Hypothyroidism Alters Uterine Kisspeptin System and Activity Modulators in Cyclic Rats
Abstract
1. Introduction
2. Results
2.1. Hypothyroidism Affects the Cyclicity and Plasma Levels of LH and Sex Hormones in Rats Throughout the Estrous Cycle
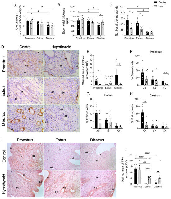
2.2. Hypothyroidism Reduces Uterine Proliferative Activity and Increases Endometrial Expression of TRα in Rats Throughout the Estrous Cycle
2.3. Hypothyroidism Disrupts the Uterine Expression of ERα and PR in Rats Throughout the Estrous Cycle
2.4. Hypothyroidism Reduces the Uterine Expression of LIF, BMP2, WNT4, and HAND2 Genes in an Estrous-Cycle-Dependent Manner
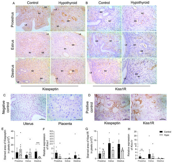
2.5. Hypothyroidism Reduces the Expression of KISS1 and KISS1R in the Uterus in an Estrous-Cycle-Dependent Manner
3. Discussion
4. Materials and Methods
4.1. Animals and Experimental Design
4.2. Euthanasia and Sample Collection
4.3. Hormone Level Analysis
4.4. Histomorphometric Analysis
4.5. Immunohistochemistry
4.6. Real-Time qPCR
4.7. Statistical Analysis
Supplementary Materials
Author Contributions
Funding
Institutional Review Board Statement
Informed Consent Statement
Data Availability Statement
Acknowledgments
Conflicts of Interest
References
- Silva, J.F.; Ocarino, N.M.; Serakides, R. Thyroid Hormones and Female Reproduction. Biol. Reprod. 2018, 99, 907–921. [Google Scholar] [CrossRef]
- De Oliveira, L.S.; Da Silva, T.Q.M.; Barbosa, E.M.E.; Dos Anjos Cordeiro, J.M.; Santos, L.C.; Henriques, P.C.; Santos, B.R.; Gusmao, D.D.O.; De MacEdo, I.O.; Szawka, R.E.; et al. Kisspeptin Treatment Restores Ovarian Function in Rats with Hypothyroidism. Thyroid 2022, 32, 1568–1579. [Google Scholar] [CrossRef]
- Shan, L.; Zhou, Y.; Peng, S.; Wang, X.; Shan, Z.; Teng, W. Implantation Failure in Rats with Subclinical Hypothyroidism Is Associated with LIF/STAT3 Signaling. Endocr. Connect. 2019, 8, 718–727. [Google Scholar] [CrossRef] [PubMed]
- Kowalczyk-Zieba, I.; Staszkiewicz-Chodor, J.; Boruszewska, D.; Lukaszuk, K.; Jaworska, J.; Woclawek-Potocka, I. Hypothyroidism Affects Uterine Function via the Modulation of Prostaglandin Signaling. Animals 2021, 11, 2636. [Google Scholar] [CrossRef] [PubMed]
- Rodríguez-Castelán, J.; Del Moral-Morales, A.; Piña-Medina, A.G.; Zepeda-Pérez, D.; Castillo-Romano, M.; Méndez-Tepepa, M.; Espindola-Lozano, M.; Camacho-Arroyo, I.; Cuevas-Romero, E. Hypothyroidism Induces Uterine Hyperplasia and Inflammation Related to Sex Hormone Receptors Expression in Virgin Rabbits. Life Sci. 2019, 230, 111–120. [Google Scholar] [CrossRef]
- Massimiani, M.; Lacconi, V.; La Civita, F.; Ticconi, C.; Rago, R.; Campagnolo, L. Molecular Signaling Regulating Endometrium–Blastocyst Crosstalk. Int. J. Mol. Sci. 2020, 21, 23. [Google Scholar] [CrossRef]
- Finn, C.A.; Martin, L. The Role of the Oestrogen Secreted before Oestrus in the Preparation of the Uterus for Implantation in the Mouse. J. Endocrinol. 1970, 47, 431–438. [Google Scholar] [CrossRef]
- Li, Q.; Kannan, A.; DeMayo, F.J.; Lydon, J.P.; Cooke, P.S.; Yamagishi, H.; Srivastava, D.; Bagchi, M.K.; Bagchi, I.C. The Antiproliferative Action of Progesterone in Uterine Epithelium Is Mediated by Hand2. Science 2011, 331, 912–916. [Google Scholar] [CrossRef]
- Chauhan, M.; Balakrishnan, M.; Chan, R.; Yallampalli, C. Adrenomedullin 2 (ADM2) Regulates Mucin 1 at the Maternal-Fetal Interface in Human Pregnancy. Biol. Reprod. 2015, 93, 1–8. [Google Scholar] [CrossRef]
- Cooke, P.S.; Ekman, G.C.; Kaur, J.; Davila, J.; Bagchi, I.C.; Clark, S.G.; Dziuk, P.J.; Hayashi, K.; Bartol, F.F. Brief Exposure to Progesterone during a Critical Neonatal Window Prevents Uterine Gland Formation in Mice. Biol. Reprod. 2012, 86, 1–10. [Google Scholar] [CrossRef] [PubMed]
- Wetendorf, M.; DeMayo, F.J. The Progesterone Receptor Regulates Implantation, Decidualization, and Glandular Development via a Complex Paracrine Signaling Network. Mol. Cell. Endocrinol. 2012, 357, 108–118. [Google Scholar] [CrossRef]
- Patel, B.; Elguero, S.; Thakore, S.; Dahoud, W.; Bedaiwy, M.; Mesiano, S. Role of Nuclear Progesterone Receptor Isoforms in Uterine Pathophysiology. Hum. Reprod. Update 2015, 21, 155–173. [Google Scholar] [CrossRef] [PubMed]
- Schaefer, J.; Vilos, A.G.; Vilos, G.A.; Bhattacharya, M.; Babwah, A.V. Uterine Kisspeptin Receptor Critically Regulates Epithelial Estrogen Receptor α Transcriptional Activity at the Time of Embryo Implantation in a Mouse Model. Mol. Hum. Reprod. 2021, 27, gaab060. [Google Scholar] [CrossRef] [PubMed]
- Kotani, M.; Detheux, M.; Vandenbogaerde, A.; Communi, D.; Vanderwinden, J.-M.; Le Poul, E.; Brezillon, S.; Tyldesley, R.; Suarez-Huerta, N.; Vandeput, F.; et al. The Metastasis-Suppressor Gene KiSS-1 Encodes Kisspeptins, the Natural Ligands of the Orphan G Protein-Coupled Receptor GPR54. J. Biol. Chem. 2001, 16, 34631–34636. [Google Scholar] [CrossRef] [PubMed]
- Clarkson, J.; Boon, W.C.; Simpson, E.R.; Herbison, A.E. Postnatal Development of an Estradiol-Kisspeptin Positive Feedback Mechanism Implicated in Puberty Onset. Endocrinology 2009, 150, 3214–3220. [Google Scholar] [CrossRef] [PubMed]
- Hu, K.L.; Zhao, H.; Chang, H.M.; Yu, Y.; Qiao, J. Kisspeptin/Kisspeptin Receptor System in the Ovary. Front. Endocrinol. 2018, 8, 365. [Google Scholar] [CrossRef]
- Tomori, Y.; Takumi, K.; Iijima, N.; Takai, S.; Ozawa, H. Kisspeptin Expression Is Decreased in the Arcuate Nucleus of Hypothyroid Female Rats with Irregular Estrus Cycles. Neurosci. Res. 2017, 117, 35–41. [Google Scholar] [CrossRef]
- Santos, B.R.; dos Anjos Cordeiro, J.M.; Santos, L.C.; de Oliveira, L.S.; Mendonça, L.D.; Santos, E.O.; de Macedo, I.O.; Szawka, R.E.; Serakides, R.; Silva, J.F. Maternal Hypothyroidism Reduces the Expression of the Kisspeptin/Kiss1r System in the Maternal-Fetal Interface of Rats. Reprod. Biol. 2022, 22, 16–20. [Google Scholar] [CrossRef] [PubMed]
- Fayazi, M.; Calder, M.; Bhattacharya, M.; Vilos, G.A.; Power, S.; Babwah, A.V. The Pregnant Mouse Uterus Exhibits a Functional Kisspeptin/KISS1R Signaling System on the Day of Embryo Implantation. Reprod. Biol. Endocrinol. 2015, 13, 105. [Google Scholar] [CrossRef] [PubMed]
- Baba, T.; Kang, H.S.; Hosoe, Y.; Kharma, B.; Abiko, K.; Matsumura, N.; Hamanishi, J.; Yamaguchi, K.; Yoshioka, Y.; Koshiyama, M.; et al. Menstrual Cyclic Change of Metastin/GPR54 in Endometrium. Med. Mol. Morphol. 2015, 48, 76–84. [Google Scholar] [CrossRef] [PubMed]
- Santos, L.C.; dos Anjos Cordeiro, J.M.; Santana, L.d.S.; Barbosa, E.M.; Santos, B.R.; da Silva, T.Q.M.; de Souza, S.S.; Corrêa, J.M.X.; Lavor, M.S.L.; da Silva, E.B.; et al. Expression Profile of the Kisspeptin/Kiss1r System and Angiogenic and Immunological Mediators in the Ovary of Cyclic and Pregnant Cats. Domest. Anim. Endocrinol. 2022, 78, 106650. [Google Scholar] [CrossRef] [PubMed]
- Schäfer-Somi, S.; Ay, S.S.; Kaya, D.; Sözmen, M.; Beceriklisoy, H.B.; Ağaoğlu, A.R.; Fındık, M.; van Haeften, T.; Aslan, S. Kisspeptin-10 and the G Protein-Coupled Receptor 54 Are Differentially Expressed in the Canine Pregnant Uterus and Trophoblast Cells. Reprod. Domest. Anim. 2017, 52, 123–129. [Google Scholar] [CrossRef]
- Zhang, P.; Tang, M.; Zhong, T.; Lin, Y.; Zong, T.; Zhong, C.; Zhang, B.P.; Ren, M.; Kuang, H. Bin Expression and Function of Kisspeptin during Mouse Decidualization. PLoS ONE 2014, 9, e0097647. [Google Scholar] [CrossRef]
- León, S.; Fernadois, D.; Sull, A.; Sull, J.; Calder, M.; Hayashi, K.; Bhattacharya, M.; Power, S.; Vilos, G.A.; Vilos, A.G.; et al. Beyond the Brain-Peripheral Kisspeptin Signaling Is Essential for Promoting Endometrial Gland Development and Function. Sci. Rep. 2016, 6, 29073. [Google Scholar] [CrossRef]
- Calder, M.; Chan, Y.M.; Raj, R.; Pampillo, M.; Elbert, A.; Noonan, M.; Gillio-Meina, C.; Caligioni, C.; Bérubé, N.G.; Bhattacharya, M.; et al. Implantation Failure in Female Kiss1-/- Mice Is Independent of Their Hypogonadic State and Can Be Partially Rescued by Leukemia Inhibitory Factor. Endocrinology 2014, 155, 3065–3078. [Google Scholar] [CrossRef]
- Kakita-Kobayashi, M.; Murata, H.; Nishigaki, A.; Hashimoto, Y.; Komiya, S.; Tsubokura, H.; Kido, T.; Kida, N.; Tsuzuki-Nakao, T.; Matsuo, Y.; et al. Thyroid Hormone Facilitates in Vitro Decidualization of Human Endometrial Stromal Cells via Thyroid Hormone Receptors. Endocrinology 2020, 161, bqaa049. [Google Scholar] [CrossRef] [PubMed]
- Surveyor, G.A.; Gendler, S.J.; Pemberton, L.; Das, S.K.; Chakraborty, I.; Julian, J.; Pimental, R.A.; Wegner, C.C.; Dey, S.K.; Carson, D.D. Expression and Steroid Hormonal Control of Muc-1 in the Mouse Uterus. Society 1995, 136, 3639–3647. [Google Scholar] [CrossRef] [PubMed]
- Pawar, S.; Laws, M.J.; Bagchi, I.C.; Bagchi, M.K. Uterine Epithelial Estrogen Receptor-α Controls Decidualization via a Paracrine Mechanism. Mol. Endocrinol. 2015, 29, 1362–1374. [Google Scholar] [CrossRef]
- Freeman, M.E. The Neuroendocrine Control of the Ovarian Cycle of the Rat. In Knobil and Neill’s Physiology of Reproduction; Elsevier: Amsterdam, The Netherlands, 1994; pp. 613–658. [Google Scholar]
- Hatsuta, M.; Abe, K.; Tamura, K.; Ryuno, T.; Watanabe, G.; Taya, K.; Kogo, H. Effects of Hypothyroidism on the Estrous Cycle and Reproductive Hormones in Mature Female Rat. Eur. J. Pharmacol. 2004, 486, 343–348. [Google Scholar] [CrossRef] [PubMed]
- Hapon, M.B.; Motta, A.B.; Ezquer, M.; Bonafede, M.; Jahn, G.A. Hypothyroidism Prolongs Corpus Luteum Function in the Pregnant Rat. Reproduction 2007, 133, 197–205. [Google Scholar] [CrossRef] [PubMed]
- Hapon, M.B.; Simoncini, M.; Via, G.; Jahn, G.A. Effect of Hypothyroidism on Hormone Profiles in Virgin, Pregnant and Lactating Rats, and on Lactation. Reproduction 2003, 126, 371–382. [Google Scholar] [CrossRef]
- Mattheij, J.A.M.; Swarts, J.J.M.; Lokerse, P.; van Kampen, J.T.; Van der Heide, D. Effect of Hypothyroidism on the Pituitary-Gonadal Axis in the Adult Female Rat. J. Endocrinol. 1995, 146, 87–94. [Google Scholar] [CrossRef] [PubMed]
- Silva, C.M.; Serakides, R.; Oliveira, T.S.; Ocarino, N.M.; Nascimento, E.F.; Nunes, V.A. Histomorfometria e Histoquímica Dos Ovários, Tubas e Útero de Ratas Hipotireóideas Em Metaestro-Diestro. Arq. Bras. Med. Veterinária Zootec. 2004, 56, 628–639. [Google Scholar] [CrossRef]
- Kirkland, J.L.; Gardner, R.M.; Mukku, V.R.; Akhtar, M.; Stancel, G.M. Hormonal Control of Uterine Growth: The Effect of Hypothyroidism on Estrogen-Stimulated Cell Division. Endocrinology 1981, 108, 2346–2351. [Google Scholar] [CrossRef] [PubMed]
- Silva, J.F.; Ocarino, N.M.; Serakides, R. Maternal Thyroid Dysfunction Affects Placental Profile of Inflammatory Mediators and the Intrauterine Trophoblast Migration Kinetics. Reproduction 2014, 147, 803–816. [Google Scholar] [CrossRef]
- Silva, J.; Ocarino, N.; Vieira, A.; Nascimento, E.; Serakides, R. Effects of Hypo- and Hyperthyroidism on Proliferation, Angiogenesis, Apoptosis and Expression of COX-2 in the Corpus Luteum of Female Rats. Reprod. Domest. Anim. 2013, 48, 691–698. [Google Scholar] [CrossRef] [PubMed]
- Silva, J.F.; Ocarino, N.M.; Serakides, R. Luteal Activity of Pregnant Rats with Hypo-and Hyperthyroidism. J. Ovarian Res. 2014, 7, 75. [Google Scholar] [CrossRef]
- Fishman, R.B.; Branham, W.S.; Streck, R.D.; Sheehan, D.M. Ontogeny of Estrogen Receptor Messenger Ribonucleic Acid Expression in the Postnatal Rat Uterus. Biol. Reprod. 1996, 55, 1221–1230. [Google Scholar] [CrossRef] [PubMed][Green Version]
- Thrower, S.; Neethling, C.; Whitet, J.; Limt, L. The Unoccupied Nuclear Oestradiol Receptor in the Rat Uterus and Hypothalamus during the Oestrous Cycle. Biochem. J. 1981, 194, 667–671. [Google Scholar] [CrossRef]
- Myatt, L.; Chaudhuri, G.; Elder, M.G.; Lim, L. The Oestrogen Receptor in the Rat Uterus in Relation to Intra-Uterine Devices and the Oestrous Cycle. Biochem. J. 1978, 176, 523–529. [Google Scholar] [CrossRef]
- Tas, M.; Kutuk, M.S.; Serin, I.S.; Ozgun, M.T.; Oner, G.; Ozturk, F. Comparison of Antiproliferative Effects of Metformine and Progesterone on Estrogen-Induced Endometrial Hyperplasia in Rats. Gynecol. Endocrinol. 2013, 29, 311–314. [Google Scholar] [CrossRef]
- Barbanel, G.; Assenmacher, I. Effects of Thyroid Hormones on the Ontogeny of Oestradiol Binding Sites in the Rat. Mol. Cell. Endocrinol. 1982, 28, 247–261. [Google Scholar] [CrossRef] [PubMed]
- Sayem, A.S.M.; Giribabu, N.; Karim, K.; Si, L.K.; Muniandy, S.; Salleh, N. Differential expression of the receptors for thyroid hormone, thyroid stimulating hormone, vitamin D and retinoic acid and extracellular signal-regulated kinase in uterus of rats under influence of sex-steroids. Biomed. Pharmacother. 2018, 100, 132–141. [Google Scholar] [CrossRef] [PubMed]
- Inuwa, I.M.; Williams, M.A. A Morphometric Study on the Endometrium of Rat Uterus in Hypothyroid and Thyroxine Treated Hypothyroid Rats. Ups. J. Med. Sci. 2006, 111, 215–226. [Google Scholar] [CrossRef] [PubMed]
- Ljungkvist, I. Quantitative Studies of the Effect of Progesterone on Endometrial Morphology of the Spayed Rat. Anat. Embryol. 1975, 148, 47–58. [Google Scholar] [CrossRef] [PubMed]
- Grunert, G.; Tchernitchin, A.N. Effect of Progesterone on the Non-Genomic Response to Oestrogen in the Rat. J. Endocrinol. 1982, 94, 307–315. [Google Scholar] [CrossRef] [PubMed]
- Cooke, P.S.; Buchanan, D.L.; Young, P.; Setiawan, T.; Brody, J.; Korach, K.S.; Taylor, J.; Lubahn, D.B.; Cunha, G.R. Stromal Estrogen Receptors Mediate Mitogenic Effects of Estradiol on Uterine Epithelium. Proc. Natl. Acad. Sci. USA 1997, 94, 6535–6540. [Google Scholar] [CrossRef] [PubMed]
- Hiroi, H.; Inoue, S.; Watanabe, T.; Goto, W.; Orimo, A.; Momoeda, M.; Tsutsumi, O.; Taketani, Y.; Muramatsu, M. Differential Immunolocalization of Estrogen Receptor α and β in Rat Ovary and Uterus. J. Mol. Endocrinol. 1999, 22, 37–44. [Google Scholar] [CrossRef]
- Razandi, M.; Pedram, A.; Greene, G.L.; Levin, E.R. Cell Membrane and Nuclear Estrogen Receptors (ERs) Originate from a Single Transcript: Studies of ERα and ERβ Expressed in Chinese Hamster Ovary Cells. Mol. Endocrinol. 1999, 13, 307–319. [Google Scholar] [CrossRef] [PubMed]
- Moriyama, T.; Yoneda, Y.; Oka, M.; Yamada, M. Transportin-2 Plays a Critical Role in Nucleocytoplasmic Shuttling of Oestrogen Receptor-α. Sci. Rep. 2020, 10, 18640. [Google Scholar] [CrossRef] [PubMed]
- Shen, M.M.; Leder, P. Leukemia Inhibitory Factor Is Expressed by the Preimplantation Uterus and Selectively Blocks Primitive Ectoderm Formation in Vitro. Proc. Natl. Acad. Sci. USA 1992, 89, 8240–8244. [Google Scholar] [CrossRef]
- Stewart, C.L.; Kaspar, P.; Brunet, L.J.; Bhatt, H.; Gadi, I.; Köntgen, F.; Abbondanzo, S.J. Blastocyst Implantation Depends on Maternal Expression of Leukaemia Inhibitory Factor. Nature 1992, 359, 710–713. [Google Scholar] [CrossRef] [PubMed]
- Matsuo, M.; Hirota, Y.; Fukui, Y.; Fujita, H.; Saito-Fujita, T.; Kaku, T.; Gebril, M.; Hirata, T.; Akaeda, S.; Hiraoka, T.; et al. Levonorgestrel Inhibits Embryo Attachment by Eliminating Uterine Induction of Leukemia Inhibitory Factor. Endocrinology 2020, 161, bqz005. [Google Scholar] [CrossRef] [PubMed]
- Filant, J.; Spencer, T.E. Endometrial Glands Are Essential for Blastocyst Implantation and Decidualization in the Mouse Uterus. Biol. Reprod. 2013, 88, 1–9. [Google Scholar] [CrossRef]
- Han, S.J.; Jeong, J.; DeMayo, F.J.; Xu, J.; Tsai, S.Y.; Tsai, M.-J.; O’Malley, B.W. Dynamic Cell Type Specificity of SRC-1 Coactivator in Modulating Uterine Progesterone Receptor Function in Mice. Mol. Cell. Biol. 2005, 25, 8150–8165. [Google Scholar] [CrossRef] [PubMed][Green Version]
- Verhage, H.G.; Boomsma, R.A.; Murray, M.K.; Jaffe, R.C. Subcellular Compartmentalization of the Progesterone Receptor in Cat Uteri Following the Acute Administration of Progesterone. Biol. Reprod. 1983, 28, 545–550. [Google Scholar] [CrossRef] [PubMed]
- Lee, K.Y.; Jeong, J.-W.; Wang, J.; Ma, L.; Martin, J.F.; Tsai, S.Y.; Lydon, J.P.; DeMayo, F.J. Bmp2 Is Critical for the Murine Uterine Decidual Response. Mol. Cell. Biol. 2007, 27, 5468–5478. [Google Scholar] [CrossRef]
- Franco, H.L.; Dai, D.; Lee, K.Y.; Rubel, C.A.; Roop, D.; Boerboom, D.; Jeong, J.; Lydon, J.P.; Bagchi, I.C.; Bagchi, M.K.; et al. WNT4 Is a Key Regulator of Normal Postnatal Uterine Development and Progesterone Signaling during Embryo Implantation and Decidualization in the Mouse. FASEB J. 2011, 25, 1176–1187. [Google Scholar] [CrossRef] [PubMed]
- Li, Q.; Kannan, A.; Wang, W.; DeMayo, F.J.; Taylor, R.N.; Bagchi, M.K.; Bagchi, I.C. Bone Morphogenetic Protein 2 Functions via a Conserved Signaling Pathway Involving Wnt4 to Regulate Uterine Decidualization in the Mouse and the Human. J. Biol. Chem. 2007, 282, 31725–31732. [Google Scholar] [CrossRef]
- Park, D.W.; Lee, S.K.; Hong, S.R.; Han, A.R.; Kwak-Kim, J.; Yang, K.M. Expression of Kisspeptin and Its Receptor GPR54 in the First Trimester Trophoblast of Women with Recurrent Pregnancy Loss. Am. J. Reprod. Immunol. 2012, 67, 132–139. [Google Scholar] [CrossRef] [PubMed]
- Wu, S.; Zhang, H.; Tian, J.; Liu, L.; Dong, Y.; Mao, T. Expression of Kisspeptin/GPR54 and PIBF/PR in the First Trimester Trophoblast and Decidua of Women with Recurrent Spontaneous Abortion. Pathol. Res. Pract. 2014, 210, 47–54. [Google Scholar] [CrossRef] [PubMed]
- Ajayi, A.F.; Akhigbe, R.E. Staging of the Estrous Cycle and Induction of Estrus in Experimental Rodents: An Update. Fertil. Res. Pract. 2020, 6, 5. [Google Scholar] [CrossRef] [PubMed]
- Castellano, J.M.; Gaytan, M.; Roa, J.; Vigo, E.; Navarro, V.M.; Bellido, C.; Dieguez, C.; Aguilar, E.; Sánchez-Criado, J.E.; Pellicer, A.; et al. Expression of KiSS-1 in Rat Ovary: Putative Local Regulator of Ovulation? Endocrinology 2006, 147, 4852–4862. [Google Scholar] [CrossRef]
- Silva, J.F.; Henriques, P.C.; Campideli-Santana, A.C.; Araujo-Lopes, R.; Aquino, N.S.S.; Hipolito, L.T.M.; Lopes-Aguiar, C.; Reis, A.M.; Grattan, D.R.; Szawka, R.E. Estradiol Potentiates But Is Not Essential for Prolactin-Induced Suppression of Luteinizing Hormone Pulses in Female Rats. Endocrinology 2020, 161, bqaa022. [Google Scholar] [CrossRef]
- Liang, X.H.; Deng, W.B.; Li, M.; Zhao, Z.A.; Wang, T.S.; Feng, X.H.; Cao, Y.J.; Duan, E.K.; Yang, Z.M. Egr1 Protein Acts Downstream of Estrogen-Leukemia Inhibitory Factor (LIF)-STAT3 Pathway and Plays a Role during Implantation through Targeting Wnt4. J. Biol. Chem. 2014, 289, 23534–23545. [Google Scholar] [CrossRef] [PubMed]
- Kim, H.R.; Cho, K.S.; Kim, E.; Lee, O.H.; Yoon, H.; Lee, S.; Moon, S.; Park, M.; Hong, K.; Na, Y.; et al. Rapid Expression of RASD1 Is Regulated by Estrogen Receptor-Dependent Intracellular Signaling Pathway in the Mouse Uterus. Mol. Cell. Endocrinol. 2017, 446, 32–39. [Google Scholar] [CrossRef]






| Gene | Sequence (5→3) | Product Length | Accession Number |
|---|---|---|---|
| KISS1R | F: CAACCTGCTGGCCCTATACC | 117 | NM_023992.2 |
| R: TGCAGGGCGCCATCAGT | |||
| KISS1 | F: GAGCCACTGGCAAAAATGGC | 78 | NM_181692.1 |
| R: ATTAACGAGTTCCTGGGGTCC | |||
| HAND2 | F: GAGGACGGACACGTTACTCG | 102 | NM_022696.2 |
| R: TGGGTTCTTGGGCGCTTATT | |||
| WNT4 | F: TTGTATACGCCATCTCTTCAGCA | 84 | NM_053402.2 |
| R: CACAGCCACACTTCTCCAGAT | |||
| BMP2 | F: TGCTTCTTAGACGGACTGCG | 81 | NM_017178.2 |
| R: GGGGAAGCAGCAACACTAGA | |||
| MUC1 | F: TGTTTCTACCCCTTTCCCGC | 100 | NM_001398538.1 |
| R: CTGCGGACTTTTAGGCTTGC | |||
| LIF | F: CAGGGATTGTGCCCCTACTG | 83 | NM_022196.3 |
| R: GGTGGCATTTACAGGGGTGA | |||
| ESR1 | F: GCCACTCGATCATTCGAGCA | 107 | NM_012689.1 |
| R: CCTGCTGGTTCAAAAGCGTC | |||
| PGR | F: CTTCCCAGACTGCACCTACC | 76 | NM_022847.2 |
| R: AGGCTGGAATTCGCCGTAAA | |||
| SMO | F: CTGACTGGCGGAACTCCAAT | 71 | NM_012807.2 |
| R: GCCCACAAAGAAACACGCAT | |||
| RPL7 | F: TATGTGCCCGCAGAACCAAA | 113 | NM_001100534.1 |
| R: TTGAAGATCTGCCGGAGACG |
Disclaimer/Publisher’s Note: The statements, opinions and data contained in all publications are solely those of the individual author(s) and contributor(s) and not of MDPI and/or the editor(s). MDPI and/or the editor(s) disclaim responsibility for any injury to people or property resulting from any ideas, methods, instructions or products referred to in the content. |
© 2025 by the authors. Licensee MDPI, Basel, Switzerland. This article is an open access article distributed under the terms and conditions of the Creative Commons Attribution (CC BY) license (https://creativecommons.org/licenses/by/4.0/).
Share and Cite
da Silva, T.Q.M.; Barbosa, E.M.; Santos, L.C.; Oliveira, L.S.d.; Cunha, M.C.d.S.G.; de Macedo, I.O.; Martins, B.G.C.; Oliveira, C.L.; Rodrigues, N.P.; Araújo-Lopes, R.; et al. Hypothyroidism Alters Uterine Kisspeptin System and Activity Modulators in Cyclic Rats. Int. J. Mol. Sci. 2025, 26, 543. https://doi.org/10.3390/ijms26020543
da Silva TQM, Barbosa EM, Santos LC, Oliveira LSd, Cunha MCdSG, de Macedo IO, Martins BGC, Oliveira CL, Rodrigues NP, Araújo-Lopes R, et al. Hypothyroidism Alters Uterine Kisspeptin System and Activity Modulators in Cyclic Rats. International Journal of Molecular Sciences. 2025; 26(2):543. https://doi.org/10.3390/ijms26020543
Chicago/Turabian Styleda Silva, Thayná Queiroz Menezes, Erikles Macêdo Barbosa, Luciano Cardoso Santos, Luciana Santos de Oliveira, Maria Clara da Silva Galrão Cunha, Isabella Oliveira de Macedo, Brenda Geovana Campos Martins, Cibele Luz Oliveira, Natalia Panhoca Rodrigues, Roberta Araújo-Lopes, and et al. 2025. "Hypothyroidism Alters Uterine Kisspeptin System and Activity Modulators in Cyclic Rats" International Journal of Molecular Sciences 26, no. 2: 543. https://doi.org/10.3390/ijms26020543
APA Styleda Silva, T. Q. M., Barbosa, E. M., Santos, L. C., Oliveira, L. S. d., Cunha, M. C. d. S. G., de Macedo, I. O., Martins, B. G. C., Oliveira, C. L., Rodrigues, N. P., Araújo-Lopes, R., Szawka, R. E., & Silva, J. F. (2025). Hypothyroidism Alters Uterine Kisspeptin System and Activity Modulators in Cyclic Rats. International Journal of Molecular Sciences, 26(2), 543. https://doi.org/10.3390/ijms26020543

