IL-17 Cytokines Induce IκBζ in Dermal Fibroblasts to Promote Pro-Inflammatory Gene Expression in Psoriasis
Abstract
1. Introduction
2. Results
2.1. IL-17A and IL-17F Together with TNF Synergistically Induce NFKBIZ and IκBζ in Dermal Fibroblasts
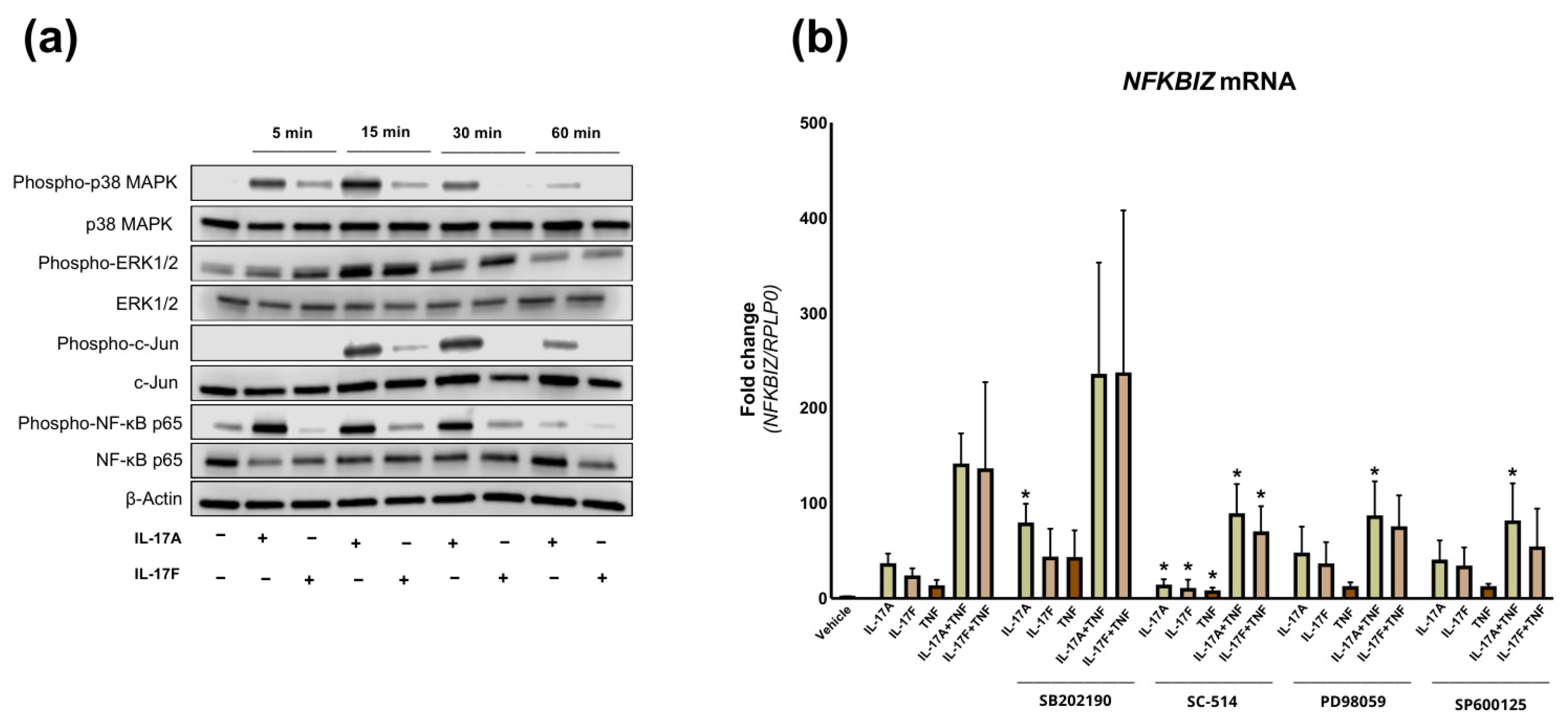
2.2. NF-κB-Dependent Mechanism Mediates the Induction of NFKBIZ in Dermal Fibroblasts
2.3. NFKBIZ Knockdown Attenuates Cytokine-Induced Expression of Inflammatory Mediators in Dermal Fibroblasts
2.4. CosMx Spatial Molecular Imaging Confirms NFKBIZ Expression in Keratinocytes and Identifies Its Expression in Dermal Fibroblasts Within Psoriatic Lesions
3. Discussion
4. Materials and Methods
4.1. Cell Cultures
4.2. siRNA Transfection
4.3. RNA Isolation
4.4. Quantitative Polymerase Chain Reaction
4.5. Protein Isolation
4.6. Western Blotting
4.7. Spatial Transcriptomics
4.8. Statistical Analysis
Supplementary Materials
Author Contributions
Funding
Institutional Review Board Statement
Informed Consent Statement
Data Availability Statement
Acknowledgments
Conflicts of Interest
Abbreviations
| IκBζ | Inhibitor of NF-κB zeta |
| IL | Interleukin |
| TNF | Tumor Necrosis Factor |
| MAPK | Mitogen-Activated Protein Kinase |
| NF-κB | Nuclear Factor kappa B |
| scRNA-seq | Single-cell RNA sequencing |
| DMEM | Dulbecco’s Modified Eagle Medium |
| FBS | Fetal Bovine Serum |
| PBS | Phosphate-Buffered Saline |
| BSA | Bovine Serum Albumin |
| JNK | c-Jun N-terminal Kinase |
| ERK | Extracellular Signal-Regulated Kinase |
| siRNA | Small Interfering RNA |
| qPCR | Quantitative Polymerase Chain Reaction |
| HRP | Horseradish Peroxidase |
| ECL | Enhanced Chemiluminescence |
| LS | Lesional Skin |
| NL | Non-Lesional Skin |
| FFPE | Formalin-Fixed Paraffin-Embedded |
| TMA | Tissue Microarray |
| SMI | Spatial Molecular Imager |
| PCA | Principal Component Analysis |
| UMAP | Uniform Manifold Approximation and Projection |
| SD | Standard Deviation |
References
- Johansen, C.; Mose, M.; Ommen, P.; Bertelsen, T.; Vinter, H.; Hailfinger, S.; Lorscheid, S.; Schulze-Osthoff, K.; Iversen, L. IκBζ is a key driver in the development of psoriasis. Proc. Natl. Acad. Sci. USA 2015, 112, E5825–E5833. [Google Scholar] [CrossRef]
- Feng, Y.; Chen, Z.; Xu, Y.; Han, Y.; Jia, X.; Wang, Z.; Zhang, N.; Lv, W. The central inflammatory regulator IκBζ: Induction, regulation and physiological functions. Front. Immunol. 2023, 14, 1188253, Correction in Front. Immunol. 2024, 15, 1398222. [Google Scholar] [CrossRef]
- Bertelsen, T.; Ljungberg, C.; Litman, T.; Huppertz, C.; Hennze, R.; Rønholt, K.; Iversen, L.; Johansen, C. IκBζ is a key player in the antipsoriatic effects of secukinumab. J. Allergy Clin. Immunol. 2020, 145, 379–390. [Google Scholar] [CrossRef]
- Okamoto, K.; Iwai, Y.; Oh-Hora, M.; Yamamoto, M.; Morio, T.; Aoki, K.; Ohya, K.; Jetten, A.M.; Akira, S.; Muta, T.; et al. IkappaBzeta regulates T(H)17 development by cooperating with ROR nuclear receptors. Nature 2010, 464, 1381–1385. [Google Scholar] [CrossRef]
- Shi, Z.; Liu, Z.; Wei, Y.; Zhang, R.; Deng, Y.; Li, D. The role of dermal fibroblasts in autoimmune skin diseases. Front. Immunol. 2024, 15, 1379490. [Google Scholar] [CrossRef]
- Zhou, Y.; Cao, T.; Li, Z.; Qiao, H.; Dang, E.; Shao, S.; Wang, G. Fibroblasts in immune-mediated inflammatory diseases: The soil of inflammation. Clin. Immunol. 2024, 258, 109849. [Google Scholar] [CrossRef]
- Saiag, P.; Coulomb, B.; Lebreton, C.; Bell, E.; Dubertret, L. Psoriatic fibroblasts induce hyperproliferation of normal keratinocytes in a skin equivalent model in vitro. Science 1985, 230, 669–672. [Google Scholar] [CrossRef]
- Miura, H.; Sano, S.; Higashiyama, M.; Yoshikawa, K.; Itami, S. Involvement of insulin-like growth factor-I in psoriasis as a paracrine growth factor: Dermal fibroblasts play a regulatory role in developing psoriatic lesions. Arch. Dermatol. Res. 2000, 292, 590–597. [Google Scholar] [CrossRef]
- Quan, C.; Cho, M.K.; Shao, Y.; Mianecki, L.E.; Liao, E.; Perry, D.; Quan, T. Dermal fibroblast expression of stromal cell-derived factor-1 (SDF-1) promotes epidermal keratinocyte proliferation in normal and diseased skin. Protein Cell 2015, 6, 890–903. [Google Scholar] [CrossRef]
- Nüesch, U.; Mauracher, A.A.; Opitz, L.; Volkmer, B.; Michalak-Mićka, K.; Kamarashev, J.; Hartwig, T.; Reichmann, E.; Becher, B.; Vavassori, S.; et al. Epithelial proliferation in inflammatory skin disease is regulated by tetratricopeptide repeat domain 7 (Ttc7) in fibroblasts and lymphocytes. J. Allergy Clin. Immunol. 2019, 143, 292–304.e8. [Google Scholar] [CrossRef]
- Iwata, H.; Haga, N.; Ujiie, H. Possible role of epiregulin from dermal fibroblasts in the keratinocyte hyperproliferation of psoriasis. J. Dermatol. 2021, 48, 1433–1438. [Google Scholar] [CrossRef]
- Barygina, V.; Becatti, M.; Prignano, F.; Lotti, T.; Taddei, N.; Fiorillo, C. Fibroblasts to Keratinocytes Redox Signaling: The Possible Role of ROS in Psoriatic Plaque Formation. Antioxidants 2019, 8, 566. [Google Scholar] [CrossRef]
- Ma, F.; Plazyo, O.; Billi, A.C.; Tsoi, L.C.; Xing, X.; Wasikowski, R.; Gharaee-Kermani, M.; Hile, G.; Jiang, Y.; Harms, P.W.; et al. Single cell and spatial sequencing define processes by which keratinocytes and fibroblasts amplify inflammatory responses in psoriasis. Nat. Commun. 2023, 14, 3455. [Google Scholar] [CrossRef]
- Gao, Y.; Yao, X.; Zhai, Y.; Li, L.; Li, H.; Sun, X.; Yu, P.; Xue, T.; Li, Y.; Hu, Y. Single cell transcriptional zonation of human psoriasis skin identifies an alternative immunoregulatory axis conducted by skin resident cells. Cell Death Dis. 2021, 12, 450. [Google Scholar] [CrossRef]
- Francis, L.; McCluskey, D.; Ganier, C.; Jiang, T.; Du-Harpur, X.; Gabriel, J.; Dhami, P.; Kamra, Y.; Visvanathan, S.; Barker, J.N.; et al. Single-cell analysis of psoriasis resolution demonstrates an inflammatory fibroblast state targeted by IL-23 blockade. Nat. Commun. 2024, 15, 913. [Google Scholar] [CrossRef]
- Cai, X.; Han, M.; Lou, F.; Sun, Y.; Yin, Q.; Sun, L.; Wang, Z.; Li, X.; Zhou, H.; Xu, Z.; et al. Tenascin C+ papillary fibroblasts facilitate neuro-immune interaction in a mouse model of psoriasis. Nat. Commun. 2023, 14, 2004. [Google Scholar] [CrossRef]
- Takahashi, T. Dermal fibroblast subsets and their roles in inflammatory and autoimmune skin diseases. J. Dermatol. Sci. 2025, 120, 45–51. [Google Scholar] [CrossRef]
- Johansen, C.; Bertelsen, T.; Ljungberg, C.; Mose, M.; Iversen, L. Characterization of TNF-α– and IL-17A–Mediated Synergistic Induction of DEFB4 Gene Expression in Human Keratinocytes through IκBζ. J. Investig. Dermatol. 2016, 136, 1608–1616. [Google Scholar] [CrossRef]
- Mose, M.; Kang, Z.; Raaby, L.; Iversen, L.; Johansen, C. TNFα- and IL-17A-mediated S100A8 expression is regulated by p38 MAPK. Exp. Dermatol. 2013, 22, 476–481. [Google Scholar] [CrossRef]
- Wang, C.Q.F.; Akalu, Y.T.; Suarez-Farinas, M.; Gonzalez, J.; Mitsui, H.; Lowes, M.A.; Orlow, S.J.; Manga, P.; Krueger, J.G. IL-17 and TNF synergistically modulate cytokine expression while suppressing melanogenesis: Potential relevance to psoriasis. J. Investig. Dermatol. 2013, 133, 2741–2752. [Google Scholar] [CrossRef]
- Angiolilli, C.; Leijten, E.F.A.; Bekker, C.P.J.; Eeftink, E.; Giovannone, B.; Nordkamp, M.O.; van der Wal, M.; Thijs, J.L.; Vastert, S.J.; van Wijk, F.; et al. ZFP36 family members regulate the proinflammatory features of psoriatic dermal fibroblasts. J. Investig. Dermatol. 2022, 142, 402–413. [Google Scholar] [CrossRef]
- Ha, H.-L.; Wang, H.; Pisitkun, P.; Kim, J.-C.; Tassi, I.; Tang, W.; Morasso, M.I.; Udey, M.C.; Siebenlist, U. IL-17 drives psoriatic inflammation via distinct, target cell-specific mechanisms. Proc. Natl. Acad. Sci. USA 2014, 111, E3422–E3431. [Google Scholar] [CrossRef]
- Ohgo, S.; Hasegawa, S.; Hasebe, Y.; Mizutani, H.; Nakata, S.; Akamatsu, H. Senescent dermal fibroblasts enhance stem cell migration through CCL2/CCR2 axis. Exp. Dermatol. 2015, 24, 552–554. [Google Scholar] [CrossRef]
- Iznardo, H.; Puig, L. Dual inhibition of IL-17A and IL-17F in psoriatic disease. Ther. Adv. Chronic Dis. 2021, 12, 20406223211037846. [Google Scholar] [CrossRef]
- Hartupee, J.; Liu, C.; Novotny, M.; Li, X.; Hamilton, T. IL-17 Enhances Chemokine Gene Expression through mRNA Stabilization. J. Immunol. 2007, 179, 4135–4141. [Google Scholar] [CrossRef]
- Chiricozzi, A.; Guttman-Yassky, E.; Suárez-Fariñas, M.; Nograles, K.E.; Tian, S.; Cardinale, I.; Chimenti, S.; Krueger, J.G. Integrative Responses to IL-17 and TNF-α in Human Keratinocytes Account for Key Inflammatory Pathogenic Circuits in Psoriasis. J. Investig. Dermatol. 2011, 131, 677–687. [Google Scholar] [CrossRef]
- Noack, M.; Beringer, A.; Miossec, P. Additive or Synergistic Interactions Between IL-17A or IL-17F and TNF or IL-1β Depend on the Cell Type. Front. Immunol. 2019, 10, 1726. [Google Scholar] [CrossRef]
- Zrioual, S.; Ecochard, R.; Tournadre, A.; Lenief, V.; Cazalis, M.-A.; Miossec, P. Genome-Wide Comparison between IL-17A- and IL-17F-Induced Effects in Human Rheumatoid Arthritis Synoviocytes. J. Immunol. 2009, 182, 3112–3120. [Google Scholar] [CrossRef]
- Bertelsen, T.; Iversen, L.; Johansen, C. The human IL-17A/F heterodimer regulates psoriasis-associated genes through IκBζ. Exp. Dermatol. 2018, 27, 1048–1052. [Google Scholar] [CrossRef]
- Bertelsen, T.; Ljungberg, C.; Boye Kjellerup, R.; Iversen, L.; Johansen, C. IL-17F regulates psoriasis-associated genes through IκBζ. Exp. Dermatol. 2017, 26, 234–241. [Google Scholar] [CrossRef]
- Schaerli, P.; Britschgi, M.; Keller, M.; Steiner, U.C.; Steinmann, L.S.; Moser, B.; Pichler, W.J. Characterization of Human T Cells That Regulate Neutrophilic Skin Inflammation. J. Immunol. 2004, 173, 2151–2158. [Google Scholar] [CrossRef]
- Furue, K.; Ito, T.; Tsuji, G.; Nakahara, T.; Furue, M. The CCL20 and CCR6 axis in psoriasis. Scand. J. Immunol. 2020, 91, e12846. [Google Scholar] [CrossRef]
- Behfar, S.; Hassanshahi, G.; Nazari, A.; Khorramdelazad, H. A brief look at the role of monocyte chemoattractant protein-1 (CCL2) in the pathophysiology of psoriasis. Cytokine 2018, 110, 226–231. [Google Scholar] [CrossRef] [PubMed]
- Takashima, A. Establishment of fibroblast cultures. Curr. Protoc. Cell Biol. 2001, 13, Unit 2.1. [Google Scholar] [CrossRef] [PubMed]
- Technologies, N. CosMx™ SMI Instrument User Manual. Available online: https://university.nanostring.com/cosmx-smi-instrument-user-manual (accessed on 17 November 2025).
- He, S.; Bhatt, R.; Brown, C.; Brown, E.A.; Buhr, D.L.; Chantranuvatana, K.; Danaher, P.; Dunaway, D.; Garrison, R.G.; Geiss, G.; et al. High-plex imaging of RNA and proteins at subcellular resolution in fixed tissue by spatial molecular imaging. Nat. Biotechnol. 2022, 40, 1794–1806. [Google Scholar] [CrossRef] [PubMed]
- Choudhary, S.; Satija, R. Comparison and evaluation of statistical error models for scRNA-seq. Genome Biol. 2022, 23, 27. [Google Scholar] [CrossRef]




Disclaimer/Publisher’s Note: The statements, opinions and data contained in all publications are solely those of the individual author(s) and contributor(s) and not of MDPI and/or the editor(s). MDPI and/or the editor(s) disclaim responsibility for any injury to people or property resulting from any ideas, methods, instructions or products referred to in the content. |
© 2026 by the authors. Licensee MDPI, Basel, Switzerland. This article is an open access article distributed under the terms and conditions of the Creative Commons Attribution (CC BY) license.
Share and Cite
Svraka, L.; Andersen, A.S.; Touborg, T.; Emmanuel, T.; GK, U.; Kadarmideen, H.N.; Bertelsen, T.; Vestergaard, C.; Johansen, C. IL-17 Cytokines Induce IκBζ in Dermal Fibroblasts to Promote Pro-Inflammatory Gene Expression in Psoriasis. Int. J. Mol. Sci. 2026, 27, 1297. https://doi.org/10.3390/ijms27031297
Svraka L, Andersen AS, Touborg T, Emmanuel T, GK U, Kadarmideen HN, Bertelsen T, Vestergaard C, Johansen C. IL-17 Cytokines Induce IκBζ in Dermal Fibroblasts to Promote Pro-Inflammatory Gene Expression in Psoriasis. International Journal of Molecular Sciences. 2026; 27(3):1297. https://doi.org/10.3390/ijms27031297
Chicago/Turabian StyleSvraka, Lejla, Anna Skarnvad Andersen, Toke Touborg, Thomas Emmanuel, Udayaraja GK, Haja N. Kadarmideen, Trine Bertelsen, Christian Vestergaard, and Claus Johansen. 2026. "IL-17 Cytokines Induce IκBζ in Dermal Fibroblasts to Promote Pro-Inflammatory Gene Expression in Psoriasis" International Journal of Molecular Sciences 27, no. 3: 1297. https://doi.org/10.3390/ijms27031297
APA StyleSvraka, L., Andersen, A. S., Touborg, T., Emmanuel, T., GK, U., Kadarmideen, H. N., Bertelsen, T., Vestergaard, C., & Johansen, C. (2026). IL-17 Cytokines Induce IκBζ in Dermal Fibroblasts to Promote Pro-Inflammatory Gene Expression in Psoriasis. International Journal of Molecular Sciences, 27(3), 1297. https://doi.org/10.3390/ijms27031297

