Expression of Myosin Light Chain Kinase in Kidney of Streptozotocin-Induced Diabetic Rats
Abstract
:1. Introduction
2. Materials and Methods
2.1 Animal and experiment design
2.2 Tissue sample and isolation.
2.3 Immunohistochemistry
2.4 Western blot analysis
2.5 Statistical analysis
3. Results
3.1 Experimental animal model
3.2 The general character
| Blood | Control | Diabetic | Diabetic + Insulin |
|---|---|---|---|
| Glucose (mM) | 6.49±0.79 | 27.7±9.28** | 8.75±2.56* ▲ |
| Body weight (g) | 367.33±26.73 | 156.50±10.13** | 354.67±31.94 ▲ |
| kidney weight (g) | 1.40±0.32 | 1.10±0.12** | 1.27±0. 25* |
| Urine pro (mg/24h) | 6.87±0.23 | 21.8±2.76** | 12.1±1.32 ▲ |
| Cr (µM) | 61.56±13.42 | 81.68±12.43** | 74.36±11.32* ▲ |
| BUN (mM) | 9.31±1.64 | 19.27±2.39** | 13.26±2.71* ▲ |
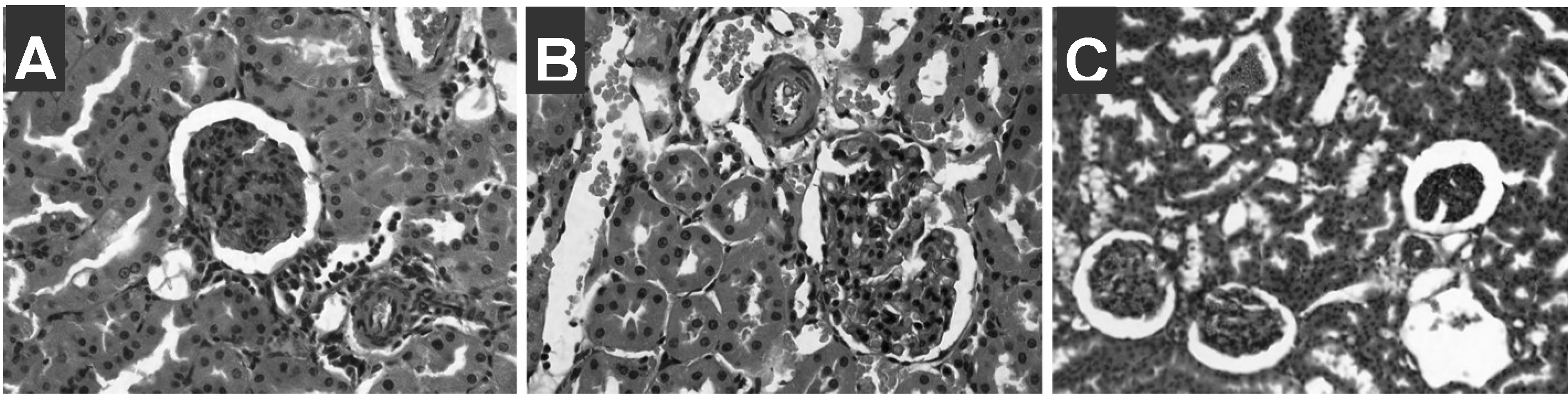
3.3 Tissue staining

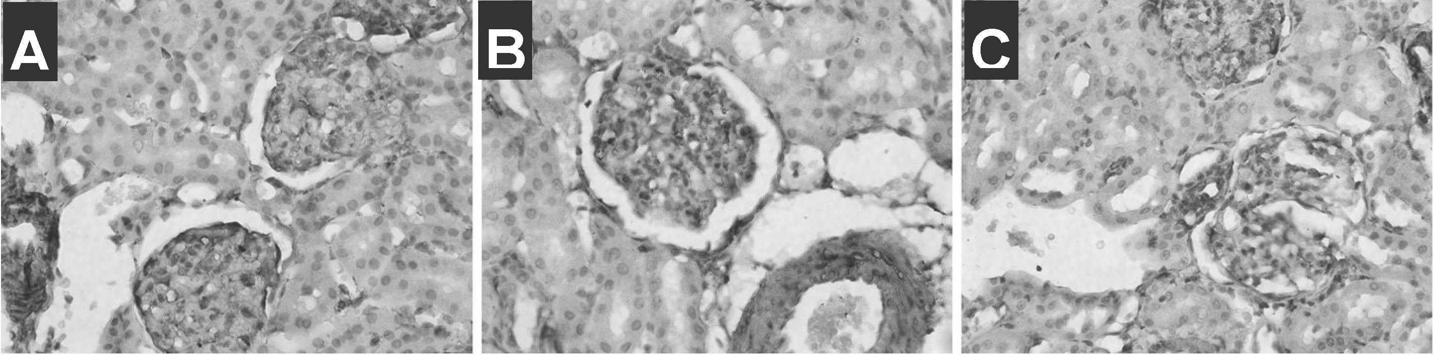
3.4 Immunohistochemistry examination

| Group | n | MLCK(absorbance) |
|---|---|---|
| Negative control | 6 | 13±7 |
| Control | 6 | 83±7 ** |
| Diabetic | 6 | 120±28 ** |
| Diabetic+ Insulin | 6 | 58±9 ** ▲ |
3.5 Western blot examination

4. Discussion
5. Conclusion
Acknowledgements
References and Notes
- Malhotra, A.; Sanghi, V. Regulation of contractile proteins in diabetic heart. Cardiovasc Res. 1997, 34, 34–40. [Google Scholar] [CrossRef]
- Tsao, T.S.; Stenbit, A.E.; Factor, SM.; Chen, W.; Rossetti, L.; Charron, M.J. Prevention of insulin resistance and diabetes in mice heterozygous for GLUT4 ablation by transgenic complementation of GLUT4 in skeletal muscle. Diabetes. 1999, 48, 775–782. [Google Scholar] [CrossRef]
- Voziyan, P.A.; Metz, T.O.; Baynes, J.W.; Hudson, B.G. A post-Amadori inhibitor pyridoxamine also inhibits chemical modification of proteins by scavenging carbonyl intermediates of carbohydrate and lipid degradation. J Biol Chem. 2002, 277, 3397–3403. [Google Scholar] [CrossRef]
- Feliers, D.; Duraisamy, S.; Faulkner, J.L.; Duch, J.; Lee, A.V.; Abboud, H.E. Activation of renal signaling pathways in db/db mice with type 2 diabetes. Kidney Int. 2001, 60, 495–504. [Google Scholar] [CrossRef]
- Gooch, J.L.; Tang, Y.; Ricono, J.M.; Abboud, H.E. Insulin-like growth factor-I induces renal cell hypertrophy via a calcineurin-dependent mechanism. J Biol Chem. 2001, 276, 42492–42500. [Google Scholar] [CrossRef]
- Reddy, M.A.; Thimmalapura, P.R.; Lanting, L.; Nadler, J.L.; Fatima, S.; Natarajan, R. The oxidized lipid and lipoxygenase product 12(S)-hydroxyeicosatetraenoic acid induces hypertrophy and fibronectin transcription in vascular smooth muscle cells via p38 MAPK and cAMP response element-binding protein activation. Mediation of angiotensin II effects. J Biol Chem. 2002, 277, 9920–9928. [Google Scholar] [CrossRef]
- Natarajan, R.; Gerrity, R.G.; Gu, J.L.; Lanting, L.; Thomas, L.; Nadler, J.L. Role of 12-lipoxygenase and oxidant stress in hyperglycaemia-induced acceleration of atherosclerosis in a diabetic pig model. Diabetologia. 2002, 45, 125–133. [Google Scholar] [CrossRef]
- Chen, S.; Cohen, M.P.; Lautenslager, G.T.; Shearman, C.W.; Ziyadeh, F.N. Glycated albumin stimulates TGF-beta 1 production and protein kinase C activity in glomerular endothelial cells. Kidney Int. 2001, 59, 673–681. [Google Scholar] [CrossRef]
- Sun, L.; Pan, X.; Wada, J.; Haas, C.S.; Wuthrich, R.P.; Danesh, F.R. Isolation and functional analysis of mouse UbA52 gene and its relevance to diabetic nephropathy. J Biol Chem. 2002, 277, 29953–29962. [Google Scholar]
- Kondo, T.; Kahn, C.R. Altered insulin signaling in retinal tissue in diabetic states. J Biol Chem. 2004, 279, 37997–38006. [Google Scholar] [CrossRef]
- Yu, P.K.; Yu, D.Y.; Cringle, S.J. Endothelial F-actin cytoskeleton in the retinal vasculature of normal and diabetic rats. Curr Eye Res. 2005, 30, 279–290. [Google Scholar] [CrossRef]
- Nair, K.S. Aging muscle. Am J Clin Nutr. 2005, 81, 953–963. [Google Scholar]
- Isotani, E.; Zhi, G.; Lau, K.S.; Huang, J.; Mizuno, Y.; Persechini, A. Real-time evaluation of myosin light chain kinase activation in smooth muscle tissues from a transgenic calmodulin-biosensor mouse. Proc Natl Acad Sci. 2004, 101, 6279–6284. [Google Scholar] [CrossRef]
- Smith, L.; Su, X.; Lin, P.; Zhi, G.; Stull, J.T. Identification of a novel actin binding motif in smooth muscle myosin light chain kinase. J Biol Chem. 1999, 274, 29433–29438. [Google Scholar] [CrossRef]
- Klingenberg, D.; Gunduz, D.; Hartel, F.; Bindewald, K.; Schafer, M.; Piper, H.M. MEK/MAPK as a signaling element in ATP control of endothelial myosin light chain. Am J Physiol Cell Physiol. 2004, 286, 807–812. [Google Scholar] [CrossRef]
- Tran, Q.K.; Watanabe, H.; Le, H.Y.; Pan, L.; Seto, M.; Takeuchi, K. Myosin light chain kinase regulates capacitative ca(2+) entry in human monocytes/macrophages. Arterioscler. Thromb Vasc Biol. 2001, 21, 509–515. [Google Scholar] [CrossRef]
- Kim, Y.; Chang, S. Modulation of actomyosin contractility by myosin light chain phosphorylation/dephosphorylation through Rho GTPases signaling specifies axon formation in neurons. Biochem Biophys Res Commun. 2004, 318, 579–587. [Google Scholar] [CrossRef]
- Deng, J.T.; Lierop, J.E.; Sutherland, C.; Walsh, M.P. Ca2+-independent smooth muscle contraction. a novel function for integrin-linked kinase. J Biol Chem. 2001, 276, 16365–16373. [Google Scholar] [CrossRef]
- Tubman, L.A.; MacIntosh, B.R.; Maki, W.A. Myosin light chain phosphorylation and posttetanic potentiation in fatigued skeletal muscle. Pflugers Arch. 1996, 431, 882–887. [Google Scholar]
- Zhou, H.; Murthy, K.S. Distinctive G protein-dependent signaling in smooth muscle by sphingosine 1-phosphate receptors S1P1 and S1P2. Am J Physiol Cell Physiol. 2004, 286, 1130–1138. [Google Scholar] [CrossRef]
- Wadgaonkar, R.; Nurmukhambetova, S.; Zaiman, A.L.; Garciam, J.G. Mutation analysis of the non-muscle myosin light chain kinase (MLCK) deletion constructs on CV1 fibroblast contractile activity and proliferation. J Cell Biochem. 2003, 88, 623–634. [Google Scholar] [CrossRef]
- Goeckeler, Z.M.; Masaracchia, R.A.; Zeng, Q.; Chew, T.L.; Gallagher, P.; Wysolmerski, R.B. Phosphorylation of myosin light chain kinase by p21-activated kinase PAK2. J Biol Chem. 2000, 275, 18366–18374. [Google Scholar] [CrossRef]
- Makino, H.; Kashihara, N.; Sugiyama, H.; Kanao, K.; Sekikawa, T.; Okamoto, K.; Maeshima, Y.; Ota, Z.; Nagai, R. Phenotypic modulation of the mesangium reflected by contractile proteins in diabetes. Diabetes 1996, 45, 488–495. [Google Scholar] [CrossRef]
- Ichinose, K.; Maeshima, Y.; Yamamoto, Y.; Kitayama, H.; Takazawa, Y.; Hirokoshi, K. Antiangiogenic endostatin Peptide ameliorates renal alterations in the early stage of a type 1 diabetic nephropathy model. Diabetes. 2005, 54, 2891–2903. [Google Scholar] [CrossRef]
- Adhikary, L.; Chow, F.; Nikolic-Paterson, D.J.; Stambe, C.; Dowling, J.; Atkins, R.C. Abnormal p38 mitogen-activated protein kinase signalling in human and experimental diabetic nephropathy. Diabetologia. 2004, 47, 1210–1222. [Google Scholar]
- Huang, C.; Jacobson, K.; Schaller, M.D. MAP kinases and cell migration. J Cell Sci. 2004, 117, 4619–4628. [Google Scholar] [CrossRef]
- Adachi, T.; Stafford, S.; Kayaba, H.; Chihara, J.; Alam, R. Myosin light chain kinase mediates eosinophil chemotaxis in a mitogen-activated protein kinase-dependent manner. J Allergy Clin Immunol. 2003, 11, 13–116. [Google Scholar]
- Deng, M.; Williams, C.J.; Schultz, R.M. Role of MAP kinase and myosin light chain kinase in chromosome-induced development of mouse egg polarity. Dev Biol. 2005, 278, 358–366. [Google Scholar] [CrossRef]
© 2006 by MDPI Reproduction is permitted for noncommercial purposes.
Share and Cite
Zhu, H.; Zhang, X.; Zuo, L.; Zhou, Q.; Gui, S.; Wei, W.; Wang, Y. Expression of Myosin Light Chain Kinase in Kidney of Streptozotocin-Induced Diabetic Rats. Int. J. Mol. Sci. 2006, 7, 510-518. https://doi.org/10.3390/i7110510
Zhu H, Zhang X, Zuo L, Zhou Q, Gui S, Wei W, Wang Y. Expression of Myosin Light Chain Kinase in Kidney of Streptozotocin-Induced Diabetic Rats. International Journal of Molecular Sciences. 2006; 7(11):510-518. https://doi.org/10.3390/i7110510
Chicago/Turabian StyleZhu, Huaqing, Xiaolin Zhang, Li Zuo, Qing Zhou, Shuyu Gui, Wei Wei, and Yuan Wang. 2006. "Expression of Myosin Light Chain Kinase in Kidney of Streptozotocin-Induced Diabetic Rats" International Journal of Molecular Sciences 7, no. 11: 510-518. https://doi.org/10.3390/i7110510
APA StyleZhu, H., Zhang, X., Zuo, L., Zhou, Q., Gui, S., Wei, W., & Wang, Y. (2006). Expression of Myosin Light Chain Kinase in Kidney of Streptozotocin-Induced Diabetic Rats. International Journal of Molecular Sciences, 7(11), 510-518. https://doi.org/10.3390/i7110510
