Persistent Hypercalcemia Despite Parathyroidectomy for Primary Hyperparathyroidism in an Adult with Nephrocalcinosis and Nephrolithiasis Caused by a Novel Combination of Two Pathogenic CYP24A1 Mutations
Abstract
1. Introduction
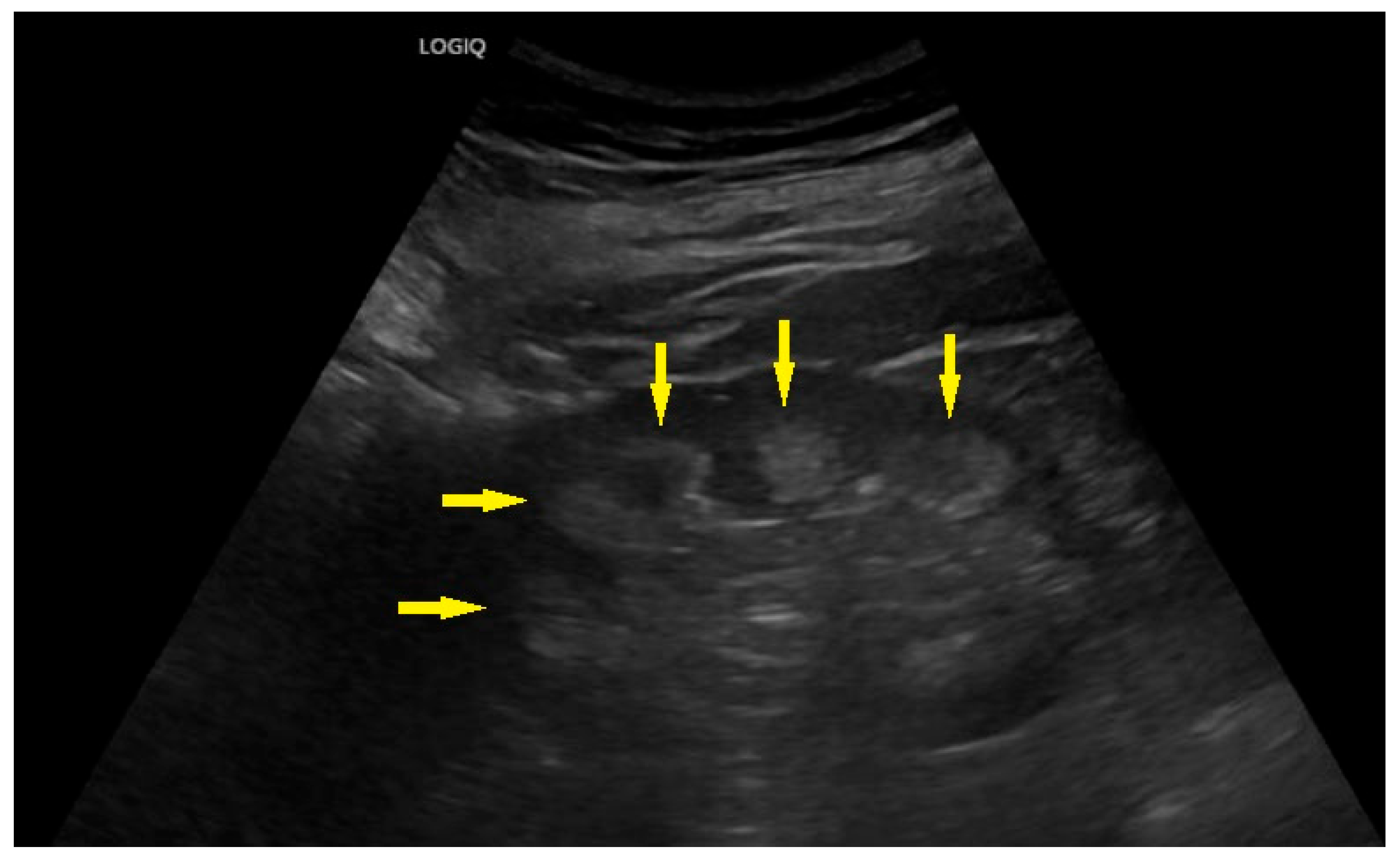
2. Case Report
3. Discussion
4. Conclusions
Author Contributions
Funding
Institutional Review Board Statement
Informed Consent Statement
Data Availability Statement
Conflicts of Interest
References
- Minisola, S.; Pepe, J.; Piemonte, S.; Cipriani, C. The diagnosis and management of hypercalcaemia. BMJ 2015, 350, h2723. [Google Scholar] [CrossRef] [PubMed]
- Tebben, P.J.; Singh, R.J.; Kumar, R. Vitamin D-Mediated Hypercalcemia: Mechanisms, Diagnosis, and Treatment. Endocr. Rev. 2016, 37, 521–547. [Google Scholar] [CrossRef]
- Cappellani, D.; Brancatella, A.; Morganti, R.; Borsari, S.; Baldinotti, F.; Caligo, M.A.; Kaufmann, M.; Jones, G.; Marcocci, C.; Cetani, F. Hypercalcemia due to CYP24A1 mutations: A systematic descriptive review. Eur. J. Endocrinol. 2021, 186, 137–149. [Google Scholar] [CrossRef]
- Schlingmann, K.P.; Kaufmann, M.; Weber, S.; Irwin, A.; Goos, C.; John, U.; Misselwitz, J.; Klaus, G.; Kuwertz-Broking, E.; Fehrenbach, H.; et al. Mutations in CYP24A1 and idiopathic infantile hypercalcemia. N. Engl. J. Med. 2011, 365, 410–421. [Google Scholar] [CrossRef]
- Meusburger, E.; Mundlein, A.; Zitt, E.; Obermayer-Pietsch, B.; Kotzot, D.; Lhotta, K. Medullary nephrocalcinosis in an adult patient with idiopathic infantile hypercalcaemia and a novel CYP24A1 mutation. Clin. Kidney J. 2013, 6, 211–215. [Google Scholar] [CrossRef] [PubMed]
- Tebben, P.J.; Milliner, D.S.; Horst, R.L.; Harris, P.C.; Singh, R.J.; Wu, Y.; Foreman, J.W.; Chelminski, P.R.; Kumar, R. Hypercalcemia, hypercalciuria, and elevated calcitriol concentrations with autosomal dominant transmission due to CYP24A1 mutations: Effects of ketoconazole therapy. J. Clin. Endocrinol. Metab. 2012, 97, E423–E427. [Google Scholar] [CrossRef] [PubMed]
- Kumar, P.; Henikoff, S.; Ng, P.C. Predicting the effects of coding non-synonymous variants on protein function using the SIFT algorithm. Nat. Protoc. 2009, 4, 1073–1081. [Google Scholar] [CrossRef]
- Adzhubei, I.A.; Schmidt, S.; Peshkin, L.; Ramensky, V.E.; Gerasimova, A.; Bork, P.; Kondrashov, A.S.; Sunyaev, S.R. A method and server for predicting damaging missense mutations. Nat. Methods 2010, 7, 248–249. [Google Scholar] [CrossRef]
- Richards, S.; Aziz, N.; Bale, S.; Bick, D.; Das, S.; Gastier-Foster, J.; Grody, W.W.; Hegde, M.; Lyon, E.; Spector, E.; et al. Standards and guidelines for the interpretation of sequence variants: A joint consensus recommendation of the American College of Medical Genetics and Genomics and the Association for Molecular Pathology. Genet. Med. 2015, 17, 405–424. [Google Scholar] [CrossRef]
- Azer, S.M.; Vaughan, L.E.; Tebben, P.J.; Sas, D.J. 24-Hydroxylase Deficiency Due to CYP24A1 Sequence Variants: Comparison With Other Vitamin D-mediated Hypercalcemia Disorders. J. Endocr. Soc. 2021, 5, bvab119. [Google Scholar] [CrossRef]
- Molin, A.; Baudoin, R.; Kaufmann, M.; Souberbielle, J.C.; Ryckewaert, A.; Vantyghem, M.C.; Eckart, P.; Bacchetta, J.; Deschenes, G.; Kesler-Roussey, G.; et al. CYP24A1 Mutations in a Cohort of Hypercalcemic Patients: Evidence for a Recessive Trait. J. Clin. Endocrinol. Metab. 2015, 100, E1343–E1352. [Google Scholar] [CrossRef] [PubMed]
- Collins, L.; Boehm, E.; Luxford, C.; Clifton-Bligh, R.; Grill, V. Hypervitaminosis D Secondary to a CYP24A1 Loss-of-Function Mutation: An Unusual Cause of Hypercalcemia in Two Siblings. JBMR Plus 2023, 7, e10788. [Google Scholar] [CrossRef]
- David, K.; Khalil, R.; Hannon, H.; Evenepoel, P.; Decallonne, B. Therapy-Resistant Hypercalcemia in a Patient with Inactivating CYP24A1 Mutation and Recurrent Nephrolithiasis: Beware of Concomitant Hyperparathyroidism. Calcif. Tissue Int. 2020, 107, 524–528. [Google Scholar] [CrossRef]
- Helmuth, A.; Konrad, M.; Schlingmann, K.P.; Pasch, A. The case|hypercalcemia in a 60-year-old male. Kidney Int. 2014, 85, 219–221. [Google Scholar] [CrossRef][Green Version]
- Leszczynska, D.; Szatko, A.; Latocha, J.; Kochman, M.; Duchnowska, M.; Wojcicka, A.; Misiorowski, W.; Zgliczyniski, W.; Glinicki, P. Persistent hypercalcaemia associated with two pathogenic variants in the CYP24A1 gene and a parathyroid adenoma-a case report and review. Front. Endocrinol. 2024, 15, 1355916. [Google Scholar] [CrossRef]
- Liu, J.; Angelos, P.; Barhoum, M.; Jain, R. Severe Hypercalcemia Due to Primary Hyperparathyroidism and Heterozygous Pathogenic Variant of CYP24A1. JCEM Case Rep. 2023, 1, luad071. [Google Scholar] [CrossRef]
- Loyer, C.; Leroy, C.; Molin, A.; Odou, M.F.; Huglo, D.; Lion, G.; Ernst, O.; Hoffmann, M.; Porchet, N.; Carnaille, B.; et al. Hyperparathyroidism complicating CYP 24A1 mutations. Ann. Endocrinol. 2016, 77, 615–619. [Google Scholar] [CrossRef] [PubMed]
- Marini, F.; Cianferotti, L.; Giusti, F.; Brandi, M.L. Molecular genetics in primary hyperparathyroidism: The role of genetic tests in differential diagnosis, disease prevention strategy, and therapeutic planning. A 2017 update. Clin. Cases Miner. Bone Metab. 2017, 14, 60–70. [Google Scholar] [CrossRef]
- Aberger, S.; Schreiber, N.; Pilz, S.; Eller, K.; Rosenkranz, A.R.; Kirsch, A.H. Targeting Calcitriol Metabolism in Acute Vitamin D Toxicity-A Comprehensive Review and Clinical Insight. Int. J. Mol. Sci. 2024, 25, 10003. [Google Scholar] [CrossRef] [PubMed]
- Sayers, J.; Hynes, A.M.; Srivastava, S.; Dowen, F.; Quinton, R.; Datta, H.K.; Sayer, J.A. Successful treatment of hypercalcaemia associated with a CYP24A1 mutation with fluconazole. Clin. Kidney J. 2015, 8, 453–455. [Google Scholar] [CrossRef] [PubMed]
- Nguyen, M.; Boutignon, H.; Mallet, E.; Linglart, A.; Guillozo, H.; Jehan, F.; Garabedian, M. Infantile hypercalcemia and hypercalciuria: New insights into a vitamin D-dependent mechanism and response to ketoconazole treatment. J. Pediatr. 2010, 157, 296–302. [Google Scholar] [CrossRef] [PubMed]
- Bland, R.; Walker, E.A.; Hughes, S.V.; Stewart, P.M.; Hewison, M. Constitutive expression of 25-hydroxyvitamin D3-1alpha-hydroxylase in a transformed human proximal tubule cell line: Evidence for direct regulation of vitamin D metabolism by calcium. Endocrinology 1999, 140, 2027–2034. [Google Scholar] [CrossRef] [PubMed]
- Hawkes, C.P.; Li, D.; Hakonarson, H.; Meyers, K.E.; Thummel, K.E.; Levine, M.A. CYP3A4 Induction by Rifampin: An Alternative Pathway for Vitamin D Inactivation in Patients With CYP24A1 Mutations. J. Clin. Endocrinol. Metab. 2017, 102, 1440–1446. [Google Scholar] [CrossRef]
- Wang, Z.; Lin, Y.S.; Zheng, X.E.; Senn, T.; Hashizume, T.; Scian, M.; Dickmann, L.J.; Nelson, S.D.; Baillie, T.A.; Hebert, M.F.; et al. An inducible cytochrome P450 3A4-dependent vitamin D catabolic pathway. Mol. Pharmacol. 2012, 81, 498–509. [Google Scholar] [CrossRef] [PubMed]


| Family Member | Patient | Sister | Brother | Reference Range |
|---|---|---|---|---|
| Age (years) | 68 | 79 | 75 | |
| Gender | female | female | male | |
| Nephrolithiasis | yes | no | no | |
| Nephrocalcinosis | yes | no | no | |
| c.628T>C/W210R, genotype | heterozygous, TC/WR | wildtype, TT/WW | wildtype, TT/WW | |
| c.1186C>T/R396W, genotype | heterozygous, CT/RW | heterozygous, CT/RW | wildtype, CC/RR | |
| Total Calcium (mmol/L) | 2.75 | 2.37 | 2.31 | 2.15–2.55 |
| Ionized Calcium (mmol/L) | 1.37 | 1.19 | 1.17 | 1.12–1.32 |
| Phosphate (mmol/L) | 1.24 | 1.09 | 1.01 | 0.81–1.45 |
| PTH (pg/mL) | 27 | 64 | 40 | 15–65 |
| 25(OH)D3 (µg/L) | 51 | 12 | 20 | 20–70 |
| 1,25(OH)2D3 (ng/L) | 60.4 | uk | uk | 19.9–79.3 |
| 24,25(OH)2D3 (µg/L) | 1.3 | 0.61 | 2.5 | 1–3 |
| 25(OH)D3/24,25(OH)2D3 | 39.2 | 19.7 | 8 | 7–35 |
| Creatinine (mg/dL) | 1.05 | 0.98 | 0.64 | 0.50–0.90 (f), 0.70–1.20 (m) |
| eGFR (mL/min/1.73 m2) | 55 | 55 | 96 | >60 |
| FGF-23 c-terminal (pg/mL) | 192 | uk | uk | 23.2–95.4 |
Disclaimer/Publisher’s Note: The statements, opinions and data contained in all publications are solely those of the individual author(s) and contributor(s) and not of MDPI and/or the editor(s). MDPI and/or the editor(s) disclaim responsibility for any injury to people or property resulting from any ideas, methods, instructions or products referred to in the content. |
© 2025 by the authors. Licensee MDPI, Basel, Switzerland. This article is an open access article distributed under the terms and conditions of the Creative Commons Attribution (CC BY) license (https://creativecommons.org/licenses/by/4.0/).
Share and Cite
Zhang, S.; Muendlein, A.; Meusburger, E.; Zitt, E. Persistent Hypercalcemia Despite Parathyroidectomy for Primary Hyperparathyroidism in an Adult with Nephrocalcinosis and Nephrolithiasis Caused by a Novel Combination of Two Pathogenic CYP24A1 Mutations. Int. J. Mol. Sci. 2025, 26, 8965. https://doi.org/10.3390/ijms26188965
Zhang S, Muendlein A, Meusburger E, Zitt E. Persistent Hypercalcemia Despite Parathyroidectomy for Primary Hyperparathyroidism in an Adult with Nephrocalcinosis and Nephrolithiasis Caused by a Novel Combination of Two Pathogenic CYP24A1 Mutations. International Journal of Molecular Sciences. 2025; 26(18):8965. https://doi.org/10.3390/ijms26188965
Chicago/Turabian StyleZhang, Sijun, Axel Muendlein, Edgar Meusburger, and Emanuel Zitt. 2025. "Persistent Hypercalcemia Despite Parathyroidectomy for Primary Hyperparathyroidism in an Adult with Nephrocalcinosis and Nephrolithiasis Caused by a Novel Combination of Two Pathogenic CYP24A1 Mutations" International Journal of Molecular Sciences 26, no. 18: 8965. https://doi.org/10.3390/ijms26188965
APA StyleZhang, S., Muendlein, A., Meusburger, E., & Zitt, E. (2025). Persistent Hypercalcemia Despite Parathyroidectomy for Primary Hyperparathyroidism in an Adult with Nephrocalcinosis and Nephrolithiasis Caused by a Novel Combination of Two Pathogenic CYP24A1 Mutations. International Journal of Molecular Sciences, 26(18), 8965. https://doi.org/10.3390/ijms26188965

