Lactoferrin Stimulates Chondrogenesis and Promotes Healing of the Auricular Elastic Cartilage
Abstract
1. Introduction
2. Results
2.1. LF Increases Viability and Proliferation of Auricular Chondrocytes
2.2. LF Stimulates Chondrogenesis in 3D Pellets Culture of Auricular Chondrocytes
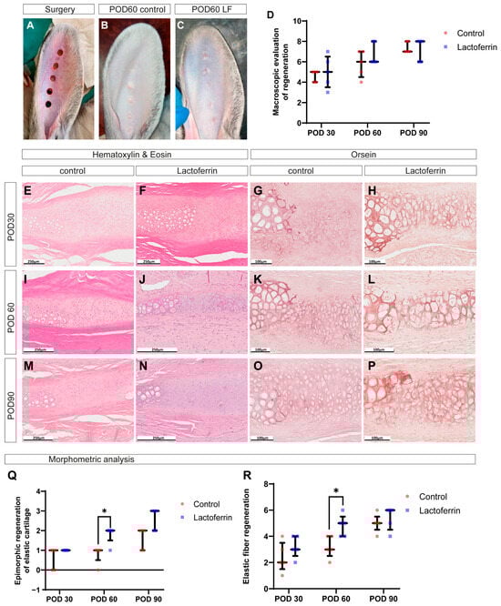
2.3. LF Promotes Healing of Cartilage Defects in Rabbit Ear
3. Discussion
4. Materials and Methods
4.1. Animals
4.2. Auricular Chondrocytes Isolation
4.3. Cell Culture
4.4. Cell Viability Test
4.5. Surgery
4.6. Macroscopic Evaluation
4.7. Histology
4.8. Morphometric Analysis
4.9. Statistical Analysis
5. Conclusions
Author Contributions
Funding
Institutional Review Board Statement
Informed Consent Statement
Data Availability Statement
Acknowledgments
Conflicts of Interest
References
- Humphries, S.; Joshi, A.; Webb, W.R.; Kanegaonkar, R. Auricular Reconstruction: Where Are We Now? A Critical Literature Review. Eur. Arch. Oto-Rhino-Laryngol. 2022, 279, 541–556. [Google Scholar] [CrossRef]
- Sterodimas, A.; de Faria, J.; Correa, W.E.; Pitanguy, I. Tissue Engineering and Auricular Reconstruction: A Review. J. Plast. Reconstr. Aesthetic Surg. 2009, 62, 447–452. [Google Scholar] [CrossRef] [PubMed]
- Bos, E.J.; Doerga, P.; Breugem, C.C.; van Zuijlen, P.P. The Burned Ear; Possibilities and Challenges in Framework Reconstruction and Coverage. Burns 2016, 42, 1387–1395. [Google Scholar] [CrossRef]
- Schroeder, M.J.; Lloyd, M.S. Tissue Engineering Strategies for Auricular Reconstruction. J. Craniofac. Surg. 2017, 28, 2007–2011. [Google Scholar] [CrossRef] [PubMed]
- Huang, Y.; Zhao, H.; Wang, Y.; Bi, S.; Zhou, K.; Li, H.; Zhou, C.; Wang, Y.; Wu, W.; Peng, B.; et al. The Application and Progress of Tissue Engineering and Biomaterial Scaffolds for Total Auricular Reconstruction in Microtia. Front. Bioeng. Biotechnol. 2023, 11, 1089031. [Google Scholar] [CrossRef]
- McWilliam, R.H.; Chang, W.; Liu, Z.; Wang, J.; Han, F.; Black, R.A.; Wu, J.; Luo, X.; Li, B.; Shu, W. Three-Dimensional Biofabrication of Nanosecond Laser Micromachined Nanofibre Meshes for Tissue Engineered Scaffolds. Biomater. Transl. 2023, 4, 104–114. [Google Scholar] [CrossRef] [PubMed]
- Dwivedi, R.; Yadav, P.K.; Pandey, R.; Mehrotra, D. Auricular Reconstruction via 3D Bioprinting Strategies: An Update. J. Oral Biol. Craniofacial Res. 2022, 12, 580–588. [Google Scholar] [CrossRef] [PubMed]
- Posniak, S.; Chung, J.H.Y.; Liu, X.; Mukherjee, P.; Gambhir, S.; Khansari, A.; Wallace, G.G. Bioprinting of Chondrocyte Stem Cell Co-Cultures for Auricular Cartilage Regeneration. ACS Omega 2022, 7, 5908–5920. [Google Scholar] [CrossRef] [PubMed]
- Bernstein, J.L.; Cohen, B.P.; Lin, A.; Harper, A.; Bonassar, L.J.; Spector, J.A. Tissue Engineering Auricular Cartilage Using Late Passage Human Auricular Chondrocytes. Ann. Plast. Surg. 2018, 80, S168–S173. [Google Scholar] [CrossRef]
- Lin, C.-H.; Srioudom, J.R.; Sun, W.; Xing, M.; Yan, S.; Yu, L.; Yang, J. The Use of Hydrogel Microspheres as Cell and Drug Delivery Carriers for Bone, Cartilage, and Soft Tissue Regeneration. Biomater. Transl. 2024, 5, 236–256. [Google Scholar] [CrossRef] [PubMed]
- Akbari, P.; Waldman, S.D.; Cushing, S.L.; Papsin, B.C.; Propst, E.J.; Weber, J.F.; Yeger, H.; Farhat, W.A. Bioengineering Pediatric Scaffold-free Auricular Cartilaginous Constructs. Laryngoscope 2017, 127, E153–E158. [Google Scholar] [CrossRef]
- Chiu, L.L.Y.; Weber, J.F.; Waldman, S.D. Engineering of Scaffold-free Tri-layered Auricular Tissues for External Ear Reconstruction. Laryngoscope 2019, 129, E272–E283. [Google Scholar] [CrossRef] [PubMed]
- Gonzales, N.; Garrity, C.; Rivas, I.; McEligot, H.; Vapniarsky, N. Auricular Chondrocytes as a Cell Source for Scaffold-Free Elastic Cartilage Tissue Engineering. Tissue Eng. Part C Methods 2024, 30, 314–322. [Google Scholar] [CrossRef] [PubMed]
- Dai, W.; Sun, M.; Leng, X.; Hu, X.; Ao, Y. Recent Progress in 3D Printing of Elastic and High-Strength Hydrogels for the Treatment of Osteochondral and Cartilage Diseases. Front. Bioeng. Biotechnol. 2020, 8, 604814. [Google Scholar] [CrossRef]
- Jeyaraman, M.; Jeyaraman, N.; Nallakumarasamy, A.; Ramasubramanian, S.; Yadav, S. Critical Challenges and Frontiers in Cartilage Tissue Engineering. Cureus 2024, 16, e53095. [Google Scholar] [CrossRef] [PubMed]
- Antoshin, A.A.; Shpichka, A.I.; Huang, G.; Chen, K.; Lu, P.; Svistunov, A.A.; Lychagin, A.V.; Lipina, M.M.; Sinelnikov, M.Y.; Reshetov, I.V.; et al. Lactoferrin as a Regenerative Agent: The Old-New Panacea? Pharmacol. Res. 2021, 167, 105564. [Google Scholar] [CrossRef]
- Xue, H.; Tu, Y.; Ma, T.; Liu, X.; Wen, T.; Cai, M.; Xia, Z.; Mei, J. Lactoferrin Inhibits IL-1β-Induced Chondrocyte Apoptosis through AKT1-Induced CREB1 Activation. Cell. Physiol. Biochem. 2015, 36, 2456–2465. [Google Scholar] [CrossRef] [PubMed]
- Brandl, N.; Zemann, A.; Kaupe, I.; Marlovits, S.; Huettinger, P.; Goldenberg, H.; Huettinger, M. Signal Transduction and Metabolism in Chondrocytes Is Modulated by Lactoferrin. Osteoarthr. Cartil. 2010, 18, 117–125. [Google Scholar] [CrossRef]
- Yan, D.; Chen, D.; Shen, J.; Xiao, G.; van Wijnen, A.J.; Im, H. Bovine Lactoferricin Is Anti-inflammatory and Anti-catabolic in Human Articular Cartilage and Synovium. J. Cell. Physiol. 2013, 228, 447–456. [Google Scholar] [CrossRef] [PubMed]
- Rasheed, N.; Alghasham, A.; Rasheed, Z. Lactoferrin from Camelus Dromedarius Inhibits Nuclear Transcription Factor-Kappa B Activation, Cyclooxygenase-2 Expression and Prostaglandin E2 Production in Stimulated Human Chondrocytes. Pharmacogn. Res. 2016, 8, 135–141. [Google Scholar] [CrossRef] [PubMed]
- Yan, D.; Kc, R.; Chen, D.; Xiao, G.; Im, H.J. Bovine Lactoferricin-Induced Anti-Inflammation Is, in Part, via up-Regulation of Interleukin-11 by Secondary Activation of STAT3 in Human Articular Cartilage. J. Biol. Chem. 2013, 288, 31655–31669. [Google Scholar] [CrossRef] [PubMed]
- Zhang, C.; Li, Y.; Tang, W.; Kamiya, N.; Kim, H. Lactoferrin Activates BMP7 Gene Expression through the Mitogen-Activated Protein Kinase ERK Pathway in Articular Cartilage. Biochem. Biophys. Res. Commun. 2013, 431, 31–35. [Google Scholar] [CrossRef] [PubMed]
- Koca, C.G.; Yıldırım, B.; Özmen, Ö.; Çiçek, M.F.; İğneci, M.; Kırarslan, Ö.; Erdil, A. Comparison of the Efficacy of Intra-Articular Injections of Hyaluronic Acid and Lactoferrin in Mono-Iodoacetate-Induced Temporomandibular Joint Osteoarthritis: A Histomorphometric, Immunohistochemistry, and Micro-Computed Tomography Analysis. Jt. Dis. Relat. Surg. 2023, 34, 166–175. [Google Scholar] [CrossRef] [PubMed]
- Tu, Y.; Xue, H.; Francis, W.; Davies, A.P.; Pallister, I.; Kanamarlapudi, V.; Xia, Z. Lactoferrin Inhibits Dexamethasone-Induced Chondrocyte Impairment from Osteoarthritic Cartilage through up-Regulation of Extracellular Signal-Regulated Kinase 1/2 and Suppression of FASL, FAS, and Caspase 3. Biochem. Biophys. Res. Commun. 2013, 441, 249–255. [Google Scholar] [CrossRef]
- Kim, J.; Ellman, M.B.; Yan, D.; An, H.S.; Kc, R.; Li, X.; Chen, D.; Xiao, G.; Cs-Szabo, G.; Hoskin, D.W.; et al. Lactoferricin Mediates Anti-inflammatory and Anti-catabolic Effects via Inhibition of IL-1 and LPS Activity in the Intervertebral Disc. J. Cell. Physiol. 2013, 228, 1884–1896. [Google Scholar] [CrossRef] [PubMed]
- Ellman, M.B.; Kim, J.; An, H.S.; Chen, D.; Kc, R.; Li, X.; Xiao, G.; Yan, D.; Suh, J.; van Wjnen, A.J.; et al. Lactoferricin Enhances BMP7-Stimulated Anabolic Pathways in Intervertebral Disc Cells. Gene 2013, 524, 282–291. [Google Scholar] [CrossRef][Green Version]
- Pace, R.T.; Burg, K.J.L. Toxic Effects of Resazurin on Cell Cultures. Cytotechnology 2015, 67, 13–17. [Google Scholar] [CrossRef]
- Stepanenko, A.A.; Dmitrenko, V.V. Pitfalls of the MTT Assay: Direct and off-Target Effects of Inhibitors Can Result in over/Underestimation of Cell Viability. Gene 2015, 574, 193–203. [Google Scholar] [CrossRef] [PubMed]
- Otto, I.; Levato, R.; Webb, W.; Khan, I.; Breugem, C.; Malda, J. Progenitor Cells in Auricular Cartilage Demonstrate Cartilage-Forming Capacity in 3D Hydrogel Culture. Eur. Cells Mater. 2018, 35, 132–150. [Google Scholar] [CrossRef] [PubMed]
- Smith, C.A.; Humphreys, P.A.; Bates, N.; Naven, M.A.; Cain, S.A.; Dvir-Ginzberg, M.; Kimber, S.J. SIRT1 Activity Orchestrates ECM Expression during HESC-chondrogenic Differentiation. FASEB J. 2022, 36, e22314. [Google Scholar] [CrossRef]
- Huang, S.; Song, X.; Li, T.; Xiao, J.; Chen, Y.; Gong, X.; Zeng, W.; Yang, L.; Chen, C. Pellet Coculture of Osteoarthritic Chondrocytes and Infrapatellar Fat Pad-Derived Mesenchymal Stem Cells with Chitosan/Hyaluronic Acid Nanoparticles Promotes Chondrogenic Differentiation. Stem Cell Res. Ther. 2017, 8, 264. [Google Scholar] [CrossRef] [PubMed]
- Nguyen, D.N.; Jiang, P.; Stensballe, A.; Bendixen, E.; Sangild, P.T.; Chatterton, D.E.W. Bovine Lactoferrin Regulates Cell Survival, Apoptosis and Inflammation in Intestinal Epithelial Cells and Preterm Pig Intestine. J. Proteom. 2016, 139, 95–102. [Google Scholar] [CrossRef]
- Takayama, Y.; Mizumachi, K. Inhibitory Effect of Lactoferrin on Hypertrophic Differentiation of ATDC5 Mouse Chondroprogenitor Cells. BioMetals 2010, 23, 477–484. [Google Scholar] [CrossRef] [PubMed]
- Zi, Z.; Chapnick, D.A.; Liu, X. Dynamics of TGF-β/Smad Signaling. FEBS Lett. 2012, 586, 1921–1928. [Google Scholar] [CrossRef]
- Kruzel, M.L.; Zimecki, M.; Actor, J.K. Lactoferrin in a Context of Inflammation-Induced Pathology. Front. Immunol. 2017, 8, 1438. [Google Scholar] [CrossRef] [PubMed]
- Yami, H.A.; Tahmoorespur, M.; Javadmanesh, A.; Tazarghi, A.; Sekhavati, M.H. The Immunomodulatory Effects of Lactoferrin and Its Derived Peptides on NF-ΚB Signaling Pathway: A Systematic Review and Meta-Analysis. Immun. Inflamm. Dis. 2023, 11, e972. [Google Scholar] [CrossRef]
- Ad-El, D.D.; Selah, J.; Goshen, G.; Dano, I. Induction of Cartilage Growth in a Rabbit Ear Model: A Pilot Study. Eur. J. Plast. Surg. 2006, 28, 513–516. [Google Scholar] [CrossRef]
- Gawriluk, T.R.; Simkin, J.; Thompson, K.L.; Biswas, S.K.; Clare-Salzler, Z.; Kimani, J.M.; Kiama, S.G.; Smith, J.J.; Ezenwa, V.O.; Seifert, A.W. Comparative Analysis of Ear-Hole Closure Identifies Epimorphic Regeneration as a Discrete Trait in Mammals. Nat. Commun. 2016, 7, 11164. [Google Scholar] [CrossRef] [PubMed]
- Valieva, Y.; Igrunkova, A.; Fayzullin, A.; Serejnikova, N.; Kurkov, A.; Fayzullina, N.; Valishina, D.; Bakulina, A.; Timashev, P.; Shekhter, A. Epimorphic Regeneration of Elastic Cartilage: Morphological Study into the Role of Cellular Senescence. Biology 2023, 12, 565. [Google Scholar] [CrossRef]
- ten Koppel, P. A New in Vivo Model for Testing Cartilage Grafts and Biomaterials: The “rabbit Pinna Punch-Hole” Model. Biomaterials 2001, 22, 1407–1414. [Google Scholar] [CrossRef] [PubMed]
- Presti, S.; Manti, S.; Parisi, G.F.; Papale, M.; Barbagallo, I.A.; Volti, G.L.; Leonardi, S. Lactoferrin: Cytokine Modulation and Application in Clinical Practice. J. Clin. Med. 2021, 10, 5482. [Google Scholar] [CrossRef]
- Sproul, E.P.; Argraves, W.S. A Cytokine Axis Regulates Elastin Formation and Degradation. Matrix Biol. 2013, 32, 86–94. [Google Scholar] [CrossRef] [PubMed]
- Gruden, Š.; Ulrih, N.P. Diverse Mechanisms of Antimicrobial Activities of Lactoferrins, Lactoferricins, and Other Lactoferrin-Derived Peptides. Int. J. Mol. Sci. 2021, 22, 11264. [Google Scholar] [CrossRef]
- Metcalfe, A.D.; Willis, H.; Beare, A.; Ferguson, M.W.J. Characterizing Regeneration in the Mammalian External Ear. J. Anat. 2006, 209, 439–446. [Google Scholar] [CrossRef]
- Ke, D.; Wang, X.; Lin, Y.; Wei, S. Lactoferrin Promotes the Autophagy Activity during Osteoblast Formation via BCL2-Beclin1 Signaling. Mol. Biol. Rep. 2022, 49, 259–266. [Google Scholar] [CrossRef] [PubMed]
- Alibegović, A.; Umek, N.; Pušnik, L.; Martinez, I.Z. Comparison of the Visual Scoring Method and Semi-Automatic Image Analysis for Evaluating Staining Intensity of Human Cartilage Sections. Image Anal. Stereol. 2024, 43, 131–137. [Google Scholar] [CrossRef]
- Bopp, S.K.; Lettieri, T. Comparison of Four Different Colorimetric and Fluorometric Cytotoxicity Assays in a Zebrafish Liver Cell Line. BMC Pharmacol. 2008, 8, 8. [Google Scholar] [CrossRef] [PubMed]
- Haberal Can, İ.; Atilla, P.; Çakar, A.N.; Önerci, M. An Animal Study on Cartilage Healing Using Auricular Cartilage as a Model. Eur. Arch. Oto-Rhino-Laryngol. 2008, 265, 307–311. [Google Scholar] [CrossRef]
- Naumann, A.; Dennis, J.E.; Awadallah, A.; Carrino, D.A.; Mansour, J.M.; Kastenbauer, E.; Caplan, A.I. Immunochemical and Mechanical Characterization of Cartilage Subtypes in Rabbit. J. Histochem. Cytochem. 2002, 50, 1049–1058. [Google Scholar] [CrossRef] [PubMed]
- van Osch, G.J.V.M.; van der Veen, S.W.; Verwoerd-Verhoef, H.L. In Vitro Redifferentiation of Culture-Expanded Rabbit and Human Auricular Chondrocytes for Cartilage Reconstruction. Plast. Reconstr. Surg. 2001, 107, 433–440. [Google Scholar] [CrossRef] [PubMed]
- Kamisan, N.; Naveen, S.V.; Ahmad, R.E.; Tunku, K. Chondrocyte Density, Proteoglycan Content and Gene Expressions from Native Cartilage Are Species Specific and Not Dependent on Cartilage Thickness: A Comparative Analysis between Rat, Rabbit and Goat. BMC Vet. Res. 2013, 9, 62. [Google Scholar] [CrossRef] [PubMed]
- Mo, J.-H.; Lee, D.-J.; Chung, P.-S.; Chung, Y.-J. Regenerative and Proliferative Activities of Chondrocyte Based on the Degree of Perichondrial Injury in Rabbit Auricular Cartilage. Eur. Arch. Oto-Rhino-Laryngol. 2014, 271, 1573–1580. [Google Scholar] [CrossRef] [PubMed]
- Fröhlich, M.; Maličev, E.; Gorenšek, M.; Knežević, M.; Velikonja, N.K. Evaluation of Rabbit Auricular Chondrocyte Isolation and Growth Parameters in Cell Culture. Cell Biol. Int. 2007, 31, 620–625. [Google Scholar] [CrossRef]
- Zhang, W.; Lu, W.; Yu, Q.; Liu, X.; Jiang, H. Upregulated Desmin/Integrin Β1/MAPK Axis Promotes Elastic Cartilage Regeneration with Increased ECM Mechanical Strength. Int. J. Biol. Sci. 2023, 19, 2740–2755. [Google Scholar] [CrossRef] [PubMed]
- Goldman, I.L.; Georgieva, S.G.; Gurskiy, Y.G.; Krasnov, A.N.; Deykin, A.V.; Popov, A.N.; Ermolkevich, T.G.; Budzevich, A.I.; Chernousov, A.D.; Sadchikova, E.R. Production of Human Lactoferrin in Animal Milk. Biochem. Cell Biol. 2012, 90, 513–519. [Google Scholar] [CrossRef] [PubMed]
- Kurenkova, A.D.; Li, L.; Usanova, A.P.; Feng, X.; Zhou, B.; Nedorubov, A.A.; Lychagin, A.V.; Chagin, A.S. Notch Signaling Regulates the Chondrogenic Potential of Both Articular Chondrocytes and Their Progenitors during Expansion. Stem Cells 2023, 41, 658–671. [Google Scholar] [CrossRef]
- Uşaklıoğlu, S.; Çakan, D. The Efficacy of Topical Lactoferrin on Wound Healing in an Experimental Animal Model of Nasal Septum Perforation. Facial Plast. Surg. 2023, 39, 575–580. [Google Scholar] [CrossRef] [PubMed]
- Newton, P.T.; Xie, M.; Medvedeva, E.V.; Sävendahl, L.; Chagin, A.S. Activation of MTORC1 in Chondrocytes Does Not Affect Proliferation or Differentiation, but Causes the Resting Zone of the Growth Plate to Become Disordered. Bone Rep. 2018, 8, 64–71. [Google Scholar] [CrossRef]


| Score | Wound Consolidation | Density | Color | Surface Texture |
|---|---|---|---|---|
| 0 | ≤25% | Entire defect dense | Red | Deformed with retractions and depressions |
| 1 | 25–50% | Wound edges dense | Pale | Smooth and even |
| 2 | 50–75% | - | Pigmented | - |
| 3 | ˃75% | - | Normal | - |
| Score | Morphological Features |
|---|---|
| 0 | Absence of rounded chondrocytes in regenerating fibrous cartilage |
| 1 | Presence of rounded chondrocytes in regenerating fibrous cartilage |
| 2 | Foci of regenerating elastic cartilage with large lacunae surrounded by elastic fibers |
| 3 | Continuous area of regenerating elastic cartilage with large lacunae surrounded by elastic fibers |
| Score | Morphological Features |
|---|---|
| 0 | Absence of elastic fibers |
| 1 | Isolated foci (islands) of elastic fibers |
| 2 | Elastic fibers close to the edges of the intact cartilage plate |
| 3 | Regenerating cartilage plate with elastic fibers |
Disclaimer/Publisher’s Note: The statements, opinions and data contained in all publications are solely those of the individual author(s) and contributor(s) and not of MDPI and/or the editor(s). MDPI and/or the editor(s) disclaim responsibility for any injury to people or property resulting from any ideas, methods, instructions or products referred to in the content. |
© 2025 by the authors. Licensee MDPI, Basel, Switzerland. This article is an open access article distributed under the terms and conditions of the Creative Commons Attribution (CC BY) license (https://creativecommons.org/licenses/by/4.0/).
Share and Cite
Kurenkova, A.D.; Serejnikova, N.B.; Sheleg, S.A.; Fayzullin, A.L.; Denisov, N.E.; Igrunkova, A.V.; Sadchikova, E.R.; Antoshin, A.A.; Timashev, P.S. Lactoferrin Stimulates Chondrogenesis and Promotes Healing of the Auricular Elastic Cartilage. Int. J. Mol. Sci. 2025, 26, 1956. https://doi.org/10.3390/ijms26051956
Kurenkova AD, Serejnikova NB, Sheleg SA, Fayzullin AL, Denisov NE, Igrunkova AV, Sadchikova ER, Antoshin AA, Timashev PS. Lactoferrin Stimulates Chondrogenesis and Promotes Healing of the Auricular Elastic Cartilage. International Journal of Molecular Sciences. 2025; 26(5):1956. https://doi.org/10.3390/ijms26051956
Chicago/Turabian StyleKurenkova, Anastasiia D., Natalia B. Serejnikova, Sofia A. Sheleg, Alexey L. Fayzullin, Nikolai E. Denisov, Alexandra V. Igrunkova, Elena R. Sadchikova, Artem A. Antoshin, and Peter S. Timashev. 2025. "Lactoferrin Stimulates Chondrogenesis and Promotes Healing of the Auricular Elastic Cartilage" International Journal of Molecular Sciences 26, no. 5: 1956. https://doi.org/10.3390/ijms26051956
APA StyleKurenkova, A. D., Serejnikova, N. B., Sheleg, S. A., Fayzullin, A. L., Denisov, N. E., Igrunkova, A. V., Sadchikova, E. R., Antoshin, A. A., & Timashev, P. S. (2025). Lactoferrin Stimulates Chondrogenesis and Promotes Healing of the Auricular Elastic Cartilage. International Journal of Molecular Sciences, 26(5), 1956. https://doi.org/10.3390/ijms26051956

