Construction of Tandem Multimers with Different Combinatorial Forms of BmSPI38 and BmSPI39 and Analysis of Their Expression and Activity in Escherichia coli
Abstract
1. Introduction
2. Results
2.1. Design and Construction of Tandem Multimer Expression Vectors with Different Combinatorial Forms of BmSPI38 and BmSPI39
2.2. Prokaryotic Expression of Tandem Multimers with Different Combinatorial Forms of BmSPI38 and BmSPI39
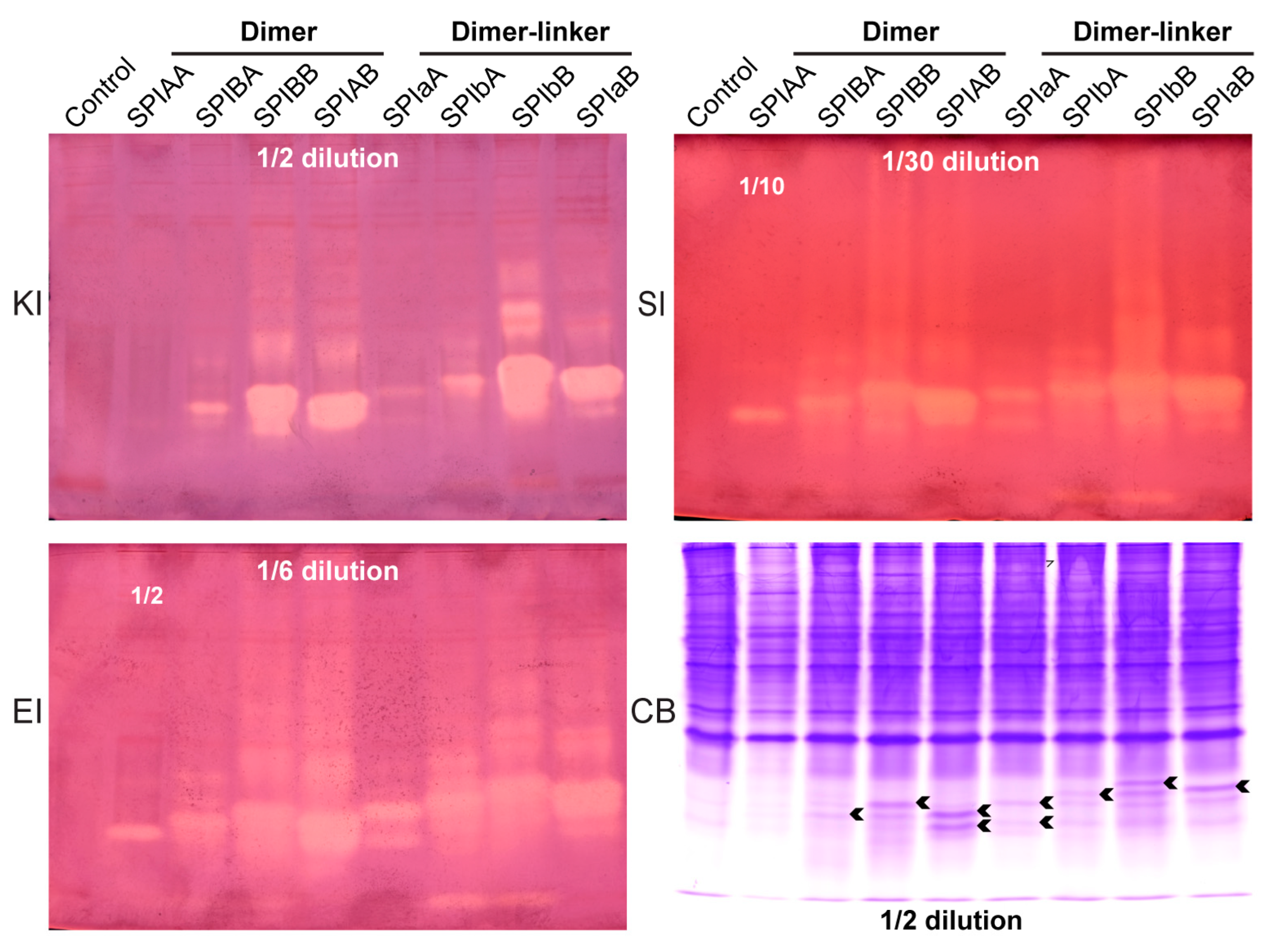
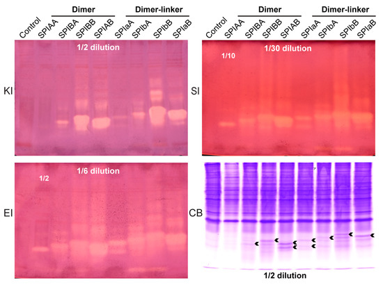
2.3. Analysis of the Inhibitory Activity of Tandem Dimer Proteins Against Different Serine Proteases
2.4. Analysis of the Inhibitory Activity of Tandem Trimer Proteins Against Different Serine Proteases
2.5. Analysis of the Inhibitory Activity of Tandem Tetramer Proteins Against Different Serine Proteases
3. Discussion
4. Materials and Methods
4.1. Escherichia coli Strain and Reagents
4.2. Construction of Tandem Multimer Expression Vectors with Different Combinations of BmSPI38 and BmSPI39
4.3. Prokaryotic Expression of Tandem Multimer Proteins with Different Combinatorial Forms of BmSPI38 and BmSPI39
4.4. Native PAGE
4.5. In-Gel Activity Staining of Protease Inhibitors
5. Conclusions
Author Contributions
Funding
Institutional Review Board Statement
Informed Consent Statement
Data Availability Statement
Acknowledgments
Conflicts of Interest
References
- Hibbetts, K.; Hines, B.; Williams, D. An overview of proteinase inhibitors. J. Vet. Intern. Med. 1999, 13, 302–308. [Google Scholar] [CrossRef] [PubMed]
 - Macedo, M.L.; Diz Filho, E.B.; Freire, M.G.; Oliva, M.L.; Sumikawa, J.T.; Toyama, M.H.; Marangoni, S. A trypsin inhibitor from Sapindus saponaria L. seeds: Purification, characterization, and activity towards pest insect digestive enzyme. Protein J. 2011, 30, 9–19. [Google Scholar] [CrossRef]
 - Roose, J.P.; Van Noorden, C.J. Synthetic protease inhibitors: Promising compounds to arrest pathobiologic processes. J. Lab. Clin. Med. 1995, 125, 433–441. [Google Scholar] [PubMed]
 - Rauf, A.; Khalil, A.A.; Olatunde, A.; Khan, M.; Anwar, S.; Alafnan, A.; Rengasamy, K.R. Diversity, molecular mechanisms and structure-activity relationships of marine protease inhibitors—A review. Pharmacol. Res. 2021, 166, 105521. [Google Scholar] [CrossRef]
 - Santana-Romo, F.; Lagos, C.F.; Duarte, Y.; Castillo, F.; Moglie, Y.; Maestro, M.A.; Charbe, N.; Zacconi, F.C. Innovative Three-Step Microwave-Promoted Synthesis of N-Propargyltetrahydroquinoline and 1,2,3-Triazole Derivatives as a Potential Factor Xa (FXa) Inhibitors: Drug Design, Synthesis, and Biological Evaluation. Molecules 2020, 25, 491. [Google Scholar] [CrossRef] [PubMed]
 - Gao, M.; Lv, Q.; Zhang, H.; Tu, G. Synthesis and 4D-QSAR Studies of Alanine Hydroxamic Acid Derivatives as Aminopeptidase N Inhibitors. Med. Chem. 2021, 17, 658–666. [Google Scholar] [CrossRef]
 - Pandey, A.; Yadav, R.; Sanyal, I. Evaluating the pesticidal impact of plant protease inhibitors: Lethal weaponry in the co-evolutionary battle. Pest Manag. Sci. 2022, 78, 855–868. [Google Scholar] [CrossRef]
 - Cerutti, J.P.; Diniz, L.A.; Santos, V.C.; Vilchez Larrea, S.C.; Alonso, G.D.; Ferreira, R.S.; Dehaen, W.; Quevedo, M.A. Structure-Aided Computational Design of Triazole-Based Targeted Covalent Inhibitors of Cruzipain. Molecules 2024, 29, 4224. [Google Scholar] [CrossRef]
 - Xia, Q.; Zhou, Z.; Lu, C.; Cheng, D.; Dai, F.; Li, B.; Zhao, P.; Zha, X.; Cheng, T.; Chai, C.; et al. A draft sequence for the genome of the domesticated silkworm (Bombyx mori). Science 2004, 306, 1937–1940. [Google Scholar]
 - Duan, J.; Li, R.; Cheng, D.; Fan, W.; Zha, X.; Cheng, T.; Wu, Y.; Wang, J.; Mita, K.; Xiang, Z.; et al. SilkDB v2.0: A platform for silkworm (Bombyx mori) genome biology. Nucleic Acids Res. 2010, 38, D453–D456. [Google Scholar] [CrossRef]
 - Xia, Q.; Li, S.; Feng, Q. Advances in silkworm studies accelerated by the genome sequencing of Bombyx mori. Annu. Rev. Entomol. 2014, 59, 513–536. [Google Scholar] [CrossRef] [PubMed]
 - Kanost, M.R. Serine proteinase inhibitors in arthropod immunity. Dev. Comp. Immunol. 1999, 23, 291–301. [Google Scholar] [CrossRef] [PubMed]
 - Fullaondo, A.; Garcia-Sanchez, S.; Sanz-Parra, A.; Recio, E.; Lee, S.Y.; Gubb, D. Spn1 regulates the GNBP3-dependent Toll signaling pathway in Drosophila melanogaster. Mol. Cell. Biol. 2011, 31, 2960–2972. [Google Scholar] [CrossRef]
 - Cerenius, L.; Kawabata, S.I.; Lee, B.L.; Nonaka, M.; Söderhäll, K. Proteolytic cascades and their involvement in invertebrate immunity. Trends Biochem. Sci. 2010, 35, 575–583. [Google Scholar] [CrossRef] [PubMed]
 - Zhao, P.; Dong, Z.; Duan, J.; Wang, G.; Wang, L.; Li, Y.; Xiang, Z.; Xia, Q. Genome-wide identification and immune response analysis of serine protease inhibitor genes in the silkworm, Bombyx mori. PLoS ONE 2012, 7, e31168. [Google Scholar] [CrossRef] [PubMed]
 - Li, Y.; Zhao, P.; Liu, S.; Dong, Z.; Chen, J.; Xiang, Z.; Xia, Q. A novel protease inhibitor in Bombyx mori is involved in defense against Beauveria bassiana. Insect Biochem. Mol. Biol. 2012, 42, 766–775. [Google Scholar] [CrossRef] [PubMed]
 - Li, Y.; Zhao, P.; Liu, H.; Guo, X.; He, H.; Zhu, R.; Xiang, Z.; Xia, Q. TIL-type protease inhibitors may be used as targeted resistance factors to enhance silkworm defenses against invasive fungi. Insect Biochem. Mol. Biol. 2015, 57, 11–19. [Google Scholar] [CrossRef]
 - Guo, X.; Dong, Z.; Zhang, Y.; Li, Y.; Liu, H.; Xia, Q.; Zhao, P. Proteins in the Cocoon of Silkworm Inhibit the Growth of Beauveria bassiana. PLoS ONE 2017, 11, e0151764. [Google Scholar] [CrossRef] [PubMed]
 - Li, Y.; Liu, H.; Zhu, R.; Xia, Q.; Zhao, P. Protease inhibitors in Bombyx mori silk might participate in protecting the pupating larva from microbial infection. Insect Sci. 2016, 23, 835–842. [Google Scholar] [CrossRef]
 - Li, Y.; Dong, Z.; Liu, H.; Zhu, R.; Bai, Y.; Xia, Q.; Zhao, P. The fungal-resistance factors BmSPI38 and BmSPI39 predominantly exist as tetramers, not monomers, in Bombyx mori. Insect Mol. Biol. 2018, 27, 686–697. [Google Scholar] [CrossRef] [PubMed]
 - Li, Y.; Wang, Y.; Zhu, R.; Yang, X.; Wei, M.; Zhang, Z.; Chen, C. Expression of BmSPI38 tandem multimers in Escherichia coli and its antifungal activity. Chin. J. Biotechnol. 2023, 39, 4275–4294. [Google Scholar]
 - Li, Y.; Wang, Y.; Zhu, R.; Yang, X.; Wei, M.; Zhang, Z.; Chen, C.; Zhao, P. Tandem Multimerization Can Enhance the Structural Homogeneity and Antifungal Activity of the Silkworm Protease Inhibitor BmSPI39. Cells 2023, 12, 693. [Google Scholar] [CrossRef]
 - Wriggers, W.; Chakravarty, S.; Jennings, P.A. Control of protein functional dynamics by peptide linkers. Biopolymers 2005, 80, 736–746. [Google Scholar] [CrossRef]
 - Zhao, H.; Yao, X.; Xue, C.; Wang, Y.; Xiong, X.; Liu, Z. Increasing the homogeneity, stability and activity of human serum albumin and interferon-alpha2b fusion protein by linker engineering. Protein Expr. Purif. 2008, 61, 73–77. [Google Scholar] [CrossRef]
 - Spix, B.; Butz, E.S.; Chen, C.C.; Rosato, A.S.; Tang, R.; Jeridi, A.; Kudrina, V.; Plesch, E.; Wartenberg, P.; Arlt, E.; et al. Lung emphysema and impaired macrophage elastase clearance in mucolipin 3 deficient mice. Nat. Commun. 2022, 13, 318. [Google Scholar] [CrossRef]
 - Suki, B.; Bartolak-Suki, E.; Rocco, P.R.M. Elastase-Induced Lung Emphysema Models in Mice. Methods Mol. Biol. 2017, 1639, 67–75. [Google Scholar]
 - John, D.S.; Aschenbach, J.; Kruger, B.; Sendler, M.; Weiss, F.U.; Mayerle, J.; Lerch, M.M.; Aghdassi, A.A. Deficiency of cathepsin C ameliorates severity of acute pancreatitis by reduction of neutrophil elastase activation and cleavage of E-cadherin. J. Biol. Chem. 2019, 294, 697–707. [Google Scholar] [CrossRef] [PubMed]
 - Fujita, J.; Nelson, N.L.; Daughton, D.M.; Dobry, C.A.; Spurzem, J.R.; Irino, S.; Rennard, S.I. Evaluation of elastase and antielastase balance in patients with chronic bronchitis and pulmonary emphysema. Am. Rev. Respir. Dis. 1990, 142, 57–62. [Google Scholar] [CrossRef] [PubMed]
 - Kumasaka, R.; Nakamura, N.; Fujita, T.; Murakami, R.; Shimada, M.; Osawa, H.; Yamabe, H.; Okumura, K. Beneficial effect of neutrophil elastase inhibitor on anti-Thy1.1 nephritis in rats. Nephrology 2008, 13, 27–32. [Google Scholar] [CrossRef]
 - Shu, L.; Zhong, L.; Xiao, Y.; Wu, X.; Liu, Y.; Jiang, X.; Tang, T.; Hoo, R.; Zhou, Z.; Xu, A. Neutrophil elastase triggers the development of autoimmune diabetes by exacerbating innate immune responses in pancreatic islets of non-obese diabetic mice. Clin. Sci. 2020, 134, 1679–1696. [Google Scholar] [CrossRef] [PubMed]
 - Moroy, G.; Alix, A.J.P.; Sapi, J.; Hornebeck, W.; Bourguet, E. Neutrophil elastase as a target in lung cancer. Anti-Cancer Agents Med. Chem. 2012, 12, 567–579. [Google Scholar] [CrossRef]
 - Jia, W.; Mao, Y.; Luo, Q.; Wu, J.; Guan, Q. Targeting neutrophil elastase is a promising direction for future cancer treatment. Discov. Oncol. 2024, 15, 167. [Google Scholar] [CrossRef] [PubMed]
 - Tsuji, N.; Moriwaki, S.; Suzuki, Y.; Takema, Y.; Imokawa, G. The role of elastases secreted by fibroblasts in wrinkle formation: Implication through selective inhibition of elastase activity. Photochem. Photobiol. 2001, 74, 283–290. [Google Scholar] [CrossRef] [PubMed]
 - Genji, I. Mechanism of UVB-induced wrinkling of the skin: Paracrine cytokine linkage between keratinocytes and fibroblasts leading to the stimulation of elastase. J. Investig. Dermatol. Symp. Proc. 2009, 14, 36–43. [Google Scholar]
 - Patel, A.; Gandhi, K.; Shah, S.; Patel, D.; Chhatbar, S.; Shah, D.; Patel, S.; Patel, H.; Bambharoliya, T. Study and Solvent-free one-pot Synthesis of Tetrahydropyrimidine derivatives by Mechanochemistry Approach for Targeting Human Neutrophil Elastase against Lung Cancer. Curr. Comput.-Aided Drug Des. 2022, 18, 293–306. [Google Scholar] [CrossRef]
 - Sahebnasagh, A.; Saghafi, F.; Safdari, M.; Khataminia, M.; Sadremomtaz, A.; Talaei, Z.; Ghaleno, H.R.; Bagheri, M.; Habtemariam, S.; Avan, R. Neutrophil elastase inhibitor (sivelestat) may be a promising therapeutic option for management of acute lung injury/acute respiratory distress syndrome or disseminated intravascular coagulation in COVID-19. J. Clin. Pharm. Ther. 2020, 45, 1515–1519. [Google Scholar] [CrossRef] [PubMed]
 - Kumar, J.P.; Mandal, B.B. Inhibitory role of silk cocoon extract against elastase, hyaluronidase and UV radiation-induced matrix metalloproteinase expression in human dermal fibroblasts and keratinocytes. Photochem. Photobiol. Sci. 2019, 18, 1259–1274. [Google Scholar] [CrossRef]
 - Yan, Z.; Ping, Z.; Dong, Z.; Wang, D.; Guo, P. Comparative proteome analysis of multi-layer cocoon of the silkworm, Bombyx mori. PLoS ONE 2015, 10, e0123403. [Google Scholar]
 - Dong, Z.; Zhao, P.; Wang, C.; Zhang, Y.; Chen, J.; Wang, X.; Lin, Y.; Xia, Q. Comparative proteomics reveal diverse functions and dynamic changes of Bombyx mori silk proteins spun from different development stages. J. Proteome Res. 2013, 12, 5213–5222. [Google Scholar] [CrossRef]
 - Li, Y.; Wei, M.; Zhang, J.; Zhu, R.; Wang, Y.; Zhang, Z.; Chen, C.; Zhao, P. Amino Acid Substitutions at P1 Position Change the Inhibitory Activity and Specificity of Protease Inhibitors BmSPI38 and BmSPI39 from Bombyx mori. Molecules 2023, 28, 2073. [Google Scholar] [CrossRef] [PubMed]
 - Ekiel, I.; Abrahamson, M. Folding-related dimerization of human cystatin C. J. Biol. Chem. 1996, 271, 1314–1321. [Google Scholar] [CrossRef]
 - Ekiel, I.; Abrahamson, M.; Fulton, D.B.; Lindahl, P.; Storer, A.C.; Levadoux, W.; Lafrance, M.; Labelle, S.; Pomerleau, Y.; Groleau, D. NMR structural studies of human cystatin C dimers and monomers. J. Mol. Biol. 1997, 271, 266. [Google Scholar] [CrossRef]
 - Brand, G.D.; Salbo, R.; Jørgensen, T.J.D.; Bloch, C., Jr.; Erba, E.B.; Robinson, C.V.; Tanjoni, I.; Moura-Da-Silva, A.M.; Roepstorff, P.; Domont, G.B.; et al. The interaction of the antitoxin DM43 with a snake venom metalloproteinase analyzed by mass spectrometry and surface plasmon resonance. J. Mass Spectrom. 2012, 47, 567–573. [Google Scholar] [CrossRef]
 - Fida, H.M.; Kumada, Y.; Terashima, M.; Katsuda, T.; Katoh, S. Tandem multimer expression of angiotensin I-converting enzyme inhibitory peptide in Escherichia coli. Biotechnol. J. 2009, 4, 1345–1356. [Google Scholar] [CrossRef] [PubMed]
 - Park, C.J.; Lee, J.H.; Hong, S.S.; Kim, H.S.L.C. High-level expression of the angiotensin-converting-enzyme-inhibiting peptide, YG-1, as tandem multimers in Escherichia coli. Appl. Microbiol. Biotechnol. 1998, 50, 71–76. [Google Scholar] [CrossRef]
 - Liu, D.; Sun, H.; Zhang, L.; Li, S.; Qin, Z. High-level expression of milk-derived antihypertensive peptide in Escherichia coli and its bioactivity. J. Agric. Food Chem. 2007, 55, 5109–5112. [Google Scholar] [CrossRef] [PubMed]
 - Wang, F.; Song, H.; Wang, X.; Zhang, W.; Wang, B.; Zhao, J.; Hu, Z. Tandem multimer expression and preparation of hypoglycemic peptide MC6 from Momordica charantia in Escherichia coli. Appl. Biochem. Biotechnol. 2012, 166, 612–619. [Google Scholar] [CrossRef] [PubMed]
 - Wang, X.; Yang, G.; Li, S.; Gao, M.; Zhao, P.; Zhao, L. The Escherichia coli-derived thymosin β4 concatemer promotes cell proliferation and healing wound in mice. BioMed Res. Int. 2013, 2013, 241721. [Google Scholar]
 - Guler, H.I. Recombinant Production of Opiorphin Pentapeptide as Tandem Multimers Through Rational Design of Primers. Appl. Biochem. Microbiol. 2020, 56, 141–148. [Google Scholar] [CrossRef]
 - Rao, X.; Hu, J.; Li, S.; Jin, X.; Zhang, C.; Cong, Y.; Hu, X.; Tan, Y.; Huang, J.; Chen, Z.; et al. Design and expression of peptide antibiotic hPAB-β as tandem multimers in Escherichia coli. Peptides 2004, 26, 721–729. [Google Scholar] [CrossRef]
 - Chen, Y.; Zhao, L.; Shen, G.; Cui, L.; Ren, W.; Zhang, H.; Qian, H.; Tang, K. Expression and analysis of thymosin α1 concatemer in Escherichia coli. Biotechnol. Appl. Biochem. 2008, 49, 51–56. [Google Scholar] [CrossRef]
 - Zhang, X.; Guo, G.; Li, K.; Sun, Q.; Guo, S.; Ma, X.; Ma, G. Construction and Expression of PHLD Fusion Protein in Pichia pastoris. Chin. J. Life Sci. Res. 2018, 22, 475–482. [Google Scholar]
 - Yang, Y.; Zhi, D.; Tang, W.; Wang, M.; Wang, N.; Li, H. In vivo Biological Activity and Therapeutic Effects of Dimer Human Serum Albumin-Thrombopoietin Mimetic Peptide Fusion Protein (HSA-TMP-TMP). Chin. J. Pharm. Biotechnol. 2016, 23, 304–307. [Google Scholar]
 - Uriel, J.; Berges, J. Characterization of natural inhibitors of trypsin and chymotrypsin by electrophoresis in acrylamide-agarose gels. Nature 1968, 218, 578–580. [Google Scholar] [CrossRef]
 - Du, L.; Cui, X.; Wang, Y.; Fan, L.; He, R.; Jiang, F.; Yu, A.; Xiao, D.; Ma, L. Enhancing the enzymatic hydrolysis efficiency of lignocellulose assisted by artificial fusion enzyme of swollenin-xylanase. Ind. Crops Prod. 2021, 173, 114106. [Google Scholar] [CrossRef]
 - Kosobokova, E.N.; Skrypnik, K.A.; Kosorukov, V.S. Overview of Fusion Tags for Recombinant Proteins. Biochemistry 2016, 81, 187–200. [Google Scholar] [CrossRef]
 - Crasto, C.J.; Feng, J. LINKER: A program to generate linker sequences for fusion proteins. Protein Eng. 2000, 13, 309–312. [Google Scholar] [CrossRef] [PubMed]
 - Xue, F.; Gu, Z.; Feng, J. LINKER: A web server to generate peptide sequences with extended conformation. Nucleic Acids Res. 2004, 32, W562–W565. [Google Scholar] [CrossRef] [PubMed]
 - Zhao, W.; Liu, S.; Liu, L.; Chen, J.; Du, G. Analysis of the factors influencing the expression of enzymes fused with self-assembling amphipathic peptides. Chin. J. Food Ferment. Ind. 2017, 43, 1–6. [Google Scholar]
 - Xia, X.; Shi, Y.; Yu, Y.; Feng, M.; Wang, T.; Fang, R.; Huang, S.; Zeng, Z.; Hu, Z. Effect of the Linker Length of scFv Antibody on Its Binding Capacity to Small Molecular Hapten. Chin. J. Genom. Appl. Biol. 2016, 35, 2429–2434. [Google Scholar]
 - Trinh, R.; Gurbaxani, B.; Morrison, S.L.; Seyfzadeh, M. Optimization of codon pair use within the (GGGGS)3 linker sequence results in enhanced protein expression. Mol. Immunol. 2004, 40, 717–722. [Google Scholar] [CrossRef]
 - Jongsma, M.A.; Bakker, P.L.; Stiekema, W.J. Quantitative determination of serine proteinase inhibitor activity using a radial diffusion assay. Anal. Biochem. 1993, 212, 79–84. [Google Scholar] [CrossRef]
 - Yakoby, N.; Raskin, I. A simple method to determine trypsin and chymotrypsin inhibitory activity. J. Biochem. Biophys. Methods 2004, 59, 241–251. [Google Scholar] [CrossRef] [PubMed]
 





Disclaimer/Publisher’s Note: The statements, opinions and data contained in all publications are solely those of the individual author(s) and contributor(s) and not of MDPI and/or the editor(s). MDPI and/or the editor(s) disclaim responsibility for any injury to people or property resulting from any ideas, methods, instructions or products referred to in the content.  | 
© 2025 by the authors. Licensee MDPI, Basel, Switzerland. This article is an open access article distributed under the terms and conditions of the Creative Commons Attribution (CC BY) license (https://creativecommons.org/licenses/by/4.0/).
Share and Cite
Zhang, Z.; Li, Y.; Yang, X.; Chen, C.; Ru, S.; Jiang, J.; Cai, W.; Li, J.; Du, J.; Qiao, D. Construction of Tandem Multimers with Different Combinatorial Forms of BmSPI38 and BmSPI39 and Analysis of Their Expression and Activity in Escherichia coli. Int. J. Mol. Sci. 2025, 26, 1788. https://doi.org/10.3390/ijms26051788
Zhang Z, Li Y, Yang X, Chen C, Ru S, Jiang J, Cai W, Li J, Du J, Qiao D. Construction of Tandem Multimers with Different Combinatorial Forms of BmSPI38 and BmSPI39 and Analysis of Their Expression and Activity in Escherichia coli. International Journal of Molecular Sciences. 2025; 26(5):1788. https://doi.org/10.3390/ijms26051788
Chicago/Turabian StyleZhang, Zhaofeng, Youshan Li, Xi Yang, Changqing Chen, Shuai Ru, Jie Jiang, Wenyao Cai, Jiyu Li, Juanle Du, and Dejue Qiao. 2025. "Construction of Tandem Multimers with Different Combinatorial Forms of BmSPI38 and BmSPI39 and Analysis of Their Expression and Activity in Escherichia coli" International Journal of Molecular Sciences 26, no. 5: 1788. https://doi.org/10.3390/ijms26051788
APA StyleZhang, Z., Li, Y., Yang, X., Chen, C., Ru, S., Jiang, J., Cai, W., Li, J., Du, J., & Qiao, D. (2025). Construction of Tandem Multimers with Different Combinatorial Forms of BmSPI38 and BmSPI39 and Analysis of Their Expression and Activity in Escherichia coli. International Journal of Molecular Sciences, 26(5), 1788. https://doi.org/10.3390/ijms26051788
        
