Renoprotective Potential of Nateglinide in an Acute Kidney Injury Model
Abstract
1. Introduction
2. Results
2.1. Effects of Nateglinide on Renal Function Markers
2.2. Effects of Nateglinide on Inflammatory Cytokines
2.3. Effects of Nateglinide on Oxidative Stress Parameters
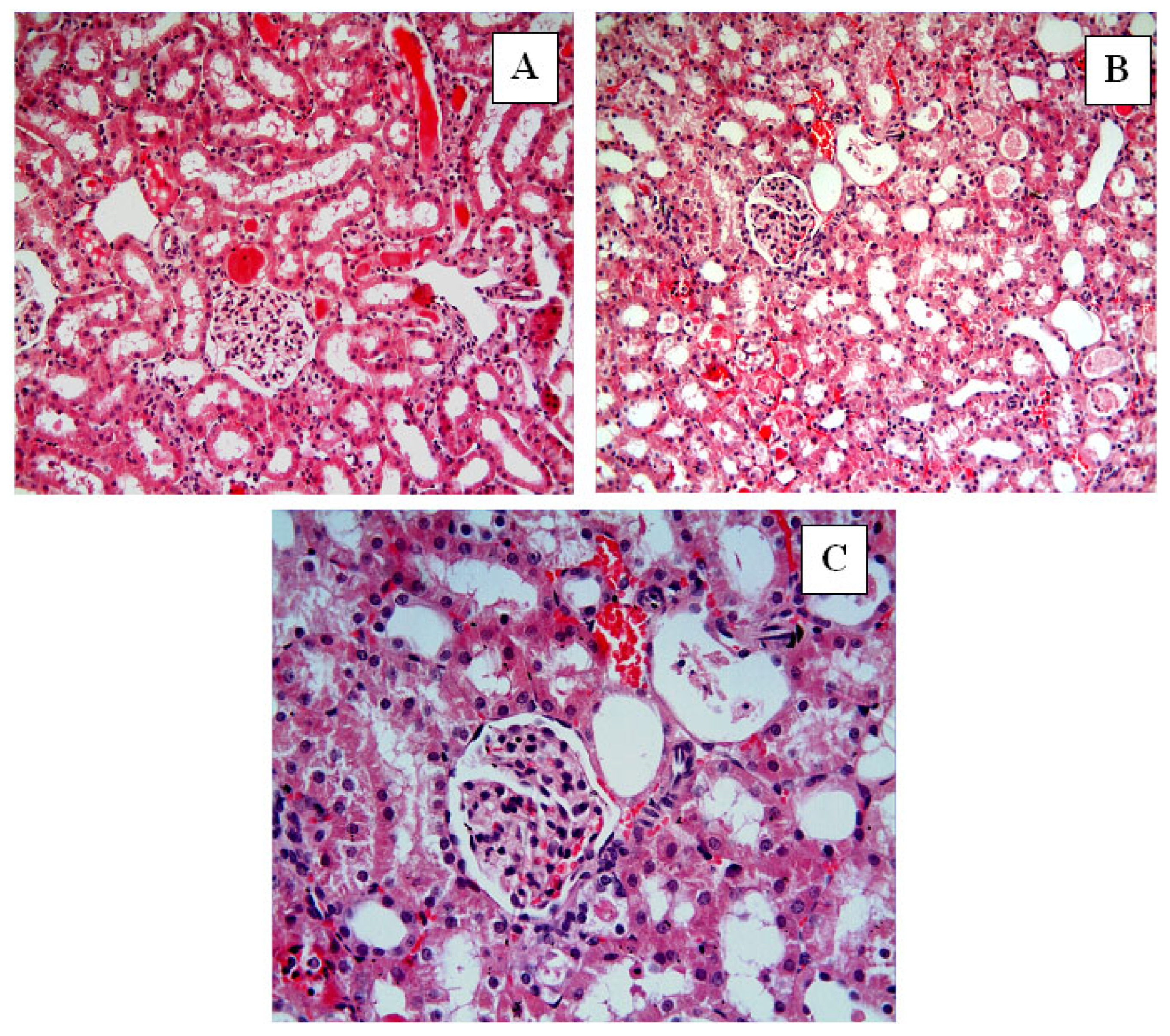
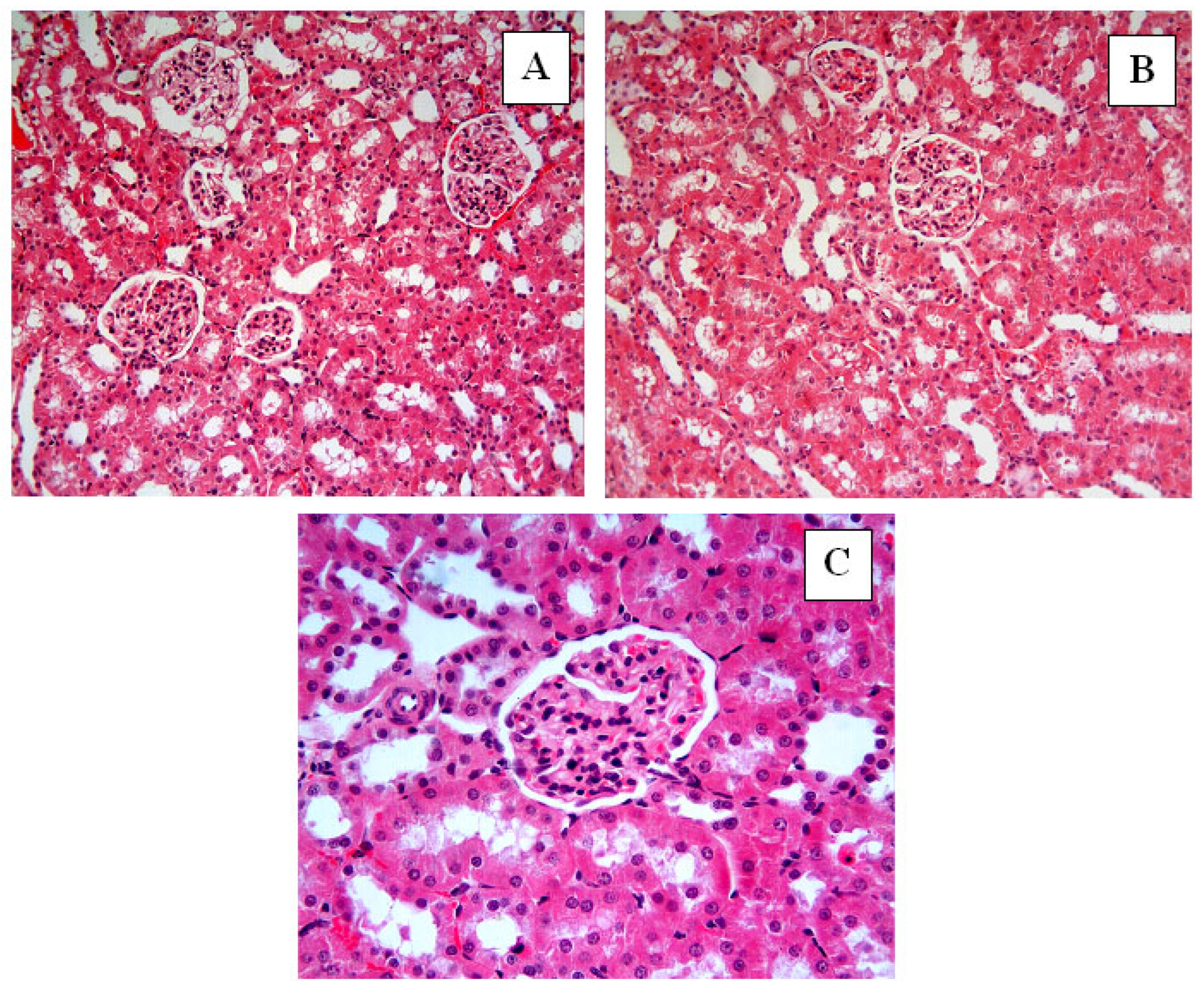
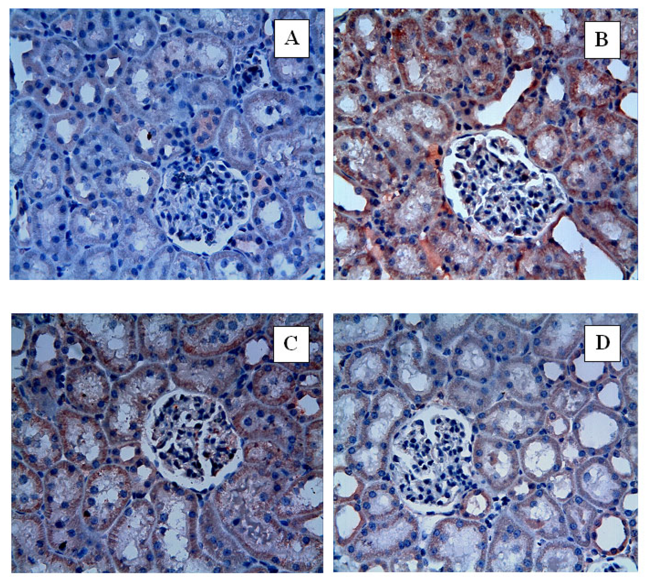
2.4. Histopathological and Immunohistochemical Findings
3. Discussion
4. Materials and Methods
4.1. Experimental Animals
4.2. Ethical Approval and Animal Welfare
4.3. Experimental Procedure and Modeling
Nateglinide Source and Preparation
4.4. Biochemical Analyses
4.4.1. Blood Urea Nitrogen and Creatinine
4.4.2. Inflammatory Markers
4.4.3. Superoxide Dismutase
4.4.4. Catalase
4.4.5. Glutathione
4.4.6. Thiobarbituric Acid Reactive Substance Levels
4.4.7. Protein Measurement
4.5. Histological and Immunohistochemical Analyses
4.6. Statistical Analyses
5. Conclusions
6. Limitations
Author Contributions
Funding
Institutional Review Board Statement
Informed Consent Statement
Data Availability Statement
Acknowledgments
Conflicts of Interest
Abbreviations
| AKI | Acute kidney injury |
| BUN | Blood urea nitrogen |
| CAT | Catalase |
| GSH | Glutathione |
| H&E | Hematoxylin and eosin |
| I/R | Ischemia/reperfusion |
| IL-1β | Interleukin-1 beta |
| TBARS | Thiobarbituric acid reactive substances |
| Nat | Nateglinide |
| NBT | Nitro blue tetrazolium |
| PBS | Phosphate-buffered saline |
| ROS | Reactive oxygen species |
| SOD | Superoxide dismutase |
| TNF-α | Tumor necrosis factor-alpha |
References
- Kellum, J.A.; Romagnani, P.; Ashuntantang, G.; Ronco, C.; Zarbock, A.; Anders, H.J. Acute kidney injury. Nat. Rev. Dis. Primers 2021, 7, 52. [Google Scholar] [CrossRef]
- Hoste, E.A.J.; Kellum, J.A.; Selby, N.M.; Zarbock, A.; Palevsky, P.M.; Bagshaw, S.M.; Goldstein, S.L.; Cerdá, J.; Chawla, L.S. Global epidemiology and outcomes of acute kidney injury. Nat. Rev. Nephrol. 2018, 14, 607–625. [Google Scholar] [CrossRef] [PubMed]
- Feng, Z.; Cao, X.; Zhao, C.; Niu, J.; Yan, Y.; Shi, T.; Hao, J.; Zheng, X. Serum CIRP increases the risk of acute kidney injury after cardiac surgery. Front. Med. 2023, 10, 1258622. [Google Scholar] [CrossRef]
- Hou, Y.; Lin, S.; Xia, J.; Zhang, Y.; Yin, Y.; Huang, M.; Xu, Y.; Yang, W.; Zhu, Y. Alleviation of ischemia-reperfusion induced renal injury by chemically modified SOD2 mRNA delivered via lipid nanoparticles. Mol. Ther. Nucleic Acids 2023, 34, 102067. [Google Scholar] [CrossRef]
- Legrand, M.; Bagshaw, S.M.; Bhatraju, P.K.; Bihorac, A.; Caniglia, E.; Khanna, A.K.; Kellum, J.A.; Koyner, J.; Harhay, M.O.; Zampieri, F.G.; et al. Sepsis-associated acute kidney injury: Recent advances in enrichment strategies, sub-phenotyping and clinical trials. Crit. Care 2024, 28, 92. [Google Scholar] [CrossRef]
- Nørgård, M.; Svenningsen, P. Acute Kidney Injury by Ischemia/Reperfusion and Extracellular Vesicles. Int. J. Mol. Sci. 2023, 24, 15312. [Google Scholar] [CrossRef] [PubMed]
- Kalogeris, T.; Baines, C.P.; Krenz, M.; Korthuis, R.J. Cell biology of ischemia/reperfusion injury. Int. Rev. Cell Mol. Biol. 2012, 298, 229–317. [Google Scholar]
- Bonventre, J.V.; Yang, L. Cellular pathophysiology of ischemic acute kidney injury. J. Clin. Investig. 2011, 121, 4210–4221. [Google Scholar] [CrossRef] [PubMed]
- Zhang, M.; Liu, Q.; Meng, H.; Duan, H.; Liu, X.; Wu, J.; Gao, F.; Wang, S.; Tan, R.; Yuan, J. Ischemia-reperfusion injury: Molecular mechanisms and therapeutic targets. Signal Transduct. Target. Ther. 2024, 9, 12. [Google Scholar] [CrossRef]
- Kinsey, G.R.; Li, L.; Okusa, M.D. Inflammation in acute kidney injury. Nephron Exp. Nephrol. 2008, 109, e102–e107. [Google Scholar] [CrossRef]
- Kinsey, G.R.; Okusa, M.D. Pathogenesis of acute kidney injury: Foundation for clinical practice. Am. J. Kidney Dis. 2011, 58, 291–301. [Google Scholar] [CrossRef]
- McWilliam, S.J.; Wright, R.D.; Welsh, G.I.; Tuffin, J.; Budge, K.L.; Swan, L.; Wilm, T.; Martinas, I.R.; Littlewood, J.; Oni, L. The complex interplay between kidney injury and inflammation. Clin. Kidney J. 2021, 14, 780–788. [Google Scholar] [CrossRef]
- Scheen, A.J. Drug-drug and food-drug pharmacokinetic interactions with new insulinotropic agents repaglinide and nateglinide. Clin. Pharmacokinet. 2007, 46, 93–108. [Google Scholar] [CrossRef]
- Dunn, C.J.; Faulds, D. Nateglinide. Drugs 2000, 60, 607–615; discussion 616–617. [Google Scholar] [CrossRef]
- McLeod, J.F. Clinical pharmacokinetics of nateglinide: A rapidly-absorbed, short-acting insulinotropic agent. Clin. Pharmacokinet. 2004, 43, 97–120. [Google Scholar] [CrossRef]
- Hu, S.; Boettcher, B.R.; Dunning, B.E. The mechanisms underlying the unique pharmacodynamics of nateglinide. Diabetologia 2003, 46, M37–M43. [Google Scholar] [CrossRef]
- Wang, L.; Guo, L.; Zhang, L.; Zhou, Y.; He, Q.; Zhang, Z.; Wang, M. Effects of glucose load and nateglinide intervention on endothelial function and oxidative stress. J. Diabetes Res. 2013, 2013, 849295. [Google Scholar] [CrossRef] [PubMed]
- Wu, Y.; Zhang, M.; Liu, R.; Zhao, C. Oxidative Stress-Activated NHE1 Is Involved in High Glucose-Induced Apoptosis in Renal Tubular Epithelial Cells. Yonsei Med. J. 2016, 57, 1252–1259. [Google Scholar] [CrossRef] [PubMed]
- Walker, L.M.; York, J.L.; Imam, S.Z.; Ali, S.F.; Muldrew, K.L.; Mayeux, P.R. Oxidative stress and reactive nitrogen species generation during renal ischemia. Toxicol. Sci. 2001, 63, 143–148. [Google Scholar] [CrossRef] [PubMed]
- Ahmadvand, H.; Mahdavifard, S. Protective Effect of Thioctic Acid on Renal Ischemia-reperfusion Injury in Rat. Int. J. Prev. Med. 2019, 10, 176. [Google Scholar] [CrossRef]
- Saad, M.A.E.; Fahmy, M.I.M.; Al-Shorbagy, M.; Assaf, N.; Hegazy, A.A.E.; El-Yamany, M.F. Nateglinide Exerts Neuroprotective Effects via Downregulation of HIF-1α/TIM-3 Inflammatory Pathway and Promotion of Caveolin-1 Expression in the Rat’s Hippocampus Subjected to Focal Cerebral Ischemia/Reperfusion Injury. Inflammation 2020, 43, 401–416. [Google Scholar] [CrossRef]
- Williams, P.; Lopez, H.; Britt, D.; Chan, C.; Ezrin, A.; Hottendorf, R. Characterization of renal ischemia-reperfusion injury in rats. J. Pharmacol. Toxicol. Methods 1997, 37, 1–7. [Google Scholar] [CrossRef]
- Bayoumi, A.A.; Ahmad, E.A.; Ibrahim, I.; Mahmoud, M.F.; Elbatreek, M.H. Inhibition of both NOX and TNF-α exerts substantial renoprotective effects in renal ischemia reperfusion injury rat model. Eur. J. Pharmacol. 2024, 970, 176507. [Google Scholar] [CrossRef]
- El-Aziz Fathy, E.A.; Abdel-Gaber, S.A.; Gaber Ibrahim, M.F.; Thabet, K.; Waz, S. Downregulation of IL-1β/p38 mitogen activated protein kinase pathway by diacerein protects against kidney ischemia/reperfusion injury in rats. Cytokine 2024, 176, 156511. [Google Scholar] [CrossRef]
- Eltzschig, H.K.; Eckle, T. Ischemia and reperfusion--from mechanism to translation. Nat. Med. 2011, 17, 1391–1401. [Google Scholar] [CrossRef]
- He, Z.; Tang, H.; You, X.; Huang, K.; Dhinakar, A.; Kang, Y.; Yu, Q.; Wu, J. BAPTA-AM Nanoparticle for the Curing of Acute Kidney Injury Induced by Ischemia/Reperfusion. J. Biomed. Nanotechnol. 2018, 14, 868–883. [Google Scholar] [CrossRef]
- Cakir, M.; Polat, A.; Tekin, S.; Vardi, N.; Taslidere, E.; Rumeysa Duran, Z.; Tanbek, K. The effect of dexmedetomidine against oxidative and tubular damage induced by renal ischemia reperfusion in rats. Ren. Fail. 2015, 37, 704–708. [Google Scholar] [CrossRef]
- Sener, G.; Sehirli, O.; Velioğlu-Oğünç, A.; Cetinel, S.; Gedik, N.; Caner, M.; Sakarcan, A.; Yeğen, B.C. Montelukast protects against renal ischemia/reperfusion injury in rats. Pharmacol. Res. 2006, 54, 65–71. [Google Scholar] [CrossRef] [PubMed]
- Eygi, B.; Gokalp, O.; Kiray, M.; Iscan, S.; Gokalp, G.; Demirbas, B.; Yesilkaya, N.; Iner, H.; Gür, M.S.; Besir, Y.; et al. Direct kidney injury or lower extremity ischemia induced indirect kidney injury: Which one is more harmful for kidneys? Vascular 2021, 29, 461–467. [Google Scholar] [CrossRef] [PubMed]
- Korkmaz, A.; Kolankaya, D. Protective effect of rutin on the ischemia/reperfusion induced damage in rat kidney. J. Surg. Res. 2010, 164, 309–315. [Google Scholar] [CrossRef] [PubMed]
- Cakir, M.; Duzova, H.; Tekin, S.; Taslıdere, E.; Kaya, G.B.; Cigremis, Y.; Ozgocer, T.; Yologlu, S. ACA, an inhibitor phospholipases A2 and transient receptor potential melastatin-2 channels, attenuates okadaic acid induced neurodegeneration in rats. Life Sci. 2017, 176, 10–20. [Google Scholar] [CrossRef]
- Yang, F.; Huang, P.; Shi, L.; Liu, F.; Tang, A.; Xu, S. Phoenixin 14 Inhibits High-Fat Diet-Induced Non-Alcoholic Fatty Liver Disease in Experimental Mice. Drug Des. Dev. Ther. 2020, 14, 3865–3874. [Google Scholar] [CrossRef]
- Çakır, M.; Tekin, S.; Doğanyiğit, Z.; Çakan, P.; Kaymak, E. The protective effect of cannabinoid type 2 receptor activation on renal ischemia–reperfusion injury. Mol. Cell. Biochem. 2019, 462, 123–132. [Google Scholar] [CrossRef]
- Çakır, M.; Aydın, A.; Fırat, S.; Şekerci, G.; Bircan, B.; Öz, S. Protective effect of transient receptor potential ankyrin 1 inhibition on renal ischemia reperfusion injury in rats. J. Biochem. Mol. Toxicol. 2025, 39, e70132. [Google Scholar] [CrossRef] [PubMed]
- Ikenoue, T.; Okazaki, K.; Fujitani, S.; Tsuchiya, Y.; Akiyoshi, M.; Maki, T.; Kondo, N. Effect of a new hypoglycemic agent, A-4166 [(-)-N-(trans-4-isopropylcyclohexanecarbonyl)-D-phenylalanine], on postprandial blood glucose excursion: Comparison with voglibose and glibenclamide. Biol. Pharm. Bull. 1997, 20, 354–359. [Google Scholar] [CrossRef]
- Öz, S.; Bahar, M.R.; Şekerci, G.; Taşlıdere, A.; Tekin, S. Protective Effects of Phoenixin-14 Administration Against Renal Ischemia/Reperfusion Injury in Rats. J. Biochem. Mol. Toxicol. 2025, 39, e70200. [Google Scholar] [CrossRef]
- Sun, Y.; Oberley, L.W.; Li, Y. A simple method for clinical assay of superoxide dismutase. Clin. Chem. 1988, 34, 497–500. [Google Scholar] [CrossRef]
- Aebi, H. Catalase in vitro. Methods Enzym. 1984, 105, 121–126. [Google Scholar]
- Ellman, G.L. Tissue sulfhydryl groups. Arch. Biochem. Biophys. 1959, 82, 70–77. [Google Scholar] [CrossRef] [PubMed]
- Mihara, M.; Uchiyama, M. Determination of malonaldehyde precursor in tissues by thiobarbituric acid test. Anal. Biochem. 1978, 86, 271–278. [Google Scholar] [CrossRef] [PubMed]
- Lowry, O.H.; Rosebrough, N.J.; Farr, A.L.; Randall, R.J. Protein measurement with the Folin phenol reagent. J. Biol. Chem. 1951, 193, 265–275. [Google Scholar] [CrossRef]
- Çakır, M.; Tekin, S.; Okan, A.; Çakan, P.; Doğanyiğit, Z. The ameliorating effect of cannabinoid type 2 receptor activation on brain, lung, liver and heart damage in cecal ligation and puncture-induced sepsis model in rats. Int. Immunopharmacol. 2020, 78, 105978. [Google Scholar] [CrossRef] [PubMed]









| Groups | Histopathological Score (Med (Min–Max)) |
|---|---|
| Control | (1 (0–2)) a |
| I/R | (2 (1–3)) b |
| I/R + Nat 50 | (2 (1–3)) c |
| I/R + Nat 100 | (1 (0–3)) d |
| Groups | Staining Score (Med (Min–Max)) |
|---|---|
| Control | (1 (0–2)) a |
| I/R | (3 (1–3)) b |
| I/R + Nat 50 | (2 (1–3)) c |
| I/R + Nat 100 | (2 (1–3)) c |
Disclaimer/Publisher’s Note: The statements, opinions and data contained in all publications are solely those of the individual author(s) and contributor(s) and not of MDPI and/or the editor(s). MDPI and/or the editor(s) disclaim responsibility for any injury to people or property resulting from any ideas, methods, instructions or products referred to in the content. |
© 2026 by the authors. Licensee MDPI, Basel, Switzerland. This article is an open access article distributed under the terms and conditions of the Creative Commons Attribution (CC BY) license.
Share and Cite
Ilıkça, S.; Öz, S.; Şekerci, G.; Taşlıdere, A.; Tekin, S. Renoprotective Potential of Nateglinide in an Acute Kidney Injury Model. Int. J. Mol. Sci. 2026, 27, 3021. https://doi.org/10.3390/ijms27073021
Ilıkça S, Öz S, Şekerci G, Taşlıdere A, Tekin S. Renoprotective Potential of Nateglinide in an Acute Kidney Injury Model. International Journal of Molecular Sciences. 2026; 27(7):3021. https://doi.org/10.3390/ijms27073021
Chicago/Turabian StyleIlıkça, Senanur, Samet Öz, Güldeniz Şekerci, Aslı Taşlıdere, and Suat Tekin. 2026. "Renoprotective Potential of Nateglinide in an Acute Kidney Injury Model" International Journal of Molecular Sciences 27, no. 7: 3021. https://doi.org/10.3390/ijms27073021
APA StyleIlıkça, S., Öz, S., Şekerci, G., Taşlıdere, A., & Tekin, S. (2026). Renoprotective Potential of Nateglinide in an Acute Kidney Injury Model. International Journal of Molecular Sciences, 27(7), 3021. https://doi.org/10.3390/ijms27073021
