The Therapeutic Potential of Kiwi Extract as a Source of Cysteine Protease Inhibitors on DNCB-Induced Atopic Dermatitis in Mice and Human Keratinocyte HaCaT Cells
Abstract
1. Introduction
2. Results
2.1. Purification of Cysteine Protease Inhibitor from Kiwifruit
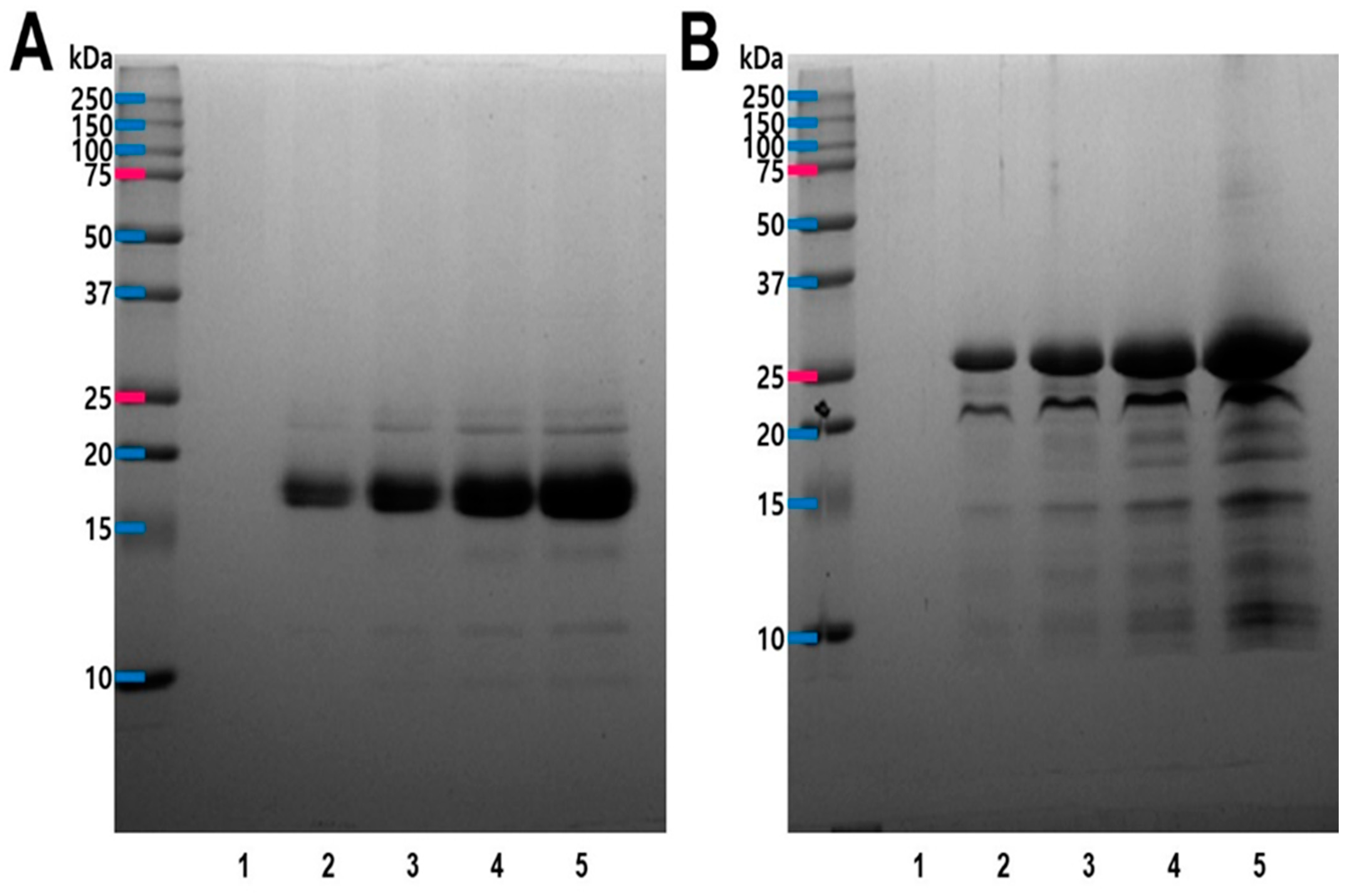
2.2. SDS-PAGE Profile of CPKE
2.3. Determination of Optimal Temperature and pH Stability for CPKE
2.4. Inhibition Effect of CPKE Against Cysteine Proteases
2.5. The Assessment of Cell Viability Assay for the Treatment of HaCaT Cells
2.6. TNF-Induced Alterations in the MAPK Family and NF- κB p65 Pathway of Proteins in HaCaT Cells Are Modulated by CPKE Treatment
2.7. CPKE Improved the Clinical Symptoms of AD-like Skin Lesions in DNCB-Induced Mice
2.8. The Curative Effect of CPKE on AD-Like Skin Lesions in Mice
3. Discussion
4. Materials and Methods
4.1. Chemicals and Reagents
4.2. Purification of Cysteine Protease Inhibitor
4.3. SDS-PAGE Profile of CPKE
4.4. Proteolytic Activity of CPKE
4.5. The Impact of Temperature and pH on the Stability and Activity of CPKE
4.6. Examination of Cysteine Protease Inhibition Activity Using Zymography
4.7. Cell Culture and Cell Viability
4.8. Western Blot Analysis
4.9. Experimental Animals
4.10. Experimental Study with CPKE for AD
4.11. Measurement of Ear Thickness and Organ Weight
4.12. Histopathological Studies
4.13. Statistical Analysis
5. Conclusions
Author Contributions
Funding
Institutional Review Board Statement
Informed Consent Statement
Data Availability Statement
Conflicts of Interest
References
- Michalak, M. Plant Extracts as Skin Care and Therapeutic Agents. Int. J. Mol. Sci. 2023, 24, 15444. [Google Scholar] [CrossRef]
- Bieber, T. Atopic Dermatitis: An Expanding Therapeutic Pipeline for a Complex Disease. Nat. Rev. Drug Discov. 2021, 21, 21–40. [Google Scholar] [CrossRef] [PubMed]
- Nutten, S. Atopic Dermatitis: Global Epidemiology and Risk Factors. Ann. Nutr. Metab. 2015, 66 (Suppl. S1), 8–16. [Google Scholar] [CrossRef] [PubMed]
- Boguniewicz, M.; Leung, D.Y.M. Atopic Dermatitis: A Disease of Altered Skin Barrier and Immune Dysregulation. Immunol. Rev. 2011, 242, 233–246. [Google Scholar] [CrossRef]
- Huang, J.; Choo, Y.J.; Smith, H.E.; Apfelbacher, C. Quality of Life in Atopic Dermatitis in Asian Countries: A Systematic Review. Arch. Dermatol. Res. 2022, 314, 445–462. [Google Scholar] [CrossRef] [PubMed]
- Del Rosso, J.Q.; Cash, K. Topical Corticosteroid Application and the Structural and Functional Integrity of the Epidermal Barrier. J. Clin. Aesthet. Dermatol. 2013, 6, 20. [Google Scholar] [PubMed]
- Umar, B.U.; Rahman, S.; Dutta, S.; Islam, T.; Nusrat, N.; Chowdhury, K.; Binti Wan Ahmad Fakuradzi, W.F.S.; Haque, M. Management of Atopic Dermatitis: The Role of Tacrolimus. Cureus 2022, 14, e28130. [Google Scholar] [CrossRef]
- Siegfried, E.C.; Jaworski, J.C.; Kaiser, J.D.; Hebert, A.A. Systematic Review of Published Trials: Long-Term Safety of Topical Corticosteroids and Topical Calcineurin Inhibitors in Pediatric Patients with Atopic Dermatitis. BMC Pediatr. 2016, 16, 75. [Google Scholar] [CrossRef] [PubMed]
- Hon, K.L.; Leung, A.K.C.; Barankin, B. Barrier Repair Therapy in Atopic Dermatitis: An Overview. Am. J. Clin. Dermatol. 2013, 14, 389–399. [Google Scholar] [CrossRef]
- Gangwar, A.; Kumar, P.; Singh, R.; Kush, P. Recent Advances in Mupirocin Delivery Strategies for the Treatment of Bacterial Skin and Soft Tissue Infection. Future Pharmacol. 2021, 1, 80–103. [Google Scholar] [CrossRef]
- Ng, W.G.G.; Hon, K.L.; Kung, J.S.C.; Cheng, N.S.; Koh, M.J.A.; Huang, H.; Lee, V.W.Y.; Leung, T.F. Effect of Pine-Tar Bath on Disease Severity in Moderate-to-Severe Childhood Eczema: An Investigator-Blinded, Crossover, Randomized Clinical Trial. J. Dermatol. Treat. 2022, 33, 157–165. [Google Scholar] [CrossRef] [PubMed]
- Barnes, T.M.; Greive, K.A. Topical Pine Tar: History, Properties and Use as a Treatment for Common Skin Conditions. Australas. J. Dermatol. 2017, 58, 80–85. [Google Scholar] [CrossRef] [PubMed]
- Coondoo, A.; Phiske, M.; Verma, S.; Lahiri, K. Side-Effects of Topical Steroids: A Long Overdue Revisit. Indian Dermatol. Online J. 2014, 5, 416. [Google Scholar] [CrossRef] [PubMed]
- Yang, H.R.; Lee, H.; Kim, J.H.; Hong, I.H.; Hwang, D.H.; Rho, I.R.; Kim, G.S.; Kim, E.; Kang, C. Therapeutic Effect of Rumex Japonicus Houtt. on DNCB-Induced Atopic Dermatitis-Like Skin Lesions in Balb/c Mice and Human Keratinocyte HaCaT Cells. Nutrients 2019, 11, 573. [Google Scholar] [CrossRef] [PubMed]
- Sroka-Tomaszewska, J.; Trzeciak, M. Molecular Mechanisms of Atopic Dermatitis Pathogenesis. Int. J. Mol. Sci. 2021, 22, 4130. [Google Scholar] [CrossRef]
- Morizane, S.; Sunagawa, K.; Nomura, H.; Ouchida, M. Aberrant Serine Protease Activities in Atopic Dermatitis. J. Dermatol. Sci. 2022, 107, 2–7. [Google Scholar] [CrossRef] [PubMed]
- Nava, P.; Kamekura, R.; Nusrat, A. Cleavage of Transmembrane Junction Proteins and Their Role in Regulating Epithelial Homeostasis. Tissue Barriers 2013, 1, e24783. [Google Scholar] [CrossRef] [PubMed]
- Goleva, E.; Berdyshev, E.; Leung, D.Y.M. Epithelial Barrier Repair and Prevention of Allergy. J. Clin. Invest. 2019, 129, 1463–1474. [Google Scholar] [CrossRef]
- Stefanovic, N.; Irvine, A.D.; Flohr, C. The Role of the Environment and Exposome in Atopic Dermatitis. Curr. Treat. Options Allergy 2021, 8, 222–241. [Google Scholar] [CrossRef] [PubMed]
- Wang, J.; Zhou, Y.; Zhang, H.; Hu, L.; Liu, J.; Wang, L.; Wang, T.; Zhang, H.; Cong, L.; Wang, Q. Pathogenesis of Allergic Diseases and Implications for Therapeutic Interventions. Signal Transduct. Target. Ther. 2023, 8, 138. [Google Scholar] [CrossRef]
- Ogonowska, P.; Gilaberte, Y.; Barańska-Rybak, W.; Nakonieczna, J. Colonization With Staphylococcus Aureus in Atopic Dermatitis Patients: Attempts to Reveal the Unknown. Front. Microbiol. 2021, 11, 567090. [Google Scholar] [CrossRef] [PubMed]
- Pinto, T.; Vilela, A. Kiwifruit, a Botany, Chemical and Sensory Approach a Review. Adv. Plants Agric. Res. 2018, 8, 383–390. [Google Scholar] [CrossRef]
- Lippi, G.; Mattiuzzi, C. Kiwifruit and Cancer: An Overview of Biological Evidence. Nutr. Cancer 2020, 72, 547–553. [Google Scholar] [CrossRef] [PubMed]
- Richardson, D.P.; Ansell, J.; Drummond, L.N. The Nutritional and Health Attributes of Kiwifruit: A Review. Eur. J. Nutr. 2018, 57, 2659. [Google Scholar] [CrossRef]
- Liu, Z.; Shi, L.; Qi, Y.; Barrow, C.J.; Dunshea, F.R.; Suleria, H.A.R. Antioxidative Properties and Phenolic Profile of the Core, Pulp and Peel of Commercialized Kiwifruit by LC-ESI-QTOF-MS/MS. Processes 2022, 10, 1811. [Google Scholar] [CrossRef]
- Popovic, M.; Andjelkovic, U.; Grozdanovic, M.; Aleksic, I.; Gavrovic-Jankulovic, M. In Vitro Antibacterial Activity of Cysteine Protease Inhibitor from Kiwifruit (Actinidia deliciosa). Indian J. Microbiol. 2012, 53, 100. [Google Scholar] [CrossRef]
- Benito-Vázquez, I.; Garrido-Romero, M.; Díez-Municio, M.; Moreno, F.J. Cysteine Proteases from Plants: Utilization in Foods and Nutraceuticals and Characterization Approaches for Quality Management. Appl. Food Res. 2024, 4, 100491. [Google Scholar] [CrossRef]
- Moysidou, A.M.; Cheimpeloglou, K.; Koutra, S.I.; Finos, M.A.; Ofrydopoulou, A.; Tsoupras, A. A Comprehensive Review on the Antioxidant and Anti-Inflammatory Bioactives of Kiwi and Its By-Products for Functional Foods and Cosmetics with Health-Promoting Properties. Appl. Sci. 2024, 14, 5990. [Google Scholar] [CrossRef]
- D’Eliseo, D.; Pannucci, E.; Bernini, R.; Campo, M.; Romani, A.; Santi, L.; Velotti, F. In Vitro Studies on Anti-Inflammatory Activities of Kiwifruit Peel Extract in Human THP-1 Monocytes. J. Ethnopharmacol. 2019, 233, 41–46. [Google Scholar] [CrossRef]
- Edmunds, S.J.; Roy, N.C.; Love, D.R.; Laing, W.A. Kiwifruit Extracts Inhibit Cytokine Production by Lipopolysaccharide-Activated Macrophages, and Intestinal Epithelial Cells Isolated from IL10 Gene Deficient Mice. Cell Immunol. 2011, 270, 70–79. [Google Scholar] [CrossRef] [PubMed]
- Wang, X.W.; Wang, J.J.; Gutowska-Owsiak, D.; Salimi, M.; Selvakumar, T.A.; Gwela, A.; Chen, L.Y.; Wang, Y.J.; Giannoulatou, E.; Ogg, G. Deficiency of Filaggrin Regulates Endogenous Cysteine Protease Activity, Leading to Impaired Skin Barrier Function. Clin. Exp. Dermatol. 2017, 42, 622–631. [Google Scholar] [CrossRef]
- Xu, J.Y.; Gu, X.B.; Xie, Y.; He, R.; Xu, J.; Xiong, L.; Peng, X.R.; Yang, G.Y. Regulatory Effects of a Novel Cysteine Protease Inhibitor in Baylisascaris Schroederi Migratory Larvae on Mice Immune Cells. Parasit. Vectors 2022, 15, 121. [Google Scholar] [CrossRef]
- Wu, H.; Jmel, M.A.; Chai, J.; Tian, M.; Xu, X.; Hui, Y.; Nandakumar, K.S.; Kotsyfakis, M. Tick Cysteine Protease Inhibitors Suppress Immune Responses in Mannan-Induced Psoriasis-like Inflammation. Front. Immunol. 2024, 15, 1344878. [Google Scholar] [CrossRef]
- Siddiqui, A.A.; Khaki, P.S.S.; Sohail, A.; Sarwar, T.; Bano, B. Isolation and Purification of Phytocystatin from Almond: Biochemical, Biophysical, and Immunological Characterization. Cogent Biol. 2016, 2, 1262489. [Google Scholar] [CrossRef]
- Segers, R.; Butt, T.M.; Kerry, B.R.; Peberdy, J.F. The Nematophagous Fungus Verticillium Chlamydosporium Produces a Chymoelastase-like Protease Which Hydrolyses Host Nematode Proteins in Situ. Microbiology 1994, 140 Pt 10, 2715–2723. [Google Scholar] [CrossRef] [PubMed]
- Aissaoui, N.; Marzouki, M.N.; Abidi, F. Purification and Biochemical Characterization of a Novel Intestinal Protease from Scorpaena Notata. Int. J. Food Prop. 2017, 20, 2151–2165. [Google Scholar] [CrossRef]
- Kunitz, M. CRYSTALLINE SOYBEAN TRYPSIN INHIBITOR II. GENERAL PROPERTIES. J. Gen. Physiol. 1947, 30, 291–310. [Google Scholar] [CrossRef] [PubMed]
- Eltorki, M.; Leong, R.; Ratcliffe, E.M. Kiwifruit and Kiwifruit Extracts for Treatment of Constipation: A Systematic Review and Meta-Analysis. Can. J. Gastroenterol. Hepatol. 2022, 2022, 7596920. [Google Scholar] [CrossRef] [PubMed]
- Alim, A.; Li, T.; Nisar, T.; Ren, D.; Zhai, X.; Pang, Y.; Yang, X. Antioxidant, Antimicrobial, and Antiproliferative Activity-Based Comparative Study of Peel and Flesh Polyphenols from Actinidia Chinensis. Food Nutr. Res. 2019, 63. [Google Scholar] [CrossRef] [PubMed]
- Cavic, M.; Grozdanovic, M.M.; Bajic, A.; Jankovic, R.; Andjus, P.R.; Gavrovic-Jankulovic, M. The Effect of Kiwifruit (Actinidia deliciosa) Cysteine Protease Actinidin on the Occludin Tight Junction Network in T84 Intestinal Epithelial Cells. Food Chem. Toxicol. 2014, 72, 61–68. [Google Scholar] [CrossRef] [PubMed]
- Čavić, M.; Grozdanović, M.; Bajić, A.; Srdić-Rajić, T.; Anjus, P.R.; Gavrović-Jankulović, M. Actinidin, a Protease from Kiwifruit, Induces Changes in Morphology and Adhesion of T84 Intestinal Epithelial Cells. Phytochemistry 2012, 77, 46–52. [Google Scholar] [CrossRef] [PubMed]
- Pena, J.; Zameza, P.A.; Pixley, J.N.; Remitz, A.; Feldman, S.R. A Comparison of Topical Corticosteroids and Topical Calcineurin Inhibitors for the Treatment of Atopic Dermatitis. J. Allergy Clin. Immunol. Pract. 2023, 11, 1347–1359. [Google Scholar] [CrossRef] [PubMed]
- Chia, B.K.Y.; Tey, H.L. Systematic Review on the Efficacy, Safety, and Cost-Effectiveness of Topical Calcineurin Inhibitors in Atopic Dermatitis. Dermatitis 2015, 26, 122–132. [Google Scholar] [CrossRef]
- Barchielli, G.; Capperucci, A.; Tanini, D. Therapeutic Cysteine Protease Inhibitors: A Patent Review (2018–Present). Expert. Opin. Ther. Pat. 2024, 34, 17–49. [Google Scholar] [CrossRef]
- Pastore, S.; Lulli, D.; Potapovich, A.I.; Fidanza, P.; Kostyuk, V.A.; Dellambra, E.; De Luca, C.; Maurelli, R.; Korkina, L.G. Differential Modulation of Stress-Inflammation Responses by Plant Polyphenols in Cultured Normal Human Keratinocytes and Immortalized HaCaT Cells. J. Dermatol. Sci. 2011, 63, 104–114. [Google Scholar] [CrossRef]
- Guo, J.; Zhang, H.; Lin, W.; Lu, L.; Su, J.; Chen, X. Signaling Pathways and Targeted Therapies for Psoriasis. Signal Transduct. Target. Ther. 2023, 8, 437. [Google Scholar] [CrossRef] [PubMed]
- Moens, U.; Kostenko, S.; Sveinbjørnsson, B. The Role of Mitogen-Activated Protein Kinase-Activated Protein Kinases (MAPKAPKs) in Inflammation. Genes 2013, 4, 101. [Google Scholar] [CrossRef] [PubMed]
- Kciuk, M.; Gielecińska, A.; Budzinska, A.; Mojzych, M.; Kontek, R. Metastasis and MAPK Pathways. Int. J. Mol. Sci. 2022, 23, 3847. [Google Scholar] [CrossRef] [PubMed]
- Zeyen, L.; Seternes, O.M.; Mikkola, I. Crosstalk between P38 MAPK and GR Signaling. Int. J. Mol. Sci. 2022, 23, 3322. [Google Scholar] [CrossRef] [PubMed]
- Walkowski, B.; Kleibert, M.; Majka, M.; Wojciechowska, M. Insight into the Role of the PI3K/Akt Pathway in Ischemic Injury and Post-Infarct Left Ventricular Remodeling in Normal and Diabetic Heart. Cells 2022, 11, 1553. [Google Scholar] [CrossRef] [PubMed]
- He, X.; Li, Y.; Deng, B.; Lin, A.; Zhang, G.; Ma, M.; Wang, Y.; Yang, Y.; Kang, X. The PI3K/AKT Signalling Pathway in Inflammation, Cell Death and Glial Scar Formation after Traumatic Spinal Cord Injury: Mechanisms and Therapeutic Opportunities. Cell Prolif. 2022, 55, e13275. [Google Scholar] [CrossRef] [PubMed]
- Roy, T.; Boateng, S.T.; Uddin, M.B.; Banang-Mbeumi, S.; Yadav, R.K.; Bock, C.R.; Folahan, J.T.; Siwe-Noundou, X.; Walker, A.L.; King, J.A.; et al. The PI3K-Akt-MTOR and Associated Signaling Pathways as Molecular Drivers of Immune-Mediated Inflammatory Skin Diseases: Update on Therapeutic Strategy Using Natural and Synthetic Compounds. Cells 2023, 12, 1671. [Google Scholar] [CrossRef] [PubMed]
- Liu, T.; Zhang, L.; Joo, D.; Sun, S.C. NF-ΚB Signaling in Inflammation. Signal Transduct. Target. Ther. 2017, 2, 17023. [Google Scholar] [CrossRef]
- Shih, R.H.; Wang, C.Y.; Yang, C.M. NF-KappaB Signaling Pathways in Neurological Inflammation: A Mini Review. Front. Mol. Neurosci. 2015, 8, 77. [Google Scholar] [CrossRef] [PubMed]
- Lee, S.E.; Jeong, S.K.; Lee, S.H. Protease and Protease-Activated Receptor-2 Signaling in the Pathogenesis of Atopic Dermatitis. Yonsei Med. J. 2010, 51, 808. [Google Scholar] [CrossRef] [PubMed]
- Brattsand, M.; Stefansson, K.; Lundh, C.; Haasum, Y.; Egelrud, T. A Proteolytic Cascade of Kallikreins in the Stratum Corneum. J. Investig. Dermatol. 2005, 124, 198–203. [Google Scholar] [CrossRef]
- Meyer-Hoffert, U. Reddish, Scaly, and Itchy: How Proteases and Their Inhibitors Contribute to Inflammatory Skin Diseases. Arch. Immunol. Ther. Exp. 2009, 57, 345–354. [Google Scholar] [CrossRef]
- Hachem, J.P.; Houben, E.; Crumrine, D.; Man, M.Q.; Schurer, N.; Roelandt, T.; Choi, E.H.; Uchida, Y.; Brown, B.E.; Feingold, K.R.; et al. Serine Protease Signaling of Epidermal Permeability Barrier Homeostasis. J. Investig. Dermatol. 2006, 126, 2074–2086. [Google Scholar] [CrossRef] [PubMed]
- Smith, P.K.; Harper, J.I. Serine protease, their inhibitors and allergy. Allergy 2006, 61, 1441–1447. [Google Scholar] [CrossRef] [PubMed]








Disclaimer/Publisher’s Note: The statements, opinions and data contained in all publications are solely those of the individual author(s) and contributor(s) and not of MDPI and/or the editor(s). MDPI and/or the editor(s) disclaim responsibility for any injury to people or property resulting from any ideas, methods, instructions or products referred to in the content. |
© 2025 by the authors. Licensee MDPI, Basel, Switzerland. This article is an open access article distributed under the terms and conditions of the Creative Commons Attribution (CC BY) license (https://creativecommons.org/licenses/by/4.0/).
Share and Cite
Yang, H.R.; Zahan, M.N.; Hwang, D.H.; Prakash, R.L.M.; Ravi, D.A.; Hong, I.-H.; Kim, W.H.; Kim, J.-H.; Kim, E.; Kang, C. The Therapeutic Potential of Kiwi Extract as a Source of Cysteine Protease Inhibitors on DNCB-Induced Atopic Dermatitis in Mice and Human Keratinocyte HaCaT Cells. Int. J. Mol. Sci. 2025, 26, 1534. https://doi.org/10.3390/ijms26041534
Yang HR, Zahan MN, Hwang DH, Prakash RLM, Ravi DA, Hong I-H, Kim WH, Kim J-H, Kim E, Kang C. The Therapeutic Potential of Kiwi Extract as a Source of Cysteine Protease Inhibitors on DNCB-Induced Atopic Dermatitis in Mice and Human Keratinocyte HaCaT Cells. International Journal of Molecular Sciences. 2025; 26(4):1534. https://doi.org/10.3390/ijms26041534
Chicago/Turabian StyleYang, Hye Ryeon, Most Nusrat Zahan, Du Hyeon Hwang, Ramachandran Loganathan Mohan Prakash, Deva Asirvatham Ravi, Il-Hwa Hong, Woo Hyun Kim, Jong-Hyun Kim, Euikyung Kim, and Changkeun Kang. 2025. "The Therapeutic Potential of Kiwi Extract as a Source of Cysteine Protease Inhibitors on DNCB-Induced Atopic Dermatitis in Mice and Human Keratinocyte HaCaT Cells" International Journal of Molecular Sciences 26, no. 4: 1534. https://doi.org/10.3390/ijms26041534
APA StyleYang, H. R., Zahan, M. N., Hwang, D. H., Prakash, R. L. M., Ravi, D. A., Hong, I.-H., Kim, W. H., Kim, J.-H., Kim, E., & Kang, C. (2025). The Therapeutic Potential of Kiwi Extract as a Source of Cysteine Protease Inhibitors on DNCB-Induced Atopic Dermatitis in Mice and Human Keratinocyte HaCaT Cells. International Journal of Molecular Sciences, 26(4), 1534. https://doi.org/10.3390/ijms26041534

