Altered AADAC Modulates Trophoblast Invasion and Suggests a Potential Angiogenic Regulatory Role in Severe Preeclampsia
Abstract
1. Introduction
2. Results
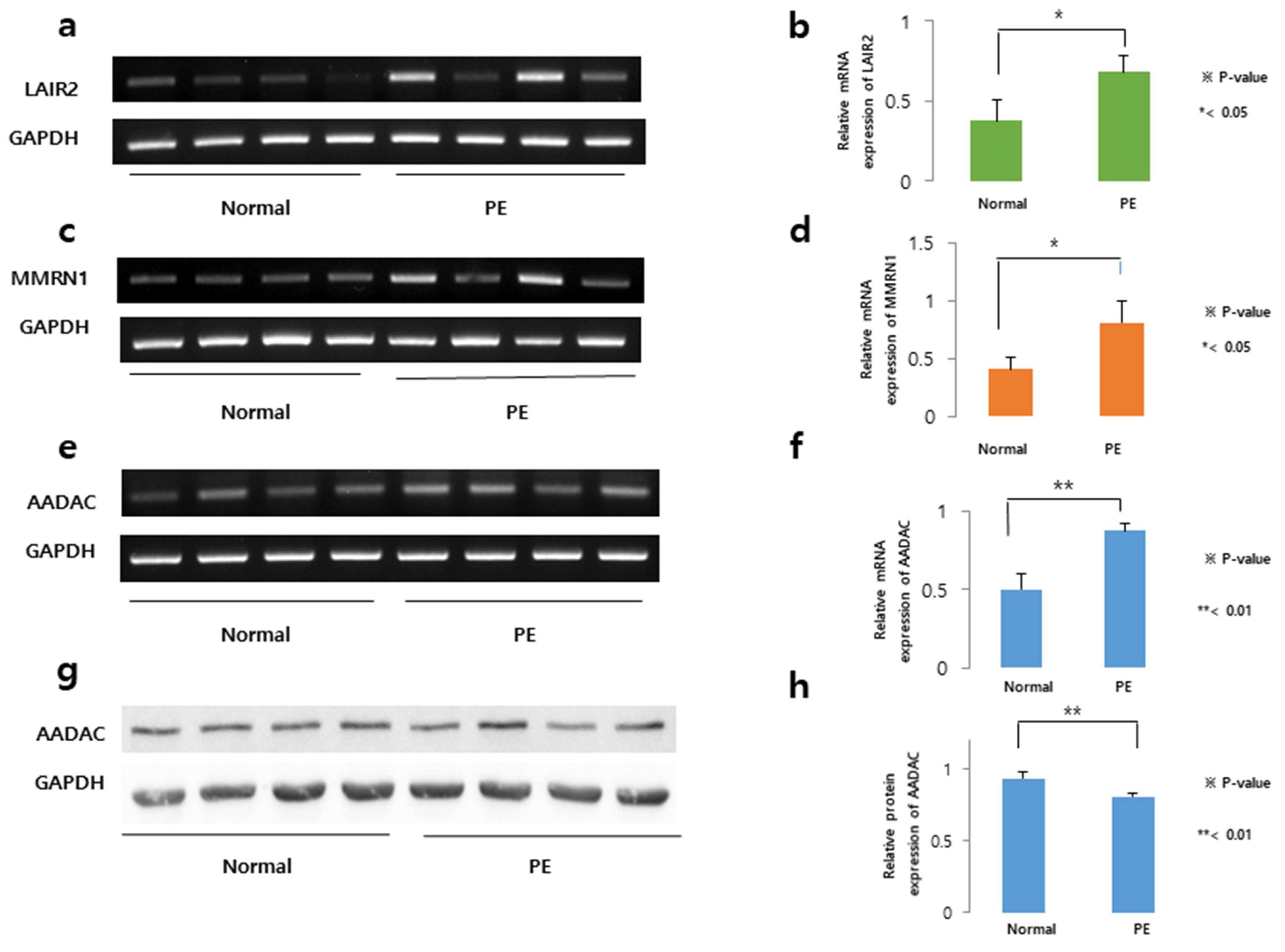
2.1. Identification of Three Upregulated Protein-Coding Genes in Human Placental Cells Subjected to Severe Preeclampsia
2.2. Higher Relative mRNA Expression Levels of AADAC and Lower Relative Protein Expression Levels in Trophoblasts Subjected to Severe PE
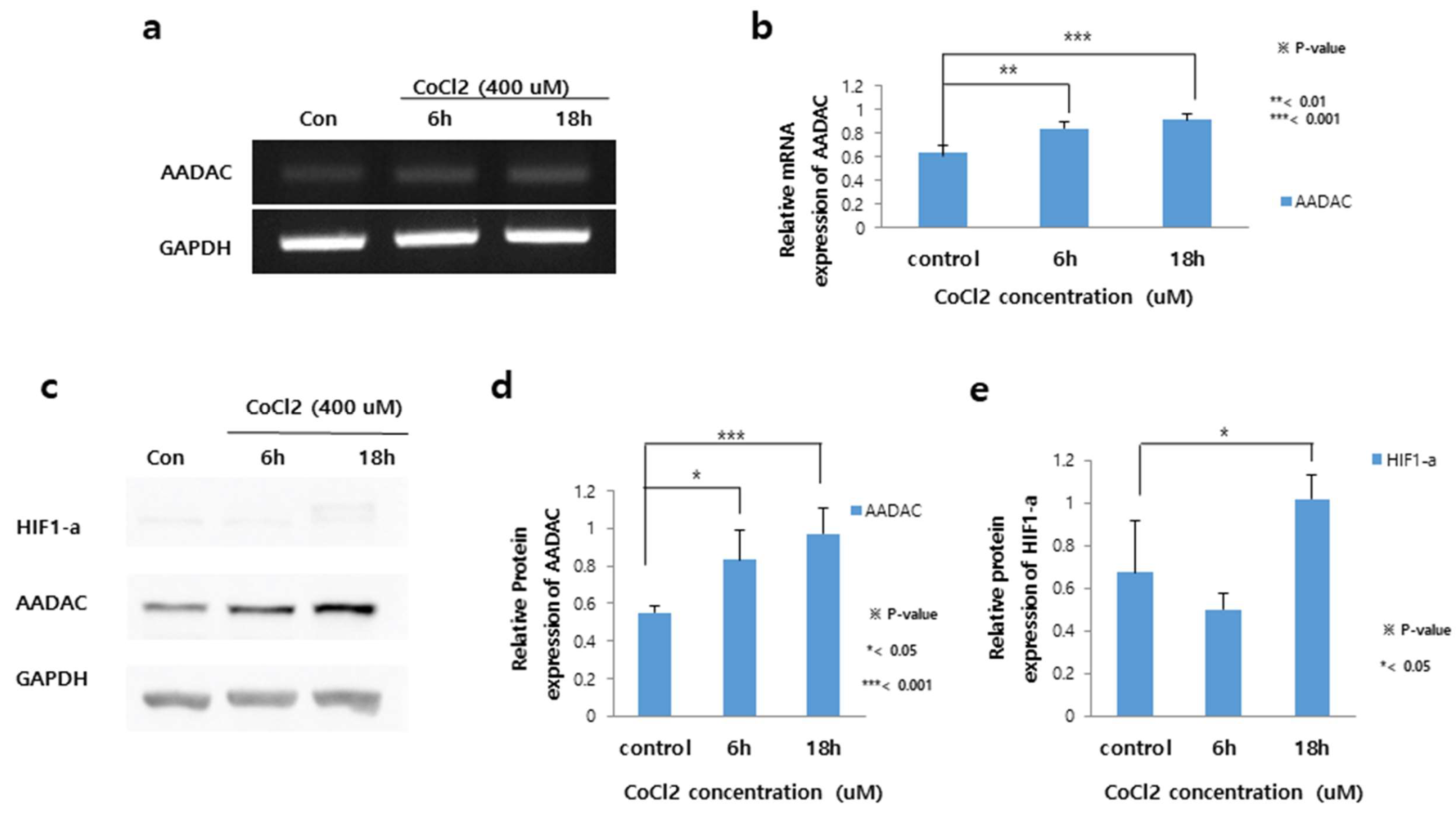
2.3. Higher AADAC Expression Levels in PE Placental Cells After 18 h of Hypoxia
2.4. Higher Numbers of Meshes in Tube Formation as Well as Invading Cells After AADAC Silencing and 18 h of Hypoxia
2.5. Decreased Number of Meshes but Not Trophoblast Invasion Due to AADAC Overexpression
3. Discussion
- (1)
- Posttranscriptional regulation: Systematic analyses across human tissues have shown that mRNA–protein correlations vary considerably and that protein abundance is often determined at the translational rather than transcriptional level during cellular stress [34]. In the placenta, hypoxic stress—a key feature of PE—can induce such posttranscriptional mechanisms, including changes in mRNA stability, miRNA-mediated repression, and reduced translation efficiency [35,36]. Thus, the mismatched AADAC mRNA and protein expression pattern might indicate that stress suppresses translation.
- (2)
- Posttranslational modifications (PTMs) and protein turnover: Increased protein degradation or decreased stability could also explain the reduced AADAC protein levels despite elevated mRNA levels [37]. Abnormal PTMs can alter protein conformation, localization, or antibody recognition, ultimately impairing function [38]. PE-associated oxidative stress may trigger such PTMs or proteasomal degradation events affecting AADAC stability. Additionally, protein activity often depends on subcellular localization and interactions rather than abundance alone [39].
- (3)
- Compensatory and signaling mechanisms: Alternative signaling pathways or isoform variations may also influence AADAC expression. Cellular stress and signaling can affect the splicing machinery, producing distinct isoforms that modify translation efficiency and function. Such mechanisms may underlie compensatory adjustments in AADAC regulation [40]. Taken together, these findings suggest that multiple regulatory layers, including posttranscriptional control, PTMs, and compensatory signaling, may collectively account for the discordant AADAC mRNA and protein expression observed in PE placentas. Notably, while AADAC OE significantly altered tube formation, it did not affect invasion, in contrast to the effects observed following AADAC KD. This functional asymmetry suggests that AADAC may be more closely associated with angiogenic behavior and blood vessel–like structure formation than with trophoblast invasion. Such divergent effects between knockdown and overexpression conditions may reflect threshold-dependent or localization-dependent regulation, rather than a simple linear relationship between AADAC expression levels and cellular function. In this context, modest changes in AADAC expression may be sufficient to influence angiogenic properties, whereas further increases beyond a certain level may not proportionally affect invasive behavior. These findings are consistent with prior reports linking AADAC to cell migration and proliferation [26], and further suggest that AADAC may exert context-dependent functional roles within the placental microenvironment.
4. Materials and Methods
4.1. Patient Samples
4.2. Trophoblast Isolation
4.3. RNA Extraction and Next-Generation Sequencing Analysis
4.4. Semiquantitative PCR
4.5. Western Blot Analysis
4.6. Cell Lines and Reagents
4.7. Hypoxia
4.8. AADAC Knockdown
4.9. Generation of AADAC-Overexpressing Stable Cell Lines
4.10. Cell Invasion Assay
4.11. Tube Formation Assay
4.12. Statistical Analysis
5. Conclusions
Supplementary Materials
Author Contributions
Funding
Institutional Review Board Statement
Informed Consent Statement
Data Availability Statement
Conflicts of Interest
Abbreviations
| AADAC | Arylacetamide deacetylase |
| CoCl2 | Cobalt chloride |
| CVD | Cardiovascular disease |
| EVT | Extravillous trophoblast |
| GO | Gene Ontology |
| HIF1-α | Hypoxia-inducible factor 1-alpha |
| mTOR | Mammalian target of rapamycin |
| NGS | Next-generation sequencing |
| OE | Overexpression |
| PE | Preeclampsia |
| PTM | Posttranslational modification |
| PI3K | Phosphatidylinositol 3-kinase |
| RNA | Ribonucleic acid |
| VSMCs | Vascular smooth muscle cells |
References
- Chappell, L.C.; Cluver, C.A.; Tong, S. Pre-eclampsia. Lancet 2021, 398, 341–354. [Google Scholar] [CrossRef] [PubMed]
- Jeyabalan, A. Epidemiology of preeclampsia: Impact of obesity. Nutr. Rev. 2013, 71, S18–S25. [Google Scholar] [CrossRef]
- American College of Obstetricians and Gynecologists. ACOG Practice Bulletin No. 202: Gestational Hypertension and Preeclampsia. Obs. Gynecol. 2019, 133, e1–e25. [Google Scholar] [CrossRef]
- Duley, L. The global impact of pre-eclampsia and eclampsia. Semin. Perinatol. 2009, 33, 130–137. [Google Scholar] [CrossRef]
- Saigal, S.; Doyle, L.W. An overview of mortality and sequelae of preterm birth from infancy to adulthood. Lancet 2008, 371, 261–269. [Google Scholar] [CrossRef]
- Annesi, L.; Tossetta, G.; Borghi, C.; Piani, F. The Role of Xanthine Oxidase in Pregnancy Complications: A Systematic Review. Antioxidants 2024, 13, 1234. [Google Scholar] [CrossRef]
- Torres-Torres, J.; Espino, Y.S.S.; Martinez-Portilla, R.; Borboa-Olivares, H.; Estrada-Gutierrez, G.; Acevedo-Gallegos, S.; Ruiz-Ramirez, E.; Velasco-Espin, M.; Cerda-Flores, P.; Ramirez-Gonzalez, A.; et al. A Narrative Review on the Pathophysiology of Preeclampsia. Int. J. Mol. Sci. 2024, 25, 7569. [Google Scholar] [CrossRef]
- Marzioni, D.; Piani, F.; Di Simone, N.; Giannubilo, S.R.; Ciavattini, A.; Tossetta, G. Importance of STAT3 signaling in preeclampsia (Review). Int. J. Mol. Med. 2025, 55, 58. [Google Scholar] [CrossRef]
- Li, S.; Zhu, J.; Zhao, Y.; An, P.; Zhao, H.; Xiong, Y. Metabolic disorder of nutrients-an emerging field in the pathogenesis of preeclampsia. Front. Nutr. 2025, 12, 1560610. [Google Scholar] [CrossRef]
- Fisher, S.J. Why is placentation abnormal in preeclampsia? Am. J. Obstet. Gynecol. 2015, 213, S115–S122. [Google Scholar] [CrossRef]
- Kaufmann, P.; Black, S.; Huppertz, B. Endovascular trophoblast invasion: Implications for the pathogenesis of intrauterine growth retardation and preeclampsia. Biol. Reprod. 2003, 69, 1–7. [Google Scholar] [CrossRef] [PubMed]
- Piani, F.; Agnoletti, D.; Baracchi, A.; Scarduelli, S.; Verde, C.; Tossetta, G.; Montaguti, E.; Simonazzi, G.; Degli Esposti, D.; Borghi, C. Serum uric acid to creatinine ratio and risk of preeclampsia and adverse pregnancy outcomes. J. Hypertens. 2023, 41, 1333–1338. [Google Scholar] [CrossRef] [PubMed]
- Chaemsaithong, P.; Sahota, D.S.; Poon, L.C. First trimester preeclampsia screening and prediction. Am. J. Obstet. Gynecol. 2022, 226, S1071–S1097. [Google Scholar] [CrossRef] [PubMed]
- Roberts, D.J.; Polizzano, C. Atlas of Placental Pathology; American Registry of Pathology: Washington, DC, USA, 2021. [Google Scholar]
- Awamleh, Z.; Gloor, G.B.; Han, V.K. Placental microRNAs in pregnancies with early onset intrauterine growth restriction and preeclampsia: Potential impact on gene expression and pathophysiology. BMC Med. Genom. 2019, 12, 91. [Google Scholar] [CrossRef]
- Chang, S.-D.; Chao, A.-S.; Peng, H.-H.; Chang, Y.-L.; Wang, C.-N.; Cheng, P.-J.; Lee, Y.-S.; Chao, A.; Wang, T.-H. Analyses of placental gene expression in pregnancy-related hypertensive disorders. Taiwan. J. Obstet. Gynecol. 2011, 50, 283–291. [Google Scholar] [CrossRef]
- Dupressoir, A.; Vernochet, C.; Harper, F.; Guégan, J.; Dessen, P.; Pierron, G.; Heidmann, T. A pair of co-opted retroviral envelope syncytin genes is required for formation of the two-layered murine placental syncytiotrophoblast. Proc. Natl. Acad. Sci. USA 2011, 108, E1164–E1173. [Google Scholar] [CrossRef]
- Quiroga, A.D.; Lehner, R. Pharmacological intervention of liver triacylglycerol lipolysis: The good, the bad and the ugly. Biochem. Pharmacol. 2018, 155, 233–241. [Google Scholar] [CrossRef]
- Bidne, K.L.; Uhlson, C.; Palmer, C.; Zemski-Berry, K.; Powell, T.L. Human placental lipid content and lipid metabolic enzyme abundance in obesity and across gestation. Clin. Sci. 2022, 136, 1389–1404. [Google Scholar] [CrossRef]
- Caniggia, I.; Mostachfi, H.; Winter, J.; Gassmann, M.; Lye, S.J.; Kuliszewski, M.; Post, M. Hypoxia-inducible factor-1 mediates the biological effects of oxygen on human trophoblast differentiation through TGFβ 3. J. Clin. Investig. 2000, 105, 577–587. [Google Scholar] [CrossRef]
- Rajakumar, A.; Conrad, K.P. Expression, ontogeny, and regulation of hypoxia-inducible transcription factors in the human placenta. Biol. Reprod. 2000, 63, 559–569. [Google Scholar] [CrossRef]
- Caniggia, I.; Grisaru-Gravnosky, S.; Kuliszewsky, M.; Post, M.; Lye, S.J. Inhibition of TGF-β 3 restores the invasive capability of extravillous trophoblasts in preeclamptic pregnancies. J. Clin. Investig. 1999, 103, 1641–1650. [Google Scholar] [CrossRef]
- Tal, R. The role of hypoxia and hypoxia-inducible factor-1alpha in preeclampsia pathogenesis. Biol. Reprod. 2012, 87, 134. [Google Scholar] [CrossRef]
- He, C.; Shan, N.; Xu, P.; Ge, H.; Yuan, Y.; Liu, Y.; Zhang, P.; Wen, L.; Zhang, F.; Xiong, L. Hypoxia-induced downregulation of SRC-3 suppresses trophoblastic invasion and migration through inhibition of the AKT/mTOR pathway: Implications for the pathogenesis of preeclampsia. Sci. Rep. 2019, 9, 10349. [Google Scholar] [CrossRef]
- Wang, H.; Wang, D.; Gu, T.; Zhu, M.; Cheng, L.; Da, W. AADAC promotes therapeutic activity of cisplatin and imatinib against ovarian cancer cells. Histol. Histopathol. 2022, 37, 899–907. [Google Scholar] [CrossRef] [PubMed]
- Toyohara, T.; Roudnicky, F.; Florido, M.H.; Nakano, T.; Yu, H.; Katsuki, S.; Lee, M.; Meissner, T.; Friesen, M.; Davidow, L.S. Patient hiPSCs identify vascular smooth muscle arylacetamide deacetylase as protective against atherosclerosis. Cell Stem Cell 2020, 27, 147–157.e147. [Google Scholar] [CrossRef]
- Hunkapiller, N.M.; Gasperowicz, M.; Kapidzic, M.; Plaks, V.; Maltepe, E.; Kitajewski, J.; Cross, J.C.; Fisher, S.J. A role for Notch signaling in trophoblast endovascular invasion and in the pathogenesis of pre-eclampsia. Development 2011, 138, 2987–2998. [Google Scholar] [CrossRef] [PubMed]
- Chang, A.C.; Fu, Y.; Garside, V.C.; Niessen, K.; Chang, L.; Fuller, M.; Setiadi, A.; Smrz, J.; Kyle, A.; Minchinton, A. Notch initiates the endothelial-to-mesenchymal transition in the atrioventricular canal through autocrine activation of soluble guanylyl cyclase. Dev. Cell 2011, 21, 288–300. [Google Scholar] [CrossRef]
- Karar, J.; Maity, A. PI3K/AKT/mTOR pathway in angiogenesis. Front. Mol. Neurosci. 2011, 4, 51. [Google Scholar] [CrossRef] [PubMed]
- Park, J.; Jeong, J.; Kang, M.; Baek, J.; Shin, J.; Lee, S.; Choi, W.; Lee, J.; Paik, W. Inhibition of the PI3K-Akt pathway suppresses sFlt1 expression in human placental hypoxia models in vitro. Placenta 2010, 31, 621–629. [Google Scholar] [CrossRef]
- Founds, S.A.; Fallert-Junecko, B.; Reinhart, T.; Conley, Y.; Parks, W. LAIR2 localizes specifically to sites of extravillous trophoblast invasion. Placenta 2010, 31, 880–885. [Google Scholar] [CrossRef]
- Meyaard, L. LAIR and collagens in immune regulation. Immunol. Lett. 2010, 128, 26–28. [Google Scholar] [CrossRef] [PubMed]
- Fejza, A.; Poletto, E.; Carobolante, G.; Camicia, L.; Andreuzzi, E.; Capuano, A.; Pivetta, E.; Pellicani, R.; Colladel, R.; Marastoni, S. Multimerin-2 orchestrates the cross-talk between endothelial cells and pericytes: A mechanism to maintain vascular stability. Matrix Biol. Plus 2021, 11, 100068. [Google Scholar] [CrossRef]
- Liu, Y.; Beyer, A.; Aebersold, R. On the dependency of cellular protein levels on mRNA abundance. Cell 2016, 165, 535–550. [Google Scholar] [CrossRef] [PubMed]
- Mouillet, J.-F.; Mishima, T.; do Amarante Paffaro, A.M.; Parks, T.W.; Ziegler, J.A.; Chu, T.; Sadovsky, Y. The expression and post-transcriptional regulation of FSTL1 transcripts in placental trophoblasts. Placenta 2015, 36, 1231–1238. [Google Scholar] [CrossRef]
- Goyal, R.; Lister, R.; Leitzke, A.; Goyal, D.; Gheorghe, C.P.; Longo, L.D. Antenatal maternal hypoxic stress: Adaptations of the placental renin-angiotensin system in the mouse. Placenta 2011, 32, 134–139. [Google Scholar] [CrossRef]
- Lee, J.M.; Hammarén, H.M.; Savitski, M.M.; Baek, S.H. Control of protein stability by post-translational modifications. Nat. Commun. 2023, 14, 201. [Google Scholar] [CrossRef] [PubMed]
- Zhong, Q.; Xiao, X.; Qiu, Y.; Xu, Z.; Chen, C.; Chong, B.; Zhao, X.; Hai, S.; Li, S.; An, Z.; et al. Protein posttranslational modifications in health and diseases: Functions, regulatory mechanisms, and therapeutic implications. MedComm 2023, 4, e261. [Google Scholar] [CrossRef]
- Rodríguez, J.A. Interplay between nuclear transport and ubiquitin/SUMO modifications in the regulation of cancer-related proteins. Semin. Cancer Biol. 2014, 27, 11–19. [Google Scholar] [CrossRef]
- Lynch, K.W. Regulation of alternative splicing by signal transduction pathways. Adv. Exp. Med. Biol. 2007, 623, 161–174. [Google Scholar] [CrossRef]
- Li, L.; Schust, D.J. Isolation, purification and in vitro differentiation of cytotrophoblast cells from human term placenta. Reprod. Biol. Endocrinol. 2015, 13, 71. [Google Scholar] [CrossRef]
- Muñoz-Sánchez, J.; Chánez-Cárdenas, M.E. The use of cobalt chloride as a chemical hypoxia model. J. Appl. Toxicol. 2019, 39, 556–570. [Google Scholar] [CrossRef] [PubMed]






| Characteristic | Normal (N = 15) | Preeclampsia (N = 30) | p Value |
|---|---|---|---|
| Maternal age (years) | 34.9 ± 3.4 | 34.8 ± 4.1 | 0.957 |
| Gestational age (weeks) | 33.5 ± 5.0 | 30.9 ± 4.8 | 0.094 |
| Prepregnancy maternal weight (kg) | 58.8 ± 9.1 | 69.8 ± 16.8 | 0.007 |
| Maternal weight at birth (kg) | 68.4 ± 5.9 | 81.8 ± 16.9 | <0.001 |
| Prepregnancy BMI (kg/m2) | 22.5 ± 4.0 | 26.7 ± 5.9 | 0.019 |
| Systolic blood pressure (mmHg) | 124.5 ± 10.9 | 173.0 ± 17.1 | <0.001 |
| Diastolic blood pressure (mmHg) | 77.5 ± 9.7 | 107.8 ± 13.8 | <0.001 |
| Urine protein/creatinine ratio | 0.1 ± 0.1 | 3.8 ± 4.9 | <0.001 |
Disclaimer/Publisher’s Note: The statements, opinions and data contained in all publications are solely those of the individual author(s) and contributor(s) and not of MDPI and/or the editor(s). MDPI and/or the editor(s) disclaim responsibility for any injury to people or property resulting from any ideas, methods, instructions or products referred to in the content. |
© 2026 by the authors. Licensee MDPI, Basel, Switzerland. This article is an open access article distributed under the terms and conditions of the Creative Commons Attribution (CC BY) license.
Share and Cite
An, H.J.; Song, D.H.; Kim, Y.-m.; Jo, H.C.; Baek, J.C.; Yang, J.; Park, J.E. Altered AADAC Modulates Trophoblast Invasion and Suggests a Potential Angiogenic Regulatory Role in Severe Preeclampsia. Int. J. Mol. Sci. 2026, 27, 1103. https://doi.org/10.3390/ijms27021103
An HJ, Song DH, Kim Y-m, Jo HC, Baek JC, Yang J, Park JE. Altered AADAC Modulates Trophoblast Invasion and Suggests a Potential Angiogenic Regulatory Role in Severe Preeclampsia. International Journal of Molecular Sciences. 2026; 27(2):1103. https://doi.org/10.3390/ijms27021103
Chicago/Turabian StyleAn, Hyo Jung, Dae Hyun Song, Yu-min Kim, Hyen Chul Jo, Jong Chul Baek, Juseok Yang, and Ji Eun Park. 2026. "Altered AADAC Modulates Trophoblast Invasion and Suggests a Potential Angiogenic Regulatory Role in Severe Preeclampsia" International Journal of Molecular Sciences 27, no. 2: 1103. https://doi.org/10.3390/ijms27021103
APA StyleAn, H. J., Song, D. H., Kim, Y.-m., Jo, H. C., Baek, J. C., Yang, J., & Park, J. E. (2026). Altered AADAC Modulates Trophoblast Invasion and Suggests a Potential Angiogenic Regulatory Role in Severe Preeclampsia. International Journal of Molecular Sciences, 27(2), 1103. https://doi.org/10.3390/ijms27021103

