] [CrossRef] [PubMed]
- Silva, J.M.A.; Adriano, E.A.; Vieira, L.J.; Naldoni, J.; Santos, F.G.A. The Amazonian fish Colossoma macropomum harbors high myxosporean diversity: A description of the three novel species from a fish farm. Microb. Pathog. 2021, 153, 104808. [Google Scholar] [CrossRef] [PubMed]
- Madden, T. The Blast Sequence Analysis Tool. In The NCBI Handbook; McEntyre, J., Ostell., J., Eds.; National Center for Biotechnology Information (US): Bethesda, MD, USA, 2002. Available online: https://blast.ncbi.nlm.nih.gov (accessed on 18 March 2022).
- Eiras, J.C.; Zhang, J.; Molnár, K. Synopsis of the species of Myxobolus Bütschli, 1882 (Myxozoa: Myxosporea, Myxobolidae) described between 2005 and 2013. Syst. Parasitol. 2014, 88, 11–36. [Google Scholar] [CrossRef] [PubMed]
- Eiras, J.C. Synopsis of the species of the genus Henneguya Thelohan, 1892 (Myxozoa: Myxosporea: Myxobolidae). Syst. Parasitol. 2002, 52, 43–54. [Google Scholar] [CrossRef]
- Molnár, K. Comments on the host, organ and tissue specificity of fish myxosporeans and on the types of their intrapiscine development. Parasitol. Hung 1994, 27, 5–20. [Google Scholar]
- Fiala, I. The phylogeny of Myxosporea (Myxozoa) based on small subunit ribosomal RNA gene analysis. Int. J. Parasitol. 2006, 36, 1521–1534. [Google Scholar] [CrossRef]
- Carriero, M.M.; Adriano, E.A.; Silva, M.R.M.; Ceccarelli, P.S.; Maia, A.A.M. Molecular phylogeny of the Myxobolus and Henneguya genera with several new South American species. PLoS ONE 2013, 8, e73713. [Google Scholar] [CrossRef]
- Liu, Y.; Whipps, C.M.; Gu, Z.M.; Zeng, L.B. Myxobolus turpisrotundus (Myxosporea: Bivalvulida) spores with caudal appendages: Investigating the validity of the genus Henneguya with morphological and molecular evidence. Parasitol. Res. 2010, 107, 699–706. [Google Scholar] [CrossRef]
- Kent, M.L.; Andree, K.B.; Bartholomew, J.L.; El-Matbouli, M.; Desser, S.S.; Devlin, R.H.; Feist, S.W.; Hedrick, R.P.; Hoffmann, R.W.; Khattra, J.; et al. Recent advances in our knowledge of the Myxozoa. J. Euk. Microb. 2001, 48, 395–413. [Google Scholar] [CrossRef]
- Ferguson, J.A.; Atkinson, S.D.; Whipps, C.M.; Kent, M.L. Molecular and morphological analysis of Myxobolus spp. of salmonid fishes with the description of a new Myxobolus species. J. Parasitol. 2008, 94, 1322–1334. [Google Scholar] [CrossRef]
- Zhang, X.; Liu, Y.; Whipps, C.M.; Guo, Q.; Gua, Z. Multiple evolutionary routes of the single polar capsule in Thelohanellus species (Myxozoa; Myxobolidae). Int. J. Parasitol. Parasites Wildl. 2019, 8, 56–62. [Google Scholar] [CrossRef] [PubMed]
- Adriano, E.A.; Arana, S.; Ceccarelli, P.S.; Cordeiro, N.S. Light and scanning electron microscopy of Myxobolus porofilus sp. n. (Myxosporea: Myxobolidae) infecting the visceral cavity of Prochilodus lineatus (Pisces: Characiformes: Prochilodontidae) cultivated in Brazil. Folia Parasit. 2002, 49, 259–262. [Google Scholar] [CrossRef] [PubMed]
- Aleman, A.; Ramos, V.A. Northern Andes. Tect. Evol. S. Am. 2000, 31, 453–480. [Google Scholar]
- Wesselingh, F.P.; Hoorn, C. Geological development of Amazon and Orinoco Basins. In Historical Bio-Geography of Neotropical Freshwater Fishes; Albert, J.S., Reis, R.E., Eds.; ResearchGate: Berlin, Germany, 2011; pp. 59–68. [Google Scholar]
- Brea, M.; Zucol, A.F. The Parana-Paraguay basin: Geology and paleoenvironments. In Historical Biogeography of Neotropical Freshwater Fishes; Albert, J.S., Reis, R.E., Eds.; ResearchGate: Berlin, Germany, 2011; pp. 69–87. [Google Scholar]
- Fontenelle, J.P.; Marques, F.P.L.; Kolmann, M.A.; Lovejoy, N.R. Biogeography of the neotropical freshwater stingrays (Myliobatiformes: Potamotrygoninae) reveals effects of continent-scale paleogeographic change and drainage evolution. J. Biog. 2021, 48, 1406–1419. [Google Scholar] [CrossRef]




Disclaimer/Publisher’s Note: The statements, opinions and data contained in all publications are solely those of the individual author(s) and contributor(s) and not of MDPI and/or the editor(s). MDPI and/or the editor(s) disclaim responsibility for any injury to people or property resulting from any ideas, methods, instructions or products referred to in the content. |
© 2023 by the authors. Licensee MDPI, Basel, Switzerland. This article is an open access article distributed under the terms and conditions of the Creative Commons Attribution (CC BY) license (https://creativecommons.org/licenses/by/4.0/).
Share and Cite
Müller, M.I.; Figueredo, R.T.A.; Atkinson, S.D.; Bartholomew, J.L.; Adriano, E.A. Henneguya correai n. sp. (Cnidaria, Myxozoa) Parasitizing the Fins of the Amazonian Fish Semaprochilodus insignis. Diversity 2023, 15, 702. https://doi.org/10.3390/d15060702
Müller MI, Figueredo RTA, Atkinson SD, Bartholomew JL, Adriano EA. Henneguya correai n. sp. (Cnidaria, Myxozoa) Parasitizing the Fins of the Amazonian Fish Semaprochilodus insignis. Diversity. 2023; 15(6):702. https://doi.org/10.3390/d15060702
Chicago/Turabian StyleMüller, Maria I., Rayline T. A. Figueredo, Stephen D. Atkinson, Jerri L. Bartholomew, and Edson A. Adriano. 2023. "Henneguya correai n. sp. (Cnidaria, Myxozoa) Parasitizing the Fins of the Amazonian Fish Semaprochilodus insignis" Diversity 15, no. 6: 702. https://doi.org/10.3390/d15060702
APA StyleMüller, M. I., Figueredo, R. T. A., Atkinson, S. D., Bartholomew, J. L., & Adriano, E. A. (2023). Henneguya correai n. sp. (Cnidaria, Myxozoa) Parasitizing the Fins of the Amazonian Fish Semaprochilodus insignis. Diversity, 15(6), 702. https://doi.org/10.3390/d15060702

