Evidence for the Worldwide Distribution of a Bile Salt Hydrolase Gene in Enterococcus faecium Through Horizontal Gene Transfer
Abstract
1. Introduction
2. Results and Discussion
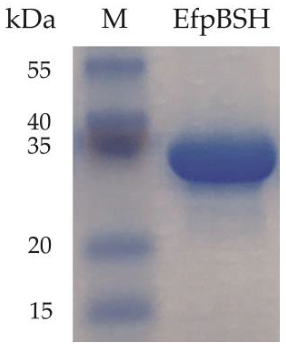
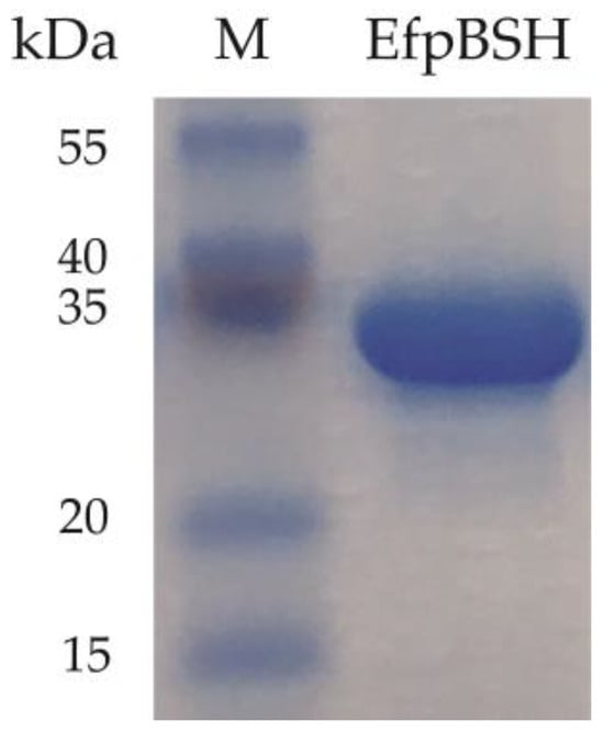
2.1. Screening and Heterologous Expression of a Plasmid-Encoded bsh
2.2. Enzymatic Activity of Recombinant EfpBSH
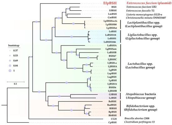
2.3. Sequence and Phylogenetic Analyses of EfpBSH
3. Materials and Methods
3.1. bsh Synthesis, Cloning, and Heterologous Expression
3.2. BSH Activity
3.3. Determination of Optimum Enzymatic Condition
3.4. Phylogenetic Analysis
3.5. Sequence and Database Searches
4. Conclusions
Supplementary Materials
Author Contributions
Funding
Institutional Review Board Statement
Informed Consent Statement
Data Availability Statement
Conflicts of Interest
References
- Sivertsen, A.; Janice, J.; Pedersen, T.; Wagner, T.M.; Hegstad, J.; Hegstad, K. The enterococcus cassette chromosome, a genomic variation enabler in enterococci. mSphere 2018, 3, e00402-18. [Google Scholar] [CrossRef] [PubMed]
- Fugaban, J.I.I.; Holzapfel, W.H.; Todorov, S.D. Probiotic potential and safety assessment of bacteriocinogenic Enterococcus faecium strains with antibacterial activity against Listeria and vancomycin-resistant enterococci. Curr. Res. Microb. Sci. 2021, 2, 100070. [Google Scholar] [CrossRef] [PubMed]
- Tilwani, Y.M.; Lakra, A.K.; Domdi, L.; Jha, N.; Arul, V. Characterization of potential probiotic bacteria Enterococcus faecium MC-5 isolated from the gut content of Cyprinus carpio specularis. Microb. Pathog. 2022, 172, 105783. [Google Scholar] [CrossRef] [PubMed]
- Aswal, M.; Singhal, N.; Kumar, M. Comprehensive genomic analysis of hypocholesterolemic probiotic Enterococcus faecium LR13 reveals unique proteins involved in cholesterol-assimilation. Front. Nutr. 2023, 10, 1082566. [Google Scholar] [CrossRef]
- Wang, G.; Huang, W.; Xia, Y.; Xiong, Z.; Ai, L. Cholesterol-lowering potentials of Lactobacillus strain overexpression of bile salt hydrolase on high cholesterol diet-induced hypercholesterolemic mice. Food Funct. 2019, 10, 1684–1695. [Google Scholar] [CrossRef]
- Knarreborg, A.; Engberg, R.M.; Jensen, S.K.; Jensen, B.B. Quantitative determination of bile salt hydrolase activity in bacteria isolated from the small intestine of chickens. Appl. Environ. Microbiol. 2002, 68, 6425–6428. [Google Scholar] [CrossRef]
- Begley, M.; Hill, C.; Gahan, C.G. Bile salt hydrolase activity in probiotics. Appl. Environ. Microbiol. 2006, 72, 1729–1738. [Google Scholar] [CrossRef]
- Elkins, C.A.; Moser, S.A.; Savage, D.C. Genes encoding bile salt hydrolases and conjugated bile salt transporters in Lactobacillus johnsonii 100-100 and other Lactobacillus species. Microbiology 2001, 147, 3403–3412. [Google Scholar] [CrossRef]
- Kim, G.B.; Miyamoto, C.M.; Meighen, E.A.; Lee, B.H. Cloning and characterization of the bile salt hydrolase genes (bsh) from Bifidobacterium bifidum strains. Appl. Environ. Microbiol. 2004, 70, 5603–5612. [Google Scholar] [CrossRef]
- Jones, B.V.; Begley, M.; Hill, C.; Gahan, C.G.; Marchesi, J.R. Functional and comparative metagenomic analysis of bile salt hydrolase activity in the human gut microbiome. Proc. Natl. Acad. Sci. USA 2008, 105, 13580–13585. [Google Scholar] [CrossRef]
- Claesson, M.J.; Li, Y.; Leahy, S.; Canchaya, C.; van Pijkeren, J.P.; Cerdeno-Tarraga, A.M.; Parkhill, J.; Flynn, S.; O’Sullivan, G.C.; Collins, J.K.; et al. Multireplicon genome architecture of Lactobacillus salivarius. Proc. Natl. Acad. Sci. USA 2006, 103, 6718–6723. [Google Scholar] [CrossRef] [PubMed]
- Fang, F.; Li, Y.; Bumann, M.; Raftis, E.J.; Casey, P.G.; Cooney, J.C.; Walsh, M.A.; O’Toole, P.W. Allelic variation of bile salt hydrolase genes in Lactobacillus salivarius does not determine bile resistance levels. J. Bacteriol. 2009, 191, 5743–5757. [Google Scholar] [CrossRef]
- Wang, Z.; Zeng, X.; Mo, Y.; Smith, K.; Guo, Y.; Lin, J. Identification and characterization of a bile salt hydrolase from Lactobacillus salivarius for development of novel alternatives to antibiotic growth promoters. Appl. Environ. Microbiol. 2012, 78, 8795–8802. [Google Scholar] [CrossRef]
- Singhal, N.; Maurya, A.K.; Mohanty, S.; Kumar, M.; Virdi, J.S. Evaluation of bile salt hydrolases, cholesterol-lowering capabilities, and probiotic potential of Enterococcus faecium isolated from rhizosphere. Front. Microbiol. 2019, 10, 1567. [Google Scholar] [CrossRef]
- Nuhwa, R.; Tanasupawat, S.; Taweechotipatr, M.; Sitdhipol, J.; Savarajara, A. Bile salt hydrolase activity and cholesterol assimilation of lactic acid bacteria isolated from flowers. J. Appl. Pharm. Sci. 2019, 9, 106–110. [Google Scholar]
- Yasiri, A.; Vannaxay, E.; Kiatmontri, J.; Seubsasana, S. Isolation and determination of bile salt hydrolase-producing lactic acid bacteria from fermented spider plant. J. Pure Appl. Microbiol. 2018, 12, 1055–1060. [Google Scholar] [CrossRef]
- Sridevi, N.; Srivastava, S.; Khan, B.M.; Prabhune, A.A. Characterization of the smallest dimeric bile salt hydrolase from a thermophile Brevibacillus sp. Extremophiles 2009, 13, 363–370. [Google Scholar] [CrossRef]
- Panigrahi, P.; Sule, M.; Sharma, R.; Ramasamy, S.; Suresh, C.G. An improved method for specificity annotation shows a distinct evolutionary divergence among the microbial enzymes of the cholylglycine hydrolase family. Microbiology 2014, 160, 1162–1174. [Google Scholar] [CrossRef]
- Abe, K.; Kanesaki, Y.; Abdel-Rahman, M.A.; Watanabe, S.; Zendo, T.; Chibazakura, T.; Shimizu-Kadota, M.; Sonomoto, K.; Yoshikawa, H. Complete genome sequence of Enterococcus faecium QU50, a thermophilic lactic acid bacterium capable of metabolizing xylose. Microbiol. Resour. Announc. 2019, 8, e00413-19. [Google Scholar] [CrossRef]
- Abdel-Rahman, M.A.; Tashiro, Y.; Zendo, T.; Sakai, K.; Sonomoto, K. Enterococcus faecium QU 50: A novel thermophilic lactic acid bacterium for high-yield l-lactic acid production from xylose. FEMS Microbiol. Lett. 2015, 362, 1–7. [Google Scholar] [CrossRef]
- Oh, H.-K.; Lee, J.Y.; Lim, S.J.; Kim, M.J.; Kim, G.-B.; Kim, J.-H.; Hong, S.-K.; Kang, D.-K. Molecular cloning and characterization of a bile salt hydrolase from Lactobacillus acidophilus PF01. J. Microbiol. Biotechnol. 2008, 18, 449–456.441. [Google Scholar] [PubMed]
- Dong, Z.; Lee, B.H. Bile salt hydrolases: Structure and function, substrate preference, and inhibitor development. Protein Sci. 2018, 27, 1742–1754. [Google Scholar] [CrossRef]
- Chand, D.; Panigrahi, P.; Varshney, N.; Ramasamy, S.; Suresh, C.G. Structure and function of a highly active Bile Salt Hydrolase (BSH) from Enterococcus faecalis and post-translational processing of BSH enzymes. Biochim. Biophys. Acta Proteins Proteom. 2018, 1866, 507–518. [Google Scholar] [CrossRef]
- Sue, D.; Boor, K.J.; Wiedmann, M. σB-dependent expression patterns of compatible solute transporter genes opuCA and lmo1421 and the conjugated bile salt hydrolase gene bsh in Listeria monocytogenes. Microbiology 2003, 149, 3247–3256. [Google Scholar] [CrossRef]
- Elkins, C.A.; Savage, D.C. Identification of genes encoding conjugated bile salt hydrolase and transport in Lactobacillus johnsonii 100-100. J. Bacteriol. 1998, 180, 4344–4349. [Google Scholar] [CrossRef]
- Fraikin, N.; Goormaghtigh, F.; Van Melderen, L. Type II toxin-antitoxin systems: Evolution and revolutions. J. Bacteriol. 2020, 202, e00763-19. [Google Scholar] [CrossRef]
- Tokuda, M.; Shintani, M. Microbial evolution through horizontal gene transfer by mobile genetic elements. Microb. Biotechnol. 2024, 17, e14408. [Google Scholar] [CrossRef]
- Kusada, H.; Arita, M.; Tohno, M.; Tamaki, H. Bile salt hydrolase degrades β-lactam antibiotics and confers antibiotic resistance on Lactobacillus paragasseri. Front. Microbiol. 2022, 13, 858263. [Google Scholar] [CrossRef]
- Kusada, H.; Arita, M.; Tohno, M.; Tamaki, H. Isolation of a highly thermostable bile salt hydrolase with broad substrate specificity from Lactobacillus paragasseri. Front. Microbiol. 2022, 13, 810872. [Google Scholar] [CrossRef]
- Kumar, R.S.; Brannigan, J.A.; Prabhune, A.A.; Pundle, A.V.; Dodson, G.G.; Dodson, E.J.; Suresh, C.G. Structural and functional analysis of a conjugated bile salt hydrolase from Bifidobacterium longum reveals an evolutionary relationship with penicillin V acylase. J. Biol. Chem. 2006, 281, 32516–32525. [Google Scholar] [CrossRef]
- Lambert, J.M.; Bongers, R.S.; de Vos, W.M.; Kleerebezem, M. Functional analysis of four bile salt hydrolase and penicillin acylase family members in Lactobacillus plantarum WCFS1. Appl. Environ. Microbiol. 2008, 74, 4719–4726. [Google Scholar] [CrossRef] [PubMed]
- Burr, T.; Barnard, A.M.; Corbett, M.J.; Pemberton, C.L.; Simpson, N.J.; Salmond, G.P. Identification of the central quorum sensing regulator of virulence in the enteric phytopathogen, Erwinia carotovora: The VirR repressor. Mol. Microbiol. 2006, 59, 113–125. [Google Scholar] [CrossRef] [PubMed]
- Hammer, B.K.; Bassler, B.L. Quorum sensing controls biofilm formation in Vibrio cholerae. Mol. Microbiol. 2003, 50, 101–104. [Google Scholar] [CrossRef]
- Fineran, P.C.; Slater, H.; Everson, L.; Hughes, K.; Salmond, G.P. Biosynthesis of tripyrrole and beta-lactam secondary metabolites in Serratia: Integration of quorum sensing with multiple new regulatory components in the control of prodigiosin and carbapenem antibiotic production. Mol. Microbiol. 2005, 56, 1495–1517. [Google Scholar] [CrossRef]
- Kusada, H.; Tamaki, H.; Kamagata, Y.; Hanada, S.; Kimura, N. A novel quorum-quenching N-acylhomoserine lactone acylase from Acidovorax sp. strain MR-S7 mediates antibiotic resistance. Appl. Environ. Microbiol. 2017, 83, e00080-17. [Google Scholar] [CrossRef]
- Kusada, H.; Morinaga, K.; Tamaki, H. Identification of bile salt hydrolase and bile salt resistance in a probiotic bacterium Lactobacillus gasseri JCM1131T. Microorganisms 2021, 9, 1011. [Google Scholar] [CrossRef]
- Allain, T.; Chaouch, S.; Thomas, M.; Vallee, I.; Buret, A.G.; Langella, P.; Grellier, P.; Polack, B.; Bermudez-Humaran, L.G.; Florent, I. Bile-salt-hydrolases from the probiotic strain Lactobacillus johnsonii La1 mediate anti-giardial activity in vitro and in vivo. Front. Microbiol. 2018, 8, 2707. [Google Scholar] [CrossRef]
- Morinaga, K.; Kusada, H.; Tamaki, H. Bile salt hydrolases with extended substrate specificity confer a high level of resistance to bile toxicity on Atopobiaceae bacteria. Int. J. Mol. Sci. 2022, 23, 10980. [Google Scholar] [CrossRef]
- Kumar, S.; Stecher, G.; Li, M.; Knyaz, C.; Tamura, K. MEGA X: Molecular evolutionary genetics analysis across computing platforms. Mol. Biol. Evol. 2018, 35, 1547–1549. [Google Scholar] [CrossRef]
- Letunic, I.; Bork, P. Interactive Tree Of Life (iTOL) v5: An online tool for phylogenetic tree display and annotation. Nucleic Acids Res. 2021, 49, W293–W296. [Google Scholar] [CrossRef]
- Zuckerkandl, E.; Pauling, L. Evolutionary divergence and convergence in proteins. In Evolving Genes and Proteins; Elsevier: Amsterdam, The Netherlands, 1965; pp. 97–166. [Google Scholar]





| Enzyme | Accession Number | Strain | Similarity to EfpBSH (%) |
|---|---|---|---|
| EfBSH | 4WL3 | Enterococcus faecalis T2 | 48.46 |
| LmBSH | QHF62338 | Listeria monocytogenes EGD-e | 48.00 |
| BSH | - * | Enterococcus faecium LR2 | 47.69 |
| CmBSH | QXL43068 | Christensenella minuta DSM33407 | 44.62 |
| CpBSH | P54965 | Clostridium perfringens 13 | 42.86 |
| LapBSH | BBD48841 | Lactobacillus paragasseri JCM 5343 | 47.35 |
| LpBSH | BBD4770 | 40.44 | |
| LgBSH | WP_020806888 | Lactobacillus gasseri FR4 | 46.79 |
| LjBSHA | EGP12224 | Lactobacillus johnsonii PF01 | 45.26 |
| LjBSHB | ABQ01980 | 40.75 | |
| LjBSHC | EGP12391 | 43.03 | |
| LjBSH-a | AAG22541 | Lactobacillus johnsonii 100-100 | 45.26 |
| LjBSH-b | AAC34381 | 41.07 | |
| LaBSHA | AAV42751 | Lactobacillus acidophilus NCFM | 43.25 |
| LaBSHB | AAV42923 | 43.87 | |
| BSH47 | Q74JG0_LACJO | Lactobacillus johnsonii CNCM I-12250 | 43.03 |
| BSH56 | Q74LX7_LACJO | 41.07 | |
| LgBSHam | ACL98172 | Lactobacillus gasseri AM1 | 42.33 |
| LagBSH | ABJ59469 | Lactobacillus gasseri JCM 1131 | 40.75 |
| LsBSH1 | ACL98197 | Ligilactobacillus salivarius LGM14476 | 44.31 |
| LsBSH1046 | ACL98194 | Ligilactobacillus salivarius JCM 1046 | 43.38 |
| LsBSH | AFP87505 | Ligilactobacillus salivarius NRRL B-30514 | 44.00 |
| LsBSH118 | ACL98201 | Ligilactobacillus salivarius UCC118 | 41.85 |
| LplBSHst | ADO00098 | Lactiplantibacillus plantarum subsp. plantarum ST-III | 44.92 |
| LplBSH80 | AAB24746 | Lactiplantibacillus plantarum 80 | 44.62 |
| LplBSHwcfs | CAD65617 | Lactiplantibacillus plantarum WCFS1 | 44.92 |
| BbBSH | AAR39435 | Bifidobacterium bifidum ATCC 11863 | 37.90 |
| BlBSH | AAF67801 | Bifidobacterium longum SBT2928 | 36.62 |
| BadBSH | AAX86039 | Bifidobacterium adolescentis ATCC 15705 | 36.08 |
| BpBSH | KFI75916 | Bifidobacterium pseudocatenulatum DSM 20438 | 37.26 |
| BaBSH | AAS98803 | Bifidobacterium animalis subsp. lactis KL612 | 33.65 |
| LcBSH | BDC90728 | Leptogranulimonas caecicola TOC12 | 33.56 |
| GfBSH | GJM54962 | Granulimonas faecalis OPF53 | 32.79 |
| CGH | CAJ11444 | Brucella abortus 2308 | 32.52 |
Disclaimer/Publisher’s Note: The statements, opinions and data contained in all publications are solely those of the individual author(s) and contributor(s) and not of MDPI and/or the editor(s). MDPI and/or the editor(s) disclaim responsibility for any injury to people or property resulting from any ideas, methods, instructions or products referred to in the content. |
© 2025 by the authors. Licensee MDPI, Basel, Switzerland. This article is an open access article distributed under the terms and conditions of the Creative Commons Attribution (CC BY) license (https://creativecommons.org/licenses/by/4.0/).
Share and Cite
Kusada, H.; Tamaki, H. Evidence for the Worldwide Distribution of a Bile Salt Hydrolase Gene in Enterococcus faecium Through Horizontal Gene Transfer. Int. J. Mol. Sci. 2025, 26, 612. https://doi.org/10.3390/ijms26020612
Kusada H, Tamaki H. Evidence for the Worldwide Distribution of a Bile Salt Hydrolase Gene in Enterococcus faecium Through Horizontal Gene Transfer. International Journal of Molecular Sciences. 2025; 26(2):612. https://doi.org/10.3390/ijms26020612
Chicago/Turabian StyleKusada, Hiroyuki, and Hideyuki Tamaki. 2025. "Evidence for the Worldwide Distribution of a Bile Salt Hydrolase Gene in Enterococcus faecium Through Horizontal Gene Transfer" International Journal of Molecular Sciences 26, no. 2: 612. https://doi.org/10.3390/ijms26020612
APA StyleKusada, H., & Tamaki, H. (2025). Evidence for the Worldwide Distribution of a Bile Salt Hydrolase Gene in Enterococcus faecium Through Horizontal Gene Transfer. International Journal of Molecular Sciences, 26(2), 612. https://doi.org/10.3390/ijms26020612
