Green Synthesis of Silver Nanoparticles with Antibacterial, Anti-Inflammatory, and Antioxidant Activity Using Convolvulus arvensis
Abstract
1. Introduction
2. Results
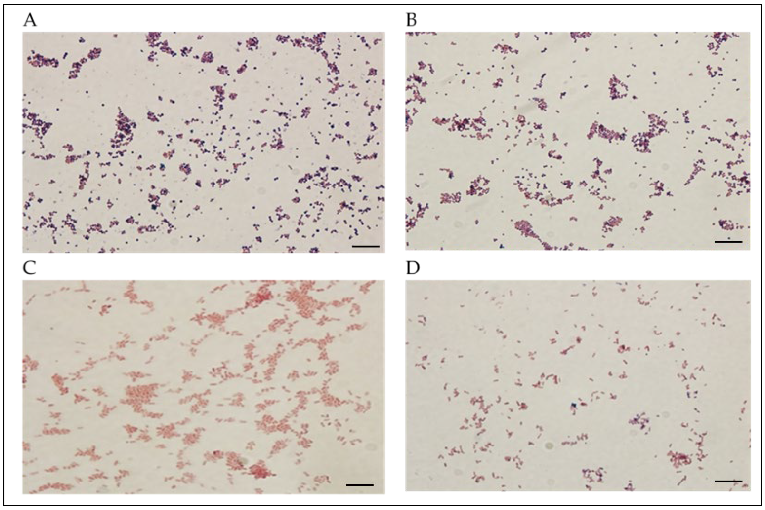
2.1. Bacterial Samples and Identification
2.2. Green Synthesis of Silver Nanoparticles
2.3. Characterization of Silver Nanoparticles
2.3.1. UV Spectral Analysis
2.3.2. Zeta Potential Determination and Particle Size Distribution
2.3.3. Scanning Electron Microscopy (SEM) Analysis
2.3.4. Technical Specifications of EDX
2.3.5. Fourier-Transform Infrared Spectroscopy (FT-IR)
2.4. Estimation of Antibacterial Activity
2.4.1. Antibacterial Bioassay Test
Diffusion Technique Assay
Determination of Minimum Inhibitory Concentration (MIC) and Minimum Bactericidal Concentration (MBC)
2.5. Evaluation of the Biological Effect of C. arvensis-Silver Nanoparticles
2.5.1. Evaluation of Antibacterial Effects
2.5.2. Determination of Antioxidant Activity
2.5.3. Anti-Inflammatory Action
Suppression of Protein Denaturation
2.5.4. Cytotoxicity Studies
3. Discussion
4. Materials and Methods
4.1. Bacterial Samples and Identification
4.1.1. Bacterial Samples
4.1.2. Identification of Bacteria
Gram Staining
Biochemical Tests
16S rRNA Gene Sequencing and Phylogenetic Analysis
4.2. Collection of Plant Sample
4.3. Green Synthesis of Silver Nanoparticles (AgNPs)
4.4. Characterization of Silver Nanoparticles
4.4.1. UV Spectral Analysis
4.4.2. Zeta Potential Determination and Particle Size Distribution
4.4.3. Scanning Electron Microscopy (SEM)
4.4.4. Technical Energy-Dispersive X-Ray Spectroscopy (EDX) Specifications
4.4.5. Fourier-Transform Infrared Spectroscopy (FT-IR)
4.5. Evaluation of the Biological Effect of Silver Nanoparticles Synthesized
4.5.1. Antibacterial Bioassay Test
Diffusion Technique Assay
Determination of Minimum Inhibitory Concentration (MIC)
Determination of Minimum Bactericidal Concentration (MBC)
4.5.2. Evaluation of Antibacterial Effects by Scanning Electron Microscope (SEM)
4.5.3. Determination of Antioxidant Activity
4.5.4. Anti-Inflammatory Activity of the Biosynthesized AgNPs
Suppression of Protein Denaturation
4.5.5. Cytotoxicity Study
Cell Culture
Cytotoxicity Study
4.6. Statistical Analysis
5. Conclusions
Author Contributions
Funding
Institutional Review Board Statement
Informed Consent Statement
Data Availability Statement
Acknowledgments
Conflicts of Interest
Abbreviations
| AgNPs | Silver nanoparticles |
| SEM | Scanning electron microscopy |
| EDX | Energy-dispersive X-ray spectroscopy |
| FTIR | Fourier-transform infrared spectroscopy |
| MIC | Minimum inhibitory concentration |
| MBC | Minimum bactericidal concentration |
| NCBI | National Institutes of Health |
References
- World Health Organization. WHO Presence in Countries, Territories, and Areas: 2023 Report; World Health Organization: Geneva, Switzerland, 2023. [Google Scholar]
- Wang, J.-T.; Chang, S.-C.; Ko, W.-J.; Chang, Y.-Y.; Chen, M.-L.; Pan, H.-J.; Luh, K.-T. A hospital-acquired outbreak of methicillin-resistant Staphylococcus aureus infection initiated by a surgeon carrier. J. Hosp. Infect. 2001, 47, 104–109. [Google Scholar] [CrossRef] [PubMed]
- Benayache, S.; Benayache, F.; Benyahia, S.; Chalchat, J.-C.; Garry, R.-P. Leaf oils of some Eucalyptus species growing in Algeria. J. Essent. Oil Res. 2001, 13, 210–213. [Google Scholar] [CrossRef]
- Mhanna, M.L. Synergetic Effects of Plant Extracts and Antibiotics on Staphylococcus aureus Strains Isolated from Clinical Specimens. Ph.D. Thesis, An-Najah National University, Nablus, Palestine, 2008. [Google Scholar]
- Asefian, S.; Ghavam, M. Green and environmentally friendly synthesis of silver nanoparticles with antibacterial properties from some medicinal plants. BMC Biotechnol. 2024, 24, 5. [Google Scholar] [CrossRef]
- Oliveira, A.; Dias, C.; Oliveira, R.; Almeida, C.; Fuciños, P.; Sillankorva, S.; Oliveira, H. Paving the way forward: Escherichia coli bacteriophages in a One Health approach. Crit. Rev. Microbiol. 2024, 50, 87–104. [Google Scholar] [CrossRef] [PubMed]
- Elkady, F.M.; Badr, B.M.; Saied, E.; Hashem, A.H.; Abdel-Maksoud, M.; Fatima, S.; Malik, A.; Aufy, M.; Hussein, A.; Abdulrahman, M.; et al. Green Biosynthesis of Bimetallic Copper Oxide-Selenium Nanoparticles Using Leaf Extract of Lagenaria Siceraria: Antibacterial, Anti-Virulence Activities Against Multidrug-Resistant Pseudomonas aeruginosa. Int. J. Nanomed. 2025, 20, 4705–4727. [Google Scholar] [CrossRef]
- Tamboura, B.; Yudaev, P.; Butorova, I.; Klyukin, B.; Chuev, V.; Chistyakov, E. Hexaallylaminocyclotriphosphazene-Modified Dental Compositions for 3D Printing of Dental Crowns. Polymers 2026, 18, 53. [Google Scholar] [CrossRef]
- Salamatullah, A.M. Convolvulus arvensis: Antioxidant, antibacterial, and antifungal properties of chemically profiled essential oils: An approach against nosocomial infections. Life 2022, 12, 2138. [Google Scholar] [CrossRef] [PubMed]
- Osman, E.E.A.; Shemis, M.A.; Abdel-Hameed, E.-S.S.; Gouda, A.E.; Hassan, H.; Atef, N.; Mamdouh, S. Phytoconstituent analysis, anti-inflammatory, antimicrobial, and anticancer effects of nanoencapsulated Convolvulus arvensis L. extracts. BMC Complement. Med. Ther. 2024, 24, 122. [Google Scholar] [CrossRef] [PubMed]
- Arirudran, B.; Raja, A.V.; Anbarasu, K.K.; Shalini, E. Antimicrobial activity of Borassus flabellifer L. root. HSOA J. Biotech. Res. Biochem. 2022, 5, 13. [Google Scholar]
- Alghamdi, A.I. Antibacterial activity of green tea leaf extracts against specific bacterial strains. J. King Saud Univ. Sci. 2023, 35, 102650. [Google Scholar] [CrossRef]
- Shaikhaldein, H.O.; Al-Qurainy, F.; Babiker, K.A.; Nadeem, M.; Khan, S.; Tarroum, M.; Salih, A.M. Evaluating impacts of biosynthetic silver nanoparticles on morphophysiological responses in barley (Hordeum vulgare L.). J. Nanomater. 2024, 2024, 7524774. [Google Scholar] [CrossRef]
- Alabdallah, N.M.; Hasan, M.; Hammami, I.; Alghamdi, A.I.; Alshehri, D.; Alatawi, H.A. Green Synthesized Metal Oxide Nanoparticles Mediate Growth Regulation and Physiology of Crop Plants under Drought Stress. Plants 2021, 10, 1730. [Google Scholar] [CrossRef]
- Muthu, T.; Adusumalli, R.; Vemuri, S.K.; Devi, M.I.; Kumar, P.P.; Banala, R.R.; Reddy, A.V.G. Eco-biofabrication of silver nanoparticles from Azadirachta indica, Gymnema sylvestre, and Moringa oleifera for lung cancer treatment. J. Egypt. Natl. Cancer Inst. 2025, 37, 1. [Google Scholar] [CrossRef] [PubMed]
- Aly Khalil, A.M.; Saied, E.; Mekky, A.E.; Saleh, A.M.; Al Zoubi, O.M.; Hashem, A.H. Green biosynthesis of bimetallic selenium–gold nanoparticles using Pluchea indica leaves and their biological applications. Front. Bioeng. Biotechnol. 2024, 11, 1294170. [Google Scholar] [CrossRef]
- Jeevanandam, J.; Kiew, S.F.; Boakye-Ansah, S.; Lau, S.Y.; Barhoum, A.; Danquah, M.K.; Rodrigues, J. Green approaches for the synthesis of metal and metal oxide nanoparticles using microbial and plant extracts. Nanoscale 2022, 14, 2534–2571. [Google Scholar] [CrossRef] [PubMed]
- Afandy, H.H.; Sabir, D.K.; Aziz, S.B. Antibacterial activity of the green-synthesized plasmonic silver nanoparticles with crystalline structure against gram-positive and gram-negative bacteria. Nanomaterials 2023, 13, 1327. [Google Scholar]
- Mahmoodi, M.; Shojaei, S.; Ghasemi, M. Recent advances in applications of silver nanoparticles in food packaging and preservation. J. Nanostruct. Chem. 2020, 10, 221–227. [Google Scholar]
- Mahmoodi, M.; Ghasemi, M.; Shojaei, S. Biomedical applications of silver nanoparticles: A review on recent findings. J. Nanostruct. Chem. 2021, 11, 429–437. [Google Scholar]
- Mahmoodi, M.; Shojaei, S.; Ghasemi, M. Silver nanoparticles: Synthesis, properties, toxicology, and environmental applications. Toxicol. Environ. Chem. 2021, 103, 964–975. [Google Scholar]
- Erenler, R.; Dag, B. Biosynthesis of silver nanoparticles using Origanum majorana L. and evaluation of their antioxidant activity. Inorg. Nano-Met. Chem. 2021, 52, 485–492. [Google Scholar] [CrossRef]
- Zhang, Y.; Yang, D.; Kong, Y.; Wang, X.; Pandoli, O.; Gao, G. Synergetic antibacterial effects of silver nanoparticles and aloe vera prepared via a green method. Nano Biomed. Eng. 2010, 2, 252–257. [Google Scholar] [CrossRef]
- Patra, J.K.; Das, G.; Baek, K.H. Antioxidant and antibacterial activity of biosynthesized silver nanoparticles using plant polyphenols. Biotechnol. Rep. 2016, 11, 22–31. [Google Scholar]
- Agarwal, H.; Nakara, A.; Shanmugam, V.K. Anti-inflammatory mechanism of various metal and metal oxide nanoparticles synthesized using plant extracts: A review. Biomed. Pharmacother. 2019, 109, 2561–2572. [Google Scholar] [CrossRef] [PubMed]
- Coates, J. Interpretation of infrared spectra, a practical approach. Encycl. Anal. Chem. 2000, 12, 10815–10837. [Google Scholar]
- Nandiyanto, A.B.D.; Oktiani, R.; Ragadhita, R.; Sukmafitri, A.; Zaen, R. Amorphous content on the photocatalytic performance of micrometer-sized tungsten trioxide particles. Arab. J. Chem. 2018, 13, 2912–2924. [Google Scholar] [CrossRef]
- Moumene, T.; Belarbi, E.H.; Haddad, B.; Villemin, D.; Abbas, O.; Khelifa, B.; Bresson, S. Vibrational spectroscopic study of ionic liquids: Comparison between monocationic and dicationic imidazolium ionic liquids. J. Mol. Struct. 2014, 1065, 86–92. [Google Scholar] [CrossRef]
- Nandiyanto, A.B.D.; Oktiani, R.; Ragadhita, R. How to read and interpret FTIR spectroscope of organic material. Indones. J. Sci. Technol. 2019, 4, 97–118. [Google Scholar] [CrossRef]
- Alsanie, S.I.; Aljabari, L.A.; Aljabari, N.A.; Smajlovic, S.; Tombuloglu, H. Bacterial identification and diagnosis of bacterial infections through genomics, proteomics, nanotechnology, machine learning, and microelectromechanical systems. In Microbial Genomics: Clinical, Pharmaceutical, and Industrial Applications; Academic Press: Cambridge, MA, USA, 2024; pp. 143–172. ISBN 978-0-443-18866-4. [Google Scholar]
- Al-Audah, S.A.; Alghamdi, A.I.; Alsanie, S.I.; Ababutain, I.M.; Kotb, E.; Alabdalall, A.H.; Aldosary, S.K.; AlAhmady, N.F.; Alhamad, S.; Alaudah, A.A.; et al. Biological effect of green synthesis of silver nanoparticles derived from Malva parviflora fruits. Int. J. Mol. Sci. 2025, 26, 8135. [Google Scholar] [CrossRef] [PubMed]
- Hassan, W.A.; Mohammed, A.E.; AlShaye, N.A.; Sonbol, H.; Alghamdi, S.A.; Iamonico, D.; Korany, S.M. Characterization of Amaranthus species: Ability in nanoparticles fabrication and the antimicrobial activity against human pathogenic bacteria. PeerJ 2024, 11, e16708. [Google Scholar] [CrossRef]
- Iqbal, M.; Bawazeer, S.; Bakht, J.; Rauf, A.; Shah, M.R.; Khalil, A.A.; El-Esawi, M.A. Green synthesis of silver nanoparticles from Valeriana jatamansi shoots extract and its antimicrobial activity. Green Process Synth. 2020, 9, 715–721. [Google Scholar] [CrossRef]
- Iftikhar, M.; Farooq, U.; Naqvi, S.F.N.; Sufyan, M.; Baig, M.A.Q.; Tariq, S.; Uddin, I.; Qazi, I.A. Sustainable green synthesis of silver nanoparticles for environmental pollution management and water purification. Front. Med. Health Res. 2025, 3, 563–580. [Google Scholar]
- Ershov, V.A.; Ershov, B.G. Effect of silver nanoparticle size on antibacterial activity. Toxics 2024, 12, 801. [Google Scholar] [CrossRef] [PubMed]
- Alzubaidi, A.K.; Al-Kaabi, W.J.; Al Ali, A.; Albukhaty, S.; Al-Karagoly, H.; Sulaiman, G.M.; Asiri, M.; Khane, Y. Green synthesis and characterization of silver nanoparticles using flaxseed extract and evaluation of their antibacterial and antioxidant activities. Appl. Sci. 2023, 13, 2182. [Google Scholar] [CrossRef]
- Huq, M.A.; Ashrafudoulla, M.; Rahman, M.M.; Balusamy, S.R.; Akter, S. Green synthesis and potential antibacterial applications of bioactive silver nanoparticles: A review. Polymers 2022, 14, 742. [Google Scholar] [CrossRef] [PubMed]
- Aldayel, M. First report for synthesis of antibacterial silver nanoparticles by Pergularia tomentosa. Life 2024, 40, 945–948. [Google Scholar]
- Younes, I.M.; El-Shamy, R.A.; El-Sherbiny, I.M. FTIR analysis of biosynthesized silver nanoparticles and their functional properties. Spectrochim. Acta A Mol. Biomol. Spectrosc. 2021, 251, 119444. [Google Scholar]
- Rai, M.; Yadav, A.; Gade, A. Silver nanoparticles as a new generation of antimicrobials. Biotechnol. Adv. 2009, 27, 76–83. [Google Scholar] [CrossRef] [PubMed]
- Alharbi, N.S.; Khaled, J.M.; Alanazi, K.; Kadaikunnan, S.; Alobaidi, A.S. Biosynthesis of silver nanoparticles (Ag-NPs) using Senna alexandrina grown in Saudi Arabia and their bioactivity against multidrug-resistant pathogens and cancer cells. Saudi Pharm. J. 2023, 31, 911–920. [Google Scholar] [CrossRef]
- Girma, A.; Alamnie, G.; Bekele, T.; Mebratie, G.; Mekuye, B.; Abera, B.; Workineh, D.; Tabor, A.; Jufar, D. Green-synthesised silver nanoparticles: Antibacterial activity and alternative mechanisms of action to combat multidrug-resistant bacterial pathogens: A systematic literature review. Green Chem. Lett. Rev. 2024, 17, 2412601. [Google Scholar] [CrossRef]
- Aldayel, M.F.; Al Kuwayti, M.A.; El Semary, N.A.H. Investigating the production of antimicrobial nanoparticles by Chlorella vulgaris and the link to its loss of viability. Microorganisms 2022, 10, 145. [Google Scholar] [CrossRef]
- Bhakya, S.; Muthukrishnan, S.; Sukumaran, M.; Muthukumar, M. Biogenic synthesis of silver nanoparticles and their antioxidant and antibacterial activity. Appl. Nanosci. 2016, 6, 755–766. [Google Scholar] [CrossRef]
- Bertani, B.; Ruiz, N. Function and biogenesis of lipopolysaccharides. EcoSal Plus 2018, 8, 10.1128. [Google Scholar] [CrossRef]
- Gomaa, E.Z. Antimicrobial, antioxidant, and antitumor activities of silver nanoparticles synthesized by Allium cepa extract: A green approach. J. Genet. Eng. Biotechnol. 2017, 15, 49–57. [Google Scholar] [CrossRef] [PubMed]
- Patra, J.K.; Baek, K.H. Green synthesis of silver chloride nanoparticles using Prunus persica L. outer peel extract and investigation of antibacterial, anticandidal, antioxidant potential. Green Chem. Lett. Rev. 2016, 9, 132–142. [Google Scholar] [CrossRef]
- Mekky, A.E.; Saied, E.; Al-Habibi, M.M.; Shouaib, Z.A.; Hasaballah, A.I.; Rashed, M.E.; Khalel, A.F.; Alshammari, A.N.; Youssef, F.S.; Al-Shahat, A.M.; et al. Eco-friendly biosynthesis of gold nanoparticles from Amphimedon compressa with antibacterial, antioxidant, anti-inflammatory, anti-biofilm, and insecticidal properties against diseases vectors. Sci. Rep. 2025, 15, 27845. [Google Scholar] [CrossRef]
- Azman, N.A.M.; Gallego, M.G.; Juliá, L.; Fajari, L.; Almajano, M. The effect of Convolvulus arvensis dried extract as a potential antioxidant in food models. Antioxidants 2015, 4, 170–184. [Google Scholar] [CrossRef]
- Nirwane, T.; Kudatarkar, N. Green-synthesis and characterization of Pueraria tuberosa aqueous extract loaded silver nanoparticles for antiarthritic effect against Freund’s complete adjuvant induced in male Wistar rats. J. Pharm. Innov. 2026, 21, 6. [Google Scholar] [CrossRef]
- Tyavambiza, C.; Meyer, M.; Meyer, S. Antibacterial and anti-inflammatory activities of silver nanoparticles synthesized from Cotyledon orbiculata aqueous extract. Nanomaterials 2021, 11, 134. [Google Scholar] [CrossRef] [PubMed]
- Alkan, H.; Ciğerci, İ.H.; Ali, M.M.; Hazman, O.; Liman, R.; Colă, F.; Bonciu, E. Cytotoxic and genotoxic evaluation of biosynthesized silver nanoparticles using Moringa oleifera on MCF-7 and HUVEC cell lines. Plants 2022, 11, 1293. [Google Scholar] [CrossRef] [PubMed]
- Kristensen, K.; Ward, L.M.; Mogensen, M.L.; Cichosz, S.L. Using image processing and automated classification models to classify microscopic Gram stain images. Comput. Methods Programs Biomed. Update 2023, 3, 100091. [Google Scholar] [CrossRef]
- Ling, T.K.W.; Liu, Z.K.; Cheng, A.F.B. Evaluation of the VITEK 2 system for rapid direct identification and susceptibility testing of gram-negative bacilli from positive blood cultures. J. Clin. Microbiol. 2003, 41, 4705–4707. [Google Scholar] [CrossRef]
- Zhang, Z.; Schwartz, S.; Wagner, L.; Miller, W. A greedy algorithm for aligning DNA sequences. J. Comput. Biol. 2000, 7, 203–214. [Google Scholar] [CrossRef]
- Morgulis, A.; Coulouris, G.; Raytselis, Y.; Madden, T.L.; Agarwala, R.; Schäffer, A.A. Database indexing for production MegaBLAST searches. Bioinformatics 2008, 24, 1757–1764. [Google Scholar] [CrossRef]
- Jaiswal, S.; Mishra, P. Antimicrobial and antibiofilm activity of curcumin-silver nanoparticles with improved stability and selective toxicity to bacteria over mammalian cells. Med. Microbiol. Immunol. 2018, 207, 39–53. [Google Scholar] [CrossRef]
- Tamura, K.; Stecher, G.; Kumar, S. MEGA11: Molecular evolutionary genetics analysis version 11. Mol. Biol. Evol. 2021, 38, 3022–3027. [Google Scholar] [CrossRef] [PubMed]
- Saitou, N.; Nei, M. The neighbor-joining method: A new method for reconstructing phylogenetic trees. Mol. Biol. Evol. 1987, 4, 406–425. [Google Scholar] [CrossRef] [PubMed]
- Tamura, K.; Nei, M.; Kumar, S. Prospects for inferring very large phylogenies by using the neighbor-joining method. Proc. Natl. Acad. Sci. USA 2004, 101, 11030–11035. [Google Scholar] [CrossRef] [PubMed]
- Felsenstein, J. Confidence limits on phylogenies: An approach using the bootstrap. Evolution 1985, 39, 783–791. [Google Scholar] [CrossRef] [PubMed]
- Migahid, A. Flora of Saudi Arabia, 4th ed.; King Saud University: Riyadh, Saudi Arabia, 1996. [Google Scholar]
- Nalezinková, M.; Loskot, J.; Fučíková, A.M. The use of scanning electron microscopy and fixation methods to evaluate the interaction of blood with the surfaces of medical devices. Sci. Rep. 2024, 14, 4622. [Google Scholar] [CrossRef] [PubMed]
- Shimada, K.; Fujikawa, K.; Yahara, K.; Nakamura, T. Antioxidative properties of xanthan on the autoxidation of soybean oil in cyclodextrin emulsion. J. Agric. Food Chem. 1992, 40, 945–948. [Google Scholar] [CrossRef]












| Wavenumber (cm−1) | Assigned Functional Group | Interpretation | Reference |
|---|---|---|---|
| ~3724 | O–H stretching | Free hydroxyl groups of alcohols or phenols | [26] |
| ~3260 | O–H/N–H stretching | Hydrogen-bonded hydroxyl groups or amine groups | [26] |
| ~2350 | N–H component | Amino-related component | [27] |
| ~1630 | Open-chain azo (-N=N-) | Amide I | [26] |
| ~1556 | N–H bending | Amide II band, Carboxylate (carboxylic acid salt) Amide | [26] |
| ~1452 | C–H bending, C=C-C Aromatic ring stretch | deformation of –CH2 | [26,28] |
| ~1360 | C–N stretching, deformation of O–H | gem-Dimethyl or Trimethyl, Aliphatic nitro compounds | [26,28] |
| ~1200 | C–O stretching | Phenols, Organic sulfates | [26] |
| ~1140 | Cyclic ethers, C-O stretch | Ether and oxy compound | [29] |
| ~990 | Aliphatic phosphates (P-O-C stretch) | Simple hetero-oxy compounds | [26] |
| ~770 | C-H Monosubstitution (phenyl), C-H 1,2-Disubstitution (ortho) | Aromatic ring (aryl) | [26] |
| ~430 | Aryl disulfides (S-S stretch) | Thiols and thio-substituted compounds | [26,29] |
| Bacteria | Gram-Positive Bacteria | Gram-Negative Bacteria | ||
|---|---|---|---|---|
| S. aureus MRSA | S. aureus ST | E. coli ESBL | E. coli ST | |
| Zone of Inhibition (mm) ± Standard Deviation | ||||
| C. arvensis plant nanoparticles | 10 ± 0.00 | 13 ± 0.33 | 11.33 ± 0.33 | 11.66 ± 0.887 |
| Gentamycin | 10 ± 0.00 | 10 ± 0.00 | 19 ± 0.33 | 19 ± 0.33 |
| Significance (p ≤ 0.01) | 0.12 | 0.020 | 0.001 | 0.010 |
| Test Bacteria | MIC µg/mL | MBC µg/mL |
|---|---|---|
| Concentration ± Standard Deviation | ||
| S. aureus MRSA | 12.5 ± 0.00 | 25 ± 0.00 |
| S. aureus ST | 25 ± 0.00 | 50 ± 0.00 |
| E. coli ESBL | 12.5 ± 0.00 | 25 ± 0.00 |
| E. coli ST | 12.5 ± 0.00 | 25 ± 0.00 |
| Name | Date of Collection | Part of Plant | Picture | Site |
|---|---|---|---|---|
| Convolvulus arvensis | 15 March 2023 | Stem and leaves | ![]() | 26.407448625823644, 50.08418899191704 |
Disclaimer/Publisher’s Note: The statements, opinions and data contained in all publications are solely those of the individual author(s) and contributor(s) and not of MDPI and/or the editor(s). MDPI and/or the editor(s) disclaim responsibility for any injury to people or property resulting from any ideas, methods, instructions or products referred to in the content. |
© 2026 by the authors. Licensee MDPI, Basel, Switzerland. This article is an open access article distributed under the terms and conditions of the Creative Commons Attribution (CC BY) license.
Share and Cite
Al-Audah, S.A.; Alghamdi, A.I.; Alsanie, S.I.; Alabdalla, N.M.; Alawdah, A.; Alenezi, N.; AlShammari, A.; Taha, I.; Albarrag, A.; Aldakeel, S.; et al. Green Synthesis of Silver Nanoparticles with Antibacterial, Anti-Inflammatory, and Antioxidant Activity Using Convolvulus arvensis. Int. J. Mol. Sci. 2026, 27, 1210. https://doi.org/10.3390/ijms27031210
Al-Audah SA, Alghamdi AI, Alsanie SI, Alabdalla NM, Alawdah A, Alenezi N, AlShammari A, Taha I, Albarrag A, Aldakeel S, et al. Green Synthesis of Silver Nanoparticles with Antibacterial, Anti-Inflammatory, and Antioxidant Activity Using Convolvulus arvensis. International Journal of Molecular Sciences. 2026; 27(3):1210. https://doi.org/10.3390/ijms27031210
Chicago/Turabian StyleAl-Audah, Suzan Abdullah, Azzah Ibrahim Alghamdi, Sumayah I. Alsanie, Nadiyah M. Alabdalla, Amnah Alawdah, Norah Alenezi, Aisha AlShammari, Ibrahiem Taha, Ahmed Albarrag, Sumayah Aldakeel, and et al. 2026. "Green Synthesis of Silver Nanoparticles with Antibacterial, Anti-Inflammatory, and Antioxidant Activity Using Convolvulus arvensis" International Journal of Molecular Sciences 27, no. 3: 1210. https://doi.org/10.3390/ijms27031210
APA StyleAl-Audah, S. A., Alghamdi, A. I., Alsanie, S. I., Alabdalla, N. M., Alawdah, A., Alenezi, N., AlShammari, A., Taha, I., Albarrag, A., Aldakeel, S., & Aldayel, M. (2026). Green Synthesis of Silver Nanoparticles with Antibacterial, Anti-Inflammatory, and Antioxidant Activity Using Convolvulus arvensis. International Journal of Molecular Sciences, 27(3), 1210. https://doi.org/10.3390/ijms27031210


