Mechanism of Growth Inhibition of Human Cancer Cells by Conjugated Eicosapentaenoic Acid, an Inhibitor of DNA Polymerase and Topoisomerase
Abstract
:1. Introduction
2. Preparation of conjugated PUFA by alkaline treatment
3. DNA polymerase inhibition by normal and conjugated PUFA
3.1. DNA polymerase
3.2. DNA polymerase assay
3.3. Effect of normal and conjugated PUFA on DNA polymerase
4. DNA topoisomerase inhibition by normal and conjugated PUFA
4.1. DNA topoisomerase and DNA topoisomerase assay
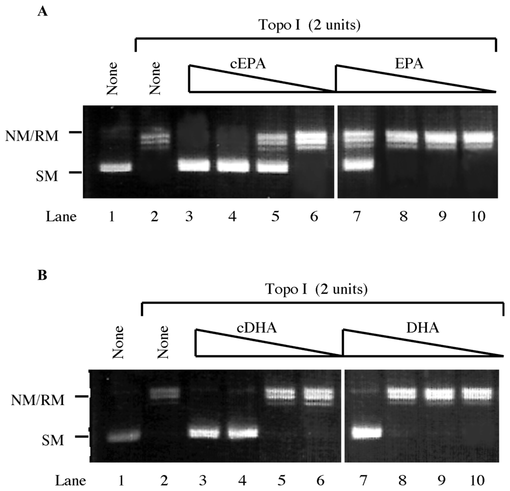
4.2. Effect of normal and conjugated PUFA on DNA topoisomerase
5. Influence of cEPA and EPA on the hyperchromicity of double-stranded DNA
6. Effects of EPA and cEPA on various pols and other DNA metabolic enzymes
7. Effects of cEPA on inhibition of human cancer cell growth
8. Effects on the cell cycle progression of cEPA
9. Effect on protein expression of checkpoint proteins by cEPA
10. Effects of cEPA on apoptosis
11. Discussion
12. Conclusion







| Enzyme | IC50 value | (μM) |
|---|---|---|
| EPA | cEPA | |
| --- Mammalian DNA polymerases --- | ||
| Calf DNA polymerase α | 32.1 ± 1.9 | 14.5 ± 0.9 |
| Rat DNA polymerase β | 88.5 ± 5.3 | 31.6 ± 1.9 |
| Human DNA polymerase γ | 23.9 ± 1.4 | 11.0 ± 0.7 |
| Human DNA polymerase δ | 39.2 ± 2.4 | 31.8 ± 2.0 |
| Human DNA polymerase ɛ | 35.0 ± 2.1 | 27.4 ± 1.6 |
| --- Plant DNA polymerases --- | ||
| Cauliflower DNA polymerase I (α like) | >100 | >100 |
| Cauliflower DNA polymerase II (β like) | >100 | >100 |
| --- Prokaryotic DNA polymerases --- | ||
| E. coli DNA polymerase I (Klenow fragment) | >100 | >100 |
| Taq DNA polymerase | >100 | >100 |
| T4 DNA polymerase | >100 | >100 |
| --- Other DNA metabolic enzymes --- | ||
| Calf RNA primase of DNA polymerase α | >100 | >100 |
| T7 RNA polymerase | >100 | >100 |
| T4 polynucleotide kinase | >100 | >100 |
| Bovine deoxyribonuclease I | >100 | >100 |
| Human DNA topoisomerase I | 20.0 ± 2.0 | 0.5 ± 0.1 |
| Human DNA topoisomerase II | 10.0 ± 1.0 | 2.5 ± 0.3 |
| Protein | NALM-6 cells | HL-60 cells |
|---|---|---|
| -- Cyclin -- | ||
| Cyclin A | → | ↓ |
| Cyclin B | ↓ | ↓ |
| Cyclin E | ↑↑ | ↑↑ |
| -- p53-upstream signaling pathway -- | ||
| RPA70 | ↑ | ↑ |
| ATR | ↑ | ↑ |
| Chk1 | → | → |
| Chek1-P (A) | ↑↑ | ↑↑ |
| Chk2 | → | → |
| Chek2-P (B) | ↑↑ | ↑↑ |
| -- p53-downstream signaling pathway -- | ||
| p53 | → | ND |
| p53-P (C) | ↑ | ND |
| p21 | ↑ | ↓ |
| Cdc25A | ↓ | ↓ |
Acknowledgements
References and Notes
- Kornberg, A.; Baker, T.A. DNA replication, 2nd Ed ed; W.D. Freeman and Co: New York, 1992; Volume Chapter 6, pp. 197–225. [Google Scholar]
- Wang, J.C. DNA topoisomerases. Annu. Rev. Biochem 1996, 65, 635–691. [Google Scholar]
- Mizushina, Y.; Yagi, H.; Tanaka, N.; Kurosawa, T.; Seto, H.; Katsumi, K.; Onoue, M.; Ishida, H.; Iseki, A.; Nara, T.; Morohashi, K.; Horie, T.; Onomura, Y.; Narusawa, M.; Aoyagi, N.; Takami, K.; Yamaoka, M.; Inoue, Y.; Matsukage, A.; Yoshida, S.; Sakaguchi, K. Screening of inhibitor of eukaryotic DNA polymerases produced by microorganisms. J. Antibiot. (Tokyo) 1996, 49, 491–492. [Google Scholar]
- Mizushina, Y.; Tanaka, N.; Yagi, H.; Kurosawa, T.; Onoue, M.; Seto, H.; Horie, T.; Aoyagi, N.; Yamaoka, M.; Matsukage, A.; Yoshida, S.; Sakaguchi, K. Fatty acids selectively inhibit eukaryotic DNA polymerase activities in vitro. Biochim. Biophys. Acta 1996, 1308, 256–262. [Google Scholar]
- Mizushina, Y.; Yoshida, S.; Matsukage, A.; Sakaguchi, K. The inhibitory action of fatty acids on DNA polymerase β. Biochim. Biophys. Acta 1997, 1336, 509–521. [Google Scholar]
- Mizushina, Y.; Sugawara, F.; Iida, A.; Sakaguchi, K. Structural homology between DNA binding sites of DNA polymerase β and DNA topoisomerase II. J. Mol. Biol 2000, 304, 385–395. [Google Scholar]
- Fernandez, E.; Chatenoud, L.; La Vecchia, C.; Negri, E.; Franceschi, S. Fish consumption and cancer risk. Am. J. Clin. Nutr 1999, 70, 85–90. [Google Scholar]
- Lindner, M.A. A fish oil diet inhibits colon cancer in mice. Nutr. Cancer 1991, 15, 1–11. [Google Scholar]
- Reddy, B.S.; Burill, C.; Rigotty, J. Effect of diets high in omega-3 and omega-6 fatty acids on initiation and postinitiation stages of colon carcinobenesis. Cancer Res 1991, 51, 487–491. [Google Scholar]
- Hirose, M.; Masuda, A.; Ito, N.; Kamano, K.; Okuyama, H. Effects of dietary perilla oil, soybean oil and safflower oil on 7,12-dimethylbenz(α) anthracene (DMBA) and 1,2-dimethylhydrazine (DMH)-induced mammary gland and colon carcinogenesi in female SD rats. Carcinogenesis 1990, 11, 731–735. [Google Scholar]
- Iigo, M.; Nakagawa, T.; Iwahori, Y.; Asamoto, M.; Yazawa, K.; Araki, E.; Tsuda, H. Inhibitory effects of docosahexaenoic acid on colon carcinoma 26 metastasis to the lung. Br. J. Cancer 1997, 75, 650–655. [Google Scholar]
- Iwamoto, S.; Senzaki, H.; Kiyozuka, Y.; Ogura, E.; Takada, H.; Hioki, K.; Tsubura, A. Effects of fatty acids on liver metastasis of ACL15 rat colon cancer cells. Nutr. Cancer 1998, 31, 143–150. [Google Scholar]
- Ha, Y.L.; Grimm, N.K.; Pariza, M.W. Anticarcinogens from fried ground beef: heat-altered derivatives of linoleic acid. Carcinogenesis 1987, 8, 1881–1887. [Google Scholar]
- Park, H.S.; Ryu, J.H.; Ha, Y.L.; Park, J.H. Dietary conjugated linoleic acid (CLA) induces apoptosis of colonic mucosa in 1,2-dimethylhydrazine-treated rats: a possible mechanism of the anticarcinogenic effect by CLA. Br. J. Nutr 2001, 86, 549–555. [Google Scholar]
- Shultz, T.D.; Chew, B.P.; Seaman, W.R.; Luedecke, L.O. Inhibitory effect of conjugated dienoic derivatives of linoleic acid and β-carotene on the in vitro growth of human cancer cells. Cancer Lett 1992, 63, 125–133. [Google Scholar]
- Kelly, G.S. Conjugated linoleic acid: a review. Alern. Med. Rev 2001, 6, 367–382. [Google Scholar]
- Lopez, A.; Gerwick, W.H. Two new icosapentaenoic acids from the temperate red seaweed Ptilota filicina. J. Agardh. Lipids 1987, 22, 190–194. [Google Scholar]
- Mikhailova, M.V.; Bemis, D.L.; Wise, M.L.; Gerwick, W.H.; Norris, J.N.; Jacobs, R.S. Structure and biosynthesis of novel conjugated polyene fatty acids from the marine green alga Anadyomene stellata. Lipids 1995, 30, 583–589. [Google Scholar]
- Association of Official Analytical Chemists, Acids (poly-unsaturated) in oil and fats. In Official Methods of Analysis of the Association of Official Analytical Chemists; Helrich, K. (Ed.) Association of Official Analytical Chemists: Arlington, 1990; pp. 960–963.
- Pitt, G.A.J.; Morton, R.A. Prog. Chem. Fats Other Lipids 1957, 4, 227–278.
- Friedberg, E.C.; Feaver, W.J.; Gerlach, V.L. The many faces of DNA polymerases: strategies for mutagenesis and for mutational avoidance. Proc. Natl. Acad. Sci. U.S.A 2000, 97, 5681–5683. [Google Scholar]
- Tamai, K.; Kojima, K.; Hanaichi, T.; Masaki, S.; Suzuki, M.; Umekawa, H.; Yoshida, S. Structural study of immunoaffinity-purified DNA polymerase α-DNA primase complex from calf thymus. Biochim. Biophys. Acta 1988, 950, 263–273. [Google Scholar]
- Date, T.; Yamaguchi, M.; Hirose, F.; Nishimoto, Y.; Tanihara, K.; Matsukage, A. Expression of active rat DNA polymerase β in Escherichia coli. Biochemistry 1988, 27, 2983–2990. [Google Scholar]
- Yonezawa, Y.; Kuriyama, I.; Fukuoh, A.; Muta, T.; Kang, D.; Takemura, M.; Kato, I.; Yoshida, H.; Mizushina, Y. Inhibitory effect of coenzyme Q on eukaryotic DNA polymerase γ and DNA topoisomerase II activities on the growth of a human cancer cell line. Cancer Sci 2006, 97, 716–723. [Google Scholar]
- Oshige, M.; Takeuchi, R.; Ruike, R.; Kuroda, K.; Sakaguchi, K. Subunit protein-affinity isolation of Drosophila DNA polymerase catalytic subunit. Protein Expr. Purif 2004, 35, 248–256. [Google Scholar]
- Sakaguchi, K.; Hotta, Y.; Stern, H. Chromatin-associated DNA polymerase activity in meiotic cells of lily and mouse. Cell Struct. Funct 1980, 5, 323–334. [Google Scholar]
- Ikegami, S.; Taguchi, T.; Ohashi, M.; Oguro, M.; Nagano, H.; Mano, Y. Aphidicolin prevents mitotic cell division by interfering with the activity of DNA polymerase-α. Nature 1978, 275, 458–460. [Google Scholar]
- Izuta, S.; Saneyoshi, M.; Sakurai, T.; Suzuki, M.; Kojima, K.; Yoshida, S. The 5′-triphosphates of 3′-azido-3′-deoxythymidine and 2′, 3′-dideoxynucleosides inhibit DNA polymerase γ by different mechanisms. Biochem. Biophys. Res. Commun 1991, 179, 776–783. [Google Scholar]
- Hsiang, Y.H.; Hertzberg, R.; Hecht, S.; Liu, L.F. Camptothecin induces protein-linked DNA breaks via mammalian DNA topoisomerase I. J. Biol. Chem 1985, 260, 14873–14878. [Google Scholar]
- Burden, D.A.; Osheroff, N. Mechanism of action of eukaryotic topoisomerase II and drugs targeted to the enzyme. Biochim. Biophys. Acta 1998, 1400, 139–154. [Google Scholar]
- Liu, L.F. DNA topoisomerase poisons as antitumor drugs. Annu. Rev. Biochem 1989, 58, 351–375. [Google Scholar]
- Chakraborty, A.K.; Majumder, H.K. Mode of action of pentavalent antimonials: specific inhibition of type I DNA topoisomerase ofLeishmania donovani. Biochem. Biophys. Res. Commun 1988, 152, 605–611. [Google Scholar]
- Ray, S.; Hazra, B.; Mittra, B.; Das, A.; Majumder, H.K. Diospyrin, a bisnaphthoquinone: a novel inhibitor of type I DNA topoisomerase ofLeishmania donovani. Mol. Pharmacol 1998, 54, 994–999. [Google Scholar]
- Mosmann, T. Rapid colorimetric assay for cellular growth and survival: application to proliferation and cytotoxicity assays. J. Immunol. Methods 1983, 65, 55–63. [Google Scholar]
- Murakami-Nakai, C.; Maeda, N.; Yonezawa, Y.; Kuriyama, I.; Kamisuki, S.; Takahashi, S.; Sugawara, F.; Yoshida, H.; Sakaguchi, K.; Mizushina, Y. The effects of dehydroaltenusin, a novel mammalian DNA polymerase α inhibitor, on cell proliferation and cell cycle progression. Biochim. Biophys. Acta 2004, 1674, 193–199. [Google Scholar]
- Nishida, K.; Seto, M.; Ishida, R. Different susceptibilities of postmitotic checkpoint-proficient and -deficient Balb/3T3 cells to ICRF-193, a catalytic inhibitor of DNA topoisomerase II. Jpn. J. Cancer Res 2001, 92, 193–202. [Google Scholar]
- Woo, R.A.; Poon, R.Y. Cyclin-dependent kinases and S phase control in mammalian cells. Cell Cycle 2003, 2, 316–324. [Google Scholar]
- Pines, J.; Hunter, T. Isolation of a human cyclin cDNA: evidence for cyclin mRNA and protein regulation in the cell cycle and for interaction with p34 cdc2. Cell 1989, 58, 833–846. [Google Scholar]
- Byun, T.S.; Pacek, M.; Yee, M.C.; Walter, J.C.; Cimprich, K.A. Functional uncoupling of MCM helicase and DNA polymerase activities activates the ATR-dependent checkpoint. Genes. Dev 2005, 19, 1040–1052. [Google Scholar]
- Rittling, S.R.; Brooks, K.M.; Cristofalo, V.J.; Baserga, R. Expression of cell cycle-dependent genes in young and senescent WI-38 fibroblasts. Proc. Natl. Acad. Sci. U.S.A 1986, 83, 3316–3320. [Google Scholar]
- Matsushime, H.; Ewen, M.E.; Strom, D.K.; Kato, J.Y.; Hanks, S.K.; Roussel, M.F.; Sherr, C.J. Identification and properties of a typecal catalytic subunit (p34PSK-J3/cdk4) for mammalian D type G1 cyclins. Cell 1992, 71, 323–334. [Google Scholar]
- Meyerson, M.; Harlow, E. Identification of G1 kinase activity for cdk6, a novel cyclin D partner. Mol. Cell. Biol 1994, 14, 2077–2086. [Google Scholar]
- Hunter, T.; Pines, J. Cyclins and cancer. II: Cyclin D and CDK inhibitors come of age. Cell 1994, 79, 573–582. [Google Scholar]
- Toyoshima, H.; Hunter, T. p27, a novel inhibitor of G1 cyclin-Cdk protein kinase activity, is related to p21. Cell 1994, 78, 67–74. [Google Scholar]
- Xiong, Y.; Hannon, G.J.; Zhang, H.; Casso, D.; Kobayashi, R.; Beach, D. p21 is a universal inhibitor of cyclin kinases. Nature 1993, 366, 701–704. [Google Scholar]
- Falck, J.; Mailand, N.; Syljuasen, R.G.; Bartek, J.; Lukas, J. The ATM-Chk2-Cdc25A checkpoint pathway guards against radioresistant DNA symtnesis. Nature 2001, 410, 842–847. [Google Scholar]
- Galaktionov, K.; Beach, D. Specific activation of cdc25 tyrosine phosphatase by B-type cyclins: evidence for multiple roles of mitotic cyclins. Cell 1991, 67, 1181–1194. [Google Scholar]
- Blomberg, I.; Hoffmann, I. Ectopic expression of Cdc25A accelerates the G(1)/S transition and leads to premature activation of cyclin E- and cyclin A-dependent kinases. Mol. Cell. Biol 1999, 19, 6183–6194. [Google Scholar]
- Sandhu, C.; Donovan, J.; Bhattacharya, N.; Stampfer, M.; Worland, P.; Slingerland, J. Reduction of Cdc25A contributes to cyclin E1-Cdk2 inhibition at senescence in human mammary epithelial cells. Oncogene 2000, 19, 5314–5323. [Google Scholar]
- Zou, L.; Elledge, S.J. Sensing DNA damage through ATRIP recognition of RPA-ssDNA complexes. Science 2003, 300, 1542–1548. [Google Scholar]
- Melo, J.; Toczyski, D. A unified view of the DNA-damage checkpoint. Curr. Opin. Cell Biol 2002, 14, 237–245. [Google Scholar]
- Yonezawa, Y.; Tsuzuki, T.; Eitsuka, T.; Miyazawa, T.; Hada, T.; Uryu, K.; Murakami-Nakai, C.; Ikawa, H.; Kuriyama, I.; Takemura, M.; Oshige, M.; Yoshida, H.; Sakaguchi, K.; Mizushina, Y. Inhibitory effect of conjugated eicosapentaenoic acid on human DNA topoisomerases I and II. Arch. Biochem. Biophys 2005, 435, 197–206. [Google Scholar]
- Yonezawa, Y.; Hada, T.; Uryu, K.; Tsuzuki, T.; Eitsuka, T.; Miyazawa, T.; Murakami-Nakai, C.; Yoshida, H.; Mizushina, Y. Inhibitory effect of conjugated eicosapentaenoic acid on mammalian DNA polymerase and topoisomerase activities and human cancer cell proliferation. Biochem. Pharmacol 2005, 70, 453–460. [Google Scholar]
- Yonezawa, Y.; Hada, T.; Uryu, K.; Tsuzuki, T.; Nakagawa, K.; Miyazawa, T.; Yoshida, H.; Mizushina, Y. Mechanism of cell cycle arrest and apoptosis induction by conjugated eicosapentaenoic acid, which is a mammalian DNA polymerase and topoisomerase inhibitor. Int. J. Oncol 2007, 30, 1197–1204. [Google Scholar]
- Sahara, H.; Hanashima, S.; Yamazaki, T.; Takahashi, S.; Sugawara, F.; Ohtani, S.; Ishikawa, M.; Mizushina, Y.; Ohta, K.; Shimozawa, K.; Gasa, S.; Jimbow, K.; Sakaguchi, K.; Sato, N.; Takahashi, N. Anti-tumor effect of chemically synthesized sulfolipids based on sea urchin’s natural sulfonoquinovosylmonoacylglycerols. Jpn. J. Cancer Res 2002, 93, 85–92. [Google Scholar]
- Sakaguchi, K.; Sugawara, F.; Mizushina, Y. Inhibitors of eukaryotic DNA polymerases. Seikagaku 2002, 74, 244–251. [Google Scholar]
© 2007 by MDPI Reproduction is permitted for noncommercial purposes.
Share and Cite
Yonezawa, Y.; Yoshida, H.; Mizushina, Y. Mechanism of Growth Inhibition of Human Cancer Cells by Conjugated Eicosapentaenoic Acid, an Inhibitor of DNA Polymerase and Topoisomerase. Int. J. Mol. Sci. 2007, 8, 1206-1224. https://doi.org/10.3390/i8121206
Yonezawa Y, Yoshida H, Mizushina Y. Mechanism of Growth Inhibition of Human Cancer Cells by Conjugated Eicosapentaenoic Acid, an Inhibitor of DNA Polymerase and Topoisomerase. International Journal of Molecular Sciences. 2007; 8(12):1206-1224. https://doi.org/10.3390/i8121206
Chicago/Turabian StyleYonezawa, Yuko, Hiromi Yoshida, and Yoshiyuki Mizushina. 2007. "Mechanism of Growth Inhibition of Human Cancer Cells by Conjugated Eicosapentaenoic Acid, an Inhibitor of DNA Polymerase and Topoisomerase" International Journal of Molecular Sciences 8, no. 12: 1206-1224. https://doi.org/10.3390/i8121206
APA StyleYonezawa, Y., Yoshida, H., & Mizushina, Y. (2007). Mechanism of Growth Inhibition of Human Cancer Cells by Conjugated Eicosapentaenoic Acid, an Inhibitor of DNA Polymerase and Topoisomerase. International Journal of Molecular Sciences, 8(12), 1206-1224. https://doi.org/10.3390/i8121206
