Abstract
The Red Palm Weevil (RPW) is one of the most damaging pests to palm cultivation; this invasive weevil poses a threat to the palm industry. The characterization and identification of this pest in order to determine its biological diversity is the first step in controlling it, which will help in developing effective control programs. The purpose of this study is to investigate the biodiversity of and characterize RPW from five different Egyptian geographical locations at morphological and genetic levels using morphometric analysis, scanning electronic microscopy and two different genetic markers. Our results revealed no significant differences between length and width of the adult body among RPW adults from different geographical locations. Different typologies of prothoracic spots were observed, indicating a degree of diversity in the RPW populations. The magnitude of the different body parts was measured among both males and females. Significant differences were exhibited between length of the antennal seta, as well as forelegs, the lengths and widths of the pronotum, and the rostrum length between both sexes. Both RAPD and ISSR used DNA markers, generating reproducible and distinct banding patterns. The polymorphic banding patterns that have resulted from all studied populations confirmed that these markers demonstrate genetic variability amongst the studied Egyptian populations of Rhynchophorus ferrugineus. The recorded differences may be due to the presence of different red palm weevil genotypes. The obtained results might have potential applications in developing a new tracking and control strategy for this invasive pest.
1. Introduction
The date palm, Phoenix dactylifera L. (Arecales Arecaceae), is a common crop that has been widely cultivated in arid and semiarid regions of the Middle East and North Africa for about 5000 years. In many countries, the fruit of date palm has become a staple food, rich in carbohydrates and other nutrients [1]. During the last decade of the 20th century, the RPW, Rhynchophorus ferrugineus Olivier (order: Coleoptera, family: Curculionidae), was reported as an important pest in date palm plantations in Egypt [2,3]. This curculionid is considered the most serious pest, and it severely ravages palms of date and coconut in several regions of the world [4,5]. R. ferrugineus originated in South-East Asia [6] and spread to the Near East and North Africa. For the last two decades, RPW has invaded several Middle Eastern countries such as Iran, Iraq, Saudi Arabia, the Emirates, and recently, Egypt. It has been reported to attack 19 palm species belonging to 15 different genera [7]. Because of its wide distribution, R. ferrugineus is the most important studied pest of palms in the world [8].
RPWs are concealed tissue borers which spend all their life stages inside palm trees. The symptoms of infestation include the presence of tunnels made by larvae in the leaf petioles and trunks, the oozing out of viscous liquid (yellow to brown) from the palm tree, the appearance of chewed plant material (frass) in and around openings in the trunk, a fermented odour from liquid in infected tunnels, adults and cocoons present in the leaf axils, empty cocoons seen on the ground, the presence the pellets of frass on the ground around the palm, and toppling of the palm crown or trunk breaking [9].
However, symptoms of attack during the early stage of an infestation cannot be detected until the crown of the date palm tree has been badly damaged and collapses. Therefore, this weevil poses a threat to the date palm tree and other palms. The integration of morphometric and molecular techniques represents a very important tool in resolving taxonomic uncertainties and the identification and characterization of genetic diversity [10]. Continuous introduction of new date palm varieties into the region leads to changes in the structure of the insect population. The high distribution capacity of the red palm weevil may be attributed to its strong flight capabilities, and its population is suspected to show diversity [11]. The study of genetic variability between invasive species is fundamental for their management strategies, including biosecurity. It offers quick and accurate identification of these invasive species and their populations. [12,13]. DNA technologies based on DNA molecular markers have significantly contributed to the rapid growth of molecular studies of genetic relatedness, population dynamics of gene and genome mapping, genetic diversity, and phylogeny. [14]. Previously, the genetic variation of RPW was detected using RAPD markers. These research studies were limited to comparing seven individual RPW from the UAE, individuals from Egypt, Saudi Arabia, and Indonesia, as well as diverse morphological types of RPW from Egypt and Saudi Arabia. [11,15,16,17]. A long life cycle is characteristic of all three developmental stages of RPW inhabiting palm tree trunks [18].
The present study dealt, for the first time in Egypt, with characterization of RPW at the ultrastructural level using a scanning microscope (SEM). To support this study, characterization at morphological and molecular levels was achieved by using vernier callipers and RAPD and ISSR markers. It is hoped that the information from this study may aid in a better understanding of the taxonomy of R. ferrugineus, which will be the first step in the development of effective integrated pest management of this weevil.
2. Materials and Methods
2.1. Sampling of RPW Adults
RPW adult samples were taken from heavily infested date palm plantations. Random samples of R. ferrugineus males and females utilized were originally collected from 5 geographic Egyptian locations, as illustrated in Figure 1, during July 2019, namely Ismailia, Qalyubia, El Arish, New valley and Aswan.
Figure 1.
Localities from which R. ferrugineus was collected.
2.2. Study Area and Site Selection
Ismaeilia samples were collected from Kassassin village of Lower Egypt, 22 miles (35 km) by rail west of Ismailia (31°8′55.716″ N and 30°38′53.376″ E).
The Qalubia sample was collected from Kafr Taha, Shibin Al Qanater, Qalubia, Egypt. Kafr Taha is a small district in Egypt, located in the prefecture of Shibin Al Qanater, Qalyubia region, to the north of Cairo (30°16′8.382″ N and 31°18′23868″ E).
Arish samples were collected from Arish, which is the capital and largest city of the North Sinai Governorate of Egypt (16°58′35.764″ N and 42°50′52.371″ E).
The Aswan sample was collected from Kom Umbo, Aswan Governorate, Egypt (24°5′20.176″ N and 32°53′59.388″ E).
The New Valley sample was collected from Farafra oasis, New Valley Governorate, central Egypt (25°26′51.413″ N and 30°33′18.138″ E).
2.3. Sampling Design
The conditions for selecting palms for sampling, including the meeting of inclusion and exclusion criteria, were as follows:
Three to five feddans of farmland was chosen. The palms were in one place as much as possible, were as similar as possible, and were not more than 20 years old. They were medium-infested palms devoid of ground and high offshoots. The injuries were at a suitable height for sampling. Every member of the population had an equal opportunity to be chosen, and the sampling frame included the whole population. The number of replications for each region was not less than 30 palms. We numbered the palm trees from which the replicates were taken. A portable wood saw was utilized to facilitate collecting weevils from heavily infested palm trees. Adults were placed into individual plastic boxes with press-on tight-fitting lids (30 × 20 × 15 cm).
2.4. Dealing with Collected Adults
The insects were cultured in the Insect Research Laboratory at the Plant Protection Department, Faculty of Agricultural at Moshtohor, Benha University. The insects were maintained at 25 ± 2 °C, 60–70% RH, and 12:12 LD. Adults were supplied with fresh sugarcane stems for feeding. Adults were sampled from palm trees growing in Qalyubia governorate. These adults were sexed and examined by the naked eye and then using a magnification lens were certified that all the weevils/sample are of the same species, Rhynchophorus ferrugineus. Every couple of adults was kept, separately, in small jars (5 × 10 cm) to begin observational measurements of morphological characters and electron microscopy inspections. Sexing of adult weevils was determined based on the absence of a series of black hairs on the dorsal–frontal part of the snouts of females, and their presence in the males.
2.5. Identification of Male and Female of Red Palm Weevil
The differentiation between males and females was carried out using the taxonomic work of [18]. This involved observing the tuft of brown hairs on the half rostrum that are present in males and absent in females. The adult weevils collected were utilized for measuring various parts of the body using a binocular stereomicroscope. Characterization was carried out in both male and female representatives of the population to identify differences at morphometric and ultrastructural levels. These differences will help differentiate between males and females when tracked.
2.6. Morphological Variation in Adult Red Palm Weevil
The morphological variables measured were the length of body (L) and abdomen (AL), width of abdomen (AW), pronotum length (PL), pronotum width (PW), Rostrum length (RL), size of head (HS), length of the leg (foreleg), and length from tip of rostrum to antennal insertion (TA), according to [19].
Male and female RPW were collected and prepared to ensure that they were free from dust or palm fibres to avoid debris accumulation on the specimens. Head, body and legs of males and females were decapitated with fine scissors, and immediately placed in tubes filled with glutaraldehyde (4%) for fixation. After fixation, the samples were dehydrated in increasing alcohol baths of 50%, 70%, 80%, 95% and 100% (twice for 5 min) for further clearing and fixation. Finally, before observation, the samples were rinsed once, dried, fixed in the cylindrical stub and then spurred-coated with a thin golden layer using an apparatus (S150A SPUTTER COATER, Crawley, UK) for 1 min. An electron microscope (QUANTA FEG 250, Zaragoza, Spain) located at the Scientific Imaging Unit, National Research Centre, Cairo, Egypt, was used to observe the specimens. SEM photomicrographs were taken from different locations of each morphological part for each RPW male and female.
2.7. DNA Extraction
Total genomic DNA was extracted from red palm weevil using genomic prep cells and a tissue DNA isolation kit (QIAgene DNeasy Blood and Tissue Kit, QIAGEN Inc. — Canada, Montréal) according to manufacturer’s instructions. The integrity of extracted DNA was detected via 1% agarose gel electrophoresis. The concentration of the isolated DNA was measured with a spectrophotometer at 260 nm. The purity of DNA was checked using a spectrophotometer with a ratio of 260/280 nm absorbance.
2.8. RAPD and ISSR Analysis
PCRs were performed using 2× superhot PCR Master Mix (Bioron; Germany) with 10 Pmol of each 5 RAPD and five ISSR primers. The names and sequences of the used primers are illustrated in results section. RAPD reactions were carried out in a Biometra’s T-personal Thermal Cycler using the following PCR program: 1 cycle at 94 °C, 4 min; 35 cycles of 94 °C for 5 s, 37 °C for 20 s, 72 °C for 20 s and finally 72 °C for 10 min. The PCR program for ISSR analysis was as follows: Initial denaturation at 94 °C for 2 min, followed by 35 cycles consisting of denaturation at 94 °C for 30 s, annealing at 55 °C for 30 s, extension at 72 °C for 2 min and a final extension at 72 °C for 2 min. After amplification, the PCR-amplified products were migrated on agarose gel electrophoresis against GeneRuler 100 bp and 100 bp plus DNA ladder marker (Thermo Scientific, Horsham, UK) for the ISSR and RAPD PCR-amplified products, respectively, to determine the bands’ molecular sizes. The electrophoresis process was carried out though 10 × 14 cm 1.5%-agarose gel (Burlington, Ontario, Canada) for 25 min using TAE (Tris-acetate-EDTA, 50×) buffer. The gels were stained with 0.5 ug/mL of ethidium bromide (Bioshop, Burlington, Canada), visualized under UV light and documented using a GeneSnap 4.00—Gene Genius Bio Imaging System (Syngene; Frederick, MD, USA).
2.9. Data Analysis
The statistical analysis was carried out using one-way ANOVA using SPSS, ver. 25 (IBM Corp. Released 2013). Data were treated as a complete randomization design according to [20]. Multiple comparisons were carried out applying Tukey’s test. The significance level was set at <0.05 [20].
RAPD and ISSR amplified fragments were scored as (1) for band presence and (0) for band absence, and a binary qualitative data matrix was constructed. Data analyses were performed using the NTSYS PC version 2.02 computer package program [21]. The similarity values were used to generate a dendrogram via UPGMA (Unweighted Pair Group Method) with arithmetic average (UPGMA).
3. Results
3.1. Morphological Characteristics
3.1.1. Comparing Different Morphological Characters between Sexes
Adults of R. ferrugineus were described depending on different parameters (the length and width, general colour and the number of spots and colour on the head). The males and females are almost of equal size, reddish brown, and sometimes orange with black markings. The black spots on the pronotum were extremely variable, with 2–7 black spots and markings of variable sizes and shapes. No specific number of spots was observed for adults from any of the studied locations, either on males or on females (Figure 2).

Figure 2.
Adults of R. ferrugineus brought from various five geographic locations, showing the same general colour and high variability of black spots (X5).
The body length of adults averaged 33.5 ± 1.30 (30.6–37) mm, while that of width measured 9.5–13.2 mm (11.5 ± 1.30) for adults collected from different locations (Table 1).
Table 1.
Measurements (mean ± SE mm) of body (length and width) of RPW adults brought from five different geographic Egyptian locations during 2019.
Date palm trees were inspected for RPW from the following localities of districts: Ismailia, Qalyubia, El Arish, New valley and Aswan. In total, 265 date palms were inspected, and 103 infestations of RPW were detected. The magnitude of the different body parts was measured in adult RPW of both sexes. Significant differences were found between mean length of the antennal seta, as well as forelegs, the lengths and widths of the pronotum, and the rostrum length between males and females (Table 2). The only structure which showed nonsignificant differences between sexes was the length of antenna. The mean length of female whole antenna was shorter than that of males (3.92 ± 0.01 and 4.12 ± 0.11 mm, respectively). However, the differences in these morphological characters between sexes were statistically nonsignificant (p > 0.05); (Table 2 and Figure 3, Figure 4 and Figure 5).
Table 2.
Measurements (mm) of some morphological characteristics between RPW males and females collected during 2019 (note: p > 0.05, n = 13 random individuals). A and B: no statistically significant difference (p > 0.05) between any two means for the same attribute within the same row with the same capital letter superscript.
Figure 3.
Scanning electron microscopy (SEM) image of Rostrum of R. ferrugineus male (A) and female (B) adults, showing the sexual dimorphism between adults, indicating high variability (note: p > 0.05, n = 13 random individuals/sex), (scale bar below each picture and measurements are shown in the picture). N.B. adults brought from different geographical locations during 2019.
Figure 4.
SEM of forelegs of R. ferrugineus adults between RPW male (A) and female (B) adults, showing the sexual dimorphism between both sexes and high variability (Note: p > 0.05, n = 13 random individuals/sex) (scale bar below each picture and measurements are shown on the picture).
Figure 5.
SEM of antenna of male (A) and female (B) R. ferrugineus adults, showing high variability (note: p > 0.05, n = 13 random individuals/sex), (scale bar below each picture and measurements are shown in the picture).
3.1.2. Description of Some Morphological Characters on Both Sexes
Comparative dimorphism of some morphological characters is shown in Figure 3, Figure 4, Figure 5 and Figure 6.
Figure 6.
SEM of pygidium of R. ferrugineus male (A) and female (B) adult RPW, showing the sexual dimorphism between both sexes and high variability (note: p > 0.05, n = 13 random individuals/sex) between adults brought during 2019, (scale bar below each picture and measurements are shown on the picture).
Rostrum
The rostrum is stout and shorter than the pronotum. In profile, it is slightly arcuate at the apex, broad at the base and tapers towards the apex. It is the most important taxonomic characteristic identified thus far, as it shows strong sexual dimorphism. In this study, it was found that males have a significantly shorter rostrum (8.21 ± 0.13 mm) than females (9.68 ± 0.01 mm) (Table 2). In males, a patch of brownish hairs or rostral setae was present on the dorsal apical region of the rostrum. In contrast, the rostrum of the female is bare, appears shiny, and is curved, longer and more slender (Figure 3). However, generally, the colour and pronotal markings are similar in both sexes. Sexual differentiation was easily distinguished by determining the presence of the setae on the rostrum and ventral side of the front femur and tibia, and by looking at the shape of the pygidium; see Figure 3, Figure 4 and Figure 6.
At high magnification on the SEM micrograph, the rostral setae can be seen as a group of bristles (toothbrush-like), which are stout, ridged, thick-walled and almost similar in length. The apical tip of the female rostrum is more cylindrical, with rounded ends, and is slightly narrower at the anterior end. Along the rostrum of both sexes, there are high densities of wall markings (Figure 3), but the function of these markings is unknown.
Foreleg
The legs are dark and finely punctured. The front coxae are bulbous, rounded, with scattered fine fulvous hairs and punctuation, separated by one-fourth of a coxa. Generally, no distinct difference in foreleg length between both sexes was detected. However, the most striking differences in the forelegs are the presence of the reddish-brown setae on the ventral side of the front tibia in males, while in females, the setae on the front of the tibia are much shorter and more strongly curved than in males. Tarsus four is segmented, and the first tarsal segment is twice as long as the second segment. The second segment is slightly shorter than the third segment, and the fourth segment is as long as the three segments combined. There are also two distal claws on the apical tip of the fourth tarsal segment (Figure 4).
Antenna
Antennae of both sexes have the same shape and size. The antenna arises laterally from a deep scrobe at the base of the pronotum and from a scrobe at the base of the rostrum. The antennal scrobes are deep, broad and widely opened, ventrally. The antenna consists of a scape, a pedicel, and a six-segment flagellum. The mean lengths of the antennal scape, pedicel and flagellum segments vary slightly (Figure 5).
Mouthparts
The mouthparts of RPW have a brownish-black colour. They are located at the rostrum’s apex, and the mandible is about two-thirds the width of the rostrum at the base. It is anteriorly bilobed, and the teeth are deeply divided. In general, mandibles, maxillae and submentum of both sexes are similar in shape and size. The mandible of both sexes is narrowly rounded, deeply tridentate (Z shaped), and has three sharply pointed teeth. The distal half of the mandible is strongly depressed and the submenturn is distally oval-shaped (Figure 4). There is also a deep groove below the apical tip of the mouthparts. It was found that when the mandibles were opened for chewing or grinding, for the tissues of the palms, the deep groove also opened and moved synchronously with the mandibles.
Pronotum
The pronotum of both sexes is slightly pubescent to shiny; the posterior margin of the pronotum is nearly rounded and gradually narrows anteriorly. The colour ranges from ferruginous to reddish brown and can be orange, dark brown and deep black. A variation in pronotal markings (black spots) was found, and the shapes of these pronotal markings are extremely variable (Figure 2). However, the use of markings on the pronotum for distinguishing species has caused much confusion. Therefore, it is suggested that the pronotal markings should not be relied upon alone to identify RPW—other morphological characters should be used whenever possible. Additionally, the genetic variation among individuals of different colouration and pronotal markings, as part of the taxonomical study of the RPW, was investigated in the present research.
Elytra
The elytra are wider than the pronotum. The length of each elytron is 2.5 times its own width. Elytra of both sexes were dull to shiny, smooth or slightly velvety pubescent, and almost rectangular. The colour of elytra varied from reddish brown to deep black. (Figure 2).
Pygidium
RPW’s pygidium is black and triangular with a central elevation, perforated finely at the base, sides, and apex but more diffusely in the centre, and edged with lateral fucous setae. The pygidium is an easy characteristic to distinguish between the two sexes. The male pygidium is slightly wider, and the female one is flat, smooth, and sparsely and minutely punctured posteriorly and dorsolaterally. It is convex in shape, with the dorsal cleft narrowly convergent towards the posterior end. The female pygidium is narrower and fringed, with longer setae than males, and the vaginal base is triangular, pointed posteriorly and sclerotized (Figure 5).
3.2. Molecular Genetic Markers
3.2.1. RAPD Markers Analysis
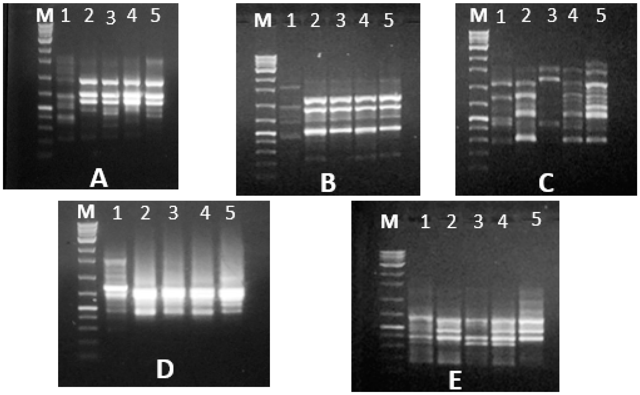
Table 3 and Figure 7 show the five used primers, their nucleotide sequences and the total band numbers for each locality. In the present study, reproducible and distinct RAPD profiles were generated from all used primers. Different banding profiles have been observed where 56 bands were amplified. Of these, 42 were polymorphic (75%) and 14 were monomorphic (25%). The total number of bands was 161 through all primers and populations. There were variations in the number and size of amplified fragments from each primer. The size of amplified fragments ranged from approximately 150 bp in primer OPA20 in Ismaeilia, Qalubia, Aswan and New valley populations, to around 850 bp in primer OPA13 in the Ismaeilia population. The maximum number (39 fragments) was amplified with the primer OPA13, and the minimum number (24 fragments) was amplified with the primer OPA19.
Table 3.
RAPD primers, their nucleotide sequences and total number of bands for each locality produced by five primers.
Figure 7.
DNA fingerprinting of five RPW populations from five governorates (1, Ismaeilia; 2, Qaluobia; 3, Arish; 4, Aswan and 5, New Valley) revealed from five RAPD markers: (A) OPA 13; (B) OPA14; (C) OPA16; (D) OPA19; (E) OPA 20.
Table 4 shows the specific markers obtained across RAPD-PCR analysis. Primer OPA13 generated the highest number of specific markers (Figure 7) at four. In contrast, OPA14 produced the lowest number of markers at two. OPA 16, OPA19 and OPA20 primers generated three markers each. Ismaeilia had the highest specific-marker-producing population; it produced nine specific markers. Qalubia produced one specific marker.
Table 4.
Specific markers for R. ferrugineus populations across RAPD-PCR analysis.
3.2.2. ISSR Markers Analysis
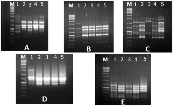
Five ISSR markers were used to characterize the studied R. ferrugineus populations. Table 5 and Figure 8 summarize data about the used ISSR primers and the amplified bands. ISSR banding patterns of the five populations are demonstrated in Figure 8. Used ISSR primers were able to amplify the DNA from all the studied populations. The obtained results show variations among studied populations in the total number of amplified, and monomorphic and polymorphic bands. The total number of amplified bands was 74. Out of these, 64 were polymorphic (86.5%) and 10 were monomorphic (13.5%). Among the studied population and ISSR primers, variations in the size and number of amplified bands were observed. The size of the amplified bands ranged from 150 to 1500 bp. The highest number of bands was 44 with the HB9 primer, while the lowest was 24 with the HB8 primer.
Table 5.
ISSR primers, their nucleotide sequences and total number of bands for each location produced by five primers.
Figure 8.
DNA fingerprinting of five RPW populations (1, Ismaeilia; 2, Qaluobia; 3, Arish; 4, Aswan and 5, New Valley) revealed from five ISSR markers: (A) BH9; (B) BH15; (C) BH10; (D) BH13; (E) BH8.
Table 6 provides information on the unique fragments obtained in the five studied R ferrugineus populations using ISSR primers. In total, 32 specific markers were identified. Unique fragments are considered as specific markers. The Ismaeilia population was found to generate the highest number of specific markers (15) compared to other populations, while the Qalubia population was the lowest unique-fragment producer (1 band).
Table 6.
Specific markers for R. ferrugineus populations across ISSR-PCR analysis.
Different specific markers were obtained across RAPD and ISSR analysis. The RAPD technique indicated 15 specific markers and ISSR generated 32. Among RAPD and ISSR primers, OPA13 and HB10 generated the highest number of specific markers. OPA 14 and HB9 generated the lowest number of markers (Table 4 and Table 6).
3.3. Dendrogram Construction Based on the Data Collected from RAPD and ISSR Markers
Data collected from RAPD and ISSR markers were combined to construct a dendrogram (Figure 9) and to illustrate the genetic distance between studied populations. Genetic relationships among the five populations of R. ferrugineus are shown in Figure 10. The five populations were split into two groups. Group 1 included only the Ismaeilia population, which formed a distinct population, separated from all of the others. The second group included four populations (Qalubia, Aswan, Arish, New valley). This group was further divided into two groups. The first included three populations (Qalubia, Aswan, and Arish). In this group, the lowest genetic distance was detected between Qalubia and Aswan populations, but the Arish population was closely related. Group 2 included only one population (New Valley). Based on genetic distance values, the highest genetic distance was observed between Ismaeilia and New Valley populations (82%), while the lowest genetic distance was between the Qalubia and Aswan populations (39%) (Table 7).
Figure 9.
Dendrogram demonstrating the relationships among five R. ferrugineus populations based on data recorded from RAPD and ISSR markers.
Figure 10.
A schematic diagram showing the sites for collecting samples, indication of the methods used, and the most important results obtained. (A) OPA 13; (B) OPA14; (C) OPA16; (D) OPA19; (E) OPA 20.
Table 7.
Genetic distance values among populations R. ferrugineus from five governorates.
4. Discussion
The most devastating pest of farmed palms, particularly date palm plants, is the red palm weevil (R. ferrugineus). It was first discovered in the early twentieth century in Asia’s southern and south-eastern regions. It then expanded throughout the Middle East, Europe, and North Africa. At the end of the 20th century, it was reported in Australia. It was discovered in 2010 in western North America.
There was no sexual dimorphism found in RPW in this study. In both sexes, all pronotal markings were observed. An earlier study of RPW markings has shown that there are 12 colour morphs recognized in KSA [22]. A non-significant difference was found between mean length and width of the body of adults between different geographic locations. In similar studies [23], it has been reported that adult RPW are large—30–40 mm long. They are characterized by a high degree of colour polymorphism. Currently, there are two colour morphs of RPW that are recognized as a single species of R. ferrugineus: (1) a black with a red stripe ≈ “vulneratus” colour morph and (2) orange with black markings ≈ “ferrugineus” colour morph.
Limited information regarding a morphometric description of this weevil is available. In this respect, it has been reported [24] that adults of RPW from Meghalaya, India measured 33.2–34.05 mm (mean 33.62 mm) in length and 11.9–13.1 mm (mean 12.50 mm) in width [24].
Based on a previous study [25], the body measurements of R.ferrugineus adult males ranged from 19.0 to 42.0 mm in length and from 8 to 16 mm in width, whereas those of female adults were 29.00–40.0 and 10–16 mm, respectively. other studies [16,25] showed that the mean length of adult males ranged 29.0–44.0 mm, with 11.50–18.00 mm in width, whereas adult female length measured 26.00–42.00 mm, with width of 11.0–17.0 mm.
Distinguishing R. ferrugineus from other species can be easy when using dorsal characteristics of the pronotum [26]. The pronotum is characterized by its black colour, and it is opaque, velvety to shining, longer than it is wide, flat, narrowed towards the apex, and constricted anterolaterally. Its base is generated posteriorly, covered with brown setae under the posterior border, bisinuate on both sides, with a fine elevated margin, and it is finely and diffusely pierced, with indications of a median longitudinal carina [27]. Other morphological characters are required to separate between males and females.
Data obtained from [27] suggest that the rostral setae consist of a group of bristles, which function as chemoreceptors and contain neuron sensors which are important for mating, and possibly for response to odour stimuli. However, the authors speculated that wax or fluid, which may be hydrocarbon based, is emitted from the wall markings, acting as a lubricant for the rostrum to grind the soft tissue of palms.
The most trustworthy characteristics were discussed in [19]. These include a combination of traits, including the pronotum, dorsal, lateral, and ventral aspects of the head.
Different measurements of RPW body parts taken in this study, including total body length, rostrum length, and rostrum length from apex to antennal insertion, could be utilized to effectively discriminate between male and female RPW.
The results from [27] reported that the flagellum comprises six segments (Figure 6), being reddish-brown in colour and broadly triangular with several dorsal and ventral setae (antennal sensilla), especially at the apex.
The RAPD and ISSR markers were successfully used in genetic fingerprinting and characterization of red palm weevil populations and for detecting population diversity. Among DNA markers, ISSR and RAPD require small quantities of DNA and do not require radioactive labels; they are simple and fast. These markers are reproducible, powerful, simple, quick, and relatively cheap for use in estimating genetic variation and identifying differences between populations [11,13,28]. In the present study, both RAPD and ISSR markers generated reproducible and distinct banding patterns. The polymorphic banding patterns resulting from using RAPD and ISSR primers confirmed that these markers, based on DNA from five R. ferrugineus individuals from each population, revealed genetic variability between these Egyptian populations, thus confirming the extreme heterogeneity within them [29].
These findings revealed a random pattern of amplification as well as the heterogeneity and polymorphism of the RPW population, implying that Egypt has many unique genotypes. In the present study, RAPD and ISSR techniques generated variable numbers and sizes of amplified bands. These results could be due to size of amplified fragments related to primer sequences annealed with the DNA template [30]. Insertions and/or deletions could alter the size of the amplified product [31].
The number of amplified bands is varied due to primer structure, where there is variation in the primer annealing sites. Some primers identify a large number of annealing sites, which are more beneficial than primers that recognize a smaller number. As a consequence, the number of amplified bands will be higher, which provides us with a better opportunity to detect DNA polymorphisms between individuals [32,33,34].
In total, 47 various and specific positive RAPD and ISSR markers were observed amongst the studied R. ferrugineus populations. The markers used in this study were highly effective in distinguishing between the various Egyptian populations.
The highest number of ISSR markers was generated using the HB15 and OPA 13 primers, which could be used for early detection and molecular diagnosis of R. ferrugineus infestation [35].
The specific markers obtained in the present study could be used for rapid R. ferrugineus characterization, identification, and accurate tracking.
The highest genetic distance was observed between Ismaeilia and New Valley populations (82%), while the lowest genetic distance and thus closest relationship was between the Qalubia and Aswan populations (39%). This low genetic distance suggests they are closely related and have a recent common ancestor. Conversely, the large genetic distance between New valley and Isamaeila suggests that the two regions have a fairly distant relation. Two factors may explain the genetic structure of populations identified in the represented study. First, although adult RPW are capable of long flights, they usually stay under the base of the frond petioles during the day [36]. Although they usually prefer dying or damaged palms, undamaged ones also can be attacked. They move short distances throughout their adult flight [37]. Second, the palms trads from native to new areas caused irregular dispersal of RPW, probably as immature stages bored into palm trees.
5. Conclusions
The present study reveals that there were non-significant differences between the mean lengths and widths of the body of adults between different geographic locations. Typological differences in prothoracic spots have been observed in the study area, which suggest that there is a degree of diversity in Red Palm Weevil populations.
RAPD and ISSR molecular markers obtained in the current study might have applications in agriculture or quarantine purposes. In addition, they could be beneficial in the date palm industry in Egypt. However, further molecular studies are required for the identification of R. ferrugineus in Egypt.
Author Contributions
Conceptualization, I.R.M.E.-Z., N.S.A. and A.M.A.; methodology, I.R.M.E.-Z., N.S.A. and A.M.A.; formal analysis, I.R.M.E.-Z., N.S.A. and A.M.A.; investigation I.R.M.E.-Z. and N.S.A.; resources, I.R.M.E.-Z., N.S.A., A.M.A. and N.F.A.-H., data curation, I.R.M.E.-Z., N.S.A., A.M.A. and N.F.A.-H.; funding acquisition, I.R.M.E.-Z., N.S.A., A.M.A. and N.F.A.-H., writing—Original draft preparation, I.R.M.E.-Z., N.S.A., A.M.A. and N.F.A.-H., writing—Review and editing, I.R.M.E.-Z., N.S.A., A.M.A. and N.F.A.-H. All authors have read and agreed to the published version of the manuscript.
Funding
This research received no external funding.
Institutional Review Board Statement
Ethical review and approval were not applicable because this study did not include animals or humans, and only included insect samples.
Informed Consent Statement
Not applicable.
Data Availability Statement
This study did not report any data.
Acknowledgments
The authors wish to express deep and sincere thanks to Fawzy Faiek Shalaby, Economic Entomology, Plant Protection Department, Faculty. of Agriculture, Benha Univ., for his advice and constructive criticism throughout the whole period of this study in the entomology section, and also for revising the manuscript. The authors also extend their sincere thanks to Shaimaa Abdelghany lecturer of biotechnology, college of biotechnology, Misr University for Science and technology for her assistance in the molecular genetics studies section.
Conflicts of Interest
The authors declare no conflict of interest.
References
- Jones, C.R. Insect notes from the Philippines. Philipp. Agric. Rev. 1995, 6, 246–250. [Google Scholar]
- Saleh, M.R.A. Red Palm Weevil, Rhynchophorus ferrugineus (Oliv.). In The first Record for Egypt and Indeed the African Continent, List No. 10634 Africa, Collection No. 22563; British Museum Report of International Institute of Entomology; International Institute of Entomology: London, UK, 1992; p. 1. [Google Scholar]
- Saleh, M.R.A.; Gouhar, K.A. Red Palm Weevil Attacking Date Palm Trees in Limited Areas of Egypt at the Present Time and How Can Be Eradicated from These Areas; Report of Plant Protection Department; Faculty of Agriculture, Zagazig University: Zagazig, Egypt, 1993; p. 20. [Google Scholar]
- Kaakeh, W.A.A.; Khamis, A.; Aboul-Nour, M.M. The Red Palm Weevil: The Most Dangerous Agricultural Pest; UAE University Printing Press: Sharjah, United Arab Emirates, 2001; pp. 90–165. [Google Scholar]
- Faleiro, J.R. A review on the issues and management of red palm weevil R. ferrugineus (Coleoptera: Rhynchophoridae) in coconut and date palm during the last one hundred years. Int. J. Trop. Insect Sci. 2006, 26, 135–154. [Google Scholar]
- Liver, R.J.A.W. Pests of the Coconut Palm; FAO: Rome, Italy, 1969; pp. 113–117. [Google Scholar]
- Dembilio, O.; Jacas, J.A.; Lacer, E. Are the palms Washingtonia filifera and Chamaerops humilis suitable hosts for the red palm weevil, Rhynchophorus ferrugineus (Col., Curculionidae). J. Appl. Entomol. 2009, 133, 565–567. [Google Scholar] [CrossRef]
- Prabhu, S.T.; Pathil, R.S. Studies on the biological aspects of red palm weevil, Rhynchophorus ferrugineus (Oliv.). J. Agric. Sci. 2009, 22, 732–733. [Google Scholar]
- Abraham, V.A.; Al-Shuaib, M.A.; Falleiro, J.R.; Abozuhairah, R.A.; Vidyasagar, P.S.P.V. An Integrated Management Approach for Red Palm Weevil Rhynchophorus Ferrugineus Oliv. a Key Pest of Date Palm in the Middle East. J. Agric. Mar. Sci. 1998, 3, 77–83. [Google Scholar] [CrossRef]
- Zinetti, F.; Dapporto, L.; Vanni, S.; Magrini, P.; Bartolozzi, L.; Chelazzi, G.; Ciof, C. Application of molecular genetics and geometric morphometrics to taxonomy and conservation of cave beetles in central Italy. J. Insect. Conserv. 2013, 17, 921–932. [Google Scholar] [CrossRef]
- Gadelhak, G.G.; Enan, M.R. Genetic Diversity Among Populations of Red Palm Weevil, Rhynchophorus ferrugineus Olivier (Coleoptera: Curculionidae), Determined by Random Amplified Polymorphic DNA-Polymerase Chain Reaction (RAPD-PCR). Int. J. Agric. Biol. 2005, 7, 395–399. [Google Scholar]
- Sharma, A.K.; Mendki, M.J.; Tikar, S.N.; Chandel, K.; Sukumaran, D.; Parashar, B.D.; Veer, V.; Agarwaland, O.P.S. Genetic variability in geographical populations of Culex quinquefasciatus Say (Diptera: Culicidae) from India based on random amplified polymorphic DNA analysis. Acta Trop. 2009, 112, 71–76. [Google Scholar] [CrossRef]
- Hashem, M. Genetic variations among the red palm weevil Rhynchophorus ferrugineus populations collected from Egypt. J. Genet. Cytol. 2016, 45, 33–45. [Google Scholar] [CrossRef]
- Behura, S. Molecular marker systems in insects: Current trends and future avenues. Mol. Ecol. 2006, 15, 3087–3113. [Google Scholar] [CrossRef]
- Abulyazid, I.; Kamel, I.K.E.; Sharawi, F.A.; El-Bermawi, S. Comparison between different populations of Red Palm Weevils Rhynchophorus species using RAPD-PCR. 2002. J. Egypt Ger. Soc. Zool. 2002, 38, 1–15. [Google Scholar]
- Salama, H.S.; Saker, M.M. DNA fingerprints of three different forms of red palm weevil collected from Egyption date palm orchards. Arch. Phytopathol. Pl. Prot. 2002, 35, 299–306. [Google Scholar] [CrossRef]
- Al-Ayied, H.Y.; Alswailem, A.M.; Shair, O.; Al Jabr, A.M. Evaluation of phylogenetic between three phenotypically different forms of red date palm weevil Rhynchophorus ferrugineus Oliv. using PCR-based RAPD technique. Arch. Phytopathol. Plant. Prot. 2006, 39, 303–309. [Google Scholar] [CrossRef]
- Hussein, K.M.A. Biological, Ecological and Control Studies on Red Palm Weevil, Rhynchophorus ferrugineus in Sharkia and Ismailia Governorates. Master’s Thesis, Zagazig University, Zagazig, Egypt, 1998. [Google Scholar]
- Wattanapongsiri, A. A Revision of the Genera Rhynchophorus and Dynamis (Coleoptera: Curculionidae); Department of Agriculture Science Bulletin: Bangkok, Thailand, 1966; Volume 1, p. 328. [Google Scholar]
- Steel, R.; Torrie, J.; Dickey, D. Principles and Procedures of Statistics: A Biometrical Approach; McGraw-Hill: New York, NY, USA, 1997. [Google Scholar]
- Rohlf, F.J. NTSYSpc: Numerical Taxonomy and Multivariate Analysis System; Applied Biostatistics INC.: New York, NY, USA, 2000. [Google Scholar]
- Al Dhafer, H.M. Biological and Morphological Characteristics of Red Palm Weevil Rhynchophorus ferrugineus (Olivier) (Curculionidae: Coleoptera) in Saudi Arabia. Master’s Thesis, Plant Protection Department, College of Food and Agriculture Sciences, King Saudi University, Riyadh, Saudi Arabia, 1997. [Google Scholar]
- Paul, F.R.; Christina, D.H.; Hoddle, M.S.; Stouthamer, R. The Lesser of Two Weevils: Molecular-Genetics of Pest bPalm Weevil Populations Confirm Rhynchophorus vulneratus (Panzer 1798) as a Valid Species Distinct from R. ferrugineus (Olivier 1790), and Reveal the Global Extent of Both. PLoS ONE 2013, 8, e78379. [Google Scholar]
- Dutta, R.; Thakur, N.S.A.; Bag, T.K.; Anita, N.; Chandra, S. and Ngachan, S.VNew Record of Red Palm Weevil, Rhynchophorus ferrugineus (Coleoptera: Curculionidae) on Arecanut (Areca catechu) from Meghalaya, India. Fla. Entomol. 2010, 93, 446–448. [Google Scholar] [CrossRef]
- EPPO. Rhynchophorus ferrugineus and Rhynchophorus palmarum. OEPP/EPPO Bull. 2007, 37, 571–579. [Google Scholar] [CrossRef]
- Thomas, M.C. Giant Palm Weevils of the Genus Rhynchophorus (Coleoptera: Curculionidae) and Their Threat to Florida Palms; Pest Alert DACS-P-01682; Florida Department of Agriculture and Consumer Services, Division of Plant Industry: Gainesville, FL, USA, 2010; p. 2.
- Wahizatul1, A.A.; Abdul Rahman, A.R.; Chong, J.L.; Wong, A.S.Y. Scanning electron microscopy of the red palm weevil (RPW), Rhynchophorus ferrugineus Olivier (Coleoptera: Curculionidae): A new invasive pest of coconut palms in Terengganu. Malays. J. Microsc. 2012, 8, 148–152. [Google Scholar]
- AL- Ghufaili, M.; Jameel, A.; Al-Tamimi, T. Genetic Relationship among Some Wheat Genotypes Using Ten ISSR Markers. IOSR Journal of Pharmacy and Biological Sciences (IOSR-JPBS). J. Pharm. Biol. Sci. 2016, 12, 30–36. [Google Scholar]
- Nishat, S.; Hamim, I.; Khalil, I.; Ali, A.; Hossain, M.; Meah, B.; Islam, R. Genetic diversity of the bacterial wilt pathogen Ralstonia solanacearum using a RAPD marker. Comptes Rendus Biol. 2015, 338, 757–767. [Google Scholar] [CrossRef]
- Farooq, M.; Ali, J.; Petrescu-Mag, Z.; Hussain, F.V. Assessment of genetic distance among wheat genotypes through RAPD markers. Adv. Agric. Bot. Int. J. Bioflux Soc. 2012, 4, 31–35. [Google Scholar]
- Fadoul, E.; El Siddig, A.; El Hussein, A. Assessment of genetic diversity among Sudanese wheat cultivars using RAPD markers. Int. J. Curr. Sci. 2013, 6, E51–E57. [Google Scholar]
- Verma, A.; Singh, N.; Saresh, N.; Choudhary, P.; Sankanur, M.; Aggarwal, G.; Sharma, J. RAPD and ISSR markers for molecular characterization of Grewia optiva: An important fodder tree of north western Himalayas. Range Mgmt. Agrofor. 2015, 36, 26–32. [Google Scholar]
- Williams, G.; Kubelik, R.; Livak, J.; Rafaski, A.; Tingey, V. DNA polymorphisms amplified by arbitrary primers are useful as genetic markers. Nucleic Acids Res. 1990, 18, 6531–6535. [Google Scholar] [CrossRef] [PubMed]
- Tahir, A. Genetic Variability Evaluation A mong Iraqi Rice (Oryza sativa L) Varieties using RAPD Markers and Protein Profiling. Jordan J. Biol. Sci. 2014, 7, 13–18. [Google Scholar] [CrossRef][Green Version]
- Awad, N.; Allam, S.; Rizk, M.; Zaki, A. Fingerprinting and assessment of genetic variability of Varroa destructor in Egypt. J. Apic. Res. 2010, 49, 251–256. [Google Scholar] [CrossRef]
- Zhong, Y.K. The occurrence and countermeasures of Rhynchophorus ferrugineus (Olivier) in Huidong County. For. Sci. Technol. Guangdong Prov. 2007, 23, 46–48. [Google Scholar]
- Qin, W.Q.; Li, C.X.; Huang, C.S. Risk analysis of Rynchophorus ferrugineus Olivier (Coleoptera: Curculionidae) in China. Acta Agric. Jiangxi 2009, 21, 79–82. [Google Scholar]
Publisher’s Note: MDPI stays neutral with regard to jurisdictional claims in published maps and institutional affiliations. |
© 2022 by the authors. Licensee MDPI, Basel, Switzerland. This article is an open access article distributed under the terms and conditions of the Creative Commons Attribution (CC BY) license (https://creativecommons.org/licenses/by/4.0/).