Whole-Exome Sequencing Identifies Novel GATA5/6 Variants in Right-Sided Congenital Heart Defects
Abstract
1. Introduction
1.1. Molecular Structure of the ZnF-Containing GATA Transcription Factors
1.2. Biological Roles of GATA Proteins
2. Results
2.1. History and Clinical Course
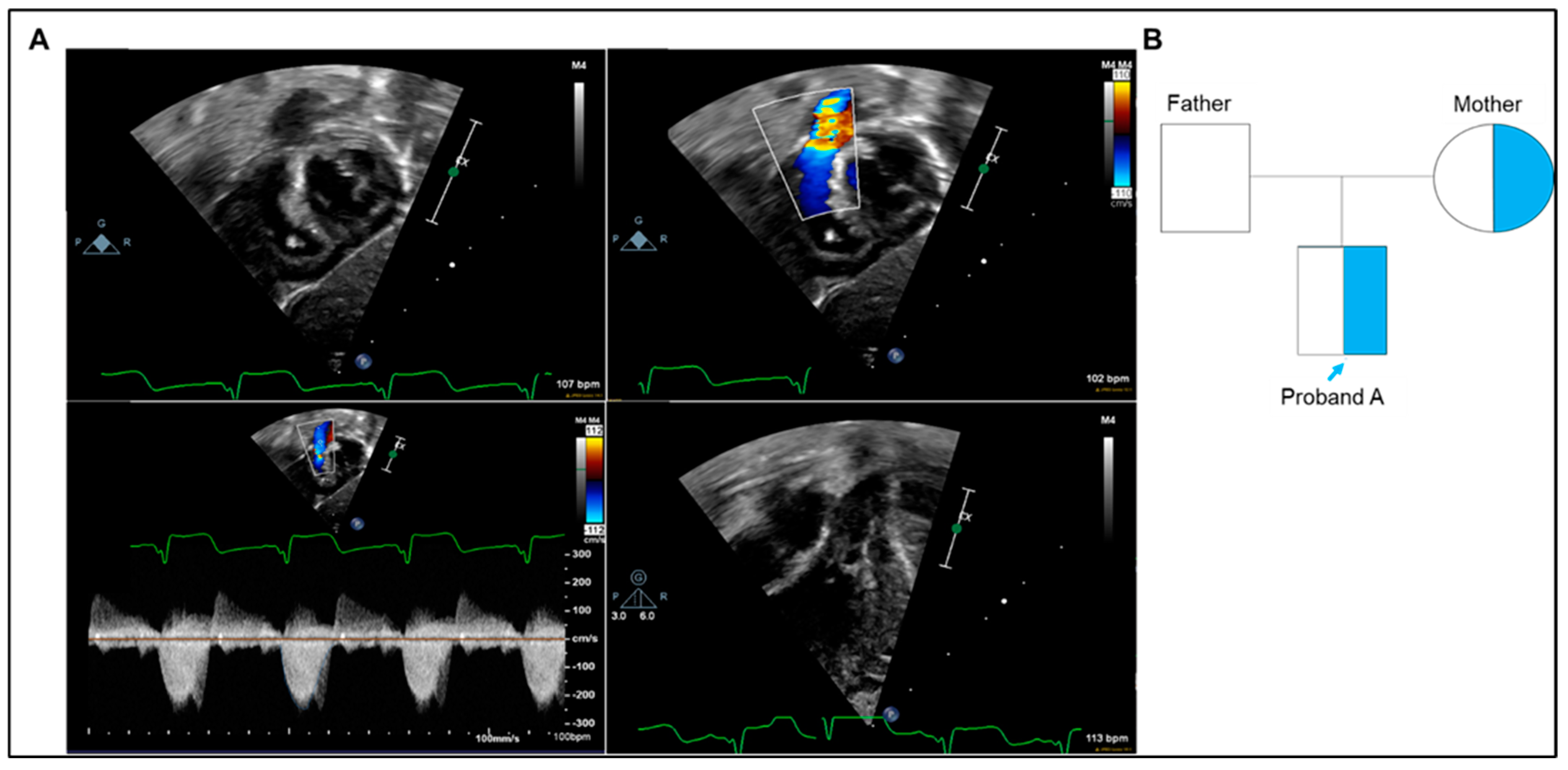
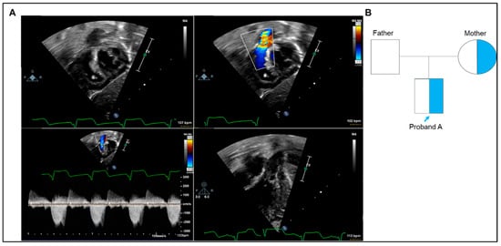
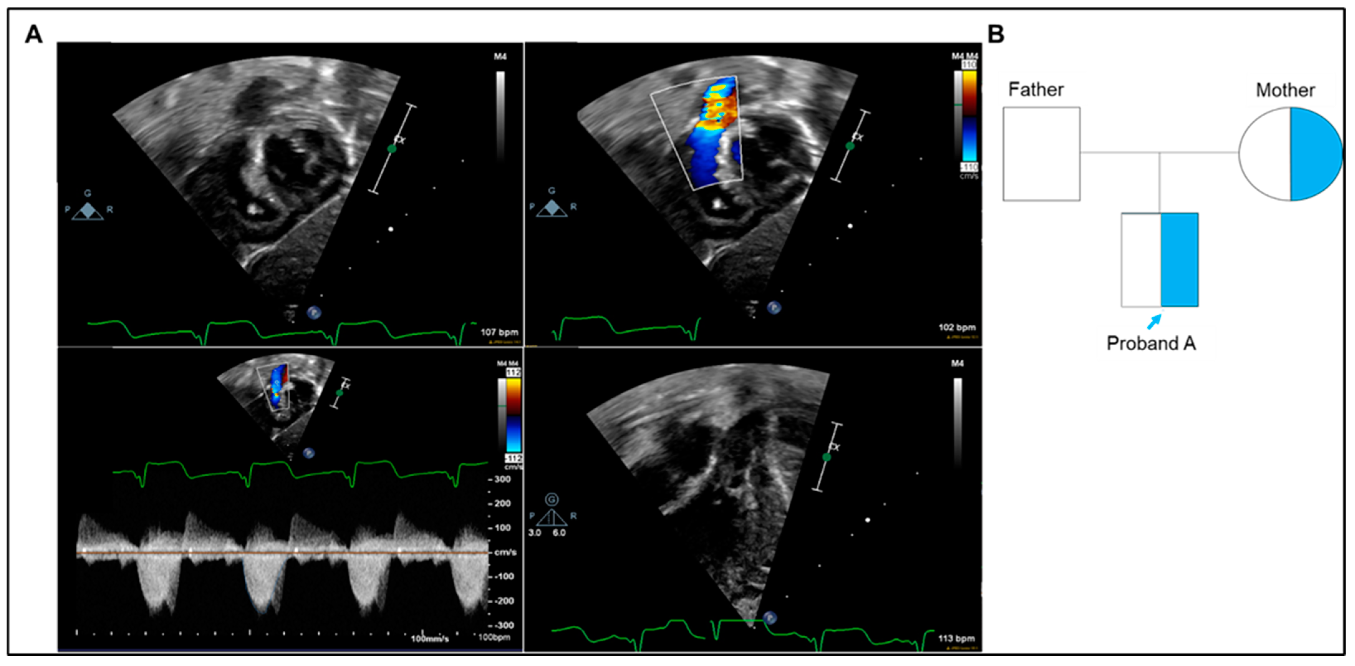
2.1.1. Case A
2.1.2. Case B
2.2. Genetic Testing Results
2.2.1. Proband A
Quad Whole-Exome Sequencing (WES)
2.2.2. Proband B
Whole-Genome SNP Microarray
Trio WES
3. Methods
3.1. Human Studies
3.2. Whole-Genome Single-Nucleotide Polymorphism (SNP) Microarray
3.3. Whole-Exome Sequencing (WES)
3.4. Variant Analysis
4. Discussion
4.1. GATA5 Variant and Pulmonary Stenosis in Proband A
| Nucleotide Change | Protein Change | Phenotype | Mode of Inheritance | Consequence | Reference |
|---|---|---|---|---|---|
| c.710G>C g.61041597C>G novel | p.Arg237Pro | Pulmonary valve stenosis, status post pulmonary valvuloplasty, patent foramen ovale with a right to left shunting | Heterozygous | Damaging | Current paper |
| c.T>C missense | p. T289A novel | Atrioventricular canal defect | Heterozygous Autosomal dominant | Possibly damaging | Kassab et al., 2016 [35] |
| c.A>G missense | p.L233P | Coarctation of the aorta | - | Possibly damaging | Kassab et al., 2016 [35] |
| c.C>T missense | p.G166S | Single ventricle Tetralogy of Fallet | - | Benign | Kassab et al., 2016 [35] |
| c.A>G missense | p.Y142H | Double outlet right ventricle, small ventricular septal defect, mild pulmonary stenosis | Heterozygous | Possibly damaging | Kassab et al., 2016 [35] |
| c. T>G missense | p.T67P | Atrial septal defect, coarctation of the aorta, ventricular septal defect, patent ductus arteriosus, atrioventricular canal defect | Heterozygous | Benign | Kassab et al., 2016 [35] |
| g.61050383G>C missense | p.G63A novel | Pulmonary stenosis | Heterozygous | Benign | Kassab et al., 2016 [35] |
| c.C>A missense | p.R61S novel | Ventricular septal defect | Heterozygous | Benign | Kassab et al., 2016 [35] |
| c.G>C missense | p.S19W | Atrial septal defect Tetralogy of Fallot | - | Possibly damaging | Kassab et al., 2016 [35] |
| c. 719G>A | P.G240D novel | Dilated cardiomyopathy | Heterozygous | Possibly damaging | Zhang et al., 2015 [45] |
| c.8A>G | p. Gln3Arg | Bicuspid aortic valve Aortic coarctation | - | Damaging | Bonachea et al., 2014 [51] |
| c.698T>C | p.L233P | Bicuspid aortic valve Aortic coarctation | Heterozygous Autosomal dominant | Damaging | Bonachea et al., 2014 [51] |
| c.46T>G | p. Y16D novel | Bicuspid aortic valve | Heterozygous | Disease causing | Shi et al., 2014 [52] |
| c.754A>C | p.T252P novel | Bicuspid aortic valve | Heterozygous | Disease causing | Shi et al., 2014 [52] |
| g.61051165A>G novel | NA | Ventricular septal defect | Heterozygous | - | Shan et al., 2014 [49] |
| g.61051463delC novel | NA | Ventricular septal defect | Heterozygous | - | Shan et al., 2014 [49] |
| g.61051227C>T novel | NA | Ventricular septal defect | Heterozygous | - | Shan et al., 2014 [49] |
| c.413A>T missense | p.Y138F | Atrial fibrillation | Heterozygous | - | Gu et al., 2012 [44] |
| c.628T>G missense | p.C210G | Atrial fibrillation | Heterozygous | - | Gu et al., 2012 [44] |
| c.394C>G | p.R132G novel | Atrial septal defect | Heterozygous | Disease causing | Jiang et al., 1998 [19] |
| c.569T>C | p.V190A novel | Ventricular septal defect Tetralogy of Fallot | Heterozygous | Disease causing | Jiang et al., 1998 [19] |
| c.667A>C | p.A266P novel | Tetralogy of Fallot | Heterozygous | Disease causing | Jiang et al., 1998 [19] |
| c.821A>G | p.H274R novel | Ventricular septal defect | Heterozygous | Disease causing | Jiang et al., 1998 [19] |
| c.56C>G | p.Ser19Trp | Bicuspid aortic valve | - | Possibly damaging | Padang et al., 2012 [47] |
| c.424T>C | p.Tyrl142His | Bicuspid aortic valve | - | Possibly damaging | Padang et al., 2012 [47] |
| c.551 G>T | pG184V novel | Atrial fibrillation | Heterozygous | Disease causing | Yang et al., 2012 [48] |
| c.653A>C | p.K218T novel | Atrial fibrillation | Heterozygous | Disease causing | Yang et al., 2012 [48] |
| c.796 G>C | p.A266P novel | Atrial fibrillation | Heterozygous | Disease causing | Yang et al., 2012 [48] |
| c.598T>G missense | p.W200G novel | Atrial fibrillation | Heterozygous | Disease causing | Wang et al., 2012 [15] |
| c.595C>G | p.L199 noel | Ventricular septal defect | Heterozygous | Pathogenic mutation Benign polymorphism | Wei et al., 2013 [34] |
4.2. GATA6 Variant and Complex CHD in Proband B
4.3. Role of MicroRNAs in Targeting the GATA Family Genes in Heart Development
5. Conclusions
Author Contributions
Funding
Institutional Review Board Statement
Informed Consent Statement
Data Availability Statement
Conflicts of Interest
Abbreviations
| ACMG | American College of Medical Genetics and Genomics |
| AMP | Association for Molecular Pathology |
| ASD | Atrial septal defect |
| CHD | Congenital heart defect |
| DS | Down syndrome |
| EKG | Electrocardiogram |
| GATA 5 | GATA-binding factor 5 |
| GATA 6 | GATA-binding factor 6 |
| IRB | Institutional Review Board |
| MPA | Main pulmonary artery |
| NICU | Neonatal intensive care unit |
| NLS | Nuclear localization sequence |
| NSVD | Normal spontaneous vaginal delivery |
| PA | Pulmonary atresia |
| PBMCs | Peripheral blood monocytes |
| PTA | Persistent truncus arteriosus |
| PVS | Pulmonary valve stenosis |
| REST | RE1-silencing transcription factor |
| RVH | Right ventricular hypoplasia |
| SHF | Secondary heart field |
| SNP | Single-nucleotide polymorphism |
| TAD | Transcription activation domain |
| TF | Transcription factor |
| TGA | Transposition of great arteries |
| TOF | Tetralogy of Fallot |
| UCLA | University of California, Los Angeles |
| VSD | Ventricular septal defect |
| VSMCs | Vascular smooth muscle cells |
| VUS | Variant of uncertain clinical significance |
| WES | Whole-exome sequencing |
| ZnF | Zinc finger |
References
- Brewer, A.; Pizzey, J. GATA factors in vertebrate heart development and disease. Expert Rev. Mol. Med. 2006, 8, 1–20. [Google Scholar] [CrossRef]
- Liu, X.-Y.; Zheng, G.-F.; Wei, D.; Zhao, H.; Zhou, N.; Yang, Y.-Q. A novel GATA6 mutation associated with congenital ventricular septal defect. Int. J. Mol. Med. 2012, 29, 1065–1071. [Google Scholar] [CrossRef] [PubMed]
- Maitra, M.; Schluterman, M.K.; Nichols, H.A.; Richardson, J.A.; Lo, C.W.; Srivastava, D.; Garg, V. Interaction of Gata4 and Gata6 with Tbx5 is critical for normal cardiac development. Dev. Biol. 2009, 326, 368–377. [Google Scholar] [CrossRef] [PubMed]
- Fahed, A.C.; Gelb, B.D.; Seidman, J.G.; Seidman, C.E. Genetics of Congenital Heart Disease: The Glass Half Empty. Circ. Res. 2013, 112, 707–720. [Google Scholar] [CrossRef]
- Reamon-Buettner, S.M.; Spanel-Borowski, K.; Borlak, J. Bridging the gap between anatomy and molecular genetics for an improved understanding of congenital heart disease. Ann. Anat.-Anat. Anz. 2006, 188, 213–220. [Google Scholar] [CrossRef]
- El-Assaad, A.; Dawy, Z.; Khalil, A.; Nemer, G. Mutational signatures in GATA3 transcription factor and its DNA binding domain that stimulate breast cancer and HDR syndrome. Sci. Rep. 2021, 11, 22762. [Google Scholar] [CrossRef]
- Afouda, B.A. Towards Understanding the Gene-Specific Roles of GATA Factors in Heart Development: Does GATA4 Lead the Way? Int. J. Mol. Sci. 2022, 23, 5255. [Google Scholar] [CrossRef] [PubMed]
- Babu, M.M.; Luscombe, N.M.; Aravind, L.; Gerstein, M.; A Teichmann, S. Structure and evolution of transcriptional regulatory networks. Curr. Opin. Struct. Biol. 2004, 14, 283–291. [Google Scholar] [CrossRef]
- Viger, R.S.; Taniguchi, H.; Robert, N.M.; Tremblay, J.J. The 25th Volume: Role of the GATA Family of Transcription Factors in Andrology. J. Androl. 2004, 25, 441–452. [Google Scholar] [CrossRef]
- Krishna, S.S.; Majumdar, I.; Grishin, N.V. Structural classification of zinc fingers: SURVEY AND SUMMARY. Nucleic Acids Res. 2003, 31, 532–550. [Google Scholar] [CrossRef] [PubMed]
- Li, X.; Han, M.; Zhang, H.; Liu, F.; Pan, Y.; Zhu, J.; Liao, Z.; Chen, X.; Zhang, B. Structures and biological functions of zinc finger proteins and their roles in hepatocellular carcinoma. Biomark. Res. 2022, 10, 2. [Google Scholar] [CrossRef]
- McCulley, D.J.; Black, B.L. Transcription Factor Pathways and Congenital Heart Disease. Curr. Top. Dev. Biol. 2012, 100, 253–277. [Google Scholar] [CrossRef] [PubMed]
- Bates, D.L.; Chen, Y.; Kim, G.; Guo, L.; Chen, L. Crystal Structures of Multiple GATA Zinc Fingers Bound to DNA Reveal New Insights into DNA Recognition and Self-Association by GATA. J. Mol. Biol. 2008, 381, 1292–1306. [Google Scholar] [CrossRef] [PubMed]
- Tremblay, M.; Sanchez-Ferras, O.; Bouchard, M. GATA transcription factors in development and disease. Development 2018, 145, dev164384. [Google Scholar] [CrossRef] [PubMed]
- Wang, J.; Luo, X.-J.; Xin, Y.-F.; Liu, Y.; Liu, Z.-M.; Wang, Q.; Li, R.-G.; Fang, W.-Y.; Wang, X.-Z.; Yang, Y.-Q. Novel GATA6 Mutations Associated with Congenital Ventricular Septal Defect or Tetralogy of Fallot. DNA Cell Biol. 2012, 31, 1610–1617. [Google Scholar] [CrossRef] [PubMed]
- Škorić-Milosavljević, D.; Tjong, F.V.Y.; Barc, J.; Backx, A.P.C.M.; Clur, S.B.; van Spaendonck-Zwarts, K.; Oostra, R.; Lahrouchi, N.; Beekman, L.; Bökenkamp, R.; et al. GATA6 mutations: Characterization of two novel patients and a comprehensive overview of the GATA6 genotypic and phenotypic spectrum. Am. J. Med. Genet. Part A 2019, 179, 1836–1845. [Google Scholar] [CrossRef] [PubMed]
- Xu, L.; Zhao, L.; Yuan, F.; Jiang, W.-F.; Liu, H.; Li, R.-G.; Xu, Y.-J.; Zhang, M.; Fang, W.-Y.; Qu, X.-K.; et al. GATA6 loss-of-function mutations contribute to familial dilated cardiomyopathy. Int. J. Mol. Med. 2014, 34, 1315–1322. [Google Scholar] [CrossRef]
- LaVoie, H.A. The Role of GATA in Mammalian Reproduction. Exp. Biol. Med. 2003, 228, 1282–1290. [Google Scholar] [CrossRef] [PubMed]
- Jiang, Y.; Tarzami, S.; Burch, J.B.; Evans, T. Common role for each of the cGATA-4/5/6 genes in the regulation of cardiac morphogenesis. Dev. Genet. 1998, 22, 263–277. [Google Scholar] [CrossRef]
- Lin, X.; Huo, Z.; Liu, X.; Zhang, Y.; Li, L.; Zhao, H.; Yan, B.; Liu, Y.; Yang, Y.; Chen, Y.-H. A novel GATA6 mutation in patients with tetralogy of Fallot or atrial septal defect. J. Hum. Genet. 2010, 55, 662–667. [Google Scholar] [CrossRef] [PubMed]
- Lentjes, M.H.; Niessen, H.E.; Akiyama, Y.; de Bruïne, A.P.; Melotte, V.; van Engeland, M. The emerging role of GATA transcription factors in development and disease. Expert Rev. Mol. Med. 2016, 18, e3. [Google Scholar] [CrossRef] [PubMed]
- Laforest, B.; Nemer, M. GATA5 interacts with GATA4 and GATA6 in outflow tract development. Dev. Biol. 2011, 358, 368–378. [Google Scholar] [CrossRef]
- Pikkarainen, S.; Tokola, H.; Kerkelä, R.; Ruskoaho, H. GATA transcription factors in the developing and adult heart. Cardiovasc. Res. 2004, 63, 196–207. [Google Scholar] [CrossRef]
- Aronson, B.E.; Stapleton, K.A.; Krasinski, S.D. Role of GATA factors in development, differentiation, and homeostasis of the small intestinal epithelium. Am. J. Physiol. Gastrointest. Liver Physiol. 2014, 306, G474–G490. [Google Scholar] [CrossRef]
- Lowry, J.A.; Atchley, W.R. Molecular Evolution of the GATA Family of Transcription Factors: Conservation Within the DNA-Binding Domain. J. Mol. Evol. 2000, 50, 103–115. [Google Scholar] [CrossRef]
- Whitcomb, J.; Gharibeh, L.; Nemer, M. From embryogenesis to adulthood: Critical role for GATA factors in heart development and function. IUBMB Life 2020, 72, 53–67. [Google Scholar] [CrossRef] [PubMed]
- Pihlajoki, M.; Färkkilä, A.; Soini, T.; Heikinheimo, M.; Wilson, D.B. GATA factors in endocrine neoplasia. Mol. Cell. Endocrinol. 2016, 421, 2–17. [Google Scholar] [CrossRef] [PubMed]
- Vyas, P.; Crispino, J.D. Molecular insights into Down syndrome-associated leukemia. Curr. Opin. Pediatr. 2007, 19, 9–14. [Google Scholar] [CrossRef] [PubMed]
- Carlus, F.H.; Sujatha, L.B.; Kumar, A.G.; Loganathan, L.; Muthusamy, K.; Carlus, S.J. In silico prediction, molecular modeling, and dynamics studies on the targeted next-generation sequencing identified genes underlying congenital heart disease in Down syndrome patients. Ann. Pediatr. Cardiol. 2023, 16, 266–275. [Google Scholar] [CrossRef] [PubMed]
- Benhaourech, S.; Drighil, A.; El Hammiri, A. Congenital heart disease and Down syndrome: Various aspects of a confirmed association. Cardiovasc. J. Afr. 2016, 27, 287–290. [Google Scholar] [CrossRef]
- Sailani, M.R.; Makrythanasis, P.; Valsesia, A.; Santoni, F.A.; Deutsch, S.; Popadin, K.; Borel, C.; Migliavacca, E.; Sharp, A.J.; Sail, G.D.; et al. The complex SNP and CNV genetic architecture of the increased risk of congenital heart defects in Down syndrome. Genome Res. 2013, 23, 1410–1421. [Google Scholar] [CrossRef] [PubMed]
- Peterkin, T.; Gibson, A.; Loose, M.; Patient, R. The roles of GATA-4, -5 and -6 in vertebrate heart development. Semin. Cell Dev. Biol. 2005, 16, 83–94. [Google Scholar] [CrossRef]
- Wei, D.; Bao, H.; Liu, X.-Y.; Zhou, N.; Wang, Q.; Li, R.-G.; Xu, Y.-J.; Yang, Y.-Q. GATA5 loss-of-Function Mutations Underlie Tetralogy of Fallot. Int. J. Med Sci. 2013, 10, 34–42. [Google Scholar] [CrossRef] [PubMed]
- Wei, D.; Bao, H.; Zhou, N.; Zheng, G.-F.; Liu, X.-Y.; Yang, Y.-Q. GATA5 Loss-of-Function Mutation Responsible for the Congenital Ventriculoseptal Defect. Pediatr. Cardiol. 2013, 34, 504–511. [Google Scholar] [CrossRef] [PubMed]
- Kassab, K.; Hariri, H.; Gharibeh, L.; Fahed, A.C.; Zein, M.; El-Rassy, I.; Nemer, M.; El-Rassi, I.; Bitar, F.; Nemer, G. GATA5 mutation homozygosity linked to a double outlet right ventricle phenotype in a Lebanese patient. Mol. Genet. Genom. Med. 2016, 4, 160–171. [Google Scholar] [CrossRef] [PubMed]
- Lepore, J.J.; Mericko, P.A.; Cheng, L.; Lu, M.M.; Morrisey, E.E.; Parmacek, M.S. GATA-6 regulates semaphorin 3C and is required in cardiac neural crest for cardiovascular morphogenesis. J. Clin. Investig. 2006, 116, 929–939. [Google Scholar] [CrossRef]
- Suzukia, E.; Evansb, T.; Lowrya, J.; Truonga, L.; Bell, D.W.; Testa, J.R.; Walsh, K. The HumanGATA-6Gene: Structure, Chromosomal Location, and Regulation of Expression by Tissue-Specific and Mitogen-Responsive Signals. Genomics 1996, 38, 283–290. [Google Scholar] [CrossRef] [PubMed]
- Maitra, M.; Koenig, S.N.; Srivastava, D.; Garg, V. Identification of GATA6 Sequence Variants in Patients With Congenital Heart Defects. Pediatr. Res. 2010, 68, 281–285. [Google Scholar] [CrossRef]
- Van der Auwera, G.A.; Carneiro, M.O.; Hartl, C.; Poplin, R.; del Angel, G.; Levy-Moonshine, A.; Jordan, T.; Shakir, K.; Roazen, D.; Thibault, J.; et al. From FastQ Data to High-Confidence Variant Calls: The Genome Analysis Toolkit Best Practices Pipeline. Curr. Protoc. Bioinform. 2013, 43, 11.10.1–11.10.33. [Google Scholar] [CrossRef] [PubMed]
- Goswami, C.; Chattopadhyay, A.; Chuang, E.Y. Rare variants: Data types and analysis strategies. Ann. Transl. Med. 2021, 9, 961. [Google Scholar] [CrossRef]
- Richards, S.; Aziz, N.; Bale, S.; Bick, D.; Das, S.; Gastier-Foster, J.; Grody, W.W.; Hegde, M.; Lyon, E.; Spector, E.; et al. Standards and guidelines for the interpretation of sequence variants: A joint consensus recommendation of the American College of Medical Genetics and Genomics and the Association for Molecular Pathology. Genet. Med. 2015, 17, 405–424. [Google Scholar] [CrossRef] [PubMed]
- Robinson, J.T.; Thorvaldsdottir, H.; Turner, D.; Mesirov, J.P. igv.js: An embeddable JavaScript implementation of the Integrative Genomics Viewer (IGV). Bioinformatics 2023, 39, btac830. [Google Scholar] [CrossRef] [PubMed]
- Song, Z.-P.; Yan, B. Potential roles of GATA binding protein 5 in cardiovascular diseases. Rev. Cardiovasc. Med. 2020, 21, 253–261. [Google Scholar] [CrossRef] [PubMed]
- Gu, J.-Y.; Xu, J.-H.; Yu, H.; Yang, Y.-Q. Novel GATA5 loss-of-function mutations underlie familial atrial fibrillation. Clinics 2012, 67, 1393–1399. [Google Scholar] [CrossRef] [PubMed]
- Zhang, X.-L.; Dai, N.; Tang, K.; Chen, Y.-Q.; Chen, W.; Wang, J.; Zhao, C.-M.; Yuan, F.; Qiu, X.-B.; Qu, X.-K.; et al. GATA5 loss-of-function mutation in familial dilated cardiomyopathy. Int. J. Mol. Med. 2015, 35, 763–770. [Google Scholar] [CrossRef]
- Zhao, L.; Xu, J.-H.; Xu, W.-J.; Yu, H.; Wang, Q.; Zheng, H.-Z.; Jiang, W.-F.; Jiang, J.-F.; Yang, Y.-Q. A novel GATA4 loss-of-function mutation responsible for familial dilated cardiomyopathy. Int. J. Mol. Med. 2014, 33, 654–660. [Google Scholar] [CrossRef]
- Padang, R.; Bagnall, R.D.; Richmond, D.R.; Bannon, P.G.; Semsarian, C. Rare non-synonymous variations in the transcriptional activation domains of GATA5 in bicuspid aortic valve disease. J. Mol. Cell. Cardiol. 2012, 53, 277–281. [Google Scholar] [CrossRef] [PubMed]
- Yang, Y.-Q.; Wang, J.; Wang, X.-H.; Wang, Q.; Tan, H.-W.; Zhang, M.; Shen, F.-F.; Jiang, J.-Q.; Fang, W.-Y.; Liu, X. Mutational spectrum of the GATA5 gene associated with familial atrial fibrillation. Int. J. Cardiol. 2012, 157, 305–307. [Google Scholar] [CrossRef]
- Shan, J.-P.; Wang, X.-L.; Qiao, Y.-G.; Yan, H.-X.W.; Huang, W.-H.; Pang, S.-C.; Yan, B. Novel and functional DNA sequence variants within the GATA5 gene promoter in ventricular septal defects. World J. Pediatr. 2014, 10, 348–353. [Google Scholar] [CrossRef] [PubMed]
- Kalisch-Smith, J.I.; Ved, N.; Sparrow, D.B. Environmental Risk Factors for Congenital Heart Disease. Cold Spring Harb. Perspect. Biol. 2020, 12, a037234. [Google Scholar] [CrossRef] [PubMed]
- Bonachea, E.M.; Chang, S.-W.; Zender, G.; LaHaye, S.; Fitzgerald-Butt, S.; McBride, K.L.; Garg, V. Rare GATA5 sequence variants identified in individuals with bicuspid aortic valve. Pediatr. Res. 2014, 76, 211–216. [Google Scholar] [CrossRef]
- Shi, L.-M.; Tao, J.-W.; Qiu, X.-B.; Wang, J.; Yuan, F.; Xu, L.; Liu, H.; Li, R.-G.; Xu, Y.-J.; Wang, Q.; et al. GATA5 loss-of-function mutations associated with congenital bicuspid aortic valve. Int. J. Mol. Med. 2014, 33, 1219–1226. [Google Scholar] [CrossRef] [PubMed]
- LaHaye, S.; Lincoln, J.; Garg, V. Genetics of Valvular Heart Disease. Curr. Cardiol. Rep. 2014, 16, 487. [Google Scholar] [CrossRef] [PubMed]
- Ruckdeschel, E.; Kim, Y.Y. Pulmonary valve stenosis in the adult patient: Pathophysiology, diagnosis and management. Heart 2018, 105, 414. [Google Scholar] [CrossRef]
- Sun, Z.-Q.; Cui, Y.-H.; Yan, B. Identification of two novel GATA6 mutations in an adult with acute myocardial infarction, diabetes, and atrial fibrillation: A case report. J. Geriatr. Cardiol. 2019, 16, 785–788. [Google Scholar] [CrossRef]
- Xin, M.; Davis, C.A.; Molkentin, J.D.; Lien, C.-L.; Duncan, S.A.; Richardson, J.A.; Olson, E.N. A threshold of GATA4 and GATA6 expression is required for cardiovascular development. Proc. Natl. Acad. Sci. USA 2006, 103, 11189–11194. [Google Scholar] [CrossRef]
- Gharibeh, L.; Komati, H.; Bossé, Y.; Boodhwani, M.; Heydarpour, M.; Fortier, M.; Hassanzadeh, R.; Ngu, J.; Mathieu, P.; Body, S.; et al. GATA6 Regulates Aortic Valve Remodeling, and Its Haploinsufficiency Leads to Right-Left Type Bicuspid Aortic Valve. Circulation 2018, 138, 1025–1038. [Google Scholar] [CrossRef]
- Williams, S.G.; Byrne, D.J.F.; Keavney, B.D. Rare GATA6 variants associated with risk of congenital heart disease phenotypes in 200,000 UK Biobank exomes. J. Hum. Genet. 2022, 67, 123–125. [Google Scholar] [CrossRef]
- Tucker, N.R.; Mahida, S.; Ye, J.; Abraham, E.J.; Mina, J.A.; Parsons, V.A.; McLellan, M.A.; Shea, M.A.; Hanley, A.; Benjamin, E.J.; et al. Gain-of-function mutations in GATA6 lead to atrial fibrillation. Hear. Rhythm. 2017, 14, 284–291. [Google Scholar] [CrossRef] [PubMed]
- Yasuhara, J.; Manivannan, S.N.; Majumdar, U.; Gordon, D.M.; Lawrence, P.J.; Aljuhani, M.; Myers, K.; Stiver, C.; Bigelow, A.M.; Galantowicz, M.; et al. Novel pathogenic GATA6 variant associated with congenital heart disease, diabetes mellitus and necrotizing enterocolitis. Pediatr. Res. 2024, 95, 146–155. [Google Scholar] [CrossRef] [PubMed]
- Yin, F.; Herring, B.P. GATA-6 Can Act as a Positive or Negative Regulator of Smooth Muscle-specific Gene Expression. J. Biol. Chem. 2005, 280, 4745–4752. [Google Scholar] [CrossRef] [PubMed]
- Kodo, K.; Nishizawa, T.; Furutani, M.; Arai, S.; Yamamura, E.; Joo, K.; Takahashi, T.; Matsuoka, R.; Yamagishi, H. GATA6 mutations cause human cardiac outflow tract defects by disrupting semaphorin-plexin signaling. Proc. Natl. Acad. Sci. 2009, 106, 13933–13938. [Google Scholar] [CrossRef] [PubMed]
- Zhang, E.; Hong, N.; Chen, S.; Fu, Q.; Li, F.; Yu, Y.; Sun, K. Targeted sequencing identifies novel GATA6 variants in a large cohort of patients with conotruncal heart defects. Gene 2018, 641, 341–348. [Google Scholar] [CrossRef] [PubMed]
- The International Pancreatic Agenesis Consortium; Allen, H.L.; Flanagan, S.E.; Shaw-Smith, C.; De Franco, E.; Akerman, I.; Caswell, R.; Ferrer, J.; Hattersley, A.T.; Ellard, S. GATA6 haploinsufficiency causes pancreatic agenesis in humans. Nat. Genet. 2012, 44, 20–22. [Google Scholar] [CrossRef] [PubMed]
- Yu, L.; Bennett, J.T.; Wynn, J.; Carvill, G.L.; Cheung, Y.H.; Shen, Y.; Mychaliska, G.B.; Azarow, K.S.; Crombleholme, T.M.; Chung, D.H.; et al. Whole exome sequencing identifies de novo mutations in GATA6 associated with congenital diaphragmatic hernia. J. Med. Genet. 2014, 51, 197–202. [Google Scholar] [CrossRef]
- Wu, H.; Wu, H.; He, Y.; Sun, W.; Meng, Y.; Wen, B.; Chu, M. Functional characterization of GATA6 genetic variants associated with mild congenital heart defects. Biochem. Biophys. Res. Commun. 2023, 641, 77–83. [Google Scholar] [CrossRef] [PubMed]
- Pulignani, S.; Andreassi, M.G. MicroRNAs and Congenital Heart Disease: Where Are We Now? Rev. Esp. Cardiol. Engl. Ed. 2019, 72, 7–9. [Google Scholar] [CrossRef] [PubMed]
- Kabłak-Ziembicka, A.; Badacz, R.; Okarski, M.; Wawak, M.; Przewłocki, T.; Podolec, J. Cardiac microRNAs: Diagnostic and therapeutic potential. Arch. Med. Sci. 2023, 19, 1360–1381. [Google Scholar] [CrossRef] [PubMed]
- Yan, S.; Jiao, K. Functions of miRNAs during Mammalian Heart Development. Int. J. Mol. Sci. 2016, 17, 789. [Google Scholar] [CrossRef] [PubMed]
- Huang, H.-N.; Chen, S.-Y.; Hwang, S.-M.; Yu, C.-C.; Su, M.-W.; Mai, W.; Wang, H.-W.; Cheng, W.-C.; Schuyler, S.C.; Ma, N.; et al. miR-200c and GATA binding protein 4 regulate human embryonic stem cell renewal and differentiation. Stem Cell Res. 2014, 12, 338–353. [Google Scholar] [CrossRef] [PubMed]
- Dong, Y.; Sun, T.; Wang, K.; Wang, J.; Li, P. Role of Epigenetics in Cardiac Development and Cardiovascular Diseases. J. Hear. Health 2017, 3, 1–5. [Google Scholar] [CrossRef]
- Liu, J.-J.; Zhao, C.-M.; Li, Z.-G.; Wang, Y.-M.; Miao, W.; Wu, X.-J.; Wang, W.-J.; Liu, C.; Wang, D.; Wang, K.; et al. miR-218 Involvement in Cardiomyocyte Hypertrophy Is Likely through Targeting REST. Int. J. Mol. Sci. 2016, 17, 848. [Google Scholar] [CrossRef] [PubMed]
- Plana, M.N.; Zamora, J.; Suresh, G.; Fernandez-Pineda, L.; Thangaratinam, S.; Ewer, A.K. Pulse oximetry screening for critical congenital heart defects. Cochrane Database Syst. Rev. 2018, 2018, CD011912. [Google Scholar] [CrossRef]





| Gene | GATA1 | GATA2 | GATA3 |
|---|---|---|---|
| Disorders | X-linked dyserthropoietic anemia, thrombocytopenia, X-linked Diamond-Blackfan (DBA) anemia, transient myeloproliferative disorder (TMD), Down syndrome acute megakaryoblastic leukemia (DS-AMKL) | Monocytopenia with mycobacteria infections (MonoMac), Dendritic cell, B, and natural killer(NK) lymphoid deficiency, Familial Myelodysplastic syndromes/Acute Myeloid Leukemia (MDS/AML), Emberger syndrome (primary lymphedema with MDS) | HDR syndrome (hypoparathyroidism, deafness, and renal dysplasia) |
| Cardiac Phenotypes | GATA4 | GATA5 | GATA6 |
|---|---|---|---|
| Atrial fibrillation | √ | √ | √ |
| Aortic stenosis | √ | √ | |
| Atrial septal defects | √ | √ | √ |
| Atrio ventricular septal defects | √ | √ | √ |
| Bicuspid aortic valves | √ | √ | √ |
| Dilated cardiomyopathy | √ | √ | √ |
| Double inlet left ventricle | √ | ||
| Double outlet left ventricle | √ | ||
| Double outlet right ventricle | √ | √ | √ |
| Dextro-transposition of the great arteries | √ | ||
| Hypertrophic cardiomyopathy | √ | √ | |
| Major aortopulmonary collateral arteries | √ | ||
| Patent ductus arteriosus | √ | √ | √ |
| Pulmonary stenosis | √ | √ | √ |
| Persistent ductus arteriosus | √ | √ | √ |
| Pulmonary atresia with ventricular septal defects | √ | ||
| Truncus arteriosus | √ | √ | |
| Transposition of the great arteries | √ | ||
| Tetralogy of Fallot | √ | √ | √ |
| Ventricular septal defect | √ | √ | √ |
| Gene | Genomic Change | Nucleotide Change | Transcript | Protein Change | Classification | Zygosity | Inheritance |
|---|---|---|---|---|---|---|---|
| GATA5 | Chr20:g.61041597C>G | c.710G>C | NM_080473.4 GRCh37/hg19 | p.Arg237Pro | VUS | Heterozygous | Mother (not in maternal uncle) |
| Gene | Genomic Change | Nucleotide Change | Transcript | Protein Change | Classification | Zygosity | Inheritance | Minor Allele Frequency |
|---|---|---|---|---|---|---|---|---|
| GATA6 | Chr18:g.19780755 | c.1757C>T | NM_005257.5 GRCh37/hg19 | p.Pro586Leu | VUS | Heterozygous | Father | <0.1% |
Disclaimer/Publisher’s Note: The statements, opinions and data contained in all publications are solely those of the individual author(s) and contributor(s) and not of MDPI and/or the editor(s). MDPI and/or the editor(s) disclaim responsibility for any injury to people or property resulting from any ideas, methods, instructions or products referred to in the content. |
© 2025 by the authors. Licensee MDPI, Basel, Switzerland. This article is an open access article distributed under the terms and conditions of the Creative Commons Attribution (CC BY) license (https://creativecommons.org/licenses/by/4.0/).
Share and Cite
Zodanu, G.K.E.; Hwang, J.H.; Mudery, J.; Sisniega, C.; Kang, X.; Wang, L.-K.; Barsegian, A.; Biniwale, R.M.; Si, M.-S.; Halnon, N.J.; et al. Whole-Exome Sequencing Identifies Novel GATA5/6 Variants in Right-Sided Congenital Heart Defects. Int. J. Mol. Sci. 2025, 26, 2115. https://doi.org/10.3390/ijms26052115
Zodanu GKE, Hwang JH, Mudery J, Sisniega C, Kang X, Wang L-K, Barsegian A, Biniwale RM, Si M-S, Halnon NJ, et al. Whole-Exome Sequencing Identifies Novel GATA5/6 Variants in Right-Sided Congenital Heart Defects. International Journal of Molecular Sciences. 2025; 26(5):2115. https://doi.org/10.3390/ijms26052115
Chicago/Turabian StyleZodanu, Gloria K. E., John H. Hwang, Jordan Mudery, Carlos Sisniega, Xuedong Kang, Lee-Kai Wang, Alexander Barsegian, Reshma M. Biniwale, Ming-Sing Si, Nancy J. Halnon, and et al. 2025. "Whole-Exome Sequencing Identifies Novel GATA5/6 Variants in Right-Sided Congenital Heart Defects" International Journal of Molecular Sciences 26, no. 5: 2115. https://doi.org/10.3390/ijms26052115
APA StyleZodanu, G. K. E., Hwang, J. H., Mudery, J., Sisniega, C., Kang, X., Wang, L.-K., Barsegian, A., Biniwale, R. M., Si, M.-S., Halnon, N. J., UCLA Congenital Heart Defects-BioCore Faculty, Grody, W. W., Satou, G. M., Van Arsdell, G. S., Nelson, S. F., & Touma, M. (2025). Whole-Exome Sequencing Identifies Novel GATA5/6 Variants in Right-Sided Congenital Heart Defects. International Journal of Molecular Sciences, 26(5), 2115. https://doi.org/10.3390/ijms26052115

