Histological and Macromolecular Characterization of Folliculogenesis in Loggerhead Sea Turtles (Caretta caretta): Novel Insights into the Onset of Puberty
Abstract
1. Introduction
- (i)
- Provide a detailed morphological and biochemical characterization of C. caretta folliculogenesis, integrating histological analysis with FTIR imaging spectroscopy;
- (ii)
- Determine, through histological validation, the size at which 50% of females attain sexual maturity (L50) in stranded specimens collected along the north-central coast of the Adriatic Sea. This integrative approach provides novel mechanistic insights into the onset of puberty in loggerhead sea turtles and highlights FTIR imaging as a valuable tool for advancing reproductive biology in long-lived marine vertebrates. Although stranded specimens are not fully representative of the entire loggerhead population, the number of dead turtles recovered annually in the study area is considerable, with an estimated 100 individuals [25]. These specimens represent a currently underutilized resource for investigating key aspects of the species’ biology, particularly reproduction.
2. Results
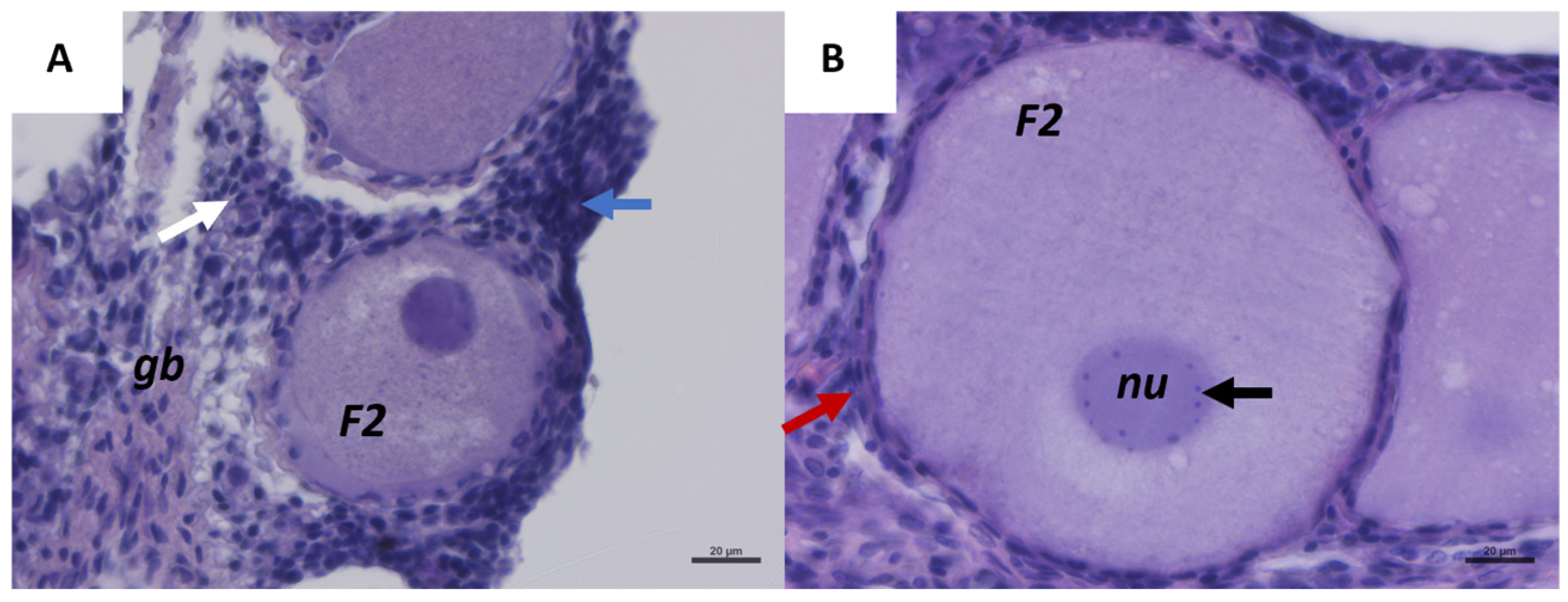
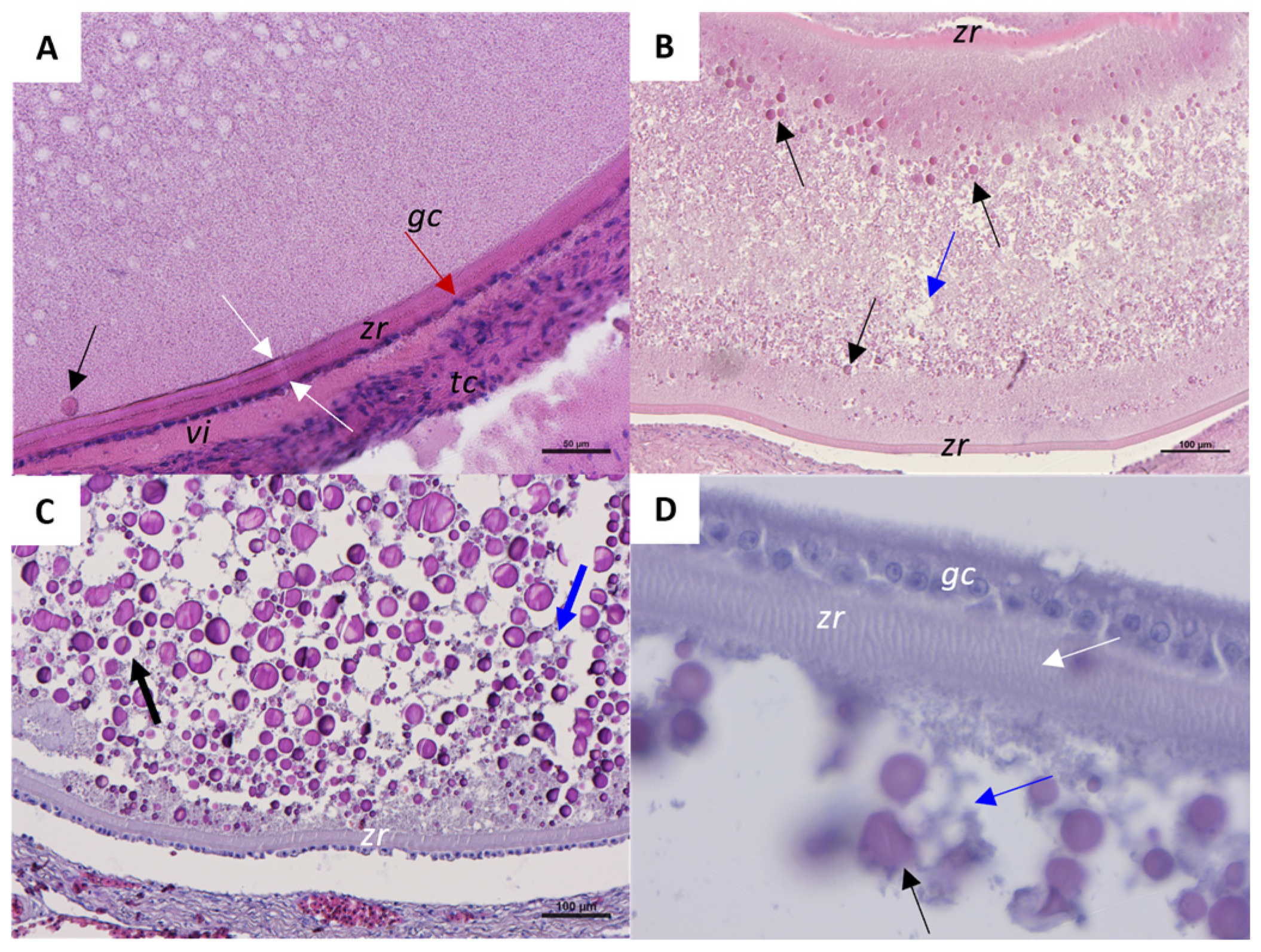
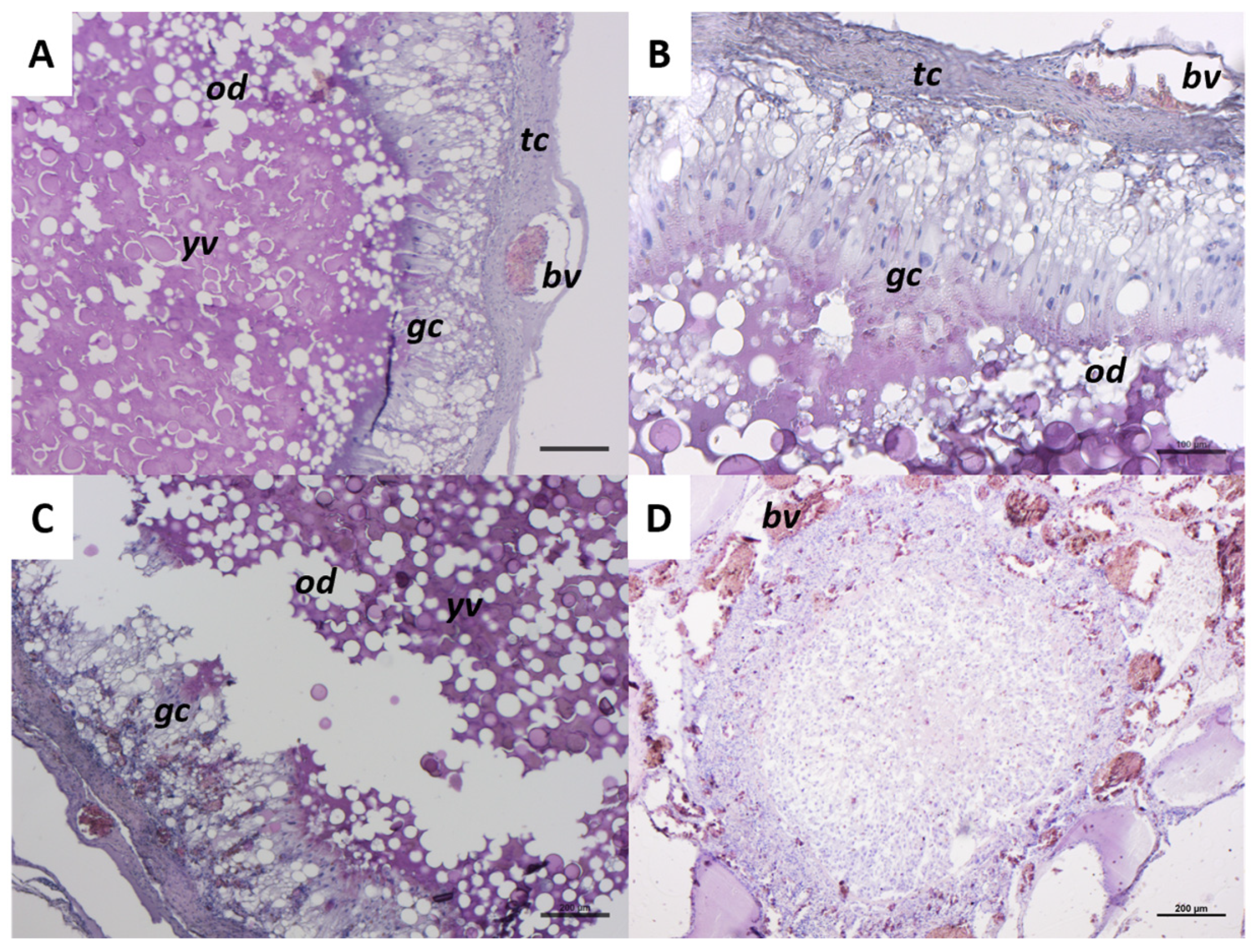
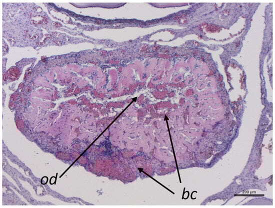
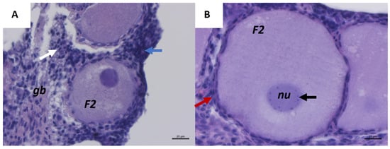
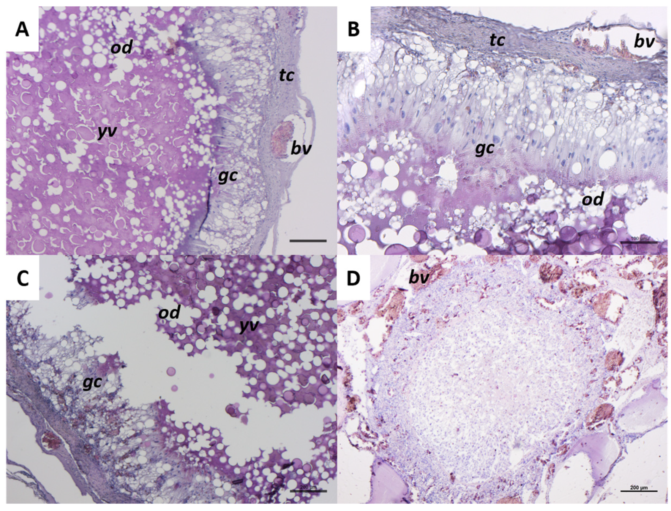
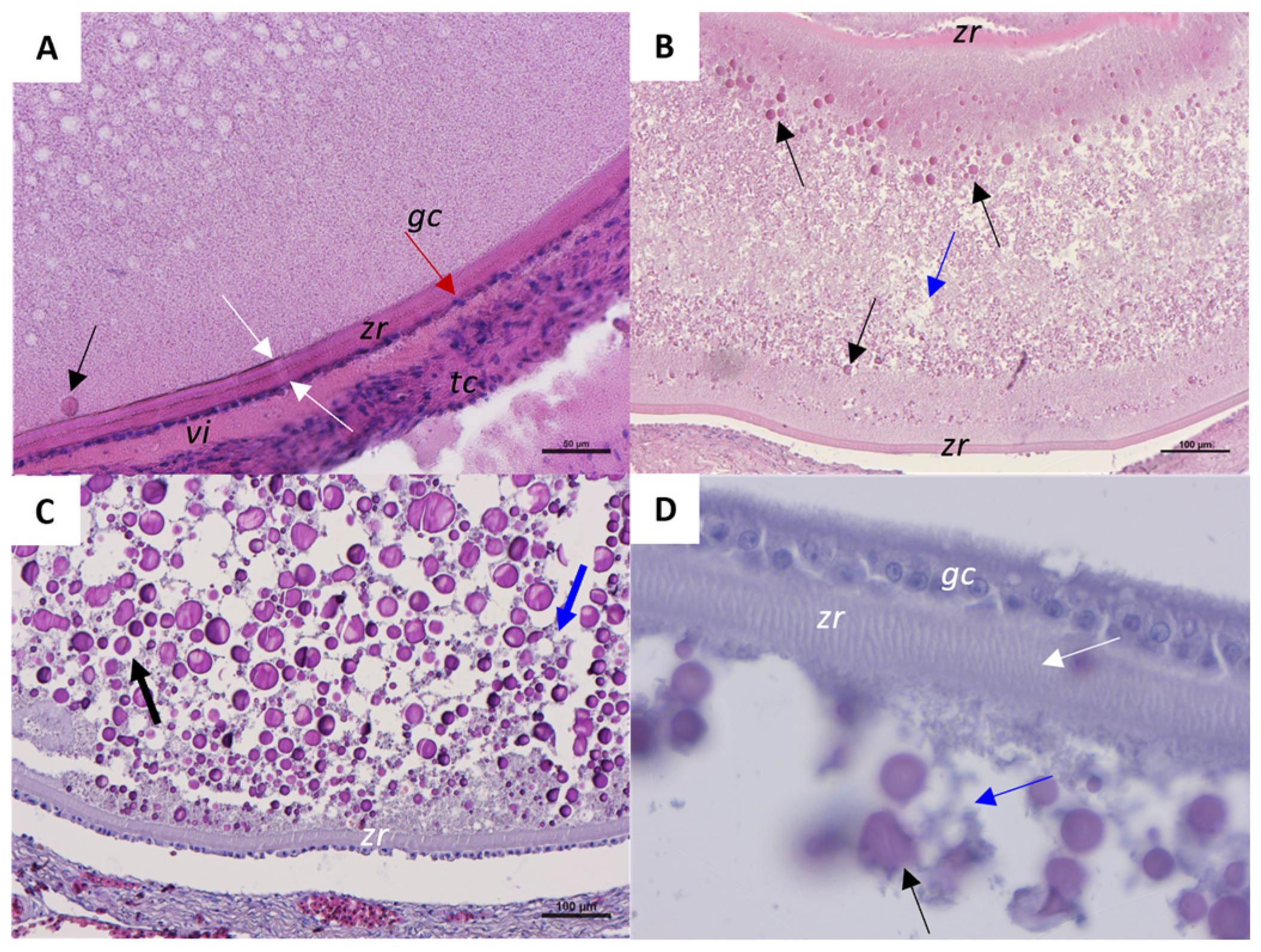
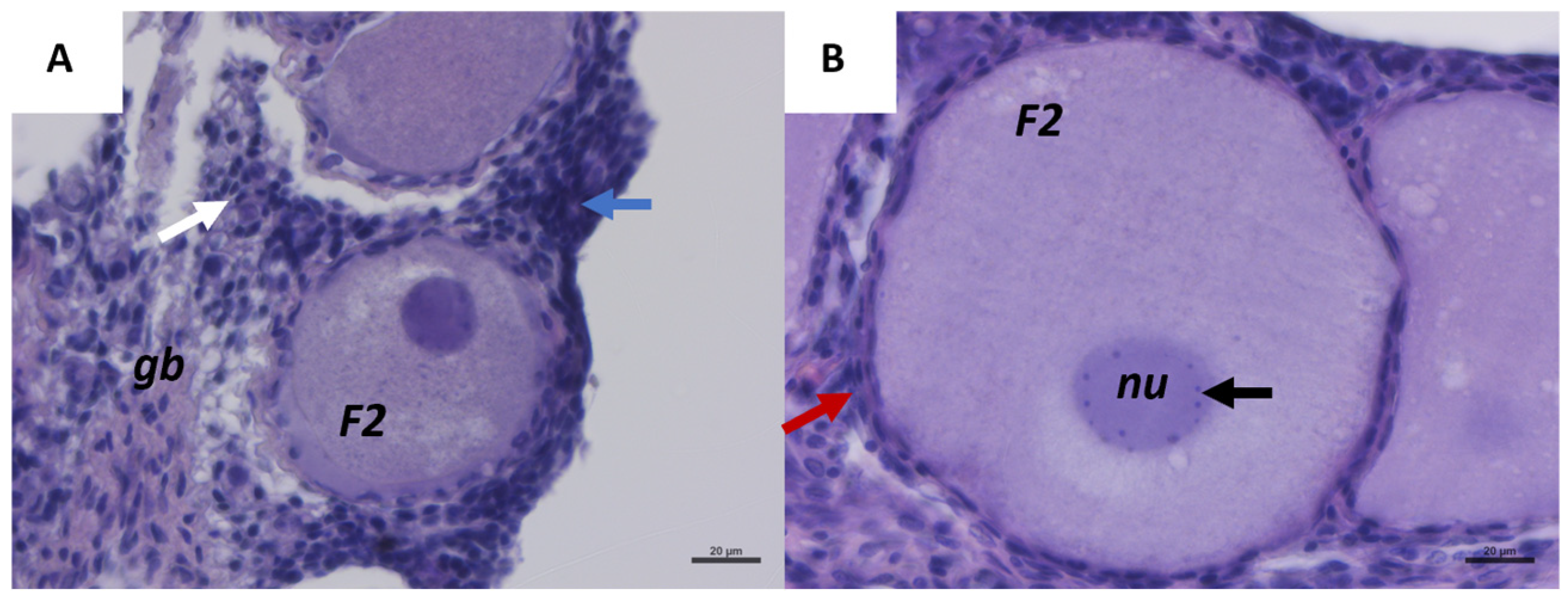
2.1. Folliculogenesis Development
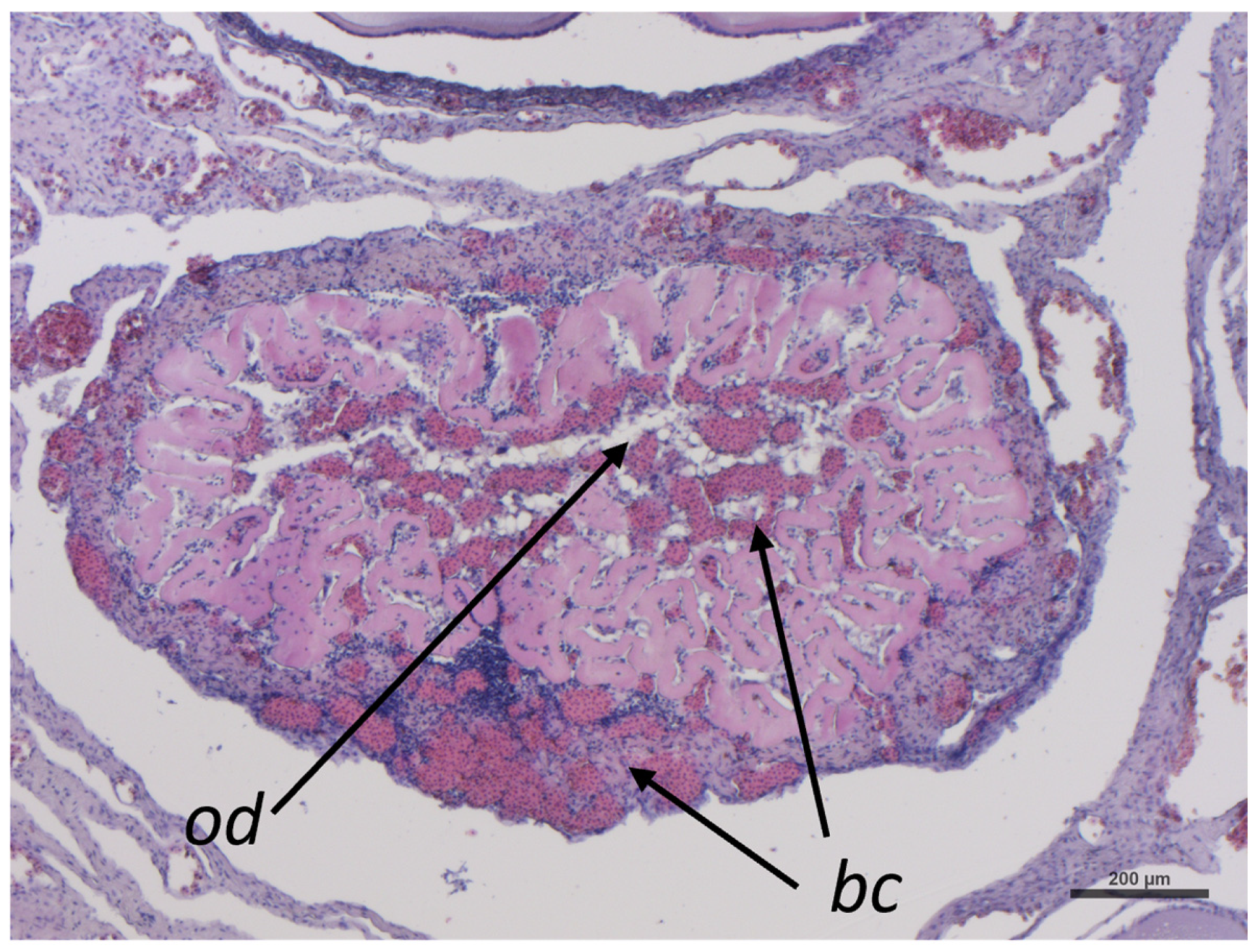
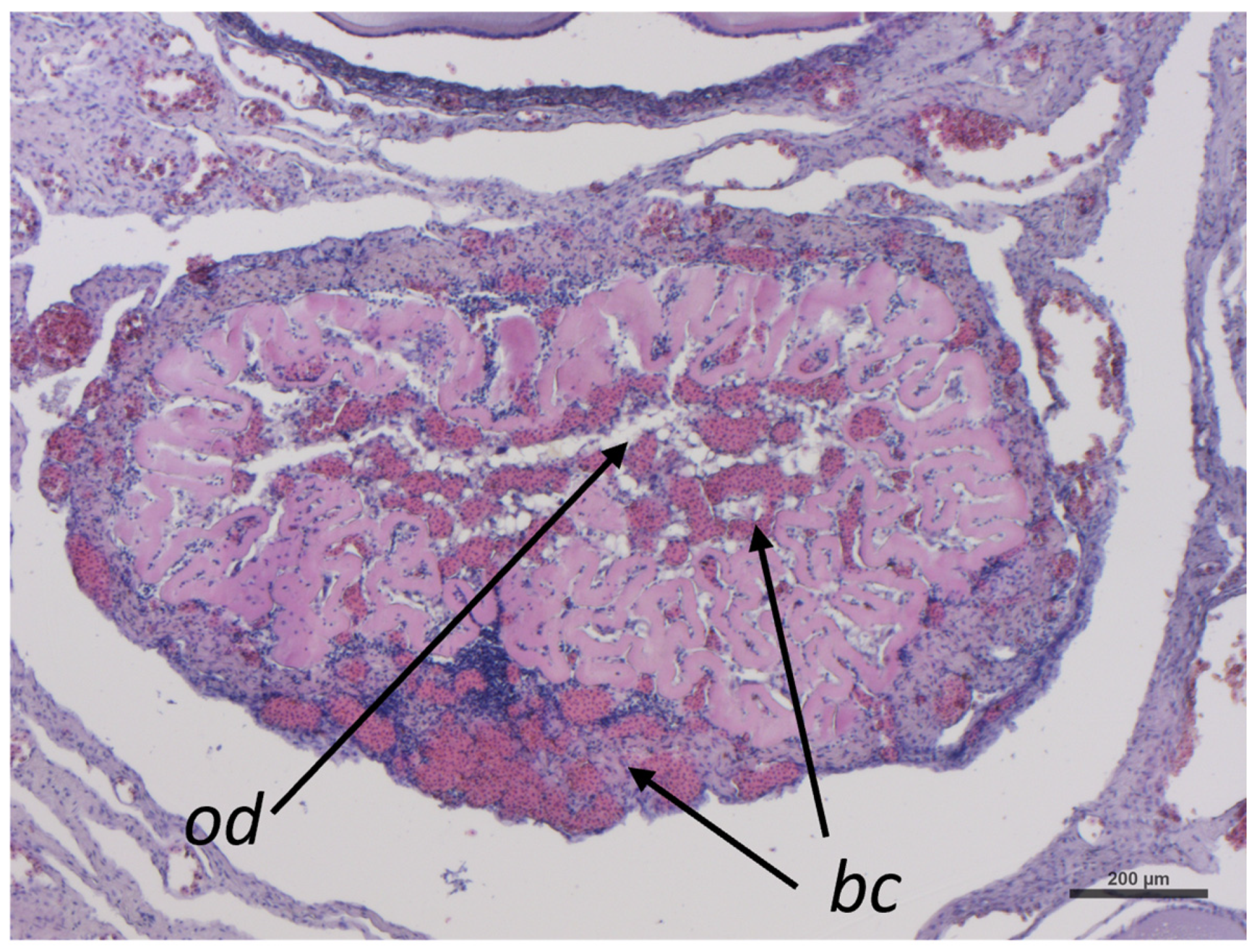
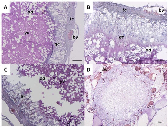
2.2. Histological Sexual Maturity Assessment
2.3. L50 Analysis
3. Discussion
4. Materials and Methods
4.1. Data and Sample Collection
4.2. Histological Analysis
4.3. FTIR-Imaging Analysis
4.4. Sexual Maturity Evaluation
4.5. Statistical Analysis
5. Conclusions
Author Contributions
Funding
Institutional Review Board Statement
Informed Consent Statement
Data Availability Statement
Conflicts of Interest
References
- Mansfield, K.L.; Putman, N.F. Oceanic Habits and Habitats: Caretta caretta. In The Biology of Sea Turtles, 1st ed.; Wyneken, J., Lohmann, K.J., Musick, J.A., Eds.; CRC Press: Boca Raton, FL, USA, 2013; Volume III, pp. 189–205. [Google Scholar]
- Casale, P.; Broderick, A.C.; Camiñas, J.A.; Cardona, L.; Carreras, C.; Demetropoulos, A.; Fuller, W.J.; Godley, B.J.; Hochscheid, S.; Kaska, Y.; et al. Mediterranean sea turtles: Current knowledge and priorities for conservation and research. Endanger. Species Res. 2018, 36, 229–267. [Google Scholar] [CrossRef]
- Simantiris, N. The impact of climate change on sea turtles: Current knowledge, scientometrics, and mitigation strategies. Sci. Total Environ. 2024, 923, 171354. [Google Scholar] [CrossRef] [PubMed]
- Matiddi, T.; Valente, A.; Camedda, G.; Terracciano, G.; Gioacchini, C. Silvestri Are We Even Close? Five Years Marine Litter Ingestion Monitoring In Loggerhead Turtles Along Italian Coast Reveals How Far We Are From The Good Environmental Status. Mar. Pollut. Bull. 2024, 205, 11664. [Google Scholar] [CrossRef]
- Margaritoulis, D.; Rees, A.F.; Riggall, T.E. Exponential Increase in a Loggerhead Sea Turtle Nesting Population: Investigating the Role of Multi-decadal Nest Protection in Kyparissia Bay, Greece. Zool. Stud. 2025, 64, 29. [Google Scholar]
- Camiñas, J.A.; Kaska, Y.; Hochscheid, S.; Paolo, C.; Panagopoulou, A.; Báez, J.C.; Otero, M.d.M.; Numa, C.; Alcázar, E. Conservation of Marine Turtles in the Mediterranean Sea; International Union for Conservation of Nature: Gland, Switzerland, 2020. [Google Scholar]
- Iverson, J.B. Correlates of reproductive output in turtles (order Testudines). Herpetol. Monogr. 1992, 6, 25–42. [Google Scholar] [CrossRef]
- Marn, N.; Jusup, M.; Legoví, T.; Kooijman, S.A.L.M.; Klanjšček, T. Environmental effects on growth, reproduction, and life-history traits of loggerhead turtles. Ecol. Model. 2017, 360, 163–178. [Google Scholar] [CrossRef]
- Piovano, S.; Clusa, M.; Carreras, C.; Giacoma, C.; Pascual, M.; Cardona, L. Different growth rates between loggerhead sea turtles (Caretta caretta) of Mediterranean and Atlantic origin in the Mediterranean Sea. Mar. Biol. 2011, 158, 2577–2587. [Google Scholar] [CrossRef]
- Baldi, G.; Furii, G.; Del Vecchio, M.; Salvemini, P.; Vallini, C.; Angelini, V.; Pari, S.; Moraes, K.L.; Margaritoulis, D.; Çurri, A.; et al. Growth rates and age at maturity of Mediterranean loggerhead sea turtles estimated from a single-population foraging ground. Mar. Biol. 2023, 170, 36. [Google Scholar] [CrossRef]
- Margaritoulis, D.; Argano, R.; Baran, I.; Bentivegna, F.; Bradai, M.N.; Camiñas, J.A.; Casale, P.; Gregorio, D.M.; Demetropoulos, A.; Gerosa, G.; et al. Loggerhead Turtles in the Mediterranean: Present Knowledge and Conservation Perspectives. In Loggerhead Sea Turtles; Smithsonian Institution Press: Washington, DC, USA, 2003. [Google Scholar]
- Limpus, C.J. Puberty and first breeding in Caretta caretta. In Proceedings of the 10th Annual Workshop on Sea Turtle Biology and Conservation, Hilton Head, SC, USA, 20–24 February 1990; Richardson, T.H., Richardson, J.I., Donnelly, M., Eds.; NOAA Technical Memorandum NMFS-SEFSC; National Oceanic and Atmospheric Administration: Silver Spring, MD, USA, 1990; pp. 81–85. [Google Scholar]
- Chenet, T.; Mancia, A.; Bono, G.; Falsone, F.; Scannella, D.; Vaccaro, C.; Baldi, A.; Catani, M.; Cavazzini, A.; Pasti, L. Plastic ingestion by Atlantic horse mackerel (Trachurus trachurus) from central Mediterranean Sea: A potential cause for endocrine disruption. Environ. Pollut. 2021, 284, 117449. [Google Scholar] [CrossRef]
- Di Renzo, L.; Mascilongo, G.; Berti, M.; Bogdanović, T.; Listeš, E.; Brkljača, M.; Notarstefano, V.; Gioacchini, G.; Giorgini, E.; Olivieri, V.; et al. Potential Impact of Microplastics and Additives on the Health Status of Loggerhead Turtles (Caretta caretta) Stranded Along the Central Adriatic Coast. Water Air Soil Pollut. 2021, 232, 98. [Google Scholar] [CrossRef]
- Baldi, G.; Furii, G.; Del Vecchio, M.; Salvemini, P.; Vallini, C.; Angelini, V.; Pari, S.; Moraes, K.L.; Profico, C.; Olivieri, V.; et al. Behavioural plasticity in the use of a neritic foraging area by loggerhead sea turtles: Insights from 37 years of capture-mark-recapture in the Adriatic Sea (Mediterranean Sea). ICES J. Mar. Sci. 2023, 80, 210–217. [Google Scholar] [CrossRef]
- Lucchetti, A.; Vasapollo, C.; Virgili, M. Sea turtles bycatch in the Adriatic Sea set net fisheries and possible hot-spot identification. Aquat. Conserv. 2017, 27, 1176–1185. [Google Scholar] [CrossRef]
- Marisaldi, L.; Torresan, A.; Ferrari, A. Strandings of loggerhead sea turtles south of the Po River delta: Insights from a highly impacted area. J. Mar. Biol. Assoc. U. K. 2023, 103, e81. [Google Scholar] [CrossRef]
- Casale, P.; Heppell, S.S. How much sea turtle bycatch is too much? A stationary age distribution model for simulating population abundance and potential biological removal in the Mediterranean. Endanger. Species Res. 2016, 29, 239–254. [Google Scholar] [CrossRef]
- Casale, P.; Mazaris, A.D.; Freggi, D. Estimation of age at maturity of loggerhead sea turtles Caretta caretta in the Mediterranean using length-frequency data. Endanger. Species Res. 2011, 13, 123–129. [Google Scholar] [CrossRef]
- Carnevali, O.; Candelma, M.; Sagrati, A.; Pignalosa, P.; Giorgini, E.; Gioacchini, G. Macromolecular Characterization of Swordfish Oocytes by FTIR Imaging Spectroscopy. Sci. Rep. 2019, 9, 8850. [Google Scholar] [CrossRef]
- Kaur, M.; Singh, S.; Kaur, A. Structural changes in amide I and amide II regions of PCOS women analyzed by ATR-FTIR spectroscopy. Heliyon 2024, 10, e33494. [Google Scholar] [CrossRef]
- Porcelli, F.; Verri, M.; De Santis, S.; Crescenzi, A.; Bianchi, A.; Felici, A.C.; Sotgiu, G.; Romano, S.; Orsini, M. Considerations on chemical composition of psammoma bodies: Automated detection strategy by infrared microspectroscopy in ovarian and thyroid cancer tissues. Spectrochim. Acta Part A Mol. Biomol. Spectrosc. 2023, 298, 122792. [Google Scholar] [CrossRef]
- Baker, M.J.; Trevisan, J.; Bassan, P.; Bhargava, R.; Butler, H.J.; Dorling, K.M.; Fielden, P.R.; Fogarty, S.W.; Fullwood, N.J.; Heys, K.A.; et al. Using Fourier transform IR spectroscopy to analyze biological materials HHS Public Access. Nat. Protoc. 2014, 9, 1771–1791. [Google Scholar] [CrossRef]
- Magalhães, S.; Goodfellow, B.J.; Nunes, A. FTIR spectroscopy in biomedical research: How to get the most out of its potential. Appl. Spectrosc. Rev. 2021, 56, 869–907. [Google Scholar] [CrossRef]
- Geocetus Database. Available online: https://geocetus.it (accessed on 27 September 2025).
- Pérez-Bermúdez, E.; Ruiz-Urquiola, A.; Lee-Gonzá, I.; Petric, B.; Almaguer-Cuenca, N.; Sanz-Ochotorena, A.; Pez, G.E.-L. Ovarian Follicular Development in the Hawksbill Turtle (Cheloniidae: Eretmochelys imbricata L.). J. Morphol. 2012, 273, 1338–1352. [Google Scholar] [CrossRef]
- Miller, J.D.; Limpus, C.J. Ontogeny of marine turtle gonads. In The Biology of Sea Turtles, 1st ed.; Wyneken, J., Lohmann, K.J., Musick, J.A., Eds.; CRC Press: Boca Raton, FL, USA, 2013; Volume II, pp. 251–276. [Google Scholar]
- Nainan, H.; Ping, Y.; Yang, Y.; Jinxiong, L.; Huijun, B.; Haili, L.; Hui, Z.; Qiusheng, C. Fine structural observation on the oogenesis and vitellogenesis of the Chinese soft-shelled turtle (Pelodiseus sinensis). Zygote 2010, 18, 109–120. [Google Scholar] [CrossRef]
- Hamann, M.; Limpus, C.J.; Owens, D.W. Reproductive cycles of males and females. In The Biology of Sea Turtles, 1st ed.; Wyneken, J., Lohmann, K.J., Musick, J.A., Eds.; CRC Press: Boca Raton, FL, USA, 2013; Volume II, pp. 135–161. [Google Scholar]
- Rosanova, P.; Romano, M.; Marciano, R.; Anteo, C.; Limatola, E. Vitellogenin precursors in the liver of the oviparous lizard, Podarcis sicula. Mol. Reprod. Dev. 2002, 63, 349–354. [Google Scholar] [CrossRef] [PubMed]
- Pieau, C.; Dorizzi, M. Oestrogens and temperature-dependent sex determination in reptiles: All is in the gonads. J. Endocrinol. 2004, 181, 367–377. [Google Scholar] [CrossRef]
- Thompson, M.B.; Speake, B.K. Energy and nutrient utilisation by embryonic reptiles. Comp. Biochem. Physiol. Part A 2003, 133, 529–538. [Google Scholar] [CrossRef] [PubMed]
- Craven, K.S.; Parsons, J.; Taylor, S.A.; Belcher, C.N.; Owens, D.W. The influence of diet on fatty acids in the egg yolk of green sea turtles, Chelonia mydas. J. Comp. Physiol. B 2008, 178, 495–500. [Google Scholar] [CrossRef] [PubMed]
- Casale, P. Sea turtle by-catch in the Mediterranean. Fish Fish. 2011, 12, 299–316. [Google Scholar] [CrossRef]
- Mazaris, A.D.; Fiksen, Ø.; Matsinos, Y.G. Using an individual-based model for assessment of sea turtle population viability. Popul. Ecol. 2005, 47, 179–191. [Google Scholar] [CrossRef]
- Corniuk, R.N.; Lynch, J.M.; Arendt, M.D.; Braun-McNeill, J.; Owens, D.W.; Valverde, R.A.; Kucklick, J.R.; McClellan-Green, P.D. Using Plasma Vitellogenin in Loggerhead Sea Turtles to Assess Reproductive Maturation and Estrogen-Like Contaminant Exposure. Environ. Toxicol. Chem. 2023, 42, 1309–1325. [Google Scholar] [CrossRef]
- Almpanidou, V.; Tsapalou, V.; Chatzimentor, A.; Cardona, L.; Claro, F.; Hostetter, P.; Kaska, Y.; Liu, W.; Mansui, J.; Miliou, A.; et al. Foraging grounds of adult loggerhead sea turtles across the Mediterranean Sea: Key sites and hotspots of risk. Biodivers. Conserv. 2021, 31, 143–160, Correction in Biodivers. Conserv. 2022, 31, 143–160. [Google Scholar] [CrossRef]
- McClellan, C.M.; Read, A.J. Complexity and variation in loggerhead sea turtle life history. Biol. Lett. 2007, 3, 592–594. [Google Scholar] [CrossRef]
- Mariani, G.; Bellucci, F.; Cocumelli, C.; Raso, C.; Hochscheid, S.; Roncari, C.; Nerone, E.; Recchi, S.; Di Giacinto, F.; Olivieri, V.; et al. Dietary Preferences of Loggerhead Sea Turtles (Caretta caretta) in Two Mediterranean Feeding Grounds: Does Prey Selection Change with Habitat Use throughout Their Life Cycle? Animals 2023, 13, 654. [Google Scholar] [CrossRef] [PubMed]
- Schmid, C.; Cozzarini, L.; Zambello, E. A critical review on marine litter in the Adriatic Sea: Focus on plastic pollution. Environ. Pollut. 2021, 273, 116430. [Google Scholar] [CrossRef]
- Combi, T.; Pintado-Herrera, M.G.; Lara-Martin, P.A.; Miserocchi, S.; Langone, L.; Guerra, R. Distribution and fate of legacy and emerging contaminants along the Adriatic Sea: A comparative study. Environ. Pollut. 2016, 218, 1055–1064. [Google Scholar] [CrossRef]
- Bucchia, M.; Camacho, M.; Santos, M.R.D.; Boada, L.D.; Roncada, P.; Mateo, R.; Ortiz-Santaliestra, M.E.; Rodríguez-Estival, J.; Zumbado, M.; Orós, J.; et al. Plasma levels of pollutants are much higher in loggerhead turtle populations from the Adriatic Sea than in those from open waters (Eastern Atlantic Ocean). Sci. Total Environ. 2015, 523, 161–169. [Google Scholar] [CrossRef]
- Cocci, P.; Mosconi, G.; Palermo, F.A. Gene expression profiles of putative biomarkers in juvenile loggerhead sea turtles (Caretta caretta) exposed to polycyclic aromatic hydrocarbons. Environ. Pollut. 2019, 246, 99–106. [Google Scholar] [CrossRef]
- Cocci, P.; Capriotti, M.; Mosconi, G.; Palermo, F.A. Effects of endocrine disrupting chemicals on estrogen receptor alpha and heat shock protein 60 gene expression in primary cultures of loggerhead sea turtle (Caretta caretta) erythrocytes. Environ. Res. 2017, 158, 616–624. [Google Scholar] [CrossRef]
- Aslam, S. Endocrine Events Involved in Puberty: A Revisit to Existing Knowledge. Life Sci. 2020, 1, 12. [Google Scholar] [CrossRef]
- Peters, J. Gene Regulation in the Hypothalamic-Pituitary-Gonadal Axis of the Green Anole Lizard (Anolis carolinensis). Master’s Thesis, Minnesota State University, Mankato, MN, USA, 2018. Available online: https://cornerstone.lib.mnsu.edu/etds/765/ (accessed on 16 January 2025).
- Wang, Y.; Liu, X.; Li, W.; Zhao, J.; Liu, H.; Yu, L.; Zhu, X. Reproductive performance is associated with seasonal plasma reproductive hormone levels, steroidogenic enzymes and sex hormone receptor expression levels in cultured Asian yellow pond turtles (Mauremys mutica). Comp. Biochem. Physiol. 2021, 254, 1096–4959. [Google Scholar] [CrossRef] [PubMed]
- Pietroluongo, G.; Centelleghe, C.; Sciancalepore, G.; Ceolotto, L.; Danesi, P.; Pedrotti, D.; Mazzariol, S. Environmental and pathological factors affecting the hatching success of the two northernmost loggerhead sea turtle (Caretta caretta) nests. Sci. Rep. 2023, 13, 2938. [Google Scholar] [CrossRef] [PubMed]
- Flint, M.; Patterson-Kane, J.; Limpus, C.; Work, T.; Blair, D.; Mills, P. Postmortem diagnostic investigation of disease in free-ranging marine turtle populations: A review of common pathologic findings and protocols. J. Vet. Diagn. Investig. 2009, 21, 733–759. [Google Scholar] [CrossRef] [PubMed]
- Poppi, L.; Di Bello, A. Manuale di Gestione Delle Tartarughe Marine, 2015 Netcet Project; University of Bari: Bari, Italy, 2015. [Google Scholar]
- Poppi, L.; Marchiori, E. Standard Protocol for Post-Mortem Examination on Sea Turtles, Network for the Conservation of Cetaceans and Sea Turtles in the Adriatic. 2013. Available online: https://www.blue-world.org/bw/wp-content/uploads/2017/05/NETCET_Standard-protocols-for-post-mortem-examination-of-sea-turtles.pdf (accessed on 16 January 2025).
- Chemello, G.; Trotta, E.; Notarstefano, V.; Papetti, L.; Di Renzo, L.; Matiddi, M.; Silvestri, C.; Carnevali, O.; Gioacchini, G. Microplastics evidence in yolk and liver of loggerhead sea turtles (Caretta caretta), a pilot study. Environ. Pollut. 2023, 337, 122589. [Google Scholar] [CrossRef] [PubMed]
- Basilone, G.; Ferreri, R.; Aronica, S.; Mazzola, S.; Bonanno, A.; Gargano, A.; Pulizzi, M.; Fontana, I.; Giacalone, G.; Calandrino, P.; et al. Reproduction and Sexual Maturity of European Sardine (Sardina pilchardus) in the Central Mediterranean Sea. Front. Mar. Sci. 2021, 8, 715846. [Google Scholar] [CrossRef]
- Fontoura, N.F.; Braun, A.S.; Milani, P.C.C. Estimating size at first maturity (L50) from Gonadossomatic Index (GSI) data. Neotrop. Ichthyol. 2009, 7, 217–222. [Google Scholar] [CrossRef]
- Marisaldi, L.; Basili, D.; Candelma, M.; Sesani, V.; Pignalosa, P.; Gioacchini, G.; Carnevali, O. Maturity assignment based on histology-validated macroscopic criteria: Tackling the stock decline of the Mediterranean swordfish (Xiphias gladius). Aquat. Conserv. 2020, 30, 303–314. [Google Scholar] [CrossRef]
- RStudio Team. RStudio: Integrated Development for R; Posit: Boston, MA, USA, 2023. [Google Scholar]
- Gelman, A.; Jakulin, A.; Pittau, M.G.; Su, Y.-S. A weakly informative default prior distribution for logistic and other regression models. Ann. Appl. Stat. 2008, 2, 1360–1383. [Google Scholar] [CrossRef]
- Goodrich, B.; Gabry, J.; Ali, I.; Brilleman, S. Rstanarm: Bayesian Applied Regression Modeling via Stan, R Package Version 2.32.2; 2025. Available online: https://mc-stan.org/rstanarm/ (accessed on 29 September 2025).
- Wickham, H. ggplot2: Elegant Graphics for Data Analysis; Springer: New York, NY, USA, 2016; Available online: https://ggplot2.tidyverse.org (accessed on 29 September 2025)ISBN 978-3-319-24277-4.













Disclaimer/Publisher’s Note: The statements, opinions and data contained in all publications are solely those of the individual author(s) and contributor(s) and not of MDPI and/or the editor(s). MDPI and/or the editor(s) disclaim responsibility for any injury to people or property resulting from any ideas, methods, instructions or products referred to in the content. |
© 2025 by the authors. Licensee MDPI, Basel, Switzerland. This article is an open access article distributed under the terms and conditions of the Creative Commons Attribution (CC BY) license (https://creativecommons.org/licenses/by/4.0/).
Share and Cite
Di Renzo, L.; Trotta, E.; Notarstefano, V.; Zonta, L.; Giorgini, E.; Marisaldi, L.; Mariani, G.; Di Francesco, G.; Rubini, S.; Matiddi, M.; et al. Histological and Macromolecular Characterization of Folliculogenesis in Loggerhead Sea Turtles (Caretta caretta): Novel Insights into the Onset of Puberty. Int. J. Mol. Sci. 2025, 26, 9934. https://doi.org/10.3390/ijms26209934
Di Renzo L, Trotta E, Notarstefano V, Zonta L, Giorgini E, Marisaldi L, Mariani G, Di Francesco G, Rubini S, Matiddi M, et al. Histological and Macromolecular Characterization of Folliculogenesis in Loggerhead Sea Turtles (Caretta caretta): Novel Insights into the Onset of Puberty. International Journal of Molecular Sciences. 2025; 26(20):9934. https://doi.org/10.3390/ijms26209934
Chicago/Turabian StyleDi Renzo, Ludovica, Erica Trotta, Valentina Notarstefano, Laura Zonta, Elisabetta Giorgini, Luca Marisaldi, Giulia Mariani, Gabriella Di Francesco, Silva Rubini, Marco Matiddi, and et al. 2025. "Histological and Macromolecular Characterization of Folliculogenesis in Loggerhead Sea Turtles (Caretta caretta): Novel Insights into the Onset of Puberty" International Journal of Molecular Sciences 26, no. 20: 9934. https://doi.org/10.3390/ijms26209934
APA StyleDi Renzo, L., Trotta, E., Notarstefano, V., Zonta, L., Giorgini, E., Marisaldi, L., Mariani, G., Di Francesco, G., Rubini, S., Matiddi, M., Silvestri, C., Kaska, Y., Chemello, G., & Gioacchini, G. (2025). Histological and Macromolecular Characterization of Folliculogenesis in Loggerhead Sea Turtles (Caretta caretta): Novel Insights into the Onset of Puberty. International Journal of Molecular Sciences, 26(20), 9934. https://doi.org/10.3390/ijms26209934

