Premutation Females with preFXTAS
Abstract
1. Introduction
2. Materials and Methods
2.1. Subjects
2.2. Molecular Measures: CGG Sizing, Activation Ratio, and FMR1 mRNA Expression
- (i)
- The first number is the repeat number in the normal allele: The normal alleles range from 6 to 44 repeats.
- (ii)
- The second number is the premutation allele: This has a range between 55 and 200 repeats.
2.3. Neuropsychological Testing
2.4. Magnetic Resonance Imaging (MRI)
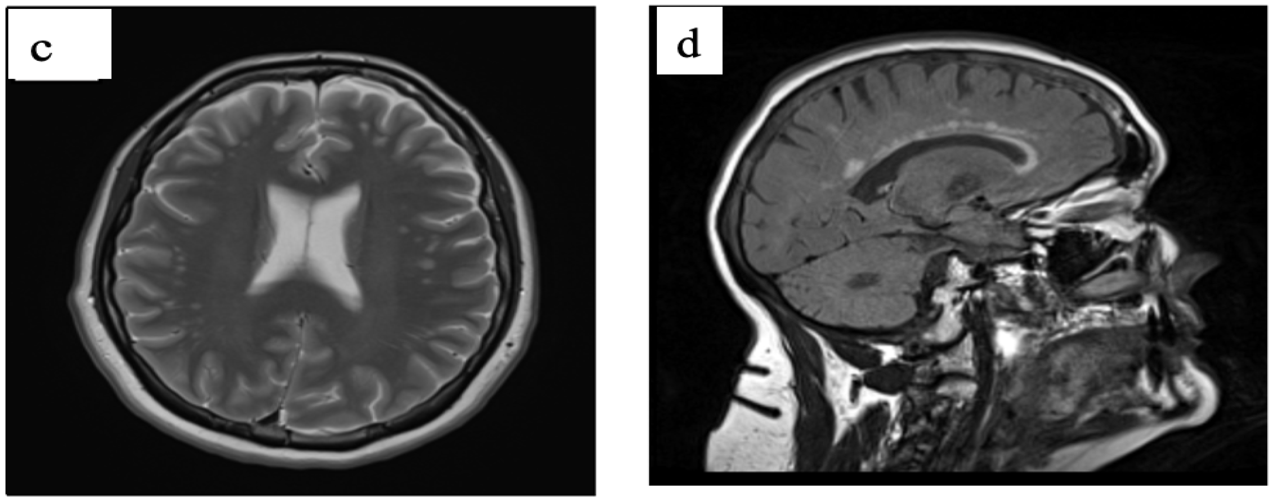
3. Case and Results
3.1. Case 1
3.2. Case 2
3.3. Case 3
3.4. Case 4
3.5. Case 5
3.6. Case 6
3.7. Case 7
3.8. Case 8
3.9. Case 9
3.10. Case 10


4. Discussion
Author Contributions
Funding
Institutional Review Board Statement
Informed Consent Statement
Data Availability Statement
Conflicts of Interest
References
- Tassone, F.; Hagerman, R.J.; Taylor, A.K.; Gane, L.W.; Godfrey, T.E.; Hagerman, P.J. Elevated levels of FMR1 mRNA in carrier males: A new mechanism of involvement in the fragile-X syndrome. Am. J. Hum. Genet. 2000, 66, 6–15. [Google Scholar] [CrossRef] [PubMed]
- Tassone, F.; Protic, D.; Allen, E.G.; Archibald, A.D.; Baud, A.; Brown, T.W.; Budimirovic, D.B.; Cohen, J.; Dufour, B.; Eiges, R.; et al. Insight and Recommendations for Fragile X-Premutation-Associated Conditions from the Fifth International Conference on FMR1 Premutation. Cells 2023, 12, 2330. [Google Scholar] [CrossRef] [PubMed]
- Dufour, B.D.; Bartley, T.; McBride, E.; Allen, E.; McLennan, Y.A.; Hagerman, R.J.; Martínez-Cerdeño, V. FXTAS Neuropathology Includes Widespread Reactive Astrogliosis and White Matter Specific Astrocyte Degeneration. Ann. Neurol. 2024, 95, 558–575. [Google Scholar] [CrossRef] [PubMed]
- Leehey, M.A. Fragile X-associated tremor/ataxia syndrome: Clinical phenotype, diagnosis, and treatment. J. Investig. Med. 2009, 57, 830–836. [Google Scholar] [CrossRef]
- Jacquemont, S.; Hagerman, R.J.; Leehey, M.A.; Hall, D.A.; Levine, R.A.; Brunberg, J.A.; Zhang, L.; Jardini, T.; Gane, L.W.; Harris, S.W.; et al. Penetrance of the fragile X-associated tremor/ataxia syndrome in a premutation carrier population. JAMA 2004, 291, 460–469. [Google Scholar] [CrossRef]
- Loesch, D.Z.; Atkinson, A.; Hall, D.A.; Tassone, F.; Stimpson, P.; Storey, E. Cognitive status correlates of subclinical action tremor in female carriers of FMR1 premutation. Front. Neurol. 2024, 15, 1401286. [Google Scholar] [CrossRef]
- Johnson, D.; Santos, E.; Kim, K.; Ponzini, M.D.; McLennan, Y.A.; Schneider, A.; Tassone, F.; Hagerman, R.J. Increased Pain Symptomatology Among Females vs. Males with Fragile X-Associated Tremor/Ataxia Syndrome. Front. Psychiatry 2022, 12, 762915. [Google Scholar] [CrossRef]
- Rodriguez-Revenga, L.; Pagonabarraga, J.; Gómez-Anson, B.; López-Mourelo, O.; Izquierdo, S.; Alvarez-Mora, M.I.; Granell, E.; Madrigal, I.; Milà, M. Carriage of One or Two FMR1 Premutation Alleles Seems to Have No Effect on Illness Severity in a FXTAS Female with an Autozygous FMR1 Premutation Allele. Cerebellum 2016, 15, 570–577. [Google Scholar] [CrossRef]
- Gallego, P.K.; Burris, J.L.; Rivera, S.M. Visual motion processing deficits in infants with the fragile X premutation. J. Neurodev. Disord. 2014, 6, 29. [Google Scholar] [CrossRef]
- Cordeiro, L.; Abucayan, F.; Hagerman, R.; Tassone, F.; Hessl, D. Anxiety disorders in fragile X premutation carriers: Preliminary characterization of probands and non-probands. Intractable Rare Dis. Res. 2015, 4, 123–130. [Google Scholar] [CrossRef]
- Farzin, F.; Perry, H.; Hessl, D.; Loesch, D.; Cohen, J.; Bacalman, S.; Gane, L.; Tassone, F.; Hagerman, P.; Hagerman, R. Autism spectrum disorders and attention-deficit/hyperactivity disorder in boys with the fragile X premutation. J. Dev. Behav. Pediatr. 2006, 27, S137–S144. [Google Scholar] [CrossRef] [PubMed]
- Aishworiya, R.; Protic, D.; Hagerman, R. Autism spectrum disorder in the fragile X premutation state: Possible mechanisms and implications. J. Neurol. 2022, 269, 4676–4683. [Google Scholar] [CrossRef] [PubMed]
- Bailey, D.B., Jr.; Raspa, M.; Olmsted, M.; Holiday, D.B. Co-occurring conditions associated with FMR1 gene variations: Findings from a national parent survey. Am. J. Med. Genet. A 2008, 146a, 2060–2069. [Google Scholar] [CrossRef] [PubMed]
- Sullivan, A.K.; Marcus, M.; Epstein, M.P.; Allen, E.G.; Anido, A.E.; Paquin, J.J.; Yadav-Shah, M.; Sherman, S.L. Association of FMR1 repeat size with ovarian dysfunction. Hum. Reprod. 2005, 20, 402–412. [Google Scholar] [CrossRef]
- Wang, Z.; Khemani, P.; Schmitt, L.M.; Lui, S.; Mosconi, M.W. Static and dynamic postural control deficits in aging fragile X mental retardation 1 (FMR1) gene premutation carriers. J. Neurodev. Disord. 2019, 11, 2. [Google Scholar] [CrossRef]
- Wang, Z.; Magnon, G.C.; White, S.P.; Greene, R.K.; Vaillancourt, D.E.; Mosconi, M.W. Individuals with autism spectrum disorder show abnormalities during initial and subsequent phases of precision gripping. J. Neurophysiol. 2015, 113, 1989–2001. [Google Scholar] [CrossRef]
- Hall, D.; Todorova-Koteva, K.; Pandya, S.; Bernard, B.; Ouyang, B.; Walsh, M.; Pounardjian, T.; Deburghraeve, C.; Zhou, L.; Losh, M.; et al. Neurological and endocrine phenotypes of fragile X carrier women. Clin. Genet. 2016, 89, 60–67. [Google Scholar] [CrossRef]
- Grigsby, J.; Brega, A.G.; Leehey, M.A.; Goodrich, G.K.; Jacquemont, S.; Loesch, D.Z.; Cogswell, J.B.; Epstein, J.; Wilson, R.; Jardini, T.; et al. Impairment of executive cognitive functioning in males with fragile X-associated tremor/ataxia syndrome. Mov. Disord. 2007, 22, 645–650. [Google Scholar] [CrossRef]
- Cornish, K.; Turk, J.; Hagerman, R. The fragile X continuum: New advances and perspectives. J. Intellect. Disabil. Res. 2008, 52, 469–482. [Google Scholar] [CrossRef]
- Cornish, K.M.; Kogan, C.S.; Li, L.; Turk, J.; Jacquemont, S.; Hagerman, R.J. Lifespan changes in working memory in fragile X premutation males. Brain Cogn. 2009, 69, 551–558. [Google Scholar] [CrossRef]
- Hessl, D.; Mandujano Rojas, K.; Ferrer, E.; Espinal, G.; Famula, J.; Schneider, A.; Hagerman, R.; Tassone, F.; Rivera, S.M. Carriers Report Executive Function Changes Prior to Fragile X-Associated Tremor/Ataxia Syndrome: A Longitudinal Study. Mov. Disord. 2024, 39, 519–525. [Google Scholar] [CrossRef] [PubMed]
- Hagerman, R.J.; Protic, D.; Rajaratnam, A.; Salcedo-Arellano, M.J.; Aydin, E.Y.; Schneider, A. Fragile X-Associated Neuropsychiatric Disorders (FXAND). Front. Psychiatry 2018, 9, 564. [Google Scholar] [CrossRef] [PubMed]
- Hagerman, R.J.; Leavitt, B.R.; Farzin, F.; Jacquemont, S.; Greco, C.M.; Brunberg, J.A.; Tassone, F.; Hessl, D.; Harris, S.W.; Zhang, L.; et al. Fragile-X-associated tremor/ataxia syndrome (FXTAS) in females with the FMR1 premutation. Am. J. Hum. Genet. 2004, 74, 1051–1056. [Google Scholar] [CrossRef] [PubMed]
- Greco, C.M.; Berman, R.F.; Martin, R.M.; Tassone, F.; Schwartz, P.H.; Chang, A.; Trapp, B.D.; Iwahashi, C.; Brunberg, J.; Grigsby, J.; et al. Neuropathology of fragile X-associated tremor/ataxia syndrome (FXTAS). Brain 2006, 129, 243–255. [Google Scholar] [CrossRef]
- Schneider, A.; Summers, S.; Tassone, F.; Seritan, A.; Hessl, D.; Hagerman, P.; Hagerman, R. Women with Fragile X–associated Tremor/Ataxia Syndrome. Mov. Disord. Clin. Pract. 2020, 7, 910–919. [Google Scholar] [CrossRef]
- Jacquemont, S.; Hagerman, R.J.; Leehey, M.; Grigsby, J.; Zhang, L.; Brunberg, J.A.; Greco, C.; Des Portes, V.; Jardini, T.; Levine, R.; et al. Fragile X premutation tremor/ataxia syndrome: Molecular, clinical, and neuroimaging correlates. Am. J. Hum. Genet. 2003, 72, 869–878. [Google Scholar] [CrossRef]
- Hall, D.A.; Birch, R.C.; Anheim, M.; Jønch, A.E.; Pintado, E.; O’Keefe, J.; Trollor, J.N.; Stebbins, G.T.; Hagerman, R.J.; Fahn, S.; et al. Emerging topics in FXTAS. J. Neurodev. Disord. 2014, 6, 31. [Google Scholar] [CrossRef]
- Tassone, F.; Hagerman, R.J.; Iklé, D.N.; Dyer, P.N.; Lampe, M.; Willemsen, R.; Oostra, B.A.; Taylor, A.K. FMRP expression as a potential prognostic indicator in fragile X syndrome. Am. J. Med. Genet. 1999, 84, 250–261. [Google Scholar] [CrossRef]
- Hall, D.A.; Hermanson, M.; Dunn, E.; Stebbins, G.; Merkitch, D.; Ouyang, B.; Berry-Kravis, E.; Jhaveri, M. The Corpus Callosum Splenium Sign in Fragile X-Associated Tremor Ataxia Syndrome. Mov. Disord. Clin. Pract. 2017, 4, 383–388. [Google Scholar] [CrossRef]
- Basuta, K.; Schneider, A.; Gane, L.; Polussa, J.; Woodruff, B.; Pretto, D.; Hagerman, R.; Tassone, F. High Functioning Male with Fragile X Syndrome and Fragile X-Associated Tremor/Ataxia Syndrome. Am. J. Med. Genet. Part A 2015, 167, 2154–2161. [Google Scholar] [CrossRef]
- Filipovic-Sadic, S.; Sah, S.; Chen, L.; Krosting, J.; Sekinger, E.; Zhang, W.; Hagerman, P.J.; Stenzel, T.T.; Hadd, A.G.; Latham, G.J.; et al. A novel FMR1 PCR method for the routine detection of low abundance expanded alleles and full mutations in fragile X syndrome. Clin. Chem. 2010, 56, 399–408. [Google Scholar] [CrossRef] [PubMed]
- Sodhi, D.K.; Hagerman, R. Fragile X Premutation: Medications, Therapy and Lifestyle Advice. Pharmgenom. Pers. Med. 2021, 14, 1689–1699. [Google Scholar] [CrossRef] [PubMed]
- Famula, J.L.; McKenzie, F.; McLennan, Y.A.; Grigsby, J.; Tassone, F.; Hessl, D.; Rivera, S.M.; Martinez-Cerdeno, V.; Hagerman, R.J. Presence of Middle Cerebellar Peduncle Sign in FMR1 Premutation Carriers Without Tremor and Ataxia. Front. Neurol. 2018, 9, 695. [Google Scholar] [CrossRef] [PubMed]
- Cabal-Herrera, A.M.; Tassanakijpanich, N.; Salcedo-Arellano, M.J.; Hagerman, R.J. Fragile X-Associated Tremor/Ataxia Syndrome (FXTAS): Pathophysiology and Clinical Implications. Int. J. Mol. Sci. 2020, 21, 4391. [Google Scholar] [CrossRef]
- Martínez-Cerdeño, V.; Wang, J.Y.; Grigsby, J.; Hall, D.; Hagerman, R.J. FXTAS New Advances and Treatments. In Fragile X Syndrome and Premutation Disorders: New Developments and Treatments; Hagerman, R.J., Hagerman, P.J., Eds.; Mac Keith Press: London, UK, 2020; Volume 63, pp. 83–96. [Google Scholar]
- Morrison, D.; Pozini, M.; Santos, E.; Biag, H.H.; Espinal, G.; Tassone, F.; Rivera, S.; Hessl, D.; Schneider, A.; Bourgeois, J.; et al. Progression of Fragile X-associated tremor/ataxia syndrome revealed by subtype and stage inference. 2025; Under Review. [Google Scholar]
- Hunter, J.E.; Leslie, M.; Novak, G.; Hamilton, D.; Shubeck, L.; Charen, K.; Abramowitz, A.; Epstein, M.P.; Lori, A.; Binder, E.; et al. Depression and anxiety symptoms among women who carry the FMR1 premutation: Impact of raising a child with fragile X syndrome is moderated by CRHR1 polymorphisms. Am. J. Med. Genet. B Neuropsychiatr. Genet. 2012, 159b, 549–559. [Google Scholar] [CrossRef]
- Seritan, A.L.; Bourgeois, J.A.; Schneider, A.; Mu, Y.; Hagerman, R.J.; Nguyen, D.V. Ages of Onset of Mood and Anxiety Disorders in Fragile X Premutation Carriers. Curr. Psychiatry Rev. 2013, 9, 65–71. [Google Scholar] [CrossRef]
- Coffey, S.M.; Cook, K.; Tartaglia, N.; Tassone, F.; Nguyen, D.V.; Pan, R.; Bronsky, H.E.; Yuhas, J.; Borodyanskaya, M.; Grigsby, J.; et al. Expanded clinical phenotype of women with the FMR1 premutation. Am. J. Med. Genet. A 2008, 146a, 1009–1016. [Google Scholar] [CrossRef]
- Winarni, T.I.; Chonchaiya, W.; Sumekar, T.A.; Ashwood, P.; Morales, G.M.; Tassone, F.; Nguyen, D.V.; Faradz, S.M.; Van de Water, J.; Cook, K.; et al. Immune-mediated disorders among women carriers of fragile X premutation alleles. Am. J. Med. Genet. A 2012, 158a, 2473–2481. [Google Scholar] [CrossRef]
- Apartis, E.; Blancher, A.; Meissner, W.G.; Guyant-Maréchal, L.; Maltête, D.; De Broucker, T.; Legrand, A.P.; Bouzenada, H.; Thanh, H.T.; Sallansonnet-Froment, M.; et al. FXTAS: New insights and the need for revised diagnostic criteria. Neurology 2012, 79, 1898–1907. [Google Scholar] [CrossRef]
- Hagerman, R.J.; Hagerman, P. Fragile X-associated tremor/ataxia syndrome—Features, mechanisms and management. Nat. Rev. Neurol. 2016, 12, 403–412. [Google Scholar] [CrossRef]
- Loan, A.; Syal, C.; Lui, M.; He, L.; Wang, J. Promising use of metformin in treating neurological disorders: Biomarker-guided therapies. Neural Regen. Res. 2024, 19, 1045–1055. [Google Scholar] [CrossRef] [PubMed]
- Bergmann, N.C.; Davies, M.J.; Lingvay, I.; Knop, F.K. Semaglutide for the treatment of overweight and obesity: A review. Diabetes Obes. Metab. 2023, 25, 18–35. [Google Scholar] [CrossRef] [PubMed]
- Schneider, A.; Johnston, C.; Tassone, F.; Sansone, S.; Hagerman, R.J.; Ferrer, E.; Rivera, S.M.; Hessl, D. Broad autism spectrum and obsessive-compulsive symptoms in adults with the fragile X premutation. Clin. Neuropsychol. 2016, 30, 929–943. [Google Scholar] [CrossRef] [PubMed]
- Wheeler, A.C.; Miller, S.; Wylie, A.; Edwards, A. Mindfulness and Acceptance as Potential Protective Factors for Mothers of Children with Fragile X Syndrome. Front. Public Health 2018, 6, 316. [Google Scholar] [CrossRef]
- Bourgeois, J.A.; Coffey, S.M.; Rivera, S.M.; Hessl, D.; Gane, L.W.; Tassone, F.; Greco, C.; Finucane, B.; Nelson, L.; Berry-Kravis, E.; et al. A review of fragile X premutation disorders: Expanding the psychiatric perspective. J. Clin. Psychiatry 2009, 70, 852–862. [Google Scholar] [CrossRef]
- Yang, J.-C.; Niu, Y.-Q.; Simon, C.; Seritan, A.L.; Chen, L.; Schneider, A.; Moghaddam, S.T.; Hagerman, P.J.; Hagerman, R.J.; Olichney, J.M. Memantine Effects on Verbal Memory in Fragile X-associated Tremor/Ataxia Syndrome (FXTAS): A Double-Blind Brain Potential Study. Neuropsychopharmacology 2014, 39, 2760–2768. [Google Scholar] [CrossRef]
- Yang, J.-C.; Rodriguez, A.; Royston, A.; Niu, Y.-Q.; Avar, M.; Brill, R.; Simon, C.; Grigsby, J.; Hagerman, R.J.; Olichney, J.M. Memantine Improves Attentional Processes in Fragile X-Associated Tremor/Ataxia Syndrome: Electrophysiological Evidence from a Randomized Controlled Trial. Sci. Rep. 2016, 6, 21719. [Google Scholar] [CrossRef]
- Hamlin, A.; Liu, Y.; Nguyen, D.V.; Tassone, F.; Zhang, L.; Hagerman, R.J. Sleep apnea in fragile X premutation carriers with and without FXTAS. Am. J. Med. Genet. B Neuropsychiatr. Genet. 2011, 156b, 923–928. [Google Scholar] [CrossRef]
- Hassanein, E.H.M.; Althagafy, H.S.; Baraka, M.A.; Abd-Alhameed, E.K.; Ibrahim, I.M. Pharmacological update of mirtazapine: A narrative literature review. Naunyn Schmiedebergs Arch. Pharmacol. 2024, 397, 2603–2619. [Google Scholar] [CrossRef]
- Suraev, A.S.; Marshall, N.S.; Vandrey, R.; McCartney, D.; Benson, M.J.; McGregor, I.S.; Grunstein, R.R.; Hoyos, C.M. Cannabinoid therapies in the management of sleep disorders: A systematic review of preclinical and clinical studies. Sleep Med. Rev. 2020, 53, 101339. [Google Scholar] [CrossRef]
- Polussa, J.; Schneider, A.; Hagerman, R. Molecular Advances Leading to Treatment Implications for Fragile X Premutation Carriers. Brain Disord. Ther. 2014, 3, 1000119. [Google Scholar] [CrossRef] [PubMed]
- Payán-Gómez, C.; Ramirez-Cheyne, J.; Saldarriaga, W. Variable Expressivity in Fragile X Syndrome: Towards the Identification of Molecular Characteristics That Modify the Phenotype. Appl. Clin. Genet. 2021, 14, 305–312. [Google Scholar] [CrossRef] [PubMed] [PubMed Central]
| Level of Confidence | |
|---|---|
| Definite | Presence of 1 major radiological sign plus 1 major clinical symptom |
| Probable | Presence of either 1 major radiological sign plus 1 minor clinical symptom or has the 2 major clinical symptoms. |
| Possible | Presence of 1 minor radiological sign plus 1 major clinical symptom |
| Symptom classes | |
| Radiologic: | |
| Major | MRI white matter lesions in MCPs and/or brain stem |
| Minor | MRI white matter lesions in cerebral white matter |
| Minor | Moderate to severe generalized atrophy |
| Minor | MRI white matter lesions in the splenium of the corpus callosum |
| Clinical: | |
| Major | Intentional tremor |
| Major | Gait ataxia |
| Minor | Parkinsonism |
| Minor | Moderate to severe short-term memory deficiency |
| Minor | Executive function deficit |
| Minor | Neuropathy in lower extremities |
| Neuropathology: | |
| Major | FXTAS intranuclear eosinophilic inclusions that are ubiquitin-positive |
| Clinical Cases | Molecular Findings | ||
|---|---|---|---|
| Age | CGG Repeats | AR | |
| 1 | 71 | 30, 86 | 0.76 |
| 2 | 61 | 30, 69 | 0.22 |
| 3 | 72 | 29, 69 | 022 |
| 4 | 52 | 30, 114 | 0.90 |
| 5 | 75 | 20, 79 | 0.26 |
| 6 | 60 | 30, 114 | 0.42 |
| 7 | 70 | 31, 69 | 0.32 |
| 8 | 71 | 30, 102 | 0.9 |
| 9 | 78 | 31, 61 | 0.6 |
| 10 | 66 | 30, 62 | 0.6 |
| Clinical Cases | Neuropsychiatric Signs | Motor | Sleep Apnea | Autoimmune Disorder | BMI | Hypertension | ||||||||
|---|---|---|---|---|---|---|---|---|---|---|---|---|---|---|
| Age | Age at Onset | SCID (Psychiatric dx) | Medication | Memory Problems | Age at Onset | Balance and Gait Impairment | Subclinical Tremor | Clinical Intention Tremor | Clinical Rest Tremor | |||||
| 1 | 71 | 69 | Anxiety, depression | Fluoxetine | Yes | 69 | Yes | Intermittent once | No | No | Yes | No | 28.1 | No |
| 2 | 61 | 59 | Narcolepsy, sleep apnea, memory loss, anxiety | Dextroamphetamine—amphetamine, escitalopram | Yes | - | Normal | No | No | No | Yes | No | 41 | Yes |
| 3 | 72 | 72 | Depression, social phobia, specific phobia, PTSD | Sertraline | No | Yes | No | No | No | Yes | MCTD | 23.2 | No | |
| 4 | 52 | Lifelong | Social phobia, specific phobia, generalized anxiety; obsessive-compulsive | None | Yes | 49 | Normal | Intermittent intention tremor | Yes | No | Yes | No | 29 | No |
| 5 | 75 | Not reported | None | Yes | 73 | Yes | Intermittent intention tremor | Yes (mild) | No | No | Yes (Raynaud) | 24.0 | No | |
| 6 | 60 | NA | None | None | No | Lifelong | Yes | No | No | No | No | No | 34.3 | No |
| 7 | 70 | Not reported | Obsessive-compulsive; hostility, phobic anxiety; psychoticism (hostility is primary) | None | Yes | 69 | Yes | No | No | No | Yes | No | 29.8 | Yes |
| 8 | 71 | NA | None reported | None | No | Not reported | Normal | Yes | No | No | No | Yes (Raynaud) | 24 | No |
| 9 | 78 | Lifelong, formally dx at 76 | OCD | None | No | Not reported | Yes | No | No | No | No | No | 26.2 | Yes |
| 10 | 66 | NA | Non reported | None | No | NA | Normal | No | No | No | No | Yes (Raynaud and scleroderma) | 22.8 | No |
| Clinical Cases | WAIS | MoCA | MMSE | BDS2 | ||||
|---|---|---|---|---|---|---|---|---|
| FSIQ | VCI | PRI | WMI | PSI | ||||
| 1 | 126 | 127 | 113 | 117 | 127 | 25/30 | 30/30 | 20/27 |
| 2 | * | 21/30 | 23/27 | |||||
| 3 | 98 | 103 | 81 | 111 | 105 | 30/30 | ** | 23/27 |
| 4 | 105 | 98 | 105 | 95 | 121 | 22/30 | 25/39 | 15/27 |
| 5 | 130 | 118 | 125 | 122 | 129 | 28/30 | 27/30 | 24/27 |
| 6 | 114 | 99 | 129 | NA | NA | 24/27 | ||
| 7 | 99 | 90 | 107 | NA | NA | 22/27 | ||
| 8 | 116 | 128 | 116 | NA | NA | 23/27 | ||
| 9 | 111 | 113 | 106 | NA | NA | 25/27 | ||
| 10 | 116 | 123 | 105 | NA | NA | 21/27 | ||
| Clinical Cases | MRI | ||||||||||
|---|---|---|---|---|---|---|---|---|---|---|---|
| Cerebral Atrophy | Cerebellar Atrophy | Cerebral WMH | Cerebellar WMH | MCP Sign | PONS WMH | Sub-Insular WMH | Periventricular WMH | SPLENIUM CC WMH | GENU CC-WMH | CC Abnormal | |
| 1 | Mild | No | No | No | No | No | Mild | No | Mild | No | Thin |
| 2 | Mild | Not mentioned | Yes | No | No | No | - | Yes | Minimum | No | |
| 3 | Mild | No | No | No | No | Mild | Mild | Mild | Mild | No | No |
| 4 | Mild | No | Mild | No | No | No | No | No | Mild | No | No |
| 5 | No | No | Yes | Yes | No | No | No | Yes | Yes | No | No |
| 6 | No | No | Mild | Mild | No | No | Yes | Yes | Yes | Yes | |
| 7 | No | No | Yes | No | No | No | Yes | Yes | Yes | Yes | Thin |
| 8 | Yes | No | Yes | No | No | Mild | Mild | Mild | Mild | Mild | No |
| 9 | No | No | Mild | No | No | No | No | Yes | No | Yes | No |
| 10 | Yes | No | Yes | No | No | No | Yes | Yes | Yes | Yes | No |
| Recommendations | |||
|---|---|---|---|
| Hypertension and cardiovascular disorders | Treatment of hypertension; Follow up and cardiological assessment if murmur is founded | Physical exercise and Healthy balanced diet | |
| Obesity and overweight [48] | Physical exercise and Healthy balanced diet | Metformin [48] | Semaglutide [49] |
| Movement disorders and/or balance problems | Tremor: propranolol, primidone, topiramate, gabapentin; Ataxia: riluzole, Sinemet, Varenicline, Buspirone [33] | OT/PT. Help home support for daily life skills | |
| Psychiatric disorders | Active monitoring on anxiety, mood disorders, depression, ADHD, and substance abuse [22,50] | Psychotherapy; Physical exercise, Mindfulness meditation [33,51] | Selective serotonin reuptake inhibitors (SSRIs) or serotonin and norepinephrine reuptake inhibitors (SNRIs); buspirone; mirtazapine or CBD for insomnia; if needed, quetiapine (antipsychotic with less risk of extrapyramidal side effects) [52] |
| Cognitive and memory problems | Memantine is the only medication that has been studied in a controlled trial in FXTAS [33,53,54] | Donepezil, rivastigmine or galantamine (used for mild cognitive impairment or dementia) [33] | |
| ADHD | Counseling, Cognitive behavioral therapy (CBT) | Meds: Stimulants (methylphenidate or dexamphetamine) / non stimulants (atomoxetine, clonidine, guanfacine, modafinil) | |
| Hearing problem | Audiometry Follow up | Hearing aids often needed | |
| FXPOI, POI and POF [33] | Hormone replacement therapy (HRT) | Psychotherapy as needed; Emotional well-being and emotional support | Bone densitometry |
| Vit. D and calcium supplements | Gynecological follow-up and family planning | Treatment for osteoporosis or osteopenia | |
| OSAS or sleep apnea | Sleep study | CPAP | Weight loss |
| Chronic pain, fibromyalgia and chronic fatigue | Neuropathic pain: Gabapentin, pregabalin, topical cannabidiol (CBD) or Lidocaine patches [33] | Avoidance of opioids. Often helpful are SNRIs such as duloxetine or venlafaxine | Psychotherapy as needed |
| Osteoporosis [33] | Bone mineral density follow-up | Weight-bearing physical activity, healthy balanced diet | Calcium intake: 1000 mg/day 19–50 years old Estrogens; meds for osteoporosis |
| Sleep disorders | Exclude OSAS or sleep apnea | Exclude psychiatric disorders (es. ADHD and anxiety) [11] | Take into consideration: Mirtazapine 7.5 mg before sleep time CBD |
| Lifestyle | Vitamin supplements: Vit. D, Vit. B12, Folic acid, Vit. B6 Trolox (Vit. E analogue) | Physical exercise on a daily basis can be guided by PT, developed according to the needs and capacities of every individual [33] | Healthy balanced diet Eliminate alcohol or other toxins Eliminate opioids Eliminate smoking |
| Antioxidants: green tea (epigallocatechin-3-gallate (EGCG), fresh berries, cabbage, omega 3s, curcumin, Vit. E, Vit. B9, melatonin, coenzyme Q10, ginseng, anthocyanins, N-acetyl-L cysteine (NAC), metformin, CBD [33,48] | Mindfulness based stress reduction (MSBR): mindfulness meditation, yoga and techniques for relaxation [33] | ||
| Laboratory test to perform | Rheumatologist consult: ANA, C reactive protein (CRP), Ferritin | Thyroid function studies and thyroid replacement if low | |
| To avoid | Isoflurane in general anesthesia (If needed the safest option is propofol IV) or regional anesthesia [33] | Surgery | Drugs (marijuana, cocaine, methamphetamines, methadone) |
| Alcohol | Smoking | Opioids | |
Disclaimer/Publisher’s Note: The statements, opinions and data contained in all publications are solely those of the individual author(s) and contributor(s) and not of MDPI and/or the editor(s). MDPI and/or the editor(s) disclaim responsibility for any injury to people or property resulting from any ideas, methods, instructions or products referred to in the content. |
© 2025 by the authors. Licensee MDPI, Basel, Switzerland. This article is an open access article distributed under the terms and conditions of the Creative Commons Attribution (CC BY) license (https://creativecommons.org/licenses/by/4.0/).
Share and Cite
Liani, V.; Torrents, C.; Rolleri, E.; Yusoff, N.A.; Likhitweerawong, N.; Moore, S.; Tassone, F.; Schneider, A.; Santos, E.; Biag, H.M.B.; et al. Premutation Females with preFXTAS. Int. J. Mol. Sci. 2025, 26, 2825. https://doi.org/10.3390/ijms26062825
Liani V, Torrents C, Rolleri E, Yusoff NA, Likhitweerawong N, Moore S, Tassone F, Schneider A, Santos E, Biag HMB, et al. Premutation Females with preFXTAS. International Journal of Molecular Sciences. 2025; 26(6):2825. https://doi.org/10.3390/ijms26062825
Chicago/Turabian StyleLiani, Valentina, Carme Torrents, Elisa Rolleri, Nor Azyati Yusoff, Narueporn Likhitweerawong, Sydney Moore, Flora Tassone, Andrea Schneider, Ellery Santos, Hazel M. B. Biag, and et al. 2025. "Premutation Females with preFXTAS" International Journal of Molecular Sciences 26, no. 6: 2825. https://doi.org/10.3390/ijms26062825
APA StyleLiani, V., Torrents, C., Rolleri, E., Yusoff, N. A., Likhitweerawong, N., Moore, S., Tassone, F., Schneider, A., Santos, E., Biag, H. M. B., Bourgeois, J. A., Unruh, K. E., Mosconi, M. W., & Hagerman, R. J. (2025). Premutation Females with preFXTAS. International Journal of Molecular Sciences, 26(6), 2825. https://doi.org/10.3390/ijms26062825

