Polymorphic Variants of Peptidylarginine Deiminase Gene from P. gingivalis—Searching for Targets for Supportive Therapy of Periodontitis
Abstract
1. Introduction
2. Results
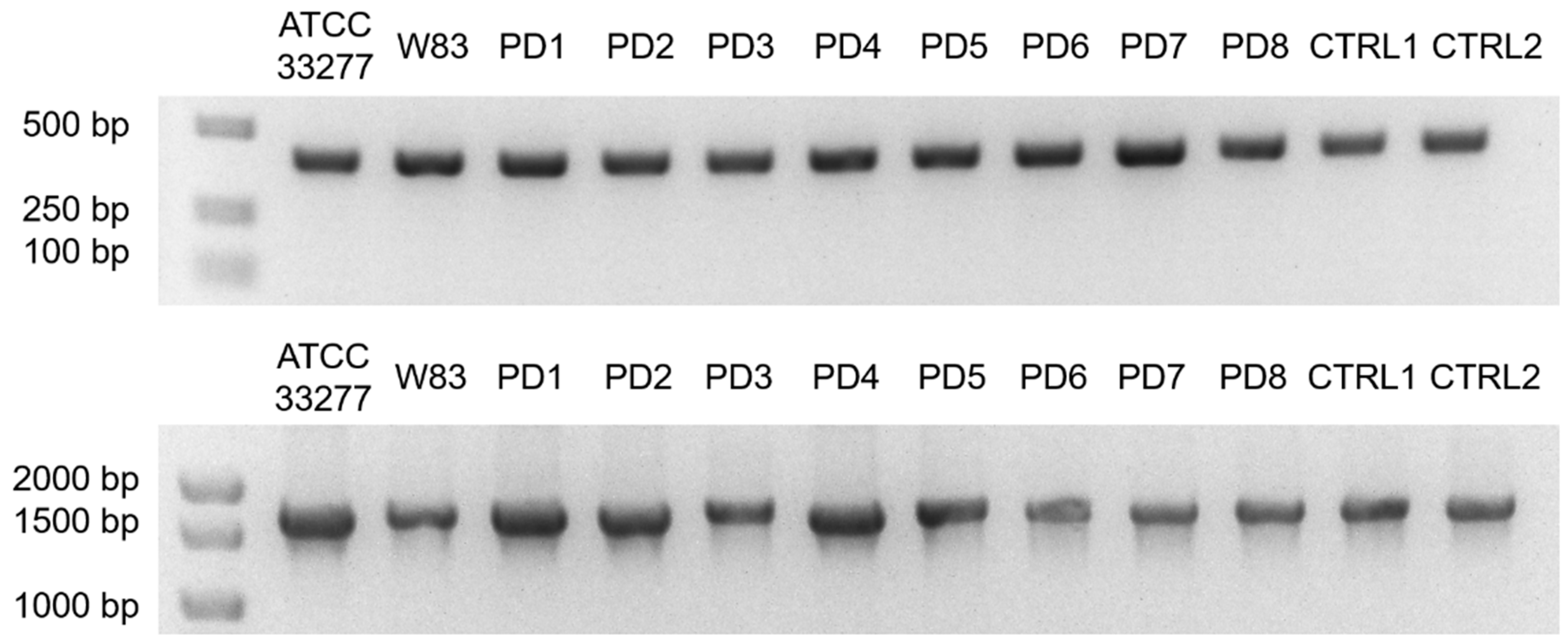
2.1. Verification of the Genotypes of P. gingivalis Clinical Strains
2.2. Clinical Classification of PD in Study Donors
2.3. Overview of ppad Gene Sequences from P. gingivalis Clinical Strains
2.4. Identification of New Specific Polymorphic Variants in P. gingivalis ppad Gene from PD, But Not Control Donors
2.5. Missense Mutations Detection and Co-Occurrence with New Polymorphic Variants of the P. Gingivalis ppad Gene from PD
2.6. Identification of Numerous Synonymous Variants of the P. gingivalis ppad Sequence from PD and Controls
2.7. Characteristics of the P. gingivalis ppad Sequence Changes Located Close to the Active Center of PPAD
2.8. Analysis of ppad Gene Sequences Deposited in Databases
2.9. In Vitro Analysis of Immune Response by PHGFs Infected with P. gingivalis Strains Harboring the G231N, E232T, N235D Polymorphic Variant of ppad
3. Discussion
4. Materials and Methods
4.1. Study Participants
4.2. Periodontal Examination and Sample Collection
4.3. P. gingivalis Culturing from GCF Samples
4.4. P. gingivalis Genomic DNA Purification
4.5. Verification of P. gingivalis Species Genotype
4.6. Cloning and Sequencing of ppad
4.7. The ppad Gene Sequences Analysis
4.8. Gingival Cell Culture
4.9. Culture and Preparation of P. gingivalis Strains for Infection
4.10. RNA Isolation and Preparation
4.11. Reverse Transcription Reaction
4.12. Gene Expression Analysis
4.13. Statistical Analyses
5. Conclusions
Supplementary Materials
Author Contributions
Funding
Institutional Review Board Statement
Informed Consent Statement
Data Availability Statement
Conflicts of Interest
References
- Zhao, X.; Liu, J.; Zhang, C.; Yu, N.; Lu, Z.; Zhang, S.; Li, Y.; Li, Q.; Liu, J.; Liu, D.; et al. Porphyromonas gingivalis exacerbates ulcerative colitis via Porphyromonas gingivalis peptidylarginine deiminase. Int. J. Oral Sci. 2021, 13, 31. [Google Scholar] [CrossRef] [PubMed]
- Kwon, T.; Lamster, I.B.; Levin, L. Current concepts in the Management of Periodontitis. Int. Dent. J. 2021, 71, 462–476. [Google Scholar] [CrossRef] [PubMed]
- Curtis, M.A.; Diaz, P.I.; Van Dyke, T.E. The role of the microbiota in periodontal disease. Periodontol. 2000 2020, 83, 14–25. [Google Scholar] [CrossRef] [PubMed]
- Nakayama, M.; Ohara, N. Molecular mechanisms of Pophyromonas gingivalis-host cell interaction on periodontal diseases. Jpn. Dent. Sci. Rev. 2017, 53, 134–140. [Google Scholar] [CrossRef]
- Pihlstrom, B.L.; Michalowicz, B.S.; Johnson, N.W. Periodontal diseases. Lancet 2005, 366, 1809–1820. [Google Scholar] [CrossRef] [PubMed]
- Lalla, E.; Papapanou, P.N. Diabetes mellitus and periodontitis: A tale of two common interrelated diseases. Nat. Rev. Endocrinol. 2011, 7, 738–748. [Google Scholar] [CrossRef] [PubMed]
- Bansal, M.; Khatri, M.; Taneja, V. Potential role of periodontal infection in respiratory diseases–a review. J. Med. Life 2013, 6, 244–248. [Google Scholar] [PubMed]
- Holt, S.C.; Ebersole, J.L. Porphyromonas gingivalis, Treponema denticola, and Tannerella forsythia: The red complex, a prototype polybacterial pathogenic consortium in periodontitis. Periodontol. 2000 2005, 38, 72–122. [Google Scholar] [CrossRef]
- Mysak, J.; Podzimek, S.; Sommerova, P.; Lyuya-Mi, Y.; Bartova, J.; Janatova, T.; Prochazkova, J.; Duskova, J. Porphyromonas gingivalis: Major Periodontopathic Pathogen Overview. J. Immunol. Res. 2014, 2014, 476068. [Google Scholar] [CrossRef]
- Hajishengallis, G.; Wang, M.; Liang, S. Induction of distinct TLR2-mediated proinflammatory and proadhesive signaling pathways in response to Porphyromonas gingivalis fimbriae. J. Immunol. 2009, 182, 6690–6696. [Google Scholar] [CrossRef]
- Nakao, R.; Takashiba, S.; Kosono, S.; Yoshida, M.; Watanabe, H.; Ohnishi, M.; Senpuku, H. Effect of Porphyromonas gingivalis outer membrane vesicles on gingipain-mediated detachment of cultured oral epithelial cells and immune responses. Microbes Infect. 2014, 16, 6–16. [Google Scholar] [CrossRef] [PubMed]
- Takii, R.; Kadowaki, T.; Baba, A.; Tsukuba, T.; Yamamoto, K. A functional virulence complex composed of gingipains, adhesins, and lipopolysaccharide shows high affinity to host cells and matrix proteins and escape recognition by host immune systems. Infect. Immun. 2005, 73, 883–893. [Google Scholar] [CrossRef]
- Gawron, K.; Wojtowicz, W.; Łazarz Bartyzel, K.; Łamasz, A.; Qasem, B.; Mydel, P.; Chomyszyn-Gajewska, M.; Potempa, J.; Mlynarz, P. Metabolomic Status of The Oral Cavity in Chronic Periodontitis. In Vivo 2019, 33, 1165–1174. [Google Scholar] [CrossRef] [PubMed]
- Lamont, R.J.; Jenkinson, H.F. Life below the gum line: Pathogenic mechanisms of Porphyromonas gingivalis. Microbiol. Mol. Biol. Rev. 1998, 62, 1244–1263. [Google Scholar] [CrossRef] [PubMed]
- Eke, P.I.; Dye, B.A.; Wei, L.; Thornton Evans, G.O.; Genco, R.J. Prevalence of periodontitis in adults in the United States: 2009 and 2010. J. Dent. Res. 2012, 91, 914–920. [Google Scholar] [CrossRef] [PubMed]
- Demmer, R.T.; Papapanou, P.N. Epidemiologic patterns of chronic and aggressive periodontitis. Periodontol. 2000 2010, 53, 28–44. [Google Scholar] [CrossRef]
- Geritis, E.; Verstraeten, N.; Michiels, J. New approaches to combat Pophyromonas gingivalis biofilms. J. Oral Microbiol. 2017, 9, 1300366. [Google Scholar] [CrossRef]
- Montgomery, A.B.; Kopec, J.; Shrestha, L.; Thezenas, M.L.; Burgess–Brown, N.A.; Fischer, R.; Yue, W.W.; Venables, P.J. Crystal structure of Porphyromonas gingivalis peptidylarginine deiminase: Implications for autoimmunity in rheumatoid arthritis. Ann. Rheum. Dis. 2016, 75, 1255–1261. [Google Scholar] [CrossRef] [PubMed]
- Lasica, A.M.; Ksiazek, M.; Madej, M.; Potempa, J. The type IX Secretion System (T9SS): Highlights and recent insights into its structure and function. Front. Cell. Infect. Microbiol. 2017, 7, 215. [Google Scholar] [CrossRef] [PubMed]
- Maresz, K.J.; Hellvard, A.; Sroka, A.; Adamowicz, K.; Bielecka, E.; Koziel, J.; Gawron, K.; Mizgalska, D.; Marcinska, K.A.; Benedyk, M.; et al. Porphyromonas gingivalis facilitates the development and progression of destructive arthritis through its unique bacterial peptidylarginine deiminase (PAD). PLoS Pathog. 2013, 9, e1003627. [Google Scholar] [CrossRef] [PubMed]
- Pyrc, K.; Milewska, A.; Kantyka, T.; Sroka, A.; Maresz, K.; Koziel, J.; Nguyen, K.A.; Enghild, J.J.; Knudsen, A.D.; Potempa, J. Inactivation of epidermal growth factor by Porphyromonas gingivalis as a potential mechanism for periodontal tissue damage. Infect. Immun. 2013, 81, 55–64. [Google Scholar] [CrossRef] [PubMed]
- Gawron, K.; Bereta, G.; Nowakowska, Z.; Łazarz-Bartyzel, K.; Łazarz, M.; Szmigielski, B.; Mizgalska, D.; Buda, A.; Koziel, J.; Oruba, Z.; et al. Peptidylarginine deiminase from Porphyromonas gingivalis (PPAD) contributes to infection of gingival fibroblasts and induction of PGE2-signaling pathway. Mol. Oral Microbiol. 2014, 29, 321–332. [Google Scholar] [CrossRef] [PubMed]
- Vitkov, L.; Hanning, M.; Minnich, B.; Herrmann, M. Periodontal sources of citrullinated antigens and TLR agonists related to RA. Autoimmunity 2018, 51, 304–309. [Google Scholar] [CrossRef] [PubMed]
- Krutyhołowa, A.; Strzelec, K.; Dziedzic, A.; Bereta, G.P.; Łazarz-Bartyzel, K.; Potempa, J.; Gawron, K. Host and bacterial factors linking periodontitis and rheumatoid arthritis. Front. Immunol. 2022, 25, 13. [Google Scholar] [CrossRef] [PubMed]
- Wegner, N.; Wait, R.; Sroka, A.; Eick, S.; Nguyen, K.A.; Lundberg, K.; Kinloch, A.; Culshaw, S.; Potempa, J.; Venables, P.J. Peptidylarginine deiminase from Porphyromonas gingivalis citrullinates human fibrinogen and α-enolase: Implications for autoimmunity in rheumatoid arthritis. Arthritis Rheum. 2010, 62, 2662–2672. [Google Scholar] [CrossRef] [PubMed]
- Nesse, W.; Westra, J.; van der Wal, J.E.; Abbas, F.; Nicholas, A.P.; Vissink, A.; Brouwer, E. The periodontium of periodontitis patients contains citrullinated proteins which may play a role in ACPA (anti-citrullinated protein antibody) formation. J. Clin. Periodontol. 2012, 39, 599–607. [Google Scholar] [CrossRef] [PubMed]
- Gawron, K.; Montgomery, A.; Łazarz-Bartyzel, K.; Bereta, G.; Chomyszyn-Gajewska, M.; Venables, P.; Potempa, J. Porphyromonas gingivalis peptidyl arginine deiminase: A unique bacterial PAD with implications for periodontal disease and rheumatoid arthritis. In Protein Deimination in Human Health and Disease, 2nd ed.; Nicholas, A.P., Bhattacharya, S.K., Thompson, P.R., Eds.; Springer International Publishing: Cham, Switzerland, 2017; pp. 99–135. [Google Scholar]
- Bielecka, E.; Scavenius, C.; Kantyka, T.; Jusko, M.; Mizgalska, D.; Szmigielski, B.; Potempa, B.; Enghild, J.J.; Prossnitz, E.R.; Blom, A.M.; et al. Peptidyl arginine deiminase from Porphyromonas gingivalis abolishes anaphylatoxin C5a activity. J. Biol. Chem. 2014, 289, 32481–32487. [Google Scholar] [CrossRef]
- Bereta, G.; Goulas, T.; Madej, M.; Bielecka, E.; Sola, M.; Potempa, J.; Gomis-Ruth, F.X. Structure, function, and inhibition of a genomic/clinical variant of Porphyromonas gingivalis peptidylarginine deiminase. Protein Sci. 2019, 28, 478–486. [Google Scholar] [CrossRef]
- Bereta, G.P.; Strzelec, K.; Łazarz-Bartyzel, K.; Dziedzic-Kowalska, A.; Nowakowska, Z.; Krutyhołowa, A.; Bielecka, E.; Kantyka, T.; Grabiec, A.M.; Kaczmarzyk, T.; et al. Identification of a new genetic variant (G231N, E232T, N235D) of peptidylarginine deiminase from P. gingivalis in advanced periodontitis. Front. Immunol. 2024, 15, 1355357. [Google Scholar] [CrossRef] [PubMed]
- Gabarrini, G.; de Smit, M.; Westra, J.; Brouwer, E.; Vissink, A.; Zhou, K.; Rossen, J.W.A.; Stobernack, T.; van Dijl, J.M.; van Winkelhof, A.J. The peptidylarginine deiminase gene is a conserved feature of Porphyromonas gingivalis. Sci. Rep. 2015, 5, 13936. [Google Scholar] [CrossRef] [PubMed]
- Goulas, T.; Mizgalska, D.; Garcia-Ferrer, I.; Kantyka, T.; Guevara, T.; Szmigielski, B.; Sroka, A.; Millán, C.; Usón, I.; Veillard, F.; et al. Structure and mechanism of a bacterial host-protein citrullinating virulence factor, Porphyromonas gingivalis peptidylarginine deiminase. Sci. Rep. 2015, 5, 11969. [Google Scholar] [CrossRef] [PubMed]
- DePristo, M.A.; Weinreich, D.M.; Hartl, D.L. Missense meanderings in sequence space: A biophysical view of protein evolution. Nat. Rev. Genet. 2005, 6, 678–687. [Google Scholar] [CrossRef] [PubMed]
- Betts, M.J.; Russell, R.B. Amino acid properties and consequences of substitutions. In Bioinformatics for Geneticists; John Wiley & Sons: Hoboken, NJ, USA, 2003; pp. 289–316. [Google Scholar]
- Mendez, K.N.; Hoare, A.; Soto, C.; Bugueno, I.; Oliviera, M.; Meneses, C.; Perez-Donoso, J.M.; Castro-Nallar, E.; Bravo, D. Variablilty in genomic and virulent properties of Porphyromonas gingivalis strains isolated from healthy and severe chronic periodontitis individuals. Front. Cell. Infect. Microb. 2019, 9, 246. [Google Scholar] [CrossRef] [PubMed]
- Díaz, L.; Hoare, A.; Soto, C.; Bugueño, I.; Silva, N.; Dutzan, N.; Venegas, D.; Salinas, D.; Pérez-Donoso, J.M.; Gamonal, J.; et al. Changes in lipopolysaccharide profile of Porphyromonas gingivalis clinical isolates correlate with changes in colony morphology and polymyxin B resistance. Anaerobe 2015, 33, 25–32. [Google Scholar] [CrossRef] [PubMed]
- Tribble, G.D.; Kerr, J.E.; Wang, B.Y. Genetic diversity in the oral pathogen Porphyromonas gingivalis: Molecular mechanisms and biological consequences. Future Microbiol. 2013, 8, 607–620. [Google Scholar] [CrossRef] [PubMed]
- Enersen, M.; Olsen, I.; Caugant, D.A. Genetic diversity of Porphyromonas gingivalis isolates recovered from single “refractory” periodontitis sites. Appl. Environ. Microbiol. 2008, 74, 5817–5821. [Google Scholar] [CrossRef] [PubMed][Green Version]
- Gawron, K.; Ochała-Kłos, A.; Nowakowska, Z.; Bereta, G.; Łazarz-Bartyzel, K.; Grabiec, A.M.; Plakwicz, P.; Górska, R.; Fertala, A.; Chomyszyn-Gajewska, M.; et al. TIMP-1 association with collagen type I overproduction in hereditary gingival fibromatosis. Oral Dis. 2018, 24, 1581–1590. [Google Scholar] [CrossRef] [PubMed]



| PD DONOR GROUP (N = 58) | ||||
|---|---|---|---|---|
| Classification of PD | Number of Donors | Range of Age | Gender | |
| Females | Males | |||
| mild | 2 | 44–56 | 2 | 0 |
| moderate | 15 | 33–73 | 9 | 6 |
| moderate/advanced | 4 | 49–69 | 3 | 1 |
| advanced | 37 | 32–80 | 25 | 12 |
| CONTROL GROUP (N = 20) | ||||
| Healthy periodontium | 20 | 18–37 | 18 | 2 |
| Total Changes in PPAD | PD Donors (N = 58) | Control Group (N = 20) | ||
|---|---|---|---|---|
| N | % | N | % | |
| Total polymorphic variants | 4 | 8.16% | 0 | 0.00% |
| Total missense mutations | 10 | 20.41% | 0 | 0.00% |
| Total synonymous variants | 35 | 71.43% | 22 | 100.00% |
| TOTAL PD DONORS [N = 58] | |||
|---|---|---|---|
| MILD PD [N = 2] | |||
| Total changes of PPAD | Total polymorphic variants [%] | Total missense mutations [%] | Total synonymous variants [%] |
| 12 | 2 [16.67%] | 1 [8.33%] | 9 [75.00%] |
| MODERATE PD [N = 15] | |||
| Total changes of PPAD | Total polymorphic variants [%] | Total missense mutations [%] | Total synonymous variants [%] |
| 40 | 3 [7.50%] | 7 [17.50%] | 30 [75.00%] |
| MODERATE/ADVANCED PD [N = 4] | |||
| Total changes of PPAD | Total polymorphic variants [%] | Total missense mutations [%] | Total synonymous variants [%] |
| 19 | 4 [21.05%] | 4 [21.05%] | 11 [57.90%] |
| ADVANCED PD [N = 37] | |||
| Total changes of PPAD | Total polymorphic variants [%] | Total missense mutations [%] | Total synonymous variants [%] |
| 49 | 4 [8.16%] | 9 [18.37%] | 36 [73.47%] |
| PD DONORS [N = 58] | |||||||||||
|---|---|---|---|---|---|---|---|---|---|---|---|
| Change of Nucleotide Sequence | Nucleotide Site | Base Site | Codon of WT ATCC 33277 | Codon of Clinical Strains | Amino Acid of WT ATCC 33277 | Amino Acid of WT ATCC 33277 | Amino Acid Clinical Strains of Clinical Strains | Chemical Nature of the Amino Acid of Clinical Strains | Variant | N | % |
| C→T | 572 | 191 | TCC | TTC | Serine | Hydrophilic, neutral (hydroxy amino acid) | Phenylalanine | Hydrophobic | S191F | 22 | 37.93% |
| T→C | 607 | 203 | TCC | CCC | Serine | Hydrophilic neutral (hydroxy amino acid) | Phenylalanine | Hydrophobic | S203P | 14 | 24.14% |
| * G→A | 691 | 231 | GGC | AAT | Glycine | Hydrophobic | Asparagine | Hydrophilic, neutral, aspartic acid amide | G231N | 13 | 22.41% |
| * G→A | 692 | 231 | GGC | AAT | Glycine | Hydrophobic | Asparagine | Hydrophilic, neutral, aspartic acid amide | G231N | 13 | 22.41% |
| * C→T | 693 | 231 | GGC | AAT | Glycine | Hydrophobic | Asparagine | Hydrophilic, neutral, aspartic acid amide | G231N | 13 | 22.41% |
| * G→A | 694 | 232 | GAA | ACT | Glutamic acid | Hydrophilic acidic | Threonine | Hydrophilic, neutral | E232T | 13 | 22.41% |
| * A→C | 695 | 232 | GAA | ACT | Glutamic acid | Hydrophilic acidic | Threonine | Hydrophilic, neutral | E232T | 13 | 22.41% |
| * A→T | 696 | 232 | GAA | ACT | Glutamic acid | Hydrophilic acidic | Threonine | Hydrophilic, neutral | E232T | 13 | 22.41% |
| * A→G | 703 | 235 | AAC | GAC | Asparagine | Hydrophilic neutral, aspartic acid amide | Aspartic acid | Hydrophilic, acidic | N235D | 13 | 22.41% |
| * A→G | 871 | 291 | AAT | GAT | Asparagine | Hydrophilic, neutral, aspartic acid amide | Aspartic acid | Hydrophilic, acidic | N291D | 24 | 41.38% |
| PD DONORS [N = 58] | |||||||||||
|---|---|---|---|---|---|---|---|---|---|---|---|
| Change of Nucleotide Sequence | Nucleotide Site | Base Site | Codon of WT ATCC 33277 | Codon of Clinical Strains | Amino Acid of WT ATCC 33277 | Amino Acid of WT ATCC 33277 | Amino Acid Clinical Strains of Clinical Strains | Chemical Nature of the Amino Acid of Clinical Strains | Variant | N | % |
| C→T | 74 | 25 | ACG | ATG | Threonine | Hydrophilic, neutral (hydroxy amino acid) | Methionine | Hydrophobic, neutral | T25M | 4 | 6.90% |
| A→G | 229 | 77 | ATG | GTG | Methionine | Hydrophobic, neutral | Valine | Hydrophobic, neutral | M77V | 2 | 3.45% |
| A→C | 823 | 275 | ACC | CCC | Threonine | Hydrophilic, neutral (hydroxy amino acid) | Proline | Hydrophobic, neutral | T275P | 1 | 1.72% |
| C→A | 1117 | 373 | CAG | AAG | Glutamine | Hydrophilic, neutral | Lysine | Hydrophilic, basic | Q373K | 5 | 8.62% |
| G→A | 1168 | 390 | GCT | ACT | Alanine | Hydrophobic, neutral | Threonine | Hydrophilic, neutral (hydroxy amino acid) | A390T | 5 | 8.62% |
| C→T | 1262 | 421 | ACT | ATT | Threonine | Hydrophilic, neutral (hydroxy amino acid) | Isoleucine | Hydrophobic, neutral | T421I | 5 | 8.62% |
| C→T | 1544 | 515 | GCA | GTA | Alanine | Hydrophobic, neutral | Valine | Hydrophobic, neutral | A515V | 12 | 20.69% |
| A→T | 1556 | 519 | GAA | GTA | Glutamic acid | Hydrophilic, acidic | Valine | Hydrophobic, neutral | E519V | 4 | 6.90% |
| A→G | 1582 | 528 | AGT | GGT | Serine | Hydrophilic, neutral (hydroxy amino acid) | Glycine | Hydrophobic | S528G | 12 | 20.69% |
| C→T | 1607 | 536 | CCG | CTG | Proline | Hydrophobic, neutral | Leucine | Hydrophobic, neutral | P536L | 1 | 1.72% |
| PD DONORS [N = 58] | ||||||||
|---|---|---|---|---|---|---|---|---|
| Changes of Nucleotide Sequence | Nucleotide Site | Codon | Base Side | Amino Acid | Chemical Nature of the Amino Acid | Variant | N | % |
| G→A | 144 | ACG→ACA | 48 | Threonine | Hydrophilic, neutral (hydroxy amino acid) | T48T | 12 | 20.69% |
| C→T | 213 | TAC→TAT | 71 | Tyrosine | Hydrophilic, neutral | Y71Y | 3 | 5.17% |
| C→T | 258 | AAC→AAT | 86 | Asparagine | Hydrophilic, neutral, aspartic acid amide | N86N | 3 | 5.17% |
| G→A | 363 | GCG→GCA | 121 | Alanine | Hydrophobic, neutral | A121A | 5 | 8.62% |
| * C→T | 378 | TAC→TAT | 126 | Tyrosine | Hydrophilic, neutral | Y126Y | 2 | 3.45% |
| * C→T | 405 | TTC→TTT | 135 | Phenylalanine | Hydrophobic | F135F | 7 | 12.07% |
| C→T | 546 | GGC→GGT | 182 | Glycine | Hydrophobic | G182G | 14 | 24.14% |
| C→T | 549 | AAC→AAT | 183 | Asparagine | Hydrophilic, neutral, aspartic acid amide | N183N | 2 | 3.45% |
| G→T | 600 | ACG→ACT | 200 | Threonine | Hydrophilic, neutral (hydroxy amino acid) | T200T | 29 | 50.00% |
| T→C | 618 | TCT→TCC | 206 | Serine | Hydrophilic, neutral (hydroxy amino acid) | S206S | 7 | 12.07% |
| * A→G | 735 | GCA→GCG | 245 | Alanine | Hydrophobic, neutral | A245A | 26 | 44.83% |
| * C→T | 741 | AAC→AAT | 247 | Asparagine | Hydrophilic, neutral, aspartic acid amide | N247N | 3 | 5.17% |
| G→A | 762 | GTG→GTA | 254 | Valine | Hydrophobic, neutral | V254V | 23 | 39.65% |
| C→T | 789 | GCC→GCT | 263 | Alanine | Hydrophobic, neutral | A263A | 25 | 43.10% |
| C→T | 790 | CTG→TTG | 264 | Leucine | Hydrophobic, neutral | L264L | 1 | 1.72% |
| A→G | 852 | GTA→GTG | 284 | Valine | Hydrophobic, neutral | V284V | 33 | 56.90% |
| * G→A | 912 | AGG→AGA | 304 | Arginine | Hydrophilic, basic | R304R | 2 | 3.45% |
| C→T | 927 | GTC→GTT | 309 | Valine | Hydrophobic, neutral | V309V | 5 | 8.62% |
| C→T | 948 | GAC→GAT | 316 | Aspartic acid | Hydrophilic, acidic | D316D | 3 | 5.17% |
| G→A | 960 | CTG→CTA | 320 | Leucine | Hydrophobic, neutral | L320L | 7 | 12.07% |
| C→T | 963 | AAC→AAT | 321 | Asparagine | Hydrophilic, neutral, aspartic acid amide | N321N | 21 | 36.21% |
| G→A | 975 | ACG→ACA | 325 | Threonine | Hydrophilic, neutral (hydroxy amino acid) | T325T | 2 | 3.45% |
| T→C | 987 | GGT→GGC | 329 | Glycine | Hydrophobic | G329G | 4 | 6.90% |
| * A→C | 1035 | GGA→GGC | 345 | Glycine | Hydrophobic | G345G | 11 | 18.96% |
| * C→T | 1080 | GGC→GGT | 360 | Glycine | Hydrophobic | G360G | 2 | 3.45% |
| A→G | 1146 | GCA→GCG | 382 | Alanine | Hydrophobic, neutral | A382A | 3 | 5.17% |
| T→C | 1170 | GCC→GCC | 390 | Alanine | Hydrophobic, neutral | A390A | 3 | 5.17% |
| A→G | 1299 | GTA→GTG | 433 | Valine | Hydrophobic, neutral | V433V | 7 | 12.07% |
| T→C | 1371 | CCT→CCC | 457 | Proline | Hydrophobic, neutral | P457P | 5 | 8.62% |
| T→A | 1422 | GCT→GCA | 474 | Alanine | Hydrophobic, neutral | A474A | 4 | 6.90% |
| T→C | 1437 | CGT→CGC | 479 | Arginine | Hydrophilic, basic | R479R | 13 | 22.41% |
| T→C | 1491 | ATT→ATC | 497 | Isoleucine | Hydrophobic, neutral | I497I | 2 | 3.45% |
| G→A | 1593 | GTG→GTA | 531 | Valine | Hydrophobic, neutral | V531V | 5 | 8.62% |
| C→T | 1611 | GCC→GGT | 537 | Glycine | Hydrophobic | G537G | 5 | 8.62% |
| C→T | 1621 | CTG→TTG | 541 | Leucine | Hydrophobic, neutral | L541L | 16 | 27.59% |
| CONTROL GROUP [N = 20] | ||||||||
| Change of nucleotide sequence | Nucleotide site | Codon | Amino acid site | Amino acid | Chemical nature of the amino acid | Variant | N | % |
| C→T | 213 | TAC→TAT | 71 | Tyrosine | Hydrophilic, neutral | Y71Y | 6 | 30.00% |
| C→T | 258 | AAC→AAT | 86 | Asparagine | Hydrophilic, neutral, aspartic acid amide | N86N | 6 | 30.00% |
| C→T | 549 | AAC→AAT | 183 | Asparagine | Hydrophilic, neutral, aspartic acid amide | N183N | 6 | 30.00% |
| G→T | 600 | ACG→ACT | 200 | Threonine | Hydrophilic, neutral (hydroxy amino acid) | T200T | 3 | 15.00% |
| * A→G | 735 | GCA→GCG | 245 | Alanine | Hydrophobic, neutral | A245A | 4 | 20.00% |
| G→A | 762 | GTG→GTA | 254 | Valine | Hydrophobic, neutral | V254V | 4 | 20.00% |
| C→T | 789 | GCC→GCT | 263 | Alanine | Hydrophobic, neutral | A263A | 8 | 40.00% |
| A→G | 852 | GTA→GTG | 284 | Valine | Hydrophobic, neutral | V284V | 6 | 30.00% |
| * G→A | 912 | AGG→AGA | 304 | Arginine | Hydrophilic, basic | R304R | 3 | 20.00% |
| C→T | 948 | GAC→GAT | 316 | Aspartic acid | Hydrophilic, acidic | D316D | 6 | 30.00% |
| C→T | 963 | AAC→AAT | 321 | Asparagine | Hydrophilic, neutral, aspartic acid amide | N321N | 4 | 20.00% |
| G→A | 975 | ACG→ACA | 325 | Threonine | Hydrophilic, neutral (hydroxy amino acid) | T325T | 6 | 30.00% |
| T→C | 987 | GGT→GGC | 329 | Glycine | Hydrophobic | G329G | 7 | 35.00% |
| A→C | 1035 | GGA→GGC | 345 | Glycine | Hydrophobic | G345G | 3 | 15.00% |
| * C→T | 1080 | GGC→GGT | 360 | Glycine | Hydrophobic | G360G | 6 | 30.00% |
| A→G | 1146 | GCA→GCG | 382 | Alanine | Hydrophobic, neutral | A382A | 6 | 30.00% |
| T→A | 1422 | GCT→GCA | 474 | Alanine | Hydrophobic, neutral | A474A | 1 | 5.00% |
| T→C | 1437 | CGT→CGC | 479 | Arginine | Hydrophilic, basic | R479R | 1 | 5.00% |
| C→A | 1452 | GCC→GCA | 484 | Alanine | Hydrophobic, neutral | A484A | 1 | 5.00% |
| T→C | 1491 | ATT→ATC | 497 | Isoleucine | Hydrophobic, neutral | I497I | 6 | 30.00% |
| G→A | 1593 | GTG→GTA | 531 | Valine | Hydrophobic, neutral | V531V | 6 | 30.00% |
| C→T | 1621 | CTG→TTG | 541 | Leucine | Hydrophobic, neutral | L541L | 5 | 25.00% |
| Active Site | Variant | Type of Changes in PPAD | Classification of PD |
|---|---|---|---|
| Asp130 | Y126Y * | Synonymous variant | moderate/advanced |
| F135F * | Synonymous variant | moderate moderate/advanced | |
| His236 | A245A | Synonymous variant | mild moderate moderate/advanced advanced |
| G231N | Polymorphic variant (PD group) | moderate/advancedadvanced | |
| E232T | |||
| N235D | |||
| Asp238 | N247N * | Synonymous variant | moderate |
| Asn297 | N291D | Polymorphic variant (PD group) | mild moderate moderate/advanced advanced |
| Cys351 | G345G | Synonymous variant | moderate |
| G360G | Synonymous variant | mild moderate advanced |
| Primer Name | 5′→3′ Sequences |
|---|---|
| P. gingivalis 16S rRNA | FOR: AGGCAGCTTGCCATACTGCG |
| REV: ACTGTTAGYAACTACCGATGT | |
| P. gingivalis ppad_verification (full ppad) | FOR: ATGAAAAAGCTTTTACAGGCTAAAGCCTTG |
| REV: TTATTTGAGAATTTTCATTGTCTCACGGATTCC | |
| P. gingivalis ppad_cloning | FOR: ATGAAAAAGCTTTTACAGGCTAAAGCCTTG |
| REV: TTATTTGAGAATTTTCATTGTCTCACGGATTCC | |
| P. gingivalis ppad_seqeuncing (M13) | FOR: GTAAAACGACGGCCAGT |
| REV: CAGGAAACAGCTATGAC | |
| pUC_19 | FOR: GAGCTCGGTACCCGGGGATC |
| REV: GAATTCACTGGCCGTCGTTTTACAACG | |
| TNF-α (Homo sapiens) | FOR: CCCGAGTGACAAGCCTGTAG |
| REV: GATGGCAGAGAGGAGGTTGAC | |
| IL-6 (Homo sapiens) | FOR: ACAGCCACTCACCTCTTCAG |
| REV: CCATCTTTTTCAGCCATCTTT | |
| COX-1 (Homo sapiens) | FOR: CAGTTGCCAGATGCCCAGCTC |
| REV: GTGCATCAACACAGGCGCCTC | |
| COX-2 (Homo sapiens) | FOR: AGCCCTTCCTCCTGTGCCT |
| REV: TCCATTTTTCGTCGAAGGACTAA | |
| mPGES-1 (Homo sapiens) | FOR: CACGCTGCTGGTCATCAAGAT |
| REV: TCCTACGGGACTCTGTGCC | |
| β-actin (Homo sapiens) | FOR: CCACACTGTGCCCATCTACG |
| REV: AGGATCTTCATGAGGTAGTCAGTCAG |
Disclaimer/Publisher’s Note: The statements, opinions and data contained in all publications are solely those of the individual author(s) and contributor(s) and not of MDPI and/or the editor(s). MDPI and/or the editor(s) disclaim responsibility for any injury to people or property resulting from any ideas, methods, instructions or products referred to in the content. |
© 2025 by the authors. Licensee MDPI, Basel, Switzerland. This article is an open access article distributed under the terms and conditions of the Creative Commons Attribution (CC BY) license (https://creativecommons.org/licenses/by/4.0/).
Share and Cite
Strzelec, K.; Dziedzic-Kowalska, A.; Sieron, Ł.; Bereta, G.P.; Stepien, K.L.; Ferenc, K.; Łazarz-Bartyzel, K.; Olszewska-Czyż, I.; Rąpalska, I.; Aptekorz, M.; et al. Polymorphic Variants of Peptidylarginine Deiminase Gene from P. gingivalis—Searching for Targets for Supportive Therapy of Periodontitis. Int. J. Mol. Sci. 2025, 26, 1662. https://doi.org/10.3390/ijms26041662
Strzelec K, Dziedzic-Kowalska A, Sieron Ł, Bereta GP, Stepien KL, Ferenc K, Łazarz-Bartyzel K, Olszewska-Czyż I, Rąpalska I, Aptekorz M, et al. Polymorphic Variants of Peptidylarginine Deiminase Gene from P. gingivalis—Searching for Targets for Supportive Therapy of Periodontitis. International Journal of Molecular Sciences. 2025; 26(4):1662. https://doi.org/10.3390/ijms26041662
Chicago/Turabian StyleStrzelec, Karolina, Agata Dziedzic-Kowalska, Łukasz Sieron, Grzegorz P. Bereta, Karolina L. Stepien, Klara Ferenc, Katarzyna Łazarz-Bartyzel, Iwona Olszewska-Czyż, Iwona Rąpalska, Małgorzata Aptekorz, and et al. 2025. "Polymorphic Variants of Peptidylarginine Deiminase Gene from P. gingivalis—Searching for Targets for Supportive Therapy of Periodontitis" International Journal of Molecular Sciences 26, no. 4: 1662. https://doi.org/10.3390/ijms26041662
APA StyleStrzelec, K., Dziedzic-Kowalska, A., Sieron, Ł., Bereta, G. P., Stepien, K. L., Ferenc, K., Łazarz-Bartyzel, K., Olszewska-Czyż, I., Rąpalska, I., Aptekorz, M., Kaczmarzyk, T., Cześnikiewicz-Guzik, M., & Gawron, K. (2025). Polymorphic Variants of Peptidylarginine Deiminase Gene from P. gingivalis—Searching for Targets for Supportive Therapy of Periodontitis. International Journal of Molecular Sciences, 26(4), 1662. https://doi.org/10.3390/ijms26041662

