The Brucella Effector Protein BspF Crotonylates TRIM38 to Inhibit NF-κB and MAPK Signaling Pathway
Abstract
1. Introduction
2. Results
2.1. BspF Promotes the Crotonylation of TRIM38
2.2. BspF Inhibits the Activation of Pro-Inflammatory Factors
2.3. BspF Inhibits the Activation of Inflammatory Signaling Pathways
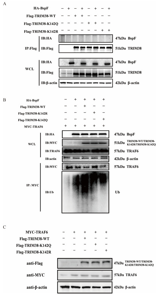
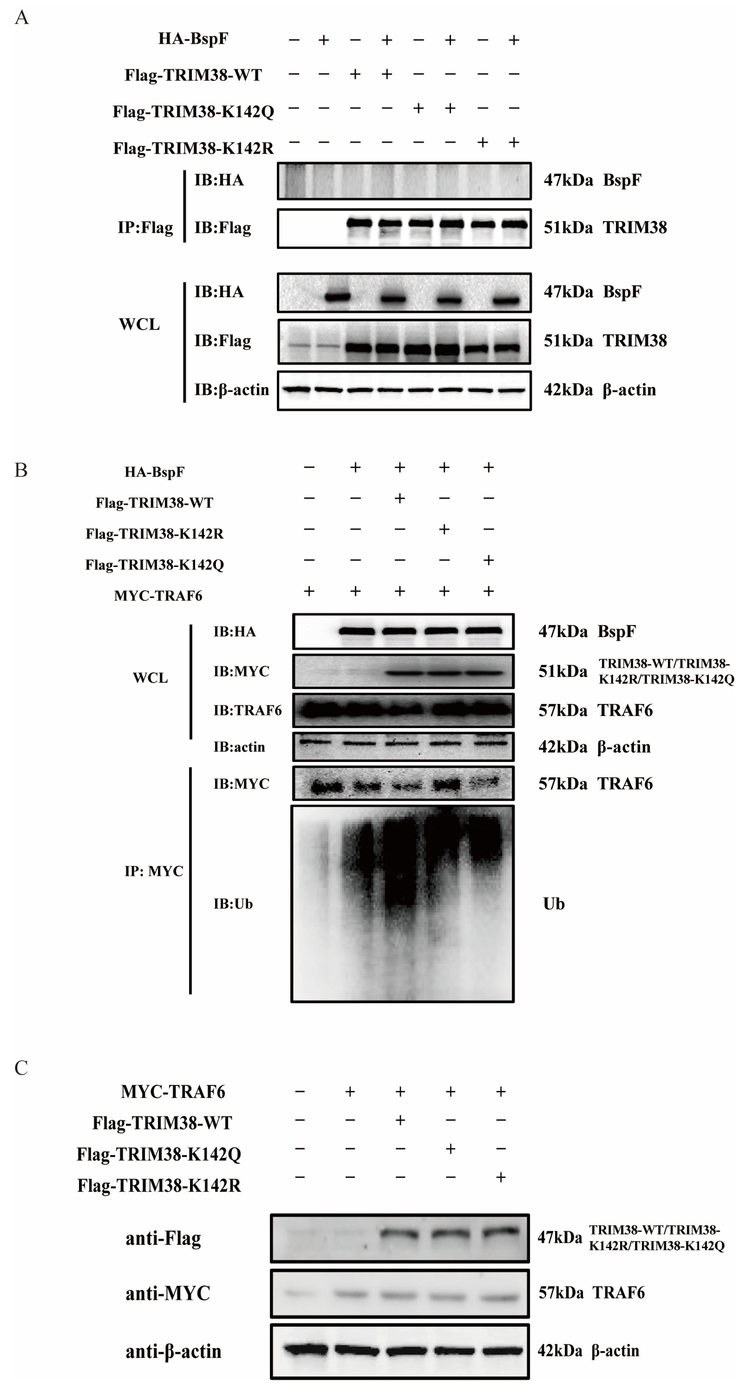
2.4. BspF Down-Regulates TRAF6 Protein Expression in a TRIM38-Dependent Manner
2.5. BspF Facilitates TRAF6 Degradation Through Crotonylated TRIM38K142
3. Discussion
4. Materials and Methods
4.1. Strains and Cells
4.2. Plasmid Cloning
- TRIM38K142R-F (CAGCGAGCTGTGACAAAACTGAAGCAACTTGAA),
- TRIM38K142R-R (TTTTGTCACAGCTCGCTGGAGCTTTTCCTTGTAGCCC),
- TRIM38K142Q-F (AAGCTCCAGCAAGCTGTGACAAAACTGAAGCAAC),
- TRIM38K142Q-R (ACAGCTTGCTGGAGCTTTTCCTTGTAGCCCTG).
4.3. Brucella Infection Experiment
4.4. RNA Extraction and Reverse Transcription
4.5. Real-Time PCR
- IL-6-F (ACCACTCCCAACAGACCTG), IL-6-R (CTGCAAGTGCATCATCGTTG),
- IL-8-F (GGCCCAATTACTAACAGGT), IL-8-R (ATATAGAGGCTTTTCATGCTCA),
- TNF-α-F (ATGGCCTCCCTCTCATCAG), TNF-α-R (CTCAGCCACTCCAGCTGCTC).
| Stage | Step | Cycle Number | Temperature | Time |
|---|---|---|---|---|
| Stage 1 | Pre—Denaturation | Rep: 1 | 95 °C | 30 s |
| Stage 2 | Cyclic Reaction | Rep: 40 | 95 °C | 10 s |
| 60 °C | 30 s | |||
| Stage 3 | Dissolution Curve | Rep: 1 | 95 °C | 15 s |
| 60 °C | 60 s | |||
| 95 °C | 15 s |
4.6. Cell Culture, Plasmid Transfection
4.7. Western Blot and Co-Immunoprecipitation Experiments
4.8. Antibodies and Other Reagents
4.9. Statistical Analysis
Author Contributions
Funding
Institutional Review Board Statement
Informed Consent Statement
Data Availability Statement
Conflicts of Interest
Abbreviations
| aa | Amino acid |
| CβG | Cyclic β-1-2-glucan |
| Co-IP | Co-immunoprecipitation |
| DMEM | Dulbecco’s Modified Eagle Medium |
| ERAD | Endoplasmic Reticulum-Associated Degradation |
| ERK | Extracellular regulated protein kinases, |
| EV | Empty vector |
| GNAT | GCN5-Related N-Acetyltransferases |
| GAP | GTPase activator protein |
| HIV | Human Immunodeficiency Virus |
| HRP | Horseradish peroxidase |
| IFN | Interferon |
| IKK | I kappaB kinase |
| IL | Interleukin |
| JNK | c-Jun N-terminal kinases |
| Kcr | Lysine crotonylation |
| kDa | Kilodalton |
| LPS | Lipopolysaccharide |
| MAPK | Mitogen-activated protein kinase |
| MOI | Multiplicity of infection |
| Na2EDTA | Disodium ethylenediaminetetraacetate |
| NF-κB | Nuclear factor-kappaB |
| NI | Non-infected |
| rBCV | replicative Brucella-containing vacuole |
| PBS | Phosphate bufferd saline |
| RT-PCR | Reverse transcript polymerase chain reaction |
| SD | Standard Deviation |
| SDS-PAGE | Sodium dodecylsulphate-polyacrylamide gel electrophoresis |
| T4SS | Type IV secretion system |
| TGN | Trans-Golgi network |
| TLR | Toll-like receptor |
| TNF-α | Tumor necrosis factor |
| TNFR | Tumor necrosis factor receptor |
| TRAF6 | TNF receptor-associated factor 6 |
| TRIF | TIR domain-containing adaptor inducing 1FN-β |
| TRIM38 | E3 ubiquitin-protein ligase TRIM38 |
| TRIM38K142Cr | crotonylation at TRIM38K142 |
| Vce | VirB-coregulated effector |
| WCL | Whole Cell Lysate |
References
- Xiao, Y.; Li, M.; Guo, X.; Zeng, H.; Shuai, X.; Guo, J.; Huang, Q.; Chu, Y.; Zhou, B.; Wen, J.; et al. Inflammatory Mechanism of Brucella Infection in Placental Trophoblast Cells. Int. J. Mol. Sci. 2022, 23, 3417. [Google Scholar] [CrossRef] [PubMed]
- Zhang, N.; Huang, D.; Wu, W.; Liu, J.; Liang, F.; Zhou, B.; Guan, P. Animal brucellosis control or eradication programs worldwide: A systematic review of experiences and lessons learned. Prev. Vet. Med. 2018, 160, 105–115. [Google Scholar] [CrossRef] [PubMed]
- de Jong, M.F.; Tsolis, R.M. Brucellosis and type IV secretion. Future Microbiol. 2012, 7, 47–58. [Google Scholar] [CrossRef] [PubMed]
- Erkyihun, G.A.; Gari, F.R.; Kassa, G.M. Bovine Brucellosis and Its Public Health Significance in Ethiopia. Zoonoses 2022, 2, 985. [Google Scholar] [CrossRef]
- Shi, B.; Li, X.; Li, B.; Zheng, N.; Li, M.; Liu, Y.; Li, C.; Yan, F.; He, W.; Zhao, L.; et al. Construction and Evaluation of the Brucella Double Gene Knock-out Vaccine Strain MB6 Δbp26ΔwboA (RM6). Zoonoses 2022, 2, 971. [Google Scholar] [CrossRef]
- Zheng, M.; Lin, R.; Zhu, J.; Dong, Q.; Chen, J.; Jiang, P.; Zhang, H.; Liu, J.; Chen, Z. Effector Proteins of Type IV Secretion System: Weapons of Brucella Used to Fight Against Host Immunity. Curr. Stem Cell Res. Ther. 2024, 19, 145–153. [Google Scholar] [CrossRef]
- Głowacka, P.; Żakowska, D.; Naylor, K.; Niemcewicz, M.; Bielawska-Drózd, A. Brucella—Virulence Factors, Pathogenesis and Treatment. Pol. J. Microbiol. 2018, 67, 151–161. [Google Scholar] [CrossRef]
- Miller, C.N.; Smith, E.P.; Cundiff, J.A.; Knodler, L.A.; Bailey Blackburn, J.; Lupashin, V.; Celli, J. A Brucella Type IV Effector Targets the COG Tethering Complex to Remodel Host Secretory Traffic and Promote Intracellular Replication. Cell Host Microbe 2017, 22, 317–329.e317. [Google Scholar] [CrossRef]
- Luizet, J.B.; Raymond, J.; Lacerda, T.L.S.; Barbieux, E.; Kambarev, S.; Bonici, M.; Lembo, F.; Willemart, K.; Borg, J.P.; Celli, J.; et al. The Brucella effector BspL targets the ER-associated degradation (ERAD) pathway and delays bacterial egress from infected cells. Proc. Natl. Acad. Sci. USA 2021, 118, e2105324118. [Google Scholar] [CrossRef]
- Borghesan, E.; Smith, E.P.; Myeni, S.; Binder, K.; Knodler, L.A.; Celli, J. A Brucella effector modulates the Arf6-Rab8a GTPase cascade to promote intravacuolar replication. EMBO J. 2021, 40, e107664. [Google Scholar] [CrossRef]
- Zhu, J.; Dong, Q.; Dong, C.; Zhang, X.; Zhang, H.; Chen, Z. Corrigendum: Global Lysine Crotonylation Alterations of Host Cell Proteins Caused by Brucella Effector BspF. Front. Cell. Infect. Microbiol. 2021, 11, 819711. [Google Scholar] [CrossRef] [PubMed]
- Wan, J.; Liu, H.; Chu, J.; Zhang, H. Functions and mechanisms of lysine crotonylation. J. Cell. Mol. Med. 2019, 23, 7163–7169. [Google Scholar] [CrossRef] [PubMed]
- Montellier, E.; Rousseaux, S.; Zhao, Y.; Khochbin, S. Histone crotonylation specifically marks the haploid male germ cell gene expression program: Post-meiotic male-specific gene expression. Bioessays 2012, 34, 187–193. [Google Scholar] [CrossRef] [PubMed]
- Sabari, B.R.; Tang, Z.; Huang, H.; Yong-Gonzalez, V.; Molina, H.; Kong, H.E.; Dai, L.; Shimada, M.; Cross, J.R.; Zhao, Y.; et al. Intracellular Crotonyl-CoA Stimulates Transcription through p300-Catalyzed Histone Crotonylation. Mol. Cell 2018, 69, 533. [Google Scholar] [CrossRef]
- Zheng, Y.; Zhu, L.; Qin, Z.Y.; Guo, Y.; Wang, S.; Xue, M.; Shen, K.Y.; Hu, B.Y.; Wang, X.F.; Wang, C.Q.; et al. Modulation of cellular metabolism by protein crotonylation regulates pancreatic cancer progression. Cell Rep. 2023, 42, 112666. [Google Scholar] [CrossRef]
- Zhang, D.; Tang, J.; Xu, Y.; Huang, X.; Wang, Y.; Jin, X.; Wu, G.; Liu, P. Global crotonylome reveals hypoxia-mediated lamin A crotonylation regulated by HDAC6 in liver cancer. Cell Death Dis. 2022, 13, 717. [Google Scholar] [CrossRef]
- Li, Z.; Li, J.; Li, F.; Han, L.; Sui, C.; Zhou, L.; Zhang, D.; Fu, Y.; Du, R.; Kou, J.; et al. Potential functions and mechanisms of lysine crotonylation modification (Kcr) in tumorigenesis and lymphatic metastasis of papillary thyroid cancer (PTC). J. Transl. Med. 2024, 22, 874. [Google Scholar] [CrossRef]
- Wang, Z.; Zhao, N.; Zhang, S.; Wang, D.; Wang, S.; Liu, N. YEATS domain-containing protein GAS41 regulates nuclear shape by working in concert with BRD2 and the mediator complex in colorectal cancer. Pharmacol. Res. 2024, 206, 107283. [Google Scholar] [CrossRef]
- Bruner, K.M.; Hosmane, N.N.; Siliciano, R.F. Towards an HIV-1 cure: Measuring the latent reservoir. Trends Microbiol. 2015, 23, 192–203. [Google Scholar] [CrossRef]
- Jiang, G.; Nguyen, D.; Archin, N.M.; Yukl, S.A.; Méndez-Lagares, G.; Tang, Y.; Elsheikh, M.M.; Thompson, G.R., 3rd; Hartigan-O’Connor, D.J.; Margolis, D.M.; et al. HIV latency is reversed by ACSS2-driven histone crotonylation. J. Clin. Investig. 2018, 128, 1190–1198. [Google Scholar] [CrossRef]
- Khan, S.; Iqbal, M.; Tariq, M.; Baig, S.M.; Abbas, W. Epigenetic regulation of HIV-1 latency: Focus on polycomb group (PcG) proteins. Clin. Epigenetics 2018, 10, 14. [Google Scholar] [CrossRef] [PubMed]
- Guo, X.; Zeng, H.; Li, M.; Xiao, Y.; Gu, G.; Song, Z.; Shuai, X.; Guo, J.; Huang, Q.; Zhou, B.; et al. The mechanism of chronic intracellular infection with Brucella spp. Front. Cell. Infect. Microbiol. 2023, 13, 1129172. [Google Scholar] [CrossRef] [PubMed]
- Xiong, X.; Li, B.; Zhou, Z.; Gu, G.; Li, M.; Liu, J.; Jiao, H. The VirB System Plays a Crucial Role in Brucella Intracellular Infection. Int. J. Mol. Sci. 2021, 22, 13637. [Google Scholar] [CrossRef] [PubMed]
- Roop, R.M., 2nd; Barton, I.S.; Hopersberger, D.; Martin, D.W. Uncovering the Hidden Credentials of Brucella Virulence. Microbiol. Mol. Biol. Rev. MMBR 2021, 85, 10–1128. [Google Scholar] [CrossRef]
- Li, C.; Wang, J.; Sun, W.; Liu, X.; Wang, J.; Peng, Q. The Brucella Effector BspI Suppresses Inflammation via Inhibition of IRE1 Kinase Activity during Brucella Infection. J. Immunol. 2022, 209, 488–497. [Google Scholar] [CrossRef]
- Lu, Z.; Deng, M.; Ma, G.; Chen, L. TRIM38 protects H9c2 cells from hypoxia/reoxygenation injury via the TRAF6/TAK1/NF-κB signalling pathway. PeerJ 2022, 10, e13815. [Google Scholar] [CrossRef]
- Hu, M.M.; Xie, X.Q.; Yang, Q.; Liao, C.Y.; Ye, W.; Lin, H.; Shu, H.B. TRIM38 Negatively Regulates TLR3/4-Mediated Innate Immune and Inflammatory Responses by Two Sequential and Distinct Mechanisms. J. Immunol. 2015, 195, 4415–4425. [Google Scholar] [CrossRef]
- Hu, M.M.; Shu, H.B. Multifaceted roles of TRIM38 in innate immune and inflammatory responses. Cell. Mol. Immunol. 2017, 14, 331–338. [Google Scholar] [CrossRef]
- Peng, Y.; Bai, W.; Wang, Z.; Yu, H. TLR9/NF-kB Pathway Regulates Brucella CpG DNA-mediated Cytokine Response in Human Peripheral Blood Mononuclear Cells. Iran. J. Immunol. IJI 2021, 18, 268–278. [Google Scholar] [CrossRef]
- Mitroulis, I.; Chrysanthopoulou, A.; Divolis, G.; Ioannidis, C.; Ntinopoulou, M.; Tasis, A.; Konstantinidis, T.; Antoniadou, C.; Soteriou, N.; Lallas, G.; et al. A gene expression map of host immune response in human brucellosis. Front. Immunol. 2022, 13, 951232. [Google Scholar] [CrossRef]
- Dominguez-Flores, A.; Rodríguez López, G.M.; Soria-Castro, R.; López-Santiago, R.; Rodríguez-Cortés, O.; Pérez-Tapia, S.M.; Chávez-Blanco, A.D.; Estrada-Parra, S.; Flores-Mejía, R.; Chacón-Salinas, R. Brucella abortus induces mast cell activation through TLR-2 and TLR-4. Microb. Pathog. 2023, 176, 106005. [Google Scholar] [CrossRef] [PubMed]
- Jiao, H.; Zhou, Z.; Li, B.; Xiao, Y.; Li, M.; Zeng, H.; Guo, X.; Gu, G. The Mechanism of Facultative Intracellular Parasitism of Brucella. Int. J. Mol. Sci. 2021, 22, 3673. [Google Scholar] [CrossRef] [PubMed]
- Hui, B.; Zhang, L.; Zhou, Q.; Hui, L. Pristimerin Inhibits LPS-Triggered Neurotoxicity in BV-2 Microglia Cells Through Modulating IRAK1/TRAF6/TAK1-Mediated NF-κB and AP-1 Signaling Pathways In Vitro. Neurotox. Res. 2018, 33, 268–283. [Google Scholar] [CrossRef] [PubMed]






| Reactive Component | Volume (μL) | Concentration |
|---|---|---|
| cDNA | 1 | 500 ng/μL |
| Forward primer | 0.5 | 10 μm |
| Reverse primer | 0.5 | 10 μm |
| SYBR Green I Master (2×) | 10 | |
| RNase Free H2O | 8 | |
| Total volume | 20 |
Disclaimer/Publisher’s Note: The statements, opinions and data contained in all publications are solely those of the individual author(s) and contributor(s) and not of MDPI and/or the editor(s). MDPI and/or the editor(s) disclaim responsibility for any injury to people or property resulting from any ideas, methods, instructions or products referred to in the content. |
© 2025 by the authors. Licensee MDPI, Basel, Switzerland. This article is an open access article distributed under the terms and conditions of the Creative Commons Attribution (CC BY) license (https://creativecommons.org/licenses/by/4.0/).
Share and Cite
Zhang, H.; Xing, Y.; Zhu, J.; Wu, S.; Gao, J.; Wang, Y.; Yu, Z.; Li, A.; Li, Y.; Chen, X.; et al. The Brucella Effector Protein BspF Crotonylates TRIM38 to Inhibit NF-κB and MAPK Signaling Pathway. Int. J. Mol. Sci. 2025, 26, 3573. https://doi.org/10.3390/ijms26083573
Zhang H, Xing Y, Zhu J, Wu S, Gao J, Wang Y, Yu Z, Li A, Li Y, Chen X, et al. The Brucella Effector Protein BspF Crotonylates TRIM38 to Inhibit NF-κB and MAPK Signaling Pathway. International Journal of Molecular Sciences. 2025; 26(8):3573. https://doi.org/10.3390/ijms26083573
Chicago/Turabian StyleZhang, Huan, Yukai Xing, Jinying Zhu, Sijiao Wu, Jingbo Gao, Yuqi Wang, Ze Yu, Ang Li, Yuzhuo Li, Xiaoyue Chen, and et al. 2025. "The Brucella Effector Protein BspF Crotonylates TRIM38 to Inhibit NF-κB and MAPK Signaling Pathway" International Journal of Molecular Sciences 26, no. 8: 3573. https://doi.org/10.3390/ijms26083573
APA StyleZhang, H., Xing, Y., Zhu, J., Wu, S., Gao, J., Wang, Y., Yu, Z., Li, A., Li, Y., Chen, X., & Chen, Z. (2025). The Brucella Effector Protein BspF Crotonylates TRIM38 to Inhibit NF-κB and MAPK Signaling Pathway. International Journal of Molecular Sciences, 26(8), 3573. https://doi.org/10.3390/ijms26083573

